JavaScript is disabled in your browser. Please enable JavaScript to view this website.
AB313370

Anti-KPNB1 antibody [EPR26137-52]

  • BOND RX™ Validated
  • 20ul selling size
  • RabMAb
  • Recombinant
  • What is this?

Be the first to review this product! Submit a review

|

(1 Publication)

Rabbit Recombinant Monoclonal KPNB1 antibody. Suitable for ICC/IF, Flow Cyt (Intra), IHC-P, WB and reacts with Human, Mouse, Rat samples. Cited in 1 publication.

View Alternative Names

NTF97, KPNB1, Importin subunit beta-1, Importin-90, Karyopherin subunit beta-1, Nuclear factor p97, Pore targeting complex 97 kDa subunit, PTAC97

9 Images
Immunohistochemistry (Formalin/PFA-fixed paraffin-embedded sections) - Anti-KPNB1 antibody [EPR26137-52] (AB313370)
  • IHC-P

Supplier Data

Immunohistochemistry (Formalin/PFA-fixed paraffin-embedded sections) - Anti-KPNB1 antibody [EPR26137-52] (AB313370)

Immunohistochemical analysis of paraffin-embedded Human testis tissue labeling KPNB1 with ab313370 at 1/10000 (0.053 ug/ml) followed by a ready to use LeicaDS9800 (Bond™ Polymer Refine Detection). Positive staining on human testis.The section was incubated with ab313370 for 30 mins at room temperature.The immunostaining was performed on a Leica Biosystems BOND® RX instrument Counterstained with Hematoxylin. Secondary antibody only control : Secondary antibody is a ready to use LeicaDS9800 (Bond™ Polymer Refine Detection). Heat mediated antigen retrieval was performed with Tris-EDTA buffer (pH 9.0, Epitope Retrieval Solution2) for 20 mins

Immunocytochemistry/ Immunofluorescence - Anti-KPNB1 antibody [EPR26137-52] (AB313370)
  • ICC/IF

Supplier Data

Immunocytochemistry/ Immunofluorescence - Anti-KPNB1 antibody [EPR26137-52] (AB313370)

Immunofluorescent analysis of 4% Paraformaldehyde-fixed, 0.1% TritonX-100 permeabilized HeLa (human cervical adenocarcinoma epithelial cell) cells labelling KPNB1 with ab313370 at 1/50 (10.5 ug/ml) dilution, followed by ab150081 Goat Anti-Rabbit IgG H&L (Alexa Fluor® 488) preadsorbed antibody at 1/1000 2 ug/ml dilution (Green). Confocal image showing cytoplasmic and nuclear staining in HeLa cell line.Image was taken with a confocal microscope(Leica-Microsystems, TCS SP8). is observed. ab195889 Anti-alpha Tubulin mouse monoclonal antibody - Microtubule Marker (Alexa Fluor® 594) was used to counterstain tubulin at 1/200 2.5ug/ml dilution (Red). The Nuclear counterstain was DAPI (Blue). Secondary antibody only control : Secondary antibody is ab150081 Goat Anti-Rabbit IgG H&L (Alexa Fluor® 488) preadsorbed at 1/1000 2 ug/ml dilution.

Flow Cytometry (Intracellular) - Anti-KPNB1 antibody [EPR26137-52] (AB313370)
  • Flow Cyt (Intra)

Supplier Data

Flow Cytometry (Intracellular) - Anti-KPNB1 antibody [EPR26137-52] (AB313370)

Flow cytometric analysis of 4% paraformaldehyde fixed 90% methanol permeabilized HeLa (human cervical adenocarcinoma epithelial cell) cells labelling KPNB1 with ab313370 at 1/500 dilution (0.1 ug)/Red (Red) compared with a Rabbit monoclonal IgG (ab172730) (Black) isotype control and an unlabelled control (cells without incubation with primary antibody and secondary antibody) (Blue). A Goat Anti-Rabbit IgG (Alexa Fluor® 488, ab150081) at 1/5000 dilution was used as the secondary antibody.

