JavaScript is disabled in your browser. Please enable JavaScript to view this website.
AB237718

Anti-LAG-3 antibody [CAL25]

Be the first to review this product! Submit a review

|

(2 Publications)

Rabbit Recombinant Monoclonal LAG-3 antibody. Suitable for IP, Flow Cyt (Intra), WB, IHC-P and reacts with Human samples. Cited in 2 publications.

View Alternative Names

CD223, FDC, LAG3, Lymphocyte activation gene 3 protein, LAG-3

7 Images
Immunohistochemistry (Formalin/PFA-fixed paraffin-embedded sections) - Anti-LAG-3 antibody [CAL25] (AB237718)
  • IHC-P

Supplier Data

Immunohistochemistry (Formalin/PFA-fixed paraffin-embedded sections) - Anti-LAG-3 antibody [CAL25] (AB237718)

Formalin-fixed, paraffin-embedded human tonsil tissue stained for LAG-3 using ab237718 at 0.3 μg/ml in immunohistochemical analysis.

Immunohistochemistry (Formalin/PFA-fixed paraffin-embedded sections) - Anti-LAG-3 antibody [CAL25] (AB237718)
  • IHC-P

Supplier Data

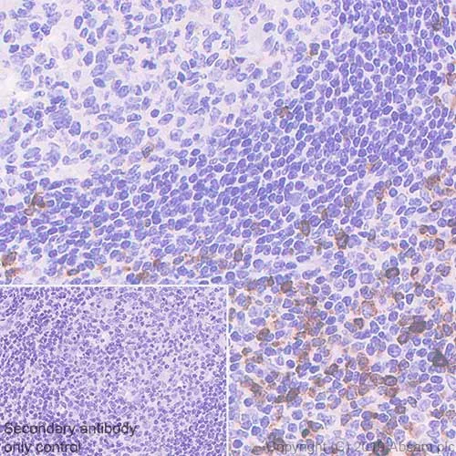
Immunohistochemistry (Formalin/PFA-fixed paraffin-embedded sections) - Anti-LAG-3 antibody [CAL25] (AB237718)

Immunohistochemical analysis of paraffin-embedded human tonsil tissue labeling LAG-3 using ab237718 at 1/800 dilution, followed by a ready to use Goat Anti-Rabbit IgG H&L (HRP). Positive staining on the human tonsil is observed. The section was incubated with ab237718 for 15 mins at room temperature. The immunostaining was performed on a Leica Biosystems BOND® RX instrument. Counterstained with Hematoxylin.

Secondary antibody only control : Used PBS instead of primary antibody, secondary antibody is a ready to use Goat Anti-Rabbit IgG H&L (HRP).

Flow Cytometry (Intracellular) - Anti-LAG-3 antibody [CAL25] (AB237718)
  • Flow Cyt (Intra)

Supplier Data

Flow Cytometry (Intracellular) - Anti-LAG-3 antibody [CAL25] (AB237718)

Flow cytometric analysis of 2% paraformaldehyde-fixed 0.1% Tween-20 permeabilized Human peripheral blood mononuclear cells (PBMC) treated with 10μg/ml PHA for 48h labeling LAG-3 with ab237718 at 1/50 dilution (Right) compared to a Rabbit monoclonal IgG (ab172730, Left). Goat anti rabbit IgG (Alexa Fluor® 488, ab150097) was used as the secondary at 1/5000 dilution.

Cells were surface stained with anti-CD3 conjugated to Alexa Fluor® 647. Then fixed with 2% PFA for 10min followed by intracellular staining rabbit IgG (Left) or ab237718 (Right).

