JavaScript is disabled in your browser. Please enable JavaScript to view this website.
AB84706

Anti-KPNA3 antibody

Be the first to review this product! Submit a review

|

(2 Publications)

Rabbit Polyclonal KPNA3 antibody. Suitable for IHC-P, ICC/IF and reacts with Mouse, Human samples. Cited in 2 publications. Immunogen corresponding to Synthetic Peptide within Human KPNA3 aa 1-50.

View Alternative Names

QIP2, KPNA3, Importin subunit alpha-4, Importin alpha Q2, Karyopherin subunit alpha-3, SRP1-gamma, Qip2

4 Images
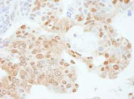
Immunohistochemistry (Formalin/PFA-fixed paraffin-embedded sections) - Anti-KPNA3 antibody (AB84706)
  • IHC-P

Unknown

Immunohistochemistry (Formalin/PFA-fixed paraffin-embedded sections) - Anti-KPNA3 antibody (AB84706)

Detection of Human KPNA3 by Immunohistochemistry. Sample : FFPE section of Human testis. Antibody : ab84706 used at a dilution of 1/500.Detection : DAB staining.

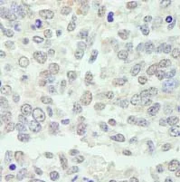
Immunocytochemistry/ Immunofluorescence - Anti-KPNA3 antibody (AB84706)
  • ICC/IF

Unknown

Immunocytochemistry/ Immunofluorescence - Anti-KPNA3 antibody (AB84706)

Detection of Human KPNA3. Sample : FFPE section of Human colon carcinoma. Antibody : ab84706 used at a dilution of 1/100.Detection : Red-fluorescent goat anti-rabbit IgG highly cross-adsorbed Antibody Hilyte PlusTM 555 used at a dilution of 1/100.

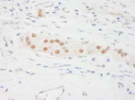
Immunohistochemistry (Formalin/PFA-fixed paraffin-embedded sections) - Anti-KPNA3 antibody (AB84706)
  • IHC-P

Unknown

Immunohistochemistry (Formalin/PFA-fixed paraffin-embedded sections) - Anti-KPNA3 antibody (AB84706)

Detection of Human KPNA3 by Immunohistochemistry. Sample : FFPE section of Human ovarian carcinoma. Antibody : ab84706 used at a dilution of 1/250.Detection : DAB staining.

Immunohistochemistry (Formalin/PFA-fixed paraffin-embedded sections) - Anti-KPNA3 antibody (AB84706)
  • IHC-P

Unknown

Immunohistochemistry (Formalin/PFA-fixed paraffin-embedded sections) - Anti-KPNA3 antibody (AB84706)

Detection of Mouse KPNA3 by Immunohistochemistry. Sample : FFPE section of Mouse teratoma. Antibody : ab84706 used at a dilution of 1/250.Detection : DAB staining.

Key facts

Host species

Rabbit

Clonality

Polyclonal

Isotype

IgG

Carrier free

No

Reacts with

Mouse, Human

Applications

ICC/IF, IHC-P

applications

Immunogen

Synthetic Peptide within Human KPNA3 aa 1-50. The exact immunogen used to generate this antibody is proprietary information.

O00505

Reactivity data

{ "title": "Reactivity Data", "filters": { "stats": ["", "Species", "Dilution Info", "Notes"], "tabs": { "all-applications": {"fullname" : "All Applications", "shortname": "All Applications"}, "IHCP" : {"fullname" : "Immunohistochemistry (Formalin/PFA-fixed paraffin-embedded sections)", "shortname":"IHC-P"}, "ICCIF" : {"fullname" : "Immunocytochemistry/ Immunofluorescence", "shortname":"ICC/IF"} }, "product-promise": { "all": "all", "testedAndGuaranteed": "tested", "guaranteed": "expected", "predicted": "predicted", "notRecommended": "not-recommended" } }, "values": { "Human": { "IHCP-species-checked": "testedAndGuaranteed", "IHCP-species-dilution-info": "1/100 - 1/500", "IHCP-species-notes": "<p></p>", "ICCIF-species-checked": "testedAndGuaranteed", "ICCIF-species-dilution-info": "1/100", "ICCIF-species-notes": "<p></p>" }, "Mouse": { "IHCP-species-checked": "testedAndGuaranteed", "IHCP-species-dilution-info": "1/100 - 1/500", "IHCP-species-notes": "<p></p>", "ICCIF-species-checked": "guaranteed", "ICCIF-species-dilution-info": "", "ICCIF-species-notes": "" }, "Chimpanzee": { "IHCP-species-checked": "predicted", "IHCP-species-dilution-info": "", "IHCP-species-notes": "", "ICCIF-species-checked": "predicted", "ICCIF-species-dilution-info": "", "ICCIF-species-notes": "" }, "Rhesus monkey": { "IHCP-species-checked": "predicted", "IHCP-species-dilution-info": "", "IHCP-species-notes": "", "ICCIF-species-checked": "predicted", "ICCIF-species-dilution-info": "", "ICCIF-species-notes": "" } } }

Product details

Antibody concentration was determined by extinction coefficient: absorbance at 280 nm of 1.4 equals 1.0 mg of IgG.

