JavaScript is disabled in your browser. Please enable JavaScript to view this website.
AB302556

Anti-KPNA4 antibody [EPR26347-21]

  • BOND RX™ Validated
  • 20ul selling size
  • RabMAb
  • Recombinant
  • What is this?

Be the first to review this product! Submit a review

|

(1 Publication)

Rabbit Recombinant Monoclonal KPNA4 antibody. Suitable for IP, IHC-P, WB and reacts with Human, Mouse, Rat samples. Cited in 1 publication.

View Alternative Names

QIP1, KPNA4, Importin subunit alpha-3, Importin alpha Q1, Karyopherin subunit alpha-4, Qip1

6 Images
Immunohistochemistry (Formalin/PFA-fixed paraffin-embedded sections) - Anti-KPNA4 antibody [EPR26347-21] (AB302556)
  • IHC-P

Supplier Data

Immunohistochemistry (Formalin/PFA-fixed paraffin-embedded sections) - Anti-KPNA4 antibody [EPR26347-21] (AB302556)

Immunohistochemical analysis of paraffin-embedded Human lung tissue labeling KPNA4 with ab302556 at 1/5000 (0.109 ug/ml) followed by a ready to use LeicaDS9800 (Bond™ Polymer Refine Detection) was used. Nuclear staining on human lung (PMID : 32320654).The section was incubated with ab302556 for 30 mins at room temperature.The immunostaining was performed on a Leica Biosystems BOND® RX instrument Counterstained with Hematoxylin. Secondary antibody only control : Secondary antibody is a ready to use LeicaDS9800 (Bond™ Polymer Refine Detection) was used. Heat mediated antigen retrieval with Tris-EDTA buffer (pH 9.0, epitope retrieval solution2) for 20 mins

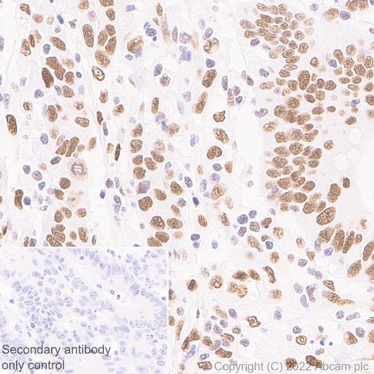
Immunohistochemistry (Formalin/PFA-fixed paraffin-embedded sections) - Anti-KPNA4 antibody [EPR26347-21] (AB302556)
  • IHC-P

Supplier Data

Immunohistochemistry (Formalin/PFA-fixed paraffin-embedded sections) - Anti-KPNA4 antibody [EPR26347-21] (AB302556)

Immunohistochemical analysis of paraffin-embedded Human colon carcinom tissue labeling KPNA4 with ab302556 at 1/5000 (0.109 ug/ml) followed by a ready to use LeicaDS9800 (Bond™ Polymer Refine Detection) was used. Nuclear staining on human colon carcinoma (PMID : 31822798).The section was incubated with ab302556 for 30 mins at room temperature.The immunostaining was performed on a Leica Biosystems BOND® RX instrument Counterstained with Hematoxylin. Secondary antibody only control : Secondary antibody is a ready to use LeicaDS9800 (Bond™ Polymer Refine Detection) was used. Heat mediated antigen retrieval with Tris-EDTA buffer (pH 9.0, epitope retrieval solution2) for 20 mins

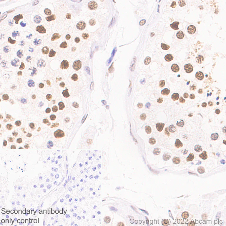
Immunohistochemistry (Formalin/PFA-fixed paraffin-embedded sections) - Anti-KPNA4 antibody [EPR26347-21] (AB302556)
  • IHC-P

Supplier Data

Immunohistochemistry (Formalin/PFA-fixed paraffin-embedded sections) - Anti-KPNA4 antibody [EPR26347-21] (AB302556)

Immunohistochemical analysis of paraffin-embedded Human testis tissue labeling KPNA4 with ab302556 at 1/5000 (0.109 ug/ml) followed by a ready to use LeicaDS9800 (Bond™ Polymer Refine Detection) was used. Nuclear staining on human testis (PMID : 9395085).The section was incubated with ab302556 for 30 mins at room temperature.The immunostaining was performed on a Leica Biosystems BOND® RX instrument Counterstained with Hematoxylin. Secondary antibody only control : Secondary antibody is a ready to use LeicaDS9800 (Bond™ Polymer Refine Detection) was used. Heat mediated antigen retrieval with Tris-EDTA buffer (pH 9.0, epitope retrieval solution2) for 20 mins

