JavaScript is disabled in your browser. Please enable JavaScript to view this website.
AB47010

Anti-Lactate Dehydrogenase antibody

5

(8 Reviews)

|

(55 Publications)

Rabbit Polyclonal LDHA antibody. Suitable for IHC-P, IP, WB, ICC/IF and reacts with Human, Recombinant full length protein - Human samples. Cited in 55 publications.

View Alternative Names

PIG19, LDHA, L-lactate dehydrogenase A chain, LDH-A, Cell proliferation-inducing gene 19 protein, LDH muscle subunit, Renal carcinoma antigen NY-REN-59, LDH-M

8 Images
Immunohistochemistry (Formalin/PFA-fixed paraffin-embedded sections) - Anti-Lactate Dehydrogenase antibody (AB47010)
  • IHC-P

AbReview16772****

Immunohistochemistry (Formalin/PFA-fixed paraffin-embedded sections) - Anti-Lactate Dehydrogenase antibody (AB47010)

ab47010 at a 1/400 dilution staining LDHA in human skeletal muscle sections by Immunohistochemistry (formalin/PFA-fixed paraffin-embedded sections) incubated for 20 minutes at 25°C. Heat mediated antigen retrieval used, EDTA ph 9.0, 100°C for 20 minutes. Secondary used undiluted, goat anti-mouse/rabbit IgG conjugated to HRP polymer.

This image is from an anonymous abreview.

Immunocytochemistry/ Immunofluorescence - Anti-Lactate Dehydrogenase antibody (AB47010)
  • ICC/IF

Unknown

Immunocytochemistry/ Immunofluorescence - Anti-Lactate Dehydrogenase antibody (AB47010)

ICC/IF image of ab47010 stained human HeLa cells. The cells were PFA fixed (10 min), permabilised in TBS-T (20 min) and incubated with the antibody (ab47010, 1μg/ml) for 1h at room temperature. 1%BSA / 10% normal goat serum / 0.3M glycine was used to quench autofluorescence and block non-specific protein-protein interactions. The secondary antibody (green) was Alexa Fluor® 488 goat anti-rabbit IgG (H+L) used at a 1/1000 dilution for 1h. Alexa Fluor® 594 WGA was used to label plasma membranes (red). DAPI was used to stain the cell nuclei (blue).

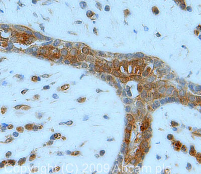
Immunohistochemistry (Formalin/PFA-fixed paraffin-embedded sections) - Anti-Lactate Dehydrogenase antibody (AB47010)
  • IHC-P

Unknown

Immunohistochemistry (Formalin/PFA-fixed paraffin-embedded sections) - Anti-Lactate Dehydrogenase antibody (AB47010)

IHC image of Lactate Dehydrogenase staining in human breast carcinoma FFPE section, performed on a Leica BondTM system using the standard protocol F. The section was pre-treated using heat mediated antigen retrieval with sodium citrate buffer (pH6, epitope retrieval solution 1) for 20 mins. The section was then incubated with ab47010, 1µg/ml, for 15 mins at room temperature and detected using an HRP conjugated compact polymer system. DAB was used as the chromogen. The section was then counterstained with haematoxylin and mounted with DPX.

Immunoprecipitation - Anti-Lactate Dehydrogenase antibody (AB47010)
  • IP

Unknown

Immunoprecipitation - Anti-Lactate Dehydrogenase antibody (AB47010)

LDHA was immunoprecipitated using 0.5mg Hela whole cell extract, 5μg of Rabbit polyclonal to LDHA and 50μl of protein G magnetic beads (+). No antibody was added to the control (-).

The antibody was incubated under agitation with Protein G beads for 10min, Hela whole cell extract lysate diluted in RIPA buffer was added to each sample and incubated for a further 10min under agitation.

Proteins were eluted by addition of 40μl SDS loading buffer and incubated for 10min at 70°C; 10μl of each sample was separated on a SDS PAGE gel, transferred to a nitrocellulose membrane, blocked with 5% BSA and probed with ab47010.

Secondary : Mouse monoclonal [SB62a] Secondary Antibody to Rabbit IgG light chain (HRP) (ab99697).

