JavaScript is disabled in your browser. Please enable JavaScript to view this website.
AB208155

Anti-L1CAM antibody [EPR18750]

  • RabMAb
  • Recombinant
  • KO Validated
  • 20ul selling size
  • What is this?

4

(3 Reviews)

|

(12 Publications)

Anti-L1CAM antibody [EPR18750] (ab208155) is a rabbit monoclonal antibody detecting L1CAM in Western Blot, IP, IHC-P. Suitable for Human, Mouse, Rat.

- KO validated for confirmed specificity
- Biophysical QC for unrivalled batch-batch consistency

View Alternative Names

CD171, CAML1, MIC5, L1CAM, Neural cell adhesion molecule L1, N-CAM-L1, NCAM-L1

16 Images
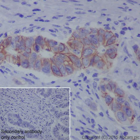
Immunohistochemistry (Formalin/PFA-fixed paraffin-embedded sections) - Anti-L1CAM antibody [EPR18750] (AB208155)
  • IHC-P

Supplier Data

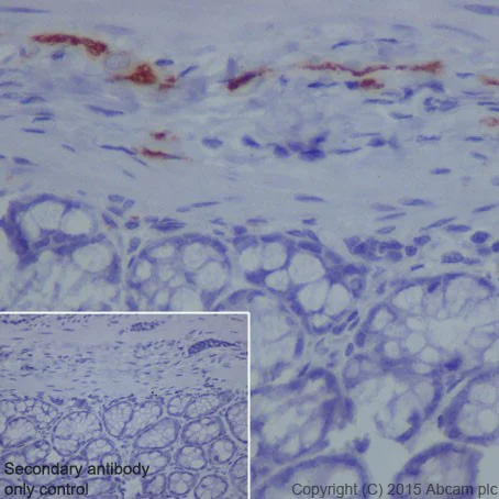
Immunohistochemistry (Formalin/PFA-fixed paraffin-embedded sections) - Anti-L1CAM antibody [EPR18750] (AB208155)

Immunohistochemical analysis of paraffin-embedded Human stomach cancer tissue labeling L1CAM with ab208155 at 1/500 dilution, followed by Goat Anti-Rabbit IgG H&L (HRP) (ab97051) at 1/500 dilution.

Membrane staining on the tumor cells of Human stomach cancer is observed.
L1CAM specific staining most abundant on nervous system, distal kidney tubules, and tumor cells. [PMID : 16867862, PMID : 20044598].

Counter stained with Hematoxylin.
Secondary antibody only control : Used PBS instead of primary antibody, secondary antibody is Goat Anti-Rabbit IgG H&L (HRP) (ab97051) at 1/500 dilution.

Perform heat mediated antigen retrieval with Tris/EDTA buffer pH 9.0 before commencing with IHC staining protocol.

Immunohistochemistry (Formalin/PFA-fixed paraffin-embedded sections) - Anti-L1CAM antibody [EPR18750] (AB208155)
  • IHC-P

Supplier Data

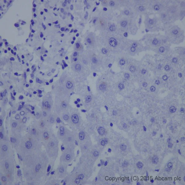
Immunohistochemistry (Formalin/PFA-fixed paraffin-embedded sections) - Anti-L1CAM antibody [EPR18750] (AB208155)

Immunohistochemical analysis of paraffin-embedded Human liver tissue labeling L1CAM with ab208155 at 1/500 dilution followed by Goat Anti-Rabbit IgG H&L (HRP) (ab97051) at 1/500 dilution.

Negative staining on the Human liver.

L1CAM specific staining most abundant on nervous system distal kidney tubules and tumor cells. [PMID : 16867862 PMID : 20044598].

Counter stained with Hematoxylin.

Perform heat mediated antigen retrieval with Tris/EDTA buffer pH 9.0 before commencing with IHC staining protocol.

