JavaScript is disabled in your browser. Please enable JavaScript to view this website.
AB307647

Anti-KMT6 / EZH2 antibody [EPR25353-284] - BSA and Azide free

  • BOND RX™ Validated
  • RabMAb
  • KO Validated
  • Advanced Validation
  • Recombinant
  • What is this?

Be the first to review this product! Submit a review

|

(0 Publication)

Knockout Tested Rabbit Recombinant Monoclonal KMT6 / EZH2 antibody. Carrier free. Suitable for ChIP, IP, Flow Cyt (Intra), ICC/IF, IHC-P, WB, ChIC/CUT&RUN-seq and reacts with Human, Mouse, Rat samples.

View Alternative Names

KMT6, EZH2, Histone-lysine N-methyltransferase EZH2, ENX-1, Enhancer of zeste homolog 2, Lysine N-methyltransferase 6

20 Images
Flow Cytometry (Intracellular) - Anti-KMT6 / EZH2 antibody [EPR25353-284] - BSA and Azide free (AB307647)
  • Flow Cyt (Intra)

Supplier Data

Flow Cytometry (Intracellular) - Anti-KMT6 / EZH2 antibody [EPR25353-284] - BSA and Azide free (AB307647)

This data was developed using ab307646, the same antibody clone in a different buffer formulation. Flow cytometric analysis of 4% paraformaldehyde fixed 90% methanol permeabilized NCCIT (human pluripotent embryonic carcinoma epithelial cell) cells labeling KMT6 / EZH2 with ab307646 at 1/500 dilution (0.1µg) (Red) compared with a Rabbit monoclonal IgG (ab172730) (Black) isotype control and an unlabeled control (cells without incubation with primary antibody and secondary antibody) (Blue). A Goat Anti-Rabbit IgG (Alexa Fluor® 488, ab150081) at 1/2000 dilution was used as the secondary antibody.

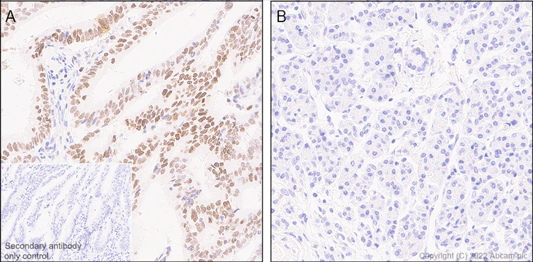
Immunohistochemistry (Formalin/PFA-fixed paraffin-embedded sections) - Anti-KMT6 / EZH2 antibody [EPR25353-284] - BSA and Azide free (AB307647)
  • IHC-P

Supplier Data

Immunohistochemistry (Formalin/PFA-fixed paraffin-embedded sections) - Anti-KMT6 / EZH2 antibody [EPR25353-284] - BSA and Azide free (AB307647)

This data was developed using ab307646, the same antibody clone in a different buffer formulation. Immunohistochemical analysis of paraffin-embedded human pancreatic adenocarcinoma and adjacent tissue labeling KMT6 / EZH2 with ab307646 at 1/100 dilution (5.43 µg/ml) followed by ready to use LeicaDS9800 (Bond™ Polymer Refine Detection). Nuclear staining on human pancreatic adenocarcinoma (image A) and no staining on the adjacent tissue (image B). The section was incubated with ab307646 for 30 mins at room temperature. The immunostaining was performed on a Leica Biosystems BOND® RX instrument. Counterstained with Hematoxylin. Secondary antibody only control : Secondary antibody is ready to use LeicaDS9800 (Bond™ Polymer Refine Detection). Heat mediated antigen retrieval was performed with Tris-EDTA buffer (pH 9.0, Epitope Retrieval Solution2) for 20 mins.

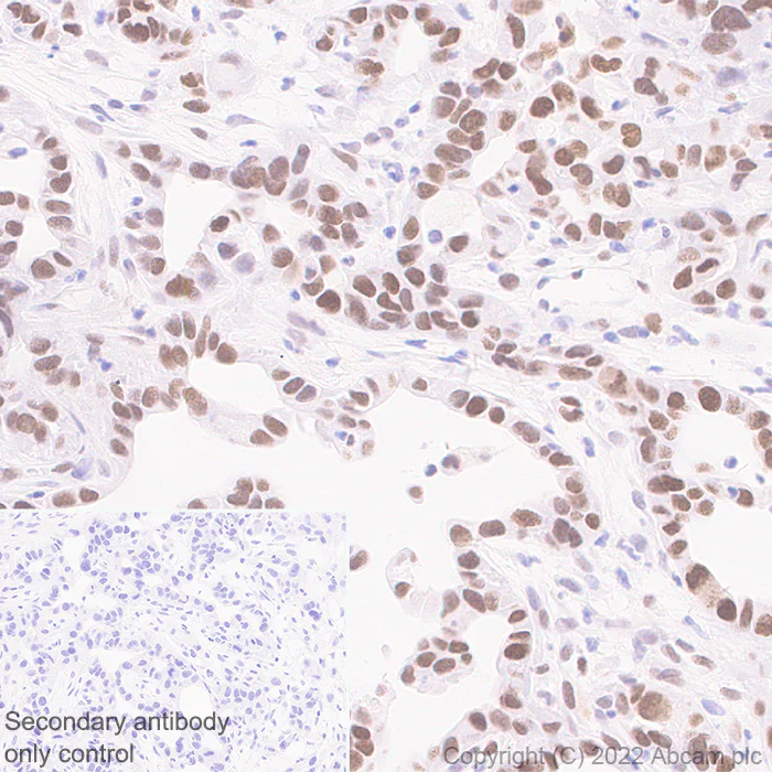
Immunohistochemistry (Formalin/PFA-fixed paraffin-embedded sections) - Anti-KMT6 / EZH2 antibody [EPR25353-284] - BSA and Azide free (AB307647)
  • IHC-P

