JavaScript is disabled in your browser. Please enable JavaScript to view this website.
AB247695

Anti-Ku70 antibody [EPR4026] - BSA and Azide free

Be the first to review this product! Submit a review

|

(1 Publication)

Rabbit Recombinant Monoclonal Ku70 antibody. Carrier free. Suitable for IHC-P, ICC/IF, WB and reacts with Human samples. Cited in 1 publication.

View Alternative Names

G22P1, XRCC6, X-ray repair cross-complementing protein 6, 5'-deoxyribose-5-phosphate lyase Ku70, 70 kDa subunit of Ku antigen, ATP-dependent DNA helicase 2 subunit 1, ATP-dependent DNA helicase II 70 kDa subunit, CTC box-binding factor 75 kDa subunit, DNA repair protein XRCC6, Lupus Ku autoantigen protein p70, Thyroid-lupus autoantigen, X-ray repair complementing defective repair in Chinese hamster cells 6, 5'-dRP lyase Ku70, CTC75, CTCBF, Ku70, TLAA

3 Images
Immunocytochemistry/ Immunofluorescence - Anti-Ku70 antibody [EPR4026] - BSA and Azide free (AB247695)
  • ICC/IF

Unknown

Immunocytochemistry/ Immunofluorescence - Anti-Ku70 antibody [EPR4026] - BSA and Azide free (AB247695)

This data was developed using ab108604, the same antibody clone in a different buffer formulation.ab108604, at 1/100 dilution, staining Ku70 in HeLa cells by Immunofluorescence.

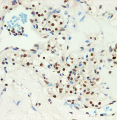
Immunohistochemistry (Formalin/PFA-fixed paraffin-embedded sections) - Anti-Ku70 antibody [EPR4026] - BSA and Azide free (AB247695)
  • IHC-P

Unknown

Immunohistochemistry (Formalin/PFA-fixed paraffin-embedded sections) - Anti-Ku70 antibody [EPR4026] - BSA and Azide free (AB247695)

This data was developed using ab108604, the same antibody clone in a different buffer formulation.

ab108604, at 1/100 dilution, staining Ku70 in paraffin-embedded Human breast carcinoma tissue by Immunohistochemistry.

Perform heat mediated antigen retrieval with citrate buffer pH 6 before commencing with IHC staining protocol.

Western blot - Anti-Ku70 antibody [EPR4026] - BSA and Azide free (AB247695)
  • WB

Unknown

Western blot - Anti-Ku70 antibody [EPR4026] - BSA and Azide free (AB247695)

This data was developed using ab108604, the same antibody clone in a different buffer formulation.

All lanes:

Western blot - Anti-Ku70 antibody [EPR4026] (<a href='/en-us/products/primary-antibodies/ku70-antibody-epr4026-ab108604'>ab108604</a>) at 1/10000 dilution

Lane 1:

HeLa cell lysate at 10 µg

Lane 2:

HepG2 cell lysate at 10 µg

Lane 3:

Raji cell lysate at 10 µg

Lane 4:

A673 cell lysate at 10 µg

Lane 5:

A549 cell lysate at 10 µg

Lane 6:

A431 cell lysate at 10 µg

Secondary

All lanes:

HRP labelled goat anti-rabbit at 1/2000 dilution

Predicted band size: 70 kDa

Observed band size: 70 kDa

false

Key facts

Host species

Rabbit

Clonality

Monoclonal

Clone number

EPR4026

Isotype

IgG

Carrier free

Yes

Reacts with

Human

Applications

WB, IHC-P, ICC/IF

applications

Immunogen

The exact immunogen used to generate this antibody is proprietary information.

Reactivity data

{ "title": "Reactivity Data", "filters": { "stats": ["", "Species", "Dilution Info", "Notes"], "tabs": { "all-applications": {"fullname" : "All Applications", "shortname": "All Applications"}, "IHCP" : {"fullname" : "Immunohistochemistry (Formalin/PFA-fixed paraffin-embedded sections)", "shortname":"IHC-P"}, "ICCIF" : {"fullname" : "Immunocytochemistry/ Immunofluorescence", "shortname":"ICC/IF"}, "IP" : {"fullname" : "Immunoprecipitation", "shortname":"IP"}, "FlowCyt" : {"fullname" : "Flow Cytometry", "shortname":"Flow Cyt"}, "WB" : {"fullname" : "Western blot", "shortname":"WB"} }, "product-promise": { "all": "all", "testedAndGuaranteed": "tested", "guaranteed": "expected", "predicted": "predicted", "notRecommended": "not-recommended" } }, "values": { "Human": { "IHCP-species-checked": "testedAndGuaranteed", "IHCP-species-dilution-info": "", "IHCP-species-notes": "<p>Antigen retrieval is recommended.</p> Perform heat-mediated antigen retrieval with citrate buffer pH 6 before commencing with IHC staining protocol.", "ICCIF-species-checked": "testedAndGuaranteed", "ICCIF-species-dilution-info": "", "ICCIF-species-notes": "<p></p>", "IP-species-checked": "notRecommended", "IP-species-dilution-info": "", "IP-species-notes": "<p></p>", "FlowCyt-species-checked": "notRecommended", "FlowCyt-species-dilution-info": "", "FlowCyt-species-notes": "<p></p>", "WB-species-checked": "testedAndGuaranteed", "WB-species-dilution-info": "", "WB-species-notes": "<p></p>" } } }

