JavaScript is disabled in your browser. Please enable JavaScript to view this website.
AB283294

Anti-KMT6/EZH2 antibody [11/EZH2] - BSA and Azide free

Be the first to review this product! Submit a review

|

(0 Publication)

Mouse Recombinant Monoclonal KMT6 / EZH2 antibody. Carrier free. Suitable for WB, IHC-P and reacts with Human, Mouse, Rat samples.

View Alternative Names

KMT6, EZH2, Histone-lysine N-methyltransferase EZH2, ENX-1, Enhancer of zeste homolog 2, Lysine N-methyltransferase 6

4 Images
Immunohistochemistry (Formalin/PFA-fixed paraffin-embedded sections) - Anti-KMT6/EZH2 antibody [11/EZH2] - BSA and Azide free (AB283294)
  • IHC-P

Supplier Data

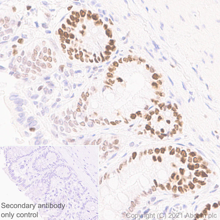
Immunohistochemistry (Formalin/PFA-fixed paraffin-embedded sections) - Anti-KMT6/EZH2 antibody [11/EZH2] - BSA and Azide free (AB283294)

This data was developed using ab283270 the same antibody clone in a different buffer formulation.

Immunohistochemical analysis of paraffin-embedded human ovarian cancer tissue labeling EZH2 with ab283270 at 1/100 dilution (10.9 ug/ml) followed by a ready to use LeicaDS9800 (Bond™ Polymer Refine Detection). Nuclear staining in human ovarian cancer. The section was incubated with ab283270 for 30 mins at room temperature. The immunostaining was performed on a Leica Biosystems BOND® RX instrument. Counterstained with Hematoxylin.

Secondary antibody only control : Secondary antibody is a ready to use LeicaDS9800 (Bond™ Polymer Refine Detection).

Heat mediated antigen retrieval with Tris-EDTA buffer (pH 9.0, epitope retrieval solution2) for 20 mins

Immunohistochemistry (Formalin/PFA-fixed paraffin-embedded sections) - Anti-KMT6/EZH2 antibody [11/EZH2] - BSA and Azide free (AB283294)
  • IHC-P

Supplier Data

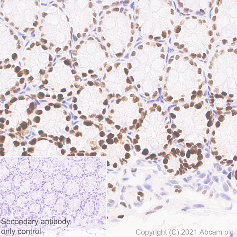
Immunohistochemistry (Formalin/PFA-fixed paraffin-embedded sections) - Anti-KMT6/EZH2 antibody [11/EZH2] - BSA and Azide free (AB283294)

This data was developed using ab283270 the same antibody clone in a different buffer formulation.

Immunohistochemical analysis of paraffin-embedded mouse colon tissue labeling EZH2 with ab283270 at 1/100 dilution (10.9 ug/ml) followed by a ready to use LeicaDS9800 (Bond™ Polymer Refine Detection). Nuclear staining in mouse colon. The section was incubated with ab283270 for 30 mins at room temperature. The immunostaining was performed on a Leica Biosystems BOND® RX instrument. Counterstained with Hematoxylin.

Secondary antibody only control : Secondary antibody is a ready to use LeicaDS9800 (Bond™ Polymer Refine Detection) was used.

Heat mediated antigen retrieval with Tris-EDTA buffer (pH 9.0, epitope retrieval solution2) for 20 mins

Immunohistochemistry (Formalin/PFA-fixed paraffin-embedded sections) - Anti-KMT6/EZH2 antibody [11/EZH2] - BSA and Azide free (AB283294)
  • IHC-P

Supplier Data

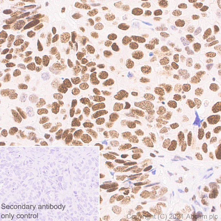
Immunohistochemistry (Formalin/PFA-fixed paraffin-embedded sections) - Anti-KMT6/EZH2 antibody [11/EZH2] - BSA and Azide free (AB283294)

This data was developed using ab283270 the same antibody clone in a different buffer formulation.

Immunohistochemical analysis of paraffin-embedded rat colon tissue labeling EZH2 with ab283270 at 1/100 dilution (10.9 ug/ml) followed by a ready to use LeicaDS9800 (Bond™ Polymer Refine Detection). Nuclear staining in rat colon. The section was incubated with ab283270 for 30 mins at room temperature. The immunostaining was performed on a Leica Biosystems BOND® RX instrument. Counterstained with Hematoxylin.

