JavaScript is disabled in your browser. Please enable JavaScript to view this website.
AB316268

Anti-KRAS 4B isoform antibody [EPR26089-79] - BSA and Azide free

Be the first to review this product! Submit a review

|

(0 Publication)

Rabbit Recombinant Monoclonal RASK antibody. Carrier free. Suitable for WB and reacts with Human, Mouse, Rat, Recombinant fragment - Human samples.

View Alternative Names

KRAS2, RASK2, KRAS, GTPase KRas, K-Ras 2, Ki-Ras, c-K-ras, c-Ki-ras

3 Images
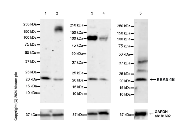
Western blot - Anti-KRAS 4B isoform antibody [EPR26089-79] - BSA and Azide free (AB316268)
  • WB

Supplier Data

Western blot - Anti-KRAS 4B isoform antibody [EPR26089-79] - BSA and Azide free (AB316268)

This data was developed using ab316267, the same antibody clone in a different buffer formulation.

The identity of the bands over 25 kDa are unknown.

In Western blot, Anti-GAPDH antibody [EPR16891] - Loading Control (ab181602) staining at 1/200000 dilution.

Exposure time : Lane 1-4 : 180 seconds; Lane 5 : 92 seconds

All lanes:

Western blot - Anti-KRAS 4B isoform antibody [EPR26089-79] (<a href='/en-us/products/primary-antibodies/kras-4b-isoform-antibody-epr26089-79-ab316267'>ab316267</a>) at 1/1000 dilution

Lane 1:

Capan-1 (human pancreatic adenocarcinoma epithelial cell) whole cell lysate at 50 µg

Lane 2:

SH-SY5Y (human neuroblastoma epithelial cell) whole cell lysate at 50 µg

Lane 3:

Neuro-2a (mouse neuroblastoma neuroblast) whole cell lysate at 50 µg

Lane 4:

C6 (rat glial tumor glial cell) whole cell lysate at 50 µg

Lane 5:

Human hippocampus tissue lysate at 40 µg

Secondary

All lanes:

Western blot - Goat Anti-Rabbit IgG H&L (HRP) (<a href='/en-us/products/secondary-antibodies/goat-rabbit-igg-h-l-hrp-ab97051'>ab97051</a>) at 1/100000 dilution

Observed band size: 21 kDa,36 kDa

false

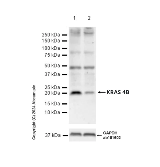
Western blot - Anti-KRAS 4B isoform antibody [EPR26089-79] - BSA and Azide free (AB316268)
  • WB

Supplier Data

Western blot - Anti-KRAS 4B isoform antibody [EPR26089-79] - BSA and Azide free (AB316268)

This data was developed using ab316267, the same antibody clone in a different buffer formulation.

The identity of the bands over 37 kDa are unknown.

In Western blot, Anti-GAPDH antibody [EPR16891] - Loading Control (ab181602) staining at 1/200000 dilution.

All lanes:

Western blot - Anti-KRAS 4B isoform antibody [EPR26089-79] (<a href='/en-us/products/primary-antibodies/kras-4b-isoform-antibody-epr26089-79-ab316267'>ab316267</a>) at 1/1000 dilution

Lane 1:

SW620 (human colorectal adenocarcinoma epithelial cell) transfected with scrambled siRNA control whole cell lysate at 20 µg

Lane 2:

SW620 transfected with siRNA specifically targeting KRAS 4B whole cell lysate at 20 µg

Secondary

All lanes:

Western blot - Goat Anti-Rabbit IgG H&L (HRP) (<a href='/en-us/products/secondary-antibodies/goat-rabbit-igg-h-l-hrp-ab97051'>ab97051</a>) at 1/100000 dilution

Observed band size: 21 kDa,36 kDa

false

Exposure time: 132s

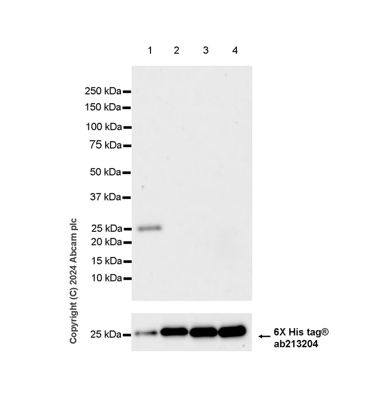
Western blot - Anti-KRAS 4B isoform antibody [EPR26089-79] - BSA and Azide free (AB316268)
  • WB

Supplier Data

Western blot - Anti-KRAS 4B isoform antibody [EPR26089-79] - BSA and Azide free (AB316268)

This data was developed using ab316267, the same antibody clone in a different buffer formulation.

