JavaScript is disabled in your browser. Please enable JavaScript to view this website.
AB307518

Anti-LAG-3 antibody [EPR20261] - Mouse IgG1 (Chimeric) - BSA and Azide free

Be the first to review this product! Submit a review

|

(0 Publication)

Mouse Recombinant Monoclonal LAG-3 antibody. Carrier free. Suitable for IHC-P, WB and reacts with Human samples.

View Alternative Names

CD223, FDC, LAG3, Lymphocyte activation gene 3 protein, LAG-3

3 Images
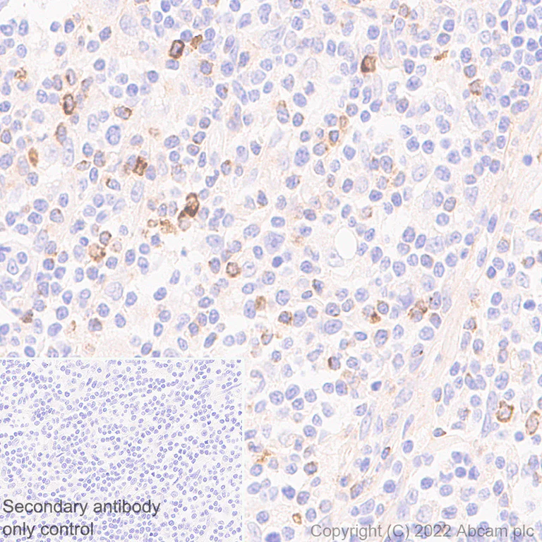
Immunohistochemistry - Anti-LAG-3 antibody [EPR20261] - Mouse IgG1 (Chimeric) - BSA and Azide free (AB307518)
  • IHC

Supplier Data

Immunohistochemistry - Anti-LAG-3 antibody [EPR20261] - Mouse IgG1 (Chimeric) - BSA and Azide free (AB307518)

This data was developed using ab307517, the same antibody clone in a different buffer formulation. Immunohistochemical analysis of paraffin-embedded human Hodgkin's lymphoma tissue labeling LAG-3 with ab307517 at 1/1000 dilution (1.068 µg/ml) followed by a ready to use LeicaDS9800 (Bond™ Polymer Refine Detection). Positive staining on human Hodgkin's lymphoma. The section was incubated with ab307517 for 30 mins at room temperature, followed by anti-mouse IgG1 antibody (ab125913) for 8 mins during the LeicaDS9800 kit staining procedure. The immunostaining was performed on a Leica Biosystems BOND® RX instrument. Counterstained with Hematoxylin. Secondary antibody only control : Secondary antibody is a ready to use LeicaDS9800 (Bond™ Polymer Refine Detection). Heat mediated antigen retrieval was performed with Tris-EDTA buffer (pH 9.0, Epitope Retrieval Solution2) for 20 mins.

