JavaScript is disabled in your browser. Please enable JavaScript to view this website.
AB53126

Anti-Ku70 + Ku80 antibody

Be the first to review this product! Submit a review

|

(6 Publications)

Rabbit Polyclonal Ku70 antibody. Suitable for WB, IHC-P and reacts with Human samples. Cited in 6 publications. Immunogen corresponding to Synthetic Peptide within Human XRCC6.

View Alternative Names

G22P1, XRCC6, X-ray repair cross-complementing protein 6, 5'-deoxyribose-5-phosphate lyase Ku70, 70 kDa subunit of Ku antigen, ATP-dependent DNA helicase 2 subunit 1, ATP-dependent DNA helicase II 70 kDa subunit, CTC box-binding factor 75 kDa subunit, DNA repair protein XRCC6, Lupus Ku autoantigen protein p70, Thyroid-lupus autoantigen, X-ray repair complementing defective repair in Chinese hamster cells 6, 5'-dRP lyase Ku70, CTC75, CTCBF, Ku70, TLAA

2 Images
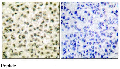
Immunohistochemistry (Formalin/PFA-fixed paraffin-embedded sections) - Anti-Ku70 + Ku80 antibody (AB53126)
  • IHC-P

Unknown

Immunohistochemistry (Formalin/PFA-fixed paraffin-embedded sections) - Anti-Ku70 + Ku80 antibody (AB53126)

ab53126 at 1/50 dilution staining Ku70 + Ku80 in human breast carcinoma by Immunohistochemistry, Paraffin embedded tissue in the absence and presence of the immunising peptide.

Western blot - Anti-Ku70 + Ku80 antibody (AB53126)
  • WB

Unknown

Western blot - Anti-Ku70 + Ku80 antibody (AB53126)

All lanes:

Western blot - Anti-Ku70 + Ku80 antibody (ab53126) at 1/300 dilution

Lane 1:

LoVo cell extract

Lane 2:

LoVo cell extract with immunising peptide

Predicted band size: 70 kDa,83 kDa

false

Key facts

Host species

Rabbit

Clonality

Polyclonal

Isotype

IgG

Carrier free

No

Reacts with

Human

Applications

WB, IHC-P

applications

Immunogen

Synthetic Peptide within Human XRCC6. The exact immunogen used to generate this antibody is proprietary information.

P12956

Reactivity data

{ "title": "Reactivity Data", "filters": { "stats": ["", "Species", "Dilution Info", "Notes"], "tabs": { "all-applications": {"fullname" : "All Applications", "shortname": "All Applications"}, "WB" : {"fullname" : "Western blot", "shortname":"WB"}, "IHCP" : {"fullname" : "Immunohistochemistry (Formalin/PFA-fixed paraffin-embedded sections)", "shortname":"IHC-P"} }, "product-promise": { "all": "all", "testedAndGuaranteed": "tested", "guaranteed": "expected", "predicted": "predicted", "notRecommended": "not-recommended" } }, "values": { "Human": { "WB-species-checked": "testedAndGuaranteed", "WB-species-dilution-info": "1/300 - 1/1000", "WB-species-notes": "<p></p>", "IHCP-species-checked": "testedAndGuaranteed", "IHCP-species-dilution-info": "", "IHCP-species-notes": "<p></p>" }, "Mouse": { "WB-species-checked": "predicted", "WB-species-dilution-info": "", "WB-species-notes": "", "IHCP-species-checked": "predicted", "IHCP-species-dilution-info": "", "IHCP-species-notes": "" }, "Rat": { "WB-species-checked": "predicted", "WB-species-dilution-info": "", "WB-species-notes": "", "IHCP-species-checked": "predicted", "IHCP-species-dilution-info": "", "IHCP-species-notes": "" } } }

Properties and storage information

Form
Liquid
Purification technique
Affinity purification Immunogen
Purification notes
ab53126 was affinity-purified from rabbit antiserum by affinity-chromatography using epitope-specific immunogen.
Storage buffer
pH: 7.4 Preservative: 0.02% Sodium azide Constituents: PBS, 50% Glycerol (glycerin, glycerine), 0.87% Sodium chloride
Shipped at conditions
Blue Ice
Appropriate short-term storage conditions
+4°C
Appropriate long-term storage conditions
-20°C
Storage information
Stable for 12 months at -20°C

Supplementary information

This supplementary information is collated from multiple sources and compiled automatically.

