JavaScript is disabled in your browser. Please enable JavaScript to view this website.
AB289858

Anti-KPNA2 antibody [EPR25248-95]

  • BOND RX™ Validated
  • 20ul selling size
  • RabMAb
  • Recombinant
  • What is this?

Be the first to review this product! Submit a review

|

(5 Publications)

Rabbit Recombinant Monoclonal KPNA2 antibody. Suitable for IP, WB, IHC-P and reacts with Mouse, Human, Rat samples. Cited in 5 publications.

View Alternative Names

RCH1, SRP1, KPNA2, Importin subunit alpha-1, Karyopherin subunit alpha-2, RAG cohort protein 1, SRP1-alpha

10 Images
Immunohistochemistry (Formalin/PFA-fixed paraffin-embedded sections) - Anti-KPNA2 antibody [EPR25248-95] (AB289858)
  • IHC-P

Supplier Data

Immunohistochemistry (Formalin/PFA-fixed paraffin-embedded sections) - Anti-KPNA2 antibody [EPR25248-95] (AB289858)

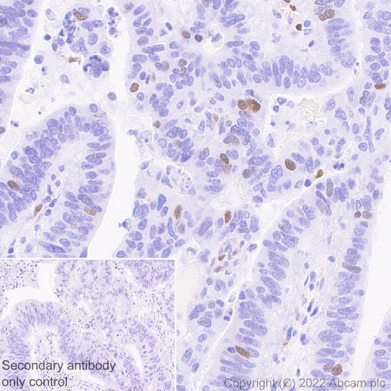
Immunohistochemical analysis of paraffin-embedded Human colon cancer tissue labelling KPNA2 with ab289858 at 1/5000 (0.104 μg/ml) followed by a ready to use LeicaDS9800 (BOND™ Polymer Refine Detection) . Sporadic nuclear staining on human colon cancer (PMID : 33821218). The section was incubated with ab289858 for 30 mins at room temperature.The immunostaining was performed on a Leica Biosystems BOND® RX instrument . Counterstained with Hematoxylin.

Secondary antibody only control : Secondary antibody is a ready to use LeicaDS9800 (BOND™ Polymer Refine Detection) .

Heat mediated antigen retrieval with Tris-EDTA buffer (pH 9.0, epitope retrieval solution2) for 20 mins

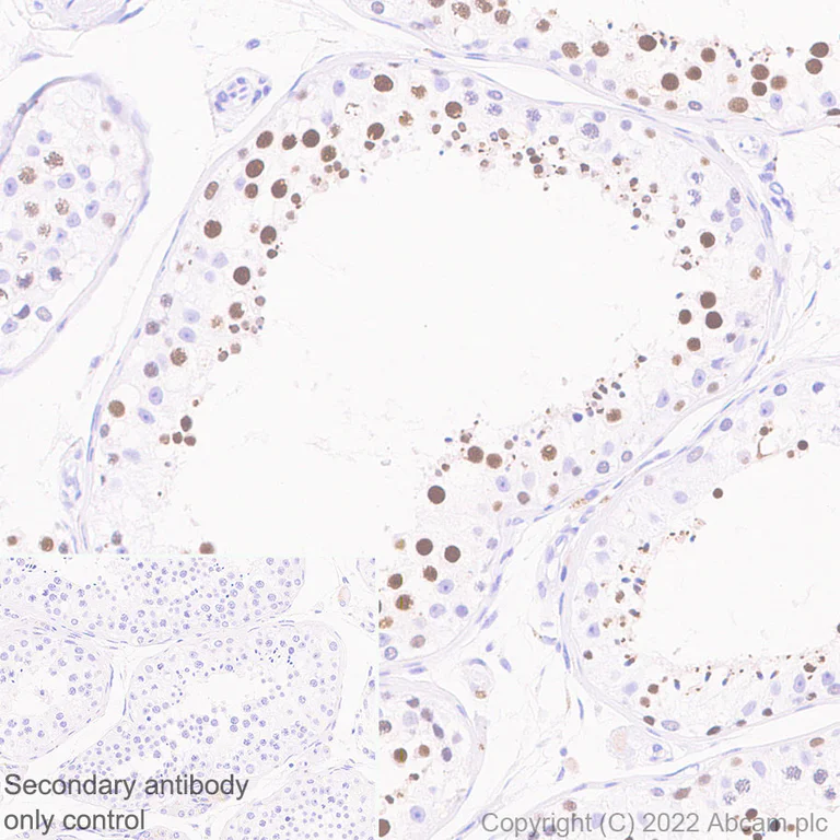
Immunohistochemistry (Formalin/PFA-fixed paraffin-embedded sections) - Anti-KPNA2 antibody [EPR25248-95] (AB289858)
  • IHC-P

