JavaScript is disabled in your browser. Please enable JavaScript to view this website.
AB92450

Anti-Ku70 antibody [EPR4027]

4

(1 Review)

|

(26 Publications)

Rabbit Recombinant Monoclonal Ku70 antibody. Suitable for IHC-P, IP, WB, ICC/IF, Flow Cyt (Intra) and reacts with Human samples. Cited in 26 publications.

View Alternative Names

G22P1, XRCC6, X-ray repair cross-complementing protein 6, 5'-deoxyribose-5-phosphate lyase Ku70, 70 kDa subunit of Ku antigen, ATP-dependent DNA helicase 2 subunit 1, ATP-dependent DNA helicase II 70 kDa subunit, CTC box-binding factor 75 kDa subunit, DNA repair protein XRCC6, Lupus Ku autoantigen protein p70, Thyroid-lupus autoantigen, X-ray repair complementing defective repair in Chinese hamster cells 6, 5'-dRP lyase Ku70, CTC75, CTCBF, Ku70, TLAA

10 Images
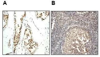
Immunohistochemistry (Formalin/PFA-fixed paraffin-embedded sections) - Anti-Ku70 antibody [EPR4027] (AB92450)
  • IHC-P

Unknown

Immunohistochemistry (Formalin/PFA-fixed paraffin-embedded sections) - Anti-Ku70 antibody [EPR4027] (AB92450)

Paraffin embedded Human testis tissue (A) or Human tonsil tissue (B) were labelled with unpurified ab92450 at 1/100 dilution.

Perform heat mediated antigen retrieval with citrate buffer pH 6 before commencing with IHC staining protocol.

Flow Cytometry (Intracellular) - Anti-Ku70 antibody [EPR4027] (AB92450)
  • Flow Cyt (Intra)

Unknown

Flow Cytometry (Intracellular) - Anti-Ku70 antibody [EPR4027] (AB92450)

Intracellular Flow Cytometry analysis of HeLa (Human cervix adenocarcinoma epithelial cell) cells labeling Ku70 with purified ab92450 at 1/20 dilution (5μg/ml) (Red). Cells were fixed with 4% Paraformaldehyde and permeabilised with 90% Methanol. A Goat anti rabbit IgG (Alexa Fluorr® 488, ab150077) secondary antibody was used at 1/2000. Isotype control - Rabbit monoclonal IgG (Black). Unlabeled control - Cell without incubation with primary antibody and secondary antibody (Blue).

Immunocytochemistry/ Immunofluorescence - Anti-Ku70 antibody [EPR4027] (AB92450)
  • ICC/IF

Unknown

Immunocytochemistry/ Immunofluorescence - Anti-Ku70 antibody [EPR4027] (AB92450)

Immunocytochemistry/ Immunofluorescence analysis of HeLa (Human cervix adenocarcinoma epithelial cell) cells labeling Ku70 with purified ab92450 at 1/250 dilution (0.46 μg/ml). Cells were fixed in 100% Methanol and permeabilized with None. Cells were counterstained with ab195889 Anti-alpha Tubulin antibody [DM1A] - Microtubule Marker (Alexa Fluor® 594) 1/200 (2.5 μg/ml). Goat anti rabbit IgG (Alexa Fluor® 488, ab150077) was used as the secondary antibody at 1/1000 (2 μg/ml) dilution. DAPI (blue) was used as nuclear counterstain. PBS instead of the primary antibody was used as the secondary antibody only control.

Immunocytochemistry/ Immunofluorescence - Anti-Ku70 antibody [EPR4027] (AB92450)
  • ICC/IF

Unknown

Immunocytochemistry/ Immunofluorescence - Anti-Ku70 antibody [EPR4027] (AB92450)

Immunofluorescence staining of HeLa cells using unpurified ab92450 at 1/100 dilution.

Flow Cytometry (Intracellular) - Anti-Ku70 antibody [EPR4027] (AB92450)
  • Flow Cyt (Intra)

Unknown

Flow Cytometry (Intracellular) - Anti-Ku70 antibody [EPR4027] (AB92450)

Overlay histogram showing HeLa cells stained with unpurified ab92450 (red line). The cells were fixed with 4% paraformaldehyde (10 min) and then permeabilized with 0.1% PBS-Tween for 20 min. The cells were then incubated in 1x PBS / 10% normal goat serum / 0.3M glycine to block non-specific protein-protein interactions followed by the antibody (ab92450, 1/100 dilution) for 30 min at 22°C. The secondary antibody used was DyLight® 488 goat anti-rabbit IgG (H+L) (ab96899) at 1/500 dilution for 30 min at 22°C. Isotype control antibody (black line) was rabbit IgG (monoclonal) (1μg/1x106 cells) used under the same conditions. Acquisition of >5,000 events was performed. This antibody gave a positive signal in HeLa cells fixed with 80% methanol (5 min)/permeabilized with 0.1% PBS-Tween for 20 min used under the same conditions.

