JavaScript is disabled in your browser. Please enable JavaScript to view this website.
AB230230

Anti-L2HGDH antibody

4

(1 Review)

|

(1 Publication)

Rabbit Polyclonal L2HGDH antibody. Suitable for WB, IHC-P and reacts with Mouse, Human samples. Cited in 1 publication. Immunogen corresponding to Recombinant Fragment Protein within Human L2HGDH aa 1-250.

View Alternative Names

C14orf160, L2HGDH, Duranin

2 Images
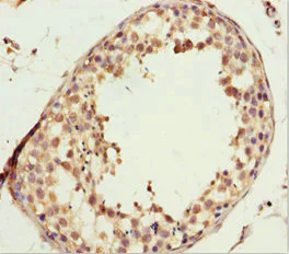
Immunohistochemistry (Formalin/PFA-fixed paraffin-embedded sections) - Anti-L2HGDH antibody (AB230230)
  • IHC-P

Supplier Data

Immunohistochemistry (Formalin/PFA-fixed paraffin-embedded sections) - Anti-L2HGDH antibody (AB230230)

Paraffin-embedded human testis tissue stained for L2HGDH using ab230230 at 1/100 dilution in immunohistochemical analysis.

Western blot - Anti-L2HGDH antibody (AB230230)
  • WB

Supplier Data

Western blot - Anti-L2HGDH antibody (AB230230)

All lanes:

Western blot - Anti-L2HGDH antibody (ab230230) at 1/1000 dilution

All lanes:

Mouse heart tissue lysate

Secondary

All lanes:

Goat polyclonal to rabbit IgG at 1/10000 dilution

Predicted band size: 50 kDa

Observed band size: 50 kDa

false

Key facts

Host species

Rabbit

Clonality

Polyclonal

Isotype

IgG

Carrier free

No

Reacts with

Mouse, Human

Applications

WB, IHC-P

applications

Immunogen

Recombinant Fragment Protein within Human L2HGDH aa 1-250. The exact immunogen used to generate this antibody is proprietary information.

Q9H9P8

Reactivity data

{ "title": "Reactivity Data", "filters": { "stats": ["", "Species", "Dilution Info", "Notes"], "tabs": { "all-applications": {"fullname" : "All Applications", "shortname": "All Applications"}, "WB" : {"fullname" : "Western blot", "shortname":"WB"}, "IHCP" : {"fullname" : "Immunohistochemistry (Formalin/PFA-fixed paraffin-embedded sections)", "shortname":"IHC-P"} }, "product-promise": { "all": "all", "testedAndGuaranteed": "tested", "guaranteed": "expected", "predicted": "predicted", "notRecommended": "not-recommended" } }, "values": { "Human": { "WB-species-checked": "guaranteed", "WB-species-dilution-info": "", "WB-species-notes": "", "IHCP-species-checked": "testedAndGuaranteed", "IHCP-species-dilution-info": "1/20 - 1/200", "IHCP-species-notes": "<p></p>" }, "Mouse": { "WB-species-checked": "testedAndGuaranteed", "WB-species-dilution-info": "1/1000 - 1/5000", "WB-species-notes": "<p></p>", "IHCP-species-checked": "guaranteed", "IHCP-species-dilution-info": "", "IHCP-species-notes": "" }, "Orangutan": { "WB-species-checked": "predicted", "WB-species-dilution-info": "", "WB-species-notes": "", "IHCP-species-checked": "predicted", "IHCP-species-dilution-info": "", "IHCP-species-notes": "" } } }

Properties and storage information

Form
Liquid
Purification technique
Affinity purification Immunogen
Storage buffer
pH: 7.3 Preservative: 0.02% Sodium azide Constituents: PBS, 50% Glycerol (glycerin, glycerine)
Shipped at conditions
Blue Ice
Appropriate short-term storage duration
1-2 weeks
Appropriate short-term storage conditions
+4°C
Appropriate long-term storage conditions
-20°C
Aliquoting information
Upon delivery aliquot
Storage information
Avoid freeze / thaw cycle

Supplementary information

This supplementary information is collated from multiple sources and compiled automatically.

L2HGDH also known as L-2-hydroxyglutarate dehydrogenase is an enzyme that plays an important role in cellular metabolism. It catalyzes the conversion of L-2-hydroxyglutarate to alpha-ketoglutarate an important step in metabolizing alpha-hydroxy acids. The protein has an approximate molecular weight of 51 kDa. L2HGDH is predominantly expressed in the liver kidney and brain tissues where metabolic activities frequently occur.
Biological function summary

This enzyme participates in the detoxification process of L-2-hydroxyglutarate within mitochondria. L2HGDH functions independently rather than as part of a multicellular complex. The activity of this enzyme ensures that L-2-hydroxyglutarate does not accumulate which would otherwise interfere with normal cellular processes and lead to dysfunctions.

Pathways

The enzymatic action of L2HGDH integrates into the alpha-ketoglutarate metabolism and the larger tricarboxylic acid (TCA) cycle. It forms part of the process that prevents the buildup of L-2-hydroxyglutarate. Alpha-ketoglutarate which L2HGDH helps generate is an important component of the TCA cycle and therefore affects energy production within the cell. The activity of the related protein IDH2 is important as both enzymes contribute to maintaining normal levels of 2-hydroxyglutarate isomers within the cell.

Impaired function of L2HGDH can lead to L-2-hydroxyglutaric aciduria a rare neurometabolic disorder. This disorder is characterized by the accumulation of L-2-hydroxyglutarate resulting in progressive neurological symptoms. Additionally research indicates connections between L2HGDH malfunction and certain cancers owing to disrupted metabolic pathways. In some cancers mutations in L2HGDH or its related pathways involve IDH1 and IDH2 proteins which increase oncometabolite levels that promote tumorigenesis.

Product protocols

For this product, it's our understanding that no specific protocols are required. You can visit:

Publications (1)

Recent publications for all applications. Explore the full list and refine your search

Cell death and differentiation 29:1123-1136 PubMed35091692

2022

The osteoprotective role of USP26 in coordinating bone formation and resorption.

Applications

Unspecified application

Species

Unspecified reactive species

Changwei Li,Minglong Qiu,Leilei Chang,Jin Qi,Lianfang Zhang,Bernhard Ryffel,Lianfu Deng
View all publications

Product promise

We are committed to supporting your work with high-quality reagents, and we're here for you every step of the way. In the unlikely event that one of our products does not perform as expected, you're protected by our Product Promise.
For full details, please see our Terms & Conditions

Please note: All products are 'FOR RESEARCH USE ONLY. NOT FOR USE IN DIAGNOSTIC OR THERAPEUTIC PROCEDURES'.

For licensing inquiries, please contact partnerships@abcam.com