Supplier Data

Immunohistochemistry (Formalin/PFA-fixed paraffin-embedded sections) - Anti-KPNA2 antibody [EPR25248-95] (AB289858)

Immunohistochemical analysis of paraffin-embedded human testis tissue labelling KPNA2 with ab289858 at 1/5000 (0.104 μg/ml) followed by a ready to use LeicaDS9800 (BOND™ Polymer Refine Detection) . Nucleus staining on human testis. The section was incubated with ab289858 for 30 mins at room temperature.The immunostaining was performed on a Leica Biosystems BOND® RX instrument. Counterstained with Hematoxylin.

Secondary antibody only control : Secondary antibody is a ready to use LeicaDS9800 (BOND™ Polymer Refine Detection) .

Heat mediated antigen retrieval with Tris-EDTA buffer (pH 9.0, epitope retrieval solution2) for 20 mins

Immunohistochemistry (Formalin/PFA-fixed paraffin-embedded sections) - Anti-KPNA2 antibody [EPR25248-95] (AB289858)
  • IHC-P

Supplier Data

Immunohistochemistry (Formalin/PFA-fixed paraffin-embedded sections) - Anti-KPNA2 antibody [EPR25248-95] (AB289858)

Immunohistochemical analysis of paraffin-embedded human colon tissue labelling KPNA2 with ab289858 at 1/5000 (0.104 μg/ml) followed by a ready to use LeicaDS9800 (BOND™ Polymer Refine Detection) . Sporadic nuclear staining on human colon. The section was incubated with ab289858 for 30 mins at room temperature.The immunostaining was performed on a Leica Biosystems BOND® RX instrument. Counterstained with Hematoxylin.

Secondary antibody only control : Secondary antibody is a ready to use LeicaDS9800 (BOND™ Polymer Refine Detection) .

Heat mediated antigen retrieval with Tris-EDTA buffer (pH 9.0, epitope retrieval solution2) for 20 mins

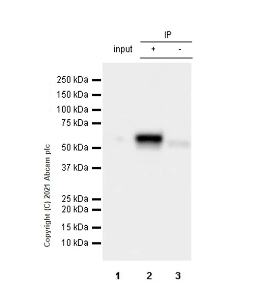
Immunoprecipitation - Anti-KPNA2 antibody [EPR25248-95] (AB289858)
  • IP

Supplier Data

Immunoprecipitation - Anti-KPNA2 antibody [EPR25248-95] (AB289858)

KPNA2 was immunoprecipitated from HeLa (human cervix adenocarcinoma epithelial cell) whole cell lysate with ab289858 at 1/30 dilution (2μg in 0.35mg lysates). Western blot was performed on the immunoprecipitate using ab289858 at 1/1000 dilution. VeriBlot for IP secondary antibody(HRP)(ab131366) was used at 1/5000 dilution.

Lane 1 : HeLa (human cervix adenocarcinoma epithelial cell) whole cell lysate 10 μg

Lane 2 : ab289858 IP in HeLa whole cell lysate

Lane 3 : Rabbit monoclonal IgG (ab172730) instead of ab289858 in HeLa whole cell lysate

Blocking and dilution buffer and concentration : 5% NFDM/TBST.

Exposure time : 3.25 seconds

The lower band in lane 2 may be caused by degradation.

All lanes:

Immunoprecipitation - Anti-KPNA2 antibody [EPR25248-95] (ab289858)

Predicted band size: 57 kDa

false

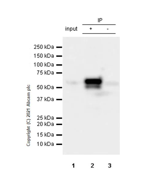
Immunoprecipitation - Anti-KPNA2 antibody [EPR25248-95] (AB289858)
  • IP

Supplier Data

Immunoprecipitation - Anti-KPNA2 antibody [EPR25248-95] (AB289858)

KPNA2 was immunoprecipitated from C2C12 (mouse myoblasts myoblast) whole cell lysate with ab289858 at 1/30 dilution (2μg in 0.35mg lysates). Western blot was performed on the immunoprecipitate using ab289858 at 1/1000 dilution. VeriBlot for IP secondary antibody(HRP)(ab131366) was used at 1/5000 dilution.

