JavaScript is disabled in your browser. Please enable JavaScript to view this website.
AB300491

Anti-KMT6 / EZH2 (mutated Y646N) antibody [EPR24904-99]

  • BOND RX™ Validated
  • 20ul selling size
  • RabMAb
  • Recombinant
  • What is this?

Be the first to review this product! Submit a review

|

(0 Publication)

Rabbit Recombinant Monoclonal KMT6 / EZH2 mutated Y646N antibody. Suitable for WB, IHC-P, Dot, ICC/IF, Flow Cyt (Intra), IP and reacts with Human samples.

View Alternative Names

KMT6, EZH2, Histone-lysine N-methyltransferase EZH2, ENX-1, Enhancer of zeste homolog 2, Lysine N-methyltransferase 6

7 Images
Immunocytochemistry/ Immunofluorescence - Anti-KMT6 / EZH2 (mutated Y646N) antibody [EPR24904-99] (AB300491)
  • ICC/IF

Supplier Data

Immunocytochemistry/ Immunofluorescence - Anti-KMT6 / EZH2 (mutated Y646N) antibody [EPR24904-99] (AB300491)

Immunofluorescent analysis of 4% Paraformaldehyde-fixed, 0.1% TritonX-100 permeabilized HEK293T (human embryonic kidney epithelial cell) cells labelling KMT6 / EZH2 (mutated Y646N) with ab300491 at 1/50 (9.38ug/mL) dilution, followed by ab150081 Goat Anti-Rabbit IgG H&L (Alexa Fluor® 488) preadsorbed antibody at 1/1000 2ug/mL dilution (Green). Confocal image showing nuclear staining in HEK-293T cells transfected with a human EZH2 Y646N expression vector containing a myc tag. is observed. Myc-Tag Mouse mAb (Alexa Fluor® 647) was used to counterstain tubulin at 1/100 0.38ug/ml dilution (Red). The Nuclear counterstain was DAPI (Blue). Secondary antibody only control : Secondary antibody is ab150081 Goat Anti-Rabbit IgG H&L (Alexa Fluor® 488) preadsorbed at 1/1000 2ug/mL dilution.

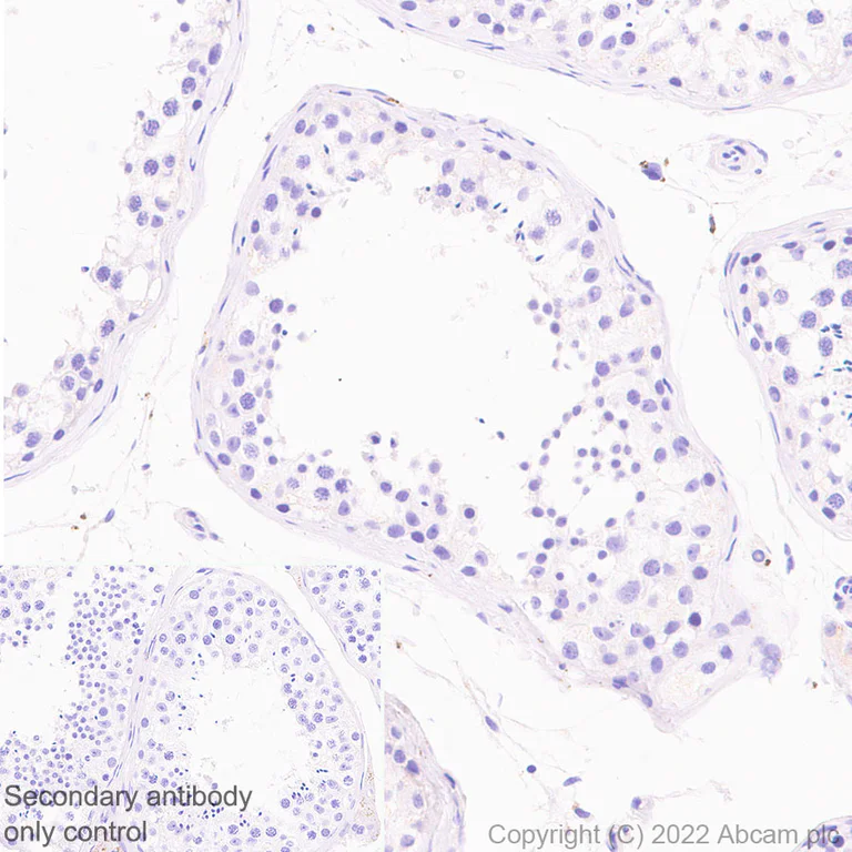
Immunohistochemistry (Formalin/PFA-fixed paraffin-embedded sections) - Anti-KMT6 / EZH2 (mutated Y646N) antibody [EPR24904-99] (AB300491)
  • IHC-P

