JavaScript is disabled in your browser. Please enable JavaScript to view this website.
AB209236

Anti-LAG-3 antibody [EPR20261]

4

(1 Review)

|

(13 Publications)

Anti-LAG-3 antibody [EPR20261] (ab209236) is a rabbit monoclonal antibody detecting LAG-3 in Western Blot, Flow Cytometry, IP, IHC-P, ICC/IF. Suitable for Human.

- Biophysical QC for unrivalled batch-batch consistency
- Over 10 publications

View Alternative Names

CD223, FDC, LAG3, Lymphocyte activation gene 3 protein, LAG-3

11 Images
Immunohistochemistry (Formalin/PFA-fixed paraffin-embedded sections) - Anti-LAG-3 antibody [EPR20261] (AB209236)
  • IHC-P

Lab

Immunohistochemistry (Formalin/PFA-fixed paraffin-embedded sections) - Anti-LAG-3 antibody [EPR20261] (AB209236)

Tissue Microarrays stained for "Anti-LAG-3 antibody [EPR20261]" using "ab209236"in immunohistochemical analysis. This table provides a detailed overview of positive (tick mark) and negative (cross mark) staining per sample type tested. The sections were pre-treated using Heat mediated antigen retrieval using ab93684 (Tris/EDTA buffer, pH 9.0). The sections were incubated with ab209236 at +4°C overnight followed by a ready to use Goat Anti-Rabbit IgG H&L (HRP polymer).

Flow Cytometry - Anti-LAG-3 antibody [EPR20261] (AB209236)
  • Flow Cyt

Lab

Flow Cytometry - Anti-LAG-3 antibody [EPR20261] (AB209236)

Flow cytometry staining of human peripheral blood mononuclear cells (PBMCs) (top) or PBMCs treated with 5 μg/ml phytohaemagglutinin (PHA) for 72 hours (bottom), with ab209236 (right) or Recombinant Rabbit IgG, monoclonal [EPR25A] - Isotype Control (left). PBMCs were incubated for 30 min on ice in 1x PBS containing 10 μg/ml human IgG and 10 % normal goat serum to block FC receptors and non-specific protein-protein interaction followed by the antibody ab209236 or Recombinant Rabbit IgG, monoclonal [EPR25A] - Isotype Control (1x 106 in 100 μl at 5.0 μg/ml (1/402)) for 30min on ice. The cells were simultaneously stained with CD3.

The secondary antibody Goat Anti-Rabbit IgG H&L (Alexa Fluor® 488) preadsorbed was incubated at 1/4000 for 30min on ice

Acquisition of >30000 events were collected using a 50 mW Blue laser (488nm) and 525/40 bandpass filter. Events were gated on viable cells.

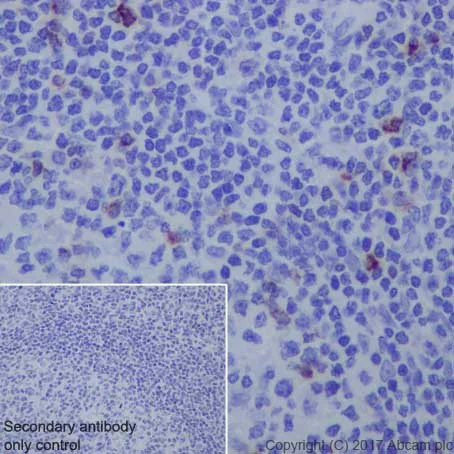
Immunohistochemistry (Formalin/PFA-fixed paraffin-embedded sections) - Anti-LAG-3 antibody [EPR20261] (AB209236)
  • IHC-P

Supplier Data

Immunohistochemistry (Formalin/PFA-fixed paraffin-embedded sections) - Anti-LAG-3 antibody [EPR20261] (AB209236)

Immunohistochemical analysis of paraffin-embedded human tonsil tissue labeling LAG-3 with ab209236 at 1/1000 dilution, followed by Goat Anti-Rabbit IgG H&L (HRP) Ready to use. Sporadic cytoplasmic staining on immunocytes of human tonsil [PMID : 11527700; PMID : 16757686].

Counter stained with Hematoxylin.

Secondary antibody only control : Used PBS instead of primary antibody, secondary antibody is Goat Anti-Rabbit IgG H&L (HRP) Ready to use.

Perform heat mediated antigen retrieval with Tris/EDTA buffer pH 9.0 before commencing with IHC staining protocol.