Lane 1 : C2C12 (mouse myoblasts myoblast) whole cell lysate 10 μg

Lane 2 : ab289858 IP in C2C12 whole cell lysate

Lane 3 : Rabbit monoclonal IgG (ab172730) instead of ab289858 in C2C12 whole cell lysate

Blocking and dilution buffer and concentration : 5% NFDM/TBST.

Exposure time : 3.25 seconds

All lanes:

Immunoprecipitation - Anti-KPNA2 antibody [EPR25248-95] (ab289858)

Predicted band size: 57 kDa

false

Western blot - Anti-KPNA2 antibody [EPR25248-95] (AB289858)
  • WB

Lab

Western blot - Anti-KPNA2 antibody [EPR25248-95] (AB289858)

False colour image of Western blot : Anti-KPNA2 antibody [EPR25248-95] staining at 1/1000 dilution, shown in green; Mouse anti-GAPDH antibody [6C5] (ab8245) loading control staining at 1/20000 dilution, shown in red. In Western blot, ab289858 was shown to bind specifically to KPNA2. First, samples were run on an SDS-PAGE gel then transferred onto a nitrocellulose membrane. Membranes were blocked in fluorescent western blot (TBS-based) blocking solution before incubation with primary antibodies overnight at 4 °C. Blots were washed four times in TBS-T, incubated with secondary antibodies for 1 h at room temperature, washed again four times then imaged. Secondary antibodies used were Goat anti-Rabbit IgG H&L (IRDye® 800CW) preabsorbed (ab216773) and Goat anti-Mouse IgG H&L (IRDye® 680RD) preabsorbed (ab216776) at 1/20000 dilution.

All lanes:

Western blot - Anti-KPNA2 antibody [EPR25248-95] (ab289858) at 1/1000 dilution

Lane 1:

Human Testis cell lysate at 20 µg

Lane 2:

Human Colon cell lysate at 20 µg

Secondary

Lanes 1 - 2:

Western blot - Goat anti-Mouse IgG H&L (IRDye® 680RD) preadsorbed (<a href='/en-us/products/secondary-antibodies/goat-mouse-igg-h-l-irdye-680rd-preadsorbed-ab216776'>ab216776</a>) at 1/20000 dilution

Lanes 1 - 2:

Western blot - Goat anti-Rabbit IgG H&L (IRDye® 800CW) preadsorbed (<a href='/en-us/products/secondary-antibodies/goat-rabbit-igg-h-l-irdye-800cw-preadsorbed-ab216773'>ab216773</a>) at 1/20000 dilution

Predicted band size: 57 kDa

Observed band size: 55 kDa

false

Western blot - Anti-KPNA2 antibody [EPR25248-95] (AB289858)
  • WB

Supplier Data

Western blot - Anti-KPNA2 antibody [EPR25248-95] (AB289858)

Blocking and diluting buffer and concentration was 5% NFDM/TBST.

Lysates were made fresh and used immediately to minimize protein degradation.

All lanes:

Western blot - Anti-KPNA2 antibody [EPR25248-95] (ab289858) at 1/1000 dilution

Lane 1:

HeLa (human cervix adenocarcinoma epithelial cell) whole cell lysate at 20 µg

Lane 2:

293T (human embryonic kidney epithelial cell) whole cell lysate at 20 µg

Lane 3:

NIH/3T3 (mouse embryonic fibroblast) whole cell lysate at 20 µg

Lane 4:

PC-12 (rat adrenal gland pheochromocytoma) whole cell lysate at 20 µg

Secondary

All lanes:

Western blot - Goat Anti-Rabbit IgG H&L (HRP) (<a href='/en-us/products/secondary-antibodies/goat-rabbit-igg-h-l-hrp-ab97051'>ab97051</a>) at 1/100000 dilution

Predicted band size: 57 kDa

Observed band size: 58 kDa

false

Exposure time: 48s

Western blot - Anti-KPNA2 antibody [EPR25248-95] (AB289858)
  • WB

Supplier Data

Western blot - Anti-KPNA2 antibody [EPR25248-95] (AB289858)

Blocking and diluting buffer and concentration was 5% NFDM/TBST.