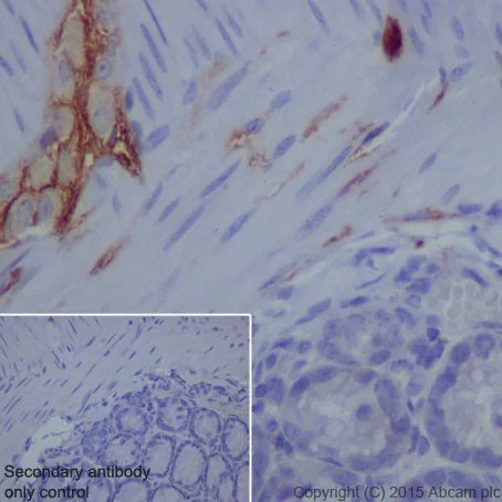
Immunohistochemistry (Formalin/PFA-fixed paraffin-embedded sections) - Anti-L1CAM antibody [EPR18750] (AB208155)
  • IHC-P

Supplier Data

Immunohistochemistry (Formalin/PFA-fixed paraffin-embedded sections) - Anti-L1CAM antibody [EPR18750] (AB208155)

Immunohistochemical analysis of paraffin-embedded Human kidney tissue labeling L1CAM with ab208155 at 1/500 dilution, followed by Goat Anti-Rabbit IgG H&L (HRP) (ab97051) at 1/500 dilution.

Membrane staining on a part of Human kidney tubules is observed.
L1CAM specific staining most abundant on nervous system, distal kidney tubules, and tumor cells. [PMID : 16867862, PMID : 20044598].

Counter stained with Hematoxylin.
Secondary antibody only control : Used PBS instead of primary antibody, secondary antibody is Goat Anti-Rabbit IgG H&L (HRP) (ab97051) at 1/500 dilution.

Perform heat mediated antigen retrieval with Tris/EDTA buffer pH 9.0 before commencing with IHC staining protocol.

Immunoprecipitation - Anti-L1CAM antibody [EPR18750] (AB208155)
  • IP

Supplier Data

Immunoprecipitation - Anti-L1CAM antibody [EPR18750] (AB208155)

L1CAM was immunoprecipitated from 1mg of Human cerebellum lysate with ab208155 at 1/40 dilution. Western blot was performed from the immunoprecipitate using ab208155 at 1/1000 dilution. VeriBlot for IP Detection Reagent (HRP) (ab131366), was used for detection at 1/10000 dilution.
Lane 1 : Human cerebellum lysate 10μg (Input).
Lane 2 : ab208155 IP in Human cerebellum lysate.
Lane 3 : Rabbit monoclonal IgG (ab172730) instead of ab208155 in Human cerebellum lysate.
Blocking and dilution buffer and concentration : 5% NFDM/TBST.
Exposure time : 3 minutes.

All lanes:

Immunoprecipitation - Anti-L1CAM antibody [EPR18750] (ab208155)

Predicted band size: 140 kDa

false

Immunohistochemistry (Formalin/PFA-fixed paraffin-embedded sections) - Anti-L1CAM antibody [EPR18750] (AB208155)
  • IHC-P

Supplier Data

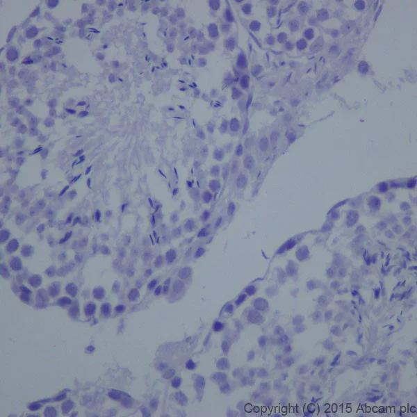
Immunohistochemistry (Formalin/PFA-fixed paraffin-embedded sections) - Anti-L1CAM antibody [EPR18750] (AB208155)

Immunohistochemical analysis of paraffin-embedded Mouse testis tissue labeling L1CAM with ab208155 at 1/500 dilution followed by Goat Anti-Rabbit IgG H&L (HRP) (ab97051) at 1/500 dilution.

Negative staining on the mouse testis.
L1CAM specific staining most abundant on nervous system distal kidney tubules and tumor cells. [PMID : 16867862 PMID : 20044598].

Counter stained with Hematoxylin.

Perform heat mediated antigen retrieval with Tris/EDTA buffer pH 9.0 before commencing with IHC staining protocol.

Immunohistochemistry (Formalin/PFA-fixed paraffin-embedded sections) - Anti-L1CAM antibody [EPR18750] (AB208155)
  • IHC-P

Supplier Data

Immunohistochemistry (Formalin/PFA-fixed paraffin-embedded sections) - Anti-L1CAM antibody [EPR18750] (AB208155)

Immunohistochemical analysis of paraffin-embedded Rat skeletal muscle tissue labeling L1CAM with ab208155 at 1/500 dilution followed by Goat Anti-Rabbit IgG H&L (HRP) (ab97051) at 1/500 dilution.

