JavaScript is disabled in your browser. Please enable JavaScript to view this website.
AB151317

Anti-KPC2 antibody

Be the first to review this product! Submit a review

|

(1 Publication)

Rabbit Polyclonal KPC2 antibody. Suitable for IHC-P, WB, ICC/IF and reacts with Human samples. Cited in 1 publication. Immunogen corresponding to Recombinant Fragment Protein within Human UBAC1 aa 50-350.

View Alternative Names

GBDR1, KPC2, UBADC1, UBAC1, Ubiquitin-associated domain-containing protein 1, UBA domain-containing protein 1, Glialblastoma cell differentiation-related protein 1, Kip1 ubiquitination-promoting complex protein 2

3 Images
Immunocytochemistry/ Immunofluorescence - Anti-KPC2 antibody (AB151317)
  • ICC/IF

Unknown

Immunocytochemistry/ Immunofluorescence - Anti-KPC2 antibody (AB151317)

Immunofluorescence analysis of methanol-fixed HeLa cells, labeling KPC2 using ab151317 at 1/200 dilution. Right panel costained with Hoechst 33342.

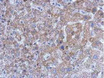
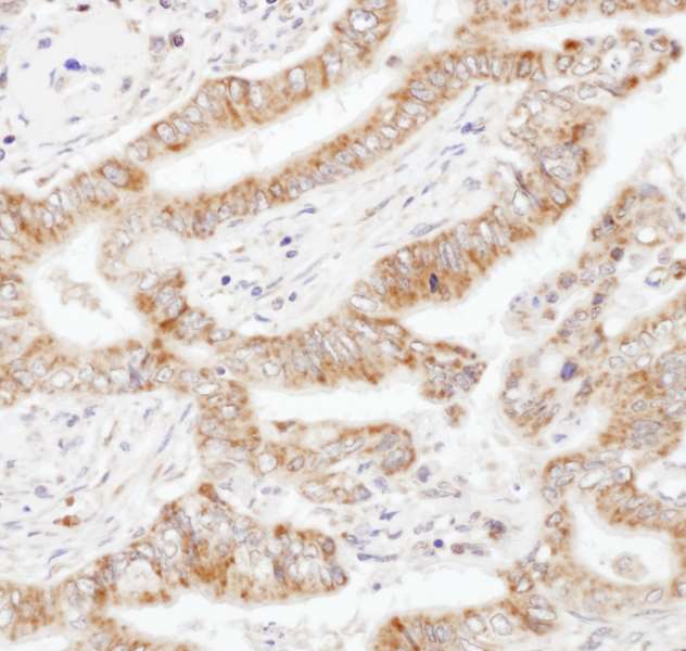
Immunohistochemistry (Formalin/PFA-fixed paraffin-embedded sections) - Anti-KPC2 antibody (AB151317)
  • IHC-P

Unknown

Immunohistochemistry (Formalin/PFA-fixed paraffin-embedded sections) - Anti-KPC2 antibody (AB151317)

Immunohistochemical analysis of paraffin-embedded Human hepatoma labeling KPC2 using ab151317 at 1/500 dilution.

Western blot - Anti-KPC2 antibody (AB151317)
  • WB

Unknown

Western blot - Anti-KPC2 antibody (AB151317)

10% SDS PAGE

All lanes:

Western blot - Anti-KPC2 antibody (ab151317) at 1/1000 dilution

All lanes:

A549 cell lysate at 30 µg

Predicted band size: 45 kDa

false

Key facts

Host species

Rabbit

Clonality

Polyclonal

Isotype

IgG

Carrier free

No

Reacts with

Human

Applications

IHC-P, ICC/IF, WB

applications

Immunogen

Recombinant Fragment Protein within Human UBAC1 aa 50-350. The exact immunogen used to generate this antibody is proprietary information.

Q9BSL1

Reactivity data

{ "title": "Reactivity Data", "filters": { "stats": ["", "Species", "Dilution Info", "Notes"], "tabs": { "all-applications": {"fullname" : "All Applications", "shortname": "All Applications"}, "IHCP" : {"fullname" : "Immunohistochemistry (Formalin/PFA-fixed paraffin-embedded sections)", "shortname":"IHC-P"}, "WB" : {"fullname" : "Western blot", "shortname":"WB"}, "ICCIF" : {"fullname" : "Immunocytochemistry/ Immunofluorescence", "shortname":"ICC/IF"} }, "product-promise": { "all": "all", "testedAndGuaranteed": "tested", "guaranteed": "expected", "predicted": "predicted", "notRecommended": "not-recommended" } }, "values": { "Human": { "IHCP-species-checked": "testedAndGuaranteed", "IHCP-species-dilution-info": "1/100 - 1/1000", "IHCP-species-notes": "<p></p> Perform heat-mediated antigen retrieval with citrate buffer pH 6 before commencing with IHC staining protocol.", "WB-species-checked": "testedAndGuaranteed", "WB-species-dilution-info": "1/500 - 1/3000", "WB-species-notes": "<p></p>", "ICCIF-species-checked": "testedAndGuaranteed", "ICCIF-species-dilution-info": "1/100 - 1/1000", "ICCIF-species-notes": "<p></p>" } } }

Properties and storage information

Form
Liquid
Purification technique
Affinity purification Immunogen
Storage buffer
pH: 7 Preservative: 0.01% Thimerosal (merthiolate) Constituents: PBS, 20% Glycerol (glycerin, glycerine), 1% BSA
Shipped at conditions
Blue Ice
Appropriate short-term storage conditions
+4°C
Appropriate long-term storage conditions
-20°C
Aliquoting information
Upon delivery aliquot
Storage information
Avoid freeze / thaw cycle

Product protocols

For this product, it's our understanding that no specific protocols are required. You can visit:

Target data

Non-catalytic component of the KPC complex, a E3 ubiquitin-protein ligase complex that mediates polyubiquitination of target proteins, such as CDKN1B and NFKB1 (PubMed : 15531880, PubMed : 15746103, PubMed : 16227581, PubMed : 25860612). The KPC complex catalyzes polyubiquitination and proteasome-mediated degradation of CDKN1B during G1 phase of the cell cycle (PubMed : 15531880, PubMed : 15746103). The KPC complex also acts as a key regulator of the NF-kappa-B signaling by promoting maturation of the NFKB1 component of NF-kappa-B by catalyzing ubiquitination of the NFKB1 p105 precursor (PubMed : 25860612). Within the KPC complex, UBAC1 acts as an adapter that promotes the transfer of target proteins that have been polyubiquitinated by RNF123/KPC1 to the 26S proteasome (PubMed : 16227581).
See full target information UBAC1

Publications (1)

Recent publications for all applications. Explore the full list and refine your search

International journal of oncology 50:2091-2100 PubMed28498440

2017

Gastrin induces multidrug resistance via the degradation of p27Kip1 in the gastric carcinoma cell line SGC7901.

Applications

Unspecified application

Species

Unspecified reactive species

Kun Zhuang,Lingxia Zhang,Xin Zhang,Hailing Tang,Jun Zhang,Yuan Yan,Kun Han,Hanqing Guo
View all publications

Product promise

We are committed to supporting your work with high-quality reagents, and we're here for you every step of the way. In the unlikely event that one of our products does not perform as expected, you're protected by our Product Promise.
For full details, please see our Terms & Conditions

Please note: All products are 'FOR RESEARCH USE ONLY. NOT FOR USE IN DIAGNOSTIC OR THERAPEUTIC PROCEDURES'.

For licensing inquiries, please contact partnerships@abcam.com