JavaScript is disabled in your browser. Please enable JavaScript to view this website.
AB97433

Anti-Ku80 antibody

Be the first to review this product! Submit a review

|

(2 Publications)

Rabbit Polyclonal Ku80 antibody. Suitable for IP, WB, IHC-P, ICC/IF and reacts with Human, Mouse, Rat samples. Cited in 2 publications. Immunogen corresponding to Recombinant Fragment Protein within Human XRCC5 aa 300-600.

View Alternative Names

G22P2, XRCC5, X-ray repair cross-complementing protein 5, 86 kDa subunit of Ku antigen, ATP-dependent DNA helicase 2 subunit 2, ATP-dependent DNA helicase II 80 kDa subunit, CTC box-binding factor 85 kDa subunit, DNA repair protein XRCC5, Ku80, Ku86, Lupus Ku autoantigen protein p86, Nuclear factor IV, Thyroid-lupus autoantigen, X-ray repair complementing defective repair in Chinese hamster cells 5 (double-strand-break rejoining), CTC85, CTCBF, TLAA

6 Images
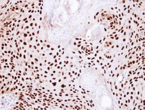
Immunohistochemistry (Formalin/PFA-fixed paraffin-embedded sections) - Anti-Ku80 antibody (AB97433)
  • IHC-P

Unknown

Immunohistochemistry (Formalin/PFA-fixed paraffin-embedded sections) - Anti-Ku80 antibody (AB97433)

Paraffin-embedded Cal27 xenograft tissue stained Ku80 using ab97433 at 1/100 dilution in immunohistochemical analysis.

Antigen Retrieval : Trilogy™ (EDTA based, pH 8.0) buffer, 15min.

Immunocytochemistry/ Immunofluorescence - Anti-Ku80 antibody (AB97433)
  • ICC/IF

Supplier Data

Immunocytochemistry/ Immunofluorescence - Anti-Ku80 antibody (AB97433)

Immunofluorescence analysis of HeLa cells fixed in 4% paraformaldehyde at RT for 15 min labelling Ku80 protein at nucleus using ab97433 at a 1/1000 dilution (Green). phalloidin, a cytoskeleton marker, was stained at a 1/200 dilution (Red).
Scale bar= 10 µm.

Immunoprecipitation - Anti-Ku80 antibody (AB97433)
  • IP

Supplier Data

Immunoprecipitation - Anti-Ku80 antibody (AB97433)

The immunoprecipitated Ku80 protein was detected byab97433 at 1/1000 dilution, followed by anti-rabbit IgG antibody.

IP Sample : 1000 μg HeLa (human epithelial cell line from cervix adenocarcinoma) whole cell lysate.

A - 40 μg HeLa whole cell lysate.

B - Control with 2.5 μg of preimmune rabbit IgG C.

C - Immunoprecipitation of Ku80 protein by 2.5 μg of ab97433.

7.5% SDS-PAGE

All lanes:

Immunoprecipitation - Anti-Ku80 antibody (ab97433)

Predicted band size: 83 kDa

false

Western blot - Anti-Ku80 antibody (AB97433)
  • WB

Supplier Data

Western blot - Anti-Ku80 antibody (AB97433)

Samples were separated by 7.5% SDS-PAGE. Corresponding RNA expression data for the same cell lines are based on Human Protein Atlas program.

All lanes:

Western blot - Anti-Ku80 antibody (ab97433) at 1/1000 dilution

Lane 1:

293T whole cell lysates at 30 µg

Lane 2:

A431 whole cell lysates at 30 µg

Lane 3:

HeLa whole cell lysates at 30 µg

Lane 4:

HepG2 whole cell lysates at 30 µg

Secondary

All lanes:

HRP-conjugated anti-rabbit IgG antibody

Predicted band size: 83 kDa

false

Western blot - Anti-Ku80 antibody (AB97433)
  • WB

Unknown

Western blot - Anti-Ku80 antibody (AB97433)

7.5% SDS-PAGE.

All lanes:

Western blot - Anti-Ku80 antibody (ab97433) at 1/1000 dilution

All lanes:

Neuro-2a (mouse neuroblastoma cell line) whole cell lysate at 30 µg

Secondary

All lanes:

HRP-conjugated anti-rabbit IgG antibody

Predicted band size: 83 kDa

false

Western blot - Anti-Ku80 antibody (AB97433)
  • WB

Supplier Data

Western blot - Anti-Ku80 antibody (AB97433)

7.5% SDS-PAGE

All lanes:

Western blot - Anti-Ku80 antibody (ab97433) at 1/1000 dilution

Lane 1:

PC-12 (rat adrenal gland pheochromocytoma cell line) whole cell lysate at 30 µg

Lane 2:

Rat2 (rat fibroblast cell line) whole cell lysate at 30 µg

Secondary

All lanes:

HRP-conjugated anti-rabbit IgG antibody

Predicted band size: 83 kDa

false

Key facts

Host species

Rabbit

Clonality

Polyclonal

Isotype

IgG

Carrier free

No

Reacts with

Mouse, Rat, Human

Applications

WB, ICC/IF, IP, IHC-P

applications

Immunogen

Recombinant Fragment Protein within Human XRCC5 aa 300-600. The exact immunogen used to generate this antibody is proprietary information.