Negative staining on the rat skeletal muscle.
L1CAM specific staining most abundant on nervous system distal kidney tubules and tumor cells. [PMID : 16867862 PMID : 20044598].

Counter stained with Hematoxylin.

Secondary antibody only control : Used PBS instead of primary antibody secondary antibody is ab97051 at 1/500 dilution.

Perform heat mediated antigen retrieval with Tris/EDTA buffer pH 9.0 before commencing with IHC staining protocol.

Immunohistochemistry (Formalin/PFA-fixed paraffin-embedded sections) - Anti-L1CAM antibody [EPR18750] (AB208155)
  • IHC-P

Supplier Data

Immunohistochemistry (Formalin/PFA-fixed paraffin-embedded sections) - Anti-L1CAM antibody [EPR18750] (AB208155)

Immunohistochemical analysis of paraffin-embedded Mouse cerebrum tissue labeling L1CAM with ab208155 at 1/500 dilution followed by Goat Anti-Rabbit IgG H&L (HRP) (ab97051) at 1/500 dilution.

Cytoplasm staining on the mouse cerebrum is observed.
L1CAM specific staining most abundant on nervous system distal kidney tubules and tumor cells. [PMID : 16867862 PMID : 20044598].

Counter stained with Hematoxylin.
Secondary antibody only control : Used PBS instead of primary antibody secondary antibody is Goat Anti-Rabbit IgG H&L (HRP) (ab97051) at 1/500 dilution.

Perform heat mediated antigen retrieval with Tris/EDTA buffer pH 9.0 before commencing with IHC staining protocol.

Immunohistochemistry (Formalin/PFA-fixed paraffin-embedded sections) - Anti-L1CAM antibody [EPR18750] (AB208155)
  • IHC-P

Supplier Data

Immunohistochemistry (Formalin/PFA-fixed paraffin-embedded sections) - Anti-L1CAM antibody [EPR18750] (AB208155)

Immunohistochemical analysis of paraffin-embedded Rat colon tissue labeling L1CAM with ab208155 at 1/500 dilution followed by Goat Anti-Rabbit IgG H&L (HRP) (ab97051) at 1/500 dilution.

Cytoplasm staining on the nerve tract of the rat colon is observed.
L1CAM specific staining most abundant on nervous system distal kidney tubules and tumor cells. [PMID : 16867862 PMID : 20044598].

Counter stained with Hematoxylin.
Secondary antibody only control : Used PBS instead of primary antibody secondary antibody is Goat Anti-Rabbit IgG H&L (HRP) (ab97051) at 1/500 dilution.

Perform heat mediated antigen retrieval with Tris/EDTA buffer pH 9.0 before commencing with IHC staining protocol.

Immunohistochemistry (Formalin/PFA-fixed paraffin-embedded sections) - Anti-L1CAM antibody [EPR18750] (AB208155)
  • IHC-P

Supplier Data

Immunohistochemistry (Formalin/PFA-fixed paraffin-embedded sections) - Anti-L1CAM antibody [EPR18750] (AB208155)

Immunohistochemical analysis of paraffin-embedded Mouse colon tissue labeling L1CAM with ab208155 at 1/500 dilution followed by Goat Anti-Rabbit IgG H&L (HRP) (ab97051) at 1/500 dilution.

Mainly membrane staining on the nerve tract of mouse colon is observed.
L1CAM specific staining most abundant on nervous system distal kidney tubules and tumor cells. [PMID : 16867862 PMID : 20044598].

Counter stained with Hematoxylin.
Secondary antibody only control : Used PBS instead of primary antibody secondary antibody is Goat Anti-Rabbit IgG H&L (HRP) (ab97051) at 1/500 dilution.

Perform heat mediated antigen retrieval with Tris/EDTA buffer pH 9.0 before commencing with IHC staining protocol.

Immunohistochemistry (Formalin/PFA-fixed paraffin-embedded sections) - Anti-L1CAM antibody [EPR18750] (AB208155)
  • IHC-P

Supplier Data

Immunohistochemistry (Formalin/PFA-fixed paraffin-embedded sections) - Anti-L1CAM antibody [EPR18750] (AB208155)

Immunohistochemical analysis of paraffin-embedded Rat cerebellum tissue labeling L1CAM with ab208155 at 1/500 dilution followed by Goat Anti-Rabbit IgG H&L (HRP) (ab97051) at 1/500 dilution.