In Western blot, Anti-6X His tag® antibody [EPR20547] - ChIP Grade (ab213204) staining at 1/5000 dilution.

All lanes:

Western blot - Anti-KRAS 4B isoform antibody [EPR26089-79] (<a href='/en-us/products/primary-antibodies/kras-4b-isoform-antibody-epr26089-79-ab316267'>ab316267</a>) at 1/1000 dilution

Lane 1:

His-tagged human KRAS 4B recombinant protein at 20 ng

Lane 2:

His-tagged human KRAS 4A recombinant protein at 20 ng

Lane 3:

His-tagged human NRAS recombinant protein at 20 ng

Lane 4:

His-tagged human HRAS recombinant protein at 20 ng

Secondary

All lanes:

Western blot - Goat Anti-Rabbit IgG H&L (HRP) (<a href='/en-us/products/secondary-antibodies/goat-rabbit-igg-h-l-hrp-ab97051'>ab97051</a>) at 1/100000 dilution

Observed band size: 25 kDa

false

Exposure time: 92s

Key facts

Host species

Rabbit

Clonality

Monoclonal

Clone number

EPR26089-79

Isotype

IgG

Carrier free

Yes

Reacts with

Human, Mouse, Rat

Applications

WB

applications

Immunogen

The exact immunogen used to generate this antibody is proprietary information.

Specificity

Recommend to load 40-50 micrograms per lane to see a clear signal.

Reactivity data

{ "title": "Reactivity Data", "filters": { "stats": ["", "Species", "Dilution Info", "Notes"], "tabs": { "all-applications": {"fullname" : "All Applications", "shortname": "All Applications"}, "WB" : {"fullname" : "Western blot", "shortname":"WB"}, "FlowCytIntra" : {"fullname" : "Flow Cytometry (Intracellular)", "shortname":"Flow Cyt (Intra)"}, "ICCIF" : {"fullname" : "Immunocytochemistry/ Immunofluorescence", "shortname":"ICC/IF"}, "IHCP" : {"fullname" : "Immunohistochemistry (Formalin/PFA-fixed paraffin-embedded sections)", "shortname":"IHC-P"}, "IP" : {"fullname" : "Immunoprecipitation", "shortname":"IP"} }, "product-promise": { "all": "all", "testedAndGuaranteed": "tested", "guaranteed": "expected", "predicted": "predicted", "notRecommended": "not-recommended" } }, "values": { "Human": { "WB-species-checked": "testedAndGuaranteed", "WB-species-dilution-info": "", "WB-species-notes": "<p></p>", "FlowCytIntra-species-checked": "notRecommended", "FlowCytIntra-species-dilution-info": "", "FlowCytIntra-species-notes": "<p></p>", "ICCIF-species-checked": "notRecommended", "ICCIF-species-dilution-info": "", "ICCIF-species-notes": "<p></p>", "IHCP-species-checked": "notRecommended", "IHCP-species-dilution-info": "", "IHCP-species-notes": "<p></p>", "IP-species-checked": "notRecommended", "IP-species-dilution-info": "", "IP-species-notes": "<p></p>" }, "Mouse": { "WB-species-checked": "testedAndGuaranteed", "WB-species-dilution-info": "", "WB-species-notes": "<p></p>", "FlowCytIntra-species-checked": "notRecommended", "FlowCytIntra-species-dilution-info": "", "FlowCytIntra-species-notes": "", "ICCIF-species-checked": "notRecommended", "ICCIF-species-dilution-info": "", "ICCIF-species-notes": "", "IHCP-species-checked": "notRecommended", "IHCP-species-dilution-info": "", "IHCP-species-notes": "<p></p>", "IP-species-checked": "notRecommended", "IP-species-dilution-info": "", "IP-species-notes": "" }, "Rat": { "WB-species-checked": "testedAndGuaranteed", "WB-species-dilution-info": "", "WB-species-notes": "<p></p>", "FlowCytIntra-species-checked": "notRecommended", "FlowCytIntra-species-dilution-info": "", "FlowCytIntra-species-notes": "", "ICCIF-species-checked": "notRecommended", "ICCIF-species-dilution-info": "", "ICCIF-species-notes": "", "IHCP-species-checked": "notRecommended", "IHCP-species-dilution-info": "", "IHCP-species-notes": "<p></p>", "IP-species-checked": "notRecommended", "IP-species-dilution-info": "", "IP-species-notes": "" }, "Recombinant fragment - Human": { "WB-species-checked": "testedAndGuaranteed", "WB-species-dilution-info": "", "WB-species-notes": "<p></p>", "FlowCytIntra-species-checked": "notRecommended", "FlowCytIntra-species-dilution-info": "", "FlowCytIntra-species-notes": "", "ICCIF-species-checked": "notRecommended", "ICCIF-species-dilution-info": "", "ICCIF-species-notes": "", "IHCP-species-checked": "notRecommended", "IHCP-species-dilution-info": "", "IHCP-species-notes": "", "IP-species-checked": "notRecommended", "IP-species-dilution-info": "", "IP-species-notes": "" } } }

Product details

ab316268 is the carrirer-free version of ab316267.

