JavaScript is disabled in your browser. Please enable JavaScript to view this website.
AB119935

Anti-Ku80 antibody [5C5]

5

(7 Reviews)

|

(19 Publications)

Anti-Ku80 antibody [5C5] (ab119935) is a mouse monoclonal antibody detecting Ku80 in Western Blot, Flow Cytometry, IHC-P, ICC/IF, ELISA. Suitable for Human, Mouse.

- Over 10 publications

View Alternative Names

G22P2, XRCC5, DNA repair protein Ku80, 86 kDa subunit of Ku antigen, ATP-dependent DNA helicase 2 subunit 2, ATP-dependent DNA helicase II 80 kDa subunit, CTC box-binding factor 85 kDa subunit, DNA repair protein XRCC5, Ku80, Ku86, Lupus Ku autoantigen protein p86, Nuclear factor IV, Thyroid-lupus autoantigen, X-ray repair complementing defective repair in Chinese hamster cells 5 (double-strand-break rejoining), X-ray repair cross-complementing protein 5, CTC85, CTCBF, TLAA

6 Images
Western blot - Anti-Ku80 antibody [5C5] (AB119935)
  • WB

Unknown

Western blot - Anti-Ku80 antibody [5C5] (AB119935)

All lanes:

Western blot - Anti-Ku80 antibody [5C5] (ab119935) at 1/500 dilution

Lane 1:

HeLa cell lysate

Lane 2:

MCF7 cell lysate

Lane 3:

A549 cell lysate

Lane 4:

NIH3T3 cell lysate

Predicted band size: 83 kDa

Observed band size: 85 kDa

false

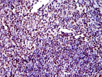
Immunohistochemistry (Formalin/PFA-fixed paraffin-embedded sections) - Anti-Ku80 antibody [5C5] (AB119935)
  • IHC-P

Unknown

Immunohistochemistry (Formalin/PFA-fixed paraffin-embedded sections) - Anti-Ku80 antibody [5C5] (AB119935)

Immunohistochemical analysis of paraffin-embedded Human tonsil tissues using ab119935 at a dilution of 1/200 with DAB staining.

Flow Cytometry - Anti-Ku80 antibody [5C5] (AB119935)
  • Flow Cyt

Unknown

Flow Cytometry - Anti-Ku80 antibody [5C5] (AB119935)

Flow cytometric analysis of Hela cells using ab119935 at a dilution of 1/200 (green) and negative control (purple).

Immunocytochemistry/ Immunofluorescence - Anti-Ku80 antibody [5C5] (AB119935)
  • ICC/IF

Unknown

Immunocytochemistry/ Immunofluorescence - Anti-Ku80 antibody [5C5] (AB119935)

Immunofluorescence analysis of Hela cells using ab119935 at a dilution of 1/200 (green). Red : Actin filaments have been labeled with Alexa Fluor-555 phalloidin.

Immunohistochemistry (Formalin/PFA-fixed paraffin-embedded sections) - Anti-Ku80 antibody [5C5] (AB119935)
  • IHC-P

Unknown

Immunohistochemistry (Formalin/PFA-fixed paraffin-embedded sections) - Anti-Ku80 antibody [5C5] (AB119935)

Immunohistochemical analysis of paraffin-embedded Human colon cancer tissue using ab119935 at a dilution of 1/200 with DAB staining.

ELISA - Anti-Ku80 antibody [5C5] (AB119935)
  • ELISA

Unknown

ELISA - Anti-Ku80 antibody [5C5] (AB119935)

ELISA, using ab119935 at a dilution of 1/10000.

Key facts

Host species

Mouse

Clonality

Monoclonal

Clone number

5C5

Isotype

IgG1

Carrier free

No

Reacts with

Mouse, Human

Applications

ICC/IF, IHC-P, Flow Cyt, WB, ELISA

applications

Immunogen

Recombinant Fragment Protein within Human XRCC5 aa 50-350. The exact immunogen used to generate this antibody is proprietary information.

