JavaScript is disabled in your browser. Please enable JavaScript to view this website.
AB70160

Anti-KPNA2 antibody

Be the first to review this product! Submit a review

|

(11 Publications)

Rabbit Polyclonal KPNA2 antibody. Suitable for IHC-P, IP, WB and reacts with Human, Mouse samples. Cited in 11 publications. Immunogen corresponding to Synthetic Peptide within Human KPNA2.

View Alternative Names

RCH1, SRP1, KPNA2, Importin subunit alpha-1, Karyopherin subunit alpha-2, RAG cohort protein 1, SRP1-alpha

3 Images
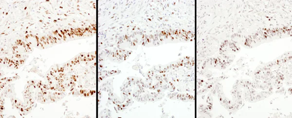
Immunohistochemistry (Formalin/PFA-fixed paraffin-embedded sections) - Anti-KPNA2 antibody (AB70160)
  • IHC-P

Unknown

Immunohistochemistry (Formalin/PFA-fixed paraffin-embedded sections) - Anti-KPNA2 antibody (AB70160)

Immunohistochemistry (Formalin/PFA-fixed paraffin-embedded sections) analysis of human colon carcinoma tissue labelling KPNA2 with ab70160 at 1/1000 (1µg/ml; left and right) and 1/5000 (0.2µg/ml; middle). Detection : DAB.

Western blot - Anti-KPNA2 antibody (AB70160)
  • WB

Supplier Data

Western blot - Anti-KPNA2 antibody (AB70160)

All lanes:

Western blot - Anti-KPNA2 antibody (ab70160) at 0.04 µg/mL

Lane 1:

HeLa whole cell lysate at 50 µg

Lane 2:

HeLa whole cell lysate at 15 µg

Lane 3:

HeLa whole cell lysate at 5 µg

Lane 4:

293T whole cell lysate at 50 µg

Lane 5:

Mouse NIH3T3 whole cell lysate at 50 µg

Predicted band size: 57 kDa

false

Immunoprecipitation - Anti-KPNA2 antibody (AB70160)
  • IP

Supplier Data

Immunoprecipitation - Anti-KPNA2 antibody (AB70160)

Immunoprecipitation of KPNA2 with ab70160 at 0.04 μg/mL.

Lane 1 and 2 : Different lots of ab70160 + Whole cell lysate (1.0 mg per IP reaction; 20% of IP loaded) from HEK293 cells prepared using NETN lysis buffer.

Lane 2 : IgG control + Whole cell lysate (1.0 mg per IP reaction; 20% of IP loaded) from HEK293 cells prepared using NETN lysis buffer.

Detection : Chemiluminescence

All lanes:

Immunoprecipitation - Anti-KPNA2 antibody (ab70160)

Predicted band size: 57 kDa

false

Exposure time: 1s

Key facts

Host species

Rabbit

Clonality

Polyclonal

Isotype

IgG

Carrier free

No

Reacts with

Mouse, Human

Applications

IHC-P, WB, IP

applications

Immunogen

Synthetic Peptide within Human KPNA2. The exact immunogen used to generate this antibody is proprietary information.

P52292

Reactivity data

{ "title": "Reactivity Data", "filters": { "stats": ["", "Species", "Dilution Info", "Notes"], "tabs": { "all-applications": {"fullname" : "All Applications", "shortname": "All Applications"}, "IHCP" : {"fullname" : "Immunohistochemistry (Formalin/PFA-fixed paraffin-embedded sections)", "shortname":"IHC-P"}, "IP" : {"fullname" : "Immunoprecipitation", "shortname":"IP"}, "WB" : {"fullname" : "Western blot", "shortname":"WB"} }, "product-promise": { "all": "all", "testedAndGuaranteed": "tested", "guaranteed": "expected", "predicted": "predicted", "notRecommended": "not-recommended" } }, "values": { "Human": { "IHCP-species-checked": "testedAndGuaranteed", "IHCP-species-dilution-info": "1/1000 - 1/5000", "IHCP-species-notes": "<p></p> Perform heat-mediated antigen retrieval with citrate buffer pH 6 before commencing with IHC staining protocol.", "IP-species-checked": "testedAndGuaranteed", "IP-species-dilution-info": "0.04 µg/mL", "IP-species-notes": "<p></p>", "WB-species-checked": "testedAndGuaranteed", "WB-species-dilution-info": "1/10000 - 1/25000", "WB-species-notes": "<p></p>" }, "Mouse": { "IHCP-species-checked": "guaranteed", "IHCP-species-dilution-info": "", "IHCP-species-notes": "", "IP-species-checked": "guaranteed", "IP-species-dilution-info": "", "IP-species-notes": "", "WB-species-checked": "testedAndGuaranteed", "WB-species-dilution-info": "1/10000 - 1/25000", "WB-species-notes": "<p></p>" }, "Chimpanzee": { "IHCP-species-checked": "predicted", "IHCP-species-dilution-info": "", "IHCP-species-notes": "", "IP-species-checked": "predicted", "IP-species-dilution-info": "", "IP-species-notes": "", "WB-species-checked": "predicted", "WB-species-dilution-info": "", "WB-species-notes": "" }, "Orangutan": { "IHCP-species-checked": "predicted", "IHCP-species-dilution-info": "", "IHCP-species-notes": "", "IP-species-checked": "predicted", "IP-species-dilution-info": "", "IP-species-notes": "", "WB-species-checked": "predicted", "WB-species-dilution-info": "", "WB-species-notes": "" } } }