Flow Cytometry (Intracellular) - Anti-KPNB1 antibody [EPR26137-52] (AB313370)
  • Flow Cyt (Intra)

Supplier Data

Flow Cytometry (Intracellular) - Anti-KPNB1 antibody [EPR26137-52] (AB313370)

Flow cytometric analysis of 4% paraformaldehyde fixed 90% methanol permeabilized NIH/3T3 (mouse embryonic fibroblast) cells labelling KPNB1 with ab313370 at 1/500 dilution (0.1 ug)/Red (Red) compared with a Rabbit monoclonal IgG (ab172730) (Black) isotype control and an unlabelled control (cells without incubation with primary antibody and secondary antibody) (Blue). A Goat Anti-Rabbit IgG (Alexa Fluor® 488, ab150081) at 1/5000 dilution was used as the secondary antibody.

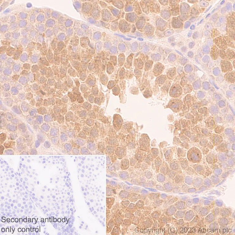
Immunohistochemistry (Formalin/PFA-fixed paraffin-embedded sections) - Anti-KPNB1 antibody [EPR26137-52] (AB313370)
  • IHC-P

Supplier Data

Immunohistochemistry (Formalin/PFA-fixed paraffin-embedded sections) - Anti-KPNB1 antibody [EPR26137-52] (AB313370)

Immunohistochemical analysis of paraffin-embedded Mouse testis tissue labeling KPNB1 with ab313370 at 1/10000 (0.053 ug/ml) followed by a ready to use LeicaDS9800 (Bond™ Polymer Refine Detection). Positive staining on mouse testis.The section was incubated with ab313370 for 30 mins at room temperature.The immunostaining was performed on a Leica Biosystems BOND® RX instrument Counterstained with Hematoxylin. Secondary antibody only control : Secondary antibody is a ready to use LeicaDS9800 (Bond™ Polymer Refine Detection). Heat mediated antigen retrieval was performed with Tris-EDTA buffer (pH 9.0, Epitope Retrieval Solution2) for 20 mins

Immunocytochemistry/ Immunofluorescence - Anti-KPNB1 antibody [EPR26137-52] (AB313370)
  • ICC/IF

Supplier Data

Immunocytochemistry/ Immunofluorescence - Anti-KPNB1 antibody [EPR26137-52] (AB313370)

Immunofluorescent analysis of 4% Paraformaldehyde-fixed, 0.1% TritonX-100 permeabilized NIH/3T3 (mouse embryonic fibroblast) cells labelling KPNB1 with ab313370 at 1/50 (10.5 ug/ml) dilution, followed by ab150081 Goat Anti-Rabbit IgG H&L (Alexa Fluor® 488) preadsorbed antibody at 1/1000 2 ug/ml dilution (Green). Confocal image showing cytoplasmic and nuclear staining in NIH/3T3 cell line.Image was taken with a confocal microscope(Leica-Microsystems, TCS SP8). is observed. ab195889 Anti-alpha Tubulin mouse monoclonal antibody - Microtubule Marker (Alexa Fluor® 594) was used to counterstain tubulin at 1/200 2.5ug/ml dilution (Red). The Nuclear counterstain was DAPI (Blue). Secondary antibody only control : Secondary antibody is ab150081 Goat Anti-Rabbit IgG H&L (Alexa Fluor® 488) preadsorbed at 1/1000 2 ug/ml dilution.