Cytoplasm staining on the molecular layer of the rat cerebellar cortex is observed.
L1CAM specific staining most abundant on nervous system distal kidney tubules and tumor cells. [PMID : 16867862 PMID : 20044598].

Counter stained with Hematoxylin.
Secondary antibody only control : Used PBS instead of primary antibody secondary antibody is Goat Anti-Rabbit IgG H&L (HRP) (ab97051) at 1/500 dilution.

Perform heat mediated antigen retrieval with Tris/EDTA buffer pH 9.0 before commencing with IHC staining protocol.

Immunoprecipitation - Anti-L1CAM antibody [EPR18750] (AB208155)
  • IP

Supplier Data

Immunoprecipitation - Anti-L1CAM antibody [EPR18750] (AB208155)

L1CAM was immunoprecipitated from 1mg of Rat brain whole cell lysate with ab208155 at 1/40 dilution. Western blot was performed from the immunoprecipitate using ab208155 at 1/1000 dilution. VeriBlot for IP Detection Reagent (HRP) (ab131366), was used for detection at 1/10000 dilution.
Lane 1 : Rat brain whole cell lysate 10μg (Input).
Lane 2 : ab208155 IP in Rat brain whole cell lysate.
Lane 3 : Rabbit monoclonal IgG (ab172730) instead of ab208155 in Rat brain whole cell lysate.
Blocking and dilution buffer and concentration : 5% NFDM/TBST.
Exposure time : 3 minutes.

All lanes:

Immunoprecipitation - Anti-L1CAM antibody [EPR18750] (ab208155)

Predicted band size: 140 kDa

false

Western blot - Anti-L1CAM antibody [EPR18750] (AB208155)
  • WB

Supplier Data

Western blot - Anti-L1CAM antibody [EPR18750] (AB208155)

Blocking/Dilution buffer : 5% NFDM/TBST.

The product binds to the full length L1CAM and the 140KD fragment. Plasmin cleaves L1CAM at the FN3 repeat to produce 140 kDa and 85 kDa fragments (PMID : 7542658;PMID : 20840789). The 140 kDa fragment is where the immunogen is located.

All lanes:

Western blot - Anti-L1CAM antibody [EPR18750] (ab208155) at 1/1000 dilution

Lane 1:

Mouse cerebellum lysate at 10 µg

Lane 2:

Mouse brain lysate at 10 µg

Lane 3:

A-375 (Human malignant melanoma cell line) whole cell lysate at 10 µg

Secondary

All lanes:

Western blot - Goat Anti-Rabbit IgG H&L (HRP) (<a href='/en-us/products/secondary-antibodies/goat-rabbit-igg-h-l-hrp-ab97051'>ab97051</a>) at 1/100000 dilution

Predicted band size: 140 kDa

Observed band size: 140 kDa,200-220 kDa

false

Exposure time: 3min

Western blot - Anti-L1CAM antibody [EPR18750] (AB208155)
  • WB

Lab

Western blot - Anti-L1CAM antibody [EPR18750] (AB208155)

False colour image of Western blot : Anti-L1CAM antibody [EPR18750] staining at 1/1000 dilution, shown in green; Mouse anti-Alpha Tubulin [DM1A] (ab7291) loading control staining at 1/20000 dilution, shown in red. In Western blot, ab208155 was shown to bind specifically to L1CAM. A band was observed at 220 kDa in wild-type HeLa cell lysates with no signal observed at this size in L1CAM knockout cell line ab273836 (knockout cell lysate ab273790). The band observed in the knockout lysate lane below 220 kDa is likely to represent a truncated form of L1CAM. This has not been investigated further and the functional properties of the gene product have not been determined. To generate this image, wild-type and L1CAM knockout HeLa cell lysates were analysed. First, samples were run on an SDS-PAGE gel then transferred onto a nitrocellulose membrane. Membranes were blocked in 3 % milk in TBS-0.1 % Tween® 20 (TBS-T) before incubation with primary antibodies overnight at 4 °C. Blots were washed four times in TBS-T, incubated with secondary antibodies for 1 h at room temperature, washed again four times then imaged. Secondary antibodies used were Goat anti-Rabbit IgG H&L (IRDye® 800CW) preabsorbed (ab216773) and Goat anti-Mouse IgG H&L (IRDye® 680RD) preabsorbed (ab216776) at 1/20000 dilution.

