JavaScript is disabled in your browser. Please enable JavaScript to view this website.
AB307732

Anti-LAGE-1 antibody [EPR27371-91]

  • BOND RX™ Validated
  • 20ul selling size
  • RabMAb
  • Recombinant
  • What is this?

Be the first to review this product! Submit a review

|

(0 Publication)

Rabbit Recombinant Monoclonal LAGE-1 antibody. Suitable for IP, IHC-P, WB and reacts with Human samples.

View Alternative Names

ESO2, LAGE1, CTAG2, Cancer/testis antigen 2, CT2, Autoimmunogenic cancer/testis antigen NY-ESO-2, Cancer/testis antigen 6.2, L antigen family member 1, CT6.2, LAGE-1

4 Images
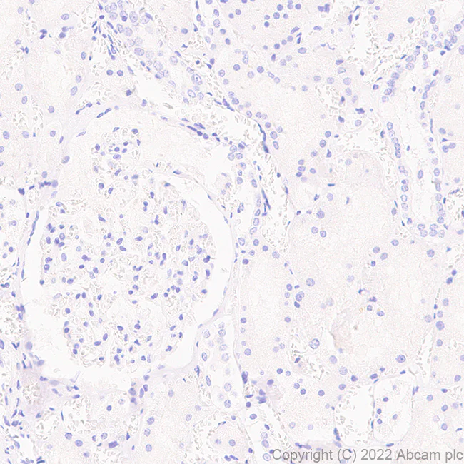
Immunohistochemistry (Formalin/PFA-fixed paraffin-embedded sections) - Anti-LAGE-1 antibody [EPR27371-91] (AB307732)
  • IHC-P

Supplier Data

Immunohistochemistry (Formalin/PFA-fixed paraffin-embedded sections) - Anti-LAGE-1 antibody [EPR27371-91] (AB307732)

Immunohistochemical analysis of paraffin-embedded Human kidney tissue labeling LAGE-1 with ab307732 at 1/2000 (0.245 ug/ml) followed by a ready to use LeicaDS9800 (Bond™ Polymer Refine Detection). Negative control : no staining on human kidney (PMID : 10399963). The section was incubated with ab307732 for 30 mins at room temperature.The immunostaining was performed on a Leica Biosystems BOND® RX instrument Counterstained with Hematoxylin. Secondary antibody only control : Secondary antibody is a ready to use LeicaDS9800 (Bond™ Polymer Refine Detection). Heat mediated antigen retrieval was performed with Tris-EDTA buffer (pH 9.0, Epitope Retrieval Solution2) for 20 mins

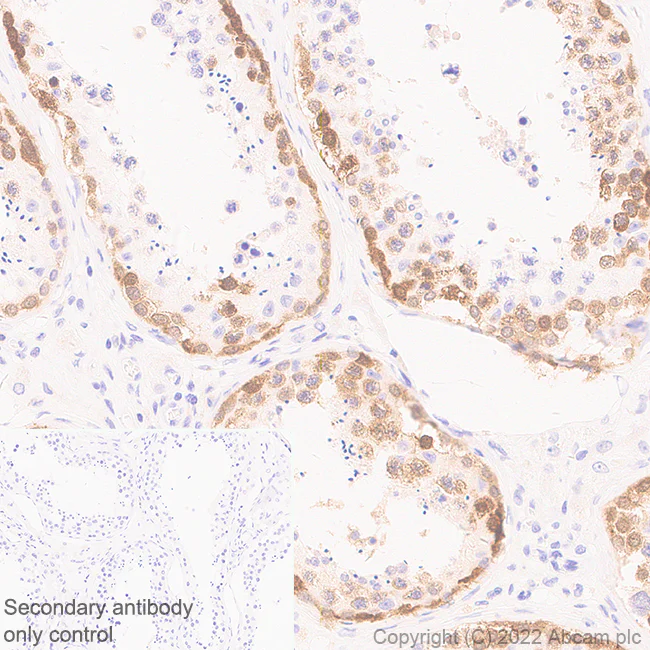
Immunohistochemistry (Formalin/PFA-fixed paraffin-embedded sections) - Anti-LAGE-1 antibody [EPR27371-91] (AB307732)
  • IHC-P

Supplier Data

Immunohistochemistry (Formalin/PFA-fixed paraffin-embedded sections) - Anti-LAGE-1 antibody [EPR27371-91] (AB307732)

Immunohistochemical analysis of paraffin-embedded Human testis tissue labeling LAGE-1 with ab307732 at 1/2000 (0.245 ug/ml) followed by a ready to use LeicaDS9800 (Bond™ Polymer Refine Detection). Positive staining on human testis (PMID : 10399963). The section was incubated with ab307732 for 30 mins at room temperature.The immunostaining was performed on a Leica Biosystems BOND® RX instrument Counterstained with Hematoxylin. Secondary antibody only control : Secondary antibody is a ready to use LeicaDS9800 (Bond™ Polymer Refine Detection). Heat mediated antigen retrieval was performed with Tris-EDTA buffer (pH 9.0, Epitope Retrieval Solution2) for 20 mins