Flow Cytometry - Anti-LAG-3 antibody [EPR20261] (AB209236)
  • Flow Cyt

Lab

Flow Cytometry - Anti-LAG-3 antibody [EPR20261] (AB209236)

Flow cytometric analysis of Human peripheral blood mononuclear cells treated with 1 μg/mL PHA for 3 days cells with ab209236 at 1/50 dilution (right) compared with a rabbit monoclonal IgG isotype control (ab172730; left). ab150077 at 1/2000 dilution was used as the secondary antibody.

Only the CD3+ population are also positive for LAG3. Gated on total viable cells.

Flow Cytometry - Anti-LAG-3 antibody [EPR20261] (AB209236)
  • Flow Cyt

Supplier Data

Flow Cytometry - Anti-LAG-3 antibody [EPR20261] (AB209236)

Flow cytometric analysis of HEK-293T (Human epithelial cell line from embryonic kidney) cells transfected with a GFP-tagged human LAG-3 construct labeling LAG-3 with ab209236 at 1/500 dilution (right) compared with a rabbit monoclonal IgG isotype control (ab172730; left). Goat anti rabbit IgG (Alexa Fluor® 647) ab150079 at 1/2000 dilution was used as the secondary antibody.

Note : Fresh cells without fixation and permeabilization were used to perform FC testing. Only GFP positive population results in LAG3 positive staining (Q2, right panel).

Immunocytochemistry/ Immunofluorescence - Anti-LAG-3 antibody [EPR20261] (AB209236)
  • ICC/IF

Supplier Data

Immunocytochemistry/ Immunofluorescence - Anti-LAG-3 antibody [EPR20261] (AB209236)

Immunofluorescent analysis of 4% paraformaldehyde-fixed, 0.1% Triton X-100 permeabilized HEK-293T (Human epithelial cell line from embryonic kidney) cells transfected with GFP-tagged LAG3 expression construct or GFP only, labeling LAG-3 with ab209236 at 1/100 dilution, followed by Goat anti-rabbit IgG (Alexa Fluor® 647) (ab150079) secondary antibody at 1/1000 dilution (green).

Confocal image showing positive staining on HEK-293T cells transfected with a GFP-tagged LAG3 expression construct.

The nuclear counter stain is DAPI (blue). Tubulin is detected with ab195889 (Anti-alpha Tubulin antibody [DM1A] - Microtubule Marker (Alexa Fluor® 594)) at 1/200 dilution (red).

Secondary antibody only control : Used PBS instead of primary antibody, secondary antibody is Goat anti-rabbit IgG (Alexa Fluor® 647) (ab150079) at 1/1000 dilution.

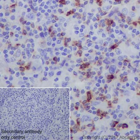
Immunohistochemistry (Formalin/PFA-fixed paraffin-embedded sections) - Anti-LAG-3 antibody [EPR20261] (AB209236)
  • IHC-P

Supplier Data

Immunohistochemistry (Formalin/PFA-fixed paraffin-embedded sections) - Anti-LAG-3 antibody [EPR20261] (AB209236)

Immunohistochemical analysis of paraffin-embedded human tonsil Hodgkin's lymphoma labeling LAG-3 with ab209236 at 1/1000 dilution, followed by Goat Anti-Rabbit IgG H&L (HRP) Ready to use. Cytoplasmic staining on immunocytes of the human Hodgkin's lymphoma [PMID : 11527700; PMID : 16757686].

Counter stained with Hematoxylin.

Secondary antibody only control : Used PBS instead of primary antibody, secondary antibody is Goat Anti-Rabbit IgG H&L (HRP) Ready to use.

Perform heat mediated antigen retrieval with Tris/EDTA buffer pH 9.0 before commencing with IHC staining protocol.

Immunoprecipitation - Anti-LAG-3 antibody [EPR20261] (AB209236)
  • IP

Supplier Data

Immunoprecipitation - Anti-LAG-3 antibody [EPR20261] (AB209236)

LAG-3 was immunoprecipitated from 0.35 mg of HEK-293T (Human epithelial cell line from embryonic kidney) transfected with a GFP-tagged human LAG3 construct whole cell lysate with ab209236 at 1/30 dilution. Western blot was performed from the immunoprecipitate using ab209236 at 1/1000 dilution. VeriBlot for IP Detection Reagent (HRP) (ab131366), was used for detection at 1/10000 dilution.

