JavaScript is disabled in your browser. Please enable JavaScript to view this website.
AB61783

Anti-Ku70 (phospho S5) antibody

0

(1 Review)

|

(4 Publications)

Rabbit Polyclonal Ku70 phospho S5 antibody. Suitable for WB, IHC-P and reacts with Human samples. Cited in 4 publications. Immunogen corresponding to Synthetic Peptide within Human XRCC6 phospho S5 aa 1-50.

View Alternative Names

G22P1, XRCC6, X-ray repair cross-complementing protein 6, 5'-deoxyribose-5-phosphate lyase Ku70, 70 kDa subunit of Ku antigen, ATP-dependent DNA helicase 2 subunit 1, ATP-dependent DNA helicase II 70 kDa subunit, CTC box-binding factor 75 kDa subunit, DNA repair protein XRCC6, Lupus Ku autoantigen protein p70, Thyroid-lupus autoantigen, X-ray repair complementing defective repair in Chinese hamster cells 6, 5'-dRP lyase Ku70, CTC75, CTCBF, Ku70, TLAA

2 Images
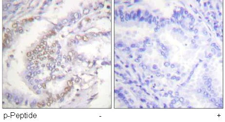
Immunohistochemistry (Formalin/PFA-fixed paraffin-embedded sections) - Anti-Ku70 (phospho S5) antibody (AB61783)
  • IHC-P

Unknown

Immunohistochemistry (Formalin/PFA-fixed paraffin-embedded sections) - Anti-Ku70 (phospho S5) antibody (AB61783)

Immunohistochemistry analysis of paraffin embedded human lung carcinoma tissue using ab61783 at 1/50 dilution in the presence and abscence of immunizing peptide antibody.

Western blot - Anti-Ku70 (phospho S5) antibody (AB61783)
  • WB

Unknown

Western blot - Anti-Ku70 (phospho S5) antibody (AB61783)

All lanes:

Western blot - Anti-Ku70 (phospho S5) antibody (ab61783) at 1/500 dilution

Lane 1:

extracts from HeLa cells with no immunizing peptide

Lane 2:

extracts from HeLa cells with immunizing peptide

Predicted band size: 70 kDa

Observed band size: 70 kDa

false

Key facts

Host species

Rabbit

Clonality

Polyclonal

Isotype

IgG

Carrier free

No

Reacts with

Human

Applications

IHC-P, WB

applications

Immunogen

Synthetic Peptide within Human XRCC6 phospho S5 aa 1-50. The exact immunogen used to generate this antibody is proprietary information.

P12956

Reactivity data

{ "title": "Reactivity Data", "filters": { "stats": ["", "Species", "Dilution Info", "Notes"], "tabs": { "all-applications": {"fullname" : "All Applications", "shortname": "All Applications"}, "WB" : {"fullname" : "Western blot", "shortname":"WB"}, "IHCP" : {"fullname" : "Immunohistochemistry (Formalin/PFA-fixed paraffin-embedded sections)", "shortname":"IHC-P"} }, "product-promise": { "all": "all", "testedAndGuaranteed": "tested", "guaranteed": "expected", "predicted": "predicted", "notRecommended": "not-recommended" } }, "values": { "Human": { "WB-species-checked": "testedAndGuaranteed", "WB-species-dilution-info": "1/500 - 1/1000", "WB-species-notes": "<p></p>", "IHCP-species-checked": "testedAndGuaranteed", "IHCP-species-dilution-info": "1/50 - 1/100", "IHCP-species-notes": "<p></p>" }, "Mouse": { "WB-species-checked": "predicted", "WB-species-dilution-info": "", "WB-species-notes": "", "IHCP-species-checked": "predicted", "IHCP-species-dilution-info": "", "IHCP-species-notes": "" } } }

Properties and storage information

Form
Liquid
Purification technique
Affinity purification Immunogen
Purification notes
Affinity purified from rabbit antiserum by affinity chromatography usingepitope specific phosphopeptide. The antibody against non phosphopeptide was removed by chromatography using non phosphopeptide corresponding to the phosphorylation site.
Storage buffer
pH: 7.4 Preservative: 0.02% Sodium azide Constituents: PBS, 50% Glycerol (glycerin, glycerine), 0.87% Sodium chloride
Shipped at conditions
Blue Ice
Appropriate short-term storage conditions
+4°C
Appropriate long-term storage conditions
-20°C
Aliquoting information
Upon delivery aliquot
Storage information
Avoid freeze / thaw cycle

Supplementary information

This supplementary information is collated from multiple sources and compiled automatically.