Immunoprecipitation - Anti-LAGE-1 antibody [EPR27371-91] (AB307732)
  • IP

Supplier Data

Immunoprecipitation - Anti-LAGE-1 antibody [EPR27371-91] (AB307732)

LAGE-1 was immunoprecipitated from 0.35 mg Human testis tissue lysate with ab307732 at 1/30 dilution (2ug in 0.35mg lysates). Western blot was performed on the immunoprecipitate using ab307732 at 1/1000 dilution. VeriBlot for IP secondary antibody(HRP)(ab131366) was used at 1/5000 dilution. Lane 1 : Human testis tissue lysate Lane 2 : ab307732 IP in Human testis tissue lysate Lane 3 : Rabbit monoclonal IgG (ab172730) instead of ab307732 in human testis tissue lysate Blocking and dilution buffer and concentration : 5% NFDM/TBST. Exposure time : 41 seconds

All lanes:

Immunoprecipitation - Anti-LAGE-1 antibody [EPR27371-91] (ab307732) at 1/30 dilution

All lanes:

Human testis tissue lysate

Secondary

All lanes:

Immunoprecipitation - VeriBlot for IP Detection Reagent (HRP) (<a href='/en-us/products/reagents/veriblot-for-ip-detection-reagent-hrp-ab131366'>ab131366</a>) at 1/5000 dilution

false

Exposure time: 41s

Western blot - Anti-LAGE-1 antibody [EPR27371-91] (AB307732)
  • WB

Supplier Data

Western blot - Anti-LAGE-1 antibody [EPR27371-91] (AB307732)

Blocking and diluting buffer and concentration : 5% NFDM/TBST Negative control : human kidney (PMID : 10399963). Exposure time : 180 seconds

All lanes:

Western blot - Anti-LAGE-1 antibody [EPR27371-91] (ab307732) at 1/1000 dilution

Lane 1:

Human testis tissue lysate at 20 µg

Lane 2:

Human kidney tissue lysate at 20 µg

Secondary

All lanes:

Goat Anti-Rabbit IgG (HRP) with minimal cross-reactivity with human IgG at 1/2000 dilution

Observed band size: 21 kDa

false

Exposure time: 180s

Key facts

Host species

Rabbit

Clonality

Monoclonal

Clone number

EPR27371-91

Isotype

IgG

Carrier free

No

Reacts with

Human

Applications

WB, IP, IHC-P

applications

Immunogen

The exact immunogen used to generate this antibody is proprietary information.

Reactivity data

{ "title": "Reactivity Data", "filters": { "stats": ["", "Species", "Dilution Info", "Notes"], "tabs": { "all-applications": {"fullname" : "All Applications", "shortname": "All Applications"}, "IP" : {"fullname" : "Immunoprecipitation", "shortname":"IP"}, "IHCP" : {"fullname" : "Immunohistochemistry (Formalin/PFA-fixed paraffin-embedded sections)", "shortname":"IHC-P"}, "FlowCyt" : {"fullname" : "Flow Cytometry", "shortname":"Flow Cyt"}, "ICCIF" : {"fullname" : "Immunocytochemistry/ Immunofluorescence", "shortname":"ICC/IF"}, "WB" : {"fullname" : "Western blot", "shortname":"WB"} }, "product-promise": { "all": "all", "testedAndGuaranteed": "tested", "guaranteed": "expected", "predicted": "predicted", "notRecommended": "not-recommended" } }, "values": { "Human": { "IP-species-checked": "testedAndGuaranteed", "IP-species-dilution-info": "1/30", "IP-species-notes": "<p></p>", "IHCP-species-checked": "testedAndGuaranteed", "IHCP-species-dilution-info": "1/2000", "IHCP-species-notes": "<p></p> Perform heat-mediated antigen retrieval with Tris/EDTA buffer pH 9.0 before commencing with IHC staining protocol.", "FlowCyt-species-checked": "notRecommended", "FlowCyt-species-dilution-info": "", "FlowCyt-species-notes": "<p></p>", "ICCIF-species-checked": "notRecommended", "ICCIF-species-dilution-info": "", "ICCIF-species-notes": "<p></p>", "WB-species-checked": "testedAndGuaranteed", "WB-species-dilution-info": "1/1000", "WB-species-notes": "<p></p>" }, "Mouse": { "IP-species-checked": "notRecommended", "IP-species-dilution-info": "", "IP-species-notes": "", "IHCP-species-checked": "notRecommended", "IHCP-species-dilution-info": "1/2000", "IHCP-species-notes": "<p></p> Perform heat-mediated antigen retrieval with Tris/EDTA buffer pH 9.0 before commencing with IHC staining protocol.", "FlowCyt-species-checked": "notRecommended", "FlowCyt-species-dilution-info": "", "FlowCyt-species-notes": "<p></p>", "ICCIF-species-checked": "notRecommended", "ICCIF-species-dilution-info": "", "ICCIF-species-notes": "", "WB-species-checked": "notRecommended", "WB-species-dilution-info": "1/1000", "WB-species-notes": "<p></p>" }, "Rat": { "IP-species-checked": "notRecommended", "IP-species-dilution-info": "", "IP-species-notes": "", "IHCP-species-checked": "notRecommended", "IHCP-species-dilution-info": "1/2000", "IHCP-species-notes": "<p></p> Perform heat-mediated antigen retrieval with Tris/EDTA buffer pH 9.0 before commencing with IHC staining protocol.", "FlowCyt-species-checked": "notRecommended", "FlowCyt-species-dilution-info": "", "FlowCyt-species-notes": "", "ICCIF-species-checked": "notRecommended", "ICCIF-species-dilution-info": "", "ICCIF-species-notes": "", "WB-species-checked": "notRecommended", "WB-species-dilution-info": "1/1000", "WB-species-notes": "<p></p>" } } }