Western blot - Anti-KPNA4 antibody [EPR26347-21] (AB302556)
  • WB

Supplier Data

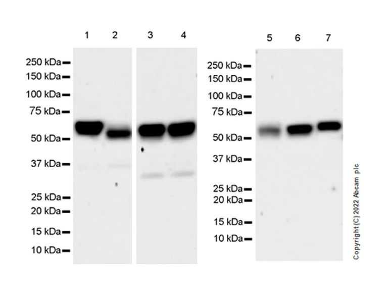
Western blot - Anti-KPNA4 antibody [EPR26347-21] (AB302556)

Blocking and diluting buffer and concentration : 5% NFDM/TBST Low expression : Human kidney (PMID : 9395085).

All lanes:

Western blot - Anti-KPNA4 antibody [EPR26347-21] (ab302556) at 1/1000 dilution

Lane 1:

Human testis tissue lysate 20 µg

Lane 2:

Human kidney tissue lysate 20 µg

Secondary

All lanes:

Goat Anti-Rabbit IgG (HRP) with minimal cross-reactivity with human IgG at 1/4000 dilution

Observed band size: 58 kDa

false

Exposure time: 59s

Western blot - Anti-KPNA4 antibody [EPR26347-21] (AB302556)
  • WB

Supplier Data

Western blot - Anti-KPNA4 antibody [EPR26347-21] (AB302556)

Blocking and diluting buffer and concentration : 5% NFDM/TBST

All lanes:

Western blot - Anti-KPNA4 antibody [EPR26347-21] (ab302556) at 1/1000 dilution

Lane 1:

293T (human embryonic kidney epithelial cell) whole cell lysate 20 µg

Lane 2:

A549 (human lu carcinoma epithelial cell) whole cell lysate 20 µg

Lane 3:

NIH/3T3 (mouse embryonic fibroblast) whole cell lysate 20 µg

Lane 4:

L-929 (mouse connective tissue fibroblast) whole cell lysate 20 µg

Lane 5:

HeLa (human cervix adenocarcinoma epithelial cell) whole cell lysate 20 µg

Lane 6:

Jurkat (human T cell leukemia cell line from peripheral blood) whole cell lysate 20 µg

Lane 7:

Raji (human burkitts lymphoma b lymphocyte) whole cell lysate 20 µg

Secondary

All lanes:

Western blot - Goat Anti-Rabbit IgG H&L (HRP) (<a href='/en-us/products/secondary-antibodies/goat-rabbit-igg-h-l-hrp-ab97051'>ab97051</a>) at 1/100000 dilution

Observed band size: 58 kDa

false

Western blot - Anti-KPNA4 antibody [EPR26347-21] (AB302556)
  • WB

Supplier Data

Western blot - Anti-KPNA4 antibody [EPR26347-21] (AB302556)

Blocking and diluting buffer and concentration : 5% NFDM/TBST

All lanes:

Western blot - Anti-KPNA4 antibody [EPR26347-21] (ab302556) at 1/1000 dilution

Lane 1:

Mouse testis tissue lysate 20 µg

Lane 2:

Mouse ovary tissue lysate 20 µg

Lane 3:

Rat testis tissue lysate 20 µg

Lane 4:

Rat ovary tissue lysate 20 µg

Secondary

All lanes:

Western blot - Goat Anti-Rabbit IgG H&L (HRP) (<a href='/en-us/products/secondary-antibodies/goat-rabbit-igg-h-l-hrp-ab97051'>ab97051</a>) at 1/100000 dilution

Observed band size: 58 kDa

false

Exposure time: 81s

Key facts

Host species

Rabbit

Clonality

Monoclonal

Clone number

EPR26347-21

Isotype

IgG

Carrier free

No

Reacts with

Rat, Mouse, Human

Applications

WB, IHC-P, IP

applications

Immunogen

The exact immunogen used to generate this antibody is proprietary information.

