JavaScript is disabled in your browser. Please enable JavaScript to view this website.
AB259973

Anti-KMT3C / SMYD2 antibody [EPR24071-25]

Be the first to review this product! Submit a review

|

(2 Publications)

Rabbit Recombinant Monoclonal KMT3C / SMYD2 antibody. Suitable for ICC/IF, IP, WB, Flow Cyt (Intra) and reacts with Mouse, Rat, Human samples. Cited in 2 publications.

View Alternative Names

KMT3C, SMYD2, N-lysine methyltransferase SMYD2, HSKM-B, Histone methyltransferase SMYD2, Lysine N-methyltransferase 3C, SET and MYND domain-containing protein 2

10 Images
Flow Cytometry (Intracellular) - Anti-KMT3C / SMYD2 antibody [EPR24071-25] (AB259973)
  • Flow Cyt (Intra)

Supplier Data

Flow Cytometry (Intracellular) - Anti-KMT3C / SMYD2 antibody [EPR24071-25] (AB259973)

Flow cytometric analysis of 4% paraformaldehyde fixed 90% methanol permeabilized HepG2 (human hepatocellular carcinoma epithelial cell) cells labelling KMT3C/SMYD2 with ab259973 at 1/500 dilution (0.1μg)/ (Red) compared with a Rabbit monoclonal IgG (ab172730) (Black) isotype control and an unlabelled control (cells without incubation with primary antibody and secondary antibody) (Blue). A Goat anti rabbit IgG (Alexa Fluor® 488, ab150077) at 1/2000 dilution was used as the secondary antibody.

Immunocytochemistry/ Immunofluorescence - Anti-KMT3C / SMYD2 antibody [EPR24071-25] (AB259973)
  • ICC/IF

Supplier Data

Immunocytochemistry/ Immunofluorescence - Anti-KMT3C / SMYD2 antibody [EPR24071-25] (AB259973)

Immunofluorescent analysis of 4% Paraformaldehyde-fixed, 0.1% TritonX-100 permeabilized HepG2 cells labelling KMT3C/SMYD2 with ab259973 at 1/50 (11.82 μg/ml) dilution, followed by ab150077 Goat Anti-Rabbit IgG H&L (Alexa Fluor® 488) antibody at 1/1000 dilution (Green). Confocal image showing mainly cytoplasmic staining in HepG2 cells is observed.

ab195889 Anti-alpha Tubulin mouse monoclonal antibody - Microtubule Marker (Alexa Fluor® 594) was used to counterstain tubulin at 1/200 dilution (Red). The Nuclear counterstain was DAPI (Blue).

Secondary antibody only control : Secondary antibody is ab150077 Goat Anti-Rabbit IgG H&L (Alexa Fluor® 488) at 1/1000 dilution.

Flow Cytometry (Intracellular) - Anti-KMT3C / SMYD2 antibody [EPR24071-25] (AB259973)
  • Flow Cyt (Intra)

Supplier Data

Flow Cytometry (Intracellular) - Anti-KMT3C / SMYD2 antibody [EPR24071-25] (AB259973)

Flow cytometric analysis of 4% paraformaldehyde fixed 90% methanol permeabilized C6 (Rat glial tumor glial cell) cells labelling KMT3C/SMYD2 with ab259973 at 1/500 dilution (0.1μg)/ (Red) compared with a Rabbit monoclonal IgG (ab172730) (Black) isotype control and an unlabelled control (cells without incubation with primary antibody and secondary antibody) (Blue). A Goat anti rabbit IgG (Alexa Fluor® 488, ab150077) at 1/2000 dilution was used as the secondary antibody.

Immunocytochemistry/ Immunofluorescence - Anti-KMT3C / SMYD2 antibody [EPR24071-25] (AB259973)
  • ICC/IF

Supplier Data

Immunocytochemistry/ Immunofluorescence - Anti-KMT3C / SMYD2 antibody [EPR24071-25] (AB259973)

Immunofluorescent analysis of 4% Paraformaldehyde-fixed, 0.1% TritonX-100 permeabilized NIH/3T3 cells labelling KMT3C/SMYD2 with ab259973 at 1/50 (11.82 μg/ml) dilution, followed by ab150077 Goat Anti-Rabbit IgG H&L (Alexa Fluor® 488) antibody at 1/1000 dilution (Green). Confocal image showing mainly cytoplasmic staining in NIH/3T3 cells is observed.

ab195889 Anti-alpha Tubulin mouse monoclonal antibody - Microtubule Marker (Alexa Fluor® 594) was used to counterstain tubulin at 1/200 dilution (Red). The Nuclear counterstain was DAPI (Blue).