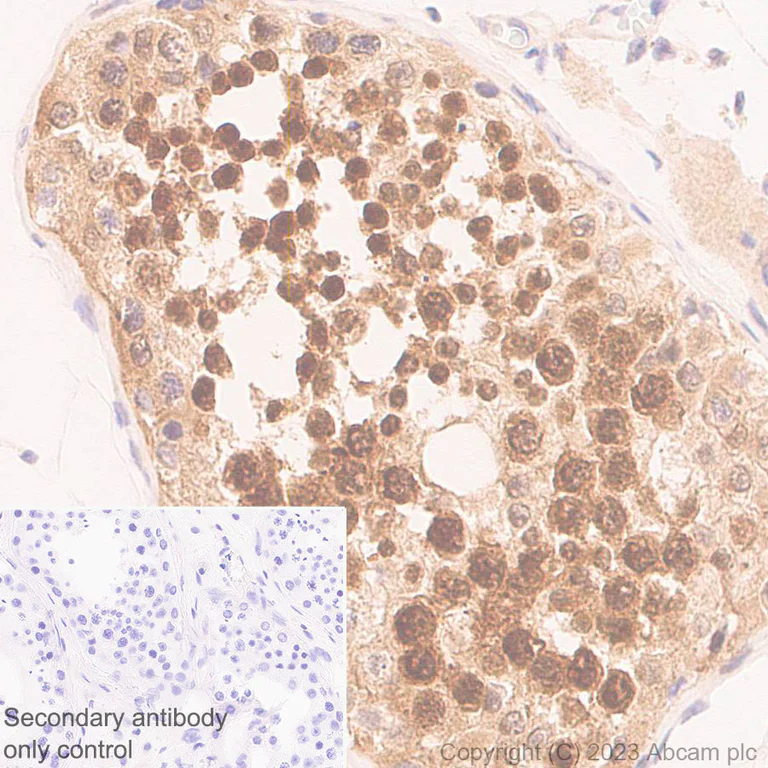
Immunohistochemistry (Formalin/PFA-fixed paraffin-embedded sections) - Anti-KPNB1 antibody [EPR26137-52] (AB313370)
  • IHC-P

Supplier Data

Immunohistochemistry (Formalin/PFA-fixed paraffin-embedded sections) - Anti-KPNB1 antibody [EPR26137-52] (AB313370)

Immunohistochemical analysis of paraffin-embedded Rat testis tissue labeling KPNB1 with ab313370 at 1/10000 (0.053 ug/ml) followed by a ready to use LeicaDS9800 (Bond™ Polymer Refine Detection). Positive staining on rat testis.The section was incubated with ab313370 for 30 mins at room temperature.The immunostaining was performed on a Leica Biosystems BOND® RX instrument Counterstained with Hematoxylin. Secondary antibody only control : Secondary antibody is a ready to use LeicaDS9800 (Bond™ Polymer Refine Detection). Heat mediated antigen retrieval was performed with Tris-EDTA buffer (pH 9.0, Epitope Retrieval Solution2) for 20 mins

Western blot - Anti-KPNB1 antibody [EPR26137-52] (AB313370)
  • WB

Supplier Data

Western blot - Anti-KPNB1 antibody [EPR26137-52] (AB313370)

Blocking and diluting buffer and concentration : 5% NFDM/TBST In Western blot, anti-GAPDH antibody (ab181602) loading control staining at 1/200000 dilution. Exposure time : 26 seconds

All lanes:

Western blot - Anti-KPNB1 antibody [EPR26137-52] (ab313370) at 1/1000 dilution

Lane 1:

HeLa (human cervical adenocarcinoma epithelial cell) transfected with scrambled siRNA control whole cell lysate at 10 µg

Lane 2:

HeLa transfected with siRNA specifically targeti KPNB1 whole cell lysate at 10 µg

Secondary

All lanes:

Western blot - Goat Anti-Rabbit IgG H&L (HRP) (<a href='/en-us/products/secondary-antibodies/goat-rabbit-igg-h-l-hrp-ab97051'>ab97051</a>) at 1/100000 dilution

Observed band size: 97 kDa

false

Exposure time: 26s

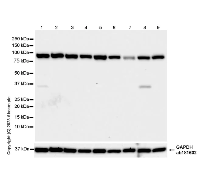
Western blot - Anti-KPNB1 antibody [EPR26137-52] (AB313370)
  • WB