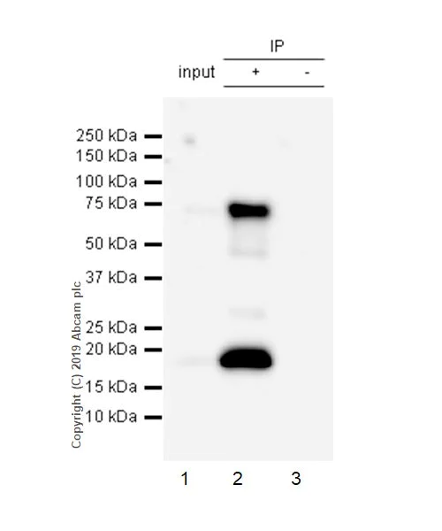
Immunoprecipitation - Anti-LAG-3 antibody [CAL25] (AB237718)
  • IP

Supplier Data

Immunoprecipitation - Anti-LAG-3 antibody [CAL25] (AB237718)

LAG-3 was immunoprecipitated from 0.35 mg HEK-293T (human embryonic kidney epithelial cell) transfected with GFP-tagged LAG-3 expression vector whole cell lysate using ab237718 at 1/30 dilution. Western blot was performed on the immunoprecipitate using ab237718 at 1/1000 dilution. VeriBlot for IP Detection Reagent (HRP) (ab131366) was used as the secondary antibody at 1/5000 dilution.

Lane 1 : HEK-293T transfected with GFP-tagged LAG-3 expression vector whole cell lysate 10 μg (input).
Lane 2 : ab237718 IP in HEK-293T GFP-tagged LAG-3 expression vector whole cell lysate.
Lane 3 : Rabbit monoclonal IgG (ab172730) instead of ab237718 in 293T transfected with GFP-tagged LAG-3 expression vector whole cell lysate.

Blocking and dilution buffer and concentration : 5% NFDM/TBST.

Exposure time : 30 seconds.

This antibody also detects a 16kDa cleaved fragment. (PMID : 15557174)

All lanes:

Immunoprecipitation - Anti-LAG-3 antibody [CAL25] (ab237718)

Predicted band size: 57 kDa

Observed band size: 16 kDa,70 kDa

false

Western blot - Anti-LAG-3 antibody [CAL25] (AB237718)
  • WB

Lab

Western blot - Anti-LAG-3 antibody [CAL25] (AB237718)

False colour image of Western blot : Anti-LAG-3 antibody [CAL25] staining at 1/1000 dilution, shown in green; Mouse anti-GAPDH antibody [6C5] (ab8245) loading control staining at 1/20000 dilution, shown in red. In Western blot, ab237718 was shown to bind specifically to LAG-3. First, samples were run on an SDS-PAGE gel then transferred onto a nitrocellulose membrane. Membranes were blocked in fluorescent western blot (TBS-based) blocking solution before incubation with primary antibodies overnight at 4°C. Blots were washed four times in TBS-T, incubated with secondary antibodies for 1 h at room temperature, washed again four times then imaged. Secondary antibodies used were Goat anti-Rabbit IgG H&L (IRDye® 800CW) preabsorbed (ab216773) and Goat anti-Mouse IgG H&L (IRDye® 680RD) preabsorbed (ab216776) at 1/20000 dilution.

All lanes:

Western blot - Anti-LAG-3 antibody [CAL25] (ab237718) at 1/1000 dilution

Lane 1:

HDLM-2 cell lysate at 20 µg

Lane 2:

Jurkat cell lysate at 20 µg

Predicted band size: 57 kDa

Observed band size: 57 kDa,70 kDa

false

Western blot - Anti-LAG-3 antibody [CAL25] (AB237718)
  • WB

Supplier Data

Western blot - Anti-LAG-3 antibody [CAL25] (AB237718)

Blocking buffer and concentration : 5% NFDM/TBST

This antibody also detects a 16kDa cleaved fragment. (PMID : 15557174)

All lanes:

Western blot - Anti-LAG-3 antibody [CAL25] (ab237718) at 1/1000 dilution

Lane 1:

Human peripheral blood mononuclear cell (PBMC) whole cell lysate at 20 µg

Lane 2:

Human peripheral blood mononuclear cell (PBMC) treated with 10μg/ml PHA for 48h whole cell lysate at 20 µg

Secondary

All lanes:

Western blot - Goat Anti-Rabbit IgG H&L (HRP) (<a href='/en-us/products/secondary-antibodies/goat-rabbit-igg-h-l-hrp-ab97051'>ab97051</a>) at 1/100000 dilution

Predicted band size: 57 kDa

Observed band size: 16 kDa,70 kDa

false

Exposure time: 3min

Western blot - Anti-LAG-3 antibody [CAL25] (AB237718)
  • WB

Supplier Data

Western blot - Anti-LAG-3 antibody [CAL25] (AB237718)