Lane 1 : HEK-293T transfected with a GFP-tagged human LAG3 construct whole cell lysate 10 μg (Input).

Lane 2 : ab209236 IP in HEK-293T transfected with a GFP-tagged human LAG3 construct whole cell lysate.

Lane 3 : Rabbit monoclonal IgG (ab172730) instead of ab209236 in HEK-293T transfected with a GFP-tagged human LAG3 construct whole cell lysate.

Blocking and dilution buffer and concentration : 5% NFDM/TBST.

Exposure time : 1 second.

All lanes:

Immunoprecipitation - Anti-LAG-3 antibody [EPR20261] (ab209236)

Predicted band size: 57 kDa

false

Western blot - Anti-LAG-3 antibody [EPR20261] (AB209236)
  • WB

Unknown

Western blot - Anti-LAG-3 antibody [EPR20261] (AB209236)

Primary loading control and concentration : Anti-GAPDH antibody [6C5] - Loading Control (ab8245) at 1/20000 dilution

Secondary loading control and concentration : Goat anti-Mouse IgG H&L (IRDye® 680RD) preadsorbed (ab216776) at 1/10000 dilution

Lanes 1-2 : Merged signal (red and green). Green – ab209236 observed at 54-70 kDa. Red - loading control ab8245 observed at 36 kDa.
ab209236 and Anti-GAPDH antibody [6C5] - Loading Control (ab8245) were incubated overnight at 4°C at 1 in 500 dilution and 1 in 20000 dilution respectively. Blots were developed with Goat anti-Rabbit IgG H&L (IRDye® 800RCW) preadsorbed (ab216773) and Goat anti-Mouse IgG H&L (IRDye® 680RD) preadsorbed (ab216776) secondary antibodies at 1 in 10000 dilution for 1 hour at room temperature before imaging.

The expression profile observed in Jurkat is consistent with the literature (PMID : 25108024).

Negative control : Jurkat (PMID : 25108024)

Observed MW : 54-70 kDa

All lanes:

Western blot - Anti-LAG-3 antibody [EPR20261] (ab209236) at 1/500 dilution

Lane 1:

HDLM-2 (Human Hodgkin lymphoma ) whole cell lysate at 20 µg

Lane 2:

Jurkat (Human T cell leukemia T lymphocyte) whole cell lysate at 20 µg

Secondary

All lanes:

Western blot - Goat anti-Rabbit IgG H&L (IRDye® 800CW) preadsorbed (<a href='/en-us/products/secondary-antibodies/goat-rabbit-igg-h-l-irdye-800cw-preadsorbed-ab216773'>ab216773</a>) at 1/10000 dilution

Predicted band size: 57 kDa

false

Western blot - Anti-LAG-3 antibody [EPR20261] (AB209236)
  • WB

Supplier Data

Western blot - Anti-LAG-3 antibody [EPR20261] (AB209236)

Blocking/Dilution buffer : 5% NFDM/TBST.

All lanes:

Western blot - Anti-LAG-3 antibody [EPR20261] (ab209236) at 1/1000 dilution

All lanes:

Human LAG3 Fc chimera recombinant protein (aa23-450) at 0.01 µg

Secondary

All lanes:

Western blot - Goat Anti-Rabbit IgG H&L (HRP) (<a href='/en-us/products/secondary-antibodies/goat-rabbit-igg-h-l-hrp-ab97051'>ab97051</a>) at 1/100000 dilution

Predicted band size: 57 kDa

Observed band size: 90 kDa

false

Exposure time: 1s

Western blot - Anti-LAG-3 antibody [EPR20261] (AB209236)
  • WB

Lab

Western blot - Anti-LAG-3 antibody [EPR20261] (AB209236)

Blocking/Diluting buffer : 5% NFDM/TBST.

All lanes:

Western blot - Anti-LAG-3 antibody [EPR20261] (ab209236) at 1/5000 dilution

Lane 1:

293T (Human embryonic kidney epithelial cell) transfected with an empty vector (vector control), containing a GFP tag, whole cell lysate at 15 µg

Lane 2:

293T transfected with LAG3 expression vector containing a GFP tag, whole cell lysate at 15 µg

Secondary

All lanes:

Western blot - Goat Anti-Rabbit IgG H&L (HRP) (<a href='/en-us/products/secondary-antibodies/goat-rabbit-igg-h-l-hrp-ab97051'>ab97051</a>) at 1/100000 dilution

Predicted band size: 57 kDa

false

Exposure time: 5s

Key facts

Host species

Rabbit

Clonality

Monoclonal

Clone number

EPR20261

Isotype

IgG

Carrier free

No

Reacts with

Human

Applications

ICC/IF, Flow Cyt, WB, IP, IHC-P

applications

Immunogen

The exact immunogen used to generate this antibody is proprietary information.