Supplier Data

Western blot - Anti-KPNB1 antibody [EPR26137-52] (AB313370)

Blocking and diluting buffer and concentration : 5% NFDM/TBST In Western blot, anti-GAPDH antibody (ab181602) loading control staining at 1/200000 dilution. Exposure time : 26 seconds

All lanes:

Western blot - Anti-KPNB1 antibody [EPR26137-52] (ab313370) at 1/1000 dilution

Lane 1:

NIH/3T3 (mouse embryonic fibroblast) whole cell lysate at 20 µg

Lane 2:

C6 (rat glial tumor glial cell) whole cell lysate at 20 µg

Lane 3:

PC-12 (rat adrenal gland pheochromocytoma cell) whole cell lysate at 20 µg

Lane 4:

HepG2 (human hepatocellar carcinoma epithelial cell) whole cell lysate at 20 µg

Lane 5:

Caco-2 (human colorectal adenocarcinoma epithelial cell) whole cell lysate at 20 µg

Lane 6:

SK-OV-3 (human ovarian cancer epithelial cell) whole cell lysate at 20 µg

Lane 7:

Human testis tissue lysate at 20 µg

Lane 8:

Mouse testis tissue lysate at 20 µg

Lane 9:

Rat testis tissue lysate at 20 µg

Secondary

All lanes:

Western blot - Goat Anti-Rabbit IgG H&L (HRP) (<a href='/en-us/products/secondary-antibodies/goat-rabbit-igg-h-l-hrp-ab97051'>ab97051</a>) at 1/100000 dilution

Observed band size: 97 kDa

false

Exposure time: 26s

  • Carrier free

    Anti-KPNB1 antibody [EPR26137-52] - BSA and Azide free

Key facts

Host species

Rabbit

Clonality

Monoclonal

Clone number

EPR26137-52

Isotype

IgG

Carrier free

No

Reacts with

Human, Mouse, Rat

Applications

IHC-P, Flow Cyt (Intra), WB, ICC/IF

applications

Immunogen

The exact immunogen used to generate this antibody is proprietary information.

Reactivity data

{ "title": "Reactivity Data", "filters": { "stats": ["", "Species", "Dilution Info", "Notes"], "tabs": { "all-applications": {"fullname" : "All Applications", "shortname": "All Applications"}, "ICCIF" : {"fullname" : "Immunocytochemistry/ Immunofluorescence", "shortname":"ICC/IF"}, "FlowCytIntra" : {"fullname" : "Flow Cytometry (Intracellular)", "shortname":"Flow Cyt (Intra)"}, "IHCP" : {"fullname" : "Immunohistochemistry (Formalin/PFA-fixed paraffin-embedded sections)", "shortname":"IHC-P"}, "WB" : {"fullname" : "Western blot", "shortname":"WB"}, "IP" : {"fullname" : "Immunoprecipitation", "shortname":"IP"} }, "product-promise": { "all": "all", "testedAndGuaranteed": "tested", "guaranteed": "expected", "predicted": "predicted", "notRecommended": "not-recommended" } }, "values": { "Human": { "ICCIF-species-checked": "testedAndGuaranteed", "ICCIF-species-dilution-info": "1/50", "ICCIF-species-notes": "<p></p>", "FlowCytIntra-species-checked": "testedAndGuaranteed", "FlowCytIntra-species-dilution-info": "1/500", "FlowCytIntra-species-notes": "<p></p>", "IHCP-species-checked": "testedAndGuaranteed", "IHCP-species-dilution-info": "1/10000", "IHCP-species-notes": "<p></p>", "WB-species-checked": "testedAndGuaranteed", "WB-species-dilution-info": "1/1000", "WB-species-notes": "<p></p>", "IP-species-checked": "notRecommended", "IP-species-dilution-info": "", "IP-species-notes": "<p></p>" }, "Mouse": { "ICCIF-species-checked": "testedAndGuaranteed", "ICCIF-species-dilution-info": "1/50", "ICCIF-species-notes": "<p></p>", "FlowCytIntra-species-checked": "testedAndGuaranteed", "FlowCytIntra-species-dilution-info": "1/500", "FlowCytIntra-species-notes": "<p></p>", "IHCP-species-checked": "testedAndGuaranteed", "IHCP-species-dilution-info": "1/10000", "IHCP-species-notes": "<p></p>", "WB-species-checked": "testedAndGuaranteed", "WB-species-dilution-info": "1/1000", "WB-species-notes": "<p></p>", "IP-species-checked": "notRecommended", "IP-species-dilution-info": "", "IP-species-notes": "<p></p>" }, "Rat": { "ICCIF-species-checked": "guaranteed", "ICCIF-species-dilution-info": "", "ICCIF-species-notes": "", "FlowCytIntra-species-checked": "guaranteed", "FlowCytIntra-species-dilution-info": "", "FlowCytIntra-species-notes": "", "IHCP-species-checked": "testedAndGuaranteed", "IHCP-species-dilution-info": "1/10000", "IHCP-species-notes": "<p></p>", "WB-species-checked": "testedAndGuaranteed", "WB-species-dilution-info": "1/1000", "WB-species-notes": "<p></p>", "IP-species-checked": "notRecommended", "IP-species-dilution-info": "", "IP-species-notes": "" } } }