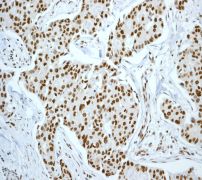
Immunohistochemistry (Formalin/PFA-fixed paraffin-embedded sections) - Anti-Ku70 antibody [EPR4027] (AB92450)
  • IHC-P

Unknown

Immunohistochemistry (Formalin/PFA-fixed paraffin-embedded sections) - Anti-Ku70 antibody [EPR4027] (AB92450)

Immunohistochemistry (Formalin/PFA-fixed paraffin-embedded sections) analysis of human colon carcinoma tissue sections labeling Ku70 with purified ab92450 at 1/250 dilution (0.46 μg/ml). Heat mediated antigen retrieval using Bond™ Epitope Retrieval Solution 1 (pH 6.0). Rabbit specific IHC polymer detection kit HRP/DAB (ab209101) was used as the secondary antibody.

Negative control : PBS instead of the primary antibody. Hematoxylin was used as a counterstain.

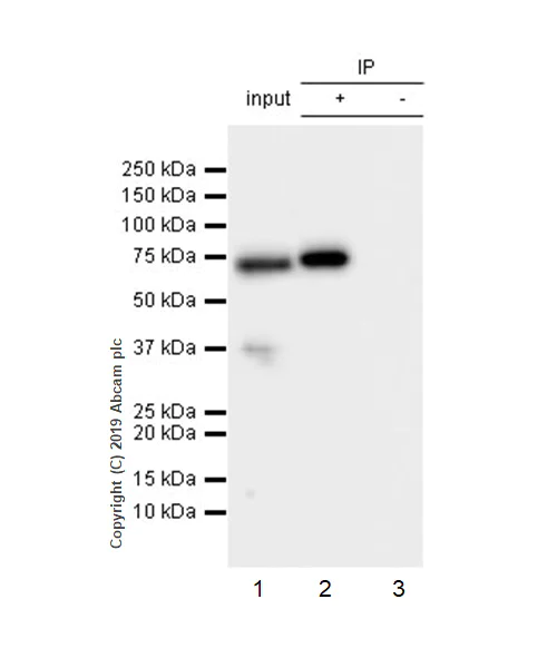
Immunoprecipitation - Anti-Ku70 antibody [EPR4027] (AB92450)
  • IP

Unknown

Immunoprecipitation - Anti-Ku70 antibody [EPR4027] (AB92450)

ab92450 (purified ) at 1/20 dilution (0.5ug) immunoprecipitating Ku70 in HeLa whole cell lysate.

Lane 1 (input) : HeLa (Human cervix adenocarcinoma epithelial cell) whole cell lysate 10ug
Lane 2 (+) : ab92450 & HeLa whole cell lysate
Lane 3 (-) : Rabbit monoclonal IgG (ab172730) instead of ab92450 in HeLa whole cell lysate

For western blotting, VeriBlot for IP Detection Reagent (HRP) (ab131366) was used at 1/1000 dilution.

Blocking and diluting buffer : 5% NFDM/TBST.

All lanes:

Immunoprecipitation - Anti-Ku70 antibody [EPR4027] (ab92450)

Predicted band size: 70 kDa

false

Western blot - Anti-Ku70 antibody [EPR4027] (AB92450)
  • WB

Unknown

Western blot - Anti-Ku70 antibody [EPR4027] (AB92450)

All lanes:

Western blot - Anti-Ku70 antibody [EPR4027] (ab92450) at 1/1000 dilution

Lane 1:

HeLa cell lysate at 10 µg

Lane 2:

293T cell lysate at 10 µg

Lane 3:

A549 cell lysate at 10 µg

Lane 4:

A431 cell lysate at 10 µg

Secondary

All lanes:

HRP labelled goat anti-rabbit at 1/2000 dilution

Predicted band size: 70 kDa

false

Western blot - Anti-Ku70 antibody [EPR4027] (AB92450)
  • WB

Lab

Western blot - Anti-Ku70 antibody [EPR4027] (AB92450)

All lanes:

Western blot - Anti-Ku70 antibody [EPR4027] (ab92450) at 1/5000 dilution

Lane 1:

A549 (Human lung carcinoma epithelial cell) whole cell lysates at 15 µg

Lane 2:

HeLa (Human cervix adenocarcinoma epithelial cell) whole cell lysates at 15 µg

Secondary

All lanes:

Western blot - Goat Anti-Rabbit IgG H&L (HRP) (<a href='/en-us/products/secondary-antibodies/goat-rabbit-igg-h-l-hrp-ab97051'>ab97051</a>) at 1/20000 dilution

Predicted band size: 70 kDa

Observed band size: 70 kDa

false

Western blot - Anti-Ku70 antibody [EPR4027] (AB92450)
  • WB

CiteAb

Western blot - Anti-Ku70 antibody [EPR4027] (AB92450)

Ku70 western blot using anti-Ku70 antibody [EPR4027] ab92450. Publication image and figure legend from Xu, S., Kim, J., et al., 2020, Protein Cell, PubMed 32170574.

ab92450 was used in this publication in western blot. This may not be the same as the application(s) guaranteed by Abcam. For a full list of applications guaranteed by Abcam for ab92450 please see the product overview.

CAS9 interacts with KU86 and disrupts the formation of DNA-PK. (A and B) Reciprocal immunoprecipitation shows the interaction between CAS9 and KU86. Protein extracts from hESCs expressing CAS9 were immunoprecipitated with anti-KU86 (A) or anti-CAS9 (B), and immune precipitates were analyzed for the presence of KU86 and CAS9. (C) The interaction between CAS9 and KU86 was confirmed by the proximity ligation analysis (PLA). Cell nucleus were revealed by DAPI (Blue) staining and the CAS9-KU86 interaction indicated by red color. Scale bar, 25 μm. Unpaired t test. n = 20. Data are presented as mean value ± SD. ***p < 0.001. (D) Mapping the domain of CAS9 involved in the interaction with KU86. The Flag-tagged deletional mutants of CAS9 expressed in 293FT cells were immunoprecipitated with anti-flag antibody. Immune precipitates were analyzed for the presence of CAS9 mutants and KU86. (E) The expression of the PAM domain (1100) of CAS9 disrupted the interaction between CAS9 and KU86. The levels of CAS9, KU86, PAM in the input and immunoprecipitate were analyzed by Western blot. The ratio of CAS9 versus KU86 in the immunoprecipitate is shown at the bottom. (F) CAS9 disrupts the formation of DNA-PK complex. Protein extracts of cells in the presence and absence of CAS9 and DOX treatment were immunoprecipitated with anti-KU86 antibody. The levels of KU70, DNA-PKcs and CAS9 in the immunoprecipitate were analyzed. The relative ratios of DNA-PKcs versus KU86 or KU70 versus KU86 are indicated

false

Key facts

Host species

Rabbit

Clonality

Monoclonal

Clone number

EPR4027

Isotype

IgG

Carrier free

No

Reacts with

Human

Applications

IHC-P, WB, IP, Flow Cyt (Intra), ICC/IF

applications

Immunogen

The exact immunogen used to generate this antibody is proprietary information.