Secondary antibody only control : Secondary antibody is ab150077 Goat Anti-Rabbit IgG H&L (Alexa Fluor® 488) at 1/1000 dilution.

Flow Cytometry (Intracellular) - Anti-KMT3C / SMYD2 antibody [EPR24071-25] (AB259973)
  • Flow Cyt (Intra)

Supplier Data

Flow Cytometry (Intracellular) - Anti-KMT3C / SMYD2 antibody [EPR24071-25] (AB259973)

Flow cytometric analysis of 4% paraformaldehyde fixed 90% methanol permeabilized NIH/3T3 (Mouse embryonic fibroblast) cells labelling KMT3C/SMYD2 with ab259973 at 1/500 dilution (0.1μg)/ (Red) compared with a Rabbit monoclonal IgG (ab172730) (Black) isotype control and an unlabelled control (cells without incubation with primary antibody and secondary antibody) (Blue). A Goat anti rabbit IgG (Alexa Fluor® 488, ab150077) at 1/2000 dilution was used as the secondary antibody.

Immunocytochemistry/ Immunofluorescence - Anti-KMT3C / SMYD2 antibody [EPR24071-25] (AB259973)
  • ICC/IF

Supplier Data

Immunocytochemistry/ Immunofluorescence - Anti-KMT3C / SMYD2 antibody [EPR24071-25] (AB259973)

Immunofluorescent analysis of 4% Paraformaldehyde-fixed, 0.1% TritonX-100 permeabilized C6 cells labelling KMT3C/SMYD2 with ab259973 at 1/50 (11.82 μg/ml) dilution, followed by ab150077 Goat Anti-Rabbit IgG H&L (Alexa Fluor® 488) antibody at 1/1000 dilution (Green). Confocal image showing mainly cytoplasmic staining in C6 cells is observed.

ab195889 Anti-alpha Tubulin mouse monoclonal antibody - Microtubule Marker (Alexa Fluor® 594) was used to counterstain tubulin at 1/200 dilution (Red). The Nuclear counterstain was DAPI (Blue).

Secondary antibody only control : Secondary antibody is ab150077 Goat Anti-Rabbit IgG H&L (Alexa Fluor® 488) at 1/1000 dilution.

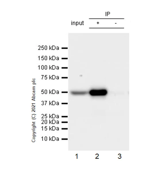
Immunoprecipitation - Anti-KMT3C / SMYD2 antibody [EPR24071-25] (AB259973)
  • IP

Supplier Data

Immunoprecipitation - Anti-KMT3C / SMYD2 antibody [EPR24071-25] (AB259973)

KMT3C/SMYD2 was immunoprecipitated from 0.35 mg NIH/3T3 (mouse embryonic fibroblast) whole cell lysate 10 ug with ab259973 at 1/30 dilution (2ug in 0.35mg lysates). Western blot was performed on the immunoprecipitate using ab259973 at 1/1000 dilution. VeriBlot for IP secondary antibody(HRP)(ab131366) was used at 1/5000 dilution.

Lane 1 : NIH/3T3 (mouse embryonic fibroblast) whole cell lysate 10 ug

Lane 2 : ab259973 IP in NIH/3T3 whole cell lysate

Lane 3 : Rabbit monoclonal IgG (ab172730) instead of ab259973 in NIH/3T3 whole cell lysate

Blocking and dilution buffer and concentration : 5% NFDM/TBST.