Reactivity data

{ "title": "Reactivity Data", "filters": { "stats": ["", "Species", "Dilution Info", "Notes"], "tabs": { "all-applications": {"fullname" : "All Applications", "shortname": "All Applications"}, "IP" : {"fullname" : "Immunoprecipitation", "shortname":"IP"}, "FlowCyt" : {"fullname" : "Flow Cytometry", "shortname":"Flow Cyt"}, "WB" : {"fullname" : "Western blot", "shortname":"WB"}, "ICCIF" : {"fullname" : "Immunocytochemistry/ Immunofluorescence", "shortname":"ICC/IF"}, "IHCP" : {"fullname" : "Immunohistochemistry (Formalin/PFA-fixed paraffin-embedded sections)", "shortname":"IHC-P"} }, "product-promise": { "all": "all", "testedAndGuaranteed": "tested", "guaranteed": "expected", "predicted": "predicted", "notRecommended": "not-recommended" } }, "values": { "Human": { "IP-species-checked": "testedAndGuaranteed", "IP-species-dilution-info": "1/30", "IP-species-notes": "<p></p>", "FlowCyt-species-checked": "testedAndGuaranteed", "FlowCyt-species-dilution-info": "1/500", "FlowCyt-species-notes": "<p></p>", "WB-species-checked": "testedAndGuaranteed", "WB-species-dilution-info": "1/500", "WB-species-notes": "<p></p>", "ICCIF-species-checked": "testedAndGuaranteed", "ICCIF-species-dilution-info": "1/100", "ICCIF-species-notes": "<p></p>", "IHCP-species-checked": "testedAndGuaranteed", "IHCP-species-dilution-info": "1/1000", "IHCP-species-notes": "<p>Different mRNA expression levels of LAG3 in brain have been reported in the literature (PMID: 1692078; PMID: 12825348). In IHC, under our experimental conditions, this antibody showed no positive staining on human cerebral cortex.</p>" } } }

You may be interested in:

AB315061

Human LAG-3 ELISA Kit

0

0 Reviews

View product

We recommend this product because it’s often used in the same experiment or related research.

We advise that you always check the datasheet to ensure it fits your experiments, or contact ourtechnical teamfor help.

Product details

What is this antibody validated in?
Anti-LAG-3 antibody [EPR20261] (ab209236) is a rabbit recombinant monoclonal antibody and is validated for use in Western Blot (WB), Flow Cytometry (Flow Cyt), Immunoprecipitation (IP), Immunohistochemistry (IHC-P), Immunocytochemistry/immunofluorescence (ICC/IF) in Human samples.

What is the molecular weight of LAG-3?
Anti-LAG-3 [EPR20261] (ab209236) specifically detects a band for LAG-3 (UniProt: P18627) at a molecular weight of 54kDa.

Trusted by the scientific community
Anti-LAG-3 [EPR20261] (ab209236) was first used in a scientific publication in 2017 and has been cited over 10 times in peer-reviewed journals.

Trial sizes available!
Test your antibody or perform pre-screening before committing to a larger quantity. Sold in 10µl. Discover our selection of trial-size antibodies.

Other related products
We have a range of other formats of antibody clone [EPR20261] also available for your convenience: ab209236, PE - ab225484, Alexa Fluor® 488 - ab225485, Alexa Fluor® 647 - ab225486, Carrier free - ab227579, Alexa Fluor® 555 - ab280858, Carrier free - ab282638, Alexa Fluor® 594 - ab283627, ab307517, Carrier free - ab307518

Patented technology
Our RabMAb® technology is a patented hybridoma-based technology for making rabbit monoclonal antibodies. For details on our patents, please refer to RabMAb® patents.

What are the advantages of a recombinant monoclonal antibody?
This product is a recombinant monoclonal antibody, which offers several advantages including:

  • - High batch-to-batch consistency and reproducibility
  • - Improved sensitivity and specificity
  • - Long-term security of supply
  • - Animal-free batch production

For more information, read more on recombinant antibodies.