Ku70 and Ku80 also known collectively as the Ku70/Ku80 complex are proteins that play a vital role in DNA repair. Ku70 and Ku80 are subunits of a heterodimeric protein with Ku70 approximately 70 kDa and Ku80 around 80 kDa in mass. These proteins are typically expressed in the nucleus of eukaryotic cells where they recognize and bind to DNA double-strand break ends. The Ku70/Ku80 complex serves as a scaffold for the assembly of other proteins involved in non-homologous end joining (NHEJ) an important pathway for repairing these DNA breaks.
Biological function summary

Ku70 and Ku80 form a ring-shaped structure that binds tightly around DNA ends facilitating high-fidelity repair processes. They are essential for maintaining genomic stability by ensuring accurate repair of DNA that can otherwise lead to chromosomal aberrations. Ku70/80 operates as part of the DNA-PK complex working alongside DNA-PKcs (DNA-dependent protein kinase catalytic subunit) to promote the NHEJ pathway. This complex orchestrates the repair process by protecting DNA ends and recruiting other essential repair factors.

Pathways

NHEJ and V(D)J recombination are two critical biological pathways where Ku70/Ku80 functions. NHEJ is a major pathway for repairing double-strand breaks especially in the context of DNA damage by radiation or spontaneous genomic instability. V(D)J recombination on the other hand is essential for generating diversity in antigen receptors during immune response. Within these pathways the Ku70/Ku80 complex works closely with DNA ligase IV and XRCC4 to facilitate the final ligation step thereby ensuring effective DNA repair and recombination.

The malfunction of Ku70/Ku80 can lead to severe immunodeficiency disorders and increase the risk of cancer. Deficiencies in the Ku70/Ku80 complex result in a compromised NHEJ repair mechanism leading to increased susceptibility to genomic instability and associated malignancies. Additionally the improper function of Ku70/Ku80 is linked to neurodegenerative diseases due to failed DNA repair also involving other proteins like PARP1 (Poly [ADP-ribose] polymerase 1) highlighting the importance of the complex in maintaining neural health.

Product protocols

For this product, it's our understanding that no specific protocols are required. You can visit:

Target data

Single-stranded DNA-dependent ATP-dependent helicase that plays a key role in DNA non-homologous end joining (NHEJ) by recruiting DNA-PK to DNA (PubMed : 11493912, PubMed : 12145306, PubMed : 20493174, PubMed : 2466842, PubMed : 7957065, PubMed : 8621488, PubMed : 9742108). Required for double-strand break repair and V(D)J recombination (PubMed : 11493912, PubMed : 12145306, PubMed : 20493174, PubMed : 2466842, PubMed : 7957065, PubMed : 8621488, PubMed : 9742108). Also has a role in chromosome translocation (PubMed : 11493912, PubMed : 12145306, PubMed : 20493174, PubMed : 2466842, PubMed : 7957065, PubMed : 8621488, PubMed : 9742108). Has a role in chromosome translocation (PubMed : 11493912, PubMed : 12145306, PubMed : 20493174, PubMed : 2466842, PubMed : 7957065, PubMed : 8621488, PubMed : 9742108). The DNA helicase II complex binds preferentially to fork-like ends of double-stranded DNA in a cell cycle-dependent manner (PubMed : 11493912, PubMed : 12145306, PubMed : 20493174, PubMed : 2466842, PubMed : 7957065, PubMed : 8621488, PubMed : 9742108). It works in the 3'-5' direction (PubMed : 11493912, PubMed : 12145306, PubMed : 20493174, PubMed : 2466842, PubMed : 7957065, PubMed : 8621488, PubMed : 9742108). During NHEJ, the XRCC5-XRRC6 dimer performs the recognition step : it recognizes and binds to the broken ends of the DNA and protects them from further resection (PubMed : 11493912, PubMed : 12145306, PubMed : 20493174, PubMed : 2466842, PubMed : 7957065, PubMed : 8621488, PubMed : 9742108). Binding to DNA may be mediated by XRCC6 (PubMed : 11493912, PubMed : 12145306, PubMed : 20493174, PubMed : 2466842, PubMed : 7957065, PubMed : 8621488, PubMed : 9742108). The XRCC5-XRRC6 dimer acts as a regulatory subunit of the DNA-dependent protein kinase complex DNA-PK by increasing the affinity of the catalytic subunit PRKDC to DNA by 100-fold (PubMed : 11493912, PubMed : 12145306, PubMed : 20493174, PubMed : 2466842, PubMed : 7957065, PubMed : 8621488, PubMed : 9742108). The XRCC5-XRRC6 dimer is probably involved in stabilizing broken DNA ends and bringing them together (PubMed : 11493912, PubMed : 12145306, PubMed : 20493174, PubMed : 2466842, PubMed : 7957065, PubMed : 8621488, PubMed : 9742108). The assembly of the DNA-PK complex to DNA ends is required for the NHEJ ligation step (PubMed : 11493912, PubMed : 12145306, PubMed : 20493174, PubMed : 2466842, PubMed : 7957065, PubMed : 8621488, PubMed : 9742108). Probably also acts as a 5'-deoxyribose-5-phosphate lyase (5'-dRP lyase), by catalyzing the beta-elimination of the 5' deoxyribose-5-phosphate at an abasic site near double-strand breaks (PubMed : 20383123). 5'-dRP lyase activity allows to 'clean' the termini of abasic sites, a class of nucleotide damage commonly associated with strand breaks, before such broken ends can be joined (PubMed : 20383123). The XRCC5-XRRC6 dimer together with APEX1 acts as a negative regulator of transcription (PubMed : 8621488). In association with NAA15, the XRCC5-XRRC6 dimer binds to the osteocalcin promoter and activates osteocalcin expression (PubMed : 12145306). Plays a role in the regulation of DNA virus-mediated innate immune response by assembling into the HDP-RNP complex, a complex that serves as a platform for IRF3 phosphorylation and subsequent innate immune response activation through the cGAS-STING pathway (PubMed : 28712728).
See full target information XRCC6