Product details

Patented technology
Our RabMAb® technology is a patented hybridoma-based technology for making rabbit monoclonal antibodies. For details on our patents, please refer to RabMAb® patents.

What are the advantages of a recombinant monoclonal antibody?
This product is a recombinant monoclonal antibody, which offers several advantages including:

  • - High batch-to-batch consistency and reproducibility
  • - Improved sensitivity and specificity
  • - Long-term security of supply
  • - Animal-free batch production

For more information, read more on recombinant antibodies.

Properties and storage information

Form
Liquid
Purification technique
Affinity purification Protein A
Storage buffer
pH: 7.2 - 7.4 Preservative: 0.01% Sodium azide Constituents: PBS, 40% Glycerol (glycerin, glycerine), 0.05% BSA
Shipped at conditions
Blue Ice
Appropriate short-term storage duration
1-2 weeks
Appropriate short-term storage conditions
+4°C
Appropriate long-term storage conditions
-20°C
Aliquoting information
Upon delivery aliquot
Storage information
Avoid freeze / thaw cycle

Supplementary information

This supplementary information is collated from multiple sources and compiled automatically.

KPNB1 also known as importin beta plays hard role in nucleocytoplasmic transport. This large protein with a mass approximately 97 kDa shuttles proteins and ribonucleoproteins into the nucleus. KPNB1 expression occurs widely in many tissues reflecting its essential function in cell operations. As a solenoid protein KPNB1 structure allows flexibility needed for diverse interactions with cargo proteins and nuclear pore complexes.
Biological function summary

Importin beta facilitates the import of nuclear localization signal (NLS)-bearing proteins into the nucleus. KPNB1 forms a complex with importin alpha to mediate import processes. Importin alpha binds to the NLS-containing cargo while KPNB1 interacts with the nuclear pore complex. This system oversees important regulation of several cellular processes including signal transduction and cell cycle progression. The protein's role helps to organize cellular response to various stimuli maintaining cellular homeostasis.

Pathways

KPNB1 contributes to regulation in the nuclear import and export pathways. It tightly associates with Ran-GTPase a protein involved in the Ran pathway. This interaction supports directionality and specificity of energy-dependent nuclear transport. Additionally KPNB1 associates with proteins like NUP50 and NUP98 functioning as a gatekeeper at the nuclear pore complex by controlling cargo passage. Through these pathways KPNB1 balances cellular imports and exports critical for cell health and functionality.