Properties and storage information

Form
Liquid
Purification technique
Affinity purification Protein A
Storage buffer
pH: 7.2 - 7.4 Preservative: 0.01% Sodium azide Constituents: PBS, 40% Glycerol (glycerin, glycerine), 0.05% BSA
Shipped at conditions
Blue Ice
Appropriate short-term storage duration
1-2 weeks
Appropriate short-term storage conditions
+4°C
Appropriate long-term storage conditions
-20°C
Aliquoting information
Upon delivery aliquot
Storage information
Avoid freeze / thaw cycle

Supplementary information

This supplementary information is collated from multiple sources and compiled automatically.

LAG-3 also known as CD223 is a transmembrane protein with a mass of approximately 70 kDa. It acts as a checkpoint molecule similar to CTLA-4 and PD-1 in the immune system. LAG-3 is expressed on activated T cells natural killer cells and some dendritic cells. It interacts with its ligand MHC class II leading to inhibition of cellular proliferation and cytokine secretion an important part of immune response regulation.
Biological function summary

LAG-3 is involved in maintaining immune homeostasis and preventing autoimmunity. It is not part of a complex but works in synergy with other immune checkpoint molecules. When interacting with MHC class II LAG-3 transmits inhibitory signals that attenuate immune cell responses. Its role in immune regulation helps to balance immune activation and tolerance which is essential for preventing tissue damage while protecting against pathogens.

Pathways

The inhibitory role of LAG-3 integrates into the T cell receptor (TCR) signaling pathway and is also linked to the PD-1 signaling pathway. In TCR signaling LAG-3 negatively regulates T cell activation. LAG-3 is functionally related to proteins like PD-1 and CTLA-4 sharing similar roles in immune checkpoint pathways that are critical for maintaining immune balance.

LAG-3 has links to cancer and autoimmune diseases. In cancer LAG-3 expression on tumor-infiltrating lymphocytes correlates with immune evasion by tumors. This relationship appears in various cancers including melanoma and renal cell carcinoma. In autoimmune diseases LAG-3's expression on regulatory T cells helps control conditions such as multiple sclerosis. It collaborates with CTLA-4 in modulating immune responses that prevent excessive immune activation and tissue damage associated with autoimmunity.

Product protocols

For this product, it's our understanding that no specific protocols are required. You can visit:

Target data

Lymphocyte activation gene 3 protein : Inhibitory receptor on antigen activated T-cells (PubMed : 20421648, PubMed : 7805750, PubMed : 8647185). Delivers inhibitory signals upon binding to ligands, such as FGL1 (By similarity). FGL1 constitutes a major ligand of LAG3 and is responsible for LAG3 T-cell inhibitory function (By similarity). Following TCR engagement, LAG3 associates with CD3-TCR in the immunological synapse and directly inhibits T-cell activation (By similarity). May inhibit antigen-specific T-cell activation in synergy with PDCD1/PD-1, possibly by acting as a coreceptor for PDCD1/PD-1 (By similarity). Negatively regulates the proliferation, activation, effector function and homeostasis of both CD8(+) and CD4(+) T-cells (PubMed : 20421648, PubMed : 7805750, PubMed : 8647185). Also mediates immune tolerance : constitutively expressed on a subset of regulatory T-cells (Tregs) and contributes to their suppressive function (By similarity). Also acts as a negative regulator of plasmacytoid dendritic cell (pDCs) activation (By similarity). Binds MHC class II (MHC-II); the precise role of MHC-II-binding is however unclear (PubMed : 8647185).. Secreted lymphocyte activation gene 3 protein. May function as a ligand for MHC class II (MHC-II) on antigen-presenting cells (APC), promoting APC activation/maturation and driving Th1 immune response.
See full target information LAG3

Publications (13)

Recent publications for all applications. Explore the full list and refine your search

Frontiers in immunology 14:1192428 PubMed37600786

2023

Machine learning-based on cytotoxic T lymphocyte evasion gene develops a novel signature to predict prognosis and immunotherapy responses for kidney renal clear cell carcinoma patients.

Applications

Unspecified application

Species

Unspecified reactive species

Mei Chen,Zhenyu Nie,Denggao Huang,Yuanhui Gao,Hui Cao,Linlin Zheng,Shufang Zhang

BMC cancer 23:495 PubMed37264298

2023

Characterization of immune checkpoints expression and lymphocyte densities of iranian breast cancer patients; the co-expression status and clinicopathological associates.