Product details

ab247695 is the carrier-free version of ab108604.

Species reactivity
Mouse, Rat: We have preliminary internal testing data to indicate this antibody may not react with these species.
Please contact us for more information.

Patented technology
Our RabMAb® technology is a patented hybridoma-based technology for making rabbit monoclonal antibodies. For details on our patents, please refer to RabMAb® patents.

What are the advantages of a recombinant monoclonal antibody?
This product is a recombinant monoclonal antibody, which offers several advantages including:

  • - High batch-to-batch consistency and reproducibility
  • - Improved sensitivity and specificity
  • - Long-term security of supply
  • - Animal-free batch production

For more information, read more on recombinant antibodies.

Conjugation ready
Our carrier-free antibodies are typically supplied in a PBS-only formulation, purified and free of BSA, sodium azide and glycerol. This conjugation-ready format is designed for use with fluorochromes, metal isotopes, oligonucleotides, and enzymes, which makes them ideal for antibody labelling, functional and cell-based assays, flow-based assays (e.g. mass cytometry) and Multiplex Imaging applications.

Use our conjugation kits for antibody conjugates that are ready-to-use in as little as 20 minutes with 1 minute hands-on-time and 100% antibody recovery: available for fluorescent dyes, HRP, biotin and gold.

Compatibility
This product is compatible with the Maxpar® Antibody Labeling Kit from Fluidigm, without the need for antibody preparation. Maxpar® is a trademark of Fluidigm Canada Inc.

Properties and storage information

Form
Liquid
Purification technique
Affinity purification
Storage buffer
pH: 7.2 - 7.4 Constituents: PBS
Shipped at conditions
Blue Ice
Appropriate short-term storage conditions
+4°C
Appropriate long-term storage conditions
+4°C
Storage information
Do Not Freeze

Supplementary information

This supplementary information is collated from multiple sources and compiled automatically.

Ku70 also known as XRCC6 or K331 is a DNA repair protein with a molecular mass of approximately 70 kDa. It belongs to the Ku protein family which includes Ku80. This protein expresses mainly in the nucleus of cells across various tissue types. As a part of a heterodimer together with Ku80 Ku70 forms the Ku70/Ku80 complex which binds to free DNA ends allowing DNA repair processes to occur efficiently.
Biological function summary

The Ku70 protein plays a significant role in maintaining genomic stability. It is an important component of the non-homologous end joining (NHEJ) pathway a primary mechanism for repairing double-strand breaks in DNA. By forming the Ku70/Ku80 complex it accurately aligns DNA ends to facilitate repair and prevent chromosomal abnormalities. The Ku70 protein also involves in telomere maintenance and can influence cell cycle regulation.

Pathways

Ku70 contributes mainly to the NHEJ DNA repair pathway. This pathway is important for cellular response to DNA damage and involves other proteins such as DNA-PKcs (DNA-dependent protein kinase catalytic subunit) and XRCC4. Ku70's interaction with DNA-PKcs enables the activation of its kinase activity which is essential for the repair process. Additionally Ku70 is involved in the homologous recombination pathway where it interacts with proteins like Rad51 to ensure repair fidelity.

Research links the Ku70 protein to cancer and neurodegenerative diseases. Dysregulation or mutations affecting Ku70 can lead to genomic instability contributing to cancer development. Ku70 also shows connections to neurodegenerative conditions like Alzheimer's disease where its role in DNA repair and apoptosis regulation may impact neuronal cell survival. Interactions with p53 a protein important for DNA damage response further underline Ku70's influence in these disease contexts.