Patented technology
Our RabMAb® technology is a patented hybridoma-based technology for making rabbit monoclonal antibodies. For details on our patents, please refer to RabMAb® patents.

What are the advantages of a recombinant monoclonal antibody?
This product is a recombinant monoclonal antibody, which offers several advantages including:

  • - High batch-to-batch consistency and reproducibility
  • - Improved sensitivity and specificity
  • - Long-term security of supply
  • - Animal-free batch production

For more information, read more on recombinant antibodies.

Conjugation ready
Our carrier-free antibodies are typically supplied in a PBS-only formulation, purified and free of BSA, sodium azide and glycerol. This conjugation-ready format is designed for use with fluorochromes, metal isotopes, oligonucleotides, and enzymes, which makes them ideal for antibody labelling, functional and cell-based assays, flow-based assays (e.g. mass cytometry) and Multiplex Imaging applications.

Use our conjugation kits for antibody conjugates that are ready-to-use in as little as 20 minutes with 1 minute hands-on-time and 100% antibody recovery: available for fluorescent dyes, HRP, biotin and gold.

Compatibility
This product is compatible with the Maxpar® Antibody Labeling Kit from Fluidigm, without the need for antibody preparation. Maxpar® is a trademark of Fluidigm Canada Inc.

Properties and storage information

Form
Liquid
Purification technique
Affinity purification Protein A
Storage buffer
pH: 7.2 - 7.4 Constituents: PBS
Shipped at conditions
Blue Ice
Appropriate short-term storage conditions
+4°C
Appropriate long-term storage conditions
+4°C

Supplementary information

This supplementary information is collated from multiple sources and compiled automatically.

KRAS 4B isoform also known as K-Ras4B or simply KRAS acts as a small GTPase a type of enzyme that helps in the conversion of guanosine triphosphate (GTP) to guanosine diphosphate (GDP). KRAS 4B is approximately 21 kDa in mass. It functions by cycling between an active GTP-bound state and an inactive GDP-bound state. Expression of KRAS 4B is found mainly in the epithelial cells and it is especially abundant in the lungs colon and pancreas. Its localization is significant for its role in signaling and regulation of cellular functions.
Biological function summary

KRAS 4B isoform plays an essential role in signal transduction processes that govern cell growth differentiation and survival. It operates within complex signaling networks but does not bind with a specific complex itself. KRAS 4B is part of the Ras superfamily of proteins which are pivotal in the transduction of signals from cell surface receptors to the nucleus. Its activity influences many cellular outcomes and dysregulation can lead to aberrant cellular processes.

Pathways

KRAS 4B is critically involved in the MAPK (Mitogen-Activated Protein Kinase) and PI3K/AKT (Phosphoinositide 3-kinase/Protein Kinase B) pathways which are key in cell proliferation and survival. KRAS 4B interacts closely with other proteins such as RAF and PI3K serving as a nexus for transmitting extracellular signals to intracellular effectors. These pathways facilitate diverse biological outcomes depending on the context and cellular environment.

KRAS 4B holds a strong connection with several types of cancer particularly colorectal and pancreatic cancers. Mutations in the KRAS gene can lead to constitutive activation of the protein which promotes uncontrolled cell division and tumor growth. In these contexts KRAS 4B often interacts with other proteins like SOS (Son of Sevenless) and RAF to propagate the oncogenic signaling cascades. Therapeutic targeting of the KRAS pathway remains a challenging but vital area in cancer treatment research.

Product protocols

For this product, it's our understanding that no specific protocols are required. You can visit:

Target data

The protein expressed by the KRAS gene binds GDP/GTP and has intrinsic GTPase activity. It plays an important role in regulating cell proliferation and may contribute to oncogenic events by inducing transcriptional silencing of tumor suppressor genes in colorectal cancer cells through a ZNF304-dependent mechanism. This supplementary information is collated from multiple sources and compiled automatically.
See full target information KRAS

Product promise

We are committed to supporting your work with high-quality reagents, and we're here for you every step of the way. In the unlikely event that one of our products does not perform as expected, you're protected by our Product Promise.
For full details, please see our Terms & Conditions

Please note: All products are 'FOR RESEARCH USE ONLY. NOT FOR USE IN DIAGNOSTIC OR THERAPEUTIC PROCEDURES'.

For licensing inquiries, please contact partnerships@abcam.com