Applications

Unspecified application

Species

Unspecified reactive species

Mohammadhossein Pournabee,Mahsa Keshavarz-Fathi,Pooyesh Esmaeili,Pouya Mahdavi Sharif,Fatemeh Nili,Behnaz Jahanbin

Cancers 15: PubMed37345035

2023

Characterization and Optimization of the Tumor Microenvironment in Patient-Derived Organotypic Slices and Organoid Models of Glioblastoma.

Applications

Unspecified application

Species

Unspecified reactive species

Vera Nickl,Juliana Eck,Nicolas Goedert,Julian Hübner,Thomas Nerreter,Carsten Hagemann,Ralf-Ingo Ernestus,Tim Schulz,Robert Carl Nickl,Almuth Friederike Keßler,Mario Löhr,Andreas Rosenwald,Maria Breun,Camelia Maria Monoranu

Nature communications 13:6740 PubMed36347860

2022

Single cell sequencing reveals that CD39 inhibition mediates changes to the tumor microenvironment.

Applications

Unspecified application

Species

Unspecified reactive species

Lilong Liu,Yaxin Hou,Changqi Deng,Zhen Tao,Zhaohui Chen,Junyi Hu,Ke Chen

Journal of inflammation research 15:3065-3082 PubMed35637872

2022

is a Potential Immunosuppressive Factor in Skin Cutaneous Melanoma.

Applications

Unspecified application

Species

Unspecified reactive species

Qian Zhang,Yuan-Jie Liu,Jie-Pin Li,Shu-Hong Zeng,Hui Shen,Mei Han,Shun Guo,Shen-Lin Liu,Xi Zou

Nature communications 13:1158 PubMed35241665

2022

Single-cell transcriptomics links malignant T cells to the tumor immune landscape in cutaneous T cell lymphoma.

Applications

Unspecified application

Species

Unspecified reactive species

Xiangjun Liu,Shanzhao Jin,Simeng Hu,Ruoyan Li,Haihao Pan,Yi Liu,Pan Lai,Deshu Xu,Jingru Sun,Ziyang Liu,Yumei Gao,Yifan Zhao,Fengjie Liu,Yu Xiao,Yingyi Li,Yujie Wen,Zhuojing Chen,Bufang Xu,Yuchieh Lin,Menglong Ran,Qianxi Li,Shuxia Yang,Hang Li,Ping Tu,Muzlifah Haniffa,Sarah A Teichmann,Fan Bai,Yang Wang

Cell death & disease 13:50 PubMed35017463

2022

Heterogeneity of tumor microenvironment is associated with clinical prognosis of non-clear cell renal cell carcinoma: a single-cell genomics study.

Applications

Unspecified application

Species

Unspecified reactive species

Wen-Jin Chen,Hao Cao,Jian-Wei Cao,Li Zuo,Fa-Jun Qu,Da Xu,Hao Zhang,Hai-Yi Gong,Jia-Xin Chen,Jian-Qing Ye,Si-Shun Gan,Wang Zhou,Da-Wei Zhu,Xiu-Wu Pan,Xin-Gang Cui

Cancers 13: PubMed34830831

2021

Immunosuppressive Microenvironment and Efficacy of PD-1 Inhibitors in Relapsed/Refractory Classic Hodgkin Lymphoma: Checkpoint Molecules Landscape and Macrophage Populations.

Applications

Unspecified application

Species

Unspecified reactive species

Artem Gusak,Liudmila Fedorova,Kirill Lepik,Nikita Volkov,Marina Popova,Ivan Moiseev,Natalia Mikhailova,Vadim Baykov,Alexander Kulagin

Disease markers 2021:3776854 PubMed34484468

2021

Differences in Immunological Landscape between -Mutated and Wild-Type Lung Adenocarcinoma.

Applications

Unspecified application

Species

Unspecified reactive species

Jia-Wei Luo,Yan-Hua Guo,Feng-Ying Wu,Xue-Fei Li,Xue-Cheng Sun,Jia-Lu Wang,Cai-Cun Zhou

Frontiers in immunology 11:563044 PubMed33250890

2020

The Expression Pattern and Clinical Significance of the Immune Checkpoint Regulator VISTA in Human Breast Cancer.

