JavaScript is disabled in your browser. Please enable JavaScript to view this website.
AB151456

Anti-LAE antibody

Be the first to review this product! Submit a review

|

(1 Publication)

Rabbit Polyclonal LAE antibody. Suitable for WB, IHC-P and reacts with Human samples. Cited in 1 publication. Immunogen corresponding to Recombinant Fragment Protein within Human ACSM1 aa 1-300.

View Alternative Names

BUCS1, LAE, MACS1, ACSM1, Acyl-CoA synthetase medium-chain family member 1, Benzoate--CoA ligase, Butyrate--CoA ligase 1, Butyryl-coenzyme A synthetase 1, Lipoate-activating enzyme, Middle-chain acyl-CoA synthetase 1, Xenobiotic/medium-chain fatty acid-CoA ligase HXM-B

2 Images
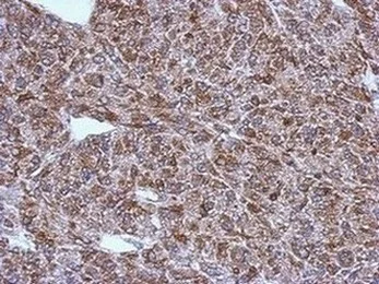
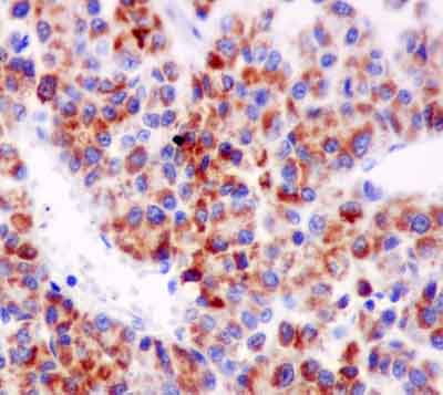
Immunohistochemistry (Formalin/PFA-fixed paraffin-embedded sections) - Anti-LAE antibody (AB151456)
  • IHC-P

Unknown

Immunohistochemistry (Formalin/PFA-fixed paraffin-embedded sections) - Anti-LAE antibody (AB151456)

Immunohistochemical analysis of paraffin embedded U87 xenograft tissue labeling LAE with ab151456 at 1/500.

Western blot - Anti-LAE antibody (AB151456)
  • WB

Unknown

Western blot - Anti-LAE antibody (AB151456)

7.5% SDS PAGE

All lanes:

Western blot - Anti-LAE antibody (ab151456) at 1/1000 dilution

Lane 1:

Jurkat whole cell lysate at 30 µg

Lane 2:

Raji whole cell lysate at 30 µg

Lane 3:

THP1 whole cell lysate at 30 µg

Predicted band size: 65 kDa,88 kDa

false

Key facts

Host species

Rabbit

Clonality

Polyclonal

Isotype

IgG

Carrier free

No

Reacts with

Human

Applications

IHC-P, WB

applications

Immunogen

Recombinant Fragment Protein within Human ACSM1 aa 1-300. The exact immunogen used to generate this antibody is proprietary information.

Q08AH1

Reactivity data

{ "title": "Reactivity Data", "filters": { "stats": ["", "Species", "Dilution Info", "Notes"], "tabs": { "all-applications": {"fullname" : "All Applications", "shortname": "All Applications"}, "WB" : {"fullname" : "Western blot", "shortname":"WB"}, "IHCP" : {"fullname" : "Immunohistochemistry (Formalin/PFA-fixed paraffin-embedded sections)", "shortname":"IHC-P"} }, "product-promise": { "all": "all", "testedAndGuaranteed": "tested", "guaranteed": "expected", "predicted": "predicted", "notRecommended": "not-recommended" } }, "values": { "Human": { "WB-species-checked": "testedAndGuaranteed", "WB-species-dilution-info": "1/500 - 1/3000", "WB-species-notes": "<p></p>", "IHCP-species-checked": "testedAndGuaranteed", "IHCP-species-dilution-info": "1/100 - 1/1000", "IHCP-species-notes": "<p></p>" } } }