Secondary antibody only control : Secondary antibody is a ready to use LeicaDS9800 (Bond™ Polymer Refine Detection).

Heat mediated antigen retrieval with Tris-EDTA buffer (pH 9.0, epitope retrieval solution2) for 20 mins

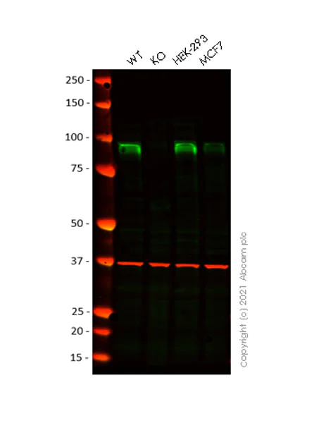
Western blot - Anti-KMT6/EZH2 antibody [11/EZH2] - BSA and Azide free (AB283294)
  • WB

Lab

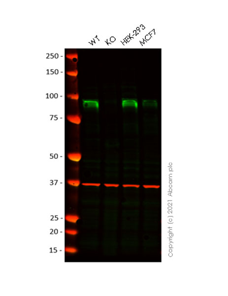
Western blot - Anti-KMT6/EZH2 antibody [11/EZH2] - BSA and Azide free (AB283294)

This data was developed using ab283270 the same antibody clone in a different buffer formulation.

Blocking and diluting buffer and concentration : 5% NFDM/TBST

Lanes 1 - 4 : Merged signal (red and green). Green - ab283270 observed at 911 kDa. Red - loading control ab181602 (Rabbit monoclonal [EPR16891] to GAPDH) observed at 36 kDa.

Lanes 1-2 : ab283270 Anti-EZH2 antibody was shown to react with EZH2 in HAP1 cells in Western blot. Loss of signal was observed when EZH2 knockout sample was used. Wild-type and EZH2 knockout samples were subjected to SDS-PAGE.

ab283270 and Anti-GAPDH antibody [EPR16891] (ab181602) were incubated at 4℃ overnight at 1/1000 dilution and 1/20000 dilution respectively. Blots were developed with Goat anti-Rabbit IgG H&L (IRDye® 680CW) (ab216777) and Goat anti-Mouse IgG H&L (IRDye® 800RD) (ab216772) secondary antibodies at 1/20000 dilution for 1 hour at room temperature before imaging.

All lanes:

Western blot - Anti-KMT6/EZH2 antibody [11/EZH2] - BSA and Azide free (ab283294) at 1/1000 dilution

Lane 1:

Wild-type HAP1 whole cell lysate at 20 µg

Lane 2:

KMT6/EZH2 knockout HAP1 whole cell lysate at 20 µg

Lane 3:

HEK-293 (human embryonic kidney epithelial cell), whole cell lysate at 20 µg

Lane 4:

MCF7 (human breast adenocarcinoma epithelial cell), whole cell lysate at 20 µg

Secondary

All lanes:

Goat Anti-Mouse IgG H&L (IRDye® 800CW) (<a href='/en-us/products/secondary-antibodies/goat-mouse-igg-h-l-irdye-800cw-preadsorbed-ab216772'>ab216772</a>) and Goat Anti-Rabbit IgG H&L (IRDye® 680RD) (<a href='/en-us/products/secondary-antibodies/goat-rabbit-igg-h-l-irdye-680rd-preadsorbed-ab216777'>ab216777</a>) at 1/20000 dilution

Predicted band size: 85 kDa

Observed band size: 85 kDa

false

Key facts

Host species

Mouse

Clonality

Monoclonal

Clone number

11/EZH2

Isotype

IgG1

Carrier free

Yes

Reacts with

Mouse, Human, Rat

Applications

IHC-P, WB

applications

Immunogen

The exact immunogen used to generate this antibody is proprietary information.