Properties and storage information

Form
Liquid
Purification technique
Affinity purification Immunogen
Storage buffer
pH: 7 - 8 Preservative: 0.09% Sodium azide Constituents: PBS, 1.815% Tris, 1.764% Sodium citrate
Shipped at conditions
Blue Ice
Appropriate short-term storage conditions
+4°C
Appropriate long-term storage conditions
-20°C
Aliquoting information
Upon delivery aliquot
Storage information
Avoid freeze / thaw cycle

Supplementary information

This supplementary information is collated from multiple sources and compiled automatically.

KPNA2 also known as Importin subunit alpha-1 functions as a facilitator for nuclear protein import. It has a mass of about 58 kDa and resides mainly in the cytoplasm and nucleus. This protein binds with specific nuclear localization signals on cargo proteins and assists in their transport into the nucleus through the nuclear pore complex. KPNA2 expression levels vary between tissues but it often appears in higher amounts in proliferative tissues.
Biological function summary

KPNA2 plays an important role in cellular processes by forming a complex with importin beta aiding nuclear-cytoplasmic transport. This transport system is important for regulating gene expression and maintaining cellular homeostasis. KPNA2 influences the correct localization of many signaling and transcription factors impacting numerous cellular functions including cell cycle progression and DNA repair.

Pathways

KPNA2 is a critical player in the nuclear import pathway and intersects with the cell cycle regulation pathway. It is closely associated with proteins such as importin beta which together facilitate the translocation of proteins into the nucleus. KPNA2's function in importing various regulators ensures proper cell cycle progression and responds to cellular stress signals.

KPNA2 is linked to several cancers particularly breast and ovarian cancer. Its overexpression often correlates with poor prognosis in these cancers suggesting a role in tumor progression. KPNA2 interacts with oncogenic proteins like MYC and AURKA in these pathological states influencing tumor growth and survival mechanisms.

Product protocols

For this product, it's our understanding that no specific protocols are required. You can visit:

Target data

Functions in nuclear protein import as an adapter protein for nuclear receptor KPNB1 (PubMed : 28991411, PubMed : 32130408, PubMed : 7604027, PubMed : 7754385). Binds specifically and directly to substrates containing either a simple or bipartite NLS motif (PubMed : 28991411, PubMed : 32130408, PubMed : 7604027, PubMed : 7754385). Docking of the importin/substrate complex to the nuclear pore complex (NPC) is mediated by KPNB1 through binding to nucleoporin FxFG repeats and the complex is subsequently translocated through the pore by an energy requiring, Ran-dependent mechanism (PubMed : 7604027, PubMed : 7754385). At the nucleoplasmic side of the NPC, Ran binds to importin-beta and the three components separate and importin-alpha and -beta are re-exported from the nucleus to the cytoplasm where GTP hydrolysis releases Ran from importin. The directionality of nuclear import is thought to be conferred by an asymmetric distribution of the GTP- and GDP-bound forms of Ran between the cytoplasm and nucleus. Mediator of PR-DUB complex component BAP1 nuclear import; acts redundantly with KPNA1 and Transportin-1/TNPO1 (PubMed : 35446349).
See full target information KPNA2

Publications (11)

Recent publications for all applications. Explore the full list and refine your search

Cellular & molecular biology letters 30:20 PubMed39956902

2025

Tumor-derived exosomal KPNA2 activates fibroblasts and interacts with KIFC1 to promote bladder cancer progression, a process inhibited by miR-26b-5p.

Applications

Unspecified application

Species

Unspecified reactive species

Cong Yin,Cen Liufu,Shuai Ye,Tao Zhu,Jiahao Jiang,Mingxia Wang,Liqun Zhou,Lin Yao,Yan Wang,Bentao Shi

Nature cell biology 26:1691-1699 PubMed39209961

2024

Nuclear proteasomes buffer cytoplasmic proteins during autophagy compromise.