Band : 36kDa; LDHA

All lanes:

Immunoprecipitation - Anti-Lactate Dehydrogenase antibody (ab47010)

Predicted band size: 37 kDa

true

Exposure time: 12min

Western blot - Anti-Lactate Dehydrogenase antibody (AB47010)
  • WB

AbReview26601****

Western blot - Anti-Lactate Dehydrogenase antibody (AB47010)

Blocking step : 5% Milk for 1 hour at 24°C

Primary antibody incubation for 12 hours at 4°C

All lanes:

Western blot - Anti-Lactate Dehydrogenase antibody (ab47010) at 1/500 dilution

All lanes:

Zebrafish whole cell lysate at 10 µg

Secondary

All lanes:

HRP conjugated Goat anti-rabbit monoclonal secondary antibody at 1/5000 dilution

Predicted band size: 37 kDa

Observed band size: 22 kDa,36 kDa

true

Exposure time: 30s

This image is courtesy of an anonymous Abreview

Western blot - Anti-Lactate Dehydrogenase antibody (AB47010)
  • WB

Project3322****

Western blot - Anti-Lactate Dehydrogenase antibody (AB47010)

All lanes:

LDHA antibody (ab47010) at 1 µg/mL

Lane 1:

HeLa (Human epithelial carcinoma cell line) Whole Cell Lysate at 10 µg

Lane 2:

Jurkat (Human T cell lymphoblast-like cell line) Whole Cell Lysate at 10 µg

Lane 3:

A431 (Human epithelial carcinoma cell line) Whole Cell Lysate at 10 µg

Lane 4:

HEK293 Human embryonic kidney cell line Whole Cell Lysate at 10 µg

Secondary

All lanes:

IRDye 680 Conjugated Goat Anti-Rabbit IgG (H+L) at 1/10000 dilution

Predicted band size: 37 kDa

Observed band size: 36 kDa

false

Western blot - Anti-Lactate Dehydrogenase antibody (AB47010)
  • WB

Unknown

Western blot - Anti-Lactate Dehydrogenase antibody (AB47010)

All lanes:

Western blot - Anti-Lactate Dehydrogenase antibody (ab47010) at 1 µg/mL

All lanes:

Western blot - Recombinant human Lactate Dehydrogenase protein (Active) (<a href='/en-us/products/proteins-peptides/recombinant-human-lactate-dehydrogenase-protein-active-ab93699'>ab93699</a>) at 0.1 µg

Secondary

All lanes:

Western blot - Goat Anti-Rabbit IgG H&L (HRP) preadsorbed (<a href='/en-us/products/secondary-antibodies/goat-rabbit-igg-h-l-hrp-preadsorbed-ab97080'>ab97080</a>) at 1/5000 dilution

Predicted band size: 37 kDa

true

Exposure time: 10s

Western blot - Anti-Lactate Dehydrogenase antibody (AB47010)
  • WB

Supplier Data

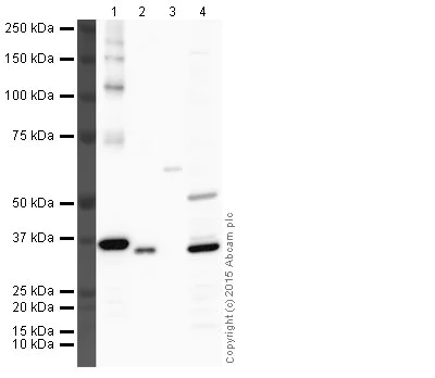
Western blot - Anti-Lactate Dehydrogenase antibody (AB47010)

Observed bands

Lane 1 : 40 kDa

Lane 2 : 37 kDa

Lane 3 : 62 kDa

Lane 4 : 37 kDa

All lanes:

Western blot - Anti-Lactate Dehydrogenase antibody (ab47010)

Lane 1:

LDHA recombinant

Lane 2:

LDHB recombinant

Lane 3:

LDHC recombinant

Lane 4:

HeLa

Predicted band size: 37 kDa

false

Exposure time: 30s

Key facts

Host species

Rabbit

Clonality

Polyclonal

Isotype

IgG

Carrier free

No

Reacts with

Human

Applications

IP, ICC/IF, IHC-P, WB

applications

Immunogen

The exact immunogen used to generate this antibody is proprietary information.