All lanes:

Western blot - Anti-L1CAM antibody [EPR18750] (ab208155) at 1/1000 dilution

All lanes:

Wild-type HeLa cell lysate at 20 µg

Predicted band size: 140 kDa

Observed band size: 220 kDa

false

Western blot - Anti-L1CAM antibody [EPR18750] (AB208155)
  • WB

Unknown

Western blot - Anti-L1CAM antibody [EPR18750] (AB208155)

Lanes 1-2 : Merged signal (red and green). Green - ab208155 observed at 220 kDa. Red - loading control, ab130007 observed at 125 kDa.

ab208155 was shown to react with L1CAM in wild-type HeLa cells in Western blot. Loss of signal was observed when knockout sample ab263786 was used. Wild-type and L1CAM knockout samples were subjected to SDS-PAGE. ab208155 and Anti-Vinculin antibody [VIN-54] (ab130007) were incubated overnight at 4°C at 1 in 1000 dilution and 1 in 20000 dilution respectively. Blots were developed with Goat anti-Rabbit IgG H&L (IRDye® 800CW) preadsorbed (ab216773) and Goat anti-Mouse IgG H&L (IRDye® 680RD) preadsorbed (ab216776) secondary antibodies at 1 in 20000 dilution for 1 hour at room temperature before imaging.

All lanes:

Western blot - Anti-L1CAM antibody [EPR18750] (ab208155) at 1/1000 dilution

Lane 1:

Wild-type HeLa cell lysate at 20 µg

Lane 2:

L1CAM knockout HeLa cell lysate at 20 µg

Lane 2:

Western blot - Human L1CAM knockout HeLa cell line (<a href='/en-us/products/cell-lines/human-l1cam-knockout-hela-cell-line-ab255401'>ab255401</a>)

Secondary

All lanes:

Western blot - Goat anti-Rabbit IgG H&L (IRDye® 800CW) preadsorbed (<a href='/en-us/products/secondary-antibodies/goat-rabbit-igg-h-l-irdye-800cw-preadsorbed-ab216773'>ab216773</a>) at 1/20000 dilution

Predicted band size: 140 kDa

Observed band size: 124 kDa,220 kDa

false

Western blot - Anti-L1CAM antibody [EPR18750] (AB208155)
  • WB

Supplier Data

Western blot - Anti-L1CAM antibody [EPR18750] (AB208155)

Blocking/Dilution buffer : 5% NFDM/TBST.

Exposure time : Lane 1 and 2 : 30seconds; Lane 3 : 3 minutes.

The product binds to the full length L1CAM and the 140KD fragment. Plasmin cleaves L1CAM at the FN3 repeat to produce 140 kDa and 85 kDa fragments (PMID : 7542658;PMID : 20840789). The 140 kDa fragment is where the immunogen is located.

All lanes:

Western blot - Anti-L1CAM antibody [EPR18750] (ab208155) at 1/2000 dilution

Lane 1:

Human fetal brain lysate at 20 µg

Lane 2:

Human cerebellum lysate at 20 µg

Lane 3:

HeLa (Human epithelial cell line from cervix adenocarcinoma) whole cell lysate at 20 µg

Secondary

All lanes:

Goat Anti-Rabbit IgG Peroxidase Conjugate, specific to the non-reduced form of IgG at 1/10000 dilution

Predicted band size: 140 kDa

Observed band size: 140 kDa,200-220 kDa

false

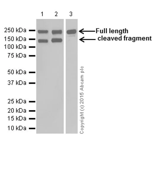
Western blot - Anti-L1CAM antibody [EPR18750] (AB208155)
  • WB

Supplier Data

Western blot - Anti-L1CAM antibody [EPR18750] (AB208155)

Blocking/Dilution buffer : 5% NFDM/TBST.

The product binds to the full length L1CAM and the 140KD fragment. Plasmin cleaves L1CAM at the FN3 repeat to produce 140 kDa and 85 kDa fragments (PMID : 7542658; PMID : 20840789). The 140 kDa fragment is where the immunogen is located.