Supplier Data

Immunohistochemistry (Formalin/PFA-fixed paraffin-embedded sections) - Anti-KMT6 / EZH2 antibody [EPR25353-284] - BSA and Azide free (AB307647)
Immunocytochemistry/ Immunofluorescence - Anti-KMT6 / EZH2 antibody [EPR25353-284] - BSA and Azide free (AB307647)
  • ICC/IF

Supplier Data

Immunocytochemistry/ Immunofluorescence - Anti-KMT6 / EZH2 antibody [EPR25353-284] - BSA and Azide free (AB307647)

This data was developed using ab307646, the same antibody clone in a different buffer formulation. Immunofluorescent analysis of 4% Paraformaldehyde-fixed, 0.1% Triton X-100 permeabilized EZH2 KO HAP1 (EZH2 knockout human chronic myelogenous leukemia) cells labeling KMT6 / EZH2 with ab307646 at 1/50 dilution (10.86 µg/ml), followed by ab150081 Goat Anti-Rabbit IgG H&L (Alexa Fluor® 488) preadsorbed antibody at 1/1000 dilution (2 µg/ml) (Green). Confocal image showing nuclear staining in Parental HAP1 cell line, and no staining in EZH2 KO HAP1 cell line. Image was taken with a confocal microscope(Leica-Microsystems, TCS SP8). ab195889 Anti-alpha Tubulin mouse monoclonal antibody - Microtubule Marker (Alexa Fluor® 594) was used to counterstain tubulin at 1/200 dilution (2.5 µg/ml) (Red). Nuclear counterstain was DAPI (Blue). Secondary antibody only control : Secondary antibody is ab150081 Goat Anti-Rabbit IgG H&L (Alexa Fluor® 488) preadsorbed at 1/1000 dilution (2 µg/ml).

Immunocytochemistry/ Immunofluorescence - Anti-KMT6 / EZH2 antibody [EPR25353-284] - BSA and Azide free (AB307647)
  • ICC/IF

Supplier Data

Immunocytochemistry/ Immunofluorescence - Anti-KMT6 / EZH2 antibody [EPR25353-284] - BSA and Azide free (AB307647)

This data was developed using ab307646, the same antibody clone in a different buffer formulation. Immunofluorescent analysis of 4% Paraformaldehyde-fixed, 0.1% Triton X-100 permeabilized NCCIT (human pluripotent embryonic carcinoma epithelial cell) cells labeling KMT6 / EZH2 with ab307646 at 1/50 dilution (10.86 µg/ml), followed by ab150081 Goat Anti-Rabbit IgG H&L (Alexa Fluor® 488) preadsorbed antibody at 1/1000 dilution (2 µg/ml) (Green). Confocal image showing nuclear staining in NCCIT cell line. Image was taken with a confocal microscope(Leica-Microsystems, TCS SP8). ab195889 Anti-alpha Tubulin mouse monoclonal antibody - Microtubule Marker (Alexa Fluor® 594) was used to counterstain tubulin at 1/200 dilution (2.5 µg/ml) (Red). Nuclear counterstain was DAPI (Blue). Secondary antibody only control : Secondary antibody is ab150081 Goat Anti-Rabbit IgG H&L (Alexa Fluor® 488) preadsorbed at 1/1000 dilution (2 µg/ml).

Immunohistochemistry (Formalin/PFA-fixed paraffin-embedded sections) - Anti-KMT6 / EZH2 antibody [EPR25353-284] - BSA and Azide free (AB307647)
  • IHC-P

Supplier Data

Immunohistochemistry (Formalin/PFA-fixed paraffin-embedded sections) - Anti-KMT6 / EZH2 antibody [EPR25353-284] - BSA and Azide free (AB307647)

This data was developed using ab307646, the same antibody clone in a different buffer formulation. Immunohistochemical analysis of paraffin-embedded cell pellets labeling KMT6 / EZH2 with ab307646 at 1/1000 dilution (0.543 µg/ml) followed by ready to use LeicaDS9800 (Bond™ Polymer Refine Detection). Nuclear staining on (A) wild-type HAP1 cell pellet, no staining on (B) EZH2 knockout HAP1 cell pellet. The section was incubated with ab307646 for 30 mins at room temperature. The immunostaining was performed on a Leica Biosystems BOND® RX instrument. Counterstained with Hematoxylin. Secondary antibody only control : Secondary antibody is ready to use LeicaDS9800 (Bond™ Polymer Refine Detection). Heat mediated antigen retrieval was performed with Tris-EDTA buffer (pH 9.0, Epitope Retrieval Solution2) for 20 mins.

