JavaScript is disabled in your browser. Please enable JavaScript to view this website.
AB282638

Anti-LAG-3 antibody [EPR20261] - Low endotoxin, Azide free

Be the first to review this product! Submit a review

|

(0 Publication)

Rabbit Recombinant Monoclonal LAG-3 antibody. Carrier free. Suitable for ICC/IF, IP, Flow Cyt, WB, IHC-P and reacts with Transfected cell line, Human samples.

View Alternative Names

CD223, FDC, LAG3, Lymphocyte activation gene 3 protein, LAG-3

7 Images
Flow Cytometry - Anti-LAG-3 antibody [EPR20261] - Low endotoxin, Azide free (AB282638)
  • Flow Cyt

Supplier Data

Flow Cytometry - Anti-LAG-3 antibody [EPR20261] - Low endotoxin, Azide free (AB282638)

This data was developed using the same antibody clone in a different buffer formulation containing PBS, BSA, glycerol, and sodium azide (ab209236).

Flow cytometric analysis of Human peripheral blood mononuclear cells treated with 1 μg/mL PHA for 3 days cells with ab209236 at 1/50 dilution (right) compared with a rabbit monoclonal IgG isotype control (ab172730; left). ab150077 at 1/2000 dilution was used as the secondary antibody.

Only the CD3+ population are also positive for LAG-3. Gated on total viable cells.

Immunocytochemistry/ Immunofluorescence - Anti-LAG-3 antibody [EPR20261] - Low endotoxin, Azide free (AB282638)
  • ICC/IF

Supplier Data

Immunocytochemistry/ Immunofluorescence - Anti-LAG-3 antibody [EPR20261] - Low endotoxin, Azide free (AB282638)

This data was developed using the same antibody clone in a different buffer formulation containing PBS, BSA, glycerol, and sodium azide (ab209236).

Immunofluorescent analysis of 4% paraformaldehyde-fixed, 0.1% Triton X-100 permeabilized HEK-293T (Human epithelial cell line from embryonic kidney) cells transfected with GFP-tagged LAG3 expression construct or GFP only, labeling LAG-3 with ab209236 at 1/100 dilution, followed by Goat anti-rabbit IgG (Alexa Fluor® 647) (ab150079) secondary antibody at 1/1000 dilution (green).

Confocal image showing positive staining on HEK-293T cells transfected with a GFP-tagged LAG-3 expression construct.

The nuclear counter stain is DAPI (blue). Tubulin is detected with ab195889 (Anti-alpha Tubulin antibody [DM1A] - Microtubule Marker (Alexa Fluor® 594)) at 1/200 dilution (red).

Secondary antibody only control : Used PBS instead of primary antibody, secondary antibody is Goat anti-rabbit IgG (Alexa Fluor® 647) (ab150079) at 1/1000 dilution.

Flow Cytometry - Anti-LAG-3 antibody [EPR20261] - Low endotoxin, Azide free (AB282638)
  • Flow Cyt

Supplier Data

Flow Cytometry - Anti-LAG-3 antibody [EPR20261] - Low endotoxin, Azide free (AB282638)

This data was developed using the same antibody clone in a different buffer formulation containing PBS, BSA, glycerol, and sodium azide (ab209236).

Flow cytometric analysis of HEK-293T (Human epithelial cell line from embryonic kidney) cells transfected with a GFP-tagged human LAG3 construct labeling LAG-3 with ab209236 at 1/500 dilution (right) compared with a rabbit monoclonal IgG isotype control (ab172730; left). Goat anti rabbit IgG (Alexa Fluor® 647) ab150079 at 1/2000 dilution was used as the secondary antibody.

Note : Fresh cells without fixation and permeabilization were used to perform FC testing. Only GFP positive population results in LAG3 positive staining (Q2, right panel).

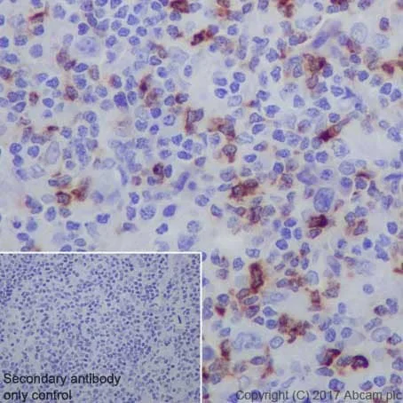
Immunohistochemistry (Formalin/PFA-fixed paraffin-embedded sections) - Anti-LAG-3 antibody [EPR20261] - Low endotoxin, Azide free (AB282638)
  • IHC-P

Supplier Data

Immunohistochemistry (Formalin/PFA-fixed paraffin-embedded sections) - Anti-LAG-3 antibody [EPR20261] - Low endotoxin, Azide free (AB282638)

This IHC data was generated using the same anti-LAG-3 antibody clone, EPR20261, in a different buffer formulation (ab209236).