Properties and storage information

Form
Liquid
Purification technique
Affinity purification Immunogen
Storage buffer
pH: 6.8 - 7.4 Preservative: 0.09% Sodium azide Constituents: Tris buffered saline, 0.1% BSA
Shipped at conditions
Blue Ice
Appropriate short-term storage conditions
+4°C
Appropriate long-term storage conditions
+4°C
Aliquoting information
Upon delivery aliquot
Storage information
Avoid freeze / thaw cycle

Supplementary information

This supplementary information is collated from multiple sources and compiled automatically.

KPNA3 also known as importin subunit alpha-4 is a protein that mediates the nuclear import of proteins by recognizing nuclear localization signals. Its molecular mass is approximately 58 kDa. KPNA3 is present in various tissues including brain liver and heart which suggests its importance in cellular functions across these organs.
Biological function summary

KPNA3 facilitates the transport of proteins into the nucleus serving as an adapter between cargo proteins and the importin beta subunit. KPNA3 is part of the importin complex which is important for nucleocytoplasmic transport. The efficiency of nuclear protein import depends on KPNA3's ability to bind and release cargo proteins effectively.

Pathways

KPNA3 integrates into the nucleocytoplasmic transport pathways and interacts significantly with importin beta. It participates in the regulation of gene expression by ensuring the proper localization of transcription factors. The protein is also connected to other members of the importin family such as KPNA1 and KPNA2 which similarly serve roles in nuclear import pathways.

KPNA3 has links to various conditions such as viral infections and cancer. The protein can interact with viral proteins to facilitate the transport of viral genomes into the nucleus. In cancer KPNA3 expression levels often correlate with the deregulation of nuclear import pathways influencing tumor progression. KPNA3's interactions with proteins like p53 highlight its relevance in understanding disease mechanisms.

Product protocols

For this product, it's our understanding that no specific protocols are required. You can visit:

Target data

Functions in nuclear protein import as an adapter protein for nuclear receptor KPNB1. Binds specifically and directly to substrates containing either a simple or bipartite NLS motif. Docking of the importin/substrate complex to the nuclear pore complex (NPC) is mediated by KPNB1 through binding to nucleoporin FxFG repeats and the complex is subsequently translocated through the pore by an energy requiring, Ran-dependent mechanism. At the nucleoplasmic side of the NPC, Ran binds to importin-beta and the three components separate and importin-alpha and -beta are re-exported from the nucleus to the cytoplasm where GTP hydrolysis releases Ran from importin. The directionality of nuclear import is thought to be conferred by an asymmetric distribution of the GTP- and GDP-bound forms of Ran between the cytoplasm and nucleus. In vitro, mediates the nuclear import of human cytomegalovirus UL84 by recognizing a non-classical NLS. Recognizes NLSs of influenza A virus nucleoprotein probably through ARM repeats 7-9.
See full target information KPNA3

Publications (2)

Recent publications for all applications. Explore the full list and refine your search

FASEB journal : official publication of the Federation of American Societies for Experimental Biology 36:e22353 PubMed35593587

2022

miR-181b regulates vascular endothelial aging by modulating an MAP3K3 signaling pathway.

Applications

Unspecified application

Species

Unspecified reactive species

Haoyang Zhou,Dafeng Yang,Henry S Cheng,Michael G McCoy,Daniel Pérez-Cremades,Stefan Haemmig,Danny Wong,Lei Chen,Mark W Feinberg

PloS one 9:e104563 PubMed25116916

2014

SILAC-based proteomic profiling of the human MDA-MB-231 metastatic breast cancer cell line in response to the two antitumoral lactoferrin isoforms: the secreted lactoferrin and the intracellular delta-lactoferrin.

Applications

Unspecified application

Species

Unspecified reactive species

Esthelle Hoedt,Karima Chaoui,Isabelle Huvent,Christophe Mariller,Bernard Monsarrat,Odile Burlet-Schiltz,Annick Pierce
View all publications

Product promise

We are committed to supporting your work with high-quality reagents, and we're here for you every step of the way. In the unlikely event that one of our products does not perform as expected, you're protected by our Product Promise.
For full details, please see our Terms & Conditions

Please note: All products are 'FOR RESEARCH USE ONLY. NOT FOR USE IN DIAGNOSTIC OR THERAPEUTIC PROCEDURES'.

For licensing inquiries, please contact partnerships@abcam.com