JavaScript is disabled in your browser. Please enable JavaScript to view this website.
AB324486

Anti-KMT2D / MLL2 antibody [EPR29598-577]

  • BOND RX™ Validated
  • RabMAb
  • Recombinant
  • 20ul selling size
  • KO Validated
  • What is this?

Be the first to review this product! Submit a review

|

(0 Publication)

Rabbit Recombinant Monoclonal KMT2D / MLL2 antibody. Suitable for IP, IHC-P, WB and reacts with Human samples.

View Alternative Names

ALR, MLL2, MLL4, KMT2D, Histone-lysine N-methyltransferase 2D, Lysine N-methyltransferase 2D, ALL1-related protein, Myeloid/lymphoid or mixed-lineage leukemia protein 2

6 Images
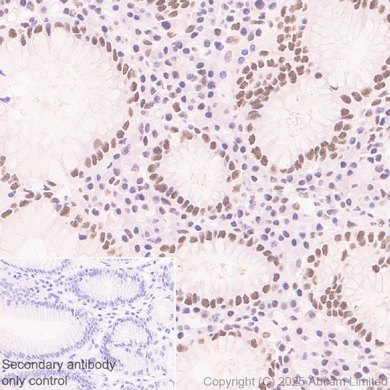
Immunohistochemistry (Formalin/PFA-fixed paraffin-embedded sections) - Anti-KMT2D / MLL2 antibody [EPR29598-577] (AB324486)
  • IHC-P

Supplier Data

Immunohistochemistry (Formalin/PFA-fixed paraffin-embedded sections) - Anti-KMT2D / MLL2 antibody [EPR29598-577] (AB324486)

Immunohistochemical analysis of paraffin-embedded Human stomach tissue labeling KMT2D / MLL2 with ab324486 at 1/1000 (0.508 ug/ml) dilution, followed by a ready to use LeicaDS9800 (Bond™ Polymer Refine Detection).

Positive staining on human stomach. The primary antibody was incubated for 30 mins at room temperature.
The immunostaining was performed on a Leica Biosystems BOND® RX instrument

Counterstained with Hematoxylin.

Secondary antibody only control : Secondary antibody is a ready to use LeicaDS9800 (Bond™ Polymer Refine Detection).

Heat mediated antigen retrieval was performed with Tris-EDTA buffer (pH 9.0, Epitope Retrieval Solution2) for 20 mins

Immunohistochemistry (Formalin/PFA-fixed paraffin-embedded sections) - Anti-KMT2D / MLL2 antibody [EPR29598-577] (AB324486)
  • IHC-P

Supplier Data

Immunohistochemistry (Formalin/PFA-fixed paraffin-embedded sections) - Anti-KMT2D / MLL2 antibody [EPR29598-577] (AB324486)

Immunohistochemical analysis of paraffin-embedded A : Wild-type HAP1 (human chronic myelogenous leukemia near-haploid cell) cell pellet. B : KMT2D knockout HAP1 cell pellet tissue labeling KMT2D / MLL2 with ab324486 at 1/2000 (0.254 ug/ml) dilution, followed by a ready to use LeicaDS9800 (Bond™ Polymer Refine Detection).

Positive staining on A : Wild-type HAP1 cell pellet, no staining on B : KMT2D knockout HAP1 cell pellet. The primary antibody was incubated for 30 mins at room temperature.
The immunostaining was performed on a Leica Biosystems BOND® RX instrument

Counterstained with Hematoxylin.

Secondary antibody only control : Secondary antibody is a ready to use LeicaDS9800 (Bond™ Polymer Refine Detection).