KPNB1 has links to cancer notably in tumorigenesis and cancer progression. Studies show aberrant KPNB1 expression affects the nuclear import machinery supporting cancer cell proliferation and survival. KPNB1 interacts with oncogenic proteins such as c-Myc influencing transcription regulation in tumor cells. Furthermore KPNB1 holds relevance in neurodegenerative diseases like Alzheimer's where impaired transport function contributes to pathological accumulation of proteins in neuronal cells.

Product protocols

For this product, it's our understanding that no specific protocols are required. You can visit:

Target data

Functions in nuclear protein import, either in association with an adapter protein, like an importin-alpha subunit, which binds to nuclear localization signals (NLS) in cargo substrates, or by acting as autonomous nuclear transport receptor (PubMed : 10228156, PubMed : 11682607, PubMed : 11891849, PubMed : 19386897, PubMed : 20818336, PubMed : 24699649, PubMed : 7615630, PubMed : 9687515). Acting autonomously, serves itself as NLS receptor (PubMed : 10228156, PubMed : 11682607, PubMed : 11891849, PubMed : 19386897, PubMed : 20818336, PubMed : 24699649, PubMed : 7615630, PubMed : 9687515). Docking of the importin/substrate complex to the nuclear pore complex (NPC) is mediated by KPNB1 through binding to nucleoporin FxFG repeats and the complex is subsequently translocated through the pore by an energy requiring, Ran-dependent mechanism (PubMed : 10228156, PubMed : 11682607, PubMed : 11891849, PubMed : 19386897, PubMed : 20818336, PubMed : 24699649, PubMed : 7615630, PubMed : 9687515). At the nucleoplasmic side of the NPC, Ran binds to importin-beta and the three components separate and importin-alpha and -beta are re-exported from the nucleus to the cytoplasm where GTP hydrolysis releases Ran from importin (PubMed : 10228156, PubMed : 11682607, PubMed : 11891849, PubMed : 19386897, PubMed : 20818336, PubMed : 24699649, PubMed : 7615630, PubMed : 9687515). The directionality of nuclear import is thought to be conferred by an asymmetric distribution of the GTP- and GDP-bound forms of Ran between the cytoplasm and nucleus (PubMed : 10228156, PubMed : 11682607, PubMed : 11891849, PubMed : 19386897, PubMed : 24699649, PubMed : 7615630, PubMed : 9687515). Mediates autonomously the nuclear import of ribosomal proteins RPL23A, RPS7 and RPL5 (PubMed : 11682607, PubMed : 9687515). In association with IPO7, mediates the nuclear import of H1 histone (PubMed : 10228156). In vitro, mediates nuclear import of H2A, H2B, H3 and H4 histones (By similarity). Imports MRTFA, SNAI1 and PRKCI into the nucleus (PubMed : 11891849, PubMed : 19386897, PubMed : 20818336, PubMed : 24699649).. (Microbial infection) In case of HIV-1 infection, binds and mediates the nuclear import of HIV-1 Rev.
See full target information KPNB1

Publications (1)

Recent publications for all applications. Explore the full list and refine your search

Open life sciences 20:20251065 PubMed40109769

2025

NAT10 promotes radiotherapy resistance in non-small cell lung cancer by regulating KPNB1-mediated PD-L1 nuclear translocation.

Applications

Unspecified application

Species

Unspecified reactive species

Dagao Zhu,Mingliang Lu,Hongmin Cheng
View all publications

Product promise

We are committed to supporting your work with high-quality reagents, and we're here for you every step of the way. In the unlikely event that one of our products does not perform as expected, you're protected by our Product Promise.
For full details, please see our Terms & Conditions

Please note: All products are 'FOR RESEARCH USE ONLY. NOT FOR USE IN DIAGNOSTIC OR THERAPEUTIC PROCEDURES'.

For licensing inquiries, please contact partnerships@abcam.com