All lanes:

Western blot - Anti-L1CAM antibody [EPR18750] (ab208155) at 1/2000 dilution

Lane 1:

Rat brain lysate at 20 µg

Lane 2:

Rat cerebellum lysate at 20 µg

Lane 3:

Rat hippocampus lysate at 20 µg

Secondary

All lanes:

Western blot - Goat Anti-Rabbit IgG H&L (HRP) (<a href='/en-us/products/secondary-antibodies/goat-rabbit-igg-h-l-hrp-ab97051'>ab97051</a>) at 1/100000 dilution

Predicted band size: 140 kDa

Observed band size: 140 kDa,200-220 kDa

false

Exposure time: 3min

  • Carrier free

    Anti-L1CAM antibody [EPR18750] - BSA and Azide free

  • Carrier free

    Anti-L1CAM antibody [EPR18750] - Low endotoxin, Azide free

Key facts

Host species

Rabbit

Clonality

Monoclonal

Clone number

EPR18750

Isotype

IgG

Carrier free

No

Reacts with

Mouse, Rat, Human

Applications

IHC-P, WB, IP

applications

Immunogen

The exact immunogen used to generate this antibody is proprietary information.

Reactivity data

{ "title": "Reactivity Data", "filters": { "stats": ["", "Species", "Dilution Info", "Notes"], "tabs": { "all-applications": {"fullname" : "All Applications", "shortname": "All Applications"}, "IP" : {"fullname" : "Immunoprecipitation", "shortname":"IP"}, "WB" : {"fullname" : "Western blot", "shortname":"WB"}, "IHCP" : {"fullname" : "Immunohistochemistry (Formalin/PFA-fixed paraffin-embedded sections)", "shortname":"IHC-P"} }, "product-promise": { "all": "all", "testedAndGuaranteed": "tested", "guaranteed": "expected", "predicted": "predicted", "notRecommended": "not-recommended" } }, "values": { "Human": { "IP-species-checked": "testedAndGuaranteed", "IP-species-dilution-info": "1/40", "IP-species-notes": "<p></p>", "WB-species-checked": "testedAndGuaranteed", "WB-species-dilution-info": "1/1000", "WB-species-notes": "<p></p>", "IHCP-species-checked": "testedAndGuaranteed", "IHCP-species-dilution-info": "1/500", "IHCP-species-notes": "<p></p> Perform heat-mediated antigen retrieval with Tris/EDTA buffer pH 9.0 before commencing with IHC staining protocol." }, "Mouse": { "IP-species-checked": "guaranteed", "IP-species-dilution-info": "", "IP-species-notes": "", "WB-species-checked": "testedAndGuaranteed", "WB-species-dilution-info": "1/1000", "WB-species-notes": "<p></p>", "IHCP-species-checked": "testedAndGuaranteed", "IHCP-species-dilution-info": "1/500", "IHCP-species-notes": "<p></p> Perform heat-mediated antigen retrieval with Tris/EDTA buffer pH 9.0 before commencing with IHC staining protocol." }, "Rat": { "IP-species-checked": "testedAndGuaranteed", "IP-species-dilution-info": "1/40", "IP-species-notes": "<p></p>", "WB-species-checked": "testedAndGuaranteed", "WB-species-dilution-info": "1/1000", "WB-species-notes": "<p></p>", "IHCP-species-checked": "testedAndGuaranteed", "IHCP-species-dilution-info": "1/500", "IHCP-species-notes": "<p></p> Perform heat-mediated antigen retrieval with Tris/EDTA buffer pH 9.0 before commencing with IHC staining protocol." } } }

Product details

What is this antibody validated in?
Anti-L1CAM antibody [EPR18750] (ab208155) is a rabbit recombinant monoclonal antibody and is validated for use in Western Blot (WB), Immunoprecipitation (IP), Immunohistochemistry (IHC-P) in Human, Mouse, Rat samples.

What is the molecular weight of L1CAM?
Anti-L1CAM [EPR18750] (ab208155) specifically detects a band for L1CAM (UniProt: P32004) at a molecular weight of 140kDa.

Trial sizes available!
Test your antibody or perform pre-screening before committing to a larger quantity. Sold in 10µl. Discover our selection of trial-size antibodies.

Specificity confirmed
The specificity of Anti-L1CAM antibody [EPR18750] (ab208155) has been confirmed by Western blot testing in L1CAM Knockout HeLa cells.