Heat mediated antigen retrieval was performed with Tris-EDTA buffer (pH 9.0, Epitope Retrieval Solution2) for 20 mins

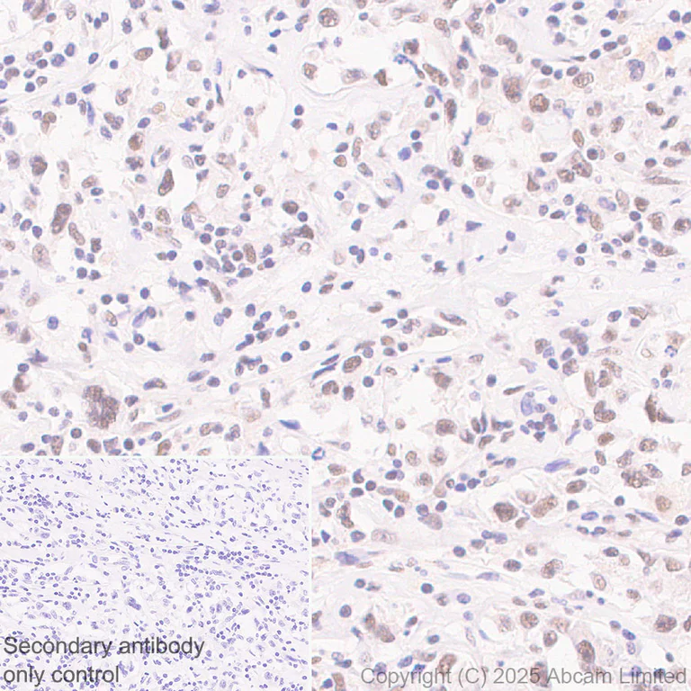
Immunohistochemistry (Formalin/PFA-fixed paraffin-embedded sections) - Anti-KMT2D / MLL2 antibody [EPR29598-577] (AB324486)
  • IHC-P

Supplier Data

Immunohistochemistry (Formalin/PFA-fixed paraffin-embedded sections) - Anti-KMT2D / MLL2 antibody [EPR29598-577] (AB324486)

Immunohistochemical analysis of paraffin-embedded Human diffuse large B-cell lymphoma tissue labeling KMT2D / MLL2 with ab324486 at 1/1000 (0.508 ug/ml) dilution, followed by a ready to use LeicaDS9800 (Bond™ Polymer Refine Detection).

Positive staining on human diffuse large B-cell lymphoma (PMID : 26366712). The primary antibody was incubated for 30 mins at room temperature.
The immunostaining was performed on a Leica Biosystems BOND® RX instrument

Counterstained with Hematoxylin.

Secondary antibody only control : Secondary antibody is a ready to use LeicaDS9800 (Bond™ Polymer Refine Detection).

Heat mediated antigen retrieval was performed with Tris-EDTA buffer (pH 9.0, Epitope Retrieval Solution2) for 20 mins

Immunoprecipitation - Anti-KMT2D / MLL2 antibody [EPR29598-577] (AB324486)
  • IP

Supplier Data

Immunoprecipitation - Anti-KMT2D / MLL2 antibody [EPR29598-577] (AB324486)

KMT2D / MLL2 was immunoprecipitated from 0.35 mg Wild-type HAP1 (human chronic myelogenous leukemia near-haploid cell) whole cell lysate with ab324486 at 1/30 dilution (2ug in 0.35mg lysates). Western blot was performed on the immunoprecipitate using ab324486 at 1/1000 dilution.

Blocking and dilution buffer and concentration : 5% NFDM/TBST

To minimize protein degradation, cells were lysed immediately after harvest and then applied for Immunoprecipitation as soon as possible.

All lanes:

Immunoprecipitation - Anti-KMT2D / MLL2 antibody [EPR29598-577] (ab324486) at 1/1000 dilution

Lane 1:

Wild-type HAP1 (human chronic myelogenous leukemia near-haploid cell) whole cell lysate at 10 µg

Lane 2:

ab324486 IP in Wild-type HAP1 (human chronic myelogenous leukemia near-haploid cell) whole cell lysate

Lane 3:

Rabbit monoclonal IgG (<a href='/en-us/products/primary-antibodies/rabbit-igg-monoclonal-epr25a-isotype-control-ab172730'>ab172730</a>) instead of ab324486 in Wild-type HAP1 whole cell lysate

Secondary

All lanes:

Immunoprecipitation - VeriBlot for IP Detection Reagent (HRP) (<a href='/en-us/products/reagents/veriblot-for-ip-detection-reagent-hrp-ab131366'>ab131366</a>) at 1/5000 dilution

Observed band size: 593 kDa

false

Exposure time: 76s

Western blot - Anti-KMT2D / MLL2 antibody [EPR29598-577] (AB324486)
  • WB

Supplier Data

Western blot - Anti-KMT2D / MLL2 antibody [EPR29598-577] (AB324486)

Blocking and diluting buffer and concentration : 5% NFDM/TBST.

