JavaScript is disabled in your browser. Please enable JavaScript to view this website.
AB251606

Anti-LAG-3 antibody [CAL77] - BSA and Azide free

4

(1 Review)

|

(1 Publication)

Rabbit Recombinant Monoclonal LAG-3 antibody. Carrier free. Suitable for Flow Cyt (Intra), IHC-P and reacts with Mouse, Human samples. Cited in 1 publication.

View Alternative Names

CD223, FDC, LAG3, Lymphocyte activation gene 3 protein, LAG-3

5 Images
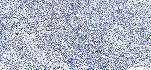
Immunohistochemistry (Formalin/PFA-fixed paraffin-embedded sections) - Anti-LAG-3 antibody [CAL77] - BSA and Azide free (AB251606)
  • IHC-P

Lab

Immunohistochemistry (Formalin/PFA-fixed paraffin-embedded sections) - Anti-LAG-3 antibody [CAL77] - BSA and Azide free (AB251606)

Immunohistochemical analysis of paraffin-embedded human tonsil tissue labeling LAG-3 with ab237720 at 1/900 dilution, followed by a ready to use Goat Anti-Rabbit IgG H&L (HRP). Positive staining on the human tonsil is observed. The section was incubated with ab237720 for 15 mins at room temperature. The immunostaining was performed on a Leica Biosystems BOND® RX instrument. Counterstained with hematoxylin. Secondary antibody only control : Used PBS instead of primary antibody, secondary antibody is a ready to use Goat Anti-Rabbit IgG H&L (HRP). Perform heat mediated antigen retrieval with Tris-EDTA buffer (pH 9.0, epitope retrieval solution 2) for 30 mins.

This data was developed using the same antibody clone in a different buffer formulation containing PBS and sodium azide (ab237720).

Flow Cytometry (Intracellular) - Anti-LAG-3 antibody [CAL77] - BSA and Azide free (AB251606)
  • Flow Cyt (Intra)

Lab

Flow Cytometry (Intracellular) - Anti-LAG-3 antibody [CAL77] - BSA and Azide free (AB251606)

Intracellular flow cytometric analysis of 2% paraformaldehyde-fixed, 0.1%Tween-20 permeabilized human peripheral blood mononuclear cell (PBMC) treated with 10μg/ml PHA for 2 days, labeling Lymphocyte Activation Gene 3 with ab237720 at 1/500 (right panel) compared with a Rabbit monoclonal IgG (ab172730) (left panel). Goat anti rabbit IgG (Alexa Fluor® 488, ab150077), at 1/2000 dilution was used as the secondary antibody. Cells were surface stained with anti-CD3 conjugated to Alexa Fluor® 647. Then fixed with 2% PFA for 10min followed by intracellular staining with rabbit IgG (Left) and ab237720 (Right).

This data was developed using the same antibody clone in a different buffer formulation containing PBS and sodium azide (ab237720).

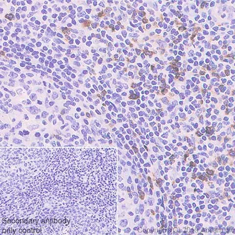
Immunohistochemistry (Formalin/PFA-fixed paraffin-embedded sections) - Anti-LAG-3 antibody [CAL77] - BSA and Azide free (AB251606)
  • IHC-P

Supplier Data

Immunohistochemistry (Formalin/PFA-fixed paraffin-embedded sections) - Anti-LAG-3 antibody [CAL77] - BSA and Azide free (AB251606)

Formalin-fixed, paraffin-embedded human tonsil tissue stained for LAG-3 with ab237720 at 0.25 μg/ml in immunohistochemical analysis.

This data was developed using the same antibody clone in a different buffer formulation containing PBS and sodium azide (ab237720).

Flow Cytometry (Intracellular) - Anti-LAG-3 antibody [CAL77] - BSA and Azide free (AB251606)
  • Flow Cyt (Intra)

Lab

Flow Cytometry (Intracellular) - Anti-LAG-3 antibody [CAL77] - BSA and Azide free (AB251606)

This data was developed using ab237720, the same antibody clone in a different buffer formulation.

Flow cytometry staining of human peripheral blood mononuclear cells (PBMCs) (top) or PBMCs treated with 5 μg/ml phytohaemagglutinin (PHA) for 48 hours (bottom), with ab237720 (right) or Recombinant Rabbit IgG, monoclonal [EPR25A] - Isotype Control (left). Cells were fixed and permeabilised with BD Cytofix/Cytoperm™ for 20 min. PBMCs were incubated for 30 min on ice in 1x PBS containing 10 μg/ml human IgG and 10 % normal goat serum to block FC receptors and non-specific protein-protein interaction followed by the antibody ab237720 or Recombinant Rabbit IgG, monoclonal [EPR25A] - Isotype Control (1x 106in 100 μl at 0.2 μg/ml (1/12750)) for 30 min at 22°C . The cells were simultaneously stained with CD3.