Reactivity data

{ "title": "Reactivity Data", "filters": { "stats": ["", "Species", "Dilution Info", "Notes"], "tabs": { "all-applications": {"fullname" : "All Applications", "shortname": "All Applications"}, "IP" : {"fullname" : "Immunoprecipitation", "shortname":"IP"}, "ICCIF" : {"fullname" : "Immunocytochemistry/ Immunofluorescence", "shortname":"ICC/IF"}, "IHCP" : {"fullname" : "Immunohistochemistry (Formalin/PFA-fixed paraffin-embedded sections)", "shortname":"IHC-P"}, "WB" : {"fullname" : "Western blot", "shortname":"WB"} }, "product-promise": { "all": "all", "testedAndGuaranteed": "tested", "guaranteed": "expected", "predicted": "predicted", "notRecommended": "not-recommended" } }, "values": { "Human": { "IP-species-checked": "testedAndGuaranteed", "IP-species-dilution-info": "1/30", "IP-species-notes": "<p></p>", "ICCIF-species-checked": "notRecommended", "ICCIF-species-dilution-info": "", "ICCIF-species-notes": "<p></p>", "IHCP-species-checked": "testedAndGuaranteed", "IHCP-species-dilution-info": "1/5000", "IHCP-species-notes": "<p></p> Perform heat-mediated antigen retrieval with Tris/EDTA buffer pH 9.0 before commencing with IHC staining protocol.", "WB-species-checked": "testedAndGuaranteed", "WB-species-dilution-info": "1/1000", "WB-species-notes": "<p></p>" }, "Mouse": { "IP-species-checked": "guaranteed", "IP-species-dilution-info": "", "IP-species-notes": "", "ICCIF-species-checked": "notRecommended", "ICCIF-species-dilution-info": "", "ICCIF-species-notes": "<p></p>", "IHCP-species-checked": "notRecommended", "IHCP-species-dilution-info": "1/5000", "IHCP-species-notes": "<p></p> Perform heat-mediated antigen retrieval with Tris/EDTA buffer pH 9.0 before commencing with IHC staining protocol.", "WB-species-checked": "testedAndGuaranteed", "WB-species-dilution-info": "1/1000", "WB-species-notes": "<p></p>" }, "Rat": { "IP-species-checked": "guaranteed", "IP-species-dilution-info": "", "IP-species-notes": "", "ICCIF-species-checked": "notRecommended", "ICCIF-species-dilution-info": "", "ICCIF-species-notes": "", "IHCP-species-checked": "notRecommended", "IHCP-species-dilution-info": "1/5000", "IHCP-species-notes": "<p></p> Perform heat-mediated antigen retrieval with Tris/EDTA buffer pH 9.0 before commencing with IHC staining protocol.", "WB-species-checked": "testedAndGuaranteed", "WB-species-dilution-info": "1/1000", "WB-species-notes": "<p></p>" } } }

Product details

Want a custom formulation?
This antibody clone is manufactured by Abcam. If you require a custom buffer formulation or conjugation for your experiments, please contact orders@abcam.com

Patented technology
Our RabMAb® technology is a patented hybridoma-based technology for making rabbit monoclonal antibodies. For details on our patents, please refer to RabMAb® patents.

What are the advantages of a recombinant monoclonal antibody?
This product is a recombinant monoclonal antibody, which offers several advantages including:

  • - High batch-to-batch consistency and reproducibility
  • - Improved sensitivity and specificity
  • - Long-term security of supply
  • - Animal-free batch production

For more information, read more on recombinant antibodies.

Properties and storage information

Form
Liquid
Purification technique
Affinity purification Protein A
Storage buffer
pH: 7.2 - 7.4 Preservative: 0.01% Sodium azide Constituents: PBS, 40% Glycerol (glycerin, glycerine), 0.05% BSA
Shipped at conditions
Blue Ice
Appropriate short-term storage duration
1-2 weeks
Appropriate short-term storage conditions
+4°C
Appropriate long-term storage conditions
-20°C
Aliquoting information
Upon delivery aliquot
Storage information
Avoid freeze / thaw cycle

Supplementary information

This supplementary information is collated from multiple sources and compiled automatically.

