JavaScript is disabled in your browser. Please enable JavaScript to view this website.
AB264562

Anti-KMT4 / Dot1L antibody [EPR22936-138] - BSA and Azide free

Be the first to review this product! Submit a review

|

(0 Publication)

Rabbit Recombinant Monoclonal KMT4 / Dot1L antibody. Carrier free. Suitable for IHC-P, WB and reacts with Mouse, Human, Rat samples.

View Alternative Names

KIAA1814, KMT4, DOT1L, DOT1-like protein, Histone H3-K79 methyltransferase, Lysine N-methyltransferase 4, H3-K79-HMTase

3 Images
Immunohistochemistry (Formalin/PFA-fixed paraffin-embedded sections) - Anti-KMT4 / Dot1L antibody [EPR22936-138] - BSA and Azide free (AB264562)
  • IHC-P

Unknown

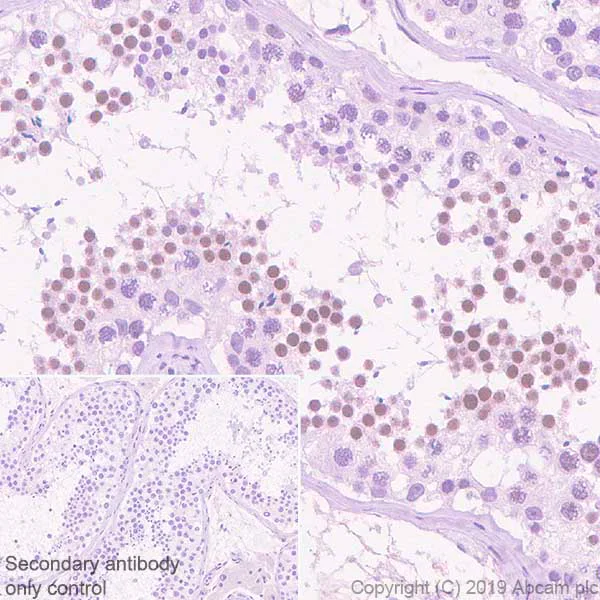
Immunohistochemistry (Formalin/PFA-fixed paraffin-embedded sections) - Anti-KMT4 / Dot1L antibody [EPR22936-138] - BSA and Azide free (AB264562)

Immunohistochemical analysis of paraffin-embedded Human testis tissue labeling KMT4 / Dot1L with ab239358 at 1/250 dilution (2.78 ug/ml) followed by a ready to use Rabbit specific IHC polymer detection kit HRP/DAB (ab209101). Nuclear staining on spermatocytes of human testis. The section was incubated with ab239358 for 30 mins at room temperature. The immunostaining was performed on a Leica Biosystems BOND® RX instrument. Counterstained with Hematoxylin.

Secondary antibody only control : Secondary antibody is a ready to use Rabbit specific IHC polymer detection kit HRP/DAB (ab209101).

Heat mediated antigen retrieval with citrate buffer (pH 6.0, epitope retrieval solution 1) for 20mins

This data was developed using the same antibody clone in a different buffer formulation containing PBS, BSA, glycerol, and sodium azide (ab239358).

Immunohistochemistry (Formalin/PFA-fixed paraffin-embedded sections) - Anti-KMT4 / Dot1L antibody [EPR22936-138] - BSA and Azide free (AB264562)
  • IHC-P

Unknown

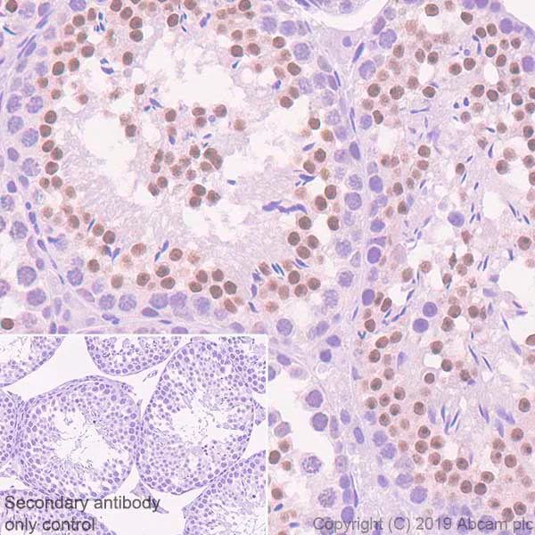
Immunohistochemistry (Formalin/PFA-fixed paraffin-embedded sections) - Anti-KMT4 / Dot1L antibody [EPR22936-138] - BSA and Azide free (AB264562)

Immunohistochemical analysis of paraffin-embedded Mouse testis tissue labeling KMT4 / Dot1L with ab239358 at 1/4000 dilution (0.17 ug/ml) followed by a ready to use Rabbit specific IHC polymer detection kit HRP/DAB (ab209101). Nuclear staining on spermatocytes of mouse testis. The section was incubated with ab239358 for 30 mins at room temperature. The immunostaining was performed on a Leica Biosystems BOND® RX instrument. Counterstained with Hematoxylin.

Secondary antibody only control : Secondary antibody is a ready to use Rabbit specific IHC polymer detection kit HRP/DAB (ab209101).