Flow Cytometry (Intracellular) - Anti-KMT6 / EZH2 antibody [EPR25353-284] - BSA and Azide free (AB307647)
  • Flow Cyt (Intra)

Supplier Data

Flow Cytometry (Intracellular) - Anti-KMT6 / EZH2 antibody [EPR25353-284] - BSA and Azide free (AB307647)

This data was developed using ab307646, the same antibody clone in a different buffer formulation. Flow cytometric analysis of 4% paraformaldehyde fixed 90% methanol permeabilized wild-type HAP1 (human chronic myelogenous leukemia near-haploid cell) (Right panel) / KMT6 knockout HAP1 (Left panel) cells labeling KMT6 / EZH2 with ab307646 at 1/500 dilution (0.1µg) (Red) compared with a Rabbit monoclonal IgG (ab172730) (Black) isotype control and an unlabeled control (cells without incubation with primary antibody and secondary antibody) (Blue). A Goat Anti-Rabbit IgG (Alexa Fluor® 488, ab150081) at 1/2000 dilution was used as the secondary antibody.

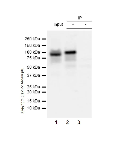
Immunoprecipitation - Anti-KMT6 / EZH2 antibody [EPR25353-284] - BSA and Azide free (AB307647)
  • IP

Supplier Data

Immunoprecipitation - Anti-KMT6 / EZH2 antibody [EPR25353-284] - BSA and Azide free (AB307647)

This data was developed using ab307646, the same antibody clone in a different buffer formulation. KMT6 / EZH2 was immunoprecipitated from 0.35 mg NCCIT (human pluripotent embryonic carcinoma epithelial cell) whole cell lysate 10 µg with ab307646 at 1/30 dilution (2µg in 0.35mg lysates). Western blot was performed on the immunoprecipitate using ab307646 at 1/1000 dilution. VeriBlot for IP secondary antibody(HRP)(ab131366) was used at 1/5000 dilution. Lane 1 : NCCIT whole cell lysate 10 µg Lane 2 : ab307646 IP in NCCIT whole cell lysate Lane 3 : Rabbit monoclonal IgG (ab172730) instead of ab307646 in NCCIT whole cell lysate Blocking and dilution buffer and concentration : 5% NFDM/TBST. Exposure time : 5 seconds. Lysate was freshly made and used for IP immediately to minimize protein degradation.

All lanes:

Immunoprecipitation - Anti-KMT6 / EZH2 antibody [EPR25353-284] (<a href='/en-us/products/primary-antibodies/kmt6-ezh2-antibody-epr25353-284-ab307646'>ab307646</a>) at 1/30 dilution

All lanes:

NCCIT (human pluripotent embryonic carcinoma epithelial cell)

Secondary

All lanes:

Immunoprecipitation - VeriBlot for IP Detection Reagent (HRP) (<a href='/en-us/products/reagents/veriblot-for-ip-detection-reagent-hrp-ab131366'>ab131366</a>) at 1/5000 dilution

Observed band size: 85 kDa

false

Exposure time: 5s

Immunohistochemistry (Formalin/PFA-fixed paraffin-embedded sections) - Anti-KMT6 / EZH2 antibody [EPR25353-284] - BSA and Azide free (AB307647)
  • IHC-P

Supplier Data

Immunohistochemistry (Formalin/PFA-fixed paraffin-embedded sections) - Anti-KMT6 / EZH2 antibody [EPR25353-284] - BSA and Azide free (AB307647)

This data was developed using ab307646, the same antibody clone in a different buffer formulation. Immunohistochemical analysis of paraffin-embedded rat colon tissue labeling KMT6 / EZH2 with ab307646 at 1/1000 dilution (0.543 µg/ml) followed by ready to use LeicaDS9800 (Bond™ Polymer Refine Detection). Nuclear staining on rat colon. The section was incubated with ab307646 for 30 mins at room temperature. The immunostaining was performed on a Leica Biosystems BOND® RX instrument. Counterstained with Hematoxylin. Secondary antibody only control : Secondary antibody is ready to use LeicaDS9800 (Bond™ Polymer Refine Detection). Heat mediated antigen retrieval was performed with Tris-EDTA buffer (pH 9.0, Epitope Retrieval Solution2) for 20 mins.

Immunohistochemistry (Formalin/PFA-fixed paraffin-embedded sections) - Anti-KMT6 / EZH2 antibody [EPR25353-284] - BSA and Azide free (AB307647)
  • IHC-P

Supplier Data

Immunohistochemistry (Formalin/PFA-fixed paraffin-embedded sections) - Anti-KMT6 / EZH2 antibody [EPR25353-284] - BSA and Azide free (AB307647)

This data was developed using ab307646, the same antibody clone in a different buffer formulation. Immunohistochemical analysis of paraffin-embedded mouse colon tissue labeling KMT6 / EZH2 with ab307646 at 1/1000 dilution (0.543 µg/ml) followed by ready to use LeicaDS9800 (Bond™ Polymer Refine Detection). Nuclear staining on mouse colon. The section was incubated with ab307646 for 30 mins at room temperature. The immunostaining was performed on a Leica Biosystems BOND® RX instrument. Counterstained with Hematoxylin. Secondary antibody only control : Secondary antibody is ready to use LeicaDS9800 (Bond™ Polymer Refine Detection). Heat mediated antigen retrieval was performed with Tris-EDTA buffer (pH 9.0, Epitope Retrieval Solution2) for 20 mins.