Specificity

ab47010 cross-reacts with LDHA, B and C.

Reactivity data

{ "title": "Reactivity Data", "filters": { "stats": ["", "Species", "Dilution Info", "Notes"], "tabs": { "all-applications": {"fullname" : "All Applications", "shortname": "All Applications"}, "IHCP" : {"fullname" : "Immunohistochemistry (Formalin/PFA-fixed paraffin-embedded sections)", "shortname":"IHC-P"}, "IP" : {"fullname" : "Immunoprecipitation", "shortname":"IP"}, "WB" : {"fullname" : "Western blot", "shortname":"WB"}, "ICCIF" : {"fullname" : "Immunocytochemistry/ Immunofluorescence", "shortname":"ICC/IF"} }, "product-promise": { "all": "all", "testedAndGuaranteed": "tested", "guaranteed": "expected", "predicted": "predicted", "notRecommended": "not-recommended" } }, "values": { "Human": { "IHCP-species-checked": "testedAndGuaranteed", "IHCP-species-dilution-info": "1 µg/mL", "IHCP-species-notes": "<p></p> Perform heat-mediated antigen retrieval before commencing with IHC staining protocol.", "IP-species-checked": "testedAndGuaranteed", "IP-species-dilution-info": "5 µg/mL", "IP-species-notes": "<p></p>", "WB-species-checked": "testedAndGuaranteed", "WB-species-dilution-info": "1 µg/mL", "WB-species-notes": "<p></p>", "ICCIF-species-checked": "testedAndGuaranteed", "ICCIF-species-dilution-info": "1 µg/mL", "ICCIF-species-notes": "<p></p>" }, "Mouse": { "IHCP-species-checked": "predicted", "IHCP-species-dilution-info": "", "IHCP-species-notes": "", "IP-species-checked": "predicted", "IP-species-dilution-info": "", "IP-species-notes": "", "WB-species-checked": "predicted", "WB-species-dilution-info": "", "WB-species-notes": "", "ICCIF-species-checked": "predicted", "ICCIF-species-dilution-info": "", "ICCIF-species-notes": "" }, "Chimpanzee": { "IHCP-species-checked": "predicted", "IHCP-species-dilution-info": "", "IHCP-species-notes": "", "IP-species-checked": "predicted", "IP-species-dilution-info": "", "IP-species-notes": "", "WB-species-checked": "predicted", "WB-species-dilution-info": "", "WB-species-notes": "", "ICCIF-species-checked": "predicted", "ICCIF-species-dilution-info": "", "ICCIF-species-notes": "" }, "Chinese hamster": { "IHCP-species-checked": "predicted", "IHCP-species-dilution-info": "", "IHCP-species-notes": "", "IP-species-checked": "predicted", "IP-species-dilution-info": "", "IP-species-notes": "", "WB-species-checked": "predicted", "WB-species-dilution-info": "", "WB-species-notes": "", "ICCIF-species-checked": "predicted", "ICCIF-species-dilution-info": "", "ICCIF-species-notes": "" }, "Rabbit": { "IHCP-species-checked": "predicted", "IHCP-species-dilution-info": "", "IHCP-species-notes": "", "IP-species-checked": "predicted", "IP-species-dilution-info": "", "IP-species-notes": "", "WB-species-checked": "predicted", "WB-species-dilution-info": "", "WB-species-notes": "", "ICCIF-species-checked": "predicted", "ICCIF-species-dilution-info": "", "ICCIF-species-notes": "" }, "Recombinant full length protein - Human": { "IHCP-species-checked": "notRecommended", "IHCP-species-dilution-info": "", "IHCP-species-notes": "", "IP-species-checked": "notRecommended", "IP-species-dilution-info": "", "IP-species-notes": "", "WB-species-checked": "testedAndGuaranteed", "WB-species-dilution-info": "1 µg/mL", "WB-species-notes": "<p></p>", "ICCIF-species-checked": "notRecommended", "ICCIF-species-dilution-info": "", "ICCIF-species-notes": "" }, "Zebrafish": { "IHCP-species-checked": "predicted", "IHCP-species-dilution-info": "", "IHCP-species-notes": "", "IP-species-checked": "predicted", "IP-species-dilution-info": "", "IP-species-notes": "", "WB-species-checked": "predicted", "WB-species-dilution-info": "", "WB-species-notes": "", "ICCIF-species-checked": "predicted", "ICCIF-species-dilution-info": "", "ICCIF-species-notes": "" } } }