Product details

Patented technology
Our RabMAb® technology is a patented hybridoma-based technology for making rabbit monoclonal antibodies. For details on our patents, please refer to RabMAb® patents.

What are the advantages of a recombinant monoclonal antibody?
This product is a recombinant monoclonal antibody, which offers several advantages including:

  • - High batch-to-batch consistency and reproducibility
  • - Improved sensitivity and specificity
  • - Long-term security of supply
  • - Animal-free batch production

For more information, read more on recombinant antibodies.

Properties and storage information

Form
Liquid
Purification technique
Affinity purification Protein A
Storage buffer
pH: 7.2 - 7.4 Preservative: 0.01% Sodium azide Constituents: PBS, 40% Glycerol (glycerin, glycerine), 0.05% BSA
Shipped at conditions
Blue Ice
Appropriate short-term storage duration
1-2 weeks
Appropriate short-term storage conditions
+4°C
Appropriate long-term storage conditions
-20°C
Aliquoting information
Upon delivery aliquot
Storage information
Avoid freeze / thaw cycle

Supplementary information

This supplementary information is collated from multiple sources and compiled automatically.

LAGE-1 also known as CTAG2 is a cancer/testis antigen that is expressed in tumors and normally only in the testis. Its precise molecular mass is approximately 22 kDa. LAGE-1 plays a mechanical role in cellular processes involving antigen presentation making it significant in the context of immune response modulation within neoplastic environments. The expression profile of LAGE-1 is characterized by its restriction to immune-privileged sites providing an opportunity for tumor-specific interventions due to its limited normal tissue expression.
Biological function summary

LAGE-1 functions as part of a mechanism contributing to tumor immunogenicity. It participates in the presentation of peptides on the surface of cancer cells facilitating their recognition by T cells and subsequent immune targeting. LAGE-1 does not operate in isolation but may interact within a larger complex of similar antigens enhancing the immune system's ability to identify and combat malignancies.

Pathways

The involvement of LAGE-1 in immune surveillance pathways is essential. It interacts with components of the major histocompatibility complex (MHC) class I antigen presentation pathway. By associating with proteins involved in this pathway LAGE-1 enhances the visibility of cancer cells to cytotoxic T lymphocytes. Other proteins such as LAGE-1's homolog MAGE-A share similar pathways suggesting overlapping roles in the formation of antigen complexes and subsequent immune recognition.

LAGE-1 has strong associations with melanoma and non-small cell lung cancer. Its expression in these cancers makes it a target for immunotherapy approaches. In these contexts proteins like NY-ESO-1 which also belongs to the cancer/testis antigen family are co-expressed with LAGE-1 indicating shared roles in tumor progression and immune evasion. These associations underline the potential of LAGE-1 as a marker for targeted cancer immunotherapy strategies.

Product protocols

For this product, it's our understanding that no specific protocols are required. You can visit:

Product promise

We are committed to supporting your work with high-quality reagents, and we're here for you every step of the way. In the unlikely event that one of our products does not perform as expected, you're protected by our Product Promise.
For full details, please see our Terms & Conditions

Please note: All products are 'FOR RESEARCH USE ONLY. NOT FOR USE IN DIAGNOSTIC OR THERAPEUTIC PROCEDURES'.

For licensing inquiries, please contact partnerships@abcam.com