JavaScript is disabled in your browser. Please enable JavaScript to view this website.
AB192762

Anti-Kv4.2/KCND2 antibody [K57/1]

5

(2 Reviews)

|

(3 Publications)

Mouse Monoclonal Kv4.2/KCND2 antibody. Suitable for IHC-P, WB and reacts with Mouse, Rat samples. Cited in 3 publications.

View Alternative Names

KIAA1044, KCND2, A-type voltage-gated potassium channel KCND2, Potassium voltage-gated channel subfamily D member 2, Voltage-gated potassium channel subunit Kv4.2

3 Images
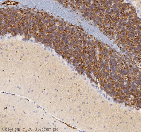
Immunohistochemistry (Formalin/PFA-fixed paraffin-embedded sections) - Anti-Kv4.2/KCND2 antibody [K57/1] (AB192762)
  • IHC-P

Lab

Immunohistochemistry (Formalin/PFA-fixed paraffin-embedded sections) - Anti-Kv4.2/KCND2 antibody [K57/1] (AB192762)

IHC image of Kv4.2/KCND2 staining in a section of formalin-fixed paraffin-embedded normal mouse brain performed on a Leica BONDTM system using the standard protocol F. The section was pre-treated using heat mediated antigen retrieval with sodium citrate buffer (pH6, epitope retrieval solution 1) for 20mins. The section was then incubated with ab192762, 5μg/ml, for 15 mins at room temperature and detected using an HRP conjugated compact polymer system. DAB was used as the chromogen. The section was then counterstained with haematoxylin and mounted with DPX.

For other IHC staining systems (automated and non-automated) customers should optimize variable parameters such as antigen retrieval conditions, primary antibody concentration and antibody incubation times.

Immunohistochemistry (Formalin/PFA-fixed paraffin-embedded sections) - Anti-Kv4.2/KCND2 antibody [K57/1] (AB192762)
  • IHC-P

Lab

Immunohistochemistry (Formalin/PFA-fixed paraffin-embedded sections) - Anti-Kv4.2/KCND2 antibody [K57/1] (AB192762)

IHC image of Kv4.2/KCND2 staining in a section of formalin-fixed paraffin-embedded normal rat brain performed on a Leica BONDTM system using the standard protocol F. The section was pre-treated using heat mediated antigen retrieval with sodium citrate buffer (pH6, epitope retrieval solution 1) for 20mins. The section was then incubated with ab192762, 5μg/ml, for 15 mins at room temperature and detected using an HRP conjugated compact polymer system. DAB was used as the chromogen. The section was then counterstained with haematoxylin and mounted with DPX.

For other IHC staining systems (automated and non-automated) customers should optimize variable parameters such as antigen retrieval conditions, primary antibody concentration and antibody incubation times.

Western blot - Anti-Kv4.2/KCND2 antibody [K57/1] (AB192762)
  • WB

Lab

Western blot - Anti-Kv4.2/KCND2 antibody [K57/1] (AB192762)

This blot was produced using a 4-12% Bis-tris gel under the MOPS buffer system. The gel was run at 200V for 50 minutes before being transferred onto a Nitrocellulose membrane at 30V for 70 minutes. The membrane was then blocked for an hour using 3% milk before being incubated with ab192762 overnight at 4°C. Antibody binding was detected using a goat anti-mouse antibody conjugated to HRP, and visualised using ECL development solution ab133406.

All lanes:

Western blot - Anti-Kv4.2/KCND2 antibody [K57/1] (ab192762) at 2 µg/mL

Lane 1:

Mouse Brain normal tissue lysate at 20 µg

Lane 2:

Rat Brain normal tissue lysate at 20 µg

Secondary

All lanes:

HRP-conjugated Goat anti-Mouse IgG (H+L) at 1/5000 dilution

Predicted band size: 71 kDa

Observed band size: 55 kDa

true

Exposure time: 20min

Key facts

Host species

Mouse

Clonality

Monoclonal

Clone number

K57/1

Isotype

IgG1

Carrier free

No

Reacts with

Mouse, Rat

Applications

IHC-P, WB

applications

Immunogen

The exact immunogen used to generate this antibody is proprietary information.

Reactivity data

{ "title": "Reactivity Data", "filters": { "stats": ["", "Species", "Dilution Info", "Notes"], "tabs": { "all-applications": {"fullname" : "All Applications", "shortname": "All Applications"}, "IHCP" : {"fullname" : "Immunohistochemistry (Formalin/PFA-fixed paraffin-embedded sections)", "shortname":"IHC-P"}, "WB" : {"fullname" : "Western blot", "shortname":"WB"} }, "product-promise": { "all": "all", "testedAndGuaranteed": "tested", "guaranteed": "expected", "predicted": "predicted", "notRecommended": "not-recommended" } }, "values": { "Human": { "IHCP-species-checked": "notRecommended", "IHCP-species-dilution-info": "5 µg/mL", "IHCP-species-notes": "<p></p> Perform heat-mediated antigen retrieval with citrate buffer pH 6 before commencing with IHC staining protocol.", "WB-species-checked": "notRecommended", "WB-species-dilution-info": "2-4 µg/mL", "WB-species-notes": "<p></p>" }, "Mouse": { "IHCP-species-checked": "testedAndGuaranteed", "IHCP-species-dilution-info": "5 µg/mL", "IHCP-species-notes": "<p></p> Perform heat-mediated antigen retrieval with citrate buffer pH 6 before commencing with IHC staining protocol.", "WB-species-checked": "testedAndGuaranteed", "WB-species-dilution-info": "2-4 µg/mL", "WB-species-notes": "<p></p>" }, "Rat": { "IHCP-species-checked": "testedAndGuaranteed", "IHCP-species-dilution-info": "5 µg/mL", "IHCP-species-notes": "<p></p> Perform heat-mediated antigen retrieval with citrate buffer pH 6 before commencing with IHC staining protocol.", "WB-species-checked": "testedAndGuaranteed", "WB-species-dilution-info": "2-4 µg/mL", "WB-species-notes": "<p></p>" } } }

Properties and storage information

Form
Liquid
Purification technique
Affinity purification
Storage buffer
pH: 7.4 Preservative: 0.02% Sodium azide Constituents: PBS, 6.97% L-Arginine
Shipped at conditions
Blue Ice
Appropriate short-term storage duration
1-2 weeks
Appropriate short-term storage conditions
+4°C
Appropriate long-term storage conditions
-20°C
Aliquoting information
Upon delivery aliquot
Storage information
Avoid freeze / thaw cycle

Supplementary information

This supplementary information is collated from multiple sources and compiled automatically.

Kv4.2 also known as KCND2 is a voltage-gated potassium channel subunit that plays an important role in controlling the electrical activity of neurons. This protein has a molecular mass of approximately 74 kDa. Kv4.2 is expressed mainly in the brain especially in the hippocampus and cortex regions. The channel regulates the flow of potassium ions across the cell membrane which is essential for maintaining the resting membrane potential and modulating action potentials.
Biological function summary

The Kv4.2 protein contributes to the transient outward potassium current known as I_A. It often associates with other accessory proteins like KChIP and DPP10 to form functional Kv4.2 channel complexes. These complexes are critical in shaping the signal transmission in neurons affecting synaptic plasticity and neuronal excitability. Kv4.2's action impacts the duration and frequency of neuronal firing influencing functions such as memory and learning.

Pathways

Kv4.2 is integral to the regulation of neuronal excitability in the context of signal transduction pathways. One well-studied pathway involves its role in the MAPK/ERK signaling cascade where Kv4.2 undergoes phosphorylation events that fine-tune its activity. This pathway includes proteins like ERK which interacts with Kv4.2 to affect how neurons respond to synaptic inputs. Kv4.2 is also interconnected with CaMKII signaling which modulates its trafficking and expression in neurons.

Alterations in Kv4.2 expression or function relate to neurological conditions such as epilepsy and spinocerebellar ataxia. In epilepsy abnormal Kv4.2 channel activity can lead to hyperexcitability of neurons contributing to seizure development. Interconnections with proteins like Nav1.1 influence these pathological conditions as they also regulate neuronal excitability. Furthermore mutations in Kv4.2 can disrupt normal neuronal signaling which could be implicated in spinocerebellar ataxia contributing to the range of motor coordination symptoms seen in these patients.

Product protocols

For this product, it's our understanding that no specific protocols are required. You can visit:

Target data

Voltage-gated potassium channel that mediates transmembrane potassium transport in excitable membranes, primarily in the brain. Mediates the major part of the dendritic A-type current I(SA) in brain neurons (By similarity). This current is activated at membrane potentials that are below the threshold for action potentials. It regulates neuronal excitability, prolongs the latency before the first spike in a series of action potentials, regulates the frequency of repetitive action potential firing, shortens the duration of action potentials and regulates the back-propagation of action potentials from the neuronal cell body to the dendrites. Contributes to the regulation of the circadian rhythm of action potential firing in suprachiasmatic nucleus neurons, which regulates the circadian rhythm of locomotor activity (By similarity). Functions downstream of the metabotropic glutamate receptor GRM5 and plays a role in neuronal excitability and in nociception mediated by activation of GRM5 (By similarity). Mediates the transient outward current I(to) in rodent heart left ventricle apex cells, but not in human heart, where this current is mediated by another family member. Forms tetrameric potassium-selective channels through which potassium ions pass in accordance with their electrochemical gradient (PubMed : 10551270, PubMed : 11507158, PubMed : 14623880, PubMed : 14695263, PubMed : 14980201, PubMed : 15454437, PubMed : 16934482, PubMed : 19171772, PubMed : 24501278, PubMed : 24811166, PubMed : 34552243, PubMed : 35597238). The channel alternates between opened and closed conformations in response to the voltage difference across the membrane (PubMed : 11507158). Can form functional homotetrameric channels and heterotetrameric channels that contain variable proportions of KCND2 and KCND3; channel properties depend on the type of pore-forming alpha subunits that are part of the channel. In vivo, membranes probably contain a mixture of heteromeric potassium channel complexes. Interaction with specific isoforms of the regulatory subunits KCNIP1, KCNIP2, KCNIP3 or KCNIP4 strongly increases expression at the cell surface and thereby increases channel activity; it modulates the kinetics of channel activation and inactivation, shifts the threshold for channel activation to more negative voltage values, shifts the threshold for inactivation to less negative voltages and accelerates recovery after inactivation (PubMed : 14623880, PubMed : 14980201, PubMed : 15454437, PubMed : 19171772, PubMed : 24501278, PubMed : 24811166). Likewise, interaction with DPP6 or DPP10 promotes expression at the cell membrane and regulates both channel characteristics and activity (By similarity). Upon depolarization, the channel goes from a resting closed state (C state) to an activated but non-conducting state (C* state), from there, the channel may either inactivate (I state) or open (O state) (PubMed : 35597238).
See full target information KCND2

Publications (3)

Recent publications for all applications. Explore the full list and refine your search

Frontiers in pharmacology 16:1613438 PubMed40978465

2025

Abnormal Ca handling and reduced I contribute to citalopram-induced QT prolongation and cardiac arrhythmias.

Applications

Unspecified application

Species

Unspecified reactive species

Yangpeng Li,Jiamin Xie,Yuqing Zheng,Jianhong Li,Min Zhao,Li Liu,Hongping Shen,Ming Lei,Xiaoqiu Tan,Juan Xiao,Xueru Liu,Tangting Chen

Biomedicines 13: PubMed40426946

2025

Regulation of Kv2.1 Channels by Kv9.1 Variants.

Applications

Unspecified application

Species

Unspecified reactive species

Hedaythul Choudhury,Muruj Barri,Kay Osborn,Mohan Rajasekaran,Marina Popova,Owen S Wells,Edward B Stevens,Ruth D Murrell-Lagnado

Phytotherapy research : PTR 38:1044-1058 PubMed38153125

2023

Astilbin protects from sepsis-induced cardiac injury through the NRF2/HO-1 and TLR4/NF-κB pathway.

Applications

Unspecified application

Species

Unspecified reactive species

Zhao Fang,Guangji Wang,Rui Huang,Chengyin Liu,Feierkaiti Yushanjiang,Tuohua Mao,Jun Li
View all publications

Product promise

We are committed to supporting your work with high-quality reagents, and we're here for you every step of the way. In the unlikely event that one of our products does not perform as expected, you're protected by our Product Promise.
For full details, please see our Terms & Conditions

Please note: All products are 'FOR RESEARCH USE ONLY. NOT FOR USE IN DIAGNOSTIC OR THERAPEUTIC PROCEDURES'.

For licensing inquiries, please contact partnerships@abcam.com