JavaScript is disabled in your browser. Please enable JavaScript to view this website.
AB176585

Anti-KPNA4 antibody

Be the first to review this product! Submit a review

|

(3 Publications)

Rabbit Polyclonal KPNA4 antibody. Suitable for IHC-P, IP, WB and reacts with Human samples. Cited in 3 publications. Immunogen corresponding to Synthetic Peptide within Human KPNA4 aa 450 to C-terminus.

View Alternative Names

QIP1, KPNA4, Importin subunit alpha-3, Importin alpha Q1, Karyopherin subunit alpha-4, Qip1

3 Images
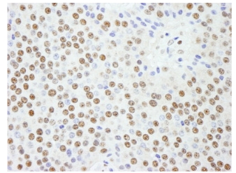
Immunohistochemistry (Formalin/PFA-fixed paraffin-embedded sections) - Anti-KPNA4 antibody (AB176585)
  • IHC-P

Supplier Data

Immunohistochemistry (Formalin/PFA-fixed paraffin-embedded sections) - Anti-KPNA4 antibody (AB176585)

Immunohistochemical analysis of formalin-fixed, paraffin-embedded Human prostate carcinoma tissue labeling KPNA4 with ab176585 at 1μg/ml.

Immunoprecipitation - Anti-KPNA4 antibody (AB176585)
  • IP

Supplier Data

Immunoprecipitation - Anti-KPNA4 antibody (AB176585)

Detection of KPNA4 in Immunoprecipitates of Jurkat whole cell lysate (1 mg for IP, 20% of IP loaded) using ab176585 at 3 μg/mg lysate for IP (Lane 1). For WB detection ab176585 was used at 0.4 μg/ml. Lane 2 represents control IgG IP.

Detection : Chemiluminescence with an exposure time of 0.5 seconds.

All lanes:

Immunoprecipitation - Anti-KPNA4 antibody (ab176585)

Predicted band size: 57 kDa

false

Western blot - Anti-KPNA4 antibody (AB176585)
  • WB

Supplier Data

Western blot - Anti-KPNA4 antibody (AB176585)

All lanes:

Western blot - Anti-KPNA4 antibody (ab176585) at 0.04 µg/mL

Lane 1:

HeLa whole cell lysate at 50 µg

Lane 2:

HeLa whole cell lysate at 15 µg

Lane 3:

HeLa whole cell lysate at 5 µg

Lane 4:

293T whole cell lysate at 50 µg

Predicted band size: 57 kDa

true

Exposure time: 3s

Key facts

Host species

Rabbit

Clonality

Polyclonal

Isotype

IgG

Carrier free

No

Reacts with

Human

Applications

WB, IP, IHC-P

applications

Immunogen

Synthetic Peptide within Human KPNA4 aa 450 to C-terminus. The exact immunogen used to generate this antibody is proprietary information.