Heat mediated antigen retrieval with citrate buffer (pH 6.0, epitope retrieval solution 1) for 20mins

This data was developed using the same antibody clone in a different buffer formulation containing PBS, BSA, glycerol, and sodium azide (ab239358).

Immunohistochemistry (Formalin/PFA-fixed paraffin-embedded sections) - Anti-KMT4 / Dot1L antibody [EPR22936-138] - BSA and Azide free (AB264562)
  • IHC-P

Unknown

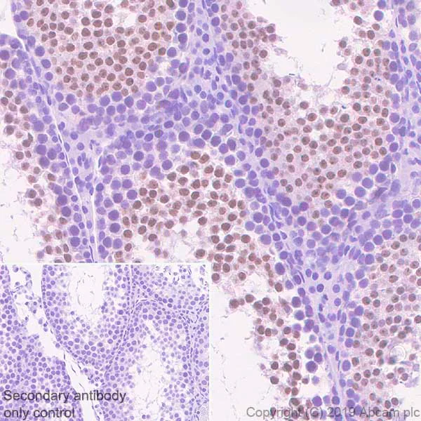
Immunohistochemistry (Formalin/PFA-fixed paraffin-embedded sections) - Anti-KMT4 / Dot1L antibody [EPR22936-138] - BSA and Azide free (AB264562)

Immunohistochemical analysis of paraffin-embedded Rat testis tissue labeling KMT4 / Dot1L with ab239358 at 1/4000 dilution (0.17 ug/ml) followed by a ready to use Rabbit specific IHC polymer detection kit HRP/DAB (ab209101). Nuclear staining on spermatocytes of rat testis. The section was incubated with ab239358 for 30 mins at room temperature. The immunostaining was performed on a Leica Biosystems BOND® RX instrument. Counterstained with Hematoxylin.

Secondary antibody only control : Secondary antibody is a ready to use Rabbit specific IHC polymer detection kit HRP/DAB (ab209101).

Heat mediated antigen retrieval with citrate buffer (pH 6.0, epitope retrieval solution 1) for 20mins

This data was developed using the same antibody clone in a different buffer formulation containing PBS, BSA, glycerol, and sodium azide (ab239358).

Key facts

Host species

Rabbit

Clonality

Monoclonal

Clone number

EPR22936-138

Isotype

IgG

Carrier free

Yes

Reacts with

Rat, Human, Mouse

Applications

IHC-P, WB

applications

Immunogen

The exact immunogen used to generate this antibody is proprietary information.

Specificity

In-house IHC data gave positive staining only on testis.

Reactivity data

{ "title": "Reactivity Data", "filters": { "stats": ["", "Species", "Dilution Info", "Notes"], "tabs": { "all-applications": {"fullname" : "All Applications", "shortname": "All Applications"}, "IHCP" : {"fullname" : "Immunohistochemistry (Formalin/PFA-fixed paraffin-embedded sections)", "shortname":"IHC-P"}, "IP" : {"fullname" : "Immunoprecipitation", "shortname":"IP"}, "ChIP" : {"fullname" : "ChIP", "shortname":"ChIP"}, "FlowCyt" : {"fullname" : "Flow Cytometry", "shortname":"Flow Cyt"}, "WB" : {"fullname" : "Western blot", "shortname":"WB"}, "ICCIF" : {"fullname" : "Immunocytochemistry/ Immunofluorescence", "shortname":"ICC/IF"} }, "product-promise": { "all": "all", "testedAndGuaranteed": "tested", "guaranteed": "expected", "predicted": "predicted", "notRecommended": "not-recommended" } }, "values": { "Human": { "IHCP-species-checked": "testedAndGuaranteed", "IHCP-species-dilution-info": "", "IHCP-species-notes": "<p>In-house IHC data gave positive staining only on testis.</p>", "IP-species-checked": "notRecommended", "IP-species-dilution-info": "", "IP-species-notes": "<p></p>", "ChIP-species-checked": "notRecommended", "ChIP-species-dilution-info": "", "ChIP-species-notes": "<p></p>", "FlowCyt-species-checked": "notRecommended", "FlowCyt-species-dilution-info": "", "FlowCyt-species-notes": "<p></p>", "WB-species-checked": "testedAndGuaranteed", "WB-species-dilution-info": "", "WB-species-notes": "<p></p>", "ICCIF-species-checked": "notRecommended", "ICCIF-species-dilution-info": "", "ICCIF-species-notes": "<p></p>" }, "Mouse": { "IHCP-species-checked": "testedAndGuaranteed", "IHCP-species-dilution-info": "", "IHCP-species-notes": "<p>In-house IHC data gave positive staining only on testis.</p>", "IP-species-checked": "notRecommended", "IP-species-dilution-info": "", "IP-species-notes": "<p></p>", "ChIP-species-checked": "notRecommended", "ChIP-species-dilution-info": "", "ChIP-species-notes": "<p></p>", "FlowCyt-species-checked": "notRecommended", "FlowCyt-species-dilution-info": "", "FlowCyt-species-notes": "<p></p>", "WB-species-checked": "testedAndGuaranteed", "WB-species-dilution-info": "", "WB-species-notes": "<p></p>", "ICCIF-species-checked": "notRecommended", "ICCIF-species-dilution-info": "", "ICCIF-species-notes": "<p></p>" }, "Rat": { "IHCP-species-checked": "testedAndGuaranteed", "IHCP-species-dilution-info": "", "IHCP-species-notes": "<p>In-house IHC data gave positive staining only on testis.</p>", "IP-species-checked": "notRecommended", "IP-species-dilution-info": "", "IP-species-notes": "<p></p>", "ChIP-species-checked": "notRecommended", "ChIP-species-dilution-info": "", "ChIP-species-notes": "<p></p>", "FlowCyt-species-checked": "notRecommended", "FlowCyt-species-dilution-info": "", "FlowCyt-species-notes": "<p></p>", "WB-species-checked": "testedAndGuaranteed", "WB-species-dilution-info": "", "WB-species-notes": "<p></p>", "ICCIF-species-checked": "notRecommended", "ICCIF-species-dilution-info": "", "ICCIF-species-notes": "<p></p>" } } }

