JavaScript is disabled in your browser. Please enable JavaScript to view this website.
AB325119

Anti-Lactoferrin antibody [EPR30217-521R]

Be the first to review this product! Submit a review

|

(0 Publication)

Rabbit Recombinant Monoclonal Lactoferrin antibody. Suitable for Flow Cyt (Intra), ICC/IF, IHC-P, WB and reacts with Mouse samples.

View Alternative Names

Lactotransferrin, Lactoferrin, Ltf

9 Images
Flow Cytometry (Intracellular) - Anti-Lactoferrin antibody [EPR30217-521R] (AB325119)
  • Flow Cyt (Intra)

Supplier Data

Flow Cytometry (Intracellular) - Anti-Lactoferrin antibody [EPR30217-521R] (AB325119)

Flow cytometric analysis of 4% paraformaldehyde fixed 0.1% Tween-20 permeabilized Mouse bone marrow cells labelling Lactoferrin with ab325119 at 1/5000 dilution (0.01 ug) / Right compared with a Rabbit monoclonal IgG (ab172730) / Left isotype control.

Goat Anti-Rabbit IgG (Alexa Fluor® 488, ab150081) at 1/5000 dilution was used as the secondary antibody.

Cells were stained with anti-CD3 conjugated to Alexa Fluor®647. Then fixed with 4% PFA for 10 min followed by intracellularly staining with rabbit IgG or our antibody.

Flow Cytometry (Intracellular) - Anti-Lactoferrin antibody [EPR30217-521R] (AB325119)
  • Flow Cyt (Intra)

Supplier Data

Flow Cytometry (Intracellular) - Anti-Lactoferrin antibody [EPR30217-521R] (AB325119)

Flow cytometric analysis of 4% paraformaldehyde fixed 0.1% Tween-20 permeabilized Mouse bone marrow cells labelling Lactoferrin with ab325119 at 1/5000 dilution (0.01 ug) / Right compared with a Rabbit monoclonal IgG (ab172730) / Left isotype control.

Goat Anti-Rabbit IgG (Alexa Fluor® 488, ab150081) at 1/5000 dilution was used as the secondary antibody.

Cells were stained with anti-Gr-1 conjugated to Pacific Blue. Then fixed with 4% PFA for 10 min followed by intracellularly staining with rabbit IgG or our antibody.

Flow Cytometry (Intracellular) - Anti-Lactoferrin antibody [EPR30217-521R] (AB325119)
  • Flow Cyt (Intra)

Supplier Data

Flow Cytometry (Intracellular) - Anti-Lactoferrin antibody [EPR30217-521R] (AB325119)

Flow cytometric analysis of 4% paraformaldehyde fixed 0.1% Tween-20 permeabilized Mouse bone marrow cells labelling Lactoferrin with ab325119 at 1/5000 dilution (0.01 ug) / Right compared with a Rabbit monoclonal IgG (ab172730) / Left isotype control.

Goat Anti-Rabbit IgG (Alexa Fluor® 488, ab150081) at 1/5000 dilution was used as the secondary antibody.

Cells were stained with anti-CD11b conjugated to Brilliant Violet 421. Then fixed with 4% PFA for 10 min followed by intracellularly staining with rabbit IgG or our antibody.

Immunocytochemistry/ Immunofluorescence - Anti-Lactoferrin antibody [EPR30217-521R] (AB325119)
  • ICC/IF

Supplier Data

Immunocytochemistry/ Immunofluorescence - Anti-Lactoferrin antibody [EPR30217-521R] (AB325119)

Immunofluorescent analysis of 4% Paraformaldehyde-fixed, 0.1% Tween-20 permeabilized Mouse bone marrow cells labelling Lactoferrin with ab325119 at 1/50000 (0.01 ug/ml) dilution, followed by ab150081 Goat Anti-Rabbit IgG H&L (Alexa Fluor® 488) preadsorbed antibody at 1/1000 dilution (Green).