O00629

Reactivity data

{ "title": "Reactivity Data", "filters": { "stats": ["", "Species", "Dilution Info", "Notes"], "tabs": { "all-applications": {"fullname" : "All Applications", "shortname": "All Applications"}, "IHCP" : {"fullname" : "Immunohistochemistry (Formalin/PFA-fixed paraffin-embedded sections)", "shortname":"IHC-P"}, "IP" : {"fullname" : "Immunoprecipitation", "shortname":"IP"}, "WB" : {"fullname" : "Western blot", "shortname":"WB"} }, "product-promise": { "all": "all", "testedAndGuaranteed": "tested", "guaranteed": "expected", "predicted": "predicted", "notRecommended": "not-recommended" } }, "values": { "Human": { "IHCP-species-checked": "testedAndGuaranteed", "IHCP-species-dilution-info": "1/100 - 1/500", "IHCP-species-notes": "<p></p> Perform heat-mediated antigen retrieval with citrate buffer pH 6 before commencing with IHC staining protocol.", "IP-species-checked": "testedAndGuaranteed", "IP-species-dilution-info": "2-5 µg/mg of lysate", "IP-species-notes": "<p></p>", "WB-species-checked": "testedAndGuaranteed", "WB-species-dilution-info": "1/2000 - 1/10000", "WB-species-notes": "<p></p>" }, "Chimpanzee": { "IHCP-species-checked": "predicted", "IHCP-species-dilution-info": "", "IHCP-species-notes": "", "IP-species-checked": "predicted", "IP-species-dilution-info": "", "IP-species-notes": "", "WB-species-checked": "predicted", "WB-species-dilution-info": "", "WB-species-notes": "" }, "Chinese hamster": { "IHCP-species-checked": "predicted", "IHCP-species-dilution-info": "", "IHCP-species-notes": "", "IP-species-checked": "predicted", "IP-species-dilution-info": "", "IP-species-notes": "", "WB-species-checked": "predicted", "WB-species-dilution-info": "", "WB-species-notes": "" }, "Cow": { "IHCP-species-checked": "predicted", "IHCP-species-dilution-info": "", "IHCP-species-notes": "", "IP-species-checked": "predicted", "IP-species-dilution-info": "", "IP-species-notes": "", "WB-species-checked": "predicted", "WB-species-dilution-info": "", "WB-species-notes": "" }, "Dog": { "IHCP-species-checked": "predicted", "IHCP-species-dilution-info": "", "IHCP-species-notes": "", "IP-species-checked": "predicted", "IP-species-dilution-info": "", "IP-species-notes": "", "WB-species-checked": "predicted", "WB-species-dilution-info": "", "WB-species-notes": "" }, "Gorilla": { "IHCP-species-checked": "predicted", "IHCP-species-dilution-info": "", "IHCP-species-notes": "", "IP-species-checked": "predicted", "IP-species-dilution-info": "", "IP-species-notes": "", "WB-species-checked": "predicted", "WB-species-dilution-info": "", "WB-species-notes": "" }, "Horse": { "IHCP-species-checked": "predicted", "IHCP-species-dilution-info": "", "IHCP-species-notes": "", "IP-species-checked": "predicted", "IP-species-dilution-info": "", "IP-species-notes": "", "WB-species-checked": "predicted", "WB-species-dilution-info": "", "WB-species-notes": "" }, "Orangutan": { "IHCP-species-checked": "predicted", "IHCP-species-dilution-info": "", "IHCP-species-notes": "", "IP-species-checked": "predicted", "IP-species-dilution-info": "", "IP-species-notes": "", "WB-species-checked": "predicted", "WB-species-dilution-info": "", "WB-species-notes": "" }, "Rabbit": { "IHCP-species-checked": "predicted", "IHCP-species-dilution-info": "", "IHCP-species-notes": "", "IP-species-checked": "predicted", "IP-species-dilution-info": "", "IP-species-notes": "", "WB-species-checked": "predicted", "WB-species-dilution-info": "", "WB-species-notes": "" }, "Rhesus monkey": { "IHCP-species-checked": "predicted", "IHCP-species-dilution-info": "", "IHCP-species-notes": "", "IP-species-checked": "predicted", "IP-species-dilution-info": "", "IP-species-notes": "", "WB-species-checked": "predicted", "WB-species-dilution-info": "", "WB-species-notes": "" } } }

Properties and storage information

Form
Liquid
Purification technique
Affinity purification Immunogen
Purification notes
ab176585 was affinity purified using an epitope specific to KPNA4 immobilized on solid support.
Storage buffer
pH: 6.8 - 7.4 Preservative: 0.09% Sodium azide Constituents: 99% Tris buffered saline, 0.1% BSA
Shipped at conditions
Blue Ice
Appropriate short-term storage duration
1-2 weeks
Appropriate short-term storage conditions
+4°C
Appropriate long-term storage conditions
+4°C
Aliquoting information
Upon delivery aliquot
Storage information
Avoid freeze / thaw cycle

Supplementary information

This supplementary information is collated from multiple sources and compiled automatically.

KPNA4 also known as importin alpha 4 or karyopherin subunit alpha 4 is a protein involved in nuclear transport mechanisms. It has a molecular weight of approximately 58 kDa. KPNA4 finds expression in various tissues including the brain immune cells and reproductive organs. This protein belongs to the family of karyopherins which mediates the import of proteins into the nucleus by recognizing nuclear localization signals.
Biological function summary

KPNA4 plays a role in transporting proteins into the nucleus as part of the importin complex. This complex forms through the association of KPNA4 with importin beta facilitating the translocation of cargo proteins through the nuclear pore complex. This translocation process is essential for regulating gene expression and cellular functions as proteins must reach the cell nucleus to execute their roles. KPNA4 interacts with various cargo proteins allowing them to partake in nuclear activities essential for cellular activity and response.