Ku70 also known as XRCC6 or K331 is a DNA repair protein with a molecular mass of approximately 70 kDa. It belongs to the Ku protein family which includes Ku80. This protein expresses mainly in the nucleus of cells across various tissue types. As a part of a heterodimer together with Ku80 Ku70 forms the Ku70/Ku80 complex which binds to free DNA ends allowing DNA repair processes to occur efficiently.
Biological function summary

The Ku70 protein plays a significant role in maintaining genomic stability. It is an important component of the non-homologous end joining (NHEJ) pathway a primary mechanism for repairing double-strand breaks in DNA. By forming the Ku70/Ku80 complex it accurately aligns DNA ends to facilitate repair and prevent chromosomal abnormalities. The Ku70 protein also involves in telomere maintenance and can influence cell cycle regulation.

Pathways

Ku70 contributes mainly to the NHEJ DNA repair pathway. This pathway is important for cellular response to DNA damage and involves other proteins such as DNA-PKcs (DNA-dependent protein kinase catalytic subunit) and XRCC4. Ku70's interaction with DNA-PKcs enables the activation of its kinase activity which is essential for the repair process. Additionally Ku70 is involved in the homologous recombination pathway where it interacts with proteins like Rad51 to ensure repair fidelity.

Research links the Ku70 protein to cancer and neurodegenerative diseases. Dysregulation or mutations affecting Ku70 can lead to genomic instability contributing to cancer development. Ku70 also shows connections to neurodegenerative conditions like Alzheimer's disease where its role in DNA repair and apoptosis regulation may impact neuronal cell survival. Interactions with p53 a protein important for DNA damage response further underline Ku70's influence in these disease contexts.

Product protocols

For this product, it's our understanding that no specific protocols are required. You can visit:

Target data

Single-stranded DNA-dependent ATP-dependent helicase that plays a key role in DNA non-homologous end joining (NHEJ) by recruiting DNA-PK to DNA (PubMed : 11493912, PubMed : 12145306, PubMed : 20493174, PubMed : 2466842, PubMed : 7957065, PubMed : 8621488, PubMed : 9742108). Required for double-strand break repair and V(D)J recombination (PubMed : 11493912, PubMed : 12145306, PubMed : 20493174, PubMed : 2466842, PubMed : 7957065, PubMed : 8621488, PubMed : 9742108). Also has a role in chromosome translocation (PubMed : 11493912, PubMed : 12145306, PubMed : 20493174, PubMed : 2466842, PubMed : 7957065, PubMed : 8621488, PubMed : 9742108). Has a role in chromosome translocation (PubMed : 11493912, PubMed : 12145306, PubMed : 20493174, PubMed : 2466842, PubMed : 7957065, PubMed : 8621488, PubMed : 9742108). The DNA helicase II complex binds preferentially to fork-like ends of double-stranded DNA in a cell cycle-dependent manner (PubMed : 11493912, PubMed : 12145306, PubMed : 20493174, PubMed : 2466842, PubMed : 7957065, PubMed : 8621488, PubMed : 9742108). It works in the 3'-5' direction (PubMed : 11493912, PubMed : 12145306, PubMed : 20493174, PubMed : 2466842, PubMed : 7957065, PubMed : 8621488, PubMed : 9742108). During NHEJ, the XRCC5-XRRC6 dimer performs the recognition step : it recognizes and binds to the broken ends of the DNA and protects them from further resection (PubMed : 11493912, PubMed : 12145306, PubMed : 20493174, PubMed : 2466842, PubMed : 7957065, PubMed : 8621488, PubMed : 9742108). Binding to DNA may be mediated by XRCC6 (PubMed : 11493912, PubMed : 12145306, PubMed : 20493174, PubMed : 2466842, PubMed : 7957065, PubMed : 8621488, PubMed : 9742108). The XRCC5-XRRC6 dimer acts as a regulatory subunit of the DNA-dependent protein kinase complex DNA-PK by increasing the affinity of the catalytic subunit PRKDC to DNA by 100-fold (PubMed : 11493912, PubMed : 12145306, PubMed : 20493174, PubMed : 2466842, PubMed : 7957065, PubMed : 8621488, PubMed : 9742108). The XRCC5-XRRC6 dimer is probably involved in stabilizing broken DNA ends and bringing them together (PubMed : 11493912, PubMed : 12145306, PubMed : 20493174, PubMed : 2466842, PubMed : 7957065, PubMed : 8621488, PubMed : 9742108). The assembly of the DNA-PK complex to DNA ends is required for the NHEJ ligation step (PubMed : 11493912, PubMed : 12145306, PubMed : 20493174, PubMed : 2466842, PubMed : 7957065, PubMed : 8621488, PubMed : 9742108). Probably also acts as a 5'-deoxyribose-5-phosphate lyase (5'-dRP lyase), by catalyzing the beta-elimination of the 5' deoxyribose-5-phosphate at an abasic site near double-strand breaks (PubMed : 20383123). 5'-dRP lyase activity allows to 'clean' the termini of abasic sites, a class of nucleotide damage commonly associated with strand breaks, before such broken ends can be joined (PubMed : 20383123). The XRCC5-XRRC6 dimer together with APEX1 acts as a negative regulator of transcription (PubMed : 8621488). In association with NAA15, the XRCC5-XRRC6 dimer binds to the osteocalcin promoter and activates osteocalcin expression (PubMed : 12145306). Plays a role in the regulation of DNA virus-mediated innate immune response by assembling into the HDP-RNP complex, a complex that serves as a platform for IRF3 phosphorylation and subsequent innate immune response activation through the cGAS-STING pathway (PubMed : 28712728).
See full target information XRCC6 phospho S5

Publications (4)

Recent publications for all applications. Explore the full list and refine your search

Radiotherapy and oncology : journal of the European Society for Therapeutic Radiology and Oncology 129:600-610 PubMed30049456

2018

Clustered DNA damage concentrated in particle trajectories causes persistent large-scale rearrangements in chromatin architecture.

Applications

Unspecified application

Species

Unspecified reactive species

Sara Timm,Yvonne Lorat,Burkhard Jakob,Gisela Taucher-Scholz,Claudia E Rübe

Nature communications 8:15760 PubMed28604675

2017

Identification of the elementary structural units of the DNA damage response.

Applications

Unspecified application

Species

Unspecified reactive species

Francesco Natale,Alexander Rapp,Wei Yu,Andreas Maiser,Hartmann Harz,Annina Scholl,Stephan Grulich,Tobias Anton,David Hörl,Wei Chen,Marco Durante,Gisela Taucher-Scholz,Heinrich Leonhardt,M Cristina Cardoso

PloS one 9:e91319 PubMed24637877

2014

DNA-damage foci to detect and characterize DNA repair alterations in children treated for pediatric malignancies.

Applications

IHC

Species

Human

Nadine Schuler,Jan Palm,Mareike Kaiser,Dominik Betten,Rhoikos Furtwängler,Christian Rübe,Norbert Graf,Claudia E Rübe

PloS one 8:e63932 PubMed23691119

2013

Accumulation of DNA damage-induced chromatin alterations in tissue-specific stem cells: the driving force of aging?

Applications

Flow Cyt

Species

Mouse

Nadine Schuler,Claudia E Rübe
View all publications

Product promise

We are committed to supporting your work with high-quality reagents, and we're here for you every step of the way. In the unlikely event that one of our products does not perform as expected, you're protected by our Product Promise.
For full details, please see our Terms & Conditions

Please note: All products are 'FOR RESEARCH USE ONLY. NOT FOR USE IN DIAGNOSTIC OR THERAPEUTIC PROCEDURES'.

For licensing inquiries, please contact partnerships@abcam.com