Properties and storage information

Form
Liquid
Purification technique
Affinity purification Immunogen
Storage buffer
pH: 7 Preservative: 0.01% Thimerosal (merthiolate) Constituents: 20% Glycerol (glycerin, glycerine), 1.21% Tris, 0.75% Glycine
Shipped at conditions
Blue Ice
Appropriate short-term storage conditions
+4°C
Appropriate long-term storage conditions
-20°C
Aliquoting information
Upon delivery aliquot
Storage information
Avoid freeze / thaw cycle

Supplementary information

This supplementary information is collated from multiple sources and compiled automatically.

The target LAE also known by some researchers as HXLM is a notable protein with a mass typically around 58 kDa. It is located throughout various tissues but shows high expression levels in the liver and kidneys. Specifically LAE is recognized for its binding affinity and interaction with several cellular substrates playing a direct role in various cellular activities. The protein's structural characteristics allow it to engage in essential biochemical reactions within the cell.
Biological function summary

LAE contributes significantly to cellular metabolism and regulation processes. It is part of a multimeric complex where it functions collaboratively with other proteins to maintain cellular balance. LAE is involved in energy production and molecule conversion making it critical in supporting cells under stress conditions. Its complex formation aids in transporting molecules across the cell membrane linking it to essential cellular operations.

Pathways

LAE interacts predominantly with the glycolysis and gluconeogenesis pathways. In these pathways it associates with the enzyme hexokinase assisting in glucose breakdown and synthesis. This protein's involvement ensures efficient energy circulation and utilization within the cell. Additionally LAE connects with phosphofructokinase in modulating pathway activities highlighting its influence on broader metabolic functions.

LAE has strong connections to diabetes and renal dysfunction. Dysregulation of this protein can result in abnormal glucose metabolism a hallmark of diabetic conditions. When linked to disorders LAE's relationship with insulin-like growth factor binding protein plays a part in managing glucose levels and kidney health. Such associations deepen the understanding of LAE's potential as a therapeutic target in treating metabolic and renal diseases.

Product protocols

For this product, it's our understanding that no specific protocols are required. You can visit:

Target data

Catalyzes the activation of fatty acids by CoA to produce an acyl-CoA, the first step in fatty acid metabolism (PubMed : 10434065). Capable of activating medium-chain fatty acids (e.g. butyric (C4) to decanoic (C10) acids), and certain carboxylate-containing xenobiotics, e.g. benzoate (PubMed : 10434065). Also catalyzes the activation of lipoate to lipoyl-nucleoside monophosphate (By similarity). Activates lipoate with GTP at a 1000-fold higher rate than with ATP and activates both (R)- and (S)-lipoate to the respective lipoyl-GMP, with a preference for (R)-lipoate (By similarity).
See full target information ACSM1

Publications (1)

Recent publications for all applications. Explore the full list and refine your search

Brain : a journal of neurology 148:1588-1603 PubMed39546628

2024

Single-nucleus transcriptomics reveals disease- and pathology-specific signatures in α-synucleinopathies.

Applications

Unspecified application

Species

Unspecified reactive species

Gonzalo S Nido,Martina Castelli,Sepideh Mostafavi,Anna Rubiolo,Omnia Shadad,Guido Alves,Ole-Bjørn Tysnes,Irene H Flønes,Christian Dölle,Charalampos Tzoulis
View all publications

Product promise

We are committed to supporting your work with high-quality reagents, and we're here for you every step of the way. In the unlikely event that one of our products does not perform as expected, you're protected by our Product Promise.
For full details, please see our Terms & Conditions

Please note: All products are 'FOR RESEARCH USE ONLY. NOT FOR USE IN DIAGNOSTIC OR THERAPEUTIC PROCEDURES'.

For licensing inquiries, please contact partnerships@abcam.com