Supplier Data

Immunohistochemistry (Formalin/PFA-fixed paraffin-embedded sections) - Anti-KMT6 / EZH2 (mutated Y646N) antibody [EPR24904-99] (AB300491)

Immunohistochemical analysis of paraffin-embedded Human testis tissue labeling KMT6 / EZH2 (mutated Y646N) with ab300491 at 1/200 (2.345 ug/ml) followed by a ready to use LeicaDS9800 (Bond™ Polymer Refine Detection) was used. Negative control : No staining on human testis. The section was incubated with ab300491 for 30 mins at room temperature.The immunostaining was performed on a Leica Biosystems BOND® RX instrument Counterstained with Hematoxylin. Secondary antibody only control : Secondary antibody is a ready to use LeicaDS9800 (Bond™ Polymer Refine Detection) was used.Heat mediated antigen retrieval with Tris-EDTA buffer (pH 9.0, epitope retrieval solution2) for 20 mins

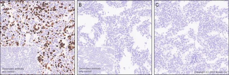
Immunohistochemistry (Formalin/PFA-fixed paraffin-embedded sections) - Anti-KMT6 / EZH2 (mutated Y646N) antibody [EPR24904-99] (AB300491)
  • IHC-P

Supplier Data

Immunohistochemistry (Formalin/PFA-fixed paraffin-embedded sections) - Anti-KMT6 / EZH2 (mutated Y646N) antibody [EPR24904-99] (AB300491)

Immunohistochemical analysis of paraffin-embedded Panel A HEK-293T ce tissue labeling KMT6 / EZH2 (mutated Y646N) with ab300491 at 1/200 (2.345 ug/ml) followed by a ready to use LeicaDS9800 (Bond™ Polymer Refine Detection) was used. Positive staining on HEK-293T cells transfected with a human EZH2 Y646N expression vector (Panel A), no staining on HEK-293T cells transfected with a human EZH2 WT expression vector (Panel B), no staining on HEK-293T transfected with an empty vector (Panel C). The section was incubated with ab300491 for 30 mins at room temperature.The immunostaining was performed on a Leica Biosystems BOND® RX instrument Counterstained with Hematoxylin. Secondary antibody only control : Secondary antibody is a ready to use LeicaDS9800 (Bond™ Polymer Refine Detection) was used.Heat mediated antigen retrieval with Tris-EDTA buffer (pH 9.0, epitope retrieval solution2) for 20 mins

Flow Cytometry (Intracellular) - Anti-KMT6 / EZH2 (mutated Y646N) antibody [EPR24904-99] (AB300491)
  • Flow Cyt (Intra)

Supplier Data

Flow Cytometry (Intracellular) - Anti-KMT6 / EZH2 (mutated Y646N) antibody [EPR24904-99] (AB300491)

Flow Cytometry (Intracellular) analysis of HEK-293T (human embryonic kidney) cells transfected with a human wild type KMT6 / EZH2 expression vector containing a myc-his tag (Left) / HEK-293T transfected with a human KMT6 / EZH2 mutated Y646N expression vector containing a myc-his tag (Right). Cells were fixed with 4% paraformaldehyde and permeabilized with 90% Methanol. ab300491 used at a 1/500 dilution. A Goat Anti-Rabbit IgG (Alexa Fluor® 488, (ab150081)) was used as the secondary antibody at a 1/2000 dilution.

Immunoprecipitation - Anti-KMT6 / EZH2 (mutated Y646N) antibody [EPR24904-99] (AB300491)
  • IP

Supplier Data

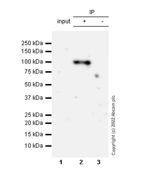
Immunoprecipitation - Anti-KMT6 / EZH2 (mutated Y646N) antibody [EPR24904-99] (AB300491)

KMT6 / EZH2 (mutated Y646N) was immunoprecipitated from 0.35 mg HEK-293T cells transfected with a human KMT6 / EZH2 mutated Y646N expression vector containing a myc-his tag, whole cell lysate 10 ug with ab300491 at 1/30 dilution (2ug in 0.35mg lysates).

