JavaScript is disabled in your browser. Please enable JavaScript to view this website.
AB271982

Anti-L1CAM antibody [EPR18750] - BSA and Azide free

1

(1 Review)

|

(0 Publication)

Rabbit Recombinant Monoclonal L1CAM antibody. Carrier free. Suitable for IP, WB, IHC-P and reacts with Rat, Human, Mouse samples.

View Alternative Names

CD171, CAML1, MIC5, L1CAM, Neural cell adhesion molecule L1, N-CAM-L1, NCAM-L1

15 Images
Immunohistochemistry (Formalin/PFA-fixed paraffin-embedded sections) - Anti-L1CAM antibody [EPR18750] - BSA and Azide free (AB271982)
  • IHC-P

Supplier Data

Immunohistochemistry (Formalin/PFA-fixed paraffin-embedded sections) - Anti-L1CAM antibody [EPR18750] - BSA and Azide free (AB271982)

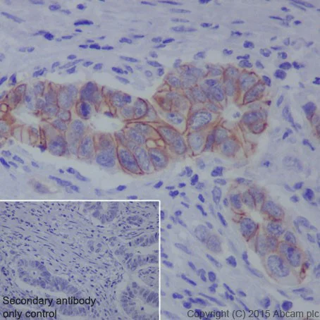
Immunohistochemical analysis of paraffin-embedded Human kidney tissue labeling L1CAM with ab208155 at 1/500 dilution, followed by Goat Anti-Rabbit IgG H&L (HRP) (ab97051) at 1/500 dilution.

Membrane staining on a part of Human kidney tubules is observed.
L1CAM specific staining most abundant on nervous system, distal kidney tubules, and tumor cells. [PMID : 16867862, PMID : 20044598].

Counter stained with Hematoxylin.
Secondary antibody only control : Used PBS instead of primary antibody, secondary antibody is Goat Anti-Rabbit IgG H&L (HRP) (ab97051) at 1/500 dilution.

Perform heat mediated antigen retrieval with Tris/EDTA buffer pH 9.0 before commencing with IHC staining protocol.

This data was developed using the same antibody clone in a different buffer formulation containing PBS, BSA, glycerol, and sodium azide (ab208155).

Immunohistochemistry (Formalin/PFA-fixed paraffin-embedded sections) - Anti-L1CAM antibody [EPR18750] - BSA and Azide free (AB271982)
  • IHC-P

Supplier Data

Immunohistochemistry (Formalin/PFA-fixed paraffin-embedded sections) - Anti-L1CAM antibody [EPR18750] - BSA and Azide free (AB271982)

Immunohistochemical analysis of paraffin-embedded Human stomach cancer tissue labeling L1CAM with ab208155 at 1/500 dilution, followed by Goat Anti-Rabbit IgG H&L (HRP) (ab97051) at 1/500 dilution.

Membrane staining on the tumor cells of Human stomach cancer is observed.
L1CAM specific staining most abundant on nervous system, distal kidney tubules, and tumor cells. [PMID : 16867862, PMID : 20044598].

Counter stained with Hematoxylin.
Secondary antibody only control : Used PBS instead of primary antibody, secondary antibody is Goat Anti-Rabbit IgG H&L (HRP) (ab97051) at 1/500 dilution.

Perform heat mediated antigen retrieval with Tris/EDTA buffer pH 9.0 before commencing with IHC staining protocol.

This data was developed using the same antibody clone in a different buffer formulation containing PBS, BSA, glycerol, and sodium azide (ab208155).

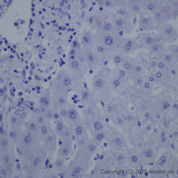
Immunohistochemistry (Formalin/PFA-fixed paraffin-embedded sections) - Anti-L1CAM antibody [EPR18750] - BSA and Azide free (AB271982)
  • IHC-P

Supplier Data

Immunohistochemistry (Formalin/PFA-fixed paraffin-embedded sections) - Anti-L1CAM antibody [EPR18750] - BSA and Azide free (AB271982)

Immunohistochemical analysis of paraffin-embedded Human liver tissue labeling L1CAM with ab208155 at 1/500 dilution, followed by Goat Anti-Rabbit IgG H&L (HRP) (ab97051) at 1/500 dilution.

