JavaScript is disabled in your browser. Please enable JavaScript to view this website.
AB209740

Anti-LAG-3 antibody [EPR4392(2)] - BSA and Azide free

Be the first to review this product! Submit a review

|

(1 Publication)

Rabbit Recombinant Monoclonal LAG-3 antibody. Carrier free. Suitable for IHC-P and reacts with Human samples. Cited in 1 publication.

View Alternative Names

CD223, FDC, LAG3, Lymphocyte activation gene 3 protein, LAG-3

4 Images
Immunohistochemistry (Formalin/PFA-fixed paraffin-embedded sections) - Anti-LAG-3 antibody [EPR4392(2)] - BSA and Azide free (AB209740)
  • IHC-P

Unknown

Immunohistochemistry (Formalin/PFA-fixed paraffin-embedded sections) - Anti-LAG-3 antibody [EPR4392(2)] - BSA and Azide free (AB209740)

Clone EPR4392(2) (ab209740) has been successfully conjugated by Abcam. This image was generated using Anti-LAG-3 antibody [EPR4392(2)] (Alexa Fluor® 647). Please refer to ab225278 for protocol details.

IHC image of LAG-3 staining in a section of formalin-fixed paraffin-embedded human Hodgkin's lymphoma*.

The section was pre-treated using heat mediated antigen retrieval with sodium citrate buffer (pH6) in a Biocare Medical NxGen pressure cooker using retrieval settings of 110oC for 20 minutes. Non-specific protein-protein interactions were then blocked in TBS containing 0.025% (v/v) Triton X-100, 0.3M (w/v) glycine and 1% (w/v) BSA for 1h at room temperature.  The section was then incubated overnight at +4°C in TBS containing 0.025% (v/v) Triton X-100 and 1% (w/v) BSA with ab225278 at 1/100 dilution (shown in red) and counterstained using ab195887, Mouse monoclonal to alpha Tubulin (Alexa Fluor® 488), at 1/250 dilution (shown in green). Nuclear DNA was labelled with DAPI (shown in blue). The section was then mounted using Fluoromount®.

Image was taken with a confocal microscope (Leica-Microsystems, TCS SP8).

For other IHC staining systems (automated and non-automated), customers should optimize variable parameters such as antigen retrieval conditions, antibody concentrations and incubation times.

*Tissue obtained from the Human Research Tissue Bank, supported by the NIHR Cambridge Biomedical Research Centre.

Immunohistochemistry (Formalin/PFA-fixed paraffin-embedded sections) - Anti-LAG-3 antibody [EPR4392(2)] - BSA and Azide free (AB209740)
  • IHC-P

Unknown

Immunohistochemistry (Formalin/PFA-fixed paraffin-embedded sections) - Anti-LAG-3 antibody [EPR4392(2)] - BSA and Azide free (AB209740)

Clone EPR4392(2) (ab209740) has been successfully conjugated by Abcam. This image was generated using Anti-LAG-3 antibody [EPR4392(2)] - C-terminal (Alexa Fluor® 488). Please refer to ab225277 for protocol details.

IHC image of LAG-3 - C-terminal staining in a section of formalin-fixed paraffin-embedded human Hodgkin's lymphoma*.

The section was pre-treated using heat mediated antigen retrieval with sodium citrate buffer (pH6) in a Biocare Medical NxGen pressure cooker using retrieval settings of 110oC for 20 minutes. Non-specific protein-protein interactions were then blocked in TBS containing 0.025% (v/v) Triton X-100, 0.3M (w/v) glycine and 1% (w/v) BSA for 1h at room temperature. The section was then incubated overnight at +4°C in TBS containing 0.025% (v/v) Triton X-100 and 1% (w/v) BSA with ab225277 at 1/250 dilution (shown in green) and counterstained using ab195884, Rat monoclonal to Tubulin (Alexa Fluor® 647), at 1/250 dilution (shown in red). Nuclear DNA was labelled with DAPI (shown in blue). The section was then mounted using Fluoromount®.

Image was taken with a confocal microscope (Leica-Microsystems, TCS SP8).

For other IHC staining systems (automated and non-automated), customers should optimize variable parameters such as antigen retrieval conditions, antibody concentrations and incubation times.

*Tissue obtained from the Human Research Tissue Bank, supported by the NIHR Cambridge Biomedical Research Centre.

Immunohistochemistry (Formalin/PFA-fixed paraffin-embedded sections) - Anti-LAG-3 antibody [EPR4392(2)] - BSA and Azide free (AB209740)
  • IHC-P

Supplier Data

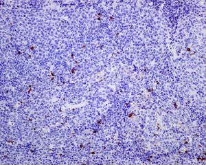
Immunohistochemistry (Formalin/PFA-fixed paraffin-embedded sections) - Anti-LAG-3 antibody [EPR4392(2)] - BSA and Azide free (AB209740)

Immunohistochemical analysis of paraffin embedded Human tonsil tissue labeling LAG-3 with ab180187 at 1/1000.