Western blot was performed on the immunoprecipitate using ab300491 at 1/1000 dilution.

VeriBlot for IP secondary antibody (HRP) (ab131366) was used at 1/5000 dilution.

Lane 1 : HEK-293T cells transfected with a human KMT6 / EZH2 mutated Y646N expression vector containing a myc-his tag, whole cell lysate 10 ug

Lane 2 : ab300491 IP in HEK-293T cells transfected with a human KMT6 / EZH2 mutated Y646N expression vector containing a myc-his tag, whole cell lysate

Lane 3 : Rabbit monoclonal IgG (ab172730) instead of ab300491 in HEK-293T cells transfected with a human KMT6 / EZH2 mutated Y646N expression vector containing a myc-his tag, whole cell lysate

Blocking and dilution buffer and concentration : 5% NFDM/TBST.

This blot was developed using a high sensitivity ECL substrate. The high-sensitivity ECL substrate used allows for the detection of proteins in the mid-femtogram range.

All lanes:

Immunoprecipitation - Anti-KMT6 / EZH2 (mutated Y646N) antibody [EPR24904-99] (ab300491) at 1/1000 dilution

All lanes:

HEK-293T cells transfected with a human KMT6 / EZH2 mutated Y646N expression vector containing a myc-his tag, whole cell lysate at 10 µg

Secondary

All lanes:

Immunoprecipitation - VeriBlot for IP Detection Reagent (HRP) (<a href='/en-us/products/reagents/veriblot-for-ip-detection-reagent-hrp-ab131366'>ab131366</a>) at 1/5000 dilution

true

Exposure time: 3min

Western blot - Anti-KMT6 / EZH2 (mutated Y646N) antibody [EPR24904-99] (AB300491)
  • WB

Supplier Data

Western blot - Anti-KMT6 / EZH2 (mutated Y646N) antibody [EPR24904-99] (AB300491)

Blocking and diluting buffer and concentration : 5% NFDM/TBST.

This blot was developed using a high sensitivity ECL substrate. The high-sensitivity ECL substrate used allows for the detection of proteins in the mid-femtogram range.

All lanes:

Western blot - Anti-KMT6 / EZH2 (mutated Y646N) antibody [EPR24904-99] (ab300491) at 1/1000 dilution

Lane 1:

HEK-293T cells transfected with a human KMT6 / EZH2 mutated Y646N expression vector containi a myc-his tag, whole cell lysate, 10

Lane 2:

HEK-293T cells transfected with a human wild type KMT6 / EZH2 expression vector containi a myc-his tag, whole cell lysate, 10

Secondary

All lanes:

Western blot - Goat Anti-Rabbit IgG H&L (HRP) (<a href='/en-us/products/secondary-antibodies/goat-rabbit-igg-h-l-hrp-ab97051'>ab97051</a>) at 1/100000 dilution

Observed band size: 98 kDa

true

Exposure time: 6s

Dot Blot - Anti-KMT6 / EZH2 (mutated Y646N) antibody [EPR24904-99] (AB300491)
  • Dot

Supplier Data

Dot Blot - Anti-KMT6 / EZH2 (mutated Y646N) antibody [EPR24904-99] (AB300491)

Dot blot analysis of KMT6 / EZH2 (mutated Y646N) using ab300491 at 1 : 1000 (0.469 ug/ml) followed by a Goat Anti-Rabbit IgG, (H+L), Peroxidase conjugated (ab97051) at 1 : 100,000 dilution. Exposure time : 3 minutes Blocking and diluting buffer and concentration : 5% NFDM/TBST

  • Carrier free

    Anti-KMT6 / EZH2 (mutated Y646N) antibody [EPR24904-99] - BSA and Azide free

Key facts

Host species

Rabbit

Clonality

Monoclonal

Clone number

EPR24904-99

Isotype

IgG

Carrier free

No

Reacts with

Human

Applications

ICC/IF, Flow Cyt (Intra), WB, Dot, IP, IHC-P

applications

Immunogen

The exact immunogen used to generate this antibody is proprietary information.