Product protocols

For this product, it's our understanding that no specific protocols are required. You can visit:

Target data

Single-stranded DNA-dependent ATP-dependent helicase that plays a key role in DNA non-homologous end joining (NHEJ) by recruiting DNA-PK to DNA (PubMed : 11493912, PubMed : 12145306, PubMed : 20493174, PubMed : 2466842, PubMed : 7957065, PubMed : 8621488, PubMed : 9742108). Required for double-strand break repair and V(D)J recombination (PubMed : 11493912, PubMed : 12145306, PubMed : 20493174, PubMed : 2466842, PubMed : 7957065, PubMed : 8621488, PubMed : 9742108). Also has a role in chromosome translocation (PubMed : 11493912, PubMed : 12145306, PubMed : 20493174, PubMed : 2466842, PubMed : 7957065, PubMed : 8621488, PubMed : 9742108). Has a role in chromosome translocation (PubMed : 11493912, PubMed : 12145306, PubMed : 20493174, PubMed : 2466842, PubMed : 7957065, PubMed : 8621488, PubMed : 9742108). The DNA helicase II complex binds preferentially to fork-like ends of double-stranded DNA in a cell cycle-dependent manner (PubMed : 11493912, PubMed : 12145306, PubMed : 20493174, PubMed : 2466842, PubMed : 7957065, PubMed : 8621488, PubMed : 9742108). It works in the 3'-5' direction (PubMed : 11493912, PubMed : 12145306, PubMed : 20493174, PubMed : 2466842, PubMed : 7957065, PubMed : 8621488, PubMed : 9742108). During NHEJ, the XRCC5-XRRC6 dimer performs the recognition step : it recognizes and binds to the broken ends of the DNA and protects them from further resection (PubMed : 11493912, PubMed : 12145306, PubMed : 20493174, PubMed : 2466842, PubMed : 7957065, PubMed : 8621488, PubMed : 9742108). Binding to DNA may be mediated by XRCC6 (PubMed : 11493912, PubMed : 12145306, PubMed : 20493174, PubMed : 2466842, PubMed : 7957065, PubMed : 8621488, PubMed : 9742108). The XRCC5-XRRC6 dimer acts as a regulatory subunit of the DNA-dependent protein kinase complex DNA-PK by increasing the affinity of the catalytic subunit PRKDC to DNA by 100-fold (PubMed : 11493912, PubMed : 12145306, PubMed : 20493174, PubMed : 2466842, PubMed : 7957065, PubMed : 8621488, PubMed : 9742108). The XRCC5-XRRC6 dimer is probably involved in stabilizing broken DNA ends and bringing them together (PubMed : 11493912, PubMed : 12145306, PubMed : 20493174, PubMed : 2466842, PubMed : 7957065, PubMed : 8621488, PubMed : 9742108). The assembly of the DNA-PK complex to DNA ends is required for the NHEJ ligation step (PubMed : 11493912, PubMed : 12145306, PubMed : 20493174, PubMed : 2466842, PubMed : 7957065, PubMed : 8621488, PubMed : 9742108). Probably also acts as a 5'-deoxyribose-5-phosphate lyase (5'-dRP lyase), by catalyzing the beta-elimination of the 5' deoxyribose-5-phosphate at an abasic site near double-strand breaks (PubMed : 20383123). 5'-dRP lyase activity allows to 'clean' the termini of abasic sites, a class of nucleotide damage commonly associated with strand breaks, before such broken ends can be joined (PubMed : 20383123). The XRCC5-XRRC6 dimer together with APEX1 acts as a negative regulator of transcription (PubMed : 8621488). In association with NAA15, the XRCC5-XRRC6 dimer binds to the osteocalcin promoter and activates osteocalcin expression (PubMed : 12145306). Plays a role in the regulation of DNA virus-mediated innate immune response by assembling into the HDP-RNP complex, a complex that serves as a platform for IRF3 phosphorylation and subsequent innate immune response activation through the cGAS-STING pathway (PubMed : 28712728).
See full target information XRCC6

Publications (1)

Recent publications for all applications. Explore the full list and refine your search

Oncology letters 26:409 PubMed37600337

2023

Renal epithelioid angiomyolipoma: A case report.

Applications

Unspecified application

Species

Unspecified reactive species

Hongyun Li,Xuebei Zhang,Qingli Zhao,Jin Wang,Xiaoqing Yang,Shengliang Huang
View all publications

Product promise

We are committed to supporting your work with high-quality reagents, and we're here for you every step of the way. In the unlikely event that one of our products does not perform as expected, you're protected by our Product Promise.
For full details, please see our Terms & Conditions

Please note: All products are 'FOR RESEARCH USE ONLY. NOT FOR USE IN DIAGNOSTIC OR THERAPEUTIC PROCEDURES'.

For licensing inquiries, please contact partnerships@abcam.com