Flow Cytometry (Intracellular) - Anti-KMT6 / EZH2 antibody [EPR25353-284] - BSA and Azide free (AB307647)
  • Flow Cyt (Intra)

Supplier Data

Flow Cytometry (Intracellular) - Anti-KMT6 / EZH2 antibody [EPR25353-284] - BSA and Azide free (AB307647)

This data was developed using ab307646, the same antibody clone in a different buffer formulation. Flow cytometric analysis of 4% paraformaldehyde fixed 90% methanol permeabilized B16-F10 (Mouse skin melanoma) cells labeling KMT6 / EZH2 with ab307646 at 1/500 dilution (0.1µg) (Red) compared with a Rabbit monoclonal IgG (ab172730) (Black) isotype control and an unlabeled control (cells without incubation with primary antibody and secondary antibody) (Blue). A Goat Anti-Rabbit IgG (Alexa Fluor® 488, ab150081) at 1/2000 dilution was used as the secondary antibody.

Immunocytochemistry/ Immunofluorescence - Anti-KMT6 / EZH2 antibody [EPR25353-284] - BSA and Azide free (AB307647)
  • ICC/IF

Supplier Data

Immunocytochemistry/ Immunofluorescence - Anti-KMT6 / EZH2 antibody [EPR25353-284] - BSA and Azide free (AB307647)

This data was developed using ab307646, the same antibody clone in a different buffer formulation. Immunofluorescent analysis of 4% Paraformaldehyde-fixed, 0.1% Triton X-100 permeabilized B16-F10 (mouse skin melanoma cell) cells labeling KMT6 / EZH2 with ab307646 at 1/50 dilution (10.86 µg/ml), followed by ab150081 Goat Anti-Rabbit IgG H&L (Alexa Fluor® 488) preadsorbed antibody at 1/1000 dilution (2 µg/ml) (Green). Confocal image showing nuclear staining in B16-F10 cell line. Image was taken with a confocal microscope(Leica-Microsystems, TCS SP8). ab195889 Anti-alpha Tubulin mouse monoclonal antibody - Microtubule Marker (Alexa Fluor® 594) was used to counterstain tubulin at 1/200 dilution (2.5 µg/ml) (Red). Nuclear counterstain was DAPI (Blue). Secondary antibody only control : Secondary antibody is ab150081 Goat Anti-Rabbit IgG H&L (Alexa Fluor® 488) preadsorbed at 1/1000 dilution (2 µg/ml).

Immunohistochemistry (Formalin/PFA-fixed paraffin-embedded sections) - Anti-KMT6 / EZH2 antibody [EPR25353-284] - BSA and Azide free (AB307647)
  • IHC-P

Supplier Data

Immunohistochemistry (Formalin/PFA-fixed paraffin-embedded sections) - Anti-KMT6 / EZH2 antibody [EPR25353-284] - BSA and Azide free (AB307647)

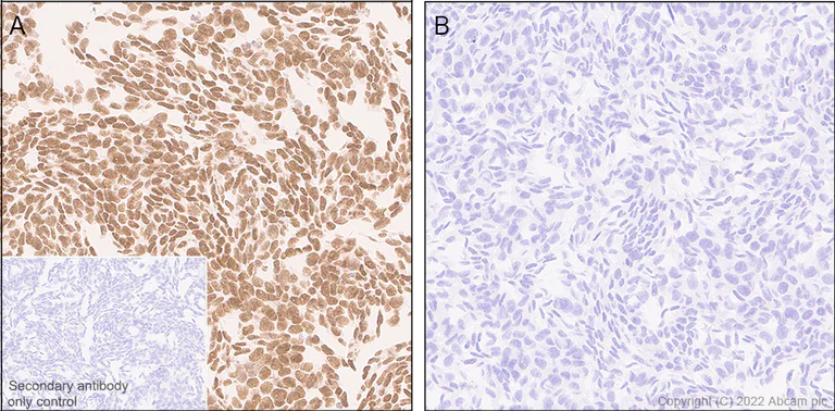
This data was developed using ab307646, the same antibody clone in a different buffer formulation. Immunohistochemical analysis of paraffin-embedded mouse pancreatic tumor tissue labeling KMT6 / EZH2 with ab307646 at 1/1000 dilution (0.543 µg/ml) followed by ready to use LeicaDS9800 (Bond™ Polymer Refine Detection). Nuclear staining on mouse pancreatic tumor. The section was incubated with ab307646 for 30 mins at room temperature. The immunostaining was performed on a Leica Biosystems BOND® RX instrument. Counterstained with Hematoxylin. Secondary antibody only control : Secondary antibody is ready to use LeicaDS9800 (Bond™ Polymer Refine Detection). Heat mediated antigen retrieval was performed with Tris-EDTA buffer (pH 9.0, Epitope Retrieval Solution2) for 20 mins.

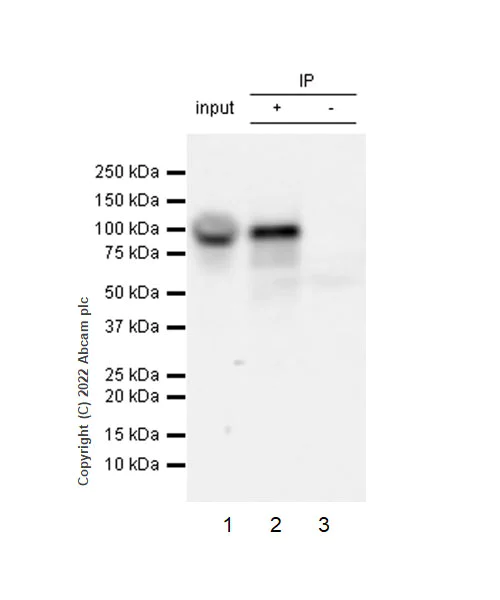
Immunoprecipitation - Anti-KMT6 / EZH2 antibody [EPR25353-284] - BSA and Azide free (AB307647)
  • IP