Negative staining on the Human liver.

L1CAM specific staining most abundant on nervous system, distal kidney tubules, and tumor cells. [PMID : 16867862, PMID : 20044598].

Counter stained with Hematoxylin.

Perform heat mediated antigen retrieval with Tris/EDTA buffer pH 9.0 before commencing with IHC staining protocol.

This data was developed using the same antibody clone in a different buffer formulation containing PBS, BSA, glycerol, and sodium azide (ab208155).

Immunoprecipitation - Anti-L1CAM antibody [EPR18750] - BSA and Azide free (AB271982)
  • IP

Supplier Data

Immunoprecipitation - Anti-L1CAM antibody [EPR18750] - BSA and Azide free (AB271982)

L1CAM was immunoprecipitated from 1mg of Human cerebellum lysate with ab208155 at 1/40 dilution. Western blot was performed from the immunoprecipitate using ab208155 at 1/1000 dilution. VeriBlot for IP Detection Reagent (HRP) (ab131366), was used for detection at 1/10000 dilution.

Lane 1 : Human cerebellum lysate 10μg (Input).
Lane 2 : ab208155 IP in Human cerebellum lysate.
Lane 3 : Rabbit monoclonal IgG (ab172730) instead of ab208155 in Human cerebellum lysate.
Blocking and dilution buffer and concentration : 5% NFDM/TBST.
Exposure time : 3 minutes.

This data was developed using the same antibody clone in a different buffer formulation containing PBS, BSA, glycerol, and sodium azide (ab208155).

All lanes:

Immunoprecipitation - Anti-L1CAM antibody [EPR18750] (<a href='/en-us/products/primary-antibodies/l1cam-antibody-epr18750-ab208155'>ab208155</a>)

Predicted band size: 140 kDa

false

Immunohistochemistry (Formalin/PFA-fixed paraffin-embedded sections) - Anti-L1CAM antibody [EPR18750] - BSA and Azide free (AB271982)
  • IHC-P

Supplier Data

Immunohistochemistry (Formalin/PFA-fixed paraffin-embedded sections) - Anti-L1CAM antibody [EPR18750] - BSA and Azide free (AB271982)

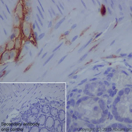
Immunohistochemical analysis of paraffin-embedded Rat colon tissue labeling L1CAM with ab208155 at 1/500 dilution, followed by Goat Anti-Rabbit IgG H&L (HRP) (ab97051) at 1/500 dilution.

Cytoplasm staining on the nerve tract of the rat colon is observed.
L1CAM specific staining most abundant on nervous system, distal kidney tubules, and tumor cells. [PMID : 16867862, PMID : 20044598].

Counter stained with Hematoxylin.
Secondary antibody only control : Used PBS instead of primary antibody, secondary antibody is Goat Anti-Rabbit IgG H&L (HRP) (ab97051) at 1/500 dilution.

Perform heat mediated antigen retrieval with Tris/EDTA buffer pH 9.0 before commencing with IHC staining protocol.

This data was developed using the same antibody clone in a different buffer formulation containing PBS, BSA, glycerol, and sodium azide (ab208155).

Immunohistochemistry (Formalin/PFA-fixed paraffin-embedded sections) - Anti-L1CAM antibody [EPR18750] - BSA and Azide free (AB271982)
  • IHC-P

Supplier Data

Immunohistochemistry (Formalin/PFA-fixed paraffin-embedded sections) - Anti-L1CAM antibody [EPR18750] - BSA and Azide free (AB271982)

Immunohistochemical analysis of paraffin-embedded Mouse cerebrum tissue labeling L1CAM with ab208155 at 1/500 dilution, followed by Goat Anti-Rabbit IgG H&L (HRP) (ab97051) at 1/500 dilution.