Blocking/diluting buffer and concentration : 5% NFDM/TBST

This antibody also detects a 16kDa cleaved fragment. (PMID : 15557174)

All lanes:

Western blot - Anti-LAG-3 antibody [CAL25] (ab237718) at 1/1000 dilution

Lane 1:

HEK-293T (human embryonic kidney epithelial cell) whole cell lysate at 20 µg

Lane 2:

HEK-293T transfected with GFP-tagged LAG-3 expression vector whole cell lysate at 20 µg

Secondary

All lanes:

Western blot - Goat Anti-Rabbit IgG H&L (HRP) (<a href='/en-us/products/secondary-antibodies/goat-rabbit-igg-h-l-hrp-ab97051'>ab97051</a>) at 1/100000 dilution

Predicted band size: 57 kDa

Observed band size: 16 kDa,70 kDa

false

Exposure time: 3min

  • Carrier free

    Anti-LAG-3 antibody [CAL25] - BSA and Azide free

Key facts

Host species

Rabbit

Clonality

Monoclonal

Clone number

CAL25

Isotype

IgG

Carrier free

No

Reacts with

Human

Applications

IHC-P, IP, Flow Cyt (Intra), WB

applications

Immunogen

The exact immunogen used to generate this antibody is proprietary information.

Reactivity data

{ "title": "Reactivity Data", "filters": { "stats": ["", "Species", "Dilution Info", "Notes"], "tabs": { "all-applications": {"fullname" : "All Applications", "shortname": "All Applications"}, "IP" : {"fullname" : "Immunoprecipitation", "shortname":"IP"}, "FlowCytIntra" : {"fullname" : "Flow Cytometry (Intracellular)", "shortname":"Flow Cyt (Intra)"}, "WB" : {"fullname" : "Western blot", "shortname":"WB"}, "ICCIF" : {"fullname" : "Immunocytochemistry/ Immunofluorescence", "shortname":"ICC/IF"}, "IHCP" : {"fullname" : "Immunohistochemistry (Formalin/PFA-fixed paraffin-embedded sections)", "shortname":"IHC-P"} }, "product-promise": { "all": "all", "testedAndGuaranteed": "tested", "guaranteed": "expected", "predicted": "predicted", "notRecommended": "not-recommended" } }, "values": { "Human": { "IP-species-checked": "testedAndGuaranteed", "IP-species-dilution-info": "1/30", "IP-species-notes": "<p></p>", "FlowCytIntra-species-checked": "testedAndGuaranteed", "FlowCytIntra-species-dilution-info": "1/50", "FlowCytIntra-species-notes": "<p></p>", "WB-species-checked": "testedAndGuaranteed", "WB-species-dilution-info": "1/1000", "WB-species-notes": "<p></p>", "ICCIF-species-checked": "notRecommended", "ICCIF-species-dilution-info": "", "ICCIF-species-notes": "<p></p>", "IHCP-species-checked": "testedAndGuaranteed", "IHCP-species-dilution-info": "0.3 µg/mL", "IHCP-species-notes": "<p></p>" } } }

Properties and storage information

Form
Liquid
Purification technique
Affinity purification Protein A
Purification notes
Purity >99%.
Storage buffer
pH: 7.5 Preservative: 0.05% Sodium azide Constituents: PBS
Shipped at conditions
Blue Ice
Appropriate short-term storage duration
1-2 weeks
Appropriate short-term storage conditions
+4°C
Appropriate long-term storage conditions
-20°C
Aliquoting information
Upon delivery aliquot
Storage information
Avoid freeze / thaw cycle

Supplementary information

This supplementary information is collated from multiple sources and compiled automatically.

LAG-3 also known as CD223 is a transmembrane protein with a mass of approximately 70 kDa. It acts as a checkpoint molecule similar to CTLA-4 and PD-1 in the immune system. LAG-3 is expressed on activated T cells natural killer cells and some dendritic cells. It interacts with its ligand MHC class II leading to inhibition of cellular proliferation and cytokine secretion an important part of immune response regulation.
Biological function summary

LAG-3 is involved in maintaining immune homeostasis and preventing autoimmunity. It is not part of a complex but works in synergy with other immune checkpoint molecules. When interacting with MHC class II LAG-3 transmits inhibitory signals that attenuate immune cell responses. Its role in immune regulation helps to balance immune activation and tolerance which is essential for preventing tissue damage while protecting against pathogens.