Reactivity data

{ "title": "Reactivity Data", "filters": { "stats": ["", "Species", "Dilution Info", "Notes"], "tabs": { "all-applications": {"fullname" : "All Applications", "shortname": "All Applications"}, "IHCP" : {"fullname" : "Immunohistochemistry (Formalin/PFA-fixed paraffin-embedded sections)", "shortname":"IHC-P"}, "IP" : {"fullname" : "Immunoprecipitation", "shortname":"IP"}, "WB" : {"fullname" : "Western blot", "shortname":"WB"}, "ICCIF" : {"fullname" : "Immunocytochemistry/ Immunofluorescence", "shortname":"ICC/IF"}, "FlowCytIntra" : {"fullname" : "Flow Cytometry (Intracellular)", "shortname":"Flow Cyt (Intra)"} }, "product-promise": { "all": "all", "testedAndGuaranteed": "tested", "guaranteed": "expected", "predicted": "predicted", "notRecommended": "not-recommended" } }, "values": { "Human": { "IHCP-species-checked": "testedAndGuaranteed", "IHCP-species-dilution-info": "1/100 - 1/250", "IHCP-species-notes": "<p>Antigen retrieval and the use of an HRP/AP polymerized secondary antibody is recommended for enhanced staining.</p>", "IP-species-checked": "testedAndGuaranteed", "IP-species-dilution-info": "1/20", "IP-species-notes": "<p></p>", "WB-species-checked": "testedAndGuaranteed", "WB-species-dilution-info": "1/1000 - 1/10000", "WB-species-notes": "<p></p>", "ICCIF-species-checked": "testedAndGuaranteed", "ICCIF-species-dilution-info": "1/100 - 1/250", "ICCIF-species-notes": "<p></p>", "FlowCytIntra-species-checked": "testedAndGuaranteed", "FlowCytIntra-species-dilution-info": "1/10 - 1/100", "FlowCytIntra-species-notes": "<p><a href='/en-us/products/primary-antibodies/rabbit-igg-monoclonal-epr25a-isotype-control-ab172730'>ab172730</a> - Rabbit monoclonal IgG, is suitable for use as an isotype control with this antibody.</p>" } } }

Product details

Species reactivity
Mouse, Rat: We have preliminary internal testing data to indicate this antibody may not react with these species.
Please contact us for more information.

Patented technology
Our RabMAb® technology is a patented hybridoma-based technology for making rabbit monoclonal antibodies. For details on our patents, please refer to RabMAb® patents.

What are the advantages of a recombinant monoclonal antibody?
This product is a recombinant monoclonal antibody, which offers several advantages including:

  • - High batch-to-batch consistency and reproducibility
  • - Improved sensitivity and specificity
  • - Long-term security of supply
  • - Animal-free batch production

For more information, read more on recombinant antibodies.

Properties and storage information

Form
Liquid
Purification technique
Affinity purification Protein A
Storage buffer
pH: 7.2 - 7.4 Preservative: 0.01% Sodium azide Constituents: PBS, 40% Glycerol (glycerin, glycerine), 0.05% BSA
Shipped at conditions
Blue Ice
Appropriate short-term storage duration
1-2 weeks
Appropriate short-term storage conditions
+4°C
Appropriate long-term storage conditions
-20°C
Aliquoting information
Upon delivery aliquot
Storage information
Stable for 12 months at -20°C

Supplementary information

This supplementary information is collated from multiple sources and compiled automatically.

Ku70 also known as XRCC6 or K331 is a DNA repair protein with a molecular mass of approximately 70 kDa. It belongs to the Ku protein family which includes Ku80. This protein expresses mainly in the nucleus of cells across various tissue types. As a part of a heterodimer together with Ku80 Ku70 forms the Ku70/Ku80 complex which binds to free DNA ends allowing DNA repair processes to occur efficiently.
Biological function summary

The Ku70 protein plays a significant role in maintaining genomic stability. It is an important component of the non-homologous end joining (NHEJ) pathway a primary mechanism for repairing double-strand breaks in DNA. By forming the Ku70/Ku80 complex it accurately aligns DNA ends to facilitate repair and prevent chromosomal abnormalities. The Ku70 protein also involves in telomere maintenance and can influence cell cycle regulation.

Pathways

Ku70 contributes mainly to the NHEJ DNA repair pathway. This pathway is important for cellular response to DNA damage and involves other proteins such as DNA-PKcs (DNA-dependent protein kinase catalytic subunit) and XRCC4. Ku70's interaction with DNA-PKcs enables the activation of its kinase activity which is essential for the repair process. Additionally Ku70 is involved in the homologous recombination pathway where it interacts with proteins like Rad51 to ensure repair fidelity.

Research links the Ku70 protein to cancer and neurodegenerative diseases. Dysregulation or mutations affecting Ku70 can lead to genomic instability contributing to cancer development. Ku70 also shows connections to neurodegenerative conditions like Alzheimer's disease where its role in DNA repair and apoptosis regulation may impact neuronal cell survival. Interactions with p53 a protein important for DNA damage response further underline Ku70's influence in these disease contexts.

