JavaScript is disabled in your browser. Please enable JavaScript to view this website.
AB323640

Anti-LAIR1 antibody [EPR24745-9]

  • BOND RX™ Validated
  • Recombinant
  • 20ul selling size
  • RabMAb
  • What is this?

Be the first to review this product! Submit a review

|

(0 Publication)

Rabbit Recombinant Monoclonal LAIR1 antibody. Suitable for WB, IHC-P and reacts with Recombinant fragment - Human, Human samples.

View Alternative Names

CD305, LAIR1, Leukocyte-associated immunoglobulin-like receptor 1, LAIR-1, hLAIR1

8 Images
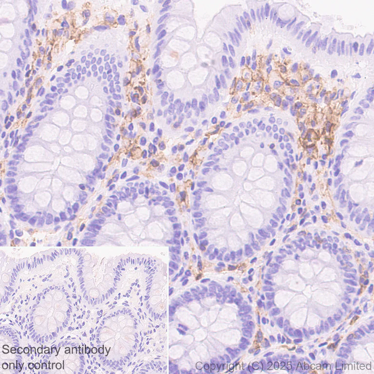
Immunohistochemistry (Formalin/PFA-fixed paraffin-embedded sections) - Anti-LAIR1 antibody [EPR24745-9] (AB323640)
  • IHC-P

Supplier Data

Immunohistochemistry (Formalin/PFA-fixed paraffin-embedded sections) - Anti-LAIR1 antibody [EPR24745-9] (AB323640)

Immunohistochemical analysis of paraffin-embedded Human colon tissue labeling LAIR1 with ab323640 at 1/100 (4.89 ug/ml) dilution, followed by a ready to use LeicaDS9800 (Bond™ Polymer Refine Detection).

Positive staining on immunocytes of human colon.
The section was incubated with ab323640 for 30 mins at room temperature.
The immunostaining was performed on a Leica Biosystems BOND® RX instrument

Counterstained with Hematoxylin.

Secondary antibody only control : Secondary antibody is a ready to use LeicaDS9800 (Bond™ Polymer Refine Detection).

Heat mediated antigen retrieval was performed with Tris-EDTA buffer (pH 9.0, Epitope Retrieval Solution2) for 20 mins

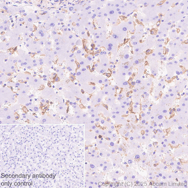
Immunohistochemistry (Formalin/PFA-fixed paraffin-embedded sections) - Anti-LAIR1 antibody [EPR24745-9] (AB323640)
  • IHC-P

Supplier Data

Immunohistochemistry (Formalin/PFA-fixed paraffin-embedded sections) - Anti-LAIR1 antibody [EPR24745-9] (AB323640)

Immunohistochemical analysis of paraffin-embedded Human liver tissue labeling LAIR1 with ab323640 at 1/100 (4.89 ug/ml) dilution, followed by a ready to use LeicaDS9800 (Bond™ Polymer Refine Detection).

Positive staining on Kupffer cells of human liver (PMID : 31019980).
The section was incubated with ab323640 for 30 mins at room temperature.
The immunostaining was performed on a Leica Biosystems BOND® RX instrument

Counterstained with Hematoxylin.

Secondary antibody only control : Secondary antibody is a ready to use LeicaDS9800 (Bond™ Polymer Refine Detection).

Heat mediated antigen retrieval was performed with Tris-EDTA buffer (pH 9.0, Epitope Retrieval Solution2) for 20 mins

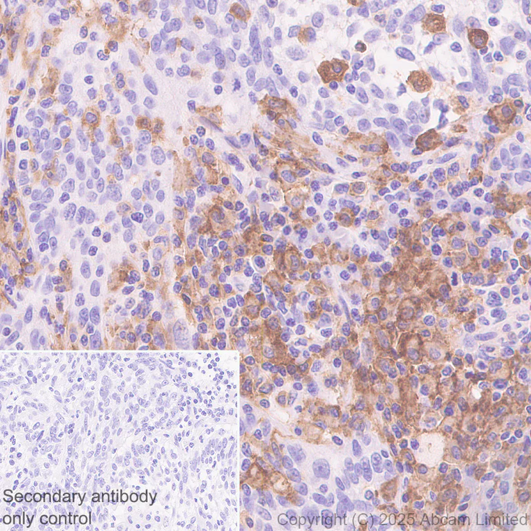
Immunohistochemistry (Formalin/PFA-fixed paraffin-embedded sections) - Anti-LAIR1 antibody [EPR24745-9] (AB323640)
  • IHC-P

Supplier Data

Immunohistochemistry (Formalin/PFA-fixed paraffin-embedded sections) - Anti-LAIR1 antibody [EPR24745-9] (AB323640)

Immunohistochemical analysis of paraffin-embedded Human lung carcinoma tissue labeling LAIR1 with ab323640 at 1/100 (4.89 ug/ml) dilution, followed by a ready to use LeicaDS9800 (Bond™ Polymer Refine Detection).