Pathways

The inhibitory role of LAG-3 integrates into the T cell receptor (TCR) signaling pathway and is also linked to the PD-1 signaling pathway. In TCR signaling LAG-3 negatively regulates T cell activation. LAG-3 is functionally related to proteins like PD-1 and CTLA-4 sharing similar roles in immune checkpoint pathways that are critical for maintaining immune balance.

LAG-3 has links to cancer and autoimmune diseases. In cancer LAG-3 expression on tumor-infiltrating lymphocytes correlates with immune evasion by tumors. This relationship appears in various cancers including melanoma and renal cell carcinoma. In autoimmune diseases LAG-3's expression on regulatory T cells helps control conditions such as multiple sclerosis. It collaborates with CTLA-4 in modulating immune responses that prevent excessive immune activation and tissue damage associated with autoimmunity.

Product protocols

For this product, it's our understanding that no specific protocols are required. You can visit:

Target data

Lymphocyte activation gene 3 protein : Inhibitory receptor on antigen activated T-cells (PubMed : 20421648, PubMed : 7805750, PubMed : 8647185). Delivers inhibitory signals upon binding to ligands, such as FGL1 (By similarity). FGL1 constitutes a major ligand of LAG3 and is responsible for LAG3 T-cell inhibitory function (By similarity). Following TCR engagement, LAG3 associates with CD3-TCR in the immunological synapse and directly inhibits T-cell activation (By similarity). May inhibit antigen-specific T-cell activation in synergy with PDCD1/PD-1, possibly by acting as a coreceptor for PDCD1/PD-1 (By similarity). Negatively regulates the proliferation, activation, effector function and homeostasis of both CD8(+) and CD4(+) T-cells (PubMed : 20421648, PubMed : 7805750, PubMed : 8647185). Also mediates immune tolerance : constitutively expressed on a subset of regulatory T-cells (Tregs) and contributes to their suppressive function (By similarity). Also acts as a negative regulator of plasmacytoid dendritic cell (pDCs) activation (By similarity). Binds MHC class II (MHC-II); the precise role of MHC-II-binding is however unclear (PubMed : 8647185).. Secreted lymphocyte activation gene 3 protein. May function as a ligand for MHC class II (MHC-II) on antigen-presenting cells (APC), promoting APC activation/maturation and driving Th1 immune response.
See full target information LAG3

Publications (2)

Recent publications for all applications. Explore the full list and refine your search

Frontiers in immunology 16:1537520 PubMed40061944

2025

infection may increase the degrees of malignancy in lung adenocarcinoma.

Applications

Unspecified application

Species

Unspecified reactive species

Shanshan Li,Mengru Feng,Fenghua Wang,Dongxu Liu,Mingyan Li,Jinlong Dai,Yan Yang,Yinghui Chai,Wen Chen

Journal of experimental & clinical cancer research : CR 44:49 PubMed39934835

2025

An IgE antibody targeting HER2 identified by clonal selection restricts breast cancer growth via immune-stimulating activities.

Applications

Unspecified application

Species

Unspecified reactive species

Lais C G F Palhares,Melanie Grandits,Katie Stoker,Jitesh Chauhan,Heng Sheng Sow,Gilbert O Fruhwirth,Sophia Tsoka,James Birtley,Leanne Partington,Tim Wilson,Elizabeth Hardaker,Sophia N Karagiannis,Heather J Bax,Kevin FitzGerald
View all publications

Product promise

We are committed to supporting your work with high-quality reagents, and we're here for you every step of the way. In the unlikely event that one of our products does not perform as expected, you're protected by our Product Promise.
For full details, please see our Terms & Conditions

Please note: All products are 'FOR RESEARCH USE ONLY. NOT FOR USE IN DIAGNOSTIC OR THERAPEUTIC PROCEDURES'.

For licensing inquiries, please contact partnerships@abcam.com