This data was developed using the same antibody clone in a different buffer formulation containing PBS, BSA, glycerol, and sodium azide (ab180187).

Heat mediated antigen retrieval was performed before commencing with IHC staining protocol.

Immunohistochemistry (Formalin/PFA-fixed paraffin-embedded sections) - Anti-LAG-3 antibody [EPR4392(2)] - BSA and Azide free (AB209740)
  • IHC-P

Supplier Data

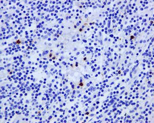
Immunohistochemistry (Formalin/PFA-fixed paraffin-embedded sections) - Anti-LAG-3 antibody [EPR4392(2)] - BSA and Azide free (AB209740)

This IHC data was generated using the same anti-LAG3 antibody clone, EPR4392(2), in a different buffer formulation (cat# ab180187).

Immunohistochemical analysis of paraffin embedded Human Hodgkins lymphoma tissue labeling LAG-3 with ab180187 at 1/1000.

Heat mediated antigen retrieval was performed before commencing with IHC staining protocol.

  • Unconjugated

    Anti-LAG-3 antibody [EPR4392(2)] - C-terminal

  • 617 Alexa Fluor® 594

    Alexa Fluor® 594 Anti-LAG-3 antibody [EPR4392(2)] – C–terminal

  • 565 Alexa Fluor® 555

    Alexa Fluor® 555 Anti-LAG-3 antibody [EPR4392(2)] – C–terminal

  • 660 APC

    APC Anti-LAG-3 antibody [EPR4392(2)] – C–terminal

  • 578 PE

    PE Anti-LAG-3 antibody [EPR4392(2)] – C–terminal

  • 775 Alexa Fluor® 750

    Alexa Fluor® 750 Anti-LAG-3 antibody [EPR4392(2)] - C-terminal

  • 519 Alexa Fluor® 488

    Alexa Fluor® 488 Anti-LAG-3 antibody [EPR4392(2)] - C-terminal

  • 665 Alexa Fluor® 647

    Alexa Fluor® 647 Anti-LAG-3 antibody [EPR4392(2)]

  • Carrier free

    Anti-LAG-3 antibody [EPR4392(2)] - Low endotoxin, Azide free

Key facts

Host species

Rabbit

Clonality

Monoclonal

Clone number

EPR4392(2)

Isotype

IgG

Carrier free

Yes

Reacts with

Human

Applications

IHC-P

applications

Immunogen

The exact immunogen used to generate this antibody is proprietary information.

Reactivity data

{ "title": "Reactivity Data", "filters": { "stats": ["", "Species", "Dilution Info", "Notes"], "tabs": { "all-applications": {"fullname" : "All Applications", "shortname": "All Applications"}, "IHCP" : {"fullname" : "Immunohistochemistry (Formalin/PFA-fixed paraffin-embedded sections)", "shortname":"IHC-P"} }, "product-promise": { "all": "all", "testedAndGuaranteed": "tested", "guaranteed": "expected", "predicted": "predicted", "notRecommended": "not-recommended" } }, "values": { "Human": { "IHCP-species-checked": "testedAndGuaranteed", "IHCP-species-dilution-info": "", "IHCP-species-notes": "<p></p>" } } }

Product details

ab209740 is the carrier-free version of ab180187.

Species reactivity
Mouse, Rat: We have preliminary internal testing data to indicate this antibody may not react with these species.
Please contact us for more information.

Patented technology
Our RabMAb® technology is a patented hybridoma-based technology for making rabbit monoclonal antibodies. For details on our patents, please refer to RabMAb® patents.

What are the advantages of a recombinant monoclonal antibody?
This product is a recombinant monoclonal antibody, which offers several advantages including:

  • - High batch-to-batch consistency and reproducibility
  • - Improved sensitivity and specificity
  • - Long-term security of supply
  • - Animal-free batch production

For more information, read more on recombinant antibodies.

Conjugation ready
Our carrier-free antibodies are typically supplied in a PBS-only formulation, purified and free of BSA, sodium azide and glycerol. This conjugation-ready format is designed for use with fluorochromes, metal isotopes, oligonucleotides, and enzymes, which makes them ideal for antibody labelling, functional and cell-based assays, flow-based assays (e.g. mass cytometry) and Multiplex Imaging applications.

Use our conjugation kits for antibody conjugates that are ready-to-use in as little as 20 minutes with 1 minute hands-on-time and 100% antibody recovery: available for fluorescent dyes, HRP, biotin and gold.

Compatibility
This product is compatible with the Maxpar® Antibody Labeling Kit from Fluidigm, without the need for antibody preparation. Maxpar® is a trademark of Fluidigm Canada Inc.