Applications

Unspecified application

Species

Unspecified reactive species

Xiaoxue Xie,Junying Zhang,Zhongyuan Shi,Wanmei Liu,Xinlei Hu,Chenxin Qie,Wenting Chen,Yan Wang,Li Wang,Jingwei Jiang,Jun Liu
View all publications

Product promise

We are committed to supporting your work with high-quality reagents, and we're here for you every step of the way. In the unlikely event that one of our products does not perform as expected, you're protected by our Product Promise.
For full details, please see our Terms & Conditions

Associated Products

Select an associated product type
Alternative Product
Primary Antibodies

AB254578

Anti-LAG-3 antibody

primary-antibodies

lag-3-antibody-ab254578

0

(0 reviews)

Alternative Product
Primary Antibodies

AB169282

Anti-LAG-3 antibody

primary-antibodies

lag-3-antibody-ab169282

0

(0 reviews)

Alternative Product
Primary Antibodies

AB40465

Anti-LAG-3 antibody [11E3]

primary-antibodies

lag-3-antibody-11e3-ab40465

4

(2 reviews)

Alternative Product
Primary Antibodies

AB243884

Anti-LAG-3 antibody [BLR027F]

primary-antibodies

lag-3-antibody-blr027f-ab243884

0

(0 reviews)

Alternative Product
Primary Antibodies

AB243885

Anti-LAG-3 antibody [BLR028F] - BSA free

primary-antibodies

lag-3-antibody-blr028f-bsa-free-ab243885

0

(0 reviews)

Alternative Product
Primary Antibodies

AB227706

Anti-LAG-3 antibody [SP346] - C-terminal

primary-antibodies

lag-3-antibody-sp346-c-terminal-ab227706

0

(0 reviews)

Alternative Product
Primary Antibodies

AB235907

Anti-LAG-3 antibody

primary-antibodies

lag-3-antibody-ab235907

0

(0 reviews)

Alternative Product
Primary Antibodies

AB225278

Alexa Fluor® 647 Anti-LAG-3 antibody [EPR4392(2)]

primary-antibodies

alexa-fluor-647-lag-3-antibody-epr43922-ab225278

0

(0 reviews)

Alternative Product
Primary Antibodies

AB209238

Anti-LAG-3 antibody [EPR20294-77]

primary-antibodies

lag-3-antibody-epr20294-77-ab209238

5

(4 reviews)

Alternative Product
Primary Antibodies

AB251604

Anti-LAG-3 antibody [CAL25] - BSA and Azide free

primary-antibodies

lag-3-antibody-cal25-bsa-and-azide-free-ab251604

0

(0 reviews)

Alternative Product
Primary Antibodies

AB251605

Anti-LAG-3 antibody [CAL26] - BSA and Azide free

primary-antibodies

lag-3-antibody-cal26-bsa-and-azide-free-ab251605

0

(0 reviews)

Alternative Product
Primary Antibodies

AB282642

Anti-LAG-3 antibody [EPR4392(2)] - Low endotoxin, Azide free

primary-antibodies

lag-3-antibody-epr43922-low-endotoxin-azide-free-ab282642

0

(0 reviews)

Alternative Product
Primary Antibodies

AB237718

Anti-LAG-3 antibody [CAL25]

primary-antibodies

lag-3-antibody-cal25-ab237718

0

(0 reviews)

Alternative Product
Primary Antibodies

AB237719

Anti-LAG-3 antibody [CAL26]

primary-antibodies

lag-3-antibody-cal26-ab237719

0

(0 reviews)

Alternative Product
Primary Antibodies

AB228411

Anti-LAG-3 antibody [EPR20294-96]

primary-antibodies

lag-3-antibody-epr20294-96-ab228411

0

(0 reviews)

Alternative Version
Primary Antibodies

AB282638

Anti-LAG-3 antibody [EPR20261] - Low endotoxin, Azide free

primary-antibodies

lag-3-antibody-epr20261-low-endotoxin-azide-free-ab282638

0

(0 reviews)

Alternative Version
Primary Antibodies

AB307517

Anti-LAG-3 antibody [EPR20261] - Mouse IgG1 (Chimeric)

primary-antibodies

lag-3-antibody-epr20261-mouse-igg1-chimeric-ab307517

0

(0 reviews)

Please note: All products are 'FOR RESEARCH USE ONLY. NOT FOR USE IN DIAGNOSTIC OR THERAPEUTIC PROCEDURES'.

For licensing inquiries, please contact partnerships@abcam.com