Lysates were made fresh and used immediately to minimize protein degradation.

All lanes:

Western blot - Anti-KPNA2 antibody [EPR25248-95] (ab289858) at 1/1000 dilution

Lane 1:

MCF7 (human breast adenocarcinoma epithelial cell) whole cell lysate at 20 µg

Lane 2:

C2C12 (mouse myoblasts myoblast) whole cell lysate at 20 µg

Lane 3:

143B (human osteosarcoma) whole cell lysate at 20 µg

Secondary

All lanes:

Western blot - Goat Anti-Rabbit IgG H&L (HRP) (<a href='/en-us/products/secondary-antibodies/goat-rabbit-igg-h-l-hrp-ab97051'>ab97051</a>) at 1/100000 dilution

Predicted band size: 57 kDa

Observed band size: 58 kDa

false

Exposure time: 3min

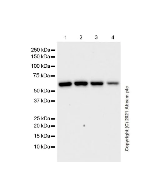
Western blot - Anti-KPNA2 antibody [EPR25248-95] (AB289858)
  • WB

Supplier Data

Western blot - Anti-KPNA2 antibody [EPR25248-95] (AB289858)

Blocking and diluting buffer and concentration was 5% NFDM/TBST.  Exposure time : 5.5 seconds.  Low expression : colon (PMID : 16818692 ).An unknown band at ~35 kDa was detected in mouse testis tissue lysate (lane 1).

All lanes:

Western blot - Anti-KPNA2 antibody [EPR25248-95] (ab289858) at 1/1000 dilution

Lane 1:

Mouse testis tissue lysate at 20 µg

Lane 2:

Mouse colon tissue lysate at 20 µg

Lane 3:

Rat testis tissue lysate at 20 µg

Lane 4:

Rat colon tissue lysate at 20 µg

Secondary

All lanes:

Goat Anti-Rabbit IgG (HRP) with minimal cross-reactivity with human IgG at 1/2000 dilution

false

Western blot - Anti-KPNA2 antibody [EPR25248-95] (AB289858)
  • WB

Supplier Data

Western blot - Anti-KPNA2 antibody [EPR25248-95] (AB289858)

Blocking and diluting buffer and concentration was 5% NFDM/TBST.

Exposure time : 5.5 seconds.

Low expression : colon (PMID : 16818692 ).
An unknown band at ~35 kDa was detected in mouse testis tissue lysate (lane 1).

All lanes:

Western blot - Anti-KPNA2 antibody [EPR25248-95] (ab289858) at 1/1000 dilution

Lane 1:

Mouse testis tissue lysate at 20 µg

Lane 2:

Mouse colon tissue lysate at 20 µg

Lane 3:

Rat testis tissue lysate at 20 µg

Lane 4:

Rat colon tissue lysate at 20 µg

Secondary

All lanes:

Goat Anti-Rabbit IgG (HRP) with minimal cross-reactivity with human IgG at 1/2000 dilution

Predicted band size: 57 kDa

Observed band size: 58 kDa

false

  • Carrier free

    Anti-KPNA2 antibody [EPR25248-95] - BSA and Azide free

Key facts

Host species

Rabbit

Clonality

Monoclonal

Clone number

EPR25248-95

Isotype

IgG

Carrier free

No

Reacts with

Rat, Human, Mouse

Applications

IP, WB, IHC-P

applications

Immunogen

The exact immunogen used to generate this antibody is proprietary information.