Cytoplasm staining on the mouse cerebrum is observed.
L1CAM specific staining most abundant on nervous system, distal kidney tubules, and tumor cells. [PMID : 16867862, PMID : 20044598].

Counter stained with Hematoxylin.
Secondary antibody only control : Used PBS instead of primary antibody, secondary antibody is Goat Anti-Rabbit IgG H&L (HRP) (ab97051) at 1/500 dilution.

Perform heat mediated antigen retrieval with Tris/EDTA buffer pH 9.0 before commencing with IHC staining protocol.

This data was developed using the same antibody clone in a different buffer formulation containing PBS, BSA, glycerol, and sodium azide (ab208155).

Immunohistochemistry (Formalin/PFA-fixed paraffin-embedded sections) - Anti-L1CAM antibody [EPR18750] - BSA and Azide free (AB271982)
  • IHC-P

Supplier Data

Immunohistochemistry (Formalin/PFA-fixed paraffin-embedded sections) - Anti-L1CAM antibody [EPR18750] - BSA and Azide free (AB271982)

Immunohistochemical analysis of paraffin-embedded Mouse testis tissue labeling L1CAM with ab208155 at 1/500 dilution, followed by Goat Anti-Rabbit IgG H&L (HRP) (ab97051) at 1/500 dilution.

Negative staining on the mouse testis.
L1CAM specific staining most abundant on nervous system, distal kidney tubules, and tumor cells. [PMID : 16867862, PMID : 20044598].

Counter stained with Hematoxylin.

Perform heat mediated antigen retrieval with Tris/EDTA buffer pH 9.0 before commencing with IHC staining protocol.

This data was developed using the same antibody clone in a different buffer formulation containing PBS, BSA, glycerol, and sodium azide (ab208155).

Immunohistochemistry (Formalin/PFA-fixed paraffin-embedded sections) - Anti-L1CAM antibody [EPR18750] - BSA and Azide free (AB271982)
  • IHC-P

Supplier Data

Immunohistochemistry (Formalin/PFA-fixed paraffin-embedded sections) - Anti-L1CAM antibody [EPR18750] - BSA and Azide free (AB271982)

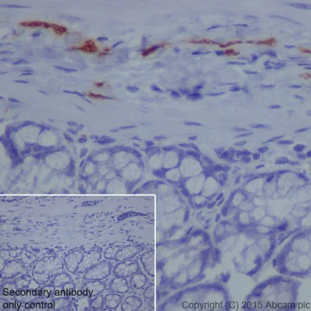
Immunohistochemical analysis of paraffin-embedded Mouse colon tissue labeling L1CAM with ab208155 at 1/500 dilution, followed by Goat Anti-Rabbit IgG H&L (HRP) (ab97051) at 1/500 dilution.

Mainly membrane staining on the nerve tract of mouse colon is observed.
L1CAM specific staining most abundant on nervous system, distal kidney tubules, and tumor cells. [PMID : 16867862, PMID : 20044598].

Counter stained with Hematoxylin.
Secondary antibody only control : Used PBS instead of primary antibody, secondary antibody is Goat Anti-Rabbit IgG H&L (HRP) (ab97051) at 1/500 dilution.

Perform heat mediated antigen retrieval with Tris/EDTA buffer pH 9.0 before commencing with IHC staining protocol.

This data was developed using the same antibody clone in a different buffer formulation containing PBS, BSA, glycerol, and sodium azide (ab208155).

Immunohistochemistry (Formalin/PFA-fixed paraffin-embedded sections) - Anti-L1CAM antibody [EPR18750] - BSA and Azide free (AB271982)
  • IHC-P

Supplier Data

Immunohistochemistry (Formalin/PFA-fixed paraffin-embedded sections) - Anti-L1CAM antibody [EPR18750] - BSA and Azide free (AB271982)

Immunohistochemical analysis of paraffin-embedded Rat skeletal muscle tissue labeling L1CAM with ab208155 at 1/500 dilution, followed by Goat Anti-Rabbit IgG H&L (HRP) (ab97051) at 1/500 dilution.