Supplier Data

Immunoprecipitation - Anti-KMT6 / EZH2 antibody [EPR25353-284] - BSA and Azide free (AB307647)

This data was developed using ab307646, the same antibody clone in a different buffer formulation. KMT6 / EZH2 was immunoprecipitated from 0.35 mg B16-F10 (mouse skin melanoma cell) whole cell lysate 10 µg with ab307646 at 1/30 dilution (2µg in 0.35mg lysates). Western blot was performed on the immunoprecipitate using ab307646 at 1/1000 dilution. VeriBlot for IP secondary antibody(HRP)(ab131366) was used at 1/5000 dilution. Lane 1 : B16-F10 whole cell lysate 10 µg Lane 2 : ab307646 IP in B16-F10 whole cell lysate Lane 3 : Rabbit monoclonal IgG (ab172730) instead of ab307646 in B16-F10 whole cell lysate Blocking and dilution buffer and concentration : 5% NFDM/TBST. Exposure time : 5 seconds. Lysate was freshly made and used for IP immediately to minimize protein degradation.

All lanes:

Immunoprecipitation - Anti-KMT6 / EZH2 antibody [EPR25353-284] (<a href='/en-us/products/primary-antibodies/kmt6-ezh2-antibody-epr25353-284-ab307646'>ab307646</a>) at 1/30 dilution

All lanes:

B16-F10 (mouse skin melanoma cell)

Secondary

All lanes:

Immunoprecipitation - VeriBlot for IP Detection Reagent (HRP) (<a href='/en-us/products/reagents/veriblot-for-ip-detection-reagent-hrp-ab131366'>ab131366</a>) at 1/5000 dilution

Observed band size: 85 kDa

false

Exposure time: 5s

Western blot - Anti-KMT6 / EZH2 antibody [EPR25353-284] - BSA and Azide free (AB307647)
  • WB

Supplier Data

Western blot - Anti-KMT6 / EZH2 antibody [EPR25353-284] - BSA and Azide free (AB307647)

This data was developed using ab307646, the same antibody clone in a different buffer formulation.

Blocking and diluting buffer and concentration : 5% NFDM/TBST.

Lysates were freshly made and used for Western blotting immediately to minimize protein degradation.

All lanes:

Western blot - Anti-KMT6 / EZH2 antibody [EPR25353-284] (<a href='/en-us/products/primary-antibodies/kmt6-ezh2-antibody-epr25353-284-ab307646'>ab307646</a>) at 1/1000 dilution

Lane 1:

HeLa (human epithelial cell line from cervical adenocarcinoma) whole cell lysate at 20 µg

Lane 2:

293T (human embryonic kidney epithelial cell) whole cell lysate at 20 µg

Lane 3:

NIH/3T3 (mouse embryonic fibroblast) whole cell lysate at 20 µg

Lane 4:

PC-12 (rat adrenal gland pheochromocytoma) whole cell lysate at 20 µg

Secondary

All lanes:

Western blot - Goat Anti-Rabbit IgG H&L (HRP) (<a href='/en-us/products/secondary-antibodies/goat-rabbit-igg-h-l-hrp-ab97051'>ab97051</a>) at 1/100000 dilution

Observed band size: 85 kDa

false

Exposure time: 26s

Western blot - Anti-KMT6 / EZH2 antibody [EPR25353-284] - BSA and Azide free (AB307647)
  • WB

Supplier Data

Western blot - Anti-KMT6 / EZH2 antibody [EPR25353-284] - BSA and Azide free (AB307647)

This data was developed using ab307646, the same antibody clone in a different buffer formulation. Blocking and diluting buffer and concentration : Intercept® (TBS) Blocking Buffer diluted with an equal volume of 0.1% TBS. The samples were run on a Bis-Tris gel. Performed under reducing conditions. False colour image of Western blot : Anti-KMT6 / EZH2 antibody (ab307646) staining at 1/1000 dilution, shown in green; Mouse anti-GAPDH antibody [6C5] (ab8245) loading control staining at 1/20000 dilution, shown in red. In Western blot, ab307646 was shown to bind specifically to KMT6 / EZH2. A band was observed at 85kDa in wild-type HAP1 cell lysates whereas no signal observed at this size in KMT6 / EZH2 knockout cell line. To generate this image, wild-type and KMT6 / EZH2 knockout HAP1 cell lysates were analyzed. First, samples were run on a Bis-Tris gel then transferred onto an immobilon-FL PVDF membrane. Membranes were blocked in in Intercept® (TBS) Blocking Buffer diluted with an equal volume of 0.1% TBS before incubation with primary antibodies overnight at 4°C. Blots were washed four times in TBS-T, incubated with secondary antibodies for 1 h at room temperature, washed again four times then imaged. Secondary antibodies used were Goat anti-Rabbit IgG H&L (IRDye® 800CW) preabsorbed (ab216773) and Goat anti-Mouse IgG H&L (IRDye® 680RD) preabsorbed (ab216776) at 1/20000 dilution.