Immunohistochemical analysis of paraffin-embedded human tonsil Hodgkin's lymphoma labeling LAG-3 with ab209236 at 1/1000 dilution, followed by Goat Anti-Rabbit IgG H&L (HRP) Ready to use. Cytoplasmic staining on immunocytes of the human Hodgkin's lymphoma [PMID : 11527700; PMID : 16757686].

Counter stained with Hematoxylin.

Secondary antibody only control : Used PBS instead of primary antibody, secondary antibody is Goat Anti-Rabbit IgG H&L (HRP) Ready to use.

Perform heat mediated antigen retrieval with Tris/EDTA buffer pH 9.0 before commencing with IHC staining protocol.

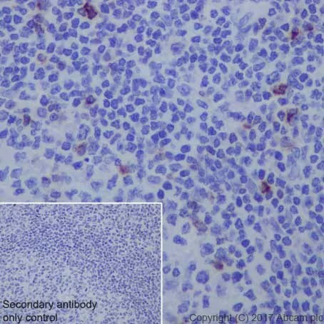
Immunohistochemistry (Formalin/PFA-fixed paraffin-embedded sections) - Anti-LAG-3 antibody [EPR20261] - Low endotoxin, Azide free (AB282638)
  • IHC-P

Supplier Data

Immunohistochemistry (Formalin/PFA-fixed paraffin-embedded sections) - Anti-LAG-3 antibody [EPR20261] - Low endotoxin, Azide free (AB282638)

This data was developed using the same antibody clone in a different buffer formulation containing PBS, BSA, glycerol, and sodium azide (ab209236).

Immunohistochemical analysis of paraffin-embedded human tonsil tissue labeling LAG-3 with ab209236 at 1/1000 dilution, followed by Goat Anti-Rabbit IgG H&L (HRP) Ready to use. Sporadic cytoplasmic staining on immunocytes of human tonsil [PMID : 11527700; PMID : 16757686].

Counter stained with Hematoxylin.

Secondary antibody only control : Used PBS instead of primary antibody, secondary antibody is Goat Anti-Rabbit IgG H&L (HRP) Ready to use.

Perform heat mediated antigen retrieval with Tris/EDTA buffer pH 9.0 before commencing with IHC staining protocol.

Western blot - Anti-LAG-3 antibody [EPR20261] - Low endotoxin, Azide free (AB282638)
  • WB

Supplier Data

Western blot - Anti-LAG-3 antibody [EPR20261] - Low endotoxin, Azide free (AB282638)

This IHC data was generated using the same anti-LAG-3 antibody clone, EPR20261, in a different buffer formulation (ab209236).

Immunohistochemical analysis of paraffin-embedded human tonsil Hodgkin's lymphoma labeling LAG-3 with ab209236 at 1/1000 dilution, followed by Goat Anti-Rabbit IgG H&L (HRP) Ready to use. Cytoplasmic staining on immunocytes of the human Hodgkin's lymphoma [PMID : 11527700; PMID : 16757686].

Counter stained with Hematoxylin.

Secondary antibody only control : Used PBS instead of primary antibody, secondary antibody is Goat Anti-Rabbit IgG H&L (HRP) Ready to use.

Perform heat mediated antigen retrieval with Tris/EDTA buffer pH 9.0 before commencing with IHC staining protocol.

All lanes:

Western blot - Anti-LAG-3 antibody [EPR20261] - Low endotoxin, Azide free (ab282638)

Predicted band size: 57 kDa

false

Western blot - Anti-LAG-3 antibody [EPR20261] - Low endotoxin, Azide free (AB282638)
  • WB

Supplier Data

Western blot - Anti-LAG-3 antibody [EPR20261] - Low endotoxin, Azide free (AB282638)

This IHC data was generated using the same anti-LAG-3 antibody clone, EPR20261, in a different buffer formulation (ab209236).