KPNA4 also known as importin alpha 4 or karyopherin subunit alpha 4 is a protein involved in nuclear transport mechanisms. It has a molecular weight of approximately 58 kDa. KPNA4 finds expression in various tissues including the brain immune cells and reproductive organs. This protein belongs to the family of karyopherins which mediates the import of proteins into the nucleus by recognizing nuclear localization signals.
Biological function summary

KPNA4 plays a role in transporting proteins into the nucleus as part of the importin complex. This complex forms through the association of KPNA4 with importin beta facilitating the translocation of cargo proteins through the nuclear pore complex. This translocation process is essential for regulating gene expression and cellular functions as proteins must reach the cell nucleus to execute their roles. KPNA4 interacts with various cargo proteins allowing them to partake in nuclear activities essential for cellular activity and response.

Pathways

KPNA4 participates in the nuclear import pathway closely linking with the Ran GTPase cycle. This pathway is important for transporting macromolecules between the cytoplasm and nucleus. KPNA4's action complements the function of the importin beta family where it co-transports with proteins like Ran and importin beta ensuring effective and specific nuclear import of karyophilic proteins. The presence of KPNA4 in these pathways highlights its importance in cellular regulation and response paths.

KPNA4 shows connections to neurodegenerative diseases and certain cancers suggesting its potential role in these conditions. In neurodegenerative diseases its association with proteins involved in intracellular transport could imply a role in pathological processes where nuclear-cytoplasmic trafficking is disrupted. Furthermore KPNA4's interaction with proteins like importin beta in cancer could influence tumor progression through altered nuclear transport impacting gene expression and cell cycle regulation. Recognizing these associations might provide insights for therapeutic targeting or diagnostic markers in related conditions.

Product protocols

For this product, it's our understanding that no specific protocols are required. You can visit:

Target data

Functions in nuclear protein import as an adapter protein for nuclear receptor KPNB1 (PubMed : 10567565, PubMed : 20818336, PubMed : 28760339, PubMed : 29042532, PubMed : 38512451). Binds specifically and directly to substrates containing either a simple or bipartite NLS motif (PubMed : 20818336, PubMed : 28760339, PubMed : 29042532, PubMed : 38512451). Docking of the importin/substrate complex to the nuclear pore complex (NPC) is mediated by KPNB1 through binding to nucleoporin FxFG repeats and the complex is subsequently translocated through the pore by an energy requiring, Ran-dependent mechanism (PubMed : 20818336, PubMed : 28760339, PubMed : 29042532, PubMed : 38512451). At the nucleoplasmic side of the NPC, Ran binds to importin-beta and the three components separate and importin-alpha and -beta are re-exported from the nucleus to the cytoplasm where GTP hydrolysis releases Ran from importin (PubMed : 20818336, PubMed : 28760339, PubMed : 29042532, PubMed : 38512451). The directionality of nuclear import is thought to be conferred by an asymmetric distribution of the GTP- and GDP-bound forms of Ran between the cytoplasm and nucleus (PubMed : 20818336, PubMed : 28760339, PubMed : 29042532, PubMed : 38512451). Mediates nuclear import of AARS1, MRTFA and RANBP3 (PubMed : 10567565, PubMed : 20818336, PubMed : 28760339, PubMed : 38512451).. (Microbial infection) In vitro, mediates the nuclear import of human cytomegalovirus UL84 by recognizing a non-classical NLS. In vitro, mediates the nuclear import of human cytomegalovirus UL84 by recognizing a non-classical NLS.
See full target information KPNA4

Publications (1)

Recent publications for all applications. Explore the full list and refine your search

Nature communications 16:2511 PubMed40087285

2025

Deep learning prioritizes cancer mutations that alter protein nucleocytoplasmic shuttling to drive tumorigenesis.

Applications

Unspecified application

Species

Unspecified reactive species

Yongqiang Zheng,Kai Yu,Jin-Fei Lin,Zhuoran Liang,Qingfeng Zhang,Junteng Li,Qi-Nian Wu,Cai-Yun He,Mei Lin,Qi Zhao,Zhi-Xiang Zuo,Huai-Qiang Ju,Rui-Hua Xu,Ze-Xian Liu
View all publications

Product promise

We are committed to supporting your work with high-quality reagents, and we're here for you every step of the way. In the unlikely event that one of our products does not perform as expected, you're protected by our Product Promise.
For full details, please see our Terms & Conditions

Please note: All products are 'FOR RESEARCH USE ONLY. NOT FOR USE IN DIAGNOSTIC OR THERAPEUTIC PROCEDURES'.

For licensing inquiries, please contact partnerships@abcam.com