The secondary antibody Goat Anti-Rabbit IgG H&L (Alexa Fluor® 488) preadsorbed was incubated at 1/4000 for 30min at 22°C

Acquisition of >30000 events were collected using a 50 mW Blue laser (488nm) and 525/40 bandpass filter. Events were gated on live cells.

Flow Cytometry (Intracellular) - Anti-LAG-3 antibody [CAL77] - BSA and Azide free (AB251606)
  • Flow Cyt (Intra)

Lab

Flow Cytometry (Intracellular) - Anti-LAG-3 antibody [CAL77] - BSA and Azide free (AB251606)

Intracellular flow cytometric analysis of 2% paraformaldehyde-fixed, 0.1%Tween-20 permeabilized mouse splenocytes treated with 2.5μg/ml Concanavalin A (ConA) for 3 days, labeling LAG-3 with ab237720 at 1/500 (right panel) compared with a Rabbit monoclonal IgG (ab172730) (left panel). Goat anti rabbit IgG (Alexa Fluor® 488, ab150077), at 1/2000 dilution was used as the secondary antibody. Cells were surface stained with anti-CD3 conjugated to Alexa Fluor® 647. Then fixed with 2% PFA for 10min followed by intracellular staining with rabbit IgG (Left) and ab237720 (Right).

This data was developed using the same antibody clone in a different buffer formulation containing PBS and sodium azide (ab237720).

Key facts

Host species

Rabbit

Clonality

Monoclonal

Clone number

CAL77

Isotype

IgG

Carrier free

Yes

Reacts with

Mouse, Human

Applications

IHC-P, Flow Cyt (Intra)

applications

Immunogen

The exact immunogen used to generate this antibody is proprietary information.

Specificity

IHC-P is only recommended for human samples. We obtained negative staining results with mouse.

Reactivity data

{ "title": "Reactivity Data", "filters": { "stats": ["", "Species", "Dilution Info", "Notes"], "tabs": { "all-applications": {"fullname" : "All Applications", "shortname": "All Applications"}, "IP" : {"fullname" : "Immunoprecipitation", "shortname":"IP"}, "WB" : {"fullname" : "Western blot", "shortname":"WB"}, "ICCIF" : {"fullname" : "Immunocytochemistry/ Immunofluorescence", "shortname":"ICC/IF"}, "FlowCytIntra" : {"fullname" : "Flow Cytometry (Intracellular)", "shortname":"Flow Cyt (Intra)"}, "IHCP" : {"fullname" : "Immunohistochemistry (Formalin/PFA-fixed paraffin-embedded sections)", "shortname":"IHC-P"} }, "product-promise": { "all": "all", "testedAndGuaranteed": "tested", "guaranteed": "expected", "predicted": "predicted", "notRecommended": "not-recommended" } }, "values": { "Human": { "IP-species-checked": "notRecommended", "IP-species-dilution-info": "", "IP-species-notes": "<p></p>", "WB-species-checked": "notRecommended", "WB-species-dilution-info": "", "WB-species-notes": "<p></p>", "ICCIF-species-checked": "notRecommended", "ICCIF-species-dilution-info": "", "ICCIF-species-notes": "<p></p>", "FlowCytIntra-species-checked": "testedAndGuaranteed", "FlowCytIntra-species-dilution-info": "", "FlowCytIntra-species-notes": "<p></p>", "IHCP-species-checked": "testedAndGuaranteed", "IHCP-species-dilution-info": "", "IHCP-species-notes": "<p></p>" }, "Mouse": { "IP-species-checked": "notRecommended", "IP-species-dilution-info": "", "IP-species-notes": "<p></p>", "WB-species-checked": "notRecommended", "WB-species-dilution-info": "", "WB-species-notes": "<p></p>", "ICCIF-species-checked": "notRecommended", "ICCIF-species-dilution-info": "", "ICCIF-species-notes": "<p></p>", "FlowCytIntra-species-checked": "testedAndGuaranteed", "FlowCytIntra-species-dilution-info": "", "FlowCytIntra-species-notes": "<p></p>", "IHCP-species-checked": "notRecommended", "IHCP-species-dilution-info": "1/900", "IHCP-species-notes": "<p></p>" } } }

Product details

ab251606 is the carrier-free version of ab237720.

Conjugation ready
Our carrier-free antibodies are typically supplied in a PBS-only formulation, purified and free of BSA, sodium azide and glycerol. This conjugation-ready format is designed for use with fluorochromes, metal isotopes, oligonucleotides, and enzymes, which makes them ideal for antibody labelling, functional and cell-based assays, flow-based assays (e.g. mass cytometry) and Multiplex Imaging applications.

Use our conjugation kits for antibody conjugates that are ready-to-use in as little as 20 minutes with 1 minute hands-on-time and 100% antibody recovery: available for fluorescent dyes, HRP, biotin and gold.

Compatibility
This product is compatible with the Maxpar® Antibody Labeling Kit from Fluidigm, without the need for antibody preparation. Maxpar® is a trademark of Fluidigm Canada Inc.