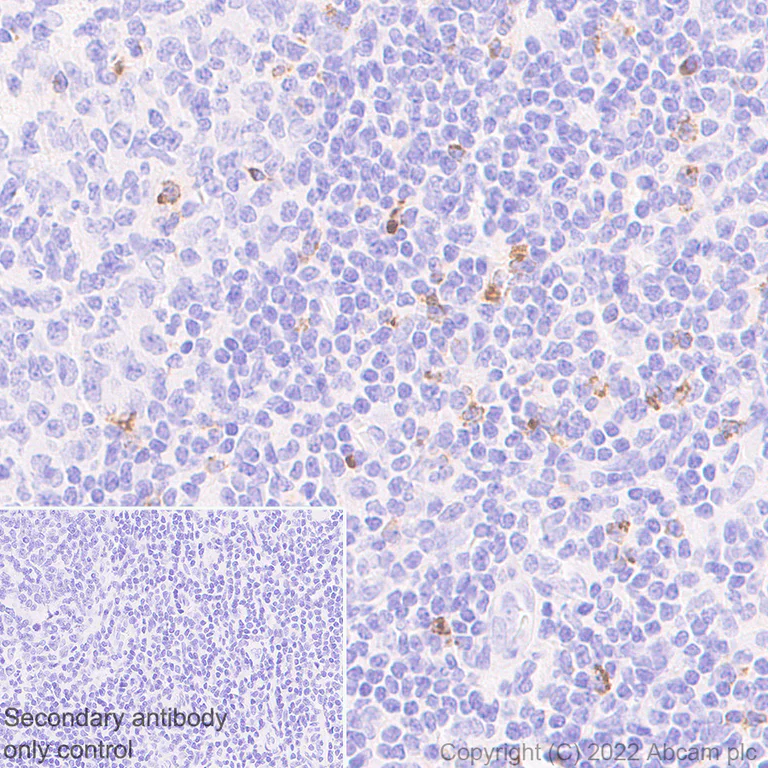
Immunohistochemistry - Anti-LAG-3 antibody [EPR20261] - Mouse IgG1 (Chimeric) - BSA and Azide free (AB307518)
  • IHC

Supplier Data

Immunohistochemistry - Anti-LAG-3 antibody [EPR20261] - Mouse IgG1 (Chimeric) - BSA and Azide free (AB307518)

This data was developed using ab307517, the same antibody clone in a different buffer formulation. Immunohistochemical analysis of paraffin-embedded human tonsil tissue labeling LAG-3 with ab307517 at 1/1000 dilution (1.068 µg/ml) followed by a ready to use LeicaDS9800 (Bond™ Polymer Refine Detection). Positive staining on human tonsil. The section was incubated with ab307517 for 30 mins at room temperature, followed by anti-mouse IgG1 antibody (ab125913) for 8 mins during the LeicaDS9800 kit staining procedure. The immunostaining was performed on a Leica Biosystems BOND® RX instrument. Counterstained with Hematoxylin. Secondary antibody only control : Secondary antibody is a ready to use LeicaDS9800 (Bond™ Polymer Refine Detection). Heat mediated antigen retrieval was performed with Tris-EDTA buffer (pH 9.0, Epitope Retrieval Solution2) for 20 mins.

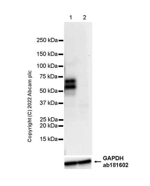
Western blot - Anti-LAG-3 antibody [EPR20261] - Mouse IgG1 (Chimeric) - BSA and Azide free (AB307518)
  • WB

Supplier Data

Western blot - Anti-LAG-3 antibody [EPR20261] - Mouse IgG1 (Chimeric) - BSA and Azide free (AB307518)

This data was developed using ab307517, the same antibody clone in a different buffer formulation. Blocking and diluting buffer and concentration : 5% NFDM/TBST. Negative control : Jurkat (PMID : 25108024). The expression profile observed in Jurkat is consistent with the literature (PMID : 25108024). Exposure time : 26 seconds.

All lanes:

Western blot - Anti-LAG-3 antibody [EPR20261] - Mouse IgG1 (Chimeric) (<a href='/en-us/products/primary-antibodies/lag-3-antibody-epr20261-mouse-igg1-chimeric-ab307517'>ab307517</a>) at 1/1000 dilution

Lane 1:

HDLM-2 (human Hodgkin lymphoma) whole cell lysate 20 μg

Lane 2:

Jurkat (human T cell leukemia T lymphocyte) whole cell lysate 20 μg

Observed band size: 54 kDa,70 kDa

false

Exposure time: 26s

  • Unconjugated

    Anti-LAG-3 antibody [EPR20261] - Mouse IgG1 (Chimeric)

Key facts

Host species

Mouse

Clonality

Monoclonal

Clone number

EPR20261

Isotype

IgG1

Carrier free

Yes

Reacts with

Human

Applications

WB, IHC-P

applications

Immunogen

The exact immunogen used to generate this antibody is proprietary information.