Negative staining on the rat skeletal muscle.
L1CAM specific staining most abundant on nervous system, distal kidney tubules, and tumor cells. [PMID : 16867862, PMID : 20044598].

Counter stained with Hematoxylin.

Secondary antibody only control : Used PBS instead of primary antibody, secondary antibody is ab97051 at 1/500 dilution.

Perform heat mediated antigen retrieval with Tris/EDTA buffer pH 9.0 before commencing with IHC staining protocol.

This data was developed using the same antibody clone in a different buffer formulation containing PBS, BSA, glycerol, and sodium azide (ab208155).

Immunohistochemistry (Formalin/PFA-fixed paraffin-embedded sections) - Anti-L1CAM antibody [EPR18750] - BSA and Azide free (AB271982)
  • IHC-P

Supplier Data

Immunohistochemistry (Formalin/PFA-fixed paraffin-embedded sections) - Anti-L1CAM antibody [EPR18750] - BSA and Azide free (AB271982)

Immunohistochemical analysis of paraffin-embedded Rat cerebellum tissue labeling L1CAM with ab208155 at 1/500 dilution, followed by Goat Anti-Rabbit IgG H&L (HRP) (ab97051) at 1/500 dilution.

Cytoplasm staining on the molecular layer of the rat cerebellar cortex is observed.
L1CAM specific staining most abundant on nervous system, distal kidney tubules, and tumor cells. [PMID : 16867862, PMID : 20044598].

Counter stained with Hematoxylin.
Secondary antibody only control : Used PBS instead of primary antibody, secondary antibody is Goat Anti-Rabbit IgG H&L (HRP) (ab97051) at 1/500 dilution.

Perform heat mediated antigen retrieval with Tris/EDTA buffer pH 9.0 before commencing with IHC staining protocol.

This data was developed using the same antibody clone in a different buffer formulation containing PBS, BSA, glycerol, and sodium azide (ab208155).

Immunoprecipitation - Anti-L1CAM antibody [EPR18750] - BSA and Azide free (AB271982)
  • IP

Supplier Data

Immunoprecipitation - Anti-L1CAM antibody [EPR18750] - BSA and Azide free (AB271982)

L1CAM was immunoprecipitated from 1mg of Rat brain whole cell lysate with ab208155 at 1/40 dilution. Western blot was performed from the immunoprecipitate using ab208155 at 1/1000 dilution. VeriBlot for IP Detection Reagent (HRP) (ab131366), was used for detection at 1/10000 dilution.

Lane 1 : Rat brain whole cell lysate 10μg (Input).
Lane 2 : ab208155 IP in Rat brain whole cell lysate.
Lane 3 : Rabbit monoclonal IgG (ab172730) instead of ab208155 in Rat brain whole cell lysate.
Blocking and dilution buffer and concentration : 5% NFDM/TBST.
Exposure time : 3 minutes.

This data was developed using the same antibody clone in a different buffer formulation containing PBS, BSA, glycerol, and sodium azide (ab208155).

All lanes:

Immunoprecipitation - Anti-L1CAM antibody [EPR18750] (<a href='/en-us/products/primary-antibodies/l1cam-antibody-epr18750-ab208155'>ab208155</a>)

Predicted band size: 140 kDa

false

Western blot - Anti-L1CAM antibody [EPR18750] - BSA and Azide free (AB271982)
  • WB

Supplier Data

Western blot - Anti-L1CAM antibody [EPR18750] - BSA and Azide free (AB271982)

This data was developed using ab208155, the same antibody clone in a different buffer formulation :

Blocking/Dilution buffer : 5% NFDM/TBST.

Exposure time : Lane 1 and 2 : 30seconds; Lane 3 : 3 minutes.