Applications

Unspecified application

Species

Unspecified reactive species

So Jung Park,Sung Min Son,Antonio Daniel Barbosa,Lidia Wrobel,Eleanna Stamatakou,Ferdinando Squitieri,Gabriel Balmus,David C Rubinsztein

The Journal of clinical investigation 133: PubMed36647821

2023

Karyopherin α deficiency contributes to human preimplantation embryo arrest.

Applications

Unspecified application

Species

Unspecified reactive species

Wenjing Wang,Yoichi Miyamoto,Biaobang Chen,Juanzi Shi,Feiyang Diao,Wei Zheng,Qun Li,Lan Yu,Lin Li,Yao Xu,Ling Wu,Xiaoyan Mao,Jing Fu,Bin Li,Zheng Yan,Rong Shi,Xia Xue,Jian Mu,Zhihua Zhang,Tianyu Wu,Lin Zhao,Weijie Wang,Zhou Zhou,Jie Dong,Qiaoli Li,Li Jin,Lin He,Xiaoxi Sun,Ge Lin,Yanping Kuang,Lei Wang,Qing Sang

Science advances 8:eabm2411 PubMed35867785

2022

Spatiotemporal gating of Stat nuclear influx by Npas4 in collective cell migration.

Applications

Unspecified application

Species

Unspecified reactive species

Jhen-Wei Wu,Chueh-Wen Wang,Ruo-Yu Chen,Liang-Yi Hung,Yu-Chen Tsai,Yu-Ting Chan,Yu-Chiuan Chang,Anna C-C Jang

Frontiers in molecular biosciences 9:902220 PubMed35669562

2022

SMARCC1 Enters the Nucleus via KPNA2 and Plays an Oncogenic Role in Bladder Cancer.

Applications

Unspecified application

Species

Unspecified reactive species

Zhengmao Wei,Jinming Xu,Weiqing Li,Longhua Ou,Yingchen Zhou,Yan Wang,Bentao Shi

eLife 10: PubMed34161229

2021

Multiple pathways of toxicity induced by dipeptide repeat aggregates and GC RNA in a cellular model.

Applications

Unspecified application

Species

Unspecified reactive species

Frédéric Frottin,Manuela Pérez-Berlanga,F Ulrich Hartl,Mark S Hipp

Journal of translational medicine 19:112 PubMed33731128

2021

KPNA2 interaction with CBX8 contributes to the development and progression of bladder cancer by mediating the PRDM1/c-FOS pathway.

Applications

Unspecified application

Species

Unspecified reactive species

Fanchang Zeng,Liumei Luo,Daoyuan Li,Juncheng Guo,Min Guo

Journal of virology 93: PubMed30814284

2019

Vaccinia Virus BBK E3 Ligase Adaptor A55 Targets Importin-Dependent NF-κB Activation and Inhibits CD8 T-Cell Memory.

Applications

Unspecified application

Species

Unspecified reactive species

Mitchell A Pallett,Hongwei Ren,Rui-Yao Zhang,Simon R Scutts,Laura Gonzalez,Zihan Zhu,Carlos Maluquer de Motes,Geoffrey L Smith

Cell 167:774-788.e17 PubMed27768896

2016

C9orf72 Dipeptide Repeats Impair the Assembly, Dynamics, and Function of Membrane-Less Organelles.

Applications

Unspecified application

Species

Unspecified reactive species

Kyung-Ha Lee,Peipei Zhang,Hong Joo Kim,Diana M Mitrea,Mohona Sarkar,Brian D Freibaum,Jaclyn Cika,Maura Coughlin,James Messing,Amandine Molliex,Brian A Maxwell,Nam Chul Kim,Jamshid Temirov,Jennifer Moore,Regina-Maria Kolaitis,Timothy I Shaw,Bing Bai,Junmin Peng,Richard W Kriwacki,J Paul Taylor

Science (New York, N.Y.) 351:173-6 PubMed26634439

2015

Cytoplasmic protein aggregates interfere with nucleocytoplasmic transport of protein and RNA.

Applications

Unspecified application

Species

Unspecified reactive species

Andreas C Woerner,Frédéric Frottin,Daniel Hornburg,Li R Feng,Felix Meissner,Maria Patra,Jörg Tatzelt,Matthias Mann,Konstanze F Winklhofer,F Ulrich Hartl,Mark S Hipp
View all publications

Product promise

We are committed to supporting your work with high-quality reagents, and we're here for you every step of the way. In the unlikely event that one of our products does not perform as expected, you're protected by our Product Promise.
For full details, please see our Terms & Conditions

Please note: All products are 'FOR RESEARCH USE ONLY. NOT FOR USE IN DIAGNOSTIC OR THERAPEUTIC PROCEDURES'.

For licensing inquiries, please contact partnerships@abcam.com