Reactivity data

{ "title": "Reactivity Data", "filters": { "stats": ["", "Species", "Dilution Info", "Notes"], "tabs": { "all-applications": {"fullname" : "All Applications", "shortname": "All Applications"}, "IHCP" : {"fullname" : "Immunohistochemistry (Formalin/PFA-fixed paraffin-embedded sections)", "shortname":"IHC-P"}, "WB" : {"fullname" : "Western blot", "shortname":"WB"}, "FlowCyt" : {"fullname" : "Flow Cytometry", "shortname":"Flow Cyt"}, "ICCIF" : {"fullname" : "Immunocytochemistry/ Immunofluorescence", "shortname":"ICC/IF"}, "IP" : {"fullname" : "Immunoprecipitation", "shortname":"IP"} }, "product-promise": { "all": "all", "testedAndGuaranteed": "tested", "guaranteed": "expected", "predicted": "predicted", "notRecommended": "not-recommended" } }, "values": { "Human": { "IHCP-species-checked": "testedAndGuaranteed", "IHCP-species-dilution-info": "", "IHCP-species-notes": "<p></p>", "WB-species-checked": "testedAndGuaranteed", "WB-species-dilution-info": "", "WB-species-notes": "<p></p>", "FlowCyt-species-checked": "notRecommended", "FlowCyt-species-dilution-info": "", "FlowCyt-species-notes": "<p></p>", "ICCIF-species-checked": "notRecommended", "ICCIF-species-dilution-info": "", "ICCIF-species-notes": "<p></p>", "IP-species-checked": "notRecommended", "IP-species-dilution-info": "", "IP-species-notes": "<p></p>" } } }

Product details

This mouse monoclonal chimeric antibody (ab307518) is the carrier-free version of ab307517

Want a custom formulation?
This antibody clone is manufactured by Abcam. If you require a custom buffer formulation or conjugation for your experiments, please contact orders@abcam.com

What are the advantages of a recombinant monoclonal antibody?
This product is a recombinant monoclonal antibody, which offers several advantages including:

  • - High batch-to-batch consistency and reproducibility
  • - Improved sensitivity and specificity
  • - Long-term security of supply
  • - Animal-free batch production

For more information, read more on recombinant antibodies.

Conjugation ready
Our carrier-free antibodies are typically supplied in a PBS-only formulation, purified and free of BSA, sodium azide and glycerol. This conjugation-ready format is designed for use with fluorochromes, metal isotopes, oligonucleotides, and enzymes, which makes them ideal for antibody labelling, functional and cell-based assays, flow-based assays (e.g. mass cytometry) and Multiplex Imaging applications.

Use our conjugation kits for antibody conjugates that are ready-to-use in as little as 20 minutes with 1 minute hands-on-time and 100% antibody recovery: available for fluorescent dyes, HRP, biotin and gold.

Compatibility
This product is compatible with the Maxpar® Antibody Labeling Kit from Fluidigm, without the need for antibody preparation. Maxpar® is a trademark of Fluidigm Canada Inc.

Properties and storage information

Form
Liquid
Purification technique
Affinity purification Protein A
Storage buffer
pH: 7.2 - 7.4 Constituents: PBS
Shipped at conditions
Blue Ice
Appropriate short-term storage conditions
+4°C
Appropriate long-term storage conditions
+4°C

Supplementary information

This supplementary information is collated from multiple sources and compiled automatically.

LAG-3 also known as CD223 is a transmembrane protein with a mass of approximately 70 kDa. It acts as a checkpoint molecule similar to CTLA-4 and PD-1 in the immune system. LAG-3 is expressed on activated T cells natural killer cells and some dendritic cells. It interacts with its ligand MHC class II leading to inhibition of cellular proliferation and cytokine secretion an important part of immune response regulation.
Biological function summary

LAG-3 is involved in maintaining immune homeostasis and preventing autoimmunity. It is not part of a complex but works in synergy with other immune checkpoint molecules. When interacting with MHC class II LAG-3 transmits inhibitory signals that attenuate immune cell responses. Its role in immune regulation helps to balance immune activation and tolerance which is essential for preventing tissue damage while protecting against pathogens.