Properties and storage information

Form
Liquid
Purification technique
Affinity purification Protein A
Storage buffer
pH: 7.2 - 7.4 Constituents: PBS
Shipped at conditions
Blue Ice
Appropriate short-term storage conditions
+4°C
Appropriate long-term storage conditions
+4°C
Storage information
Do Not Freeze

Supplementary information

This supplementary information is collated from multiple sources and compiled automatically.

LAG-3 also known as CD223 is a transmembrane protein with a mass of approximately 70 kDa. It acts as a checkpoint molecule similar to CTLA-4 and PD-1 in the immune system. LAG-3 is expressed on activated T cells natural killer cells and some dendritic cells. It interacts with its ligand MHC class II leading to inhibition of cellular proliferation and cytokine secretion an important part of immune response regulation.
Biological function summary

LAG-3 is involved in maintaining immune homeostasis and preventing autoimmunity. It is not part of a complex but works in synergy with other immune checkpoint molecules. When interacting with MHC class II LAG-3 transmits inhibitory signals that attenuate immune cell responses. Its role in immune regulation helps to balance immune activation and tolerance which is essential for preventing tissue damage while protecting against pathogens.

Pathways

The inhibitory role of LAG-3 integrates into the T cell receptor (TCR) signaling pathway and is also linked to the PD-1 signaling pathway. In TCR signaling LAG-3 negatively regulates T cell activation. LAG-3 is functionally related to proteins like PD-1 and CTLA-4 sharing similar roles in immune checkpoint pathways that are critical for maintaining immune balance.

LAG-3 has links to cancer and autoimmune diseases. In cancer LAG-3 expression on tumor-infiltrating lymphocytes correlates with immune evasion by tumors. This relationship appears in various cancers including melanoma and renal cell carcinoma. In autoimmune diseases LAG-3's expression on regulatory T cells helps control conditions such as multiple sclerosis. It collaborates with CTLA-4 in modulating immune responses that prevent excessive immune activation and tissue damage associated with autoimmunity.

Product protocols

For this product, it's our understanding that no specific protocols are required. You can visit:

Target data

Lymphocyte activation gene 3 protein : Inhibitory receptor on antigen activated T-cells (PubMed : 20421648, PubMed : 7805750, PubMed : 8647185). Delivers inhibitory signals upon binding to ligands, such as FGL1 (By similarity). FGL1 constitutes a major ligand of LAG3 and is responsible for LAG3 T-cell inhibitory function (By similarity). Following TCR engagement, LAG3 associates with CD3-TCR in the immunological synapse and directly inhibits T-cell activation (By similarity). May inhibit antigen-specific T-cell activation in synergy with PDCD1/PD-1, possibly by acting as a coreceptor for PDCD1/PD-1 (By similarity). Negatively regulates the proliferation, activation, effector function and homeostasis of both CD8(+) and CD4(+) T-cells (PubMed : 20421648, PubMed : 7805750, PubMed : 8647185). Also mediates immune tolerance : constitutively expressed on a subset of regulatory T-cells (Tregs) and contributes to their suppressive function (By similarity). Also acts as a negative regulator of plasmacytoid dendritic cell (pDCs) activation (By similarity). Binds MHC class II (MHC-II); the precise role of MHC-II-binding is however unclear (PubMed : 8647185).. Secreted lymphocyte activation gene 3 protein. May function as a ligand for MHC class II (MHC-II) on antigen-presenting cells (APC), promoting APC activation/maturation and driving Th1 immune response.
See full target information LAG3

Publications (1)

Recent publications for all applications. Explore the full list and refine your search

Arthritis research & therapy 27:173 PubMed40890810

2025

Transforming growth factor beta (TGF-β) induces type 1 interferon signalling in systemic sclerosis keratinocytes through the chloride intracellular channel 4 (CLIC4).

Applications

Unspecified application

Species

Unspecified reactive species

Christopher W Wasson,Sophie L Dibb,Begoña Caballero-Ruiz,Ifeoluwa E Bamigbola,Stefano Di Donato,Eva M Madourie-Clavane,Rebecca Wells,Vishal Kakkar,Enrico De Lorenzis,Jessica Bryon,Emma Derrett-Smith,Christopher P Denton,Yasser El-Sherbiny,Paul J Meakin,Rebecca L Ross,Francesco Del Galdo
View all publications

Product promise

We are committed to supporting your work with high-quality reagents, and we're here for you every step of the way. In the unlikely event that one of our products does not perform as expected, you're protected by our Product Promise.
For full details, please see our Terms & Conditions

Please note: All products are 'FOR RESEARCH USE ONLY. NOT FOR USE IN DIAGNOSTIC OR THERAPEUTIC PROCEDURES'.

For licensing inquiries, please contact partnerships@abcam.com