JavaScript is disabled in your browser. Please enable JavaScript to view this website.
AB300664

Anti-Kv1.1 potassium channel antibody [K36/15]

Be the first to review this product! Submit a review

|

(0 Publication)

Mouse Recombinant Monoclonal Kv1.1 potassium channel antibody. Suitable for IHC-Fr, IHC-P and reacts with Rat, Mouse samples.

View Alternative Names

Potassium voltage-gated channel subfamily A member 1, MBK1, MKI, Voltage-gated potassium channel subunit Kv1.1, Kcna1

6 Images
Immunohistochemistry (Formalin/PFA-fixed paraffin-embedded sections) - Anti-Kv1.1 potassium channel antibody [K36/15] (AB300664)
  • IHC-P

Supplier Data

Immunohistochemistry (Formalin/PFA-fixed paraffin-embedded sections) - Anti-Kv1.1 potassium channel antibody [K36/15] (AB300664)

Immunohistochemical analysis of paraffin-embedded Rat liver tissue labeling Kv1.1 potassium channel with ab300664 at 1/10000 (0.099 ug/ml) followed by a LeicaDS9800 (Bond™ Polymer Refine Detection) was used at Ready to use msd2577. Negative control : no staining on rat liver. The section was incubated with ab300664 for 30 mins at room temperature and followed by mouse IgG1 antibody (ab125913) for 8 mins.The immunostaining was performed on a Leica Biosystems BOND® RX instrument Counterstained with Hematoxylin. Secondary antibody only control : Secondary antibody is LeicaDS9800 (Bond™ Polymer Refine Detection) was used at Ready to use msd2577. Heat mediated antigen retrieval with Tris-EDTA buffer (pH 9.0, epitope retrieval solution2) for 20 mins

Immunohistochemistry (Formalin/PFA-fixed paraffin-embedded sections) - Anti-Kv1.1 potassium channel antibody [K36/15] (AB300664)
  • IHC-P

Supplier Data

Immunohistochemistry (Formalin/PFA-fixed paraffin-embedded sections) - Anti-Kv1.1 potassium channel antibody [K36/15] (AB300664)

Immunohistochemical analysis of paraffin-embedded Rat hippocampus tissue labeling Kv1.1 potassium channel with ab300664 at 1/10000 (0.099 ug/ml) followed by a LeicaDS9800 (Bond™ Polymer Refine Detection) was used at Ready to use msd2577. Positive staining on rat hippocampus. The section was incubated with ab300664 for 30 mins at room temperature and followed by mouse IgG1 antibody (ab125913) for 8 mins.The immunostaining was performed on a Leica Biosystems BOND® RX instrument Counterstained with Hematoxylin. Secondary antibody only control : Secondary antibody is LeicaDS9800 (Bond™ Polymer Refine Detection) was used at Ready to use msd2577. Heat mediated antigen retrieval with Tris-EDTA buffer (pH 9.0, epitope retrieval solution2) for 20 mins

Immunohistochemistry (Formalin/PFA-fixed paraffin-embedded sections) - Anti-Kv1.1 potassium channel antibody [K36/15] (AB300664)
  • IHC-P

Supplier Data

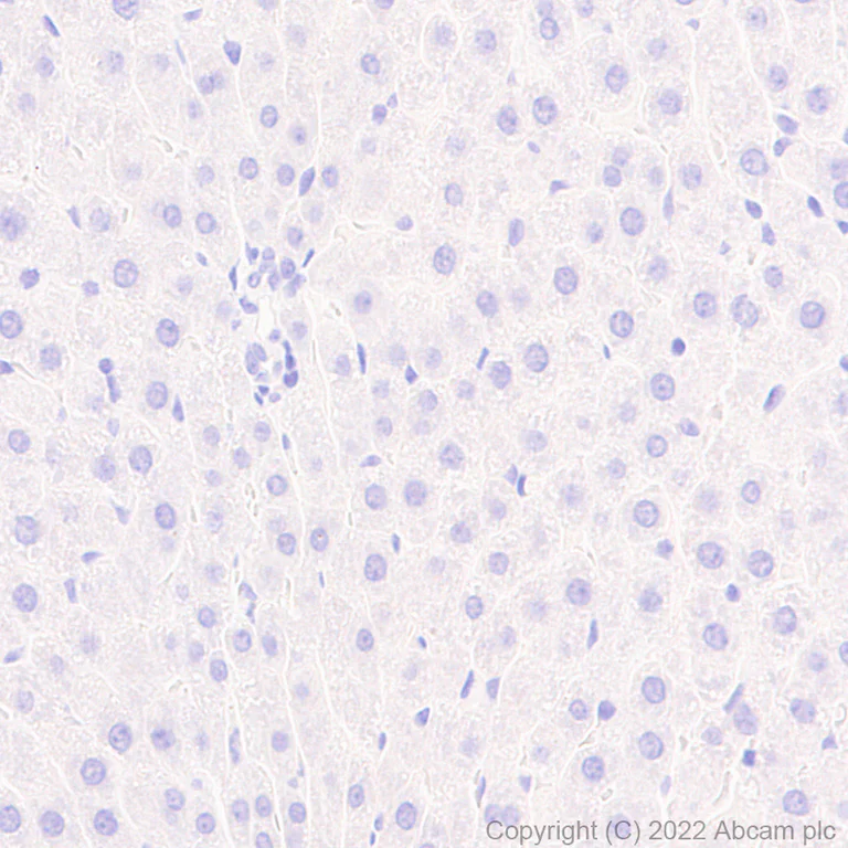
Immunohistochemistry (Formalin/PFA-fixed paraffin-embedded sections) - Anti-Kv1.1 potassium channel antibody [K36/15] (AB300664)

Immunohistochemical analysis of paraffin-embedded Mouse liver tissue labeling Kv1.1 potassium channel with ab300664 at 1/10000 (0.099 ug/ml) followed by a LeicaDS9800 (Bond™ Polymer Refine Detection) was used at Ready to use msd2577. Negative control : no staining on mouse liver. The section was incubated with ab300664 for 30 mins at room temperature and followed by mouse IgG1 antibody (ab125913) for 8 mins.The immunostaining was performed on a Leica Biosystems BOND® RX instrument Counterstained with Hematoxylin. Secondary antibody only control : Secondary antibody is LeicaDS9800 (Bond™ Polymer Refine Detection) was used at Ready to use msd2577. Heat mediated antigen retrieval with Tris-EDTA buffer (pH 9.0, epitope retrieval solution2) for 20 mins

Immunohistochemistry (Formalin/PFA-fixed paraffin-embedded sections) - Anti-Kv1.1 potassium channel antibody [K36/15] (AB300664)
  • IHC-P

Supplier Data

Immunohistochemistry (Formalin/PFA-fixed paraffin-embedded sections) - Anti-Kv1.1 potassium channel antibody [K36/15] (AB300664)

Immunohistochemical analysis of paraffin-embedded Mouse hippocampus tissue labeling Kv1.1 potassium channel with ab300664 at 1/10000 (0.099 ug/ml) followed by a LeicaDS9800 (Bond™ Polymer Refine Detection) was used at Ready to use msd2577. Positive staining on mouse hippocampus. The section was incubated with ab300664 for 30 mins at room temperature and followed by mouse IgG1 antibody (ab125913) for 8 mins.The immunostaining was performed on a Leica Biosystems BOND® RX instrument Counterstained with Hematoxylin. Secondary antibody only control : Secondary antibody is LeicaDS9800 (Bond™ Polymer Refine Detection) was used at Ready to use msd2577. Heat mediated antigen retrieval with Tris-EDTA buffer (pH 9.0, epitope retrieval solution2) for 20 mins

Immunohistochemistry (Frozen sections) - Anti-Kv1.1 potassium channel antibody [K36/15] (AB300664)
  • IHC-Fr

Supplier Data

Immunohistochemistry (Frozen sections) - Anti-Kv1.1 potassium channel antibody [K36/15] (AB300664)

Immunohistochemical analysis of 4% PFA-fixed, 0.2% Triton X-100 permeabilized frozen Rat hippocampus (fresh) tissue labeling Kv1.1 potassium channel with ab300664 at 1/500 msd2577 followed by ab150117 Goat Anti-Mouse IgG H&L (Alexa Fluor® 488) preadsorbed at 1/1000 2 ug/mL msd2577 (Green). Positive staining on rat hippocampus is observed. The nuclear counterstain was DAPI (Blue). Secondary antibody control : Secondary antibody is ab150117 Goat Anti-Mouse IgG H&L (Alexa Fluor® 488) preadsorbedat 1/1000 2 ug/mL msd2577. .

Immunohistochemistry (Frozen sections) - Anti-Kv1.1 potassium channel antibody [K36/15] (AB300664)
  • IHC-Fr

Supplier Data

Immunohistochemistry (Frozen sections) - Anti-Kv1.1 potassium channel antibody [K36/15] (AB300664)

Immunohistochemical analysis of 4% PFA-fixed, 0.2% Triton X-100 permeabilized fresh frozen sectioned rat liver tissue labeling Aquaporin 1 with ab300664 at 1/500 dilution, followed by ab150117 Goat Anti-Mouse IgG H&L (Alexa Fluor® 488) preadsorbed at 1/1000 (2 μg/mL) dilution (green). Negative control (PMID : 24309898) - no staining on rat liver is observed. The nuclear counter stain is DAPI (blue).

Secondary antibody only control : Secondary antibody without adding primary.

No antigen retrieval was carried out.

  • Carrier free

    Anti-Kv1.1 potassium channel antibody [K36/15] (BSA and Azide free)

Key facts

Host species

Mouse

Clonality

Monoclonal

Clone number

K36/15 H1L1

Isotype

IgG1

Carrier free

No

Reacts with

Rat, Mouse

Applications

IHC-P, IHC-Fr

applications

Immunogen

The exact immunogen used to generate this antibody is proprietary information.

Reactivity data

{ "title": "Reactivity Data", "filters": { "stats": ["", "Species", "Dilution Info", "Notes"], "tabs": { "all-applications": {"fullname" : "All Applications", "shortname": "All Applications"}, "IHCFr" : {"fullname" : "Immunohistochemistry (Frozen sections)", "shortname":"IHC-Fr"}, "IHCP" : {"fullname" : "Immunohistochemistry (Formalin/PFA-fixed paraffin-embedded sections)", "shortname":"IHC-P"}, "WB" : {"fullname" : "Western blot", "shortname":"WB"} }, "product-promise": { "all": "all", "testedAndGuaranteed": "tested", "guaranteed": "expected", "predicted": "predicted", "notRecommended": "not-recommended" } }, "values": { "Human": { "IHCFr-species-checked": "notRecommended", "IHCFr-species-dilution-info": "", "IHCFr-species-notes": "", "IHCP-species-checked": "notRecommended", "IHCP-species-dilution-info": "", "IHCP-species-notes": "", "WB-species-checked": "notRecommended", "WB-species-dilution-info": "", "WB-species-notes": "<p></p>" }, "Mouse": { "IHCFr-species-checked": "notRecommended", "IHCFr-species-dilution-info": "1/500", "IHCFr-species-notes": "<p>Not Applicable.</p>", "IHCP-species-checked": "testedAndGuaranteed", "IHCP-species-dilution-info": "1/10000", "IHCP-species-notes": "<p></p> Perform heat-mediated antigen retrieval with Tris/EDTA buffer pH 9.0 before commencing with IHC staining protocol.", "WB-species-checked": "notRecommended", "WB-species-dilution-info": "", "WB-species-notes": "<p></p>" }, "Rat": { "IHCFr-species-checked": "testedAndGuaranteed", "IHCFr-species-dilution-info": "1/500", "IHCFr-species-notes": "<p>Not Applicable.</p>", "IHCP-species-checked": "testedAndGuaranteed", "IHCP-species-dilution-info": "1/10000", "IHCP-species-notes": "<p></p> Perform heat-mediated antigen retrieval with Tris/EDTA buffer pH 9.0 before commencing with IHC staining protocol.", "WB-species-checked": "notRecommended", "WB-species-dilution-info": "", "WB-species-notes": "<p></p>" } } }

Product details

What are the advantages of a recombinant monoclonal antibody?
This product is a recombinant monoclonal antibody, which offers several advantages including:

  • - High batch-to-batch consistency and reproducibility
  • - Improved sensitivity and specificity
  • - Long-term security of supply
  • - Animal-free batch production

For more information, read more on recombinant antibodies.

Want a custom formulation?
This antibody clone is manufactured by Abcam. If you require a custom buffer formulation or conjugation for your experiments, please contact orders@abcam.com

Properties and storage information

Form
Liquid
Purification technique
Affinity purification Protein A
Storage buffer
pH: 7.2 - 7.4 Preservative: 0.01% Sodium azide Constituents: PBS, 40% Glycerol (glycerin, glycerine), 0.05% BSA
Shipped at conditions
Blue Ice
Appropriate short-term storage duration
1-2 weeks
Appropriate short-term storage conditions
+4°C
Appropriate long-term storage conditions
-20°C
Aliquoting information
Upon delivery aliquot
Storage information
Avoid freeze / thaw cycle

Supplementary information

This supplementary information is collated from multiple sources and compiled automatically.

The Kv1.1 potassium channel also known as Kv1 or Kv1s belongs to the voltage-gated potassium channel family. This channel with molecular mass of approximately 53 kDa plays an important role in the regulation of membrane potential and electrical excitability of neurons. Widely expressed in the central nervous system it is especially present in the nodes of Ranvier and axons of myelinated neurons contributing to the propagation of action potentials.
Biological function summary

The Kv1.1 channel is essential for controlling neuronal excitability and action potential repolarization. It functions by allowing potassium ions to flow out of the neuron which stabilizes the resting membrane potential. This channel often forms part of a heteromeric complex with other Kv subunits which fine-tune its biophysical properties. Such interactions enable it to modulate synaptic transmission and signal integration in neurons.

Pathways

Kv1.1 channels participate in the regulation of the action potential pathway and the synaptic transmission pathway. Through these pathways Kv1.1 interacts with protein partners such as the Kvβ subunits which can modulate the kinetics and voltage dependence of the channel. Its activity contributes significantly to the rapid repolarization of action potentials therefore maintaining the high-frequency firing ability of neurons.

Alterations in Kv1.1 channel function are linked to episodic ataxia type 1 and temporal lobe epilepsy. Mutations affecting the channel conductance or gating can lead to disrupted neuronal signaling. In these conditions Kv1.1 has been found to interact with related proteins like Kv1.2 and Kv1.4 which also play roles in neurological function. Understanding the Kv1.1 protein and its interactions is important for developing therapeutic strategies for these channelopathies.

Product protocols

For this product, it's our understanding that no specific protocols are required. You can visit:

Target data

Voltage-gated potassium channel that mediates transmembrane potassium transport in excitable membranes, primarily in the brain and the central nervous system, but also in the kidney. Contributes to the regulation of the membrane potential and nerve signaling, and prevents neuronal hyperexcitability (PubMed : 10191303, PubMed : 12611922, PubMed : 21966978, PubMed : 22158511, PubMed : 23473320, PubMed : 9581771, PubMed : 9736643). Forms tetrameric potassium-selective channels through which potassium ions pass in accordance with their electrochemical gradient. The channel alternates between opened and closed conformations in response to the voltage difference across the membrane (PubMed : 15361858). Can form functional homotetrameric channels and heterotetrameric channels that contain variable proportions of KCNA1, KCNA2, KCNA4, KCNA5, KCNA6, KCNA7, and possibly other family members as well; channel properties depend on the type of alpha subunits that are part of the channel. Channel properties are modulated by cytoplasmic beta subunits that regulate the subcellular location of the alpha subunits and promote rapid inactivation of delayed rectifier potassium channels (PubMed : 15361858). In vivo, membranes probably contain a mixture of heteromeric potassium channel complexes, making it difficult to assign currents observed in intact tissues to any particular potassium channel family member. Homotetrameric KCNA1 forms a delayed-rectifier potassium channel that opens in response to membrane depolarization, followed by slow spontaneous channel closure (PubMed : 15361858, PubMed : 7517498). In contrast, a heterotetrameric channel formed by KCNA1 and KCNA4 shows rapid inactivation (By similarity). Regulates neuronal excitability in hippocampus, especially in mossy fibers and medial perforant path axons, preventing neuronal hyperexcitability (PubMed : 23466697). May function as down-stream effector for G protein-coupled receptors and inhibit GABAergic inputs to basolateral amygdala neurons (By similarity). May contribute to the regulation of neurotransmitter release, such as gamma-aminobutyric acid (GABA) release (By similarity). Plays a role in regulating the generation of action potentials and preventing hyperexcitability in myelinated axons of the vagus nerve, and thereby contributes to the regulation of heart contraction (PubMed : 20392939, PubMed : 22641786, PubMed : 25377007). Required for normal neuromuscular responses (PubMed : 9736643). Regulates the frequency of neuronal action potential firing in response to mechanical stimuli, and plays a role in the perception of pain caused by mechanical stimuli, but does not play a role in the perception of pain due to heat stimuli (PubMed : 23473320). Required for normal responses to auditory stimuli and precise location of sound sources, but not for sound perception (PubMed : 21966978, PubMed : 22396426). The use of toxins that block specific channels suggest that it contributes to the regulation of the axonal release of the neurotransmitter dopamine (PubMed : 21233214). Required for normal postnatal brain development and normal proliferation of neuronal precursor cells in the brain (PubMed : 17250763, PubMed : 17315199, PubMed : 22411008, PubMed : 8995755). Plays a role in the reabsorption of Mg(2+) in the distal convoluted tubules in the kidney and in magnesium ion homeostasis, probably via its effect on the membrane potential (By similarity).
See full target information Kcna1

Product promise

We are committed to supporting your work with high-quality reagents, and we're here for you every step of the way. In the unlikely event that one of our products does not perform as expected, you're protected by our Product Promise.
For full details, please see our Terms & Conditions

Please note: All products are 'FOR RESEARCH USE ONLY. NOT FOR USE IN DIAGNOSTIC OR THERAPEUTIC PROCEDURES'.

For licensing inquiries, please contact partnerships@abcam.com