The product binds to the full length L1CAM and the 140KD fragment. Plasmin cleaves L1CAM at the FN3 repeat to produce 140 kDa and 85 kDa fragments (PMID : 7542658;PMID : 20840789). The 140 kDa fragment is where the immunogen is located.

All lanes:

Western blot - Anti-L1CAM antibody [EPR18750] - BSA and Azide free (ab271982) at 1/2000 dilution

Lane 1:

Human fetal brain lysate at 20 µg

Lane 2:

Human cerebellum lysate at 20 µg

Lane 3:

HeLa (Human epithelial cell line from cervix adenocarcinoma) whole cell lysate at 20 µg

Secondary

All lanes:

Goat Anti-Rabbit IgG Peroxidase Conjugate, specific to the non-reduced form of IgG at 1/10000 dilution

Predicted band size: 140 kDa

Observed band size: 140 kDa,200-220 kDa

false

Western blot - Anti-L1CAM antibody [EPR18750] - BSA and Azide free (AB271982)
  • WB

Unknown

Western blot - Anti-L1CAM antibody [EPR18750] - BSA and Azide free (AB271982)

This data was developed using ab208155, the same antibody clone in a different buffer formulation :

Blocking/Dilution buffer : 5% NFDM/TBST.

The product binds to the full length L1CAM and the 140KD fragment. Plasmin cleaves L1CAM at the FN3 repeat to produce 140 kDa and 85 kDa fragments (PMID : 7542658;PMID : 20840789). The 140 kDa fragment is where the immunogen is located.

All lanes:

Western blot - Anti-L1CAM antibody [EPR18750] - BSA and Azide free (ab271982) at 1/1000 dilution

Lane 1:

Mouse cerebellum lysate at 10 µg

Lane 2:

Mouse brain lysate at 10 µg

Lane 3:

A-375 (Human malignant melanoma cell line) whole cell lysate at 10 µg

Secondary

All lanes:

Western blot - Goat Anti-Rabbit IgG H&L (HRP) (<a href='/en-us/products/secondary-antibodies/goat-rabbit-igg-h-l-hrp-ab97051'>ab97051</a>) at 1/100000 dilution

Predicted band size: 140 kDa

Observed band size: 140 kDa,200-220 kDa

false

Exposure time: 3min

Western blot - Anti-L1CAM antibody [EPR18750] - BSA and Azide free (AB271982)
  • WB

Lab

Western blot - Anti-L1CAM antibody [EPR18750] - BSA and Azide free (AB271982)

This data was developed using ab208155, the same antibody clone in a different buffer formulation :

Lanes 1 - 2 : Merged signal (red and green). Green - ab208155 observed at 220 kDa. Red - loading control, ab130007 observed at 125 kDa.

ab208155 was shown to react with L1CAM in wild-type HeLa. Loss of signal was observed when knockout cell line ab255401 (knockout cell lysate ab263786) was used. Wild-type and L1CAM knockout samples were subjected to SDS-PAGE. ab208155 and Anti-Vinculin antibody [VIN-54] (ab130007) were incubated overnight at 4^°C at 1 in 1000 dilution and 1 in 20000 dilution respectively. Blots were developed with Goat anti-Rabbit IgG H&L (IRDye® 800CW) preadsorbed (ab216773) and Goat anti-Mouse IgG H&L (IRDye® 680RD) preadsorbed (ab216776) secondary antibodies at 1 in 20000 dilution for 1 hour at room temperature before imaging.

Lane 1:

Western blot - Anti-L1CAM antibody [EPR18750] - BSA and Azide free (ab271982) at 1/1000 dilution

Lane 2:

Western blot - Anti-L1CAM antibody [EPR18750] - BSA and Azide free (ab271982)

Lane 1:

Wild-type HeLa cell lysate at 20 µg

Lane 2:

L1CAM knockout HeLa cell lysate at 20 µg

Predicted band size: 140 kDa

false

Western blot - Anti-L1CAM antibody [EPR18750] - BSA and Azide free (AB271982)
  • WB

Unknown

Western blot - Anti-L1CAM antibody [EPR18750] - BSA and Azide free (AB271982)

This data was developed using ab208155, the same antibody clone in a different buffer formulation :

Blocking/Dilution buffer : 5% NFDM/TBST.