P13010

Reactivity data

{ "title": "Reactivity Data", "filters": { "stats": ["", "Species", "Dilution Info", "Notes"], "tabs": { "all-applications": {"fullname" : "All Applications", "shortname": "All Applications"}, "FlowCyt" : {"fullname" : "Flow Cytometry", "shortname":"Flow Cyt"}, "ELISA" : {"fullname" : "ELISA", "shortname":"ELISA"}, "WB" : {"fullname" : "Western blot", "shortname":"WB"}, "IHCP" : {"fullname" : "Immunohistochemistry (Formalin/PFA-fixed paraffin-embedded sections)", "shortname":"IHC-P"}, "ICCIF" : {"fullname" : "Immunocytochemistry/ Immunofluorescence", "shortname":"ICC/IF"} }, "product-promise": { "all": "all", "testedAndGuaranteed": "tested", "guaranteed": "expected", "predicted": "predicted", "notRecommended": "not-recommended" } }, "values": { "Human": { "FlowCyt-species-checked": "testedAndGuaranteed", "FlowCyt-species-dilution-info": "1/200 - 1/400", "FlowCyt-species-notes": "<p><a href='/en-us/products/primary-antibodies/mouse-igg1-kappa-monoclonal-15-6e10a7-isotype-control-ab170190'>ab170190</a> - Mouse monoclonal IgG1, is suitable for use as an isotype control with this antibody.</p>", "ELISA-species-checked": "guaranteed", "ELISA-species-dilution-info": "", "ELISA-species-notes": "", "WB-species-checked": "testedAndGuaranteed", "WB-species-dilution-info": "1/500 - 1/2000", "WB-species-notes": "<p></p>", "IHCP-species-checked": "testedAndGuaranteed", "IHCP-species-dilution-info": "1/200 - 1/1000", "IHCP-species-notes": "<p></p>", "ICCIF-species-checked": "testedAndGuaranteed", "ICCIF-species-dilution-info": "1/200 - 1/1000", "ICCIF-species-notes": "<p></p>" }, "Mouse": { "FlowCyt-species-checked": "guaranteed", "FlowCyt-species-dilution-info": "", "FlowCyt-species-notes": "", "ELISA-species-checked": "guaranteed", "ELISA-species-dilution-info": "", "ELISA-species-notes": "", "WB-species-checked": "testedAndGuaranteed", "WB-species-dilution-info": "1/500 - 1/2000", "WB-species-notes": "<p></p>", "IHCP-species-checked": "guaranteed", "IHCP-species-dilution-info": "", "IHCP-species-notes": "", "ICCIF-species-checked": "guaranteed", "ICCIF-species-dilution-info": "", "ICCIF-species-notes": "" }, "Synthetic peptide": { "FlowCyt-species-checked": "notRecommended", "FlowCyt-species-dilution-info": "", "FlowCyt-species-notes": "", "ELISA-species-checked": "testedAndGuaranteed", "ELISA-species-dilution-info": "1/1000", "ELISA-species-notes": "<p></p>", "WB-species-checked": "notRecommended", "WB-species-dilution-info": "", "WB-species-notes": "", "IHCP-species-checked": "notRecommended", "IHCP-species-dilution-info": "", "IHCP-species-notes": "", "ICCIF-species-checked": "notRecommended", "ICCIF-species-dilution-info": "", "ICCIF-species-notes": "" } } }

Product details

What is this antibody validated in?
Anti-Ku80 antibody [5C5] (ab119935) is a mouse monoclonal antibody and is validated for use in Western Blot (WB), Flow Cytometry (Flow Cyt), Immunohistochemistry (IHC-P), Immunocytochemistry/immunofluorescence (ICC/IF), ELISA in Human, Mouse samples.

What is the molecular weight of Ku80?
Anti-Ku80 [5C5] (ab119935) specifically detects a band for Ku80 (UniProt: P13010) at a molecular weight of 83kDa.

Trusted by the scientific community
Anti-Ku80 [5C5] (ab119935) was first used in a scientific publication in 2011 and has been cited over 10 times in peer-reviewed journals.

Reviewed by scientists
Anti-Ku80 [5C5] (ab119935) has over 5 independent reviews from customers.

Properties and storage information

Form
Liquid
Purification technique
Affinity purification Protein G
Purification notes
Purified from tissue culture supernatant.
Storage buffer
Preservative: 0.05% Sodium azide Constituents: PBS
Shipped at conditions
Blue Ice
Appropriate short-term storage duration
1-2 weeks
Appropriate short-term storage conditions
+4°C
Appropriate long-term storage conditions
-20°C

Supplementary information

This supplementary information is collated from multiple sources and compiled automatically.

The Ku80 protein also known as Ku p70 Ku antigen p70 and by gene identifiers such as Ku80 hum39 and 5c5 functions critically in DNA repair processes. With a molecular mass of approximately 80 kDa Ku80 is ubiquitously expressed in mammalian cells. It is an important component of the Ku heterodimer working with its partner Ku70 to detect and bind DNA double-strand breaks (DSBs). This action initiates repair by aligning with DNA ends to prevent break processing and sustain genome integrity.
Biological function summary

The Ku80 protein executes an important role in maintaining cellular stability by participating in the non-homologous end joining (NHEJ) pathway. Ku80 forms a complex with DNA-PKcs (DNA-dependent protein kinase catalytic subunit) which activates the kinase to phosphorylate itself and other proteins facilitating the repair of DSBs. Its expression is significant in tissues that undergo high rates of cellular turnover and are experienced with DNA damage where the DNA repair mechanisms are important for regular cell cycle progression.

Pathways

DNA repair and V(D)J recombination are principal domains where Ku80 shows its influence. In the context of DNA repair Ku80's partnership with DNA-PKcs as part of the NHEJ repair pathway is fundamental in fixing DNA damage from environmental insults or normal cellular metabolism. In the immune development process through V(D)J recombination Ku80 partners with other proteins like the Artemis complex to perform programmed DNA rearrangements required for the diversity of immune receptors.

Ku80 has a significant relation to cancer and immune deficiencies. Defects in Ku80 function can lead to increased sensitivity to ionizing radiation and a higher propensity for cancer development because of impaired DNA repair capabilities. Moreover in immune-related disorders inadequate Ku80 performance affects the maturation of lymphocytes leading to immune system malfunction. Its malfunctioning connection with proteins like DNA-PKcs and Artemis highlights its critical roles in both tumor suppression and immune system competence.

Product protocols

For this product, it's our understanding that no specific protocols are required. You can visit:

Target data

DNA-binding protein critical for the DNA damage response, specifically in repairing double-strand breaks (DSBs) via the classical non-homologous end joining (NHEJ) pathway. It forms a heterodimer with XRCC6 (Ku70), creating the Ku70 : Ku80 heterodimer (Ku complex), which serves as a DNA end-binding complex. It primarily binds DSBs and recruits essential repair factors, assembling the core long-range NHEJ complex to facilitate the alignment and ligation of broken DNA ends (PubMed : 11493912, PubMed : 33854234, PubMed : 34352203). This pathway ensures the rapid repair of cytotoxic and mutagenic DSBs and contributes to the generation of diversity in T-cell receptors and antibodies through mechanisms such as V(D)J recombination (PubMed : 9742108). Likely acts as a 5'-deoxyribose-5-phosphate lyase (5'-dRP lyase), catalyzing the beta-elimination of the 5'-deoxyribose-5-phosphate at abasic sites near DSBs. This activity cleans the termini of abasic sites, a common form of nucleotide damage, preparing broken ends for ligation (PubMed : 20383123). It may also possess 3'-5' DNA helicase activity, although this has not been confirmed in vivo, and its physiological significance remains unclear (PubMed : 7957065). Beyond DNA repair, the protein contributes to telomere maintenance (PubMed : 29490055). It is also implicated in transcriptional regulation, acting as a cofactor for various transcription factors (PubMed : 12145306, PubMed : 8621488). It plays a role in the regulation of DNA virus-mediated innate immune response by assembling into the HDP-RNP complex, a complex that serves as a platform for IRF3 phosphorylation and subsequent innate immune response activation through the cGAS-STING pathway (PubMed : 28712728). Can also bind RNAs and recruits PRKDC to a wide range of cellular RNAs, including the U3 small nucleolar RNA, playing a role in the biogenesis of ribosomal RNAs (PubMed : 32103174).
See full target information XRCC5

Publications (19)

Recent publications for all applications. Explore the full list and refine your search

Radiation oncology (London, England) 19:150 PubMed39478631

2024

Tissue microarray analyses of the essential DNA repair factors ATM, DNA-PKcs and Ku80 in head and neck squamous cell carcinoma.

Applications

Unspecified application

Species

Unspecified reactive species

Henrike Barbara Zech,Clara von Bargen,Agnes Oetting,Nikolaus Möckelmann,Christina Möller-Koop,Melanie Witt,Nina Struve,Cordula Petersen,Christian Betz,Kai Rothkamm,Adrian Münscher,Till Sebastian Clauditz,Thorsten Rieckmann

International journal of molecular sciences 25: PubMed39408734

2024

Crosstalk between BER and NHEJ in XRCC4-Deficient Cells Depending on hTERT Overexpression.

Applications

Unspecified application

Species

Unspecified reactive species

Svetlana V Sergeeva,Polina S Loshchenova,Dmitry Yu Oshchepkov,Konstantin E Orishchenko

Science advances 8:eabq4882 PubMed36427309

2022

Cytostatic hypothermia and its impact on glioblastoma and survival.

Applications

Unspecified application

Species

Unspecified reactive species

Syed Faaiz Enam,Cem Y Kilic,Jianxi Huang,Brian J Kang,Reed Chen,Connor S Tribble,Ekaterina Ilich,Martha I Betancur,Stephanie J Blocker,Steven J Owen,Anne F Buckley,Johnathan G Lyon,Ravi V Bellamkonda

Nature communications 13:5063 PubMed36030235

2022

The KU-PARP14 axis differentially regulates DNA resection at stalled replication forks by MRE11 and EXO1.

Applications

Unspecified application

Species

Unspecified reactive species

Ashna Dhoonmoon,Claudia M Nicolae,George-Lucian Moldovan

Proceedings of the National Academy of Sciences of the United States of America 119:e2205166119 PubMed35858349

2022

DNA damage reduces heterogeneity and coherence of chromatin motions.

Applications

Unspecified application

Species

Unspecified reactive species

Maëlle Locatelli,Josh Lawrimore,Hua Lin,Sarvath Sanaullah,Clayton Seitz,Dave Segall,Paul Kefer,Naike Salvador Moreno,Benton Lietz,Rebecca Anderson,Julia Holmes,Chongli Yuan,George Holzwarth,Kerry S Bloom,Jing Liu,Keith Bonin,Pierre-Alexandre Vidi

Cell reports 39:110885 PubMed35649379

2022

Intrinsic antiviral immunity of barrier cells revealed by an iPSC-derived blood-brain barrier cellular model.

Applications

Unspecified application

Species

Unspecified reactive species

Yichen Cheng,Angelica Medina,Zhenlan Yao,Mausumi Basu,Janhavi P Natekar,Jianshe Lang,Egan Sanchez,Mezindia B Nkembo,Chongchong Xu,Xuyu Qian,Phuong T T Nguyen,Zhexing Wen,Hongjun Song,Guo-Li Ming,Mukesh Kumar,Margo A Brinton,Melody M H Li,Hengli Tang

Stem cells (Dayton, Ohio) 40:35-48 PubMed35511867

2022

Histone Variant macroH2A1.1 Enhances Nonhomologous End Joining-dependent DNA Double-strand-break Repair and Reprogramming Efficiency of Human iPSCs.

Applications

Unspecified application

Species

Unspecified reactive species

Sebastiano Giallongo,Daniela Řeháková,Tommaso Biagini,Oriana Lo Re,Priyanka Raina,Gabriela Lochmanová,Zbyněk Zdráhal,Igor Resnick,Pille Pata,Illar Pata,Martin Mistrík,João Pedro de Magalhães,Tommaso Mazza,Irena Koutná,Manlio Vinciguerra

Neuron 109:1825-1835.e5 PubMed33887199

2021

Translation of GGC repeat expansions into a toxic polyglycine protein in NIID defines a novel class of human genetic disorders: The polyG diseases.

Applications

Unspecified application

Species

Unspecified reactive species

Manon Boivin,Jianwen Deng,Véronique Pfister,Erwan Grandgirard,Mustapha Oulad-Abdelghani,Bastien Morlet,Frank Ruffenach,Luc Negroni,Pascale Koebel,Hugues Jacob,Fabrice Riet,Anke A Dijkstra,Kathryn McFadden,Wiley A Clayton,Daojun Hong,Hiroaki Miyahara,Yasushi Iwasaki,Jun Sone,Zhaoxia Wang,Nicolas Charlet-Berguerand

Cell death & disease 12:69 PubMed33431817

2021

LncRNA linc00312 suppresses radiotherapy resistance by targeting DNA-PKcs and impairing DNA damage repair in nasopharyngeal carcinoma.

Applications

Unspecified application

Species

Unspecified reactive species

Zhen Guo,You-Hong Wang,Heng Xu,Chun-Su Yuan,Hong-Hao Zhou,Wei-Hua Huang,Hui Wang,Wei Zhang

Cancer management and research 12:2437-2447 PubMed32308480

2020

Different Proteins Regulated Apoptosis, Proliferation and Metastasis of Lung Adenocarcinoma After Radiotherapy at Different Time.

Applications

Unspecified application

Species

Unspecified reactive species

P L Dai,X S Du,Y Hou,L Li,Y X Xia,L Wang,H X Chen,L Chang,W H Li
View all publications

Product promise

We are committed to supporting your work with high-quality reagents, and we're here for you every step of the way. In the unlikely event that one of our products does not perform as expected, you're protected by our Product Promise.
For full details, please see our Terms & Conditions

Please note: All products are 'FOR RESEARCH USE ONLY. NOT FOR USE IN DIAGNOSTIC OR THERAPEUTIC PROCEDURES'.

For licensing inquiries, please contact partnerships@abcam.com