In Western blot, ab324486 was shown to bind specifically to KMT2D. Target of interest was observed at 593 kDa in wild-type HAP1 cell lysates (lane 1) with no signal observed at this size in KMT2D knockout cell line (lane 2).

To minimize protein degradation, cells were lysed immediately after harvest and then applied to a gel and transfer membrane for Western blotting as soon as possible.

In Western blot, Anti-Vinculin antibody [EPR8185] (ab129002) staining at 1/10000 dilution.

All lanes:

Western blot - Anti-KMT2D / MLL2 antibody [EPR29598-577] (ab324486) at 1/1000 dilution

Lane 1:

Wild-type HAP1 (human chronic myelogenous leukemia near-haploid cell) whole cell lysate at 40 µg

Lane 2:

KMT2D knockout HAP1 whole cell lysate at 40 µg

Secondary

All lanes:

Western blot - Goat Anti-Rabbit IgG H&L (HRP) (<a href='/en-us/products/secondary-antibodies/goat-rabbit-igg-h-l-hrp-ab97051'>ab97051</a>) at 1/20000 dilution

Observed band size: 593 kDa,124 kDa

false

Exposure time: 26s

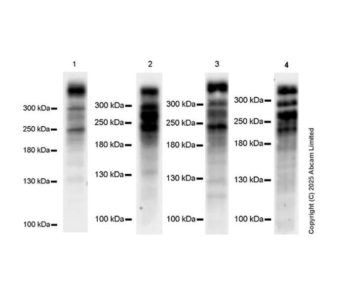
Western blot - Anti-KMT2D / MLL2 antibody [EPR29598-577] (AB324486)
  • WB

Supplier Data

Western blot - Anti-KMT2D / MLL2 antibody [EPR29598-577] (AB324486)

Blocking and diluting buffer and concentration : 5% NFDM/TBST.

To minimize protein degradation, cells were lysed immediately after harvest and then applied to a gel and transfer membrane for Western blotting as soon as possible.

Exposure time : Lane 1 : 26 seconds; Lane 2 : 37 seconds; Lane 3 : 92 seconds; Lane 4 : 103 seconds.

All lanes:

Western blot - Anti-KMT2D / MLL2 antibody [EPR29598-577] (ab324486) at 1/1000 dilution

Lane 1:

HepG2 (human hepatocellular carcinoma epithelial cell) whole cell lysate at 20 µg

Lane 2:

K-562 (human chronic myelogenous leukemia lymphoblast) whole cell lysate at 20 µg

Lane 3:

HCT 116 (human colorectal carcinoma epithelial cell) whole cell lysate at 20 µg

Lane 4:

MCF7 (human breast adenocarcinoma epithelial cell) whole cell lysate at 20 µg

Secondary

All lanes:

Western blot - Goat Anti-Rabbit IgG H&L (HRP) (<a href='/en-us/products/secondary-antibodies/goat-rabbit-igg-h-l-hrp-ab97051'>ab97051</a>) at 1/20000 dilution

Observed band size: 593 kDa

false

Key facts

Host species

Rabbit

Clonality

Monoclonal

Clone number

EPR29598-577

Isotype

IgG

Carrier free

No

Reacts with

Human

Applications

IP, IHC-P, WB

applications

Immunogen

The exact immunogen used to generate this antibody is proprietary information.