Product protocols

For this product, it's our understanding that no specific protocols are required. You can visit:

Target data

Single-stranded DNA-dependent ATP-dependent helicase that plays a key role in DNA non-homologous end joining (NHEJ) by recruiting DNA-PK to DNA (PubMed : 11493912, PubMed : 12145306, PubMed : 20493174, PubMed : 2466842, PubMed : 7957065, PubMed : 8621488, PubMed : 9742108). Required for double-strand break repair and V(D)J recombination (PubMed : 11493912, PubMed : 12145306, PubMed : 20493174, PubMed : 2466842, PubMed : 7957065, PubMed : 8621488, PubMed : 9742108). Also has a role in chromosome translocation (PubMed : 11493912, PubMed : 12145306, PubMed : 20493174, PubMed : 2466842, PubMed : 7957065, PubMed : 8621488, PubMed : 9742108). Has a role in chromosome translocation (PubMed : 11493912, PubMed : 12145306, PubMed : 20493174, PubMed : 2466842, PubMed : 7957065, PubMed : 8621488, PubMed : 9742108). The DNA helicase II complex binds preferentially to fork-like ends of double-stranded DNA in a cell cycle-dependent manner (PubMed : 11493912, PubMed : 12145306, PubMed : 20493174, PubMed : 2466842, PubMed : 7957065, PubMed : 8621488, PubMed : 9742108). It works in the 3'-5' direction (PubMed : 11493912, PubMed : 12145306, PubMed : 20493174, PubMed : 2466842, PubMed : 7957065, PubMed : 8621488, PubMed : 9742108). During NHEJ, the XRCC5-XRRC6 dimer performs the recognition step : it recognizes and binds to the broken ends of the DNA and protects them from further resection (PubMed : 11493912, PubMed : 12145306, PubMed : 20493174, PubMed : 2466842, PubMed : 7957065, PubMed : 8621488, PubMed : 9742108). Binding to DNA may be mediated by XRCC6 (PubMed : 11493912, PubMed : 12145306, PubMed : 20493174, PubMed : 2466842, PubMed : 7957065, PubMed : 8621488, PubMed : 9742108). The XRCC5-XRRC6 dimer acts as a regulatory subunit of the DNA-dependent protein kinase complex DNA-PK by increasing the affinity of the catalytic subunit PRKDC to DNA by 100-fold (PubMed : 11493912, PubMed : 12145306, PubMed : 20493174, PubMed : 2466842, PubMed : 7957065, PubMed : 8621488, PubMed : 9742108). The XRCC5-XRRC6 dimer is probably involved in stabilizing broken DNA ends and bringing them together (PubMed : 11493912, PubMed : 12145306, PubMed : 20493174, PubMed : 2466842, PubMed : 7957065, PubMed : 8621488, PubMed : 9742108). The assembly of the DNA-PK complex to DNA ends is required for the NHEJ ligation step (PubMed : 11493912, PubMed : 12145306, PubMed : 20493174, PubMed : 2466842, PubMed : 7957065, PubMed : 8621488, PubMed : 9742108). Probably also acts as a 5'-deoxyribose-5-phosphate lyase (5'-dRP lyase), by catalyzing the beta-elimination of the 5' deoxyribose-5-phosphate at an abasic site near double-strand breaks (PubMed : 20383123). 5'-dRP lyase activity allows to 'clean' the termini of abasic sites, a class of nucleotide damage commonly associated with strand breaks, before such broken ends can be joined (PubMed : 20383123). The XRCC5-XRRC6 dimer together with APEX1 acts as a negative regulator of transcription (PubMed : 8621488). In association with NAA15, the XRCC5-XRRC6 dimer binds to the osteocalcin promoter and activates osteocalcin expression (PubMed : 12145306). Plays a role in the regulation of DNA virus-mediated innate immune response by assembling into the HDP-RNP complex, a complex that serves as a platform for IRF3 phosphorylation and subsequent innate immune response activation through the cGAS-STING pathway (PubMed : 28712728).
See full target information XRCC6

Publications (26)

Recent publications for all applications. Explore the full list and refine your search

Journal of translational medicine 23:652 PubMed40514657

2025

TTI1 contributes to radioresistance by activating ATM pathway in rectal cancer.

Applications

Unspecified application

Species

Unspecified reactive species

Jingying Wang,Lili Li,Yuan Qin,Wenyi Zhang

Nucleic acids research 52:13003-13018 PubMed39413208

2024

SNF2L suppresses nascent DNA gap formation to promote DNA synthesis.

Applications

Unspecified application

Species

Unspecified reactive species

Anthony Nelligan,Huzefa Dungrawala

Cell death & disease 15:649 PubMed39231972

2024

L3MBTL1, a polycomb protein, promotes Osimertinib acquired resistance through epigenetic regulation of DNA damage response in lung adenocarcinoma.