Positive staining on human lung carcinoma.
The section was incubated with ab323640 for 30 mins at room temperature.
The immunostaining was performed on a Leica Biosystems BOND® RX instrument

Counterstained with Hematoxylin.

Secondary antibody only control : Secondary antibody is a ready to use LeicaDS9800 (Bond™ Polymer Refine Detection).

Heat mediated antigen retrieval was performed with Tris-EDTA buffer (pH 9.0, Epitope Retrieval Solution2) for 20 mins

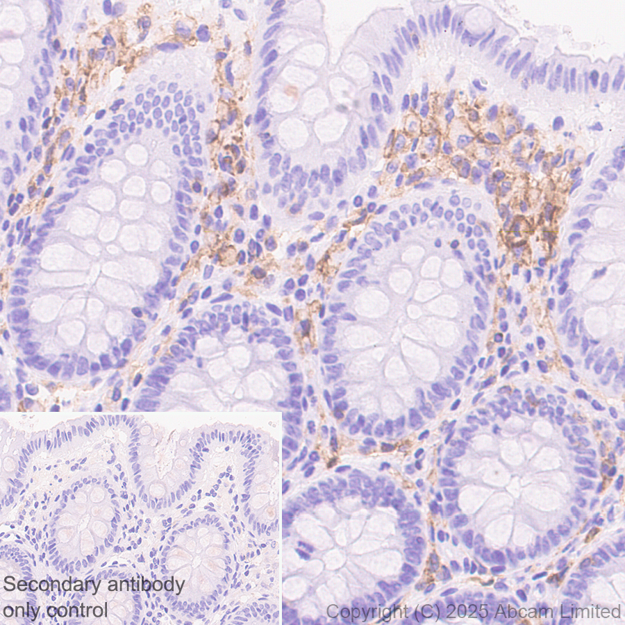
Immunohistochemistry (Formalin/PFA-fixed paraffin-embedded sections) - Anti-LAIR1 antibody [EPR24745-9] (AB323640)
  • IHC-P

Supplier Data

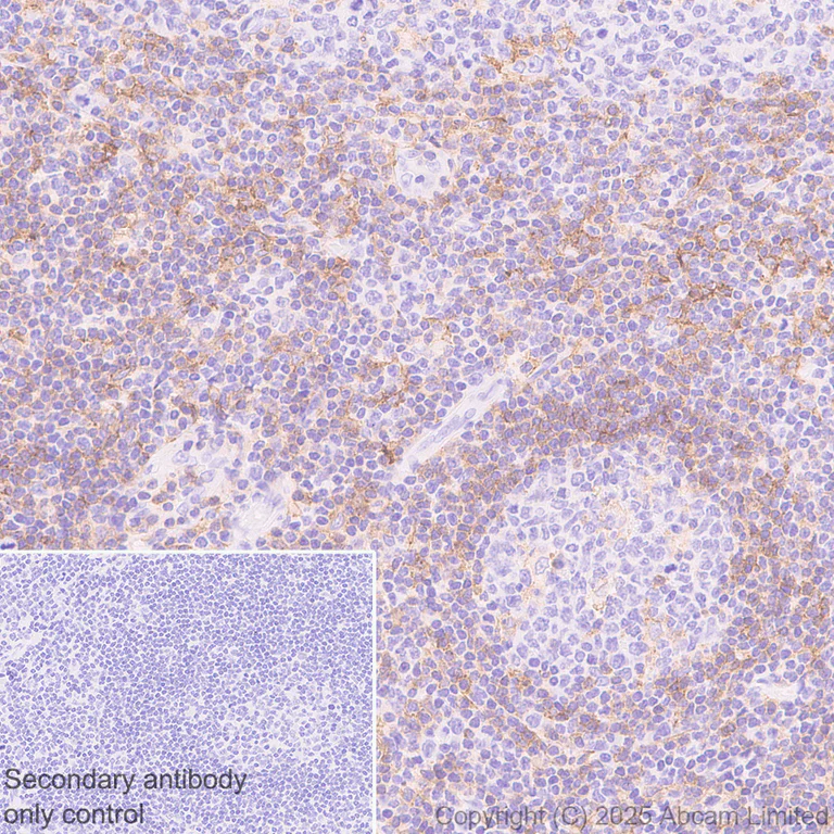
Immunohistochemistry (Formalin/PFA-fixed paraffin-embedded sections) - Anti-LAIR1 antibody [EPR24745-9] (AB323640)

Immunohistochemical analysis of paraffin-embedded Human tonsil tissue labeling LAIR1 with ab323640 at 1/100 (4.89 ug/ml) dilution, followed by a ready to use LeicaDS9800 (Bond™ Polymer Refine Detection).