All lanes:

Western blot - Anti-KMT6 / EZH2 antibody [EPR25353-284] (<a href='/en-us/products/primary-antibodies/kmt6-ezh2-antibody-epr25353-284-ab307646'>ab307646</a>) at 1/1000 dilution

Lane 1:

Wild-type HAP1 (human chronic myelogenous leukemia near-haploid cell line) whole cell lysate at 20 µg

Lane 2:

KMT6 / EZH2 knockout HAP1 whole cell lysate at 20 µg

Lane 3:

B16-F10 (mouse skin melanoma cell) whole cell lysate at 20 µg

Lane 4:

Neuro-2a (mouse neuroblastoma neuroblast) whole cell lysate at 20 µg

Secondary

Lanes 1 - 4:

Western blot - Goat anti-Rabbit IgG H&L (IRDye® 800CW) preadsorbed (<a href='/en-us/products/secondary-antibodies/goat-rabbit-igg-h-l-irdye-800cw-preadsorbed-ab216773'>ab216773</a>) at 1/10000 dilution

Lanes 1 - 4:

Western blot - Goat anti-Mouse IgG H&L (IRDye® 680RD) preadsorbed (<a href='/en-us/products/secondary-antibodies/goat-mouse-igg-h-l-irdye-680rd-preadsorbed-ab216776'>ab216776</a>) at 1/10000 dilution

Observed band size: 85 kDa

true

Western blot - Anti-KMT6 / EZH2 antibody [EPR25353-284] - BSA and Azide free (AB307647)
  • WB

Supplier Data

Western blot - Anti-KMT6 / EZH2 antibody [EPR25353-284] - BSA and Azide free (AB307647)

This data was developed using ab307646, the same antibody clone in a different buffer formulation. Blocking and diluting buffer and concentration : 5% NFDM/TBST. The bands beneath the target band (85 kDa) are likely to be degraded target fragments. Exposure time : 3 seconds.

All lanes:

Western blot - Anti-KMT6 / EZH2 antibody [EPR25353-284] (<a href='/en-us/products/primary-antibodies/kmt6-ezh2-antibody-epr25353-284-ab307646'>ab307646</a>) at 1/1000 dilution

All lanes:

NCCIT (human pluripotent embryonic carcinoma epithelial cell) whole cell lysate at 20 µg

Secondary

All lanes:

Western blot - Goat Anti-Rabbit IgG H&L (HRP) (<a href='/en-us/products/secondary-antibodies/goat-rabbit-igg-h-l-hrp-ab97051'>ab97051</a>) at 1/100000 dilution

Observed band size: 85 kDa

false

Exposure time: 3s

ChIC/CUT&RUN sequencing - Anti-KMT6 / EZH2 antibody [EPR25353-284] - BSA and Azide free (AB307647)
  • ChIC/CUT&RUN-seq

Lab

ChIC/CUT&RUN sequencing - Anti-KMT6 / EZH2 antibody [EPR25353-284] - BSA and Azide free (AB307647)

This data was developed using the same antibody clone in a different buffer formulation (ab307646).

ChIC/CUT&RUN was performed using a pAG-MNase at a final concentration of 700 ng/mL, 2.5 x 10^5 NCCIT (human pluripotent embryonic carcinoma epithelial cell) cells and 5 µg of ab307646 [EPR25353-284]. The resulting DNA was sequenced on the Illumina NovaSeq 6000 to a depth of 10 million reads. The negative IgG control ab172730 is also shown. The University of Geneva owns patents relevant to ChIC (Chromatin Immuno-Cleavage) methods.

ChIC/CUT&RUN sequencing - Anti-KMT6 / EZH2 antibody [EPR25353-284] - BSA and Azide free (AB307647)
  • ChIC/CUT&RUN-seq

Lab

ChIC/CUT&RUN sequencing - Anti-KMT6 / EZH2 antibody [EPR25353-284] - BSA and Azide free (AB307647)

This data was developed using the same antibody clone in a different buffer formulation (ab307646).

ChIC/CUT&RUN was performed using a pAG-MNase at a final concentration of 700 ng/mL, 2.5 x 10^5 NCCIT (human pluripotent embryonic carcinoma epithelial cell) cells and 5 µg of ab307646 [EPR25353-284]. The resulting DNA was sequenced on the Illumina NovaSeq 6000 to a depth of 10 million reads. The negative IgG control ab172730 is also shown. The University of Geneva owns patents relevant to ChIC (Chromatin Immuno-Cleavage) methods.

ChIC/CUT&RUN sequencing - Anti-KMT6 / EZH2 antibody [EPR25353-284] - BSA and Azide free (AB307647)
  • ChIC/CUT&RUN-seq

Lab

ChIC/CUT&RUN sequencing - Anti-KMT6 / EZH2 antibody [EPR25353-284] - BSA and Azide free (AB307647)

This data was developed using the same antibody clone in a different buffer formulation (ab307646).

ChIC/CUT&RUN was performed using a pAG-MNase at a final concentration of 700 ng/mL, 2.5 x 10^5 NCCIT (human pluripotent embryonic carcinoma epithelial cell) cells and 5 µg of ab307646 [EPR25353-284]. The resulting DNA was sequenced on the Illumina NovaSeq 6000 to a depth of 10 million reads. The negative IgG control ab172730 is also shown. The University of Geneva owns patents relevant to ChIC (Chromatin Immuno-Cleavage) methods.