Reactivity data

{ "title": "Reactivity Data", "filters": { "stats": ["", "Species", "Dilution Info", "Notes"], "tabs": { "all-applications": {"fullname" : "All Applications", "shortname": "All Applications"}, "IP" : {"fullname" : "Immunoprecipitation", "shortname":"IP"}, "ChIP" : {"fullname" : "ChIP", "shortname":"ChIP"}, "WB" : {"fullname" : "Western blot", "shortname":"WB"}, "ICCIF" : {"fullname" : "Immunocytochemistry/ Immunofluorescence", "shortname":"ICC/IF"}, "FlowCytIntra" : {"fullname" : "Flow Cytometry (Intracellular)", "shortname":"Flow Cyt (Intra)"}, "IHCP" : {"fullname" : "Immunohistochemistry (Formalin/PFA-fixed paraffin-embedded sections)", "shortname":"IHC-P"} }, "product-promise": { "all": "all", "testedAndGuaranteed": "tested", "guaranteed": "expected", "predicted": "predicted", "notRecommended": "not-recommended" } }, "values": { "Human": { "IP-species-checked": "notRecommended", "IP-species-dilution-info": "", "IP-species-notes": "<p></p>", "ChIP-species-checked": "notRecommended", "ChIP-species-dilution-info": "", "ChIP-species-notes": "<p></p>", "WB-species-checked": "testedAndGuaranteed", "WB-species-dilution-info": "", "WB-species-notes": "<p></p>", "ICCIF-species-checked": "notRecommended", "ICCIF-species-dilution-info": "", "ICCIF-species-notes": "<p></p>", "FlowCytIntra-species-checked": "notRecommended", "FlowCytIntra-species-dilution-info": "", "FlowCytIntra-species-notes": "<p></p>", "IHCP-species-checked": "testedAndGuaranteed", "IHCP-species-dilution-info": "", "IHCP-species-notes": "<p></p>" }, "Mouse": { "IP-species-checked": "notRecommended", "IP-species-dilution-info": "", "IP-species-notes": "<p></p>", "ChIP-species-checked": "notRecommended", "ChIP-species-dilution-info": "", "ChIP-species-notes": "", "WB-species-checked": "notRecommended", "WB-species-dilution-info": "", "WB-species-notes": "<p></p>", "ICCIF-species-checked": "notRecommended", "ICCIF-species-dilution-info": "", "ICCIF-species-notes": "<p></p>", "FlowCytIntra-species-checked": "notRecommended", "FlowCytIntra-species-dilution-info": "", "FlowCytIntra-species-notes": "<p></p>", "IHCP-species-checked": "testedAndGuaranteed", "IHCP-species-dilution-info": "", "IHCP-species-notes": "<p></p>" }, "Rat": { "IP-species-checked": "notRecommended", "IP-species-dilution-info": "", "IP-species-notes": "", "ChIP-species-checked": "notRecommended", "ChIP-species-dilution-info": "", "ChIP-species-notes": "", "WB-species-checked": "notRecommended", "WB-species-dilution-info": "", "WB-species-notes": "<p></p>", "ICCIF-species-checked": "notRecommended", "ICCIF-species-dilution-info": "", "ICCIF-species-notes": "", "FlowCytIntra-species-checked": "notRecommended", "FlowCytIntra-species-dilution-info": "", "FlowCytIntra-species-notes": "<p></p>", "IHCP-species-checked": "testedAndGuaranteed", "IHCP-species-dilution-info": "", "IHCP-species-notes": "<p></p>" } } }

Product details

ab283294 is the carrier-free version of ab283270.

What are the advantages of a recombinant monoclonal antibody?
This product is a recombinant monoclonal antibody, which offers several advantages including:

  • - High batch-to-batch consistency and reproducibility
  • - Improved sensitivity and specificity
  • - Long-term security of supply
  • - Animal-free batch production

For more information, read more on recombinant antibodies.

Want a custom formulation?
This antibody clone is manufactured by Abcam. If you require a custom buffer formulation or conjugation for your experiments, please contact orders@abcam.com

Conjugation ready
Our carrier-free antibodies are typically supplied in a PBS-only formulation, purified and free of BSA, sodium azide and glycerol. This conjugation-ready format is designed for use with fluorochromes, metal isotopes, oligonucleotides, and enzymes, which makes them ideal for antibody labelling, functional and cell-based assays, flow-based assays (e.g. mass cytometry) and Multiplex Imaging applications.

Use our conjugation kits for antibody conjugates that are ready-to-use in as little as 20 minutes with 1 minute hands-on-time and 100% antibody recovery: available for fluorescent dyes, HRP, biotin and gold.

Compatibility
This product is compatible with the Maxpar® Antibody Labeling Kit from Fluidigm, without the need for antibody preparation. Maxpar® is a trademark of Fluidigm Canada Inc.