The product binds to the full length L1CAM and the 140KD fragment. Plasmin cleaves L1CAM at the FN3 repeat to produce 140 kDa and 85 kDa fragments (PMID : 7542658; PMID : 20840789). The 140 kDa fragment is where the immunogen is located.

All lanes:

Western blot - Anti-L1CAM antibody [EPR18750] - BSA and Azide free (ab271982) at 1/2000 dilution

Lane 1:

Rat brain lysate at 20 µg

Lane 2:

Rat cerebellum lysate at 20 µg

Lane 3:

Rat hippocampus lysate at 20 µg

Secondary

All lanes:

Western blot - Goat Anti-Rabbit IgG H&L (HRP) (<a href='/en-us/products/secondary-antibodies/goat-rabbit-igg-h-l-hrp-ab97051'>ab97051</a>) at 1/100000 dilution

Predicted band size: 140 kDa

Observed band size: 140 kDa,200-220 kDa

false

Exposure time: 3min

Key facts

Host species

Rabbit

Clonality

Monoclonal

Clone number

EPR18750

Isotype

IgG

Carrier free

Yes

Reacts with

Mouse, Rat, Human

Applications

WB, IP, IHC-P

applications

Immunogen

The exact immunogen used to generate this antibody is proprietary information.

Reactivity data

{ "title": "Reactivity Data", "filters": { "stats": ["", "Species", "Dilution Info", "Notes"], "tabs": { "all-applications": {"fullname" : "All Applications", "shortname": "All Applications"}, "IP" : {"fullname" : "Immunoprecipitation", "shortname":"IP"}, "WB" : {"fullname" : "Western blot", "shortname":"WB"}, "IHCP" : {"fullname" : "Immunohistochemistry (Formalin/PFA-fixed paraffin-embedded sections)", "shortname":"IHC-P"} }, "product-promise": { "all": "all", "testedAndGuaranteed": "tested", "guaranteed": "expected", "predicted": "predicted", "notRecommended": "not-recommended" } }, "values": { "Human": { "IP-species-checked": "testedAndGuaranteed", "IP-species-dilution-info": "", "IP-species-notes": "<p></p>", "WB-species-checked": "testedAndGuaranteed", "WB-species-dilution-info": "", "WB-species-notes": "<p></p>", "IHCP-species-checked": "testedAndGuaranteed", "IHCP-species-dilution-info": "", "IHCP-species-notes": "<p></p>" }, "Mouse": { "IP-species-checked": "guaranteed", "IP-species-dilution-info": "", "IP-species-notes": "", "WB-species-checked": "testedAndGuaranteed", "WB-species-dilution-info": "", "WB-species-notes": "<p></p>", "IHCP-species-checked": "testedAndGuaranteed", "IHCP-species-dilution-info": "", "IHCP-species-notes": "<p></p>" }, "Rat": { "IP-species-checked": "testedAndGuaranteed", "IP-species-dilution-info": "", "IP-species-notes": "<p></p>", "WB-species-checked": "testedAndGuaranteed", "WB-species-dilution-info": "", "WB-species-notes": "<p></p>", "IHCP-species-checked": "testedAndGuaranteed", "IHCP-species-dilution-info": "", "IHCP-species-notes": "<p></p>" } } }

Product details

ab271982 is the carrier-free version of ab208155.

Patented technology
Our RabMAb® technology is a patented hybridoma-based technology for making rabbit monoclonal antibodies. For details on our patents, please refer to RabMAb® patents.

What are the advantages of a recombinant monoclonal antibody?
This product is a recombinant monoclonal antibody, which offers several advantages including:

  • - High batch-to-batch consistency and reproducibility
  • - Improved sensitivity and specificity
  • - Long-term security of supply
  • - Animal-free batch production

For more information, read more on recombinant antibodies.