P13010

Reactivity data

{ "title": "Reactivity Data", "filters": { "stats": ["", "Species", "Dilution Info", "Notes"], "tabs": { "all-applications": {"fullname" : "All Applications", "shortname": "All Applications"}, "IP" : {"fullname" : "Immunoprecipitation", "shortname":"IP"}, "WB" : {"fullname" : "Western blot", "shortname":"WB"}, "IHCP" : {"fullname" : "Immunohistochemistry (Formalin/PFA-fixed paraffin-embedded sections)", "shortname":"IHC-P"}, "ICCIF" : {"fullname" : "Immunocytochemistry/ Immunofluorescence", "shortname":"ICC/IF"} }, "product-promise": { "all": "all", "testedAndGuaranteed": "tested", "guaranteed": "expected", "predicted": "predicted", "notRecommended": "not-recommended" } }, "values": { "Human": { "IP-species-checked": "testedAndGuaranteed", "IP-species-dilution-info": "1/100 - 1/500", "IP-species-notes": "<p></p>", "WB-species-checked": "testedAndGuaranteed", "WB-species-dilution-info": "1/500 - 1/3000", "WB-species-notes": "<p></p>", "IHCP-species-checked": "testedAndGuaranteed", "IHCP-species-dilution-info": "1/100 - 1/1000", "IHCP-species-notes": "<p></p>", "ICCIF-species-checked": "testedAndGuaranteed", "ICCIF-species-dilution-info": "1/100 - 1/1000", "ICCIF-species-notes": "<p></p>" }, "Mouse": { "IP-species-checked": "guaranteed", "IP-species-dilution-info": "", "IP-species-notes": "", "WB-species-checked": "testedAndGuaranteed", "WB-species-dilution-info": "1/500 - 1/3000", "WB-species-notes": "<p></p>", "IHCP-species-checked": "guaranteed", "IHCP-species-dilution-info": "", "IHCP-species-notes": "", "ICCIF-species-checked": "guaranteed", "ICCIF-species-dilution-info": "", "ICCIF-species-notes": "" }, "Rat": { "IP-species-checked": "guaranteed", "IP-species-dilution-info": "", "IP-species-notes": "", "WB-species-checked": "testedAndGuaranteed", "WB-species-dilution-info": "1/500 - 1/3000", "WB-species-notes": "<p></p>", "IHCP-species-checked": "guaranteed", "IHCP-species-dilution-info": "", "IHCP-species-notes": "", "ICCIF-species-checked": "guaranteed", "ICCIF-species-dilution-info": "", "ICCIF-species-notes": "" } } }

Properties and storage information

Form
Liquid
Purification technique
Affinity purification Immunogen
Storage buffer
pH: 7 Preservative: 0.01% Thimerosal (merthiolate) Constituents: 10% Glycerol (glycerin, glycerine), 1.21% Tris, 0.75% Glycine
Shipped at conditions
Blue Ice
Appropriate short-term storage duration
1-2 weeks
Appropriate short-term storage conditions
+4°C
Appropriate long-term storage conditions
-20°C
Aliquoting information
Upon delivery aliquot
Storage information
Avoid freeze / thaw cycle

Supplementary information

This supplementary information is collated from multiple sources and compiled automatically.

The Ku80 protein also known as Ku p70 Ku antigen p70 and by gene identifiers such as Ku80 hum39 and 5c5 functions critically in DNA repair processes. With a molecular mass of approximately 80 kDa Ku80 is ubiquitously expressed in mammalian cells. It is an important component of the Ku heterodimer working with its partner Ku70 to detect and bind DNA double-strand breaks (DSBs). This action initiates repair by aligning with DNA ends to prevent break processing and sustain genome integrity.
Biological function summary

The Ku80 protein executes an important role in maintaining cellular stability by participating in the non-homologous end joining (NHEJ) pathway. Ku80 forms a complex with DNA-PKcs (DNA-dependent protein kinase catalytic subunit) which activates the kinase to phosphorylate itself and other proteins facilitating the repair of DSBs. Its expression is significant in tissues that undergo high rates of cellular turnover and are experienced with DNA damage where the DNA repair mechanisms are important for regular cell cycle progression.

Pathways

DNA repair and V(D)J recombination are principal domains where Ku80 shows its influence. In the context of DNA repair Ku80's partnership with DNA-PKcs as part of the NHEJ repair pathway is fundamental in fixing DNA damage from environmental insults or normal cellular metabolism. In the immune development process through V(D)J recombination Ku80 partners with other proteins like the Artemis complex to perform programmed DNA rearrangements required for the diversity of immune receptors.

Ku80 has a significant relation to cancer and immune deficiencies. Defects in Ku80 function can lead to increased sensitivity to ionizing radiation and a higher propensity for cancer development because of impaired DNA repair capabilities. Moreover in immune-related disorders inadequate Ku80 performance affects the maturation of lymphocytes leading to immune system malfunction. Its malfunctioning connection with proteins like DNA-PKcs and Artemis highlights its critical roles in both tumor suppression and immune system competence.

Product protocols

For this product, it's our understanding that no specific protocols are required. You can visit:

Target data

Single-stranded DNA-dependent ATP-dependent helicase that plays a key role in DNA non-homologous end joining (NHEJ) by recruiting DNA-PK to DNA (PubMed : 11493912, PubMed : 12145306, PubMed : 7957065, PubMed : 8621488). Required for double-strand break repair and V(D)J recombination (PubMed : 11493912, PubMed : 12145306, PubMed : 7957065, PubMed : 8621488). Also has a role in chromosome translocation (PubMed : 11493912, PubMed : 12145306, PubMed : 7957065, PubMed : 8621488). The DNA helicase II complex binds preferentially to fork-like ends of double-stranded DNA in a cell cycle-dependent manner (PubMed : 11493912, PubMed : 12145306, PubMed : 7957065, PubMed : 8621488). It works in the 3'-5' direction (PubMed : 11493912, PubMed : 12145306, PubMed : 7957065, PubMed : 8621488). During NHEJ, the XRCC5-XRRC6 dimer performs the recognition step : it recognizes and binds to the broken ends of the DNA and protects them from further resection (PubMed : 11493912, PubMed : 12145306, PubMed : 7957065, PubMed : 8621488). Binding to DNA may be mediated by XRCC6 (PubMed : 11493912, PubMed : 12145306, PubMed : 7957065, PubMed : 8621488). The XRCC5-XRRC6 dimer acts as a regulatory subunit of the DNA-dependent protein kinase complex DNA-PK by increasing the affinity of the catalytic subunit PRKDC to DNA by 100-fold (PubMed : 11493912, PubMed : 12145306, PubMed : 20383123, PubMed : 7957065, PubMed : 8621488). The XRCC5-XRRC6 dimer is probably involved in stabilizing broken DNA ends and bringing them together (PubMed : 12145306, PubMed : 20383123, PubMed : 7957065, PubMed : 8621488). The assembly of the DNA-PK complex to DNA ends is required for the NHEJ ligation step (PubMed : 12145306, PubMed : 20383123, PubMed : 7957065, PubMed : 8621488). The XRCC5-XRRC6 dimer probably also acts as a 5'-deoxyribose-5-phosphate lyase (5'-dRP lyase), by catalyzing the beta-elimination of the 5' deoxyribose-5-phosphate at an abasic site near double-strand breaks (PubMed : 20383123). XRCC5 probably acts as the catalytic subunit of 5'-dRP activity, and allows to 'clean' the termini of abasic sites, a class of nucleotide damage commonly associated with strand breaks, before such broken ends can be joined (PubMed : 20383123). The XRCC5-XRRC6 dimer together with APEX1 acts as a negative regulator of transcription (PubMed : 8621488). In association with NAA15, the XRCC5-XRRC6 dimer binds to the osteocalcin promoter and activates osteocalcin expression (PubMed : 12145306). As part of the DNA-PK complex, involved in the early steps of ribosome assembly by promoting the processing of precursor rRNA into mature 18S rRNA in the small-subunit processome (PubMed : 32103174). Binding to U3 small nucleolar RNA, recruits PRKDC and XRCC5/Ku86 to the small-subunit processome (PubMed : 32103174). Plays a role in the regulation of DNA virus-mediated innate immune response by assembling into the HDP-RNP complex, a complex that serves as a platform for IRF3 phosphorylation and subsequent innate immune response activation through the cGAS-STING pathway (PubMed : 28712728).
See full target information XRCC5

Publications (2)

Recent publications for all applications. Explore the full list and refine your search

BioFactors (Oxford, England) 49:1158-1173 PubMed37338025

2023

SUMO2/3 promotes the progression and oxaliplatin resistance of colorectal cancer through facilitating the SUMOylation at Ku80-K307.

Applications

Unspecified application

Species

Unspecified reactive species

Dan Feng,Jinsong He,Min Yuan,Qing Chen,Xi Zeng,Qilin Zhou,Jian Wu,Bin Han

Neoplasia (New York, N.Y.) 21:893-907 PubMed31401411

2019

A Novel Pyrazolopyrimidine Ligand of Human PGK1 and Stress Sensor DJ1 Modulates the Shelterin Complex and Telomere Length Regulation.

Applications

Unspecified application

Species

Unspecified reactive species

Alan E Bilsland,Yu Liu,Andrew Turnbull,David Sumpton,Katrina Stevenson,Claire J Cairney,Susan M Boyd,Jon Roffey,David Jenkinson,W Nicol Keith
View all publications

Product promise

We are committed to supporting your work with high-quality reagents, and we're here for you every step of the way. In the unlikely event that one of our products does not perform as expected, you're protected by our Product Promise.
For full details, please see our Terms & Conditions

Please note: All products are 'FOR RESEARCH USE ONLY. NOT FOR USE IN DIAGNOSTIC OR THERAPEUTIC PROCEDURES'.

For licensing inquiries, please contact partnerships@abcam.com