JavaScript is disabled in your browser. Please enable JavaScript to view this website.
AB307711

Anti-Kv4.2/KCND2 antibody [EPR26384-89] - BSA and Azide free

  • BOND RX™ Validated
  • Recombinant
  • Advanced Validation
  • RabMAb
  • What is this?

Be the first to review this product! Submit a review

|

(0 Publication)

Rabbit Recombinant Monoclonal Kv4.2/KCND2 antibody. Carrier free. Suitable for mIHC, WB, IHC-P, IHC-Fr, Flow Cyt (Intra), IP and reacts with Rat, Mouse, Recombinant fragment - Mouse samples.

View Alternative Names

Kiaa1044, MNCb-7013, Kcnd2, A-type voltage-gated potassium channel KCND2, Potassium voltage-gated channel subfamily D member 2, Voltage-gated potassium channel subunit Kv4.2

20 Images
Multiplex immunohistochemistry - Anti-Kv4.2/KCND2 antibody [EPR26384-89] - BSA and Azide free (AB307711)
  • mIHC

Lab

Multiplex immunohistochemistry - Anti-Kv4.2/KCND2 antibody [EPR26384-89] - BSA and Azide free (AB307711)

This data was developed using ab307710, the same antibody clone in a different buffer formulation.

Multiplex immunohistochemistry analysis of formalin/PFA-fixed paraffin-embedded Rat cerebellum tissue staining PKC gamma with ab317315 at a 1 : 5000 (0.1 µg/ml) dilution, KCNA2 with ab316324 at 1 : 4000 (0.124 µg/ml) dilution and KCND2 with ab307710 at a 1 : 2000 (0.266 µg/ml) dilution followed by secondary antibody Opal Polymer HRP Ms + Rb.

Panel A : merged staining of anti-PKC gamma (green; Opal520), anti-KCNA2 (magenta; Opal690) and anti-KCND2 (gray; Opal570) on rat cerebellum.
Panel B : anti-PKC gamma staining the Purkinje cells and neuropil in rat cerebellum.
Panel C : anti-KCNA2 staining the basket cells in rat cerebellum.
Panel D : anti-KCND2 staining the granule cell layer in rat cerebellum.
Nuclear DNA was labeled with DAPI (shown in blue).

The section was incubated in three rounds of staining : in the order of ab317315, ab313624 and ab307710 for 30 mins at room temperature. Each round was followed by a separate fluorescent tyramide signal amplification system.

The immunostaining was performed on a Leica Biosystems BOND® RX instrument with an Opal 4-color kit. Image acquisition was performed with Leica SP8 confocal microscope.

Heat mediated antigen retrieval with Tris-EDTA buffer (pH 9.0, epitope retrieval solution2) for 20 mins

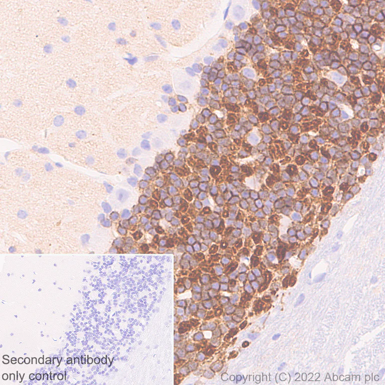
Immunohistochemistry (Formalin/PFA-fixed paraffin-embedded sections) - Anti-Kv4.2/KCND2 antibody [EPR26384-89] - BSA and Azide free (AB307711)
  • IHC-P

Supplier Data

Immunohistochemistry (Formalin/PFA-fixed paraffin-embedded sections) - Anti-Kv4.2/KCND2 antibody [EPR26384-89] - BSA and Azide free (AB307711)

This data was developed using ab307710, the same antibody clone in a different buffer formulation. Immunohistochemical analysis of paraffin-embedded Mouse liver tissue labeling Kv4.2/KCND2 with ab307710 at 1/2000 (0.266 ug/ml) followed by a ready to use LeicaDS9800 (Bond™ Polymer Refine Detection). Negative control : no staining on mouse liver (PMID : 16293790). The section was incubated with ab307710 for 30 mins at room temperature.The immunostaining was performed on a Leica Biosystems BOND® RX instrument Counterstained with Hematoxylin. Secondary antibody only control : Secondary antibody is a ready to use LeicaDS9800 (Bond™ Polymer Refine Detection). Heat mediated antigen retrieval was performed with Citrate buffer (pH 6.0, Epitope Retrieval Solution 1) for 20 mins

Immunohistochemistry (Frozen sections) - Anti-Kv4.2/KCND2 antibody [EPR26384-89] - BSA and Azide free (AB307711)
  • IHC-Fr

Supplier Data

Immunohistochemistry (Frozen sections) - Anti-Kv4.2/KCND2 antibody [EPR26384-89] - BSA and Azide free (AB307711)

This data was developed using ab307710, the same antibody clone in a different buffer formulation. Immunohistochemical analysis of 4% PFA-fixed, 0.2% Triton X-100 permeabilized frozen Mouse dorsal root ganglion (fresh) tissue labeling Kv4.2/KCND2 with ab307710 at 1/100 (5.32 ug/ml) dilution followed by ab150081 Goat Anti-Rabbit IgG H&L (Alexa Fluor® 488) preadsorbed at 1/1000 2 ug/mL dilution (Green). Panel A : merged staining of anti-Kv4.2 (ab307710, green) and anti-NeuN (ab190565, red) on mouse dorsal root ganglion.Panel B : anti-Kv4.2 stained on the mouse dorsal root ganglion.Panel C : anti-NeuN stained in neurons of mouse dorsal root ganglion.Negative control : dorsal root ganglion (PMID : 19668710).The nuclear counterstain was DAPI (Blue). The section was incubated in two rounds of staining : in the order of ab307710 and ab190565 for 1 hr at room temperature. The section was then mounted using Fluoromount®.The immunostaining was performed on a Leica Biosystems BOND® RX instrument. Image was taken with a confocal microscope (Leica-Microsystems, TCS SP8). The nuclear counterstain was DAPI (Blue). Secondary antibody control : Secondary antibody is ab150081 Goat Anti-Rabbit IgG H&L (Alexa Fluor® 488) preadsorbedat 1/1000 2 ug/mL dilution.

Immunohistochemistry (Frozen sections) - Anti-Kv4.2/KCND2 antibody [EPR26384-89] - BSA and Azide free (AB307711)
  • IHC-Fr

Supplier Data

Immunohistochemistry (Frozen sections) - Anti-Kv4.2/KCND2 antibody [EPR26384-89] - BSA and Azide free (AB307711)

This data was developed using ab307710, the same antibody clone in a different buffer formulation. Immunohistochemical analysis of 4% PFA-fixed, 0.2% Triton X-100 permeabilized frozen Rat liver (fresh) tissue labeling Kv4.2/KCND2 with ab307710 at 1/100 (5.32 ug/ml) dilution followed by ab150081 Goat Anti-Rabbit IgG H&L (Alexa Fluor® 488) preadsorbed at 1/1000 2 ug/mL dilution (Green). Negative control : confocal image showing no staining on rat liver (PMID : 10729221). The nuclear counterstain was DAPI (Blue). The section was incubated with ab307710 for 60 mins at room temperature. The section was then mounted using Fluoromount®.The immunostaining was performed on a Leica Biosystems BOND® RX instrument. Image was taken with a confocal microscope (Leica-Microsystems, TCS SP8). The nuclear counterstain was DAPI (Blue). Secondary antibody control : Secondary antibody is ab150081 Goat Anti-Rabbit IgG H&L (Alexa Fluor® 488) preadsorbedat 1/1000 2 ug/mL dilution.

Immunohistochemistry (Frozen sections) - Anti-Kv4.2/KCND2 antibody [EPR26384-89] - BSA and Azide free (AB307711)
  • IHC-Fr

Supplier Data

Immunohistochemistry (Frozen sections) - Anti-Kv4.2/KCND2 antibody [EPR26384-89] - BSA and Azide free (AB307711)

This data was developed using ab307710, the same antibody clone in a different buffer formulation. Immunohistochemical analysis of 4% PFA-fixed, 0.2% Triton X-100 permeabilized frozen Mouse liver (fresh) tissue labeling Kv4.2/KCND2 with ab307710 at 1/100 (5.32 ug/ml) dilution followed by ab150081 Goat Anti-Rabbit IgG H&L (Alexa Fluor® 488) preadsorbed at 1/1000 2 ug/mL dilution (Green). Negative control : confocal image showing no staining on mouse liver (PMID : 10729221). The nuclear counterstain was DAPI (Blue). The section was incubated with ab307710 for 60 mins at room temperature. The section was then mounted using Fluoromount®.The immunostaining was performed on a Leica Biosystems BOND® RX instrument. Image was taken with a confocal microscope (Leica-Microsystems, TCS SP8). The nuclear counterstain was DAPI (Blue). Secondary antibody control : Secondary antibody is ab150081 Goat Anti-Rabbit IgG H&L (Alexa Fluor® 488) preadsorbedat 1/1000 2 ug/mL dilution.

Immunohistochemistry (Frozen sections) - Anti-Kv4.2/KCND2 antibody [EPR26384-89] - BSA and Azide free (AB307711)
  • IHC-Fr

Supplier Data

Immunohistochemistry (Frozen sections) - Anti-Kv4.2/KCND2 antibody [EPR26384-89] - BSA and Azide free (AB307711)

This data was developed using ab307710, the same antibody clone in a different buffer formulation. Immunohistochemical analysis of 4% PFA-fixed, 0.2% Triton X-100 permeabilized frozen Rat dorsal root ganglion (fresh) tissue labeling Kv4.2/KCND2 with ab307710 at 1/100 (5.32 ug/ml) dilution followed by ab150081 Goat Anti-Rabbit IgG H&L (Alexa Fluor® 488) preadsorbed at 1/1000 2 ug/mL dilution (Green). Panel A : merged staining of anti-Kv4.2 (ab307710, green) and anti-NeuN (ab190565, red) on rat dorsal root ganglion.Panel B : anti-Kv4.2 stained on the rat dorsal root ganglion.Panel C : anti-NeuN stained in neurons of rat dorsal root ganglion.Negative control : dorsal root ganglion (PMID : 19668710).The nuclear counterstain was DAPI (Blue). The section was incubated in two rounds of staining : in the order of ab307710 and ab190565 for 1 hr at room temperature. The section was then mounted using Fluoromount®.The immunostaining was performed on a Leica Biosystems BOND® RX instrument. Image was taken with a confocal microscope (Leica-Microsystems, TCS SP8). The nuclear counterstain was DAPI (Blue). Secondary antibody control : Secondary antibody is ab150081 Goat Anti-Rabbit IgG H&L (Alexa Fluor® 488) preadsorbedat 1/1000 2 ug/mL dilution.

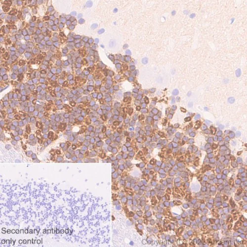
Immunohistochemistry (Formalin/PFA-fixed paraffin-embedded sections) - Anti-Kv4.2/KCND2 antibody [EPR26384-89] - BSA and Azide free (AB307711)
  • IHC-P

Supplier Data

Immunohistochemistry (Formalin/PFA-fixed paraffin-embedded sections) - Anti-Kv4.2/KCND2 antibody [EPR26384-89] - BSA and Azide free (AB307711)

This data was developed using ab307710, the same antibody clone in a different buffer formulation. Immunohistochemical analysis of paraffin-embedded Rat cerebellum tissue labeling Kv4.2/KCND2 with ab307710 at 1/2000 (0.266 ug/ml) followed by a ready to use LeicaDS9800 (Bond™ Polymer Refine Detection). Cytoplasmic staining on rat cerebellum (PMID : 32899153). The section was incubated with ab307710 for 30 mins at room temperature.The immunostaining was performed on a Leica Biosystems BOND® RX instrument Counterstained with Hematoxylin. Secondary antibody only control : Secondary antibody is a ready to use LeicaDS9800 (Bond™ Polymer Refine Detection). Heat mediated antigen retrieval was performed with Citrate buffer (pH 6.0, Epitope Retrieval Solution 1) for 20 mins

Immunohistochemistry (Formalin/PFA-fixed paraffin-embedded sections) - Anti-Kv4.2/KCND2 antibody [EPR26384-89] - BSA and Azide free (AB307711)
  • IHC-P

Supplier Data

Immunohistochemistry (Formalin/PFA-fixed paraffin-embedded sections) - Anti-Kv4.2/KCND2 antibody [EPR26384-89] - BSA and Azide free (AB307711)

This data was developed using ab307710, the same antibody clone in a different buffer formulation. Immunohistochemical analysis of paraffin-embedded Mouse cerebellum tissue labeling Kv4.2/KCND2 with ab307710 at 1/2000 (0.266 ug/ml) followed by a ready to use LeicaDS9800 (Bond™ Polymer Refine Detection). Cytoplasmic staining on mouse cerebellum (PMID : 17122039). The section was incubated with ab307710 for 30 mins at room temperature.The immunostaining was performed on a Leica Biosystems BOND® RX instrument Counterstained with Hematoxylin. Secondary antibody only control : Secondary antibody is a ready to use LeicaDS9800 (Bond™ Polymer Refine Detection). Heat mediated antigen retrieval was performed with Citrate buffer (pH 6.0, Epitope Retrieval Solution 1) for 20 mins

Multiplex immunohistochemistry - Anti-Kv4.2/KCND2 antibody [EPR26384-89] - BSA and Azide free (AB307711)
  • mIHC

Lab

Multiplex immunohistochemistry - Anti-Kv4.2/KCND2 antibody [EPR26384-89] - BSA and Azide free (AB307711)

This data was developed using ab307710, the same antibody clone in a different buffer formulation.

Multiplex immunohistochemistry analysis of Formalin/PFA-fixed paraffin-embedded sections of Rat cerebellum tissue staining with ab317831 at 1/2000 dilution, ab313624 at 1/4000 dilution, ab307710 at 1/2000 dilution. Secondary used was Opal Polymer HRP Ms + Rb. Panel A : merged staining of anti-Ppp1r17 (magenta; Opal™690), anti-KCNA2 (green; Opal™520) and anti-KCND2 (gray; Opal™570) on rat cerebellum. Panel B : anti-Ppp1r17 staining the Purkinje cells in rat cerebellum. Panel C : anti-KCNA2 staining the basket cells in rat cerebellum. Panel D : anti-KCND2 staining the granule cell layer in rat cerebellum. Nuclear DNA was labeled with DAPI (shown in blue). The section was incubated in three rounds of staining : in the order of ab317831, ab313624 and ab307710 for 30 mins at room temperature. Each round was followed by a separate fluorescent tyramide signal amplification system. The immunostaining was performed on a Leica Biosystems BOND® RX instrument with an Opal™ 4-color kit. Image acquisition was performed with Leica SP8 confocal microscope.

Multiplex immunohistochemistry - Anti-Kv4.2/KCND2 antibody [EPR26384-89] - BSA and Azide free (AB307711)
  • mIHC

Lab

Multiplex immunohistochemistry - Anti-Kv4.2/KCND2 antibody [EPR26384-89] - BSA and Azide free (AB307711)

This data was developed using ab307710, the same antibody clone in a different buffer formulation.

Multiplex immunohistochemistry analysis of formalin/PFA-fixed paraffin-embedded Mouse cerebellum tissue staining PKC gamma with ab317315 at a 1 : 5000 (0.1 µg/ml) dilution, KCNA2 with ab316324 at 1 : 4000 (0.124 µg/ml) dilution and KCND2 with ab307710 at a 1 : 2000 (0.266 µg/ml) dilution followed by secondary antibody Opal Polymer HRP Ms + Rb.

Panel A : merged staining of anti-PKC gamma (green; Opal520), anti-KCNA2 (magenta; Opal690) and anti-KCND2 (gray; Opal570) on mouse cerebellum.
Panel B : anti-PKC gamma staining the Purkinje cells and neuropil in mouse cerebellum.
Panel C : anti-KCNA2 staining the basket cells in mouse cerebellum.
Panel D : anti-KCND2 staining the granule cell layer in mouse cerebellum.
Nuclear DNA was labeled with DAPI (shown in blue).

The section was incubated in three rounds of staining : in the order of ab317315, ab313624 and ab307710 for 30 mins at room temperature. Each round was followed by a separate fluorescent tyramide signal amplification system.

The immunostaining was performed on a Leica Biosystems BOND® RX instrument with an Opal 4-color kit. Image acquisition was performed with Leica SP8 confocal microscope.

Heat mediated antigen retrieval with Tris-EDTA buffer (pH 9.0, epitope retrieval solution2) for 20 mins

Multiplex immunohistochemistry - Anti-Kv4.2/KCND2 antibody [EPR26384-89] - BSA and Azide free (AB307711)
  • mIHC

Lab

Multiplex immunohistochemistry - Anti-Kv4.2/KCND2 antibody [EPR26384-89] - BSA and Azide free (AB307711)

This data was developed using ab307710, the same antibody clone in a different buffer formulation.

Multiplex immunohistochemistry analysis of Formalin/PFA-fixed paraffin-embedded sections of Mouse cerebellum tissue staining with ab317831 at 1/2000 dilution, ab313624 at 1/4000 dilution, ab307710 at 1/2000 dilution. Secondary used was Opal Polymer HRP Ms + Rb. Panel A : merged staining of anti-Ppp1r17 (magenta; Opal™690), anti-KCNA2 (green; Opal™520) and anti-KCND2 (gray; Opal™570) on mouse cerebellum. Panel B : anti-Ppp1r17 staining the Purkinje cells in mouse cerebellum. Panel C : anti-KCNA2 staining the basket cells in mouse cerebellum. Panel D : anti-KCND2 staining the granule cell layer in mouse cerebellum. Nuclear DNA was labeled with DAPI (shown in blue). The section was incubated in three rounds of staining : in the order of ab317831, ab313624 and ab307710 for 30 mins at room temperature. Each round was followed by a separate fluorescent tyramide signal amplification system. The immunostaining was performed on a Leica Biosystems BOND® RX instrument with an Opal™ 4-color kit. Image acquisition was performed with Leica SP8 confocal microscope.

Immunohistochemistry (Formalin/PFA-fixed paraffin-embedded sections) - Anti-Kv4.2/KCND2 antibody [EPR26384-89] - BSA and Azide free (AB307711)
  • IHC-P

Supplier Data

Immunohistochemistry (Formalin/PFA-fixed paraffin-embedded sections) - Anti-Kv4.2/KCND2 antibody [EPR26384-89] - BSA and Azide free (AB307711)

This data was developed using ab307710, the same antibody clone in a different buffer formulation. Immunohistochemical analysis of paraffin-embedded Rat liver tissue labeling Kv4.2/KCND2 with ab307710 at 1/2000 (0.266 ug/ml) followed by a ready to use LeicaDS9800 (Bond™ Polymer Refine Detection). Negative control : no staining on rat liver. The section was incubated with ab307710 for 30 mins at room temperature.The immunostaining was performed on a Leica Biosystems BOND® RX instrument Counterstained with Hematoxylin. Secondary antibody only control : Secondary antibody is a ready to use LeicaDS9800 (Bond™ Polymer Refine Detection). Heat mediated antigen retrieval was performed with Citrate buffer (pH 6.0, Epitope Retrieval Solution 1) for 20 mins

Flow Cytometry (Intracellular) - Anti-Kv4.2/KCND2 antibody [EPR26384-89] - BSA and Azide free (AB307711)
  • Flow Cyt (Intra)

Supplier Data

Flow Cytometry (Intracellular) - Anti-Kv4.2/KCND2 antibody [EPR26384-89] - BSA and Azide free (AB307711)

This data was developed using ab307710, the same antibody clone in a different buffer formulation. Flow cytometric analysis of 4% paraformaldehyde fixed 90% methanol permeabilized Rat primary neuron cells cells labelling Kv4.2/KCND2 with ab307710 at 1/50 dilution (1ug)/ Right (Red) compared with a Rabbit monoclonal IgG (ab172730) / Left isotype control and an unlabelled control (cells without incubation with primary antibody and secondary antibody) (Blue). A Goat Anti-Rabbit IgG (Alexa Fluor® 488, ab150081) at 1/2000 dilution was used as the secondary antibody.

Immunohistochemistry (Frozen sections) - Anti-Kv4.2/KCND2 antibody [EPR26384-89] - BSA and Azide free (AB307711)
  • IHC-Fr

Supplier Data

Immunohistochemistry (Frozen sections) - Anti-Kv4.2/KCND2 antibody [EPR26384-89] - BSA and Azide free (AB307711)

This data was developed using ab307710, the same antibody clone in a different buffer formulation. Immunohistochemical analysis of 4% PFA-fixed, 0.2% Triton X-100 permeabilized frozen Rat cerebellum (fresh) tissue labeling Kv4.2/KCND2 with ab307710 at 1/100 (5.32 ug/ml) dilution followed by ab150081 Goat Anti-Rabbit IgG H&L (Alexa Fluor® 488) preadsorbed at 1/1000 2 ug/mL dilution (Green). Panel A : merged staining of anti-Kv4.2 (ab307710, green) and anti-NeuN (ab190565, red) on rat cerebellum.Panel B : anti-Kv4.2 stained on the rat cerebellum.Panel C : anti-NeuN stained in neurons of rat cerebellum.The nuclear counterstain was DAPI (Blue). The section was incubated in two rounds of staining : in the order of ab307710 and ab190565 for 1 hr at room temperature. The section was then mounted using Fluoromount®.The immunostaining was performed on a Leica Biosystems BOND® RX instrument. Image was taken with a confocal microscope (Leica-Microsystems, TCS SP8). The nuclear counterstain was DAPI (Blue). Secondary antibody control : Secondary antibody is ab150081 Goat Anti-Rabbit IgG H&L (Alexa Fluor® 488) preadsorbedat 1/1000 2 ug/mL dilution.

Immunohistochemistry (Frozen sections) - Anti-Kv4.2/KCND2 antibody [EPR26384-89] - BSA and Azide free (AB307711)
  • IHC-Fr

Supplier Data

Immunohistochemistry (Frozen sections) - Anti-Kv4.2/KCND2 antibody [EPR26384-89] - BSA and Azide free (AB307711)

This data was developed using ab307710, the same antibody clone in a different buffer formulation. Immunohistochemical analysis of 4% PFA-fixed, 0.2% Triton X-100 permeabilized frozen Mouse cerebellum (fresh) tissue labeling Kv4.2/KCND2 with ab307710 at 1/100 (5.32 ug/ml) dilution followed by ab150081 Goat Anti-Rabbit IgG H&L (Alexa Fluor® 488) preadsorbed at 1/1000 2 ug/mL dilution (Green). Panel A : merged staining of anti-Kv4.2 (ab307710, green) and anti-NeuN (ab190565, red) on mouse cerebellum.Panel B : anti-Kv4.2 stained on the mouse cerebellum.Panel C : anti-NeuN stained in neurons of mouse cerebellum.The nuclear counterstain was DAPI (Blue). The section was incubated in two rounds of staining : in the order of ab307710 and ab190565 for 1 hr at room temperature. The section was then mounted using Fluoromount®.The immunostaining was performed on a Leica Biosystems BOND® RX instrument. Image was taken with a confocal microscope (Leica-Microsystems, TCS SP8). The nuclear counterstain was DAPI (Blue). Secondary antibody control : Secondary antibody is ab150081 Goat Anti-Rabbit IgG H&L (Alexa Fluor® 488) preadsorbedat 1/1000 2 ug/mL dilution.

Flow Cytometry (Intracellular) - Anti-Kv4.2/KCND2 antibody [EPR26384-89] - BSA and Azide free (AB307711)
  • Flow Cyt (Intra)

Supplier Data

Flow Cytometry (Intracellular) - Anti-Kv4.2/KCND2 antibody [EPR26384-89] - BSA and Azide free (AB307711)

This data was developed using ab307710, the same antibody clone in a different buffer formulation. Flow cytometric analysis of 4% paraformaldehyde fixed 90% methanol permeabilized Mouse primary neuron cells cells labelling Kv4.2/KCND2 with ab307710 at 1/50 dilution (1ug)/ Right (Red) compared with a Rabbit monoclonal IgG (ab172730) / Left isotype control and an unlabelled control (cells without incubation with primary antibody and secondary antibody) (Blue). A Goat Anti-Rabbit IgG (Alexa Fluor® 488, ab150081) at 1/2000 dilution was used as the secondary antibody.

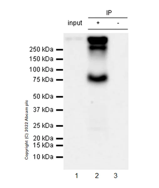
Immunoprecipitation - Anti-Kv4.2/KCND2 antibody [EPR26384-89] - BSA and Azide free (AB307711)
  • IP

Supplier Data

Immunoprecipitation - Anti-Kv4.2/KCND2 antibody [EPR26384-89] - BSA and Azide free (AB307711)

This data was developed using ab307710, the same antibody clone in a different buffer formulation. Kv4.2/KCND2 was immunoprecipitated from 0.35 mg Rat cerebellum tissue lysate with ab307710 at 1/30 dilution (2ug in 0.35mg lysates). Western blot was performed on the immunoprecipitate using ab307710 at 1/1000 dilution. VeriBlot for IP secondary antibody(HRP)(ab131366) was used at 1/5000 dilution. Lane 1 : Rat cerebellum tissue lysate Lane 2 : ab307710 IP in Rat cerebellum tissue lysate Lane 3 : Rabbit monoclonal IgG (ab172730) instead of ab307710 in rat cerebellum tissue lysate Blocking and dilution buffer and concentration : 5% NFDM/TBST. Exposure time : 8 seconds

All lanes:

Immunoprecipitation - Anti-Kv4.2/KCND2 antibody [EPR26384-89] (<a href='/en-us/products/primary-antibodies/kv42-kcnd2-antibody-epr26384-89-ab307710'>ab307710</a>) at 1/30 dilution

Secondary

All lanes:

Immunoprecipitation - VeriBlot for IP Detection Reagent (HRP) (<a href='/en-us/products/reagents/veriblot-for-ip-detection-reagent-hrp-ab131366'>ab131366</a>) at 1/5000 dilution

false

Exposure time: 8s

Immunoprecipitation - Anti-Kv4.2/KCND2 antibody [EPR26384-89] - BSA and Azide free (AB307711)
  • IP

Supplier Data

Immunoprecipitation - Anti-Kv4.2/KCND2 antibody [EPR26384-89] - BSA and Azide free (AB307711)

This data was developed using ab307710, the same antibody clone in a different buffer formulation. Kv4.2/KCND2 was immunoprecipitated from 0.35 mg Mouse cerebellum tissue lysate with ab307710 at 1/30 dilution (2ug in 0.35mg lysates). Western blot was performed on the immunoprecipitate using ab307710 at 1/1000 dilution. VeriBlot for IP secondary antibody(HRP)(ab131366) was used at 1/5000 dilution. Lane 1 : Mouse cerebellum tissue lysate Lane 2 : ab307710 IP in Mouse cerebellum tissue lysate Lane 3 : Rabbit monoclonal IgG (ab172730) instead of ab307710 in mouse cerebellum tissue lysate Blocking and dilution buffer and concentration : 5% NFDM/TBST. Exposure time : 8 seconds

All lanes:

Immunoprecipitation - Anti-Kv4.2/KCND2 antibody [EPR26384-89] (<a href='/en-us/products/primary-antibodies/kv42-kcnd2-antibody-epr26384-89-ab307710'>ab307710</a>) at 1/30 dilution

Secondary

All lanes:

Immunoprecipitation - VeriBlot for IP Detection Reagent (HRP) (<a href='/en-us/products/reagents/veriblot-for-ip-detection-reagent-hrp-ab131366'>ab131366</a>) at 1/5000 dilution

false

Exposure time: 8s

Western blot - Anti-Kv4.2/KCND2 antibody [EPR26384-89] - BSA and Azide free (AB307711)
  • WB

Supplier Data

Western blot - Anti-Kv4.2/KCND2 antibody [EPR26384-89] - BSA and Azide free (AB307711)

This data was developed using ab307710, the same antibody clone in a different buffer formulation. Blocking and diluting buffer and concentration : 5% NFDM/TBST Negative control : liver(Human Protein Atlas Database), bladder (PMID : 12575952). The molecular weight observed is consistent with what has been described in the literature (PMID : 15454437). In Western blot, anti-GAPDH antibody (ab181602) loading control staining at 1/200000 dilution. Exposure time : 26 seconds

All lanes:

Western blot - Anti-Kv4.2/KCND2 antibody [EPR26384-89] (<a href='/en-us/products/primary-antibodies/kv42-kcnd2-antibody-epr26384-89-ab307710'>ab307710</a>) at 1/1000 dilution

Lane 1:

Mouse cerebellum tissue lysate at 20 µg

Lane 2:

Mouse liver tissue lysate at 20 µg

Lane 3:

Mouse bladder tissue lysate at 20 µg

Lane 4:

Rat cerebellum tissue lysate at 20 µg

Secondary

All lanes:

Western blot - Goat Anti-Rabbit IgG H&L (HRP) (<a href='/en-us/products/secondary-antibodies/goat-rabbit-igg-h-l-hrp-ab97051'>ab97051</a>) at 1/20000 dilution

Observed band size: 70 kDa,250 kDa,300 kDa

false

Exposure time: 26s

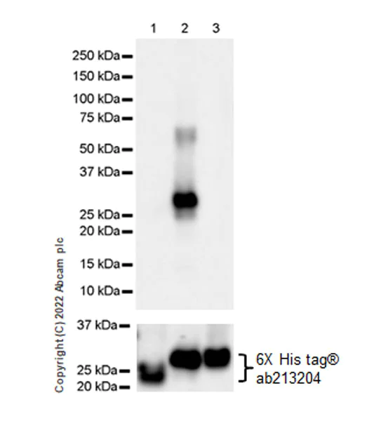
Western blot - Anti-Kv4.2/KCND2 antibody [EPR26384-89] - BSA and Azide free (AB307711)
  • WB

Supplier Data

Western blot - Anti-Kv4.2/KCND2 antibody [EPR26384-89] - BSA and Azide free (AB307711)

This data was developed using ab307710, the same antibody clone in a different buffer formulation. Blocking and diluting buffer and concentration : 5% NFDM/TBST This antibody does not cross-react with mouse KCND1 and KCND3. In Western blot, anti-His antibody (ab213204) staining at 1/5000 dilution. Exposure time : 10 seconds

All lanes:

Western blot - Anti-Kv4.2/KCND2 antibody [EPR26384-89] (<a href='/en-us/products/primary-antibodies/kv42-kcnd2-antibody-epr26384-89-ab307710'>ab307710</a>) at 1/1000 dilution

Lane 1:

His-tagged mouse KCND1 fragment at 10 ng

Lane 2:

His-tagged mouse KCND2 fragment at 10 ng

Lane 3:

His-tagged mouse KCND3 fragment at 10 ng

Secondary

All lanes:

Western blot - Goat Anti-Rabbit IgG H&L (HRP) (<a href='/en-us/products/secondary-antibodies/goat-rabbit-igg-h-l-hrp-ab97051'>ab97051</a>) at 1/20000 dilution

Observed band size: 26 kDa

false

Exposure time: 10s

Key facts

Host species

Rabbit

Clonality

Monoclonal

Clone number

EPR26384-89

Isotype

IgG

Carrier free

Yes

Reacts with

Mouse, Rat

Applications

IHC-P, IP, mIHC, IHC-Fr, Flow Cyt (Intra), WB

applications

Immunogen

The exact immunogen used to generate this antibody is proprietary information.

Reactivity data

{ "title": "Reactivity Data", "filters": { "stats": ["", "Species", "Dilution Info", "Notes"], "tabs": { "all-applications": {"fullname" : "All Applications", "shortname": "All Applications"}, "mIHC" : {"fullname" : "Multiplex immunohistochemistry", "shortname":"mIHC"}, "WB" : {"fullname" : "Western blot", "shortname":"WB"}, "IHCP" : {"fullname" : "Immunohistochemistry (Formalin/PFA-fixed paraffin-embedded sections)", "shortname":"IHC-P"}, "IHCFr" : {"fullname" : "Immunohistochemistry (Frozen sections)", "shortname":"IHC-Fr"}, "FlowCytIntra" : {"fullname" : "Flow Cytometry (Intracellular)", "shortname":"Flow Cyt (Intra)"}, "IP" : {"fullname" : "Immunoprecipitation", "shortname":"IP"}, "ICCIF" : {"fullname" : "Immunocytochemistry/ Immunofluorescence", "shortname":"ICC/IF"} }, "product-promise": { "all": "all", "testedAndGuaranteed": "tested", "guaranteed": "expected", "predicted": "predicted", "notRecommended": "not-recommended" } }, "values": { "Human": { "mIHC-species-checked": "notRecommended", "mIHC-species-dilution-info": "", "mIHC-species-notes": "", "WB-species-checked": "notRecommended", "WB-species-dilution-info": "", "WB-species-notes": "<p></p>", "IHCP-species-checked": "notRecommended", "IHCP-species-dilution-info": "", "IHCP-species-notes": "<p></p>", "IHCFr-species-checked": "notRecommended", "IHCFr-species-dilution-info": "", "IHCFr-species-notes": "", "FlowCytIntra-species-checked": "notRecommended", "FlowCytIntra-species-dilution-info": "", "FlowCytIntra-species-notes": "", "IP-species-checked": "notRecommended", "IP-species-dilution-info": "", "IP-species-notes": "", "ICCIF-species-checked": "notRecommended", "ICCIF-species-dilution-info": "", "ICCIF-species-notes": "" }, "Mouse": { "mIHC-species-checked": "testedAndGuaranteed", "mIHC-species-dilution-info": "", "mIHC-species-notes": "<p></p>", "WB-species-checked": "testedAndGuaranteed", "WB-species-dilution-info": "", "WB-species-notes": "<p></p>", "IHCP-species-checked": "testedAndGuaranteed", "IHCP-species-dilution-info": "", "IHCP-species-notes": "<p></p>", "IHCFr-species-checked": "testedAndGuaranteed", "IHCFr-species-dilution-info": "", "IHCFr-species-notes": "<p></p>", "FlowCytIntra-species-checked": "testedAndGuaranteed", "FlowCytIntra-species-dilution-info": "", "FlowCytIntra-species-notes": "<p></p>", "IP-species-checked": "testedAndGuaranteed", "IP-species-dilution-info": "", "IP-species-notes": "<p></p>", "ICCIF-species-checked": "notRecommended", "ICCIF-species-dilution-info": "", "ICCIF-species-notes": "<p></p>" }, "Rat": { "mIHC-species-checked": "testedAndGuaranteed", "mIHC-species-dilution-info": "", "mIHC-species-notes": "<p></p>", "WB-species-checked": "testedAndGuaranteed", "WB-species-dilution-info": "", "WB-species-notes": "<p></p>", "IHCP-species-checked": "testedAndGuaranteed", "IHCP-species-dilution-info": "", "IHCP-species-notes": "<p></p>", "IHCFr-species-checked": "testedAndGuaranteed", "IHCFr-species-dilution-info": "", "IHCFr-species-notes": "<p></p>", "FlowCytIntra-species-checked": "testedAndGuaranteed", "FlowCytIntra-species-dilution-info": "", "FlowCytIntra-species-notes": "<p></p>", "IP-species-checked": "testedAndGuaranteed", "IP-species-dilution-info": "", "IP-species-notes": "<p></p>", "ICCIF-species-checked": "notRecommended", "ICCIF-species-dilution-info": "", "ICCIF-species-notes": "<p></p>" }, "Recombinant fragment - Mouse": { "mIHC-species-checked": "notRecommended", "mIHC-species-dilution-info": "", "mIHC-species-notes": "", "WB-species-checked": "testedAndGuaranteed", "WB-species-dilution-info": "", "WB-species-notes": "<p></p>", "IHCP-species-checked": "notRecommended", "IHCP-species-dilution-info": "", "IHCP-species-notes": "", "IHCFr-species-checked": "notRecommended", "IHCFr-species-dilution-info": "", "IHCFr-species-notes": "", "FlowCytIntra-species-checked": "notRecommended", "FlowCytIntra-species-dilution-info": "", "FlowCytIntra-species-notes": "", "IP-species-checked": "notRecommended", "IP-species-dilution-info": "", "IP-species-notes": "", "ICCIF-species-checked": "notRecommended", "ICCIF-species-dilution-info": "", "ICCIF-species-notes": "" } } }

Product details

Patented technology
Our RabMAb® technology is a patented hybridoma-based technology for making rabbit monoclonal antibodies. For details on our patents, please refer to RabMAb® patents.

What are the advantages of a recombinant monoclonal antibody?
This product is a recombinant monoclonal antibody, which offers several advantages including:

  • - High batch-to-batch consistency and reproducibility
  • - Improved sensitivity and specificity
  • - Long-term security of supply
  • - Animal-free batch production

For more information, read more on recombinant antibodies.

Conjugation ready
Our carrier-free antibodies are typically supplied in a PBS-only formulation, purified and free of BSA, sodium azide and glycerol. This conjugation-ready format is designed for use with fluorochromes, metal isotopes, oligonucleotides, and enzymes, which makes them ideal for antibody labelling, functional and cell-based assays, flow-based assays (e.g. mass cytometry) and Multiplex Imaging applications.

Use our conjugation kits for antibody conjugates that are ready-to-use in as little as 20 minutes with 1 minute hands-on-time and 100% antibody recovery: available for fluorescent dyes, HRP, biotin and gold.

Compatibility
This product is compatible with the Maxpar® Antibody Labeling Kit from Fluidigm, without the need for antibody preparation. Maxpar® is a trademark of Fluidigm Canada Inc.

Properties and storage information

Form
Liquid
Purification technique
Affinity purification Protein A
Storage buffer
pH: 7.2 - 7.4 Constituents: PBS
Shipped at conditions
Blue Ice
Appropriate short-term storage conditions
+4°C
Appropriate long-term storage conditions
+4°C

Supplementary information

This supplementary information is collated from multiple sources and compiled automatically.

Kv4.2 also known as KCND2 is a voltage-gated potassium channel subunit that plays an important role in controlling the electrical activity of neurons. This protein has a molecular mass of approximately 74 kDa. Kv4.2 is expressed mainly in the brain especially in the hippocampus and cortex regions. The channel regulates the flow of potassium ions across the cell membrane which is essential for maintaining the resting membrane potential and modulating action potentials.
Biological function summary

The Kv4.2 protein contributes to the transient outward potassium current known as I_A. It often associates with other accessory proteins like KChIP and DPP10 to form functional Kv4.2 channel complexes. These complexes are critical in shaping the signal transmission in neurons affecting synaptic plasticity and neuronal excitability. Kv4.2's action impacts the duration and frequency of neuronal firing influencing functions such as memory and learning.

Pathways

Kv4.2 is integral to the regulation of neuronal excitability in the context of signal transduction pathways. One well-studied pathway involves its role in the MAPK/ERK signaling cascade where Kv4.2 undergoes phosphorylation events that fine-tune its activity. This pathway includes proteins like ERK which interacts with Kv4.2 to affect how neurons respond to synaptic inputs. Kv4.2 is also interconnected with CaMKII signaling which modulates its trafficking and expression in neurons.

Alterations in Kv4.2 expression or function relate to neurological conditions such as epilepsy and spinocerebellar ataxia. In epilepsy abnormal Kv4.2 channel activity can lead to hyperexcitability of neurons contributing to seizure development. Interconnections with proteins like Nav1.1 influence these pathological conditions as they also regulate neuronal excitability. Furthermore mutations in Kv4.2 can disrupt normal neuronal signaling which could be implicated in spinocerebellar ataxia contributing to the range of motor coordination symptoms seen in these patients.

Product protocols

For this product, it's our understanding that no specific protocols are required. You can visit:

Target data

Voltage-gated potassium channel that mediates transmembrane potassium transport in excitable membranes, primarily in the brain, but also in rodent heart. Mediates the major part of the dendritic A-type current I(SA) in brain neurons (PubMed : 10818150, PubMed : 17122039, PubMed : 18045912, PubMed : 18187474, PubMed : 20371829, PubMed : 22815518). This current is activated at membrane potentials that are below the threshold for action potentials. It regulates neuronal excitability, prolongs the latency before the first spike in a series of action potentials, regulates the frequency of repetitive action potential firing, shortens the duration of action potentials and regulates the back-propagation of action potentials from the neuronal cell body to the dendrites (PubMed : 10818150, PubMed : 17122039, PubMed : 22815518). Contributes to the regulation of the circadian rhythm of action potential firing in suprachiasmatic nucleus neurons, which regulates the circadian rhythm of locomotor activity (PubMed : 22815518). Functions downstream of the metabotropic glutamate receptor GRM5 and plays a role in neuronal excitability and in nociception mediated by activation of GRM5 (PubMed : 18045912). Mediates the transient outward current I(to) in rodent heart left ventricle apex cells, but not in human heart, where this current is mediated by another family member (PubMed : 10601491, PubMed : 11909823, PubMed : 23713033, PubMed : 9734479). Forms tetrameric potassium-selective channels through which potassium ions pass in accordance with their electrochemical gradient. The channel alternates between opened and closed conformations in response to the voltage difference across the membrane (PubMed : 22311982, PubMed : 9734479). Can form functional homotetrameric channels and heterotetrameric channels that contain variable proportions of KCND2 and KCND3; channel properties depend on the type of pore-forming alpha subunits that are part of the channel (PubMed : 11909823). In vivo, membranes probably contain a mixture of heteromeric potassium channel complexes (PubMed : 11909823). Interaction with specific isoforms of the regulatory subunits KCNIP1, KCNIP2, KCNIP3 or KCNIP4 strongly increases expression at the cell surface and thereby increases channel activity; it modulates the kinetics of channel activation and inactivation, shifts the threshold for channel activation to more negative voltage values, shifts the threshold for inactivation to less negative voltages and accelerates recovery after inactivation (By similarity). Likewise, interaction with DPP6 or DPP10 promotes expression at the cell membrane and regulates both channel characteristics and activity (PubMed : 22311982). Upon depolarization, the channel goes from a resting closed state (C state) to an activated but non-conducting state (C* state), from there, the channel may either inactivate (I state) or open (O state) (By similarity).
See full target information Kcnd2

Product promise

We are committed to supporting your work with high-quality reagents, and we're here for you every step of the way. In the unlikely event that one of our products does not perform as expected, you're protected by our Product Promise.
For full details, please see our Terms & Conditions

Please note: All products are 'FOR RESEARCH USE ONLY. NOT FOR USE IN DIAGNOSTIC OR THERAPEUTIC PROCEDURES'.

For licensing inquiries, please contact partnerships@abcam.com