Primary loading control and concentration : Anti-GAPDH antibody [6C5] - Loading Control (ab8245) at 1/20000 dilution

Secondary loading control and concentration : Goat anti-Mouse IgG H&L (IRDye® 680RD) preadsorbed (ab216776) at 1/10000 dilution

Lanes 1-2 : Merged signal (red and green). Green – ab209236 observed at 54-70 kDa. Red - loading control ab8245 observed at 36 kDa.
ab209236 and Anti-GAPDH antibody [6C5] - Loading Control (ab8245) were incubated overnight at 4°C at 1 in 500 dilution and 1 in 20000 dilution respectively. Blots were developed with Goat anti-Rabbit IgG H&L (IRDye® 800RCW) preadsorbed (ab216773) and Goat anti-Mouse IgG H&L (IRDye® 680RD) preadsorbed (ab216776) secondary antibodies at 1 in 10000 dilution for 1 hour at room temperature before imaging.

The expression profile observed in Jurkat is consistent with the literature (PMID : 25108024).

Negative control : Jurkat (PMID : 25108024)

Observed MW : 54-70 kDa

All lanes:

Western blot - Anti-LAG-3 antibody [EPR20261] - Low endotoxin, Azide free (ab282638) at 1/500 dilution

Lane 1:

HDLM-2 (Human Hodgkin lymphoma ) whole cell lysate at 20 µg

Lane 2:

Jurkat (Human T cell leukemia T lymphocyte) whole cell lysate at 20 µg

Secondary

All lanes:

Western blot - Goat anti-Rabbit IgG H&L (IRDye® 800CW) preadsorbed (<a href='/en-us/products/secondary-antibodies/goat-rabbit-igg-h-l-irdye-800cw-preadsorbed-ab216773'>ab216773</a>) at 1/10000 dilution

Predicted band size: 57 kDa

false

Key facts

Host species

Rabbit

Clonality

Monoclonal

Clone number

EPR20261

Isotype

IgG

Carrier free

Yes

Reacts with

Human

Applications

WB, IHC-P, ICC/IF, IP, Flow Cyt

applications

Immunogen

The exact immunogen used to generate this antibody is proprietary information.

Reactivity data

{ "title": "Reactivity Data", "filters": { "stats": ["", "Species", "Dilution Info", "Notes"], "tabs": { "all-applications": {"fullname" : "All Applications", "shortname": "All Applications"}, "ICCIF" : {"fullname" : "Immunocytochemistry/ Immunofluorescence", "shortname":"ICC/IF"}, "IP" : {"fullname" : "Immunoprecipitation", "shortname":"IP"}, "FlowCyt" : {"fullname" : "Flow Cytometry", "shortname":"Flow Cyt"}, "WB" : {"fullname" : "Western blot", "shortname":"WB"}, "IHCP" : {"fullname" : "Immunohistochemistry (Formalin/PFA-fixed paraffin-embedded sections)", "shortname":"IHC-P"} }, "product-promise": { "all": "all", "testedAndGuaranteed": "tested", "guaranteed": "expected", "predicted": "predicted", "notRecommended": "not-recommended" } }, "values": { "Human": { "ICCIF-species-checked": "guaranteed", "ICCIF-species-dilution-info": "", "ICCIF-species-notes": "", "IP-species-checked": "guaranteed", "IP-species-dilution-info": "", "IP-species-notes": "<p></p>", "FlowCyt-species-checked": "testedAndGuaranteed", "FlowCyt-species-dilution-info": "", "FlowCyt-species-notes": "<p></p>", "WB-species-checked": "testedAndGuaranteed", "WB-species-dilution-info": "", "WB-species-notes": "<p></p>", "IHCP-species-checked": "testedAndGuaranteed", "IHCP-species-dilution-info": "", "IHCP-species-notes": "<p>Different mRNA expression levels of LAG3 in brain have been reported in the literature (PMID: 1692078; PMID: 12825348). In IHC, under our experimental conditions, this antibody showed no positive staining on human cerebral cortex.</p>" }, "Transfected cell line": { "ICCIF-species-checked": "testedAndGuaranteed", "ICCIF-species-dilution-info": "", "ICCIF-species-notes": "<p></p>", "IP-species-checked": "notRecommended", "IP-species-dilution-info": "", "IP-species-notes": "", "FlowCyt-species-checked": "testedAndGuaranteed", "FlowCyt-species-dilution-info": "", "FlowCyt-species-notes": "<p></p>", "WB-species-checked": "notRecommended", "WB-species-dilution-info": "", "WB-species-notes": "", "IHCP-species-checked": "notRecommended", "IHCP-species-dilution-info": "", "IHCP-species-notes": "" } } }

Product details

ab282638 is a low endotoxin version of ab227579.