Positive staining on human tonsil.
The section was incubated with ab323640 for 30 mins at room temperature.
The immunostaining was performed on a Leica Biosystems BOND® RX instrument

Counterstained with Hematoxylin.

Secondary antibody only control : Secondary antibody is a ready to use LeicaDS9800 (Bond™ Polymer Refine Detection).

Heat mediated antigen retrieval was performed with Tris-EDTA buffer (pH 9.0, Epitope Retrieval Solution2) for 20 mins

Western blot - Anti-LAIR1 antibody [EPR24745-9] (AB323640)
  • WB

Supplier Data

Western blot - Anti-LAIR1 antibody [EPR24745-9] (AB323640)

Blocking and diluting buffer and concentration : 5% NFDM/TBST.

Low expression : human skeletal muscle.

In Western blot, Anti-GAPDH antibody [EPR16891] - Loading Control (ab181602) staining at 1/200000 dilution.

All lanes:

Western blot - Anti-LAIR1 antibody [EPR24745-9] (ab323640) at 1/1000 dilution

Lane 1:

Human tonsil tissue lysate at 20 µg

Lane 2:

Human skeletal muscle tissue lysate at 20 µg

Secondary

All lanes:

Goat Anti-Rabbit IgG (HRP) with minimal cross-reactivity with human IgG at 1/2000 dilution

Observed band size: 37 kDa,36 kDa

false

Exposure time: 70s

Western blot - Anti-LAIR1 antibody [EPR24745-9] (AB323640)
  • WB

Supplier Data

Western blot - Anti-LAIR1 antibody [EPR24745-9] (AB323640)

Blocking and diluting buffer and concentration : 5% NFDM/TBST.

Negative control : HeLa, A-172.

In Western blot, Anti-GAPDH antibody [EPR16891] - Loading Control (ab181602) staining at 1/200000 dilution.

All lanes:

Western blot - Anti-LAIR1 antibody [EPR24745-9] (ab323640) at 1/1000 dilution

Lane 1:

THP-1 (human monocytic leukemia monocyte) whole cell lysate at 20 µg

Lane 2:

CCRF-CEM (human peripheral blood t lymphoblast) whole cell lysate at 20 µg

Lane 3:

HeLa (human cervical adenocarcinoma epithelial cell) whole cell lysate at 20 µg

Lane 4:

A-172 (human brain glioblastoma cell ) whole cell lysate at 20 µg

Secondary

All lanes:

Western blot - Goat Anti-Rabbit IgG H&L (HRP) (<a href='/en-us/products/secondary-antibodies/goat-rabbit-igg-h-l-hrp-ab97051'>ab97051</a>) at 1/20000 dilution

Observed band size: 37 kDa,36 kDa

false

Exposure time: 15s

Immunohistochemistry (Formalin/PFA-fixed paraffin-embedded sections) - Anti-LAIR1 antibody [EPR24745-9] (AB323640)
  • IHC-P

Supplier Data

Immunohistochemistry (Formalin/PFA-fixed paraffin-embedded sections) - Anti-LAIR1 antibody [EPR24745-9] (AB323640)

Immunohistochemical analysis of paraffin-embedded Human skeletal muscle tissue labeling LAIR1 with ab323640 at 1/100 (4.89 ug/ml) dilution, followed by a ready to use LeicaDS9800 (Bond™ Polymer Refine Detection).

Low expression tissue : No staining in human skeletal muscle.
The section was incubated with ab323640 for 30 mins at room temperature.
The immunostaining was performed on a Leica Biosystems BOND® RX instrument

Counterstained with Hematoxylin.

Secondary antibody only control : Secondary antibody is a ready to use LeicaDS9800 (Bond™ Polymer Refine Detection).

Heat mediated antigen retrieval was performed with Tris-EDTA buffer (pH 9.0, Epitope Retrieval Solution2) for 20 mins

Western blot - Anti-LAIR1 antibody [EPR24745-9] (AB323640)
  • WB

Supplier Data

Western blot - Anti-LAIR1 antibody [EPR24745-9] (AB323640)

Blocking and diluting buffer and concentration : 5% NFDM/TBST.

This antibody does not cross-react with recombinant human LAIR2 by western blot.

