JavaScript is disabled in your browser. Please enable JavaScript to view this website.
AB254277

Anti-Kv1.1 potassium channel antibody [K20/78] - BSA and Azide free

Be the first to review this product! Submit a review

|

(0 Publication)

Mouse Recombinant Monoclonal Kv1.1 potassium channel antibody. Carrier free. Suitable for WB, IHC-P and reacts with Mouse, Rat samples.

View Alternative Names

Potassium voltage-gated channel subfamily A member 1, MBK1, MKI, Voltage-gated potassium channel subunit Kv1.1, Kcna1

4 Images
Immunohistochemistry (Formalin/PFA-fixed paraffin-embedded sections) - Anti-Kv1.1 potassium channel antibody [K20/78] - BSA and Azide free (AB254277)
  • IHC-P

Supplier Data

Immunohistochemistry (Formalin/PFA-fixed paraffin-embedded sections) - Anti-Kv1.1 potassium channel antibody [K20/78] - BSA and Azide free (AB254277)

This data was produced using the same clone but in a different formulation, ab252537.

Immunohistochemical analysis of paraffin-embedded rat hippocampus tissue labeling Kv1.1 potassium channel with ab252537 at 1/1000 followed by a ready to use Goat Anti-Mouse IgG H&L (HRP polymer) (ab214879). Cytoplasmic staining on rat hippocampus. The section was incubated with ab252537 for 30 mins at room temperature.
The immunostaining was performed on a Leica Biosystems BOND® RX instrument. Counterstained with Hematoxylin. Secondary antibody only control : Secondary antibody is a ready to use Goat Anti-Mouse IgG H&L (HRP polymer) (ab214879). Heat mediated antigen retrieval with Citrate buffer (pH 6.0, epitope retrieval solution 1) for 20 mins.

Immunohistochemistry (Formalin/PFA-fixed paraffin-embedded sections) - Anti-Kv1.1 potassium channel antibody [K20/78] - BSA and Azide free (AB254277)
  • IHC-P

Lab

Immunohistochemistry (Formalin/PFA-fixed paraffin-embedded sections) - Anti-Kv1.1 potassium channel antibody [K20/78] - BSA and Azide free (AB254277)

This data was produced using the same clone but in a different formulation, ab252537.

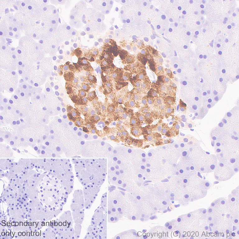
Immunohistochemical analysis of paraffin-embedded rat pancreas tissue labeling Kv1.1 potassium channel with ab252537 at 1/1000 followed by a ready to use Goat Anti-Mouse IgG H&L (HRP polymer) (ab214879). Cytoplasmic staining on rat pancreas islet. The section was incubated with ab252537 for 30 mins at room temperature.
The immunostaining was performed on a Leica Biosystems BOND® RX instrument. Counterstained with Hematoxylin. Secondary antibody only control : Secondary antibody is a ready to use Goat Anti-Mouse IgG H&L (HRP polymer) (ab214879). Heat mediated antigen retrieval with Citrate buffer (pH 6.0, epitope retrieval solution 1) for 20 mins.

Immunohistochemistry (Formalin/PFA-fixed paraffin-embedded sections) - Anti-Kv1.1 potassium channel antibody [K20/78] - BSA and Azide free (AB254277)
  • IHC-P

Lab

Immunohistochemistry (Formalin/PFA-fixed paraffin-embedded sections) - Anti-Kv1.1 potassium channel antibody [K20/78] - BSA and Azide free (AB254277)

This data was produced using the same clone but in a different formulation, ab252537.

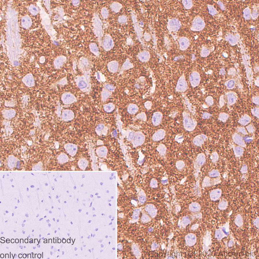
Immunohistochemical analysis of paraffin-embedded mouse hippocampus tissue labeling Kv1.1 potassium channel with ab252537 at 1/1000 followed by a ready to use Goat Anti-Mouse IgG H&L (HRP polymer) (ab214879). Cytoplasmic staining on mouse hippocampus. The section was incubated with ab252537 for 30 mins at room temperature.
The immunostaining was performed on a Leica Biosystems BOND® RX instrument. Counterstained with Hematoxylin. Secondary antibody only control : Secondary antibody is a ready to use Goat Anti-Mouse IgG H&L (HRP polymer) (ab214879). Heat mediated antigen retrieval with Citrate buffer (pH 6.0, epitope retrieval solution 1) for 20 mins.

Western blot - Anti-Kv1.1 potassium channel antibody [K20/78] - BSA and Azide free (AB254277)
  • WB

Supplier Data

Western blot - Anti-Kv1.1 potassium channel antibody [K20/78] - BSA and Azide free (AB254277)

This data was produced using the same clone but in a different formulation, ab252537.

The molecular weight observed is consistent with what has been described in the literature (PMID : 31978607, 20805574, 24498366).
Samples are non-boiled as boiling may cause protein aggregates.

Blocking/dilution buffer : 5% NFDM/TBST.

All lanes:

Western blot - Anti-Kv1.1 potassium channel antibody [K20/78] (<a href='/en-us/products/primary-antibodies/kv11-potassium-channel-antibody-k20-78-ab252537'>ab252537</a>) at 1/1000 dilution

Lane 1:

Mouse hippocampus tissue lysate at 20 µg

Lane 2:

Rat hippocampus tissue lysate at 20 µg

Secondary

All lanes:

Peroxidase-Conjugated Goat anti-Mouse IgG (H+L) at 1/10000 dilution

Predicted band size: 56 kDa

false

Exposure time: 37s

  • Unconjugated

    Anti-Kv1.1 potassium channel antibody [K20/78]

Key facts

Host species

Mouse

Clonality

Monoclonal

Clone number

K20/78

Isotype

IgG2b

Carrier free

Yes

Reacts with

Mouse, Rat

Applications

WB, IHC-P

applications

Immunogen

The exact immunogen used to generate this antibody is proprietary information.

Reactivity data

{ "title": "Reactivity Data", "filters": { "stats": ["", "Species", "Dilution Info", "Notes"], "tabs": { "all-applications": {"fullname" : "All Applications", "shortname": "All Applications"}, "ICC" : {"fullname" : "Immunocytochemistry", "shortname":"ICC"}, "WB" : {"fullname" : "Western blot", "shortname":"WB"}, "IHCP" : {"fullname" : "Immunohistochemistry (Formalin/PFA-fixed paraffin-embedded sections)", "shortname":"IHC-P"}, "IHCFr" : {"fullname" : "Immunohistochemistry (Frozen sections)", "shortname":"IHC-Fr"} }, "product-promise": { "all": "all", "testedAndGuaranteed": "tested", "guaranteed": "expected", "predicted": "predicted", "notRecommended": "not-recommended" } }, "values": { "Mouse": { "ICC-species-checked": "notRecommended", "ICC-species-dilution-info": "", "ICC-species-notes": "<p></p>", "WB-species-checked": "testedAndGuaranteed", "WB-species-dilution-info": "", "WB-species-notes": "<p></p>", "IHCP-species-checked": "testedAndGuaranteed", "IHCP-species-dilution-info": "", "IHCP-species-notes": "<p></p>", "IHCFr-species-checked": "notRecommended", "IHCFr-species-dilution-info": "", "IHCFr-species-notes": "<p></p>" }, "Rat": { "ICC-species-checked": "notRecommended", "ICC-species-dilution-info": "", "ICC-species-notes": "<p></p>", "WB-species-checked": "testedAndGuaranteed", "WB-species-dilution-info": "", "WB-species-notes": "<p></p>", "IHCP-species-checked": "testedAndGuaranteed", "IHCP-species-dilution-info": "", "IHCP-species-notes": "<p></p>", "IHCFr-species-checked": "notRecommended", "IHCFr-species-dilution-info": "", "IHCFr-species-notes": "<p></p>" } } }

Product details

ab254277 is the carrier-free version of ab252537.

What are the advantages of a recombinant monoclonal antibody?
This product is a recombinant monoclonal antibody, which offers several advantages including:

  • - High batch-to-batch consistency and reproducibility
  • - Improved sensitivity and specificity
  • - Long-term security of supply
  • - Animal-free batch production

For more information, read more on recombinant antibodies.

Conjugation ready
Our carrier-free antibodies are typically supplied in a PBS-only formulation, purified and free of BSA, sodium azide and glycerol. This conjugation-ready format is designed for use with fluorochromes, metal isotopes, oligonucleotides, and enzymes, which makes them ideal for antibody labelling, functional and cell-based assays, flow-based assays (e.g. mass cytometry) and Multiplex Imaging applications.

Use our conjugation kits for antibody conjugates that are ready-to-use in as little as 20 minutes with 1 minute hands-on-time and 100% antibody recovery: available for fluorescent dyes, HRP, biotin and gold.

Compatibility
This product is compatible with the Maxpar® Antibody Labeling Kit from Fluidigm, without the need for antibody preparation. Maxpar® is a trademark of Fluidigm Canada Inc.

Properties and storage information

Form
Liquid
Purification technique
Affinity purification Protein A
Storage buffer
Constituents: PBS
Shipped at conditions
Blue Ice
Appropriate short-term storage conditions
+4°C
Appropriate long-term storage conditions
+4°C
Storage information
Do Not Freeze

Supplementary information

This supplementary information is collated from multiple sources and compiled automatically.

The Kv1.1 potassium channel also known as Kv1 or Kv1s belongs to the voltage-gated potassium channel family. This channel with molecular mass of approximately 53 kDa plays an important role in the regulation of membrane potential and electrical excitability of neurons. Widely expressed in the central nervous system it is especially present in the nodes of Ranvier and axons of myelinated neurons contributing to the propagation of action potentials.
Biological function summary

The Kv1.1 channel is essential for controlling neuronal excitability and action potential repolarization. It functions by allowing potassium ions to flow out of the neuron which stabilizes the resting membrane potential. This channel often forms part of a heteromeric complex with other Kv subunits which fine-tune its biophysical properties. Such interactions enable it to modulate synaptic transmission and signal integration in neurons.

Pathways

Kv1.1 channels participate in the regulation of the action potential pathway and the synaptic transmission pathway. Through these pathways Kv1.1 interacts with protein partners such as the Kvβ subunits which can modulate the kinetics and voltage dependence of the channel. Its activity contributes significantly to the rapid repolarization of action potentials therefore maintaining the high-frequency firing ability of neurons.

Alterations in Kv1.1 channel function are linked to episodic ataxia type 1 and temporal lobe epilepsy. Mutations affecting the channel conductance or gating can lead to disrupted neuronal signaling. In these conditions Kv1.1 has been found to interact with related proteins like Kv1.2 and Kv1.4 which also play roles in neurological function. Understanding the Kv1.1 protein and its interactions is important for developing therapeutic strategies for these channelopathies.

Product protocols

For this product, it's our understanding that no specific protocols are required. You can visit:

Target data

Voltage-gated potassium channel that mediates transmembrane potassium transport in excitable membranes, primarily in the brain and the central nervous system, but also in the kidney. Contributes to the regulation of the membrane potential and nerve signaling, and prevents neuronal hyperexcitability (PubMed : 10191303, PubMed : 12611922, PubMed : 21966978, PubMed : 22158511, PubMed : 23473320, PubMed : 9581771, PubMed : 9736643). Forms tetrameric potassium-selective channels through which potassium ions pass in accordance with their electrochemical gradient. The channel alternates between opened and closed conformations in response to the voltage difference across the membrane (PubMed : 15361858). Can form functional homotetrameric channels and heterotetrameric channels that contain variable proportions of KCNA1, KCNA2, KCNA4, KCNA5, KCNA6, KCNA7, and possibly other family members as well; channel properties depend on the type of alpha subunits that are part of the channel. Channel properties are modulated by cytoplasmic beta subunits that regulate the subcellular location of the alpha subunits and promote rapid inactivation of delayed rectifier potassium channels (PubMed : 15361858). In vivo, membranes probably contain a mixture of heteromeric potassium channel complexes, making it difficult to assign currents observed in intact tissues to any particular potassium channel family member. Homotetrameric KCNA1 forms a delayed-rectifier potassium channel that opens in response to membrane depolarization, followed by slow spontaneous channel closure (PubMed : 15361858, PubMed : 7517498). In contrast, a heterotetrameric channel formed by KCNA1 and KCNA4 shows rapid inactivation (By similarity). Regulates neuronal excitability in hippocampus, especially in mossy fibers and medial perforant path axons, preventing neuronal hyperexcitability (PubMed : 23466697). May function as down-stream effector for G protein-coupled receptors and inhibit GABAergic inputs to basolateral amygdala neurons (By similarity). May contribute to the regulation of neurotransmitter release, such as gamma-aminobutyric acid (GABA) release (By similarity). Plays a role in regulating the generation of action potentials and preventing hyperexcitability in myelinated axons of the vagus nerve, and thereby contributes to the regulation of heart contraction (PubMed : 20392939, PubMed : 22641786, PubMed : 25377007). Required for normal neuromuscular responses (PubMed : 9736643). Regulates the frequency of neuronal action potential firing in response to mechanical stimuli, and plays a role in the perception of pain caused by mechanical stimuli, but does not play a role in the perception of pain due to heat stimuli (PubMed : 23473320). Required for normal responses to auditory stimuli and precise location of sound sources, but not for sound perception (PubMed : 21966978, PubMed : 22396426). The use of toxins that block specific channels suggest that it contributes to the regulation of the axonal release of the neurotransmitter dopamine (PubMed : 21233214). Required for normal postnatal brain development and normal proliferation of neuronal precursor cells in the brain (PubMed : 17250763, PubMed : 17315199, PubMed : 22411008, PubMed : 8995755). Plays a role in the reabsorption of Mg(2+) in the distal convoluted tubules in the kidney and in magnesium ion homeostasis, probably via its effect on the membrane potential (By similarity).
See full target information Kcna1

Product promise

We are committed to supporting your work with high-quality reagents, and we're here for you every step of the way. In the unlikely event that one of our products does not perform as expected, you're protected by our Product Promise.
For full details, please see our Terms & Conditions

Please note: All products are 'FOR RESEARCH USE ONLY. NOT FOR USE IN DIAGNOSTIC OR THERAPEUTIC PROCEDURES'.

For licensing inquiries, please contact partnerships@abcam.com