JavaScript is disabled in your browser. Please enable JavaScript to view this website.
AB220937

Anti-KRTAP2-4 antibody

Be the first to review this product! Submit a review

|

(1 Publication)

Rabbit Polyclonal KRTAP2-4 antibody. Suitable for IHC-P and reacts with Human samples. Cited in 1 publication. Immunogen corresponding to Recombinant Fragment Protein within Human KRTAP2-4 aa 1-100.

View Alternative Names

KAP2.4, KRTAP2.4, KRTAP2-4, Keratin-associated protein 2-4, High sulfur keratin-associated protein 2.4, Keratin-associated protein 2.4

1 Images
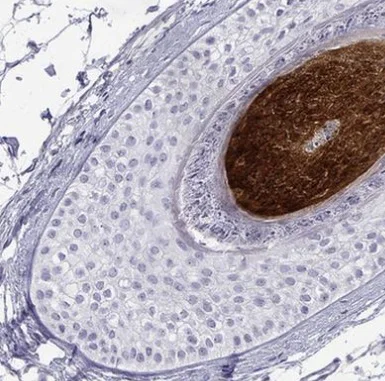
Immunohistochemistry (Formalin/PFA-fixed paraffin-embedded sections) - Anti-KRTAP2-4 antibody (AB220937)
  • IHC-P

Supplier Data

Immunohistochemistry (Formalin/PFA-fixed paraffin-embedded sections) - Anti-KRTAP2-4 antibody (AB220937)

Immunohistochemical analysis of paraffin-embedded human hair follicle labeling KRTAP2-4 with ab220937 at 1/50 dilution.

Key facts

Host species

Rabbit

Clonality

Polyclonal

Isotype

IgG

Carrier free

No

Reacts with

Human

Applications

IHC-P

applications

Immunogen

Recombinant Fragment Protein within Human KRTAP2-4 aa 1-100. The exact immunogen used to generate this antibody is proprietary information.

Q9BYR9

Reactivity data

{ "title": "Reactivity Data", "filters": { "stats": ["", "Species", "Dilution Info", "Notes"], "tabs": { "all-applications": {"fullname" : "All Applications", "shortname": "All Applications"}, "IHCP" : {"fullname" : "Immunohistochemistry (Formalin/PFA-fixed paraffin-embedded sections)", "shortname":"IHC-P"} }, "product-promise": { "all": "all", "testedAndGuaranteed": "tested", "guaranteed": "expected", "predicted": "predicted", "notRecommended": "not-recommended" } }, "values": { "Human": { "IHCP-species-checked": "testedAndGuaranteed", "IHCP-species-dilution-info": "1/50 - 1/200", "IHCP-species-notes": "<p></p> Perform heat-mediated antigen retrieval with citrate buffer pH 6 before commencing with IHC staining protocol." }, "Mouse": { "IHCP-species-checked": "predicted", "IHCP-species-dilution-info": "", "IHCP-species-notes": "" } } }

Properties and storage information

Form
Liquid
Purification technique
Affinity purification Immunogen
Storage buffer
pH: 7.2 Preservative: 0.02% Sodium azide Constituents: PBS, 40% Glycerol (glycerin, glycerine)
Shipped at conditions
Blue Ice
Appropriate short-term storage duration
1-2 weeks
Appropriate short-term storage conditions
+4°C
Appropriate long-term storage conditions
-20°C
Aliquoting information
Upon delivery aliquot
Storage information
Avoid freeze / thaw cycle

Supplementary information

This supplementary information is collated from multiple sources and compiled automatically.

KRTAP2-4 also known as Keratin Associated Protein 2-4 is a component in the structure of hair and nails. The protein has a molecular mass of around 11 kDa and belongs to the family of keratin-associated proteins. KRTAP2-4 is expressed predominantly in the hair follicle especially in the cortical and cuticle cells of hair. It contributes to the formation and protection of the hair shaft by interacting with keratin fibers assisting in the formation of strong intermolecular bonds.
Biological function summary

KRTAP2-4 plays a role in the mechanical stability and elasticity of external protective tissues. This protein forms a complex with intermediate filament proteins like keratins strengthening the fibrous tissues. The interactions between KRTAP2-4 and keratins are essential in the maintenance of hair structure integrity particularly during exposure to physical stressors like styling or environmental factors. Through these interactions KRTAP2-4 significantly modulates the rigidity and strength of keratinized tissues influencing hair texture and quality.

Pathways

KRTAP2-4 is implicated in pathways that regulate keratinocyte differentiation and keratinization. Its interaction with proteins such as keratin 1 and keratin 10 indicates its involvement in the keratinization pathway ensuring proper differentiation and maturity of hair and nail cells. This pathway is important for creating the protective barrier that hair and nails provide illustrating KRTAP2-4's role in tissue resilience and durability.

Mutations or disruptions in KRTAP2-4 expression link to hair disorders such as monilethrix which is characterized by beaded hair shaft and fragility. Defective KRTAP2-4 interacts with keratin compromising the structural formation of hair. Additionally abnormalities in KRTAP2-4 expression might also relate to woolly hair syndrome where another protein keratin 74 works together with keratin-associated proteins affecting hair texture and strength. Understanding these associations aids researchers in developing therapeutic strategies for hair-related conditions.

Product protocols

For this product, it's our understanding that no specific protocols are required. You can visit:

Target data

In the hair cortex, hair keratin intermediate filaments are embedded in an interfilamentous matrix, consisting of hair keratin-associated proteins (KRTAP), which are essential for the formation of a rigid and resistant hair shaft through their extensive disulfide bond cross-linking with abundant cysteine residues of hair keratins. The matrix proteins include the high-sulfur and high-glycine-tyrosine keratins (By similarity).
See full target information KRTAP2-4

Publications (1)

Recent publications for all applications. Explore the full list and refine your search

Asia-Pacific journal of clinical oncology 19:e248-e257 PubMed36271660

2022

Polysaccharide of Lactobacillus casei SB27 reduced colon cancer cell prognosis through mitochondrial damage by upregulation of HINT2.

Applications

Unspecified application

Species

Unspecified reactive species

Wei Di,Xin Li,Qiaoyi Yang
View all publications

Product promise

We are committed to supporting your work with high-quality reagents, and we're here for you every step of the way. In the unlikely event that one of our products does not perform as expected, you're protected by our Product Promise.
For full details, please see our Terms & Conditions

Please note: All products are 'FOR RESEARCH USE ONLY. NOT FOR USE IN DIAGNOSTIC OR THERAPEUTIC PROCEDURES'.

For licensing inquiries, please contact partnerships@abcam.com