Additional targets

XRCC5

Publications (6)

Recent publications for all applications. Explore the full list and refine your search

Aging 13:18223-18237 PubMed34321364

2021

Combination of rapamycin and SAHA enhanced radiosensitization by inducing autophagy and acetylation in NSCLC.

Applications

Unspecified application

Species

Unspecified reactive species

Yong Wang,Fen Liu,Chen Fang,Liyao Xu,Lin Chen,Zeyao Xu,Jiaquan Chen,Wei Peng,Biqi Fu,Yong Li

Radiation oncology (London, England) 16:129 PubMed34256782

2021

Complete response to neoadjuvant chemoradiotherapy in rectal cancer is associated with RAS/AKT mutations and high tumour mutational burden.

Applications

Unspecified application

Species

Unspecified reactive species

Joanne D Stockton,Louise Tee,Celina Whalley,Jonathan James,Mark Dilworth,Rachel Wheat,Thomas Nieto,Ian Geh,João D Barros-Silva,Andrew D Beggs

International journal of oncology 52:1827-1840 PubMed29658569

2018

β‑catenin nuclear translocation induced by HIF‑1α overexpression leads to the radioresistance of prostate cancer.

Applications

Unspecified application

Species

Unspecified reactive species

Yong Luo,Mingchuan Li,Xuemei Zuo,Spyridon P Basourakos,Jiao Zhang,Jiahui Zhao,Yili Han,Yunhua Lin,Yongxing Wang,Yongguang Jiang,Ling Lan

Stem cell reports 8:125-139 PubMed28076755

2017

RAD51 Is a Selective DNA Repair Target to Radiosensitize Glioma Stem Cells.

Applications

WB

Species

Unspecified reactive species

Harry O King,Tim Brend,Helen L Payne,Alexander Wright,Thomas A Ward,Karan Patel,Teklu Egnuni,Lucy F Stead,Anjana Patel,Heiko Wurdak,Susan C Short

International journal of oncology 44:2121-31 PubMed24676782

2014

Hypoxia sustains glioblastoma radioresistance through ERKs/DNA-PKcs/HIF-1α functional interplay.

Applications

Unspecified application

Species

Unspecified reactive species

Francesco Marampon,Giovanni Luca Gravina,Bianca Maria Zani,Vladimir M Popov,Amato Fratticci,Manuela Cerasani,Daniela Di Genova,Marta Mancini,Carmela Ciccarelli,Corrado Ficorella,Ernesto Di Cesare,Claudio Festuccia

Biochimica et biophysica acta 1823:1092-101 PubMed22504172

2012

Characterization of the interaction of Aha1 with components of the Hsp90 chaperone machine and client proteins.

Applications

Unspecified application

Species

Unspecified reactive species

Liang Sun,Thomas Prince,Jacob R Manjarrez,Bradley T Scroggins,Robert L Matts
View all publications

Product promise

We are committed to supporting your work with high-quality reagents, and we're here for you every step of the way. In the unlikely event that one of our products does not perform as expected, you're protected by our Product Promise.
For full details, please see our Terms & Conditions

Please note: All products are 'FOR RESEARCH USE ONLY. NOT FOR USE IN DIAGNOSTIC OR THERAPEUTIC PROCEDURES'.

For licensing inquiries, please contact partnerships@abcam.com