Key facts

Host species

Rabbit

Clonality

Monoclonal

Clone number

EPR25353-284

Isotype

IgG

Carrier free

Yes

Reacts with

Rat, Mouse, Human

Applications

Flow Cyt (Intra), WB, IHC-P, ChIP, ChIC/CUT&RUN-seq, ICC/IF, IP

applications

Immunogen

The exact immunogen used to generate this antibody is proprietary information.

Reactivity data

{ "title": "Reactivity Data", "filters": { "stats": ["", "Species", "Dilution Info", "Notes"], "tabs": { "all-applications": {"fullname" : "All Applications", "shortname": "All Applications"}, "ChIP" : {"fullname" : "ChIP", "shortname":"ChIP"}, "IP" : {"fullname" : "Immunoprecipitation", "shortname":"IP"}, "FlowCytIntra" : {"fullname" : "Flow Cytometry (Intracellular)", "shortname":"Flow Cyt (Intra)"}, "ICCIF" : {"fullname" : "Immunocytochemistry/ Immunofluorescence", "shortname":"ICC/IF"}, "IHCP" : {"fullname" : "Immunohistochemistry (Formalin/PFA-fixed paraffin-embedded sections)", "shortname":"IHC-P"}, "WB" : {"fullname" : "Western blot", "shortname":"WB"}, "ChICCUTRUNseq" : {"fullname" : "ChIC/CUT&RUN sequencing", "shortname":"ChIC/CUT&RUN-seq"} }, "product-promise": { "all": "all", "testedAndGuaranteed": "tested", "guaranteed": "expected", "predicted": "predicted", "notRecommended": "not-recommended" } }, "values": { "Human": { "ChIP-species-checked": "testedAndGuaranteed", "ChIP-species-dilution-info": "", "ChIP-species-notes": "<p></p>", "IP-species-checked": "testedAndGuaranteed", "IP-species-dilution-info": "", "IP-species-notes": "<p></p>", "FlowCytIntra-species-checked": "testedAndGuaranteed", "FlowCytIntra-species-dilution-info": "", "FlowCytIntra-species-notes": "<p></p>", "ICCIF-species-checked": "testedAndGuaranteed", "ICCIF-species-dilution-info": "", "ICCIF-species-notes": "<p></p>", "IHCP-species-checked": "testedAndGuaranteed", "IHCP-species-dilution-info": "", "IHCP-species-notes": "<p></p>", "WB-species-checked": "testedAndGuaranteed", "WB-species-dilution-info": "", "WB-species-notes": "<p></p>", "ChICCUTRUNseq-species-checked": "testedAndGuaranteed", "ChICCUTRUNseq-species-dilution-info": "", "ChICCUTRUNseq-species-notes": "<p></p>" }, "Mouse": { "ChIP-species-checked": "guaranteed", "ChIP-species-dilution-info": "", "ChIP-species-notes": "", "IP-species-checked": "testedAndGuaranteed", "IP-species-dilution-info": "", "IP-species-notes": "<p></p>", "FlowCytIntra-species-checked": "testedAndGuaranteed", "FlowCytIntra-species-dilution-info": "", "FlowCytIntra-species-notes": "<p></p>", "ICCIF-species-checked": "testedAndGuaranteed", "ICCIF-species-dilution-info": "", "ICCIF-species-notes": "<p></p>", "IHCP-species-checked": "testedAndGuaranteed", "IHCP-species-dilution-info": "", "IHCP-species-notes": "<p></p>", "WB-species-checked": "testedAndGuaranteed", "WB-species-dilution-info": "", "WB-species-notes": "<p></p>", "ChICCUTRUNseq-species-checked": "guaranteed", "ChICCUTRUNseq-species-dilution-info": "", "ChICCUTRUNseq-species-notes": "" }, "Rat": { "ChIP-species-checked": "guaranteed", "ChIP-species-dilution-info": "", "ChIP-species-notes": "", "IP-species-checked": "guaranteed", "IP-species-dilution-info": "", "IP-species-notes": "", "FlowCytIntra-species-checked": "guaranteed", "FlowCytIntra-species-dilution-info": "", "FlowCytIntra-species-notes": "", "ICCIF-species-checked": "guaranteed", "ICCIF-species-dilution-info": "", "ICCIF-species-notes": "", "IHCP-species-checked": "testedAndGuaranteed", "IHCP-species-dilution-info": "", "IHCP-species-notes": "<p></p>", "WB-species-checked": "testedAndGuaranteed", "WB-species-dilution-info": "", "WB-species-notes": "<p></p>", "ChICCUTRUNseq-species-checked": "guaranteed", "ChICCUTRUNseq-species-dilution-info": "", "ChICCUTRUNseq-species-notes": "" } } }

Product details

Patented technology
Our RabMAb® technology is a patented hybridoma-based technology for making rabbit monoclonal antibodies. For details on our patents, please refer to RabMAb® patents.

What are the advantages of a recombinant monoclonal antibody?
This product is a recombinant monoclonal antibody, which offers several advantages including:

  • - High batch-to-batch consistency and reproducibility
  • - Improved sensitivity and specificity
  • - Long-term security of supply
  • - Animal-free batch production

For more information, read more on recombinant antibodies.

Conjugation ready
Our carrier-free antibodies are typically supplied in a PBS-only formulation, purified and free of BSA, sodium azide and glycerol. This conjugation-ready format is designed for use with fluorochromes, metal isotopes, oligonucleotides, and enzymes, which makes them ideal for antibody labelling, functional and cell-based assays, flow-based assays (e.g. mass cytometry) and Multiplex Imaging applications.