Properties and storage information

Form
Liquid
Purification technique
Affinity purification Immunogen
Storage buffer
pH: 7.4 Preservative: 0.02% Sodium azide Constituents: PBS, 1% BSA
Shipped at conditions
Blue Ice
Appropriate short-term storage duration
1-2 weeks
Appropriate short-term storage conditions
+4°C
Appropriate long-term storage conditions
-20°C
Aliquoting information
Upon delivery aliquot
Storage information
Avoid freeze / thaw cycle

Supplementary information

This supplementary information is collated from multiple sources and compiled automatically.

Lactate dehydrogenase (LDH) is an enzyme that catalyzes the interconversion of pyruvate and lactate along with the conversion of NADH to NAD+. LDH is known by other names such as lactic acid dehydrogenase and LDH-5. The enzyme has a molecular weight of approximately 36 kDa. LDH exists in almost all tissues having multiple isoforms that are expressed differently depending on the tissue type. It shows high expression in muscle tissue liver and heart indicating its extensive role in energy metabolism.
Biological function summary

Lactate dehydrogenase plays a critical role in anaerobic glycolysis. The enzyme helps in regenerating NAD+ from NADH allowing glycolysis to continue in the absence of oxygen. LDH is not a part of any larger protein complex working independently to fulfill its function in the glycolytic pathway. It serves in rapid energy production especially under hypoxic or exertional conditions where oxygen supply is limited.

Pathways

LDH is significantly involved in the glycolysis and gluconeogenesis pathways. Within glycolysis LDH helps facilitate the conversion of pyruvate to lactate during anaerobic conditions a step important for ATP production when oxygen is scarce. The enzyme is tied closely to phosphofructokinase-1 (PFK-1) in glycolysis given that both enzymes are central to maintaining the glycolytic flow. In gluconeogenesis though functionally reversed from its role in glycolysis LDH helps to manage lactate removal an important step for glucose synthesis from non-carbohydrate sources.

Lactate dehydrogenase levels often act as a biomarker for tissue damage or certain cancers as its release into the bloodstream signals cellular injury or death. Elevated LDH levels are associated with conditions like myocardial infarction and certain forms of anemia. In cancer such as lymphoma or leukemia LDH correlates with the progression of the disease and acts as a prognostic marker. LDH's connection to these conditions often leads to insights into disease severity and progression due to its association with proteins like p53 and HIF-1 which play roles in cellular metabolism and hypoxia response.

Product protocols

For this product, it's our understanding that no specific protocols are required. You can visit:

Target data

Interconverts simultaneously and stereospecifically pyruvate and lactate with concomitant interconversion of NADH and NAD(+).
See full target information LDHA

Publications (55)

Recent publications for all applications. Explore the full list and refine your search

Journal of translational medicine 23:923 PubMed40826409

2025

Metabolic interplay between endometrial cancer and tumor-associated macrophages: lactate-induced M2 polarization enhances tumor progression.

Applications

Unspecified application

Species

Unspecified reactive species

Xiaodie Liu,Heming Sun,Jing Liang,Huan Yu,Ming Xue,Yuebo Li,Wenhui Li,Ying Xu,Bin Ling,Dingqing Feng

American journal of cancer research 15:2353-2374 PubMed40520857

2025

Circular RNA hsa_circ_103089 modulates metabolic glycolysis and influences migration, invasion, and cisplatin sensitivity in non-small cell lung cancer cells via the miR-876-5p/EGFR axis.

Applications

Unspecified application

Species

Unspecified reactive species

Yong Zhou,Xiaoxiao Zhu,Zhongkai Tong,Cenli Wang,Xiaofei Liang,Zhenyan Li,Lin He,Chunli Wu,Zhaoxing Dong

Cell death & disease 16:231 PubMed40169556

2025

Mechanical sensing protein PIEZO1 controls osteoarthritis via glycolysis mediated mesenchymal stem cells-Th17 cells crosstalk.