Reactivity data

{ "title": "Reactivity Data", "filters": { "stats": ["", "Species", "Dilution Info", "Notes"], "tabs": { "all-applications": {"fullname" : "All Applications", "shortname": "All Applications"}, "IP" : {"fullname" : "Immunoprecipitation", "shortname":"IP"}, "IHCP" : {"fullname" : "Immunohistochemistry (Formalin/PFA-fixed paraffin-embedded sections)", "shortname":"IHC-P"}, "WB" : {"fullname" : "Western blot", "shortname":"WB"}, "ICCIF" : {"fullname" : "Immunocytochemistry/ Immunofluorescence", "shortname":"ICC/IF"} }, "product-promise": { "all": "all", "testedAndGuaranteed": "tested", "guaranteed": "expected", "predicted": "predicted", "notRecommended": "not-recommended" } }, "values": { "Human": { "IP-species-checked": "testedAndGuaranteed", "IP-species-dilution-info": "1/30", "IP-species-notes": "<p></p>", "IHCP-species-checked": "testedAndGuaranteed", "IHCP-species-dilution-info": "1/1000 - 1/2000", "IHCP-species-notes": "<p></p> Perform heat-mediated antigen retrieval with Tris/EDTA buffer pH 9.0 before commencing with IHC staining protocol.", "WB-species-checked": "testedAndGuaranteed", "WB-species-dilution-info": "1/1000", "WB-species-notes": "<p></p>", "ICCIF-species-checked": "notRecommended", "ICCIF-species-dilution-info": "", "ICCIF-species-notes": "<p></p>" }, "Mouse": { "IP-species-checked": "notRecommended", "IP-species-dilution-info": "", "IP-species-notes": "", "IHCP-species-checked": "notRecommended", "IHCP-species-dilution-info": "", "IHCP-species-notes": "<p></p>", "WB-species-checked": "notRecommended", "WB-species-dilution-info": "", "WB-species-notes": "", "ICCIF-species-checked": "notRecommended", "ICCIF-species-dilution-info": "", "ICCIF-species-notes": "" } } }

Product details

Patented technology
Our RabMAb® technology is a patented hybridoma-based technology for making rabbit monoclonal antibodies. For details on our patents, please refer to RabMAb® patents.

What are the advantages of a recombinant monoclonal antibody?
This product is a recombinant monoclonal antibody, which offers several advantages including:

  • - High batch-to-batch consistency and reproducibility
  • - Improved sensitivity and specificity
  • - Long-term security of supply
  • - Animal-free batch production

For more information, read more on recombinant antibodies.

Properties and storage information

Form
Liquid
Purification technique
Affinity purification Protein A
Storage buffer
pH: 7.2 - 7.4 Preservative: 0.01% Sodium azide Constituents: PBS, 40% Glycerol (glycerin, glycerine), 0.05% BSA
Shipped at conditions
Blue Ice
Appropriate short-term storage duration
1-2 weeks
Appropriate short-term storage conditions
+4°C
Appropriate long-term storage conditions
-20°C
Aliquoting information
Upon delivery aliquot
Storage information
Avoid freeze / thaw cycle

Product protocols

For this product, it's our understanding that no specific protocols are required. You can visit:

Target data

Histone methyltransferase that catalyzes methyl group transfer from S-adenosyl-L-methionine to the epsilon-amino group of 'Lys-4' of histone H3 (H3K4) (PubMed : 25561738). Part of chromatin remodeling machinery predominantly forms H3K4me1 methylation marks at active chromatin sites where transcription and DNA repair take place (PubMed : 17500065, PubMed : 25561738). Acts as a coactivator for estrogen receptor by being recruited by ESR1, thereby activating transcription (PubMed : 16603732).
See full target information KMT2D

Product promise

We are committed to supporting your work with high-quality reagents, and we're here for you every step of the way. In the unlikely event that one of our products does not perform as expected, you're protected by our Product Promise.
For full details, please see our Terms & Conditions

Please note: All products are 'FOR RESEARCH USE ONLY. NOT FOR USE IN DIAGNOSTIC OR THERAPEUTIC PROCEDURES'.

For licensing inquiries, please contact partnerships@abcam.com