Product details

ab264562 is the carrier-free version of ab239358.

Patented technology
Our RabMAb® technology is a patented hybridoma-based technology for making rabbit monoclonal antibodies. For details on our patents, please refer to RabMAb® patents.

What are the advantages of a recombinant monoclonal antibody?
This product is a recombinant monoclonal antibody, which offers several advantages including:

  • - High batch-to-batch consistency and reproducibility
  • - Improved sensitivity and specificity
  • - Long-term security of supply
  • - Animal-free batch production

For more information, read more on recombinant antibodies.

Conjugation ready
Our carrier-free antibodies are typically supplied in a PBS-only formulation, purified and free of BSA, sodium azide and glycerol. This conjugation-ready format is designed for use with fluorochromes, metal isotopes, oligonucleotides, and enzymes, which makes them ideal for antibody labelling, functional and cell-based assays, flow-based assays (e.g. mass cytometry) and Multiplex Imaging applications.

Use our conjugation kits for antibody conjugates that are ready-to-use in as little as 20 minutes with 1 minute hands-on-time and 100% antibody recovery: available for fluorescent dyes, HRP, biotin and gold.

Compatibility
This product is compatible with the Maxpar® Antibody Labeling Kit from Fluidigm, without the need for antibody preparation. Maxpar® is a trademark of Fluidigm Canada Inc.

Properties and storage information

Form
Liquid
Purification technique
Affinity purification Protein A
Storage buffer
pH: 7.2 - 7.4 Constituents: PBS
Shipped at conditions
Blue Ice
Appropriate short-term storage conditions
+4°C
Appropriate long-term storage conditions
+4°C
Storage information
Do Not Freeze

Supplementary information

This supplementary information is collated from multiple sources and compiled automatically.

KMT4 also known as Dot1L is a histone methyltransferase that catalyzes the methylation of histone H3 at lysine 79. This protein plays a significant role in chromatin remodeling and gene expression regulation. Dot1L has a molecular mass of approximately 171 kDa. It expresses widely in various tissues with high presence in the heart brain and testes indicating its importance in diverse cellular processes.
Biological function summary

Dot1L functions as a critical enzyme influencing transcriptional activation and repression. It does not require a specific formed complex to execute its activity unlike many other methyltransferases that work as part of larger protein complexes. Dot1L interacts directly with nucleosomes and influences gene expression by modifying chromatin structure. This regulation of gene expression is important for the coordination of normal developmental processes and cellular proliferation.

Pathways

Dot1L impacts epigenetic regulation and is integral to the Wnt signaling pathway. This pathway is essential for processes like embryonic development and cell differentiation. Dot1L also plays an essential role in DNA damage response and repair pathways. It collaborates with other proteins like BRG1 a chromatin re-modeling factor to initiate specific genomic responses related to transcriptional control genome stability and repair mechanisms.

Dot1L has been linked to mixed lineage leukemia (MLL) and other types of hematological malignancies. The aberrant activity of Dot1L can disrupt normal gene regulatory mechanisms leading to uncontrolled cell proliferation and cancer. Dot1L interacts with MLL fusion proteins that result from chromosomal translocations which are often present in leukemia. Abnormal Dot1L activity is also associated with the progression of other cancers making it a potential therapeutic target in oncology.

Product protocols

For this product, it's our understanding that no specific protocols are required. You can visit:

Target data

Histone methyltransferase. Methylates 'Lys-79' of histone H3. Nucleosomes are preferred as substrate compared to free histones (PubMed : 12123582). Binds to DNA (PubMed : 12628190).
See full target information DOT1L

Product promise

We are committed to supporting your work with high-quality reagents, and we're here for you every step of the way. In the unlikely event that one of our products does not perform as expected, you're protected by our Product Promise.
For full details, please see our Terms & Conditions

Please note: All products are 'FOR RESEARCH USE ONLY. NOT FOR USE IN DIAGNOSTIC OR THERAPEUTIC PROCEDURES'.

For licensing inquiries, please contact partnerships@abcam.com