Properties and storage information

Form
Liquid
Purification technique
Affinity purification Protein A
Purification notes
Purity is greater than 99%.
Storage buffer
pH: 7.2 - 7.4 Constituents: PBS
Shipped at conditions
Blue Ice
Appropriate short-term storage conditions
+4°C
Appropriate long-term storage conditions
+4°C
Storage information
Do Not Freeze

Supplementary information

This supplementary information is collated from multiple sources and compiled automatically.

LAG-3 also known as CD223 is a transmembrane protein with a mass of approximately 70 kDa. It acts as a checkpoint molecule similar to CTLA-4 and PD-1 in the immune system. LAG-3 is expressed on activated T cells natural killer cells and some dendritic cells. It interacts with its ligand MHC class II leading to inhibition of cellular proliferation and cytokine secretion an important part of immune response regulation.
Biological function summary

LAG-3 is involved in maintaining immune homeostasis and preventing autoimmunity. It is not part of a complex but works in synergy with other immune checkpoint molecules. When interacting with MHC class II LAG-3 transmits inhibitory signals that attenuate immune cell responses. Its role in immune regulation helps to balance immune activation and tolerance which is essential for preventing tissue damage while protecting against pathogens.

Pathways

The inhibitory role of LAG-3 integrates into the T cell receptor (TCR) signaling pathway and is also linked to the PD-1 signaling pathway. In TCR signaling LAG-3 negatively regulates T cell activation. LAG-3 is functionally related to proteins like PD-1 and CTLA-4 sharing similar roles in immune checkpoint pathways that are critical for maintaining immune balance.

LAG-3 has links to cancer and autoimmune diseases. In cancer LAG-3 expression on tumor-infiltrating lymphocytes correlates with immune evasion by tumors. This relationship appears in various cancers including melanoma and renal cell carcinoma. In autoimmune diseases LAG-3's expression on regulatory T cells helps control conditions such as multiple sclerosis. It collaborates with CTLA-4 in modulating immune responses that prevent excessive immune activation and tissue damage associated with autoimmunity.

Product protocols

For this product, it's our understanding that no specific protocols are required. You can visit:

Target data

Lymphocyte activation gene 3 protein : Inhibitory receptor on antigen activated T-cells (PubMed : 20421648, PubMed : 7805750, PubMed : 8647185). Delivers inhibitory signals upon binding to ligands, such as FGL1 (By similarity). FGL1 constitutes a major ligand of LAG3 and is responsible for LAG3 T-cell inhibitory function (By similarity). Following TCR engagement, LAG3 associates with CD3-TCR in the immunological synapse and directly inhibits T-cell activation (By similarity). May inhibit antigen-specific T-cell activation in synergy with PDCD1/PD-1, possibly by acting as a coreceptor for PDCD1/PD-1 (By similarity). Negatively regulates the proliferation, activation, effector function and homeostasis of both CD8(+) and CD4(+) T-cells (PubMed : 20421648, PubMed : 7805750, PubMed : 8647185). Also mediates immune tolerance : constitutively expressed on a subset of regulatory T-cells (Tregs) and contributes to their suppressive function (By similarity). Also acts as a negative regulator of plasmacytoid dendritic cell (pDCs) activation (By similarity). Binds MHC class II (MHC-II); the precise role of MHC-II-binding is however unclear (PubMed : 8647185).. Secreted lymphocyte activation gene 3 protein. May function as a ligand for MHC class II (MHC-II) on antigen-presenting cells (APC), promoting APC activation/maturation and driving Th1 immune response.
See full target information LAG3

Publications (1)

Recent publications for all applications. Explore the full list and refine your search

Nature communications 14:3728 PubMed37349339

2023

NBEAL2 deficiency in humans leads to low CTLA-4 expression in activated conventional T cells.

Applications

Unspecified application

Species

Unspecified reactive species

Laure Delage,Francesco Carbone,Quentin Riller,Jean-Luc Zachayus,Erwan Kerbellec,Armelle Buzy,Marie-Claude Stolzenberg,Marine Luka,Camille de Cevins,Georges Kalouche,Rémi Favier,Alizée Michel,Sonia Meynier,Aurélien Corneau,Caroline Evrard,Nathalie Neveux,Sébastien Roudières,Brieuc P Pérot,Mathieu Fusaro,Christelle Lenoir,Olivier Pellé,Mélanie Parisot,Marc Bras,Sébastien Héritier,Guy Leverger,Anne-Sophie Korganow,Capucine Picard,Sylvain Latour,Bénédicte Collet,Alain Fischer,Bénédicte Neven,Aude Magérus,Mickaël Ménager,Benoit Pasquier,Frédéric Rieux-Laucat
View all publications

Product promise

We are committed to supporting your work with high-quality reagents, and we're here for you every step of the way. In the unlikely event that one of our products does not perform as expected, you're protected by our Product Promise.
For full details, please see our Terms & Conditions

Please note: All products are 'FOR RESEARCH USE ONLY. NOT FOR USE IN DIAGNOSTIC OR THERAPEUTIC PROCEDURES'.

For licensing inquiries, please contact partnerships@abcam.com