Use our conjugation kits for antibody conjugates that are ready-to-use in as little as 20 minutes with 1 minute hands-on-time and 100% antibody recovery: available for fluorescent dyes, HRP, biotin and gold.

Compatibility
This product is compatible with the Maxpar® Antibody Labeling Kit from Fluidigm, without the need for antibody preparation. Maxpar® is a trademark of Fluidigm Canada Inc.

Properties and storage information

Form
Liquid
Purification technique
Affinity purification Protein A
Storage buffer
pH: 7.2 - 7.4 Constituents: PBS
Shipped at conditions
Blue Ice
Appropriate short-term storage conditions
+4°C
Appropriate long-term storage conditions
+4°C

Supplementary information

This supplementary information is collated from multiple sources and compiled automatically.

KMT6 also known as EZH2 (Enhancer of Zeste Homolog 2) is a protein that functions as a histone methyltransferase. It catalyzes the methylation of histone H3 on lysine 27 (H3K27) a modification associated with gene silencing. EZH2 is a component of the Polycomb Repressive Complex 2 (PRC2) which plays an important role in chromatin remodeling and transcriptional repression. The EZH2 protein has a molecular weight of approximately 87 kDa and its gene is located on chromosome 7. In terms of expression EZH2 is found in various tissues but is notably abundant in growing and dividing cells.
Biological function summary

EZH2 plays a central role in regulating gene expression during development and differentiation. It is a core component of the PRC2 complex which includes other proteins such as EED and SUZ12. Through its catalytic activity EZH2 contributes to the maintenance of the transcriptionally repressed state of genes influencing processes such as cell identity and proliferation. In many cell types EZH2-mediated gene silencing is necessary for normal development and dysregulation can lead to aberrant cellular processes.

Pathways

EZH2 participates in key regulatory networks notably the Wnt signaling pathway and the p53 pathway. Within the Wnt pathway EZH2's activity contributes to controlling gene expression that influences cellular differentiation and proliferation. Meanwhile interaction with the p53 pathway can impact the cellular response to stress and DNA damage highlighting EZH2’s regulatory dimension. Other proteins like β-catenin in the Wnt pathway interact with EZH2 reflecting its integration in these complex signaling networks.

EZH2 has been linked to cancer and other proliferative diseases. Overexpression or mutation of EZH2 is frequently observed in cancers such as prostate and breast cancer where it contributes to unchecked cell growth and tumor progression. In these contexts proteins like p53 can interact abnormally with EZH2 leading to failure in tumor suppression mechanisms. Additionally deregulated EZH2 activity is implicated in certain developmental disorders highlighting its broader impact on cellular and organismal homeostasis.

Product protocols

For this product, it's our understanding that no specific protocols are required. You can visit:

Target data

Catalytic subunit of the PRC2/EED-EZH2 complex, a Polycomb group (PcG) complex that methylates 'Lys-9' (H3K9me) and 'Lys-27' (H3K27me) of histone H3, leading to transcriptional repression of the affected target gene (PubMed : 14532106, PubMed : 15225548, PubMed : 15385962, PubMed : 16618801, PubMed : 16936726, PubMed : 17344414, PubMed : 22323599, PubMed : 24474760, PubMed : 26581166, PubMed : 30026490, PubMed : 30923826). Able to mono-, di- and trimethylate 'Lys-27' of histone H3 to form H3K27me1, H3K27me2 and H3K27me3, respectively (PubMed : 15231737, PubMed : 17210787, PubMed : 18285464, PubMed : 22323599, PubMed : 30923826). Displays a preference for substrates with less methylation, loses activity when progressively more methyl groups are incorporated into H3K27, H3K27me0 > H3K27me1 > H3K27me2 (PubMed : 22323599, PubMed : 30923826). Compared to EZH1-containing complexes, it is more abundant in embryonic stem cells and plays a major role in forming H3K27me3, which is required for embryonic stem cell identity and proper differentiation (PubMed : 19026781). The PRC2/EED-EZH2 complex may also serve as a recruiting platform for DNA methyltransferases, thereby linking two epigenetic repression systems (PubMed : 16357870, PubMed : 17200670). Genes repressed by the PRC2/EED-EZH2 complex include HOXC8, HOXA9, MYT1, CDKN2A and retinoic acid target genes (PubMed : 16179254, PubMed : 18086877, PubMed : 20935635). EZH2 can also methylate non-histone proteins such as the transcription factor GATA4 and the nuclear receptor RORA (PubMed : 23063525). Regulates the circadian clock via histone methylation at the promoter of the circadian genes (PubMed : 16717091). Essential for the CRY1/2-mediated repression of the transcriptional activation of PER1/2 by the CLOCK-BMAL1 heterodimer; involved in the di and trimethylation of 'Lys-27' of histone H3 on PER1/2 promoters which is necessary for the CRY1/2 proteins to inhibit transcription (By similarity).
See full target information EZH2

Product promise

We are committed to supporting your work with high-quality reagents, and we're here for you every step of the way. In the unlikely event that one of our products does not perform as expected, you're protected by our Product Promise.
For full details, please see our Terms & Conditions

Please note: All products are 'FOR RESEARCH USE ONLY. NOT FOR USE IN DIAGNOSTIC OR THERAPEUTIC PROCEDURES'.

For licensing inquiries, please contact partnerships@abcam.com