Reactivity data

{ "title": "Reactivity Data", "filters": { "stats": ["", "Species", "Dilution Info", "Notes"], "tabs": { "all-applications": {"fullname" : "All Applications", "shortname": "All Applications"}, "WB" : {"fullname" : "Western blot", "shortname":"WB"}, "IHCP" : {"fullname" : "Immunohistochemistry (Formalin/PFA-fixed paraffin-embedded sections)", "shortname":"IHC-P"}, "Dot" : {"fullname" : "Dot Blot", "shortname":"Dot"}, "ICCIF" : {"fullname" : "Immunocytochemistry/ Immunofluorescence", "shortname":"ICC/IF"}, "FlowCytIntra" : {"fullname" : "Flow Cytometry (Intracellular)", "shortname":"Flow Cyt (Intra)"}, "IP" : {"fullname" : "Immunoprecipitation", "shortname":"IP"} }, "product-promise": { "all": "all", "testedAndGuaranteed": "tested", "guaranteed": "expected", "predicted": "predicted", "notRecommended": "not-recommended" } }, "values": { "Human": { "WB-species-checked": "testedAndGuaranteed", "WB-species-dilution-info": "1/1000", "WB-species-notes": "<p></p>", "IHCP-species-checked": "testedAndGuaranteed", "IHCP-species-dilution-info": "1/200", "IHCP-species-notes": "<p></p> Perform heat-mediated antigen retrieval with Tris/EDTA buffer pH 9.0 before commencing with IHC staining protocol.", "Dot-species-checked": "testedAndGuaranteed", "Dot-species-dilution-info": "1/1000", "Dot-species-notes": "<p></p>", "ICCIF-species-checked": "testedAndGuaranteed", "ICCIF-species-dilution-info": "1/50", "ICCIF-species-notes": "<p></p>", "FlowCytIntra-species-checked": "testedAndGuaranteed", "FlowCytIntra-species-dilution-info": "1/500", "FlowCytIntra-species-notes": "<p></p>", "IP-species-checked": "testedAndGuaranteed", "IP-species-dilution-info": "1/30", "IP-species-notes": "<p></p>" }, "Mouse": { "WB-species-checked": "notRecommended", "WB-species-dilution-info": "1/1000", "WB-species-notes": "<p></p>", "IHCP-species-checked": "notRecommended", "IHCP-species-dilution-info": "1/200", "IHCP-species-notes": "<p></p> Perform heat-mediated antigen retrieval with Tris/EDTA buffer pH 9.0 before commencing with IHC staining protocol.", "Dot-species-checked": "notRecommended", "Dot-species-dilution-info": "", "Dot-species-notes": "", "ICCIF-species-checked": "notRecommended", "ICCIF-species-dilution-info": "", "ICCIF-species-notes": "", "FlowCytIntra-species-checked": "notRecommended", "FlowCytIntra-species-dilution-info": "", "FlowCytIntra-species-notes": "", "IP-species-checked": "notRecommended", "IP-species-dilution-info": "", "IP-species-notes": "" }, "Rat": { "WB-species-checked": "notRecommended", "WB-species-dilution-info": "1/1000", "WB-species-notes": "<p></p>", "IHCP-species-checked": "notRecommended", "IHCP-species-dilution-info": "1/200", "IHCP-species-notes": "<p></p> Perform heat-mediated antigen retrieval with Tris/EDTA buffer pH 9.0 before commencing with IHC staining protocol.", "Dot-species-checked": "notRecommended", "Dot-species-dilution-info": "", "Dot-species-notes": "", "ICCIF-species-checked": "notRecommended", "ICCIF-species-dilution-info": "", "ICCIF-species-notes": "", "FlowCytIntra-species-checked": "notRecommended", "FlowCytIntra-species-dilution-info": "", "FlowCytIntra-species-notes": "", "IP-species-checked": "notRecommended", "IP-species-dilution-info": "", "IP-species-notes": "" } } }

Product details

Patented technology
Our RabMAb® technology is a patented hybridoma-based technology for making rabbit monoclonal antibodies. For details on our patents, please refer to RabMAb® patents.

What are the advantages of a recombinant monoclonal antibody?
This product is a recombinant monoclonal antibody, which offers several advantages including:

  • - High batch-to-batch consistency and reproducibility
  • - Improved sensitivity and specificity
  • - Long-term security of supply
  • - Animal-free batch production

For more information, read more on recombinant antibodies.