Conjugation ready
Our carrier-free antibodies are typically supplied in a PBS-only formulation, purified and free of BSA, sodium azide and glycerol. This conjugation-ready format is designed for use with fluorochromes, metal isotopes, oligonucleotides, and enzymes, which makes them ideal for antibody labelling, functional and cell-based assays, flow-based assays (e.g. mass cytometry) and Multiplex Imaging applications.

Use our conjugation kits for antibody conjugates that are ready-to-use in as little as 20 minutes with 1 minute hands-on-time and 100% antibody recovery: available for fluorescent dyes, HRP, biotin and gold.

Compatibility
This product is compatible with the Maxpar® Antibody Labeling Kit from Fluidigm, without the need for antibody preparation. Maxpar® is a trademark of Fluidigm Canada Inc.

Properties and storage information

Form
Liquid
Purification technique
Affinity purification Protein A
Storage buffer
pH: 7.2 - 7.4 Constituents: PBS
Shipped at conditions
Blue Ice
Appropriate short-term storage conditions
+4°C
Appropriate long-term storage conditions
+4°C
Storage information
Do Not Freeze

Supplementary information

This supplementary information is collated from multiple sources and compiled automatically.

L1CAM also known as neural cell adhesion molecule L1 is a transmembrane protein with a molecular weight of approximately 200-220 kDa. The L1CAM protein belongs to the immunoglobulin superfamily and is heavily glycosylated. It plays a significant role in cell adhesion processes within the nervous system. L1CAM is expressed in a variety of tissues including the brain kidney and peripheral nerves and is notably present in neuronal cells where it engages in cell-cell interactions. Researchers frequently use L1CAM IHC ELISA methods and specific fluorescent markers like Alexa Fluor 568 to study its expression patterns and localization.
Biological function summary

L1CAM facilitates neuronal migration axonal growth and synaptic plasticity. This protein participates in the formation and maintenance of neural networks. It interacts with other cell adhesion molecules and components of the extracellular matrix. L1CAM acts as an important modulator within neuronal signaling complexes which impacts the development and regeneration of the nervous system. Insights into its structural and cell interaction properties have made it a focus for understanding nervous system functions.

Pathways

L1CAM participates extensively in the MAPK and PI3K/AKT pathways. These pathways contribute to cellular growth survival and programmed cell death. The protein interacts with other molecules such as integrins and FGFRs to propagate signaling cascades important for cellular response mechanisms. These connections help modulate cytoskeletal dynamics influencing cellular adhesion and motility needed during brain development and response to injury.

L1CAM has been associated with hydrocephalus and some cancers. Mutations in the L1CAM gene can lead to L1 syndrome which includes a spectrum of neurological disorders particularly hydrocephalus. In cancer overexpression or altered regulation of L1CAM may correlate with tumor aggressiveness and metastatic potential. L1CAM's association with integrin and cadherin proteins underlines its relevance in pathological states and highlights a potential target for therapeutic interventions.

Product protocols

For this product, it's our understanding that no specific protocols are required. You can visit:

Target data

Neural cell adhesion molecule involved in the dynamics of cell adhesion and in the generation of transmembrane signals at tyrosine kinase receptors. During brain development, critical in multiple processes, including neuronal migration, axonal growth and fasciculation, and synaptogenesis. In the mature brain, plays a role in the dynamics of neuronal structure and function, including synaptic plasticity.
See full target information L1CAM

Product promise

We are committed to supporting your work with high-quality reagents, and we're here for you every step of the way. In the unlikely event that one of our products does not perform as expected, you're protected by our Product Promise.
For full details, please see our Terms & Conditions

Please note: All products are 'FOR RESEARCH USE ONLY. NOT FOR USE IN DIAGNOSTIC OR THERAPEUTIC PROCEDURES'.

For licensing inquiries, please contact partnerships@abcam.com