Confocal image showing cytoplasmic staining in subset of CD11b+mouse bone marrows (shown in green). The counterstain was observed in magenta. Nuclear DNA was labelled with DAPI (shown in blue). Image was taken with a confocal microscope (Leica-Microsystems, TCS SP8).

ab8878 Anti-CD11b Rat monoclonal antibody was used to counterstain CD11b at 1/200 dilution, followed by ab150160 Goat Anti-Rat IgG H&L (Alexa Fluor® 594) antibody at 1/1000 dilution. (Magenta).

-ve control 1 : ab325119 at 1/50000 dilution, followed by ab150160 Goat Anti-Rat IgG H&L (Alexa Fluor® 594) antibody at 1/1000 dilution.
-ve control 2 : ab8878 at 1/200 dilution, followed by ab150081 Goat Anti-Rabbit IgG H&L (Alexa Fluor® 488) antibody at 1/1000 dilution.

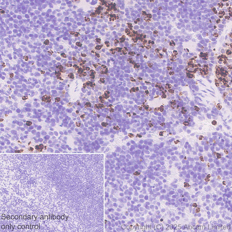
Immunohistochemistry (Formalin/PFA-fixed paraffin-embedded sections) - Anti-Lactoferrin antibody [EPR30217-521R] (AB325119)
  • IHC-P

Supplier Data

Immunohistochemistry (Formalin/PFA-fixed paraffin-embedded sections) - Anti-Lactoferrin antibody [EPR30217-521R] (AB325119)

Immunohistochemical analysis of paraffin-embedded Mouse spleen tissue labeling Lactoferrin with ab325119 at 1/2000 (0.256 ug/ml) dilution, followed by a ready to use LeicaDS9800 (Bond™ Polymer Refine Detection).

Positive staining on neutrophils in mouse spleen. The primary antibody was incubated for 30 mins at room temperature.
The immunostaining was performed on a Leica Biosystems BOND® RX instrument

Counterstained with Hematoxylin.

Secondary antibody only control : Secondary antibody is a ready to use LeicaDS9800 (Bond™ Polymer Refine Detection).

Heat mediated antigen retrieval was performed with Tris-EDTA buffer (pH 9.0, Epitope Retrieval Solution2) for 20 mins

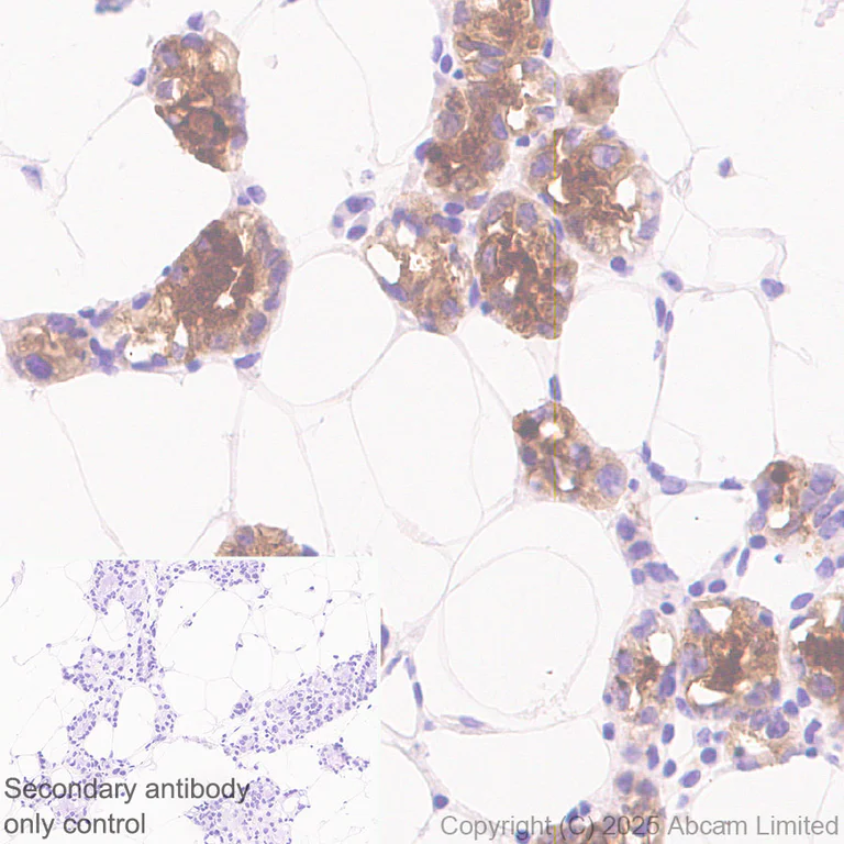
Immunohistochemistry (Formalin/PFA-fixed paraffin-embedded sections) - Anti-Lactoferrin antibody [EPR30217-521R] (AB325119)
  • IHC-P

