JavaScript is disabled in your browser. Please enable JavaScript to view this website.
AB203285

Anti-Lactate Dehydrogenase antibody

Be the first to review this product! Submit a review

|

(1 Publication)

Rabbit Polyclonal LDHC antibody. Suitable for IHC-P and reacts with Rat, Human samples. Cited in 1 publication. Immunogen corresponding to Synthetic Peptide within Human LDHC aa 200-300 conjugated to Keyhole Limpet Haemocyanin.

View Alternative Names

LDH3, LDHX, LDHC, L-lactate dehydrogenase C chain, LDH-C, Cancer/testis antigen 32, LDH testis subunit, LDH-X, CT32

2 Images
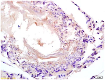
Immunohistochemistry (Formalin/PFA-fixed paraffin-embedded sections) - Anti-Lactate Dehydrogenase antibody (AB203285)
  • IHC-P

Supplier Data

Immunohistochemistry (Formalin/PFA-fixed paraffin-embedded sections) - Anti-Lactate Dehydrogenase antibody (AB203285)

Immunohistochemical analysis of formalin-fixed and paraffin embedded human rectal carcinoma tissue labeling Lactate Dehydrogenase C using ab203285 at 1/200, followed by secondary detection and DAB staining.

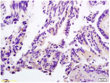
Immunohistochemistry (Formalin/PFA-fixed paraffin-embedded sections) - Anti-Lactate Dehydrogenase antibody (AB203285)
  • IHC-P

Supplier Data

Immunohistochemistry (Formalin/PFA-fixed paraffin-embedded sections) - Anti-Lactate Dehydrogenase antibody (AB203285)

Immunohistochemical analysis of formalin-fixed and paraffin embedded rat testis tissue labeling Lactate Dehydrogenase C using ab203285 at 1/200, followed by secondary detection and DAB staining.

Key facts

Host species

Rabbit

Clonality

Polyclonal

Isotype

IgG

Carrier free

No

Reacts with

Rat, Human

Applications

IHC-P

applications

Immunogen

Synthetic Peptide within Human LDHC aa 200-300 conjugated to Keyhole Limpet Haemocyanin. The exact immunogen used to generate this antibody is proprietary information.

P07864

Specificity

This antibody will cross-react with LDHA, LDHB and LDHC.

Reactivity data

{ "title": "Reactivity Data", "filters": { "stats": ["", "Species", "Dilution Info", "Notes"], "tabs": { "all-applications": {"fullname" : "All Applications", "shortname": "All Applications"}, "IHCP" : {"fullname" : "Immunohistochemistry (Formalin/PFA-fixed paraffin-embedded sections)", "shortname":"IHC-P"} }, "product-promise": { "all": "all", "testedAndGuaranteed": "tested", "guaranteed": "expected", "predicted": "predicted", "notRecommended": "not-recommended" } }, "values": { "Human": { "IHCP-species-checked": "testedAndGuaranteed", "IHCP-species-dilution-info": "1/100 - 1/500", "IHCP-species-notes": "<p>When using a fluorescent probe please use a dilution range of 1/50 - 1/200.</p>" }, "Rat": { "IHCP-species-checked": "testedAndGuaranteed", "IHCP-species-dilution-info": "1/100 - 1/500", "IHCP-species-notes": "<p>When using a fluorescent probe please use a dilution range of 1/50 - 1/200.</p>" } } }

Properties and storage information

Form
Liquid
Purification technique
Affinity purification Protein A
Storage buffer
pH: 7.4 Preservative: 0.02% Proclin 300 Constituents: 50% Glycerol (glycerin, glycerine), 48.98% TBS, 1X, 1% BSA
Shipped at conditions
Blue Ice
Appropriate short-term storage duration
1-2 weeks
Appropriate short-term storage conditions
+4°C
Appropriate long-term storage conditions
-20°C
Aliquoting information
Upon delivery aliquot
Storage information
Avoid freeze / thaw cycle

Supplementary information

This supplementary information is collated from multiple sources and compiled automatically.

Lactate dehydrogenase (LDH) is an enzyme that catalyzes the interconversion of pyruvate and lactate along with the conversion of NADH to NAD+. LDH is known by other names such as lactic acid dehydrogenase and LDH-5. The enzyme has a molecular weight of approximately 36 kDa. LDH exists in almost all tissues having multiple isoforms that are expressed differently depending on the tissue type. It shows high expression in muscle tissue liver and heart indicating its extensive role in energy metabolism.
Biological function summary

Lactate dehydrogenase plays a critical role in anaerobic glycolysis. The enzyme helps in regenerating NAD+ from NADH allowing glycolysis to continue in the absence of oxygen. LDH is not a part of any larger protein complex working independently to fulfill its function in the glycolytic pathway. It serves in rapid energy production especially under hypoxic or exertional conditions where oxygen supply is limited.

Pathways

LDH is significantly involved in the glycolysis and gluconeogenesis pathways. Within glycolysis LDH helps facilitate the conversion of pyruvate to lactate during anaerobic conditions a step important for ATP production when oxygen is scarce. The enzyme is tied closely to phosphofructokinase-1 (PFK-1) in glycolysis given that both enzymes are central to maintaining the glycolytic flow. In gluconeogenesis though functionally reversed from its role in glycolysis LDH helps to manage lactate removal an important step for glucose synthesis from non-carbohydrate sources.

Lactate dehydrogenase levels often act as a biomarker for tissue damage or certain cancers as its release into the bloodstream signals cellular injury or death. Elevated LDH levels are associated with conditions like myocardial infarction and certain forms of anemia. In cancer such as lymphoma or leukemia LDH correlates with the progression of the disease and acts as a prognostic marker. LDH's connection to these conditions often leads to insights into disease severity and progression due to its association with proteins like p53 and HIF-1 which play roles in cellular metabolism and hypoxia response.

Product protocols

For this product, it's our understanding that no specific protocols are required. You can visit:

Target data

Possible role in sperm motility.
See full target information LDHC

Publications (1)

Recent publications for all applications. Explore the full list and refine your search

Circulation. Heart failure 17:e011504 PubMed38910562

2024

Overexpression of in Cardiomyocytes Promotes Cardiac Reverse Remodeling.

Applications

Unspecified application

Species

Unspecified reactive species

Mengda Xu,Hang Zhang,Yuan Chang,Xiumeng Hua,Xiao Chen,Yixuan Sheng,Dan Shan,Mengni Bao,Shengshou Hu,Jiangping Song
View all publications

Product promise

We are committed to supporting your work with high-quality reagents, and we're here for you every step of the way. In the unlikely event that one of our products does not perform as expected, you're protected by our Product Promise.
For full details, please see our Terms & Conditions

Please note: All products are 'FOR RESEARCH USE ONLY. NOT FOR USE IN DIAGNOSTIC OR THERAPEUTIC PROCEDURES'.

For licensing inquiries, please contact partnerships@abcam.com