Applications

Unspecified application

Species

Unspecified reactive species

Zihe Zhang,Yongwen Li,Ruifeng Shi,Chaoyi Jia,Songlin Xu,Guangsheng Zhu,Peijun Cao,Hua Huang,Xuanguang Li,Hongbing Zhang,Minghui Liu,Chen Chen,Hongyu Liu,Chunsheng Kang,Jun Chen

Nucleic acids research 52:10999-11013 PubMed39180395

2024

Replication fork stalling in late S-phase elicits nascent strand degradation by DNA mismatch repair.

Applications

Unspecified application

Species

Unspecified reactive species

Erica Colicino-Murbach,Caitlin Hathaway,Huzefa Dungrawala

BMC cancer 24:519 PubMed38654216

2024

Modulating DNA damage response in uveal melanoma through embryonic stem cell microenvironment.

Applications

Unspecified application

Species

Unspecified reactive species

Yingxu Zhang,Jinbiao Zheng,Minyu Chen,Shulun Zhao,Ruiqian Ma,Wenwei Chen,Jiahui Liu

Life science alliance 7: PubMed37940188

2023

DCAF14 regulates CDT2 to promote SET8-dependent replication fork protection.

Applications

Unspecified application

Species

Unspecified reactive species

Neysha Tirado-Class,Caitlin Hathaway,Anthony Nelligan,Thuan Nguyen,Huzefa Dungrawala

Journal of cellular and molecular medicine 27:2572-2582 PubMed37537749

2023

(-)-Epigallocatechin-3-gallate induced apoptosis by dissociation of c-FLIP/Ku70 complex in gastric cancer cells.

Applications

Unspecified application

Species

Unspecified reactive species

Mahtab Shahriari Felordi,Mehdi Alikhani,Zahra Farzaneh,Mahmoud Alipour Choshali,Marzieh Ebrahimi,Hamidreza Aboulkheyr Es,Abbas Piryaei,Mustapha Najimi,Massoud Vosough

Nucleic acids research 51:9166-9182 PubMed37503842

2023

The HDAC6-RNF168 axis regulates H2A/H2A.X ubiquitination to enable double-strand break repair.

Applications

Unspecified application

Species

Unspecified reactive species

Lingyu Qiu,Wenchao Xu,Xiaopeng Lu,Feng Chen,Yongcan Chen,Yuan Tian,Qian Zhu,Xiangyu Liu,Yongqing Wang,Xin-Hai Pei,Xingzhi Xu,Jun Zhang,Wei-Guo Zhu

NPJ breast cancer 9:34 PubMed37156759

2023

Inhibition of CXorf56 promotes PARP inhibitor-induced cytotoxicity in triple-negative breast cancer.

Applications

Unspecified application

Species

Unspecified reactive species

Ying Zhu,Zhixian Liu,Liang Gui,Wen Yun,Changfei Mao,Rong Deng,Yufeng Yao,Qiao Yu,Jifeng Feng,Hongxia Ma,Wei Bao

iScience 26:106701 PubMed37207277

2023

Using brain cell-type-specific protein interactomes to interpret neurodevelopmental genetic signals in schizophrenia.

Applications

Unspecified application

Species

Unspecified reactive species

Yu-Han H Hsu,Greta Pintacuda,Ruize Liu,Eugeniu Nacu,April Kim,Kalliopi Tsafou,Natalie Petrossian,William Crotty,Jung Min Suh,Jackson Riseman,Jacqueline M Martin,Julia C Biagini,Daya Mena,Joshua K T Ching,Edyta Malolepsza,Taibo Li,Tarjinder Singh,Tian Ge,Shawn B Egri,Benjamin Tanenbaum,Caroline R Stanclift,Annie M Apffel,Steven A Carr,Monica Schenone,Jake Jaffe,Nadine Fornelos,Hailiang Huang,Kevin C Eggan,Kasper Lage
View all publications

Product promise

We are committed to supporting your work with high-quality reagents, and we're here for you every step of the way. In the unlikely event that one of our products does not perform as expected, you're protected by our Product Promise.
For full details, please see our Terms & Conditions

Please note: All products are 'FOR RESEARCH USE ONLY. NOT FOR USE IN DIAGNOSTIC OR THERAPEUTIC PROCEDURES'.

For licensing inquiries, please contact partnerships@abcam.com