Exposure time : 15 seconds

All lanes:

Immunoprecipitation - Anti-KMT3C / SMYD2 antibody [EPR24071-25] (ab259973)

Predicted band size: 49 kDa

false

Western blot - Anti-KMT3C / SMYD2 antibody [EPR24071-25] (AB259973)
  • WB

Lab

Western blot - Anti-KMT3C / SMYD2 antibody [EPR24071-25] (AB259973)

Blocking and diluting buffer and concentration : 5% NFDM/TBST

The expression profile/ molecular weight observed is consistent with what has been described in the literature (PMID : 28588028)

Exposure time : 1 second

All lanes:

Western blot - Anti-KMT3C / SMYD2 antibody [EPR24071-25] (ab259973) at 1/1000 dilution

Lane 1:

Human brain tissue lysate at 20 µg

Lane 2:

Human heart tissue lysate at 20 µg

Secondary

All lanes:

Goat Anti-Rabbit IgG (HRP) with minimal cross-reactivity with human IgG at 1/2000 dilution

Predicted band size: 49 kDa

false

Western blot - Anti-KMT3C / SMYD2 antibody [EPR24071-25] (AB259973)
  • WB

Lab

Western blot - Anti-KMT3C / SMYD2 antibody [EPR24071-25] (AB259973)

Blocking and diluting buffer and concentration : 5% NFDM/TBST

The expression profile/ molecular weight observed is consistent with what has been described in the literature (PMID : 22241783)

Exposure time : 8 seconds

All lanes:

Western blot - Anti-KMT3C / SMYD2 antibody [EPR24071-25] (ab259973) at 1/1000 dilution

Lane 1:

Mouse brain tissue lysate at 20 µg

Lane 2:

Mouse heart tissue lysate at 20 µg

Lane 3:

Mouse spleen tissue lysate at 20 µg

Lane 4:

Rat brain tissue lysate at 20 µg

Lane 5:

Rat heart tissue lysate at 20 µg

Lane 6:

Rat kidney tissue lysate at 20 µg

Lane 7:

Rat spleen tissue lysate at 20 µg

Secondary

All lanes:

Western blot - Goat Anti-Rabbit IgG H&L (HRP) (<a href='/en-us/products/secondary-antibodies/goat-rabbit-igg-h-l-hrp-ab97051'>ab97051</a>) at 1/100000 dilution

Predicted band size: 49 kDa

false

Western blot - Anti-KMT3C / SMYD2 antibody [EPR24071-25] (AB259973)
  • WB

Lab

Western blot - Anti-KMT3C / SMYD2 antibody [EPR24071-25] (AB259973)

Blocking and diluting buffer and concentration : 5% NFDM/TBST

The expression profile/ molecular weight observed is consistent with what has been described in the literature (PMID : 29487338)

Exposure time : Lanes 1-4 : 37 seconds; Lanes 5-9 : 15 seconds.

All lanes:

Western blot - Anti-KMT3C / SMYD2 antibody [EPR24071-25] (ab259973) at 1/1000 dilution

Lane 1:

HeLa (human cervix adenocarcinoma epithelial cell) whole cell lysate at 20 µg

Lane 2:

HepG2 (human hepatocellular carcinoma epithelial cell) whole cell lysate at 20 µg

Lane 3:

U-2 OS (human bone osteosarcoma epithelial cell) whole cell lysate at 20 µg

Lane 4:

MCF7 (human breast adenocarcinoma epithelial cell) whole cell lysate at 20 µg

Lane 5:

SH-SY5Y (human neuroblastoma epithelial cell) whole cell lysate at 20 µg

Lane 6:

Jurkat (human T cell leukemia cell line from peripheral blood) whole cell lysate at 20 µg

Lane 7:

NIH/3T3 (mouse embryonic fibroblast) whole cell lysate at 20 µg

Lane 8:

C6 (rat glial tumor glial cell) whole cell lysate at 20 µg

Lane 9:

Neuro-2a (mouse neuroblastoma neuroblast) whole cell lysate at 20 µg

Secondary

All lanes:

Western blot - Goat Anti-Rabbit IgG H&L (HRP) (<a href='/en-us/products/secondary-antibodies/goat-rabbit-igg-h-l-hrp-ab97051'>ab97051</a>) at 1/100000 dilution

Predicted band size: 49 kDa

false

Key facts

Host species

Rabbit

Clonality

Monoclonal

Clone number

EPR24071-25

Isotype

IgG

Carrier free

No

Reacts with

Mouse, Rat, Human

Applications

ICC/IF, Flow Cyt (Intra), WB, IP

applications

Immunogen

The exact immunogen used to generate this antibody is proprietary information.