Applications

Unspecified application

Species

Unspecified reactive species

Yikun Zhou,Mingzhao Li,Shuai Lin,Zilu Zhu,Zimeng Zhuang,Shengjie Cui,Liujing Chen,Ran Zhang,Xuedong Wang,Bo Shen,Chider Chen,Ruili Yang

Pharmaceutics 17: PubMed40142944

2025

Hydrogen-Releasing Micromaterial Dressings: Promoting Wound Healing by Modulating Extracellular Matrix Accumulation Through Wnt/β-Catenin and TGF-β/Smad Pathways.

Applications

Unspecified application

Species

Unspecified reactive species

Pengxiang Zhao,Yufei Li,Boyuan Guo,Ziyi Liu,Xujuan Zhang,Mengyu Liu,Xuemei Ma

Histology and histopathology 40:1275-1285 PubMed39679449

2024

Tumor necrosis factor receptor-associated protein 1 promotes aerobic glycolysis and cisplatin resistance by regulating the Wnt/β-catenin signaling pathway in lung cancer.

Applications

Unspecified application

Species

Unspecified reactive species

Ruijie Li,Mengguo Lv,Juan Liu,Qian Sun

Cell death & disease 15:532 PubMed39060229

2024

PPAR-γ/NF-kB/AQP3 axis in M2 macrophage orchestrates lung adenocarcinoma progression by upregulating IL-6.

Applications

Unspecified application

Species

Unspecified reactive species

Guofu Lin,Lanlan Lin,Xiaohui Chen,Luyang Chen,Jiansheng Yang,Yanling Chen,Danwen Qian,Yiming Zeng,Yuan Xu

Frontiers in immunology 15:1362289 PubMed38812523

2024

The cholera toxin B subunit induces trained immunity in dendritic cells and promotes CD8 T cell antitumor immunity.

Applications

Unspecified application

Species

Unspecified reactive species

Araceli Tepale-Segura,Julián A Gajón,Samira Muñoz-Cruz,Octavio Castro-Escamilla,Laura C Bonifaz

Nature communications 15:3445 PubMed38658533

2024

Wild-type IDH2 is a therapeutic target for triple-negative breast cancer.

Applications

Unspecified application

Species

Unspecified reactive species

Jiang-Jiang Li,Tiantian Yu,Peiting Zeng,Jingyu Tian,Panpan Liu,Shuang Qiao,Shijun Wen,Yumin Hu,Qiao Liu,Wenhua Lu,Hui Zhang,Peng Huang

Molecular oncology 18:2212-2233 PubMed38425123

2024

Vitamin-C-dependent downregulation of the citrate metabolism pathway potentiates pancreatic ductal adenocarcinoma growth arrest.

Applications

Unspecified application

Species

Unspecified reactive species

Aiora Cenigaonandia-Campillo,Ana Garcia-Bautista,Anxo Rio-Vilariño,Arancha Cebrian,Laura Del Puerto,José Antonio Pellicer,José Antonio Gabaldón,Horacio Pérez-Sánchez,Miguel Carmena-Bargueño,Carolina Meroño,Javier Traba,María Jesús Fernandez-Aceñero,Natalia Baños-Herraiz,Lorena Mozas-Vivar,Estrella Núñez-Delicado,Jesús Garcia-Foncillas,Óscar Aguilera

FASEB journal : official publication of the Federation of American Societies for Experimental Biology 37:e23316 PubMed37983890

2023

Lactate produced by alveolar type II cells suppresses inflammatory alveolar macrophages in acute lung injury.

Applications

Unspecified application

Species

Unspecified reactive species

René M Roy,Ayed Allawzi,Nana Burns,Christina Sul,Victoria Rubio,Jessica Graham,Kurt Stenmark,Eva S Nozik,Rubin M Tuder,Christine U Vohwinkel
View all publications

Product promise

We are committed to supporting your work with high-quality reagents, and we're here for you every step of the way. In the unlikely event that one of our products does not perform as expected, you're protected by our Product Promise.
For full details, please see our Terms & Conditions

Please note: All products are 'FOR RESEARCH USE ONLY. NOT FOR USE IN DIAGNOSTIC OR THERAPEUTIC PROCEDURES'.

For licensing inquiries, please contact partnerships@abcam.com