JavaScript is disabled in your browser. Please enable JavaScript to view this website.
AB236393

Anti-Kv beta 1/KCNAB1 antibody [OTI9F7]

Be the first to review this product! Submit a review

|

(1 Publication)

Mouse Monoclonal Kv beta 1/KCNAB1 antibody. Suitable for IHC-P, WB and reacts with Human samples. Cited in 1 publication. Immunogen corresponding to Recombinant Full Length Protein corresponding to Human KCNAB1.

View Alternative Names

KCNA1B, KCNAB1, Voltage-gated potassium channel subunit beta-1, K(+) channel subunit beta-1, Kv-beta-1

2 Images
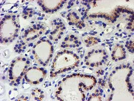
Immunohistochemistry (Formalin/PFA-fixed paraffin-embedded sections) - Anti-Kv beta 1/KCNAB1 antibody [OTI9F7] (AB236393)
  • IHC-P

Supplier Data

Immunohistochemistry (Formalin/PFA-fixed paraffin-embedded sections) - Anti-Kv beta 1/KCNAB1 antibody [OTI9F7] (AB236393)

Paraffin-embedded human thyroid carcinoma tissue stained for Kv beta 1/KCNAB1 using ab236393 at 1/150 dilution.

Perform heat-induced epitope retrieval using 10 mM citric buffer, pH 6.0 at 100°C for 10 minutes.

Western blot - Anti-Kv beta 1/KCNAB1 antibody [OTI9F7] (AB236393)
  • WB

Supplier Data

Western blot - Anti-Kv beta 1/KCNAB1 antibody [OTI9F7] (AB236393)

All lanes:

Western blot - Anti-Kv beta 1/KCNAB1 antibody [OTI9F7] (ab236393) at 1/2000 dilution

Lane 1:

pCMV6-ENTRY control transfected HEK-293T (Human epithelial cell line from embryonic kidney transformed with large T antigen) cell lysate at 5 µg

Lane 2:

pCMV6-ENTRY Kv beta 1/KCNAB1 transfected HEK-293T (Human epithelial cell line from embryonic kidney transformed with large T antigen) cell lysate at 5 µg

Predicted band size: 47 kDa

false

Key facts

Host species

Mouse

Clonality

Monoclonal

Clone number

OTI9F7

Isotype

IgG1

Carrier free

No

Reacts with

Human

Applications

IHC-P, WB

applications

Immunogen

Recombinant Full Length Protein corresponding to Human KCNAB1.

Q14722

Reactivity data

{ "title": "Reactivity Data", "filters": { "stats": ["", "Species", "Dilution Info", "Notes"], "tabs": { "all-applications": {"fullname" : "All Applications", "shortname": "All Applications"}, "IHCP" : {"fullname" : "Immunohistochemistry (Formalin/PFA-fixed paraffin-embedded sections)", "shortname":"IHC-P"}, "WB" : {"fullname" : "Western blot", "shortname":"WB"} }, "product-promise": { "all": "all", "testedAndGuaranteed": "tested", "guaranteed": "expected", "predicted": "predicted", "notRecommended": "not-recommended" } }, "values": { "Human": { "IHCP-species-checked": "testedAndGuaranteed", "IHCP-species-dilution-info": "1/150", "IHCP-species-notes": "<p></p> Perform heat-mediated antigen retrieval with citrate buffer pH 6 before commencing with IHC staining protocol.", "WB-species-checked": "testedAndGuaranteed", "WB-species-dilution-info": "1/2000", "WB-species-notes": "<p></p>" }, "Mouse": { "IHCP-species-checked": "predicted", "IHCP-species-dilution-info": "", "IHCP-species-notes": "", "WB-species-checked": "predicted", "WB-species-dilution-info": "", "WB-species-notes": "" }, "Rat": { "IHCP-species-checked": "predicted", "IHCP-species-dilution-info": "", "IHCP-species-notes": "", "WB-species-checked": "predicted", "WB-species-dilution-info": "", "WB-species-notes": "" }, "Chicken": { "IHCP-species-checked": "predicted", "IHCP-species-dilution-info": "", "IHCP-species-notes": "", "WB-species-checked": "predicted", "WB-species-dilution-info": "", "WB-species-notes": "" }, "Cow": { "IHCP-species-checked": "predicted", "IHCP-species-dilution-info": "", "IHCP-species-notes": "", "WB-species-checked": "predicted", "WB-species-dilution-info": "", "WB-species-notes": "" }, "Ferret": { "IHCP-species-checked": "predicted", "IHCP-species-dilution-info": "", "IHCP-species-notes": "", "WB-species-checked": "predicted", "WB-species-dilution-info": "", "WB-species-notes": "" }, "Rabbit": { "IHCP-species-checked": "predicted", "IHCP-species-dilution-info": "", "IHCP-species-notes": "", "WB-species-checked": "predicted", "WB-species-dilution-info": "", "WB-species-notes": "" } } }

Product details

Clone OTI9F7 (formerly 9F7).

Properties and storage information

Form
Liquid
Purification technique
Affinity purification
Purification notes
Purified from cell culture supernatant.
Storage buffer
pH: 7.3 Preservative: 0.02% Sodium azide Constituents: PBS, 50% Glycerol (glycerin, glycerine), 1% BSA
Shipped at conditions
Blue Ice
Appropriate short-term storage duration
1-2 weeks
Appropriate short-term storage conditions
+4°C
Appropriate long-term storage conditions
-20°C
Aliquoting information
Upon delivery aliquot
Storage information
Avoid freeze / thaw cycle

Supplementary information

This supplementary information is collated from multiple sources and compiled automatically.

Kv beta 1 also known as KCNAB1 is an auxiliary subunit of voltage-gated potassium channels. This protein modulates the functional properties of the Kv channel complex. Kv beta 1 possesses a molecular mass of approximately 44 kDa. It is expressed extensively in the brain and heart where it plays an important role in regulating electrical excitability. By binding to the alpha subunit of the potassium channel Kv beta 1 affects the channel's inactivation dynamics influencing the flow of potassium ions across cell membranes.
Biological function summary

Kv beta 1/KCNAB1 functions as a regulatory component of the Kv channel complex. It interacts with the channel alpha subunits to modify gating properties channel kinetics and response to cellular signals. Kv beta 1 enhances rapid inactivation of certain Kv channels affecting nerve impulse transmission and cardiac muscle contraction. This regulation is essential for maintaining proper action potential shapes and frequencies ensuring appropriate electrical signaling in neurons and cardiac cells.

Pathways

Kv beta 1 is importantly integrated into electrical signaling pathways related to neuronal excitability and cardiac electrical cycle. It is significantly involved in the regulation of the action potential propagation in neurons and myocytes. Kv beta 1 prominently interacts with Kv alpha subunits like Kv1.1 and Kv1.2 affecting their physiological roles and contributing to finely-tuned ion homeostasis during prolonged cellular activities.

Altered Kv beta 1 function associates with certain neurological and cardiac conditions. Dysregulation of this protein's activity links to epilepsy where abnormal neuronal excitability occurs. It is also implicated in cardiac arrhythmias due to its role in cardiac repolarization. Relationships with proteins such as Kv1.1 and Kv1.2 are evident in these conditions suggesting that therapeutic targeting of Kv beta 1 might offer potential benefits in managing these disorders.

Product protocols

For this product, it's our understanding that no specific protocols are required. You can visit:

Target data

Regulatory subunit of the voltage-gated potassium (Kv) Shaker channels composed of pore-forming and potassium-conducting alpha subunits and of regulatory beta subunits (PubMed : 17156368, PubMed : 17540341, PubMed : 19713757, PubMed : 7499366, PubMed : 7603988). The beta-1/KCNAB1 cytoplasmic subunit mediates closure of delayed rectifier potassium channels by physically obstructing the pore via its N-terminal domain and increases the speed of channel closure for other family members (PubMed : 9763623). Promotes the inactivation of Kv1.1/KCNA1, Kv1.2/KCNA2, Kv1.4/KCNA4, Kv1.5/KCNA5 and Kv1.6/KCNA6 alpha subunit-containing channels (PubMed : 12077175, PubMed : 12130714, PubMed : 15361858, PubMed : 17156368, PubMed : 17540341, PubMed : 19713757, PubMed : 7499366, PubMed : 7603988, PubMed : 7649300, PubMed : 7890764, PubMed : 9763623). Displays nicotinamide adenine dinucleotide phosphate (NADPH)-dependent aldoketoreductase activity by catalyzing the NADPH-dependent reduction of a variety of endogenous aldehydes and ketones (By similarity). The binding of NADPH is required for efficient down-regulation of potassium channel activity (PubMed : 17540341). Oxidation of the bound NADPH restrains N-terminal domain from blocking the channel, thereby decreasing N-type inactivation of potassium channel activity (By similarity).. Isoform KvB1.2. Isoform KvB1.2 shows no effect on KCNA1, KCNA2 or KCNB1.
See full target information KCNAB1

Publications (1)

Recent publications for all applications. Explore the full list and refine your search

Journal of experimental & clinical cancer research : CR 41:13 PubMed34996491

2022

INPP5F translocates into cytoplasm and interacts with ASPH to promote tumor growth in hepatocellular carcinoma.

Applications

Unspecified application

Species

Unspecified reactive species

Qianlei Zhou,Jianhong Lin,Yongcong Yan,Shiyu Meng,Hao Liao,Ruibin Chen,Gui He,Yue Zhu,Chuanchao He,Kai Mao,Jie Wang,Jianlong Zhang,Zhenyu Zhou,Zhiyu Xiao
View all publications

Product promise

We are committed to supporting your work with high-quality reagents, and we're here for you every step of the way. In the unlikely event that one of our products does not perform as expected, you're protected by our Product Promise.
For full details, please see our Terms & Conditions

Please note: All products are 'FOR RESEARCH USE ONLY. NOT FOR USE IN DIAGNOSTIC OR THERAPEUTIC PROCEDURES'.

For licensing inquiries, please contact partnerships@abcam.com