Reactivity data

{ "title": "Reactivity Data", "filters": { "stats": ["", "Species", "Dilution Info", "Notes"], "tabs": { "all-applications": {"fullname" : "All Applications", "shortname": "All Applications"}, "ICCIF" : {"fullname" : "Immunocytochemistry/ Immunofluorescence", "shortname":"ICC/IF"}, "IP" : {"fullname" : "Immunoprecipitation", "shortname":"IP"}, "WB" : {"fullname" : "Western blot", "shortname":"WB"}, "IHCP" : {"fullname" : "Immunohistochemistry (Formalin/PFA-fixed paraffin-embedded sections)", "shortname":"IHC-P"}, "FlowCytIntra" : {"fullname" : "Flow Cytometry (Intracellular)", "shortname":"Flow Cyt (Intra)"} }, "product-promise": { "all": "all", "testedAndGuaranteed": "tested", "guaranteed": "expected", "predicted": "predicted", "notRecommended": "not-recommended" } }, "values": { "Human": { "ICCIF-species-checked": "testedAndGuaranteed", "ICCIF-species-dilution-info": "1/50", "ICCIF-species-notes": "<p></p>", "IP-species-checked": "notRecommended", "IP-species-dilution-info": "1/30", "IP-species-notes": "<p></p>", "WB-species-checked": "testedAndGuaranteed", "WB-species-dilution-info": "1/1000", "WB-species-notes": "<p></p>", "IHCP-species-checked": "notRecommended", "IHCP-species-dilution-info": "", "IHCP-species-notes": "<p></p>", "FlowCytIntra-species-checked": "testedAndGuaranteed", "FlowCytIntra-species-dilution-info": "1/500", "FlowCytIntra-species-notes": "<p></p>" }, "Mouse": { "ICCIF-species-checked": "testedAndGuaranteed", "ICCIF-species-dilution-info": "1/50", "ICCIF-species-notes": "<p></p>", "IP-species-checked": "testedAndGuaranteed", "IP-species-dilution-info": "1/30", "IP-species-notes": "<p></p>", "WB-species-checked": "testedAndGuaranteed", "WB-species-dilution-info": "1/1000", "WB-species-notes": "<p></p>", "IHCP-species-checked": "notRecommended", "IHCP-species-dilution-info": "", "IHCP-species-notes": "<p></p>", "FlowCytIntra-species-checked": "testedAndGuaranteed", "FlowCytIntra-species-dilution-info": "1/500", "FlowCytIntra-species-notes": "<p></p>" }, "Rat": { "ICCIF-species-checked": "testedAndGuaranteed", "ICCIF-species-dilution-info": "1/50", "ICCIF-species-notes": "<p></p>", "IP-species-checked": "guaranteed", "IP-species-dilution-info": "", "IP-species-notes": "", "WB-species-checked": "testedAndGuaranteed", "WB-species-dilution-info": "1/1000", "WB-species-notes": "<p></p>", "IHCP-species-checked": "notRecommended", "IHCP-species-dilution-info": "", "IHCP-species-notes": "<p></p>", "FlowCytIntra-species-checked": "testedAndGuaranteed", "FlowCytIntra-species-dilution-info": "1/500", "FlowCytIntra-species-notes": "<p></p>" } } }

Product details

Patented technology
Our RabMAb® technology is a patented hybridoma-based technology for making rabbit monoclonal antibodies. For details on our patents, please refer to RabMAb® patents.

What are the advantages of a recombinant monoclonal antibody?
This product is a recombinant monoclonal antibody, which offers several advantages including:

  • - High batch-to-batch consistency and reproducibility
  • - Improved sensitivity and specificity
  • - Long-term security of supply
  • - Animal-free batch production

For more information, read more on recombinant antibodies.

Properties and storage information

Form
Liquid
Purification technique
Affinity purification Protein A
Storage buffer
pH: 7.2 - 7.4 Preservative: 0.01% Sodium azide Constituents: PBS, 40% Glycerol (glycerin, glycerine), 0.05% BSA
Shipped at conditions
Blue Ice
Appropriate short-term storage duration
1-2 weeks
Appropriate short-term storage conditions
+4°C
Appropriate long-term storage conditions
-20°C
Aliquoting information
Upon delivery aliquot
Storage information
Avoid freeze / thaw cycle

Supplementary information

This supplementary information is collated from multiple sources and compiled automatically.

KMT3C also known as SMYD2 is a lysine methyltransferase enzyme that possesses a unique SET domain responsible for catalyzing the methylation of lysine residues on histone and non-histone proteins. The enzyme has a molecular mass of approximately 52 kDa. SMYD2 shows expression in various tissues including heart skeletal muscle and also liver. It methylates histone H3 on lysine 36 (H3K36) and several non-histone proteins influencing gene expression regulation and protein function.
Biological function summary

KMT3C/SMYD2 plays important roles in gene regulation and cellular processes. It functions as a part of a protein complex affecting transcriptional activation and repression via chromatin remodeling. The methylation activity of SMYD2 extends to p53 an important tumor suppressor linking it to the regulation of cell cycle and apoptosis. This enzymatic activity impacts cellular growth and differentiation interfacing with the larger network of cellular gene expression control and protein function modulation.

Pathways

Research shows KMT3C/SMYD2 being active in the p53 and AKT signaling pathways fundamental to cell survival proliferation and apoptosis. In the context of the p53 pathway SMYD2 methylates p53 which may impact its tumor suppressor functions. SMYD2 also interacts with proteins like RB1 and HDAC1 integrating into broader cell regulatory networks. These interactions facilitate SMYD2's influence on pathways that govern important cellular processes such as growth and DNA damage response.

Mutations and overexpression of KMT3C/SMYD2 associate with various cancers including breast and esophageal cancer. In the case of breast cancer SMYD2 modulates p53 and RB1 activity contributing to tumorigenesis. Furthermore its interaction with HDAC1 connects it with epigenetic dysregulation seen in cancer progression. Altered activity or expression of SMYD2 disrupts normal cellular function providing a link between its biological activity and oncogenic processes.

Product protocols

For this product, it's our understanding that no specific protocols are required. You can visit:

Target data

Protein-lysine N-methyltransferase that methylates both histones and non-histone proteins, including p53/TP53 and RB1. Specifically trimethylates histone H3 'Lys-4' (H3K4me3) in vivo. The activity requires interaction with HSP90alpha. Shows even higher methyltransferase activity on p53/TP53. Monomethylates 'Lys-370' of p53/TP53, leading to decreased DNA-binding activity and subsequent transcriptional regulation activity of p53/TP53. Monomethylates RB1 at 'Lys-860'.
See full target information SMYD2

Publications (2)

Recent publications for all applications. Explore the full list and refine your search

Translational oncology 36:101731 PubMed37478669

2023

Long noncoding RNA DLEU1 promotes proliferation and glycolysis of gastric cancer cells via APOC1 upregulation by recruiting SMYD2 to induce trimethylation of H3K4 modification.

Applications

Unspecified application

Species

Unspecified reactive species

Haitao Xu,Zhichang Ba,Chunxun Liu,Xuefeng Yu

Histology and histopathology 39:263-277 PubMed37232506

2023

Epigenetic upregulation of MNAT1 by SMYD2 is linked to PI3K/AKT activation and tumorigenesis of pancreatic adenocarcinoma.

Applications

Unspecified application

Species

Unspecified reactive species

Zhen Xu,Yan Liu,Zhi Pan,Lei Qin
View all publications

Product promise

We are committed to supporting your work with high-quality reagents, and we're here for you every step of the way. In the unlikely event that one of our products does not perform as expected, you're protected by our Product Promise.
For full details, please see our Terms & Conditions

Please note: All products are 'FOR RESEARCH USE ONLY. NOT FOR USE IN DIAGNOSTIC OR THERAPEUTIC PROCEDURES'.

For licensing inquiries, please contact partnerships@abcam.com