Pathways

KPNA4 participates in the nuclear import pathway closely linking with the Ran GTPase cycle. This pathway is important for transporting macromolecules between the cytoplasm and nucleus. KPNA4's action complements the function of the importin beta family where it co-transports with proteins like Ran and importin beta ensuring effective and specific nuclear import of karyophilic proteins. The presence of KPNA4 in these pathways highlights its importance in cellular regulation and response paths.

KPNA4 shows connections to neurodegenerative diseases and certain cancers suggesting its potential role in these conditions. In neurodegenerative diseases its association with proteins involved in intracellular transport could imply a role in pathological processes where nuclear-cytoplasmic trafficking is disrupted. Furthermore KPNA4's interaction with proteins like importin beta in cancer could influence tumor progression through altered nuclear transport impacting gene expression and cell cycle regulation. Recognizing these associations might provide insights for therapeutic targeting or diagnostic markers in related conditions.

Product protocols

For this product, it's our understanding that no specific protocols are required. You can visit:

Target data

Functions in nuclear protein import as an adapter protein for nuclear receptor KPNB1 (PubMed : 10567565, PubMed : 20818336, PubMed : 28760339, PubMed : 29042532, PubMed : 38512451). Binds specifically and directly to substrates containing either a simple or bipartite NLS motif (PubMed : 20818336, PubMed : 28760339, PubMed : 29042532, PubMed : 38512451). Docking of the importin/substrate complex to the nuclear pore complex (NPC) is mediated by KPNB1 through binding to nucleoporin FxFG repeats and the complex is subsequently translocated through the pore by an energy requiring, Ran-dependent mechanism (PubMed : 20818336, PubMed : 28760339, PubMed : 29042532, PubMed : 38512451). At the nucleoplasmic side of the NPC, Ran binds to importin-beta and the three components separate and importin-alpha and -beta are re-exported from the nucleus to the cytoplasm where GTP hydrolysis releases Ran from importin (PubMed : 20818336, PubMed : 28760339, PubMed : 29042532, PubMed : 38512451). The directionality of nuclear import is thought to be conferred by an asymmetric distribution of the GTP- and GDP-bound forms of Ran between the cytoplasm and nucleus (PubMed : 20818336, PubMed : 28760339, PubMed : 29042532, PubMed : 38512451). Mediates nuclear import of AARS1, MRTFA and RANBP3 (PubMed : 10567565, PubMed : 20818336, PubMed : 28760339, PubMed : 38512451).. (Microbial infection) In vitro, mediates the nuclear import of human cytomegalovirus UL84 by recognizing a non-classical NLS. In vitro, mediates the nuclear import of human cytomegalovirus UL84 by recognizing a non-classical NLS.
See full target information KPNA4

Publications (3)

Recent publications for all applications. Explore the full list and refine your search

Thoracic cancer 14:544-554 PubMed36573325

2022

Circular RNA hsa_circ_0008003 promotes the progression of non-small-cell lung cancer by sponging miR-548I and regulating KPNA4 expression.

Applications

Unspecified application

Species

Unspecified reactive species

Wenshu Yang,Yingying Yao,Shuai Yang,Yaoqi Ke

Gene 786:145621 PubMed33798680

2021

KPNA4 is involved in cataract formation via the nuclear import of p53.

Applications

Unspecified application

Species

Unspecified reactive species

Xiyuan Ping,Yalan Cheng,Jing Bao,Kexin Shi,Jian Zou,Xingchao Shentu

Science immunology 2: PubMed28783661

2017

Citrullination of NF-κB p65 promotes its nuclear localization and TLR-induced expression of IL-1β and TNFα.

Applications

Unspecified application

Species

Unspecified reactive species

Bo Sun,Nishant Dwivedi,Tyler J Bechtel,Janet L Paulsen,Aaron Muth,Mandar Bawadekar,Gang Li,Paul R Thompson,Miriam A Shelef,Celia A Schiffer,Eranthie Weerapana,I-Cheng Ho
View all publications

Product promise

We are committed to supporting your work with high-quality reagents, and we're here for you every step of the way. In the unlikely event that one of our products does not perform as expected, you're protected by our Product Promise.
For full details, please see our Terms & Conditions

Please note: All products are 'FOR RESEARCH USE ONLY. NOT FOR USE IN DIAGNOSTIC OR THERAPEUTIC PROCEDURES'.

For licensing inquiries, please contact partnerships@abcam.com