Properties and storage information

Form
Liquid
Purification technique
Affinity purification Protein A
Storage buffer
pH: 7.2 - 7.4 Constituents: PBS
Shipped at conditions
Blue Ice
Appropriate short-term storage conditions
+4°C
Appropriate long-term storage conditions
+4°C
Storage information
Do Not Freeze

Supplementary information

This supplementary information is collated from multiple sources and compiled automatically.

KMT6 also known as EZH2 (Enhancer of Zeste Homolog 2) is a protein that functions as a histone methyltransferase. It catalyzes the methylation of histone H3 on lysine 27 (H3K27) a modification associated with gene silencing. EZH2 is a component of the Polycomb Repressive Complex 2 (PRC2) which plays an important role in chromatin remodeling and transcriptional repression. The EZH2 protein has a molecular weight of approximately 87 kDa and its gene is located on chromosome 7. In terms of expression EZH2 is found in various tissues but is notably abundant in growing and dividing cells.
Biological function summary

EZH2 plays a central role in regulating gene expression during development and differentiation. It is a core component of the PRC2 complex which includes other proteins such as EED and SUZ12. Through its catalytic activity EZH2 contributes to the maintenance of the transcriptionally repressed state of genes influencing processes such as cell identity and proliferation. In many cell types EZH2-mediated gene silencing is necessary for normal development and dysregulation can lead to aberrant cellular processes.

Pathways

EZH2 participates in key regulatory networks notably the Wnt signaling pathway and the p53 pathway. Within the Wnt pathway EZH2's activity contributes to controlling gene expression that influences cellular differentiation and proliferation. Meanwhile interaction with the p53 pathway can impact the cellular response to stress and DNA damage highlighting EZH2’s regulatory dimension. Other proteins like β-catenin in the Wnt pathway interact with EZH2 reflecting its integration in these complex signaling networks.

EZH2 has been linked to cancer and other proliferative diseases. Overexpression or mutation of EZH2 is frequently observed in cancers such as prostate and breast cancer where it contributes to unchecked cell growth and tumor progression. In these contexts proteins like p53 can interact abnormally with EZH2 leading to failure in tumor suppression mechanisms. Additionally deregulated EZH2 activity is implicated in certain developmental disorders highlighting its broader impact on cellular and organismal homeostasis.

Product protocols

For this product, it's our understanding that no specific protocols are required. You can visit:

Target data

Polycomb group (PcG) protein. Catalytic subunit of the PRC2/EED-EZH2 complex, which methylates 'Lys-9' (H3K9me) and 'Lys-27' (H3K27me) of histone H3, leading to transcriptional repression of the affected target gene. Able to mono-, di- and trimethylate 'Lys-27' of histone H3 to form H3K27me1, H3K27me2 and H3K27me3, respectively. Displays a preference for substrates with less methylation, loses activity when progressively more methyl groups are incorporated into H3K27, H3K27me0 > H3K27me1 > H3K27me2 (PubMed : 22323599, PubMed : 30923826). Compared to EZH1-containing complexes, it is more abundant in embryonic stem cells and plays a major role in forming H3K27me3, which is required for embryonic stem cell identity and proper differentiation. The PRC2/EED-EZH2 complex may also serve as a recruiting platform for DNA methyltransferases, thereby linking two epigenetic repression systems. Genes repressed by the PRC2/EED-EZH2 complex include HOXC8, HOXA9, MYT1, CDKN2A and retinoic acid target genes. EZH2 can also methylate non-histone proteins such as the transcription factor GATA4 and the nuclear receptor RORA. Regulates the circadian clock via histone methylation at the promoter of the circadian genes. Essential for the CRY1/2-mediated repression of the transcriptional activation of PER1/2 by the CLOCK-BMAL1 heterodimer; involved in the di and trimethylation of 'Lys-27' of histone H3 on PER1/2 promoters which is necessary for the CRY1/2 proteins to inhibit transcription.
See full target information EZH2

Product promise

We are committed to supporting your work with high-quality reagents, and we're here for you every step of the way. In the unlikely event that one of our products does not perform as expected, you're protected by our Product Promise.
For full details, please see our Terms & Conditions

Please note: All products are 'FOR RESEARCH USE ONLY. NOT FOR USE IN DIAGNOSTIC OR THERAPEUTIC PROCEDURES'.

For licensing inquiries, please contact partnerships@abcam.com