Supplier Data

Immunohistochemistry (Formalin/PFA-fixed paraffin-embedded sections) - Anti-Lactoferrin antibody [EPR30217-521R] (AB325119)

Immunohistochemical analysis of paraffin-embedded Mouse breast tissue labeling Lactoferrin with ab325119 at 1/2000 (0.256 ug/ml) dilution, followed by a ready to use LeicaDS9800 (Bond™ Polymer Refine Detection).

Positive staining on mouse breast. The primary antibody was incubated for 30 mins at room temperature.
The immunostaining was performed on a Leica Biosystems BOND® RX instrument

Counterstained with Hematoxylin.

Secondary antibody only control : Secondary antibody is a ready to use LeicaDS9800 (Bond™ Polymer Refine Detection).

Heat mediated antigen retrieval was performed with Tris-EDTA buffer (pH 9.0, Epitope Retrieval Solution2) for 20 mins

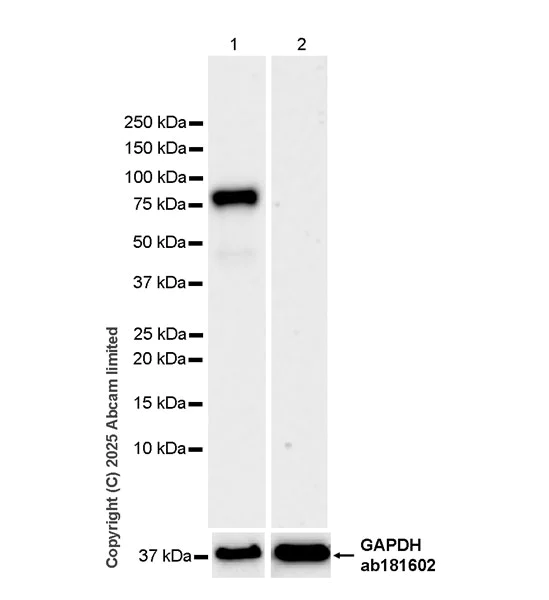
Western blot - Anti-Lactoferrin antibody [EPR30217-521R] (AB325119)
  • WB

Supplier Data

Western blot - Anti-Lactoferrin antibody [EPR30217-521R] (AB325119)

Blocking and diluting buffer and concentration : 5% NFDM/TBST.

Low expression : brain

To minimize protein degradation, tissues were lysed immediately after harvest and then applied to a gel and transfer membrane for Western blotting as soon as possible.

In Western blot, Anti-GAPDH antibody [EPR16891] - Loading Control (ab181602) staining at 1/200000 dilution.

All lanes:

Western blot - Anti-Lactoferrin antibody [EPR30217-521R] (ab325119) at 1/1000 dilution

Lane 1:

Mouse spleen tissue lysate at 20 µg

Lane 2:

Mouse brain tissue lysate at 20 µg

Secondary

All lanes:

Western blot - Goat Anti-Rabbit IgG H&L (HRP) (<a href='/en-us/products/secondary-antibodies/goat-rabbit-igg-h-l-hrp-ab97051'>ab97051</a>) at 1/20000 dilution

Observed band size: 77 kDa,36 kDa

false

Exposure time: 59s

Western blot - Anti-Lactoferrin antibody [EPR30217-521R] (AB325119)
  • WB

Supplier Data

Western blot - Anti-Lactoferrin antibody [EPR30217-521R] (AB325119)

Blocking and diluting buffer and concentration : 5% NFDM/TBST.