Pathways

The inhibitory role of LAG-3 integrates into the T cell receptor (TCR) signaling pathway and is also linked to the PD-1 signaling pathway. In TCR signaling LAG-3 negatively regulates T cell activation. LAG-3 is functionally related to proteins like PD-1 and CTLA-4 sharing similar roles in immune checkpoint pathways that are critical for maintaining immune balance.

LAG-3 has links to cancer and autoimmune diseases. In cancer LAG-3 expression on tumor-infiltrating lymphocytes correlates with immune evasion by tumors. This relationship appears in various cancers including melanoma and renal cell carcinoma. In autoimmune diseases LAG-3's expression on regulatory T cells helps control conditions such as multiple sclerosis. It collaborates with CTLA-4 in modulating immune responses that prevent excessive immune activation and tissue damage associated with autoimmunity.

Product protocols

For this product, it's our understanding that no specific protocols are required. You can visit:

Target data

Lymphocyte activation gene 3 protein. Inhibitory receptor on antigen activated T-cells (PubMed : 20421648, PubMed : 35761082, PubMed : 7805750, PubMed : 8647185). Delivers inhibitory signals upon binding to ligands, such as MHC class II, its main ligand present at the surface of antigen-presenting cells (APCs), and FGL1, which is secreted by hepatocytes and certain types of tumor cells (PubMed : 30580966, PubMed : 32920841, PubMed : 35761082, PubMed : 39671469, PubMed : 7589152, PubMed : 8647185, PubMed : 9159144). Ligand-binding initiates a signaling that inhibits the T-cell receptor (TCR) in the immunological synapse, preventing T-cell activation (PubMed : 40101708). Mechanistically, ligand-binding promotes (1) ubiquitination of the KIEELE motif, unleashing the RRFSALE motif from the membrane and (2) leading to the formation of condensates with the TCR component CD3E, thereby disrupting the association between CD3E and LCK and preventing TCR activation (PubMed : 40101708, PubMed : 40592325). May inhibit antigen-specific T-cell activation in synergy with PDCD1/PD-1 (By similarity). Negatively regulates the proliferation, activation, effector function and homeostasis of both CD8(+) and CD4(+) T-cells (PubMed : 20421648, PubMed : 7805750, PubMed : 8647185). Also mediates immune tolerance : constitutively expressed on a subset of regulatory T-cells (Tregs) and contributes to their suppressive function (By similarity). Also acts as a negative regulator of plasmacytoid dendritic cell (pDCs) activation (By similarity).. The LAG3-mediated inhibitory pathway is exploited by tumors to attenuate anti-tumor immunity and escape destruction by the immune system, thereby facilitating tumor survival (PubMed : 35981087, PubMed : 40101708). The blockage of the LAG3- and PDCD1-mediated pathways results in the reversal of the exhausted T-cell phenotype and the normalization of the anti-tumor response, providing a rationale for cancer immunotherapy (PubMed : 35981087, PubMed : 40101708).. Secreted lymphocyte activation gene 3 protein. May function as a ligand for MHC class II (MHC-II) on antigen-presenting cells (APC), promoting APC activation/maturation and driving Th1 immune response.
See full target information LAG3

Product promise

We are committed to supporting your work with high-quality reagents, and we're here for you every step of the way. In the unlikely event that one of our products does not perform as expected, you're protected by our Product Promise.
For full details, please see our Terms & Conditions

Please note: All products are 'FOR RESEARCH USE ONLY. NOT FOR USE IN DIAGNOSTIC OR THERAPEUTIC PROCEDURES'.

For licensing inquiries, please contact partnerships@abcam.com