Properties and storage information

Form
Liquid
Purification technique
Affinity purification Protein A
Storage buffer
pH: 7.2 - 7.4 Preservative: 0.01% Sodium azide Constituents: PBS, 40% Glycerol (glycerin, glycerine), 0.05% BSA
Shipped at conditions
Blue Ice
Appropriate short-term storage duration
1-2 weeks
Appropriate short-term storage conditions
+4°C
Appropriate long-term storage conditions
-20°C
Aliquoting information
Upon delivery aliquot
Storage information
Avoid freeze / thaw cycle

Supplementary information

This supplementary information is collated from multiple sources and compiled automatically.

KMT6 also known as EZH2 (Enhancer of Zeste Homolog 2) is a protein that functions as a histone methyltransferase. It catalyzes the methylation of histone H3 on lysine 27 (H3K27) a modification associated with gene silencing. EZH2 is a component of the Polycomb Repressive Complex 2 (PRC2) which plays an important role in chromatin remodeling and transcriptional repression. The EZH2 protein has a molecular weight of approximately 87 kDa and its gene is located on chromosome 7. In terms of expression EZH2 is found in various tissues but is notably abundant in growing and dividing cells.
Biological function summary

EZH2 plays a central role in regulating gene expression during development and differentiation. It is a core component of the PRC2 complex which includes other proteins such as EED and SUZ12. Through its catalytic activity EZH2 contributes to the maintenance of the transcriptionally repressed state of genes influencing processes such as cell identity and proliferation. In many cell types EZH2-mediated gene silencing is necessary for normal development and dysregulation can lead to aberrant cellular processes.

Pathways

EZH2 participates in key regulatory networks notably the Wnt signaling pathway and the p53 pathway. Within the Wnt pathway EZH2's activity contributes to controlling gene expression that influences cellular differentiation and proliferation. Meanwhile interaction with the p53 pathway can impact the cellular response to stress and DNA damage highlighting EZH2’s regulatory dimension. Other proteins like β-catenin in the Wnt pathway interact with EZH2 reflecting its integration in these complex signaling networks.

EZH2 has been linked to cancer and other proliferative diseases. Overexpression or mutation of EZH2 is frequently observed in cancers such as prostate and breast cancer where it contributes to unchecked cell growth and tumor progression. In these contexts proteins like p53 can interact abnormally with EZH2 leading to failure in tumor suppression mechanisms. Additionally deregulated EZH2 activity is implicated in certain developmental disorders highlighting its broader impact on cellular and organismal homeostasis.

Product protocols

For this product, it's our understanding that no specific protocols are required. You can visit:

Target data

Polycomb group (PcG) protein. Catalytic subunit of the PRC2/EED-EZH2 complex, which methylates 'Lys-9' (H3K9me) and 'Lys-27' (H3K27me) of histone H3, leading to transcriptional repression of the affected target gene. Able to mono-, di- and trimethylate 'Lys-27' of histone H3 to form H3K27me1, H3K27me2 and H3K27me3, respectively. Displays a preference for substrates with less methylation, loses activity when progressively more methyl groups are incorporated into H3K27, H3K27me0 > H3K27me1 > H3K27me2 (PubMed : 22323599, PubMed : 30923826). Compared to EZH1-containing complexes, it is more abundant in embryonic stem cells and plays a major role in forming H3K27me3, which is required for embryonic stem cell identity and proper differentiation. The PRC2/EED-EZH2 complex may also serve as a recruiting platform for DNA methyltransferases, thereby linking two epigenetic repression systems. Genes repressed by the PRC2/EED-EZH2 complex include HOXC8, HOXA9, MYT1, CDKN2A and retinoic acid target genes. EZH2 can also methylate non-histone proteins such as the transcription factor GATA4 and the nuclear receptor RORA. Regulates the circadian clock via histone methylation at the promoter of the circadian genes. Essential for the CRY1/2-mediated repression of the transcriptional activation of PER1/2 by the CLOCK-BMAL1 heterodimer; involved in the di and trimethylation of 'Lys-27' of histone H3 on PER1/2 promoters which is necessary for the CRY1/2 proteins to inhibit transcription.
See full target information EZH2 mutated Y646N

Product promise

We are committed to supporting your work with high-quality reagents, and we're here for you every step of the way. In the unlikely event that one of our products does not perform as expected, you're protected by our Product Promise.
For full details, please see our Terms & Conditions

Please note: All products are 'FOR RESEARCH USE ONLY. NOT FOR USE IN DIAGNOSTIC OR THERAPEUTIC PROCEDURES'.

For licensing inquiries, please contact partnerships@abcam.com