Low expression : liver

In Western blot, Anti-GAPDH antibody [EPR16891] - Loading Control (ab181602) staining at 1/200000 dilution.

All lanes:

Western blot - Anti-Lactoferrin antibody [EPR30217-521R] (ab325119) at 1/1000 dilution

All lanes:

Mouse breast tissue lysate at 20 µg

Secondary

All lanes:

Western blot - Goat Anti-Rabbit IgG H&L (HRP) (<a href='/en-us/products/secondary-antibodies/goat-rabbit-igg-h-l-hrp-ab97051'>ab97051</a>) at 1/100000 dilution

Observed band size: 77 kDa,36 kDa

false

Exposure time: 26s

Immunohistochemistry (Formalin/PFA-fixed paraffin-embedded sections) - Anti-Lactoferrin antibody [EPR30217-521R] (AB325119)
  • IHC-P

Supplier Data

Immunohistochemistry (Formalin/PFA-fixed paraffin-embedded sections) - Anti-Lactoferrin antibody [EPR30217-521R] (AB325119)

Immunohistochemical analysis of paraffin-embedded Mouse cerebrum tissue labeling Lactoferrin with ab325119 at 1/2000 (0.256 ug/ml) dilution, followed by a ready to use LeicaDS9800 (Bond™ Polymer Refine Detection).

Low expression : no staining on mouse cerebrum. The primary antibody was incubated for 30 mins at room temperature.
The immunostaining was performed on a Leica Biosystems BOND® RX instrument

Counterstained with Hematoxylin.

Secondary antibody only control : Secondary antibody is a ready to use LeicaDS9800 (Bond™ Polymer Refine Detection).

Heat mediated antigen retrieval was performed with Tris-EDTA buffer (pH 9.0, Epitope Retrieval Solution2) for 20 mins

Key facts

Host species

Rabbit

Clonality

Monoclonal

Clone number

EPR30217-521R

Isotype

IgG

Carrier free

No

Reacts with

Mouse

Applications

Flow Cyt (Intra), WB, ICC/IF, IHC-P

applications

Immunogen

The exact immunogen used to generate this antibody is proprietary information.

Reactivity data

{ "title": "Reactivity Data", "filters": { "stats": ["", "Species", "Dilution Info", "Notes"], "tabs": { "all-applications": {"fullname" : "All Applications", "shortname": "All Applications"}, "FlowCytIntra" : {"fullname" : "Flow Cytometry (Intracellular)", "shortname":"Flow Cyt (Intra)"}, "ICCIF" : {"fullname" : "Immunocytochemistry/ Immunofluorescence", "shortname":"ICC/IF"}, "IHCP" : {"fullname" : "Immunohistochemistry (Formalin/PFA-fixed paraffin-embedded sections)", "shortname":"IHC-P"}, "WB" : {"fullname" : "Western blot", "shortname":"WB"} }, "product-promise": { "all": "all", "testedAndGuaranteed": "tested", "guaranteed": "expected", "predicted": "predicted", "notRecommended": "not-recommended" } }, "values": { "Mouse": { "FlowCytIntra-species-checked": "testedAndGuaranteed", "FlowCytIntra-species-dilution-info": "1/5000", "FlowCytIntra-species-notes": "<p></p>", "ICCIF-species-checked": "testedAndGuaranteed", "ICCIF-species-dilution-info": "1/50000", "ICCIF-species-notes": "<p></p>", "IHCP-species-checked": "testedAndGuaranteed", "IHCP-species-dilution-info": "1/2000", "IHCP-species-notes": "<p></p> Perform heat-mediated antigen retrieval with Tris/EDTA buffer pH 9.0 before commencing with IHC staining protocol.", "WB-species-checked": "testedAndGuaranteed", "WB-species-dilution-info": "1/1000", "WB-species-notes": "<p></p>" } } }

Product details

Patented technology
Our RabMAb® technology is a patented hybridoma-based technology for making rabbit monoclonal antibodies. For details on our patents, please refer to RabMAb® patents.