In Western blot, Anti-6X His tag® antibody [EPR20547] - ChIP Grade (ab213204) staining at 1/5000 dilution.

All lanes:

Western blot - Anti-LAIR1 antibody [EPR24745-9] (ab323640) at 1/1000 dilution

Lane 1:

His-tagged human LAIR1 fragment at 10 ng

Lane 2:

His-tagged human LAIR2 fragment at 10 ng

Observed band size: 31 kDa,23 kDa

false

Exposure time: 92s

Key facts

Host species

Rabbit

Clonality

Monoclonal

Clone number

EPR24745-9

Isotype

IgG

Carrier free

No

Reacts with

Human

Applications

WB, IHC-P

applications

Immunogen

The exact immunogen used to generate this antibody is proprietary information.

Reactivity data

{ "title": "Reactivity Data", "filters": { "stats": ["", "Species", "Dilution Info", "Notes"], "tabs": { "all-applications": {"fullname" : "All Applications", "shortname": "All Applications"}, "WB" : {"fullname" : "Western blot", "shortname":"WB"}, "IHCP" : {"fullname" : "Immunohistochemistry (Formalin/PFA-fixed paraffin-embedded sections)", "shortname":"IHC-P"} }, "product-promise": { "all": "all", "testedAndGuaranteed": "tested", "guaranteed": "expected", "predicted": "predicted", "notRecommended": "not-recommended" } }, "values": { "Human": { "WB-species-checked": "testedAndGuaranteed", "WB-species-dilution-info": "1/1000", "WB-species-notes": "<p></p>", "IHCP-species-checked": "testedAndGuaranteed", "IHCP-species-dilution-info": "1/100", "IHCP-species-notes": "<p></p> Perform heat-mediated antigen retrieval with Tris/EDTA buffer pH 9.0 before commencing with IHC staining protocol." }, "Recombinant fragment - Human": { "WB-species-checked": "testedAndGuaranteed", "WB-species-dilution-info": "1/1000", "WB-species-notes": "<p></p>", "IHCP-species-checked": "notRecommended", "IHCP-species-dilution-info": "", "IHCP-species-notes": "" } } }

Product details

Patented technology
Our RabMAb® technology is a patented hybridoma-based technology for making rabbit monoclonal antibodies. For details on our patents, please refer to RabMAb® patents.

What are the advantages of a recombinant monoclonal antibody?
This product is a recombinant monoclonal antibody, which offers several advantages including:

  • - High batch-to-batch consistency and reproducibility
  • - Improved sensitivity and specificity
  • - Long-term security of supply
  • - Animal-free batch production

For more information, read more on recombinant antibodies.

Properties and storage information

Form
Liquid
Purification technique
Affinity purification Protein A
Storage buffer
pH: 7.2 - 7.4 Preservative: 0.01% Sodium azide Constituents: PBS, 40% Glycerol (glycerin, glycerine), 0.05% BSA
Shipped at conditions
Blue Ice
Appropriate short-term storage duration
1-2 weeks
Appropriate short-term storage conditions
+4°C
Appropriate long-term storage conditions
-20°C
Aliquoting information
Upon delivery aliquot
Storage information
Avoid freeze / thaw cycle

Product protocols

For this product, it's our understanding that no specific protocols are required. You can visit:

Target data

Functions as an inhibitory receptor that plays a constitutive negative regulatory role on cytolytic function of natural killer (NK) cells, B-cells and T-cells. Activation by Tyr phosphorylation results in recruitment and activation of the phosphatases PTPN6 and PTPN11. It also reduces the increase of intracellular calcium evoked by B-cell receptor ligation. May also play its inhibitory role independently of SH2-containing phosphatases. Modulates cytokine production in CD4+ T-cells, down-regulating IL2 and IFNG production while inducing secretion of transforming growth factor beta. Down-regulates also IgG and IgE production in B-cells as well as IL8, IL10 and TNF secretion. Inhibits proliferation and induces apoptosis in myeloid leukemia cell lines as well as prevents nuclear translocation of NF-kappa-B p65 subunit/RELA and phosphorylation of I-kappa-B alpha/CHUK in these cells. Inhibits the differentiation of peripheral blood precursors towards dendritic cells.
See full target information LAIR1

Product promise

We are committed to supporting your work with high-quality reagents, and we're here for you every step of the way. In the unlikely event that one of our products does not perform as expected, you're protected by our Product Promise.
For full details, please see our Terms & Conditions

Please note: All products are 'FOR RESEARCH USE ONLY. NOT FOR USE IN DIAGNOSTIC OR THERAPEUTIC PROCEDURES'.

For licensing inquiries, please contact partnerships@abcam.com