JavaScript is disabled in your browser. Please enable JavaScript to view this website.
AB307542

Anti-LAMA1 antibody [EPR27258-37]

  • 20ul selling size
  • RabMAb
  • Recombinant
  • Advanced Validation
  • What is this?

Be the first to review this product! Submit a review

|

(1 Publication)

Rabbit Recombinant Monoclonal LAMA1 antibody. Suitable for IHC-P, mIHC and reacts with Rat, Mouse samples. Cited in 1 publication.

View Alternative Names

Lama, Lama-1, Lama1, Laminin subunit alpha-1, Laminin A chain, Laminin-1 subunit alpha, Laminin-3 subunit alpha, S-laminin subunit alpha, S-LAM alpha

6 Images
Immunohistochemistry (Formalin/PFA-fixed paraffin-embedded sections) - Anti-LAMA1 antibody [EPR27258-37] (AB307542)
  • IHC-P

Supplier Data

Immunohistochemistry (Formalin/PFA-fixed paraffin-embedded sections) - Anti-LAMA1 antibody [EPR27258-37] (AB307542)

Immunohistochemical analysis of paraffin-embedded Mouse spleen tissue lABeling LAMA1 with ab307542 at 1/100 (4.98 ug/ml) followed by a ready to use Goat Anti-RABbit IgG H&L (HRP polymer). Negative control : No staining on mouse spleen.The section was incubated with ab307542 at 4ЎгC overnight. Counterstained with Hematoxylin. Secondary antibody only control : Secondary antibody is a ready to use Goat Anti-RABbit IgG H&L (HRP polymer). Heat mediated antigen retrieval was performed using ab93684 (Tris/EDTA buffer, pH 9.0)

Immunohistochemistry (Formalin/PFA-fixