JavaScript is disabled in your browser. Please enable JavaScript to view this website.
AB239358

Anti-KMT4 / Dot1L antibody [EPR22936-138]

  • BOND RX™ Validated
  • RabMAb
  • Recombinant
  • Advanced Validation
  • What is this?

Be the first to review this product! Submit a review

|

(3 Publications)

Rabbit Recombinant Monoclonal KMT4 / Dot1L antibody. Suitable for IHC-P, WB, ChIC/CUT&RUN-seq and reacts with Mouse, Rat, Human samples. Cited in 3 publications.

View Alternative Names

KIAA1814, KMT4, DOT1L, DOT1-like protein, Disruptor of telomeric silencing 1-like histone lysine methyltransferase, Histone H3-K79 methyltransferase, Lysine N-methyltransferase 4, H3-K79-HMTase

8 Images
Immunohistochemistry (Formalin/PFA-fixed paraffin-embedded sections) - Anti-KMT4 / Dot1L antibody [EPR22936-138] (AB239358)
  • IHC-P

Unknown

Immunohistochemistry (Formalin/PFA-fixed paraffin-embedded sections) - Anti-KMT4 / Dot1L antibody [EPR22936-138] (AB239358)

Immunohistochemical analysis of paraffin-embedded Human testis tissue labeling KMT4 / Dot1L with ab239358 at 1/250 dilution (2.78 ug/ml) followed by a ready to use Rabbit specific IHC polymer detection kit HRP/DAB (ab209101). Nuclear staining on spermatocytes of human testis. The section was incubated with ab239358 for 30 mins at room temperature. The immunostaining was performed on a Leica Biosystems BOND® RX instrument. Counterstained with Hematoxylin.

Secondary antibody only control : Secondary antibody is a ready to use Rabbit specific IHC polymer detection kit HRP/DAB (ab209101).

Heat mediated antigen retrieval with citrate buffer (pH 6.0, epitope retrieval solution 1) for 20mins

Immunohistochemistry (Formalin/PFA-fixed paraffin-embedded sections) - Anti-KMT4 / Dot1L antibody [EPR22936-138] (AB239358)
  • IHC-P

Unknown

Immunohistochemistry (Formalin/PFA-fixed paraffin-embedded sections) - Anti-KMT4 / Dot1L antibody [EPR22936-138] (AB239358)

Immunohistochemical analysis of paraffin-embedded Rat testis tissue labeling KMT4 / Dot1L with ab239358 at 1/4000 dilution (0.17 ug/ml) followed by a ready to use Rabbit specific IHC polymer detection kit HRP/DAB (ab209101). Nuclear staining on spermatocytes of rat testis. The section was incubated with ab239358 for 30 mins at room temperature. The immunostaining was performed on a Leica Biosystems BOND® RX instrument. Counterstained with Hematoxylin.

Secondary antibody only control : Secondary antibody is a ready to use Rabbit specific IHC polymer detection kit HRP/DAB (ab209101).

Heat mediated antigen retrieval with citrate buffer (pH 6.0, epitope retrieval solution 1) for 20mins

Immunohistochemistry (Formalin/PFA-fixed paraffin-embedded sections) - Anti-KMT4 / Dot1L antibody [EPR22936-138] (AB239358)
  • IHC-P

Unknown

Immunohistochemistry (Formalin/PFA-fixed paraffin-embedded sections) - Anti-KMT4 / Dot1L antibody [EPR22936-138] (AB239358)

Immunohistochemical analysis of paraffin-embedded Mouse testis tissue labeling KMT4 / Dot1L with ab239358 at 1/4000 dilution (0.17 ug/ml) followed by a ready to use Rabbit specific IHC polymer detection kit HRP/DAB (ab209101). Nuclear staining on spermatocytes of mouse testis. The section was incubated with ab239358 for 30 mins at room temperature. The immunostaining was performed on a Leica Biosystems BOND® RX instrument. Counterstained with Hematoxylin.

Secondary antibody only control : Secondary antibody is a ready to use Rabbit specific IHC polymer detection kit HRP/DAB (ab209101).

Heat mediated antigen retrieval with citrate buffer (pH 6.0, epitope retrieval solution 1) for 20mins

Western blot - Anti-KMT4 / Dot1L antibody [EPR22936-138] (AB239358)
  • WB

Lab

Western blot - Anti-KMT4 / Dot1L antibody [EPR22936-138] (AB239358)

Blocking and diluting buffer and concentration : 5% NFDM/TBST.

The molecular weight observed is consistent with what has been described in the literature (PMID : 26199140).

Fresh lysates are recommended on WB test.

Exposure time : 26 seconds.

All lanes:

Western blot - Anti-KMT4 / Dot1L antibody [EPR22936-138] (ab239358) at 1/1000 dilution

Lane 1:

HeLa (human cervix adenocarcinoma epithelial cell), whole cell lysate at 20 µg

Lane 2:

293T (human embryonic kidney epithelial cell), whole cell lysate at 20 µg

Lane 3:

K562 (human chronic myelogenous leukemia lymphoblast), whole cell lysate at 20 µg

Lane 4:

RAW264.7 (mouse Abelson murine leukemia virus-induced tumor macrophage), whole cell lysate at 20 µg

Lane 5:

HCT116 (human colorectal carcinoma epithelial cell), whole cell lysate at 20 µg

Lane 6:

NIH/3T3 (mouse embryonic fibroblast), whole cell lysate at 20 µg

Secondary

All lanes:

Western blot - Goat Anti-Rabbit IgG H&L (HRP) (<a href='/en-us/products/secondary-antibodies/goat-rabbit-igg-h-l-hrp-ab97051'>ab97051</a>) at 1/20000 dilution

Predicted band size: 185 kDa

Observed band size: 185 kDa

false

ChIC/CUT&RUN sequencing - Anti-KMT4 / Dot1L antibody [EPR22936-138] (AB239358)
  • ChIC/CUT&RUN-seq

Lab

ChIC/CUT&RUN sequencing - Anti-KMT4 / Dot1L antibody [EPR22936-138] (AB239358)

ChIC/CUT&RUN was performed using a pAG-MNase at a final concentration of 700 ng/mL, 2.5 x 105 293T(Human embryonic kidney epithelial cell) cells and 5 µg of ab239358 [EPR22936-138]. The resulting DNA was sequenced on the Illumina NovaSeq 6000 to a depth of 10 million reads. The negative IgG control ab172730 is also shown. The University of Geneva owns patents relevant to ChIC (Chromatin Immuno-Cleavage) methods.

ChIC/CUT&RUN sequencing - Anti-KMT4 / Dot1L antibody [EPR22936-138] (AB239358)
  • ChIC/CUT&RUN-seq

Lab

ChIC/CUT&RUN sequencing - Anti-KMT4 / Dot1L antibody [EPR22936-138] (AB239358)

ChIC/CUT&RUN was performed using a pAG-MNase at a final concentration of 700 ng/mL, 2.5 x 105 293T(Human embryonic kidney epithelial cell) cells and 5 µg of ab239358 [EPR22936-138]. The resulting DNA was sequenced on the Illumina NovaSeq 6000 to a depth of 10 million reads. The negative IgG control ab172730 is also shown. The University of Geneva owns patents relevant to ChIC (Chromatin Immuno-Cleavage) methods.

ChIC/CUT&RUN sequencing - Anti-KMT4 / Dot1L antibody [EPR22936-138] (AB239358)
  • ChIC/CUT&RUN-seq

Lab

ChIC/CUT&RUN sequencing - Anti-KMT4 / Dot1L antibody [EPR22936-138] (AB239358)

ChIC/CUT&RUN was performed using a pAG-MNase at a final concentration of 700 ng/mL, 2.5 x 105 293T(Human embryonic kidney epithelial cell) cells and 5 µg of ab239358 [EPR22936-138]. The resulting DNA was sequenced on the Illumina NovaSeq 6000 to a depth of 10 million reads. The negative IgG control ab172730 is also shown. The University of Geneva owns patents relevant to ChIC (Chromatin Immuno-Cleavage) methods.

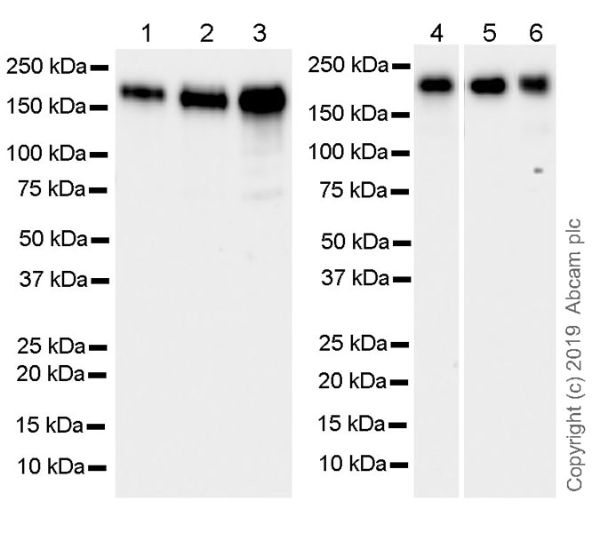
Western blot - Anti-KMT4 / Dot1L antibody [EPR22936-138] (AB239358)
  • WB

Lab

Western blot - Anti-KMT4 / Dot1L antibody [EPR22936-138] (AB239358)

Blocking and diluting buffer and concentration : 5% NFDM/TBST.

The molecular weight observed is consistent with what has been described in the literature (PMID : 26199140).

Exposure time : 3 minutes.

All lanes:

Western blot - Anti-KMT4 / Dot1L antibody [EPR22936-138] (ab239358) at 1/1000 dilution

All lanes:

C6 (rat glial tumor glial cell), whole cell lysate at 10 µg

Secondary

All lanes:

Western blot - Goat Anti-Rabbit IgG H&L (HRP) (<a href='/en-us/products/secondary-antibodies/goat-rabbit-igg-h-l-hrp-ab97051'>ab97051</a>) at 1/20000 dilution

Predicted band size: 185 kDa

Observed band size: 185 kDa

false

  • Carrier free

    Anti-KMT4 / Dot1L antibody [EPR22936-138] - BSA and Azide free

  • Carrier free

    Anti-KMT4/Dot1L antibody [EPR22936-138] - BSA and Azide free (Detector)

Key facts

Host species

Rabbit

Clonality

Monoclonal

Clone number

EPR22936-138

Isotype

IgG

Carrier free

No

Reacts with

Mouse, Rat, Human

Applications

WB, IHC-P, ChIC/CUT&RUN-seq

applications

Immunogen

The exact immunogen used to generate this antibody is proprietary information.

Specificity

In-house IHC data gave positive staining only on testis.

Reactivity data

{ "title": "Reactivity Data", "filters": { "stats": ["", "Species", "Dilution Info", "Notes"], "tabs": { "all-applications": {"fullname" : "All Applications", "shortname": "All Applications"}, "IHCP" : {"fullname" : "Immunohistochemistry (Formalin/PFA-fixed paraffin-embedded sections)", "shortname":"IHC-P"}, "IP" : {"fullname" : "Immunoprecipitation", "shortname":"IP"}, "ChIP" : {"fullname" : "ChIP", "shortname":"ChIP"}, "FlowCyt" : {"fullname" : "Flow Cytometry", "shortname":"Flow Cyt"}, "WB" : {"fullname" : "Western blot", "shortname":"WB"}, "ICCIF" : {"fullname" : "Immunocytochemistry/ Immunofluorescence", "shortname":"ICC/IF"}, "ChICCUTRUNseq" : {"fullname" : "ChIC/CUT&RUN sequencing", "shortname":"ChIC/CUT&RUN-seq"} }, "product-promise": { "all": "all", "testedAndGuaranteed": "tested", "guaranteed": "expected", "predicted": "predicted", "notRecommended": "not-recommended" } }, "values": { "Human": { "IHCP-species-checked": "testedAndGuaranteed", "IHCP-species-dilution-info": "1/200", "IHCP-species-notes": "<p>In-house IHC data gave positive staining only on testis.</p><p>1/4000 for mouse and rat; 1/200 for human.</p>", "IP-species-checked": "notRecommended", "IP-species-dilution-info": "", "IP-species-notes": "<p></p>", "ChIP-species-checked": "notRecommended", "ChIP-species-dilution-info": "", "ChIP-species-notes": "<p></p>", "FlowCyt-species-checked": "notRecommended", "FlowCyt-species-dilution-info": "", "FlowCyt-species-notes": "<p></p>", "WB-species-checked": "testedAndGuaranteed", "WB-species-dilution-info": "1/1000", "WB-species-notes": "<p></p>", "ICCIF-species-checked": "notRecommended", "ICCIF-species-dilution-info": "", "ICCIF-species-notes": "<p></p>", "ChICCUTRUNseq-species-checked": "testedAndGuaranteed", "ChICCUTRUNseq-species-dilution-info": "5 µg", "ChICCUTRUNseq-species-notes": "<p></p>" }, "Mouse": { "IHCP-species-checked": "testedAndGuaranteed", "IHCP-species-dilution-info": "1/200", "IHCP-species-notes": "<p>In-house IHC data gave positive staining only on testis.</p><p>1/4000 for mouse and rat; 1/200 for human.</p>", "IP-species-checked": "notRecommended", "IP-species-dilution-info": "", "IP-species-notes": "", "ChIP-species-checked": "notRecommended", "ChIP-species-dilution-info": "", "ChIP-species-notes": "", "FlowCyt-species-checked": "notRecommended", "FlowCyt-species-dilution-info": "", "FlowCyt-species-notes": "", "WB-species-checked": "testedAndGuaranteed", "WB-species-dilution-info": "1/1000", "WB-species-notes": "<p></p>", "ICCIF-species-checked": "notRecommended", "ICCIF-species-dilution-info": "", "ICCIF-species-notes": "", "ChICCUTRUNseq-species-checked": "guaranteed", "ChICCUTRUNseq-species-dilution-info": "", "ChICCUTRUNseq-species-notes": "" }, "Rat": { "IHCP-species-checked": "testedAndGuaranteed", "IHCP-species-dilution-info": "1/200", "IHCP-species-notes": "<p>In-house IHC data gave positive staining only on testis.</p><p>1/4000 for mouse and rat; 1/200 for human.</p>", "IP-species-checked": "notRecommended", "IP-species-dilution-info": "", "IP-species-notes": "", "ChIP-species-checked": "notRecommended", "ChIP-species-dilution-info": "", "ChIP-species-notes": "", "FlowCyt-species-checked": "notRecommended", "FlowCyt-species-dilution-info": "", "FlowCyt-species-notes": "", "WB-species-checked": "testedAndGuaranteed", "WB-species-dilution-info": "1/1000", "WB-species-notes": "<p></p>", "ICCIF-species-checked": "notRecommended", "ICCIF-species-dilution-info": "", "ICCIF-species-notes": "", "ChICCUTRUNseq-species-checked": "guaranteed", "ChICCUTRUNseq-species-dilution-info": "", "ChICCUTRUNseq-species-notes": "" } } }

Product details

Patented technology
Our RabMAb® technology is a patented hybridoma-based technology for making rabbit monoclonal antibodies. For details on our patents, please refer to RabMAb® patents.

What are the advantages of a recombinant monoclonal antibody?
This product is a recombinant monoclonal antibody, which offers several advantages including:

  • - High batch-to-batch consistency and reproducibility
  • - Improved sensitivity and specificity
  • - Long-term security of supply
  • - Animal-free batch production

For more information, read more on recombinant antibodies.

Properties and storage information

Form
Liquid
Purification technique
Affinity purification Protein A
Storage buffer
pH: 7.2 - 7.4 Preservative: 0.01% Sodium azide Constituents: PBS, 40% Glycerol (glycerin, glycerine), 0.05% BSA
Shipped at conditions
Blue Ice
Appropriate short-term storage duration
1-2 weeks
Appropriate short-term storage conditions
+4°C
Appropriate long-term storage conditions
-20°C
Aliquoting information
Upon delivery aliquot
Storage information
Avoid freeze / thaw cycle

Supplementary information

This supplementary information is collated from multiple sources and compiled automatically.

KMT4 also known as Dot1L is a histone methyltransferase that catalyzes the methylation of histone H3 at lysine 79. This protein plays a significant role in chromatin remodeling and gene expression regulation. Dot1L has a molecular mass of approximately 171 kDa. It expresses widely in various tissues with high presence in the heart brain and testes indicating its importance in diverse cellular processes.
Biological function summary

Dot1L functions as a critical enzyme influencing transcriptional activation and repression. It does not require a specific formed complex to execute its activity unlike many other methyltransferases that work as part of larger protein complexes. Dot1L interacts directly with nucleosomes and influences gene expression by modifying chromatin structure. This regulation of gene expression is important for the coordination of normal developmental processes and cellular proliferation.

Pathways

Dot1L impacts epigenetic regulation and is integral to the Wnt signaling pathway. This pathway is essential for processes like embryonic development and cell differentiation. Dot1L also plays an essential role in DNA damage response and repair pathways. It collaborates with other proteins like BRG1 a chromatin re-modeling factor to initiate specific genomic responses related to transcriptional control genome stability and repair mechanisms.

Dot1L has been linked to mixed lineage leukemia (MLL) and other types of hematological malignancies. The aberrant activity of Dot1L can disrupt normal gene regulatory mechanisms leading to uncontrolled cell proliferation and cancer. Dot1L interacts with MLL fusion proteins that result from chromosomal translocations which are often present in leukemia. Abnormal Dot1L activity is also associated with the progression of other cancers making it a potential therapeutic target in oncology.

Product protocols

For this product, it's our understanding that no specific protocols are required. You can visit:

Target data

Histone methyltransferase that methylates 'Lys-79' of histone H3 (PubMed : 12123582, PubMed : 38503750, PubMed : 38129415). Nucleosomes are preferred as substrate compared to free histones (PubMed : 12123582, PubMed : 38503750). Binds to DNA (PubMed : 12628190, PubMed : 38503750).
See full target information DOT1L

Publications (3)

Recent publications for all applications. Explore the full list and refine your search

Technology in cancer research & treatment 22:15330338231167249 PubMed37365941

2023

DOT1L Epigenetically Regulates Autophagy and Mitochondria Fusion in Cell Lines of Renal Cancer.

Applications

Unspecified application

Species

Unspecified reactive species

Yanguang Hou,Jiachen Liu,Shiyu Huang,Lei Wang,Juncheng Hu,Xiuheng Liu

American journal of cancer research 13:276-292 PubMed36777512

2023

DOT1L promotes cell proliferation and invasion by epigenetically regulating STAT5B in renal cell carcinoma.

Applications

Unspecified application

Species

Unspecified reactive species

Yanguang Hou,Shiyu Huang,Jiachen Liu,Lei Wang,Yan Yuan,Hao Liu,Xiaodong Weng,Zhiyuan Chen,Juncheng Hu,Xiuheng Liu

The FEBS journal 290:502-520 PubMed36017623

2022

DOT1L regulates MTDH-mediated angiogenesis in triple-negative breast cancer: intermediacy of NF-κB-HIF1α axis.

Applications

Unspecified application

Species

Unspecified reactive species

Praveen Kumar Neeli,Shashikanta Sahoo,Santosh Karnewar,Gajalakshmi Singuru,Sriravali Pulipaka,Sandhya Annamaneni,Srigiridhar Kotamraju
View all publications

Product promise

We are committed to supporting your work with high-quality reagents, and we're here for you every step of the way. In the unlikely event that one of our products does not perform as expected, you're protected by our Product Promise.
For full details, please see our Terms & Conditions

Please note: All products are 'FOR RESEARCH USE ONLY. NOT FOR USE IN DIAGNOSTIC OR THERAPEUTIC PROCEDURES'.

For licensing inquiries, please contact partnerships@abcam.com