Reactivity data

{ "title": "Reactivity Data", "filters": { "stats": ["", "Species", "Dilution Info", "Notes"], "tabs": { "all-applications": {"fullname" : "All Applications", "shortname": "All Applications"}, "ICCIF" : {"fullname" : "Immunocytochemistry/ Immunofluorescence", "shortname":"ICC/IF"}, "IP" : {"fullname" : "Immunoprecipitation", "shortname":"IP"}, "WB" : {"fullname" : "Western blot", "shortname":"WB"}, "IHCP" : {"fullname" : "Immunohistochemistry (Formalin/PFA-fixed paraffin-embedded sections)", "shortname":"IHC-P"}, "FlowCytIntra" : {"fullname" : "Flow Cytometry (Intracellular)", "shortname":"Flow Cyt (Intra)"} }, "product-promise": { "all": "all", "testedAndGuaranteed": "tested", "guaranteed": "expected", "predicted": "predicted", "notRecommended": "not-recommended" } }, "values": { "Human": { "ICCIF-species-checked": "notRecommended", "ICCIF-species-dilution-info": "", "ICCIF-species-notes": "<p></p>", "IP-species-checked": "testedAndGuaranteed", "IP-species-dilution-info": "1/30", "IP-species-notes": "<p></p>", "WB-species-checked": "testedAndGuaranteed", "WB-species-dilution-info": "1/1000", "WB-species-notes": "<p></p>", "IHCP-species-checked": "testedAndGuaranteed", "IHCP-species-dilution-info": "1/5000", "IHCP-species-notes": "<p></p>", "FlowCytIntra-species-checked": "notRecommended", "FlowCytIntra-species-dilution-info": "", "FlowCytIntra-species-notes": "<p></p>" }, "Mouse": { "ICCIF-species-checked": "notRecommended", "ICCIF-species-dilution-info": "", "ICCIF-species-notes": "<p></p>", "IP-species-checked": "testedAndGuaranteed", "IP-species-dilution-info": "1/30", "IP-species-notes": "<p></p>", "WB-species-checked": "testedAndGuaranteed", "WB-species-dilution-info": "1/1000", "WB-species-notes": "<p></p>", "IHCP-species-checked": "notRecommended", "IHCP-species-dilution-info": "1/5000", "IHCP-species-notes": "<p></p>", "FlowCytIntra-species-checked": "notRecommended", "FlowCytIntra-species-dilution-info": "", "FlowCytIntra-species-notes": "<p></p>" }, "Rat": { "ICCIF-species-checked": "notRecommended", "ICCIF-species-dilution-info": "", "ICCIF-species-notes": "", "IP-species-checked": "guaranteed", "IP-species-dilution-info": "", "IP-species-notes": "", "WB-species-checked": "testedAndGuaranteed", "WB-species-dilution-info": "1/1000", "WB-species-notes": "<p></p>", "IHCP-species-checked": "notRecommended", "IHCP-species-dilution-info": "1/5000", "IHCP-species-notes": "<p></p>", "FlowCytIntra-species-checked": "notRecommended", "FlowCytIntra-species-dilution-info": "", "FlowCytIntra-species-notes": "" } } }

Product details

Patented technology
Our RabMAb® technology is a patented hybridoma-based technology for making rabbit monoclonal antibodies. For details on our patents, please refer to RabMAb® patents.

What are the advantages of a recombinant monoclonal antibody?
This product is a recombinant monoclonal antibody, which offers several advantages including:

  • - High batch-to-batch consistency and reproducibility
  • - Improved sensitivity and specificity
  • - Long-term security of supply
  • - Animal-free batch production

For more information, read more on recombinant antibodies.

Properties and storage information

Form
Liquid
Purification technique
Affinity purification Protein A
Storage buffer
pH: 7.2 - 7.4 Preservative: 0.01% Sodium azide Constituents: PBS, 40% Glycerol (glycerin, glycerine), 0.05% BSA
Shipped at conditions
Blue Ice
Appropriate short-term storage duration
1-2 weeks
Appropriate short-term storage conditions
+4°C
Appropriate long-term storage conditions
-20°C
Aliquoting information
Upon delivery aliquot
Storage information
Avoid freeze / thaw cycle

Supplementary information

This supplementary information is collated from multiple sources and compiled automatically.

KPNA2 also known as Importin subunit alpha-1 functions as a facilitator for nuclear protein import. It has a mass of about 58 kDa and resides mainly in the cytoplasm and nucleus. This protein binds with specific nuclear localization signals on cargo proteins and assists in their transport into the nucleus through the nuclear pore complex. KPNA2 expression levels vary between tissues but it often appears in higher amounts in proliferative tissues.
Biological function summary

KPNA2 plays an important role in cellular processes by forming a complex with importin beta aiding nuclear-cytoplasmic transport. This transport system is important for regulating gene expression and maintaining cellular homeostasis. KPNA2 influences the correct localization of many signaling and transcription factors impacting numerous cellular functions including cell cycle progression and DNA repair.

Pathways

KPNA2 is a critical player in the nuclear import pathway and intersects with the cell cycle regulation pathway. It is closely associated with proteins such as importin beta which together facilitate the translocation of proteins into the nucleus. KPNA2's function in importing various regulators ensures proper cell cycle progression and responds to cellular stress signals.