Other related products
We have a range of other formats of antibody clone [EPR18750] also available for your convenience: ab208155, Carrier free - ab213611, Carrier free - ab271982

Patented technology
Our RabMAb® technology is a patented hybridoma-based technology for making rabbit monoclonal antibodies. For details on our patents, please refer to RabMAb® patents.

What are the advantages of a recombinant monoclonal antibody?
This product is a recombinant monoclonal antibody, which offers several advantages including:

  • - High batch-to-batch consistency and reproducibility
  • - Improved sensitivity and specificity
  • - Long-term security of supply
  • - Animal-free batch production

For more information, read more on recombinant antibodies.

Properties and storage information

Form
Liquid
Purification technique
Affinity purification Protein A
Storage buffer
pH: 7.2 - 7.4 Preservative: 0.01% Sodium azide Constituents: PBS, 40% Glycerol (glycerin, glycerine), 0.05% BSA
Shipped at conditions
Blue Ice
Appropriate short-term storage duration
1-2 weeks
Appropriate short-term storage conditions
+4°C
Appropriate long-term storage conditions
-20°C
Aliquoting information
Upon delivery aliquot
Storage information
Avoid freeze / thaw cycle

Supplementary information

This supplementary information is collated from multiple sources and compiled automatically.

L1CAM also known as neural cell adhesion molecule L1 is a transmembrane protein with a molecular weight of approximately 200-220 kDa. The L1CAM protein belongs to the immunoglobulin superfamily and is heavily glycosylated. It plays a significant role in cell adhesion processes within the nervous system. L1CAM is expressed in a variety of tissues including the brain kidney and peripheral nerves and is notably present in neuronal cells where it engages in cell-cell interactions. Researchers frequently use L1CAM IHC ELISA methods and specific fluorescent markers like Alexa Fluor 568 to study its expression patterns and localization.
Biological function summary

L1CAM facilitates neuronal migration axonal growth and synaptic plasticity. This protein participates in the formation and maintenance of neural networks. It interacts with other cell adhesion molecules and components of the extracellular matrix. L1CAM acts as an important modulator within neuronal signaling complexes which impacts the development and regeneration of the nervous system. Insights into its structural and cell interaction properties have made it a focus for understanding nervous system functions.

Pathways

L1CAM participates extensively in the MAPK and PI3K/AKT pathways. These pathways contribute to cellular growth survival and programmed cell death. The protein interacts with other molecules such as integrins and FGFRs to propagate signaling cascades important for cellular response mechanisms. These connections help modulate cytoskeletal dynamics influencing cellular adhesion and motility needed during brain development and response to injury.

L1CAM has been associated with hydrocephalus and some cancers. Mutations in the L1CAM gene can lead to L1 syndrome which includes a spectrum of neurological disorders particularly hydrocephalus. In cancer overexpression or altered regulation of L1CAM may correlate with tumor aggressiveness and metastatic potential. L1CAM's association with integrin and cadherin proteins underlines its relevance in pathological states and highlights a potential target for therapeutic interventions.

Product protocols

For this product, it's our understanding that no specific protocols are required. You can visit:

Target data

Neural cell adhesion molecule involved in the dynamics of cell adhesion and in the generation of transmembrane signals at tyrosine kinase receptors. During brain development, critical in multiple processes, including neuronal migration, axonal growth and fasciculation, and synaptogenesis. In the mature brain, plays a role in the dynamics of neuronal structure and function, including synaptic plasticity.
See full target information L1CAM

Publications (12)

Recent publications for all applications. Explore the full list and refine your search

Journal of extracellular vesicles 14:e70140 PubMed40767334

2025

ATP Synthase Abundance in Neuronal Extracellular Vesicles Reflects Changes in the Mitochondria of Parent Neurons.

Applications

Unspecified application

Species

Unspecified reactive species

Pamela J Yao,Carlos Nogueras-Ortiz,Krishna Ananthu Pucha,Dimitrios Kapogiannis

Acta neuropathologica communications 13:45 PubMed40025578

2025

Development of CAR-T cell therapy for NF1/SWN-related nerve sheath tumor treatment.

Applications

Unspecified application

Species

Unspecified reactive species

Na Tang,Lei Cheng,Jiawei Hao,Beilei Xu,Xi Pan,Xiaofei Wei,Hao Wu,Haoyi Wang

The journal of international advanced otology 21:1-8 PubMed39936830

2025

Analysis of L1 Cell Adhesion Molecule and Fucosyltransferase 8 Expression in Cells After Stretch and Human EACSCC Tissue.