What are the advantages of a recombinant monoclonal antibody?
This product is a recombinant monoclonal antibody, which offers several advantages including:

  • - High batch-to-batch consistency and reproducibility
  • - Improved sensitivity and specificity
  • - Long-term security of supply
  • - Animal-free batch production

For more information, read more on recombinant antibodies.

Properties and storage information

Form
Liquid
Purification technique
Affinity purification Protein A
Storage buffer
pH: 7.2 - 7.4 Preservative: 0.01% Sodium azide Constituents: PBS, 40% Glycerol (glycerin, glycerine), 0.05% BSA
Shipped at conditions
Blue Ice
Appropriate short-term storage duration
1-2 weeks
Appropriate short-term storage conditions
+4°C
Appropriate long-term storage conditions
-20°C
Aliquoting information
Upon delivery aliquot
Storage information
Avoid freeze / thaw cycle

Product protocols

For this product, it's our understanding that no specific protocols are required. You can visit:

Target data

Transferrins are iron binding transport proteins which can bind two Fe(3+) ions in association with the binding of an anion, usually bicarbonate.. Lactotransferrin. Major iron-binding and multifunctional protein found in exocrine fluids such as breast milk and mucosal secretions. Has antimicrobial activity, which depends on the extracellular cation concentration. Antimicrobial properties include bacteriostasis, which is related to its ability to sequester free iron and thus inhibit microbial growth, as well as direct bactericidal properties leading to the release of lipopolysaccharides from the bacterial outer membrane. Can also prevent bacterial biofilm development in P.aeruginosa infection. Has weak antifungal activity against C.albicans. Has anabolic, differentiating and anti-apoptotic effects on osteoblasts and can also inhibit osteoclastogenesis, possibly playing a role in the regulation of bone growth. Promotes binding of species C adenoviruses to epithelial cells, promoting adenovirus infection. Can inhibit papillomavirus infections. Stimulates the TLR4 signaling pathway leading to NF-kappa-B activation and subsequent pro-inflammatory cytokine production while also interfering with the lipopolysaccharide (LPS)-stimulated TLR4 signaling. Inhibits neutrophil granulocyte migration to sites of apoptosis, when secreted by apoptotic cells. Stimulates VEGFA-mediated endothelial cell migration and proliferation. Binds heparin, chondroitin sulfate and possibly other glycosaminoglycans (GAGs). Also binds specifically to pneumococcal surface protein A (PspA), the lipid A portion of bacterial lipopolysaccharide (LPS), lysozyme and DNA.. Lactoferricin binds to the bacterial surface and is crucial for the bactericidal functions. Has some antiviral activity against papillomavirus infection. N-terminal region shows strong antifungal activity against C.albicans. Contains two BBXB heparin-binding consensus sequences that appear to form the predominate functional GAG-binding site.. The lactotransferrin transferrin-like domain 1 functions as a serine protease of the peptidase S60 family that cuts arginine rich regions. This function contributes to the antimicrobial activity. Shows a preferential cleavage at -Arg-Ser-Arg-Arg-|- and -Arg-Arg-Ser-Arg-|-, and of Z-Phe-Arg-|-aminomethylcoumarin sites.
See full target information Ltf

Product promise

We are committed to supporting your work with high-quality reagents, and we're here for you every step of the way. In the unlikely event that one of our products does not perform as expected, you're protected by our Product Promise.
For full details, please see our Terms & Conditions

Please note: All products are 'FOR RESEARCH USE ONLY. NOT FOR USE IN DIAGNOSTIC OR THERAPEUTIC PROCEDURES'.

For licensing inquiries, please contact partnerships@abcam.com