KPNA2 is linked to several cancers particularly breast and ovarian cancer. Its overexpression often correlates with poor prognosis in these cancers suggesting a role in tumor progression. KPNA2 interacts with oncogenic proteins like MYC and AURKA in these pathological states influencing tumor growth and survival mechanisms.

Product protocols

For this product, it's our understanding that no specific protocols are required. You can visit:

Target data

Functions in nuclear protein import as an adapter protein for nuclear receptor KPNB1 (PubMed : 28991411, PubMed : 32130408, PubMed : 7604027, PubMed : 7754385). Binds specifically and directly to substrates containing either a simple or bipartite NLS motif (PubMed : 28991411, PubMed : 32130408, PubMed : 7604027, PubMed : 7754385). Docking of the importin/substrate complex to the nuclear pore complex (NPC) is mediated by KPNB1 through binding to nucleoporin FxFG repeats and the complex is subsequently translocated through the pore by an energy requiring, Ran-dependent mechanism (PubMed : 7604027, PubMed : 7754385). At the nucleoplasmic side of the NPC, Ran binds to importin-beta and the three components separate and importin-alpha and -beta are re-exported from the nucleus to the cytoplasm where GTP hydrolysis releases Ran from importin. The directionality of nuclear import is thought to be conferred by an asymmetric distribution of the GTP- and GDP-bound forms of Ran between the cytoplasm and nucleus. Mediator of PR-DUB complex component BAP1 nuclear import; acts redundantly with KPNA1 and Transportin-1/TNPO1 (PubMed : 35446349).
See full target information KPNA2

Publications (5)

Recent publications for all applications. Explore the full list and refine your search

European journal of medical research 30:765 PubMed40830974

2025

Coordinating oncogenesis and immune evasion: KPNA2, GOLM1, and TK1 as novel CAR T-cell targets in lung adenocarcinoma.

Applications

Unspecified application

Species

Unspecified reactive species

Wangrui Liu,Hui Zou,Lei Guo,Zhonghua Zhou,Yahui Xie,Huaqi Guo,Gang Wei,Kai Zhang,Hui Yin,Shiyin Wei,Jiachang Chi

Oncogene 44:2186-2200 PubMed40216969

2025

KPNA2 promotes osteosarcoma progression by regulating the alternative splicing of DDX3X mediated by YBX1.

Applications

Unspecified application

Species

Unspecified reactive species

Li Cao,Ke Jia,B A Van Tine,Yihan Yu,Yizhong Peng,Xuanzuo Chen,Qing Pan,Wenbo Yang,Zhicai Zhang,Zengwu Shao,Wei Wu

Nature communications 16:2511 PubMed40087285

2025

Deep learning prioritizes cancer mutations that alter protein nucleocytoplasmic shuttling to drive tumorigenesis.

Applications

Unspecified application

Species

Unspecified reactive species

Yongqiang Zheng,Kai Yu,Jin-Fei Lin,Zhuoran Liang,Qingfeng Zhang,Junteng Li,Qi-Nian Wu,Cai-Yun He,Mei Lin,Qi Zhao,Zhi-Xiang Zuo,Huai-Qiang Ju,Rui-Hua Xu,Ze-Xian Liu

Regenerative therapy 28:413-420 PubMed39925963

2025

LncRNA THUMPD3-AS1/microRNA-4465/KPNA2 axis impacts human hepatocellular carcinoma cell phenotypes.

Applications

Unspecified application

Species

Unspecified reactive species

Jiawei Wang,Chunzhong Qiao,Baoyang Luo,Lei Qin

Translational cancer research 13:173-190 PubMed38410201

2024

Preparation of hepatocellular carcinoma mRNA vaccines based on potential tumor targets and immunophenotypes.

Applications

Unspecified application

Species

Unspecified reactive species

Hai-Kuo Wang,Xuan-Hao Xu,Si-Ming Wang,He-Yun Zhang
View all publications

Product promise

We are committed to supporting your work with high-quality reagents, and we're here for you every step of the way. In the unlikely event that one of our products does not perform as expected, you're protected by our Product Promise.
For full details, please see our Terms & Conditions

Please note: All products are 'FOR RESEARCH USE ONLY. NOT FOR USE IN DIAGNOSTIC OR THERAPEUTIC PROCEDURES'.

For licensing inquiries, please contact partnerships@abcam.com