Our Low endotoxin, azide-free formats have low endotoxin level (≤ 1 EU/ml, determined by the LAL assay) and are free from azide, to achieve consistent experimental results in functional assays.

Patented technology
Our RabMAb® technology is a patented hybridoma-based technology for making rabbit monoclonal antibodies. For details on our patents, please refer to RabMAb® patents.

What are the advantages of a recombinant monoclonal antibody?
This product is a recombinant monoclonal antibody, which offers several advantages including:

  • - High batch-to-batch consistency and reproducibility
  • - Improved sensitivity and specificity
  • - Long-term security of supply
  • - Animal-free batch production

For more information, read more on recombinant antibodies.

Properties and storage information

Form
Liquid
Purification technique
Affinity purification Protein A
Storage buffer
pH: 7.2 - 7.4 Constituents: PBS
Shipped at conditions
Blue Ice
Appropriate short-term storage conditions
+4°C
Appropriate long-term storage conditions
+4°C
Storage information
Do Not Freeze

Supplementary information

This supplementary information is collated from multiple sources and compiled automatically.

LAG-3 also known as CD223 is a transmembrane protein with a mass of approximately 70 kDa. It acts as a checkpoint molecule similar to CTLA-4 and PD-1 in the immune system. LAG-3 is expressed on activated T cells natural killer cells and some dendritic cells. It interacts with its ligand MHC class II leading to inhibition of cellular proliferation and cytokine secretion an important part of immune response regulation.
Biological function summary

LAG-3 is involved in maintaining immune homeostasis and preventing autoimmunity. It is not part of a complex but works in synergy with other immune checkpoint molecules. When interacting with MHC class II LAG-3 transmits inhibitory signals that attenuate immune cell responses. Its role in immune regulation helps to balance immune activation and tolerance which is essential for preventing tissue damage while protecting against pathogens.

Pathways

The inhibitory role of LAG-3 integrates into the T cell receptor (TCR) signaling pathway and is also linked to the PD-1 signaling pathway. In TCR signaling LAG-3 negatively regulates T cell activation. LAG-3 is functionally related to proteins like PD-1 and CTLA-4 sharing similar roles in immune checkpoint pathways that are critical for maintaining immune balance.

LAG-3 has links to cancer and autoimmune diseases. In cancer LAG-3 expression on tumor-infiltrating lymphocytes correlates with immune evasion by tumors. This relationship appears in various cancers including melanoma and renal cell carcinoma. In autoimmune diseases LAG-3's expression on regulatory T cells helps control conditions such as multiple sclerosis. It collaborates with CTLA-4 in modulating immune responses that prevent excessive immune activation and tissue damage associated with autoimmunity.

Product protocols

For this product, it's our understanding that no specific protocols are required. You can visit:

Target data

Lymphocyte activation gene 3 protein : Inhibitory receptor on antigen activated T-cells (PubMed : 20421648, PubMed : 7805750, PubMed : 8647185). Delivers inhibitory signals upon binding to ligands, such as FGL1 (By similarity). FGL1 constitutes a major ligand of LAG3 and is responsible for LAG3 T-cell inhibitory function (By similarity). Following TCR engagement, LAG3 associates with CD3-TCR in the immunological synapse and directly inhibits T-cell activation (By similarity). May inhibit antigen-specific T-cell activation in synergy with PDCD1/PD-1, possibly by acting as a coreceptor for PDCD1/PD-1 (By similarity). Negatively regulates the proliferation, activation, effector function and homeostasis of both CD8(+) and CD4(+) T-cells (PubMed : 20421648, PubMed : 7805750, PubMed : 8647185). Also mediates immune tolerance : constitutively expressed on a subset of regulatory T-cells (Tregs) and contributes to their suppressive function (By similarity). Also acts as a negative regulator of plasmacytoid dendritic cell (pDCs) activation (By similarity). Binds MHC class II (MHC-II); the precise role of MHC-II-binding is however unclear (PubMed : 8647185).. Secreted lymphocyte activation gene 3 protein. May function as a ligand for MHC class II (MHC-II) on antigen-presenting cells (APC), promoting APC activation/maturation and driving Th1 immune response.
See full target information LAG3

Product promise

We are committed to supporting your work with high-quality reagents, and we're here for you every step of the way. In the unlikely event that one of our products does not perform as expected, you're protected by our Product Promise.
For full details, please see our Terms & Conditions

Please note: All products are 'FOR RESEARCH USE ONLY. NOT FOR USE IN DIAGNOSTIC OR THERAPEUTIC PROCEDURES'.

For licensing inquiries, please contact partnerships@abcam.com