JavaScript is disabled in your browser. Please enable JavaScript to view this website.
AB191080

Anti-KMT6 / EZH2 antibody [EPR9307(2)] - N-terminal

2

(1 Review)

|

(59 Publications)

Rabbit Recombinant Monoclonal KMT6 / EZH2 antibody. N-terminal. Suitable for WB, ICC/IF, Flow Cyt (Intra), IHC-P and reacts with Mouse, Rat, Human samples. Cited in 59 publications.

View Alternative Names

KMT6, EZH2, Histone-lysine N-methyltransferase EZH2, ENX-1, Enhancer of zeste homolog 2, Lysine N-methyltransferase 6

7 Images
Immunocytochemistry/ Immunofluorescence - Anti-KMT6 / EZH2 antibody [EPR9307(2)] - N-terminal (AB191080)
  • ICC/IF

Supplier Data

Immunocytochemistry/ Immunofluorescence - Anti-KMT6 / EZH2 antibody [EPR9307(2)] - N-terminal (AB191080)

Immunofluorescent analysis of HeLa cells (4% Paraformaldehyde-fixed; 0.1% tritonX-100-permeabilized) labeling KMT6 / EZH2 with ab191080 at 1/250 dilution followed by Goat anti rabbit IgG (AlexaFluor® 488) secondary at 1/200 dilution and counter-stained with DAPI (blue).

Flow Cytometry (Intracellular) - Anti-KMT6 / EZH2 antibody [EPR9307(2)] - N-terminal (AB191080)
  • Flow Cyt (Intra)

Lab

Flow Cytometry (Intracellular) - Anti-KMT6 / EZH2 antibody [EPR9307(2)] - N-terminal (AB191080)

ab191080 staining KMT6 / EZH2in the human cell line Jurkat (human acute T cell leukemia) by intracellular flow cytometry. Cells were fixed with 4% paraformaldehyde and the sample was incubated with the primary antibody at a dilution of 1/90. A goat anti rabbit IgG (Alexa Fluor® 488) at a dilution of 1/2000 was used as the secondary antibody.

Isoytype control : Rabbit monoclonal IgG (Black)

Unlabelled control : Cell without incubation with primary antibody and secondary antibody (Blue)

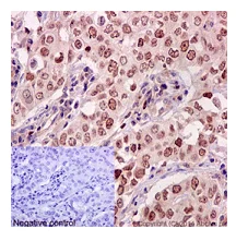
Immunohistochemistry (Formalin/PFA-fixed paraffin-embedded sections) - Anti-KMT6 / EZH2 antibody [EPR9307(2)] - N-terminal (AB191080)
  • IHC-P

Unknown

Immunohistochemistry (Formalin/PFA-fixed paraffin-embedded sections) - Anti-KMT6 / EZH2 antibody [EPR9307(2)] - N-terminal (AB191080)

Immunohistochemical analysis of paraffin-embedded Human breast carcinoma tissue labeling KMT6 / EZH2 with ab191080 at 1/250 dilution followed by pre-diluted HRP Polymer for Rabbit IgG secondary antibody and counter-stained with Hematoxylin (inset : negative control).

Perform heat mediated antigen retrieval with Tris/EDTA buffer pH 9.0 before commencing with IHC staining protocol.

Western blot - Anti-KMT6 / EZH2 antibody [EPR9307(2)] - N-terminal (AB191080)
  • WB

Lab

Western blot - Anti-KMT6 / EZH2 antibody [EPR9307(2)] - N-terminal (AB191080)

Lane 1 : Wild-type HAP1 cell lysate (20 μg)
Lane 2 : KMT6 / EZH2 knockout HAP1 cell lysate (20 μg)
Lane 3 : HEK293 cell lysate (20 μg)
Lane 4 : Ms testis tissue lysate (20 μg)
Lanes 1 - 4 : Merged signal (red and green). Green - ab191080 observed at 93 kDa. Red - loading control, ab8245, observed at 37 kDa.

ab191080 was shown to recognize KMT6 / EZH2 when KMT6 / EZH2 knockout samples were used, along with additional cross-reactive bands. Wild-type and KMT6 / EZH2 knockout samples were subjected to SDS-PAGE. ab191080 and ab8245 (loading control to GAPDH) were diluted at 1/500 and 1/10 000 respectively and incubated overnight at 4°C. Blots were developed with Goat anti-Rabbit IgG H&L (IRDye® 800CW) preadsorbed (ab216773) and Goat anti-Mouse IgG H&L (IRDye® 680RD) preadsorbed (ab216776) secondary antibodies at 1/10 000 dilution for 1 h at room temperature before imaging.

All lanes:

Western blot - Anti-KMT6 / EZH2 antibody [EPR9307(2)] - N-terminal (ab191080)

Predicted band size: 85 kDa,92 kDa

false

Western blot - Anti-KMT6 / EZH2 antibody [EPR9307(2)] - N-terminal (AB191080)
  • WB

Lab

Western blot - Anti-KMT6 / EZH2 antibody [EPR9307(2)] - N-terminal (AB191080)

Lane 1 : HEK293 cell lysate (20 μg)

Lane 2 : Mouse spleen tissue lysate (20 μg)

Lane 3 : Rat spleen tissue lysate (20 μg)

Lanes 1 - 3 : Merged signal (red and green). Green - ab191080 observed at 93 kDa. Red - loading control, ab8245, observed at 37 kDa.

Human, mouse and rat extracts were subjected to SDS-PAGE. ab191080 and ab8245 (loading control to GAPDH) were diluted at 1/500 and 1/10 000 respectively and incubated overnight at 4°C. Blots were developed with Goat anti-Rabbit IgG H&L (IRDye® 800CW) preadsorbed (ab216773) and Goat anti-Mouse IgG H&L (IRDye® 680RD) preadsorbed (ab216776) secondary antibodies at 1/10 000 dilution for 1 h at room temperature before imaging.

All lanes:

Western blot - Anti-KMT6 / EZH2 antibody [EPR9307(2)] - N-terminal (ab191080)

Predicted band size: 85 kDa

Observed band size: 93 kDa

false

Western blot - Anti-KMT6 / EZH2 antibody [EPR9307(2)] - N-terminal (AB191080)
  • WB

Lab

Western blot - Anti-KMT6 / EZH2 antibody [EPR9307(2)] - N-terminal (AB191080)

False colour image of Western blot : Anti-KMT6 / EZH2 antibody [EPR9307(2)] - N-terminal staining at 1/500 dilution, shown in green; Mouse anti-GAPDH antibody [6C5] (ab8245) loading control staining at 1/20000 dilution, shown in red. In Western blot, ab191080 was shown to bind specifically to KMT6 / EZH2. A band was observed at 90 kDa (green arrow) in wild-type MCF7 cell lysates with no signal observed at this size in ezh2 CRISPR-Cas9 edited cell line ab281611 (CRISPR-Cas9 edited cell lysate ab282963). The band observed in the CRISPR-Cas9 edited lysate lane below 90 kDa (yellow arrow) is likely to represent a truncated form of KMT6 / EZH2. This has not been investigated further and the functional properties of the gene product have not been determined. To generate this image, wild-type and ezh2 CRISPR-Cas9 edited MCF7 cell lysates were analysed. First, samples were run on an SDS-PAGE gel then transferred onto a nitrocellulose membrane. Membranes were blocked in 3 % milk in TBS-0.1 % Tween® 20 (TBS-T) before incubation with primary antibodies overnight at 4 °C. Blots were washed four times in TBS-T, incubated with secondary antibodies for 1 h at room temperature, washed again four times then imaged. Secondary antibodies used were Goat anti-Rabbit IgG H&L 800CW and Goat anti-Mouse IgG H&L 680RD at 1/20000 dilution.

All lanes:

Western blot - Anti-KMT6 / EZH2 antibody [EPR9307(2)] - N-terminal (ab191080) at 1/1000 dilution

Lane 1:

Wild-type MCF7 cell lysate at 20 µg

Lane 2:

ezh2 CRISPR-Cas9 edited MCF7 cell lysate at 20 µg

Lane 3:

HEK-293 cell lysate at 20 µg

Lane 4:

Mouse Testis cell lysate at 20 µg

Observed band size: 90 kDa

false

Western blot - Anti-KMT6 / EZH2 antibody [EPR9307(2)] - N-terminal (AB191080)
  • WB

CiteAb

Western blot - Anti-KMT6 / EZH2 antibody [EPR9307(2)] - N-terminal (AB191080)

KMT6 / EZH2 western blot using anti-KMT6 / EZH2 antibody [EPR9307(2)] - N-terminal ab191080. Publication image and figure legend from Xu, L., Feng, J., et al., 2020, Cell Death Dis, PubMed 32341332.

ab191080 was used in this publication in western blot. This may not be the same as the application(s) guaranteed by Abcam. For a full list of applications guaranteed by Abcam for ab191080 please see the product overview.

Effects of chidamide on expressions of histone-modifying enzymes (hMOF, SIRT1, and EZH2), and amounts of histone modifications (H4K16ac and H3K27me3) in MM cells.RPMI8226 and H929 cells were treated for 48 h with chidamide at the indicated concentrations. a, d The protein levels of SIRT1 (a), hMOF (b), or EZH2 (d) and amounts of H4K16ac (a) or H3K27me3 (d) were determined by immunoblot with the indicated antibodies. Both H3 and GAPDH were used as controls for protein loading. Blots shown are representative of three independent experiments. b, c, e Relative mRNA levels of SIRT1 (b), hMOF (c), and EZH2 (e) were detected by using quantitative RT-PCR. Mean ± SD of three independent experiments. *p < 0.05, compared with the treatment-naive control.

false

  • Carrier free

    Anti-KMT6 / EZH2 antibody [EPR9307(2)] - BSA and Azide free

  • 519 Alexa Fluor® 488

    Alexa Fluor® 488 Anti-KMT6 / EZH2 antibody [EPR9307(2)]

Key facts

Host species

Rabbit

Clonality

Monoclonal

Clone number

EPR9307(2)

Isotype

IgG

Carrier free

No

Reacts with

Mouse, Rat, Human

Applications

IHC-P, Flow Cyt (Intra), WB, ICC/IF

applications

Immunogen

The exact immunogen used to generate this antibody is proprietary information.

Reactivity data

{ "title": "Reactivity Data", "filters": { "stats": ["", "Species", "Dilution Info", "Notes"], "tabs": { "all-applications": {"fullname" : "All Applications", "shortname": "All Applications"}, "WB" : {"fullname" : "Western blot", "shortname":"WB"}, "ICCIF" : {"fullname" : "Immunocytochemistry/ Immunofluorescence", "shortname":"ICC/IF"}, "FlowCytIntra" : {"fullname" : "Flow Cytometry (Intracellular)", "shortname":"Flow Cyt (Intra)"}, "IHCP" : {"fullname" : "Immunohistochemistry (Formalin/PFA-fixed paraffin-embedded sections)", "shortname":"IHC-P"}, "ChIP" : {"fullname" : "ChIP", "shortname":"ChIP"} }, "product-promise": { "all": "all", "testedAndGuaranteed": "tested", "guaranteed": "expected", "predicted": "predicted", "notRecommended": "not-recommended" } }, "values": { "Human": { "WB-species-checked": "testedAndGuaranteed", "WB-species-dilution-info": "1/500", "WB-species-notes": "<p></p>", "ICCIF-species-checked": "testedAndGuaranteed", "ICCIF-species-dilution-info": "1/250", "ICCIF-species-notes": "<p></p>", "FlowCytIntra-species-checked": "testedAndGuaranteed", "FlowCytIntra-species-dilution-info": "1/90", "FlowCytIntra-species-notes": "<p>Purified format. <a href='/en-us/products/primary-antibodies/rabbit-igg-monoclonal-epr25a-isotype-control-ab172730'>ab172730</a> - Rabbit monoclonal IgG, is suitable for use as an isotype control with this antibody.</p>", "IHCP-species-checked": "testedAndGuaranteed", "IHCP-species-dilution-info": "1/250", "IHCP-species-notes": "<p></p>", "ChIP-species-checked": "notRecommended", "ChIP-species-dilution-info": "", "ChIP-species-notes": "<p></p>" }, "Mouse": { "WB-species-checked": "testedAndGuaranteed", "WB-species-dilution-info": "1/500", "WB-species-notes": "<p></p>", "ICCIF-species-checked": "guaranteed", "ICCIF-species-dilution-info": "", "ICCIF-species-notes": "", "FlowCytIntra-species-checked": "guaranteed", "FlowCytIntra-species-dilution-info": "", "FlowCytIntra-species-notes": "", "IHCP-species-checked": "guaranteed", "IHCP-species-dilution-info": "", "IHCP-species-notes": "", "ChIP-species-checked": "notRecommended", "ChIP-species-dilution-info": "", "ChIP-species-notes": "" }, "Rat": { "WB-species-checked": "testedAndGuaranteed", "WB-species-dilution-info": "1/500", "WB-species-notes": "<p></p>", "ICCIF-species-checked": "guaranteed", "ICCIF-species-dilution-info": "", "ICCIF-species-notes": "", "FlowCytIntra-species-checked": "guaranteed", "FlowCytIntra-species-dilution-info": "", "FlowCytIntra-species-notes": "", "IHCP-species-checked": "guaranteed", "IHCP-species-dilution-info": "", "IHCP-species-notes": "", "ChIP-species-checked": "notRecommended", "ChIP-species-dilution-info": "", "ChIP-species-notes": "" } } }

Product details

Patented technology
Our RabMAb® technology is a patented hybridoma-based technology for making rabbit monoclonal antibodies. For details on our patents, please refer to RabMAb® patents.

What are the advantages of a recombinant monoclonal antibody?
This product is a recombinant monoclonal antibody, which offers several advantages including:

  • - High batch-to-batch consistency and reproducibility
  • - Improved sensitivity and specificity
  • - Long-term security of supply
  • - Animal-free batch production

For more information, read more on recombinant antibodies.

Properties and storage information

Form
Liquid
Purification technique
Affinity purification Protein A
Storage buffer
pH: 7.2 - 7.4 Preservative: 0.01% Sodium azide Constituents: PBS, 40% Glycerol (glycerin, glycerine), 0.05% BSA
Shipped at conditions
Blue Ice
Appropriate short-term storage duration
1-2 weeks
Appropriate short-term storage conditions
+4°C
Appropriate long-term storage conditions
-20°C
Aliquoting information
Upon delivery aliquot
Storage information
Avoid freeze / thaw cycle

Supplementary information

This supplementary information is collated from multiple sources and compiled automatically.

KMT6 also known as EZH2 (Enhancer of Zeste Homolog 2) is a protein that functions as a histone methyltransferase. It catalyzes the methylation of histone H3 on lysine 27 (H3K27) a modification associated with gene silencing. EZH2 is a component of the Polycomb Repressive Complex 2 (PRC2) which plays an important role in chromatin remodeling and transcriptional repression. The EZH2 protein has a molecular weight of approximately 87 kDa and its gene is located on chromosome 7. In terms of expression EZH2 is found in various tissues but is notably abundant in growing and dividing cells.
Biological function summary

EZH2 plays a central role in regulating gene expression during development and differentiation. It is a core component of the PRC2 complex which includes other proteins such as EED and SUZ12. Through its catalytic activity EZH2 contributes to the maintenance of the transcriptionally repressed state of genes influencing processes such as cell identity and proliferation. In many cell types EZH2-mediated gene silencing is necessary for normal development and dysregulation can lead to aberrant cellular processes.

Pathways

EZH2 participates in key regulatory networks notably the Wnt signaling pathway and the p53 pathway. Within the Wnt pathway EZH2's activity contributes to controlling gene expression that influences cellular differentiation and proliferation. Meanwhile interaction with the p53 pathway can impact the cellular response to stress and DNA damage highlighting EZH2’s regulatory dimension. Other proteins like β-catenin in the Wnt pathway interact with EZH2 reflecting its integration in these complex signaling networks.

EZH2 has been linked to cancer and other proliferative diseases. Overexpression or mutation of EZH2 is frequently observed in cancers such as prostate and breast cancer where it contributes to unchecked cell growth and tumor progression. In these contexts proteins like p53 can interact abnormally with EZH2 leading to failure in tumor suppression mechanisms. Additionally deregulated EZH2 activity is implicated in certain developmental disorders highlighting its broader impact on cellular and organismal homeostasis.

Product protocols

For this product, it's our understanding that no specific protocols are required. You can visit:

Target data

Polycomb group (PcG) protein. Catalytic subunit of the PRC2/EED-EZH2 complex, which methylates 'Lys-9' (H3K9me) and 'Lys-27' (H3K27me) of histone H3, leading to transcriptional repression of the affected target gene. Able to mono-, di- and trimethylate 'Lys-27' of histone H3 to form H3K27me1, H3K27me2 and H3K27me3, respectively. Displays a preference for substrates with less methylation, loses activity when progressively more methyl groups are incorporated into H3K27, H3K27me0 > H3K27me1 > H3K27me2 (PubMed : 22323599, PubMed : 30923826). Compared to EZH1-containing complexes, it is more abundant in embryonic stem cells and plays a major role in forming H3K27me3, which is required for embryonic stem cell identity and proper differentiation. The PRC2/EED-EZH2 complex may also serve as a recruiting platform for DNA methyltransferases, thereby linking two epigenetic repression systems. Genes repressed by the PRC2/EED-EZH2 complex include HOXC8, HOXA9, MYT1, CDKN2A and retinoic acid target genes. EZH2 can also methylate non-histone proteins such as the transcription factor GATA4 and the nuclear receptor RORA. Regulates the circadian clock via histone methylation at the promoter of the circadian genes. Essential for the CRY1/2-mediated repression of the transcriptional activation of PER1/2 by the CLOCK-BMAL1 heterodimer; involved in the di and trimethylation of 'Lys-27' of histone H3 on PER1/2 promoters which is necessary for the CRY1/2 proteins to inhibit transcription.
See full target information EZH2

Publications (59)

Recent publications for all applications. Explore the full list and refine your search

Journal of applied oral science : revista FOB 33:e20250123 PubMed40498901

2025

EZH2 expression is restricted to malignant salivary gland tumors.

Applications

Unspecified application

Species

Unspecified reactive species

Dusit Bumalee,Prow Janjarussakul,Jintana Pankam,Tawepong Arayapisit,Nakarin Kitkumthorn,Teerat Chanamorn,Amanda Li Yin Goh,Puangwan Lapthanasupkul

Bone & joint research 14:143-154 PubMed39996291

2025

Occurrence of cellular senescence in chronic human shoulder tendinopathies and its attenuation ex vivo by inhibition of Enhancer of Zeste 2.

Applications

Unspecified application

Species

Unspecified reactive species

Dominik Bühler,Morgane Hilpert,Andrea Barbero,Andreas M Müller,Sebastian A Müller,Ivan Martin,Karoliina Pelttari

Inflammation 48:902-918 PubMed39052181

2024

EZH2-H3K27me3-Mediated Epigenetic Silencing of DKK1 Induces Nucleus Pulposus Cell Pyroptosis in Intervertebral Disc Degeneration by Activating NLRP3 and NAIP/NLRC4.

Applications

Unspecified application

Species

Unspecified reactive species

Qijun Yao,Yue Lei,Yongxu Zhang,Haoran Chen,Xiaowei Dong,Zhiqiang Ye,Haidong Liang

Advanced science (Weinheim, Baden-Wurttemberg, Germany) 11:e2400242 PubMed38874525

2024

Sensory Nerve Regulation via H3K27 Demethylation Revealed in Akermanite Composite Microspheres Repairing Maxillofacial Bone Defect.

Applications

Unspecified application

Species

Unspecified reactive species

Kaijun Gu,Yu Tan,Sitong Li,Siyue Chen,Kaili Lin,Yanmei Tang,Min Zhu

Histology and histopathology 39:1371-1379 PubMed38567631

2024

The potential of EZH2 expression to facilitate treatment choice in stage II colorectal adenocarcinoma.

Applications

Unspecified application

Species

Unspecified reactive species

Xiaoqun Zhu,Lu He,Zhong Zheng,Ya Wang,Jun Yang,Biao Zhang,Chaoshan Wang,Zhiwen Li

Cytotechnology 76:231-246 PubMed38495291

2024

NEAT1 promotes the progression of prostate cancer by targeting the miR-582-5p/EZH2 regulatory axis.

Applications

Unspecified application

Species

Unspecified reactive species

Weiqiang Xu,Yu Wu,Guoxi Zhang

Nature communications 14:7884 PubMed38036539

2023

Delineating the interplay between oncogenic pathways and immunity in anaplastic Wilms tumors.

Applications

Unspecified application

Species

Unspecified reactive species

Xiaoping Su,Xiaofan Lu,Sehrish Khan Bazai,Linda Dainese,Arnauld Verschuur,Benoit Dumont,Roger Mouawad,Li Xu,Wenxuan Cheng,Fangrong Yan,Sabine Irtan,Véronique Lindner,Catherine Paillard,Yves Le Bouc,Aurore Coulomb,Gabriel G Malouf

Experimental hematology & oncology 12:77 PubMed37679762

2023

CUL4B-DDB1-COP1-mediated UTX downregulation promotes colorectal cancer progression.

Applications

Unspecified application

Species

Unspecified reactive species

Dakui Luo,Min Chen,Qingguo Li,Kangjunjie Wang,Kaihua Wang,Junqiang Li,Guoxiang Fu,Zezhi Shan,Qi Liu,Yufei Yang,Lei Liang,Yanlei Ma,Yi Qin,Jun Qin,Daming Gao,Xinxiang Li

Scientific reports 13:5363 PubMed37005451

2023

Long noncoding RNA SNHG6 silencing sensitized esophageal cancer cells to 5-FU via EZH2/STAT pathway.

Applications

Unspecified application

Species

Unspecified reactive species

Ran Tan,Jia Liu,Jiang Wang,Wei Zhang,Meng He,Yueli Zhang

Renal failure 45:2149411 PubMed36724065

2023

Inhibition of EZH2 mitigates peritoneal fibrosis and lipid precipitation in peritoneal mesothelial cells mediated by klotho.

Applications

Unspecified application

Species

Unspecified reactive species

Qinglian Wang,Jingshu Sun,Rong Wang,Jing Sun
View all publications

Product promise

We are committed to supporting your work with high-quality reagents, and we're here for you every step of the way. In the unlikely event that one of our products does not perform as expected, you're protected by our Product Promise.
For full details, please see our Terms & Conditions

Please note: All products are 'FOR RESEARCH USE ONLY. NOT FOR USE IN DIAGNOSTIC OR THERAPEUTIC PROCEDURES'.

For licensing inquiries, please contact partnerships@abcam.com