Applications

Unspecified application

Species

Unspecified reactive species

Naotaro Akiyama,Tomomi Yamamoto-Fukuda,Hiromi Kojima

Genes & diseases 11:1009-1021 PubMed37692510

2023

Vitamin D-binding protein in plasma microglia-derived extracellular vesicles as a potential biomarker for major depressive disorder.

Applications

Unspecified application

Species

Unspecified reactive species

Gaojia Zhang,Ling Li,Yan Kong,Dandan Xu,Yu Bao,Zhiting Zhang,Zhixiang Liao,Jiao Jiao,Dandan Fan,Xiaojing Long,Ji Dai,Chunming Xie,Zhiqiang Meng,Zhijun Zhang

Cell genomics 3:100250 PubMed36950384

2023

Protein interaction studies in human induced neurons indicate convergent biology underlying autism spectrum disorders.

Applications

Unspecified application

Species

Unspecified reactive species

Greta Pintacuda,Yu-Han H Hsu,Kalliopi Tsafou,Ka Wan Li,Jacqueline M Martín,Jackson Riseman,Julia C Biagini,Joshua K T Ching,Daya Mena,Miguel A Gonzalez-Lozano,Shawn B Egri,Jake Jaffe,August B Smit,Nadine Fornelos,Kevin C Eggan,Kasper Lage

Nature communications 13:7269 PubMed36433953

2022

Reduced secretion of neuronal growth regulator 1 contributes to impaired adipose-neuronal crosstalk in obesity.

Applications

Unspecified application

Species

Unspecified reactive species

Elisa Duregotti,Christina M Reumiller,Ursula Mayr,Maria Hasman,Lukas E Schmidt,Sean A Burnap,Konstantinos Theofilatos,Javier Barallobre-Barreiro,Arne Beran,Maria Grandoch,Alessandro Viviano,Marjan Jahangiri,Manuel Mayr

Neurotoxicology and teratology 85:106962 PubMed33636300

2021

Moderate prenatal alcohol exposure increases total length of L1-expressing axons in E15.5 mice.

Applications

Unspecified application

Species

Unspecified reactive species

Avery Sicher,Shannon Kiss,Paige Springmann,Karen Herrera,Abigail McElroy,Kelsey Blake,Emily Crocker,Christa Jacob,McKayla Lefkove,Myla Cramer,Allysen Henriksen,Josef Novacek,Jenna Severa,Justin Siberski,Emily Thomas,Peter Chi,Carlita Favero

Neurochemical research 45:2679-2690 PubMed32857295

2020

Downregulation of lncRNA XIST Represses Tumor Growth and Boosts Radiosensitivity of Neuroblastoma via Modulation of the miR-375/L1CAM Axis.

Applications

Unspecified application

Species

Unspecified reactive species

Haiyan Yang,Xiao Zhang,Yuehua Zhao,GuoLi Sun,Jian Zhang,Yiwen Gao,Qian Liu,Wenhua Zhang,Hongjin Zhu

The American journal of pathology 190:1667-1679 PubMed32360569

2020

L1CAM-ILK-YAP Mechanotransduction Drives Proliferative Activity of Epithelial Cells in Middle Ear Cholesteatoma.

Applications

Unspecified application

Species

Unspecified reactive species

Tomomi Yamamoto-Fukuda,Naotaro Akiyama,Hiromi Kojima

iScience 7:53-67 PubMed30267686

2018

Caveolin-1 Promotes Early Neuronal Maturation via Caveolae-Independent Trafficking of N-Cadherin and L1.

Applications

Unspecified application

Species

Unspecified reactive species

Mima Shikanai,Yoshiaki V Nishimura,Miwa Sakurai,Yo-Ichi Nabeshima,Michisuke Yuzaki,Takeshi Kawauchi
View all publications

Product promise

We are committed to supporting your work with high-quality reagents, and we're here for you every step of the way. In the unlikely event that one of our products does not perform as expected, you're protected by our Product Promise.
For full details, please see our Terms & Conditions

Please note: All products are 'FOR RESEARCH USE ONLY. NOT FOR USE IN DIAGNOSTIC OR THERAPEUTIC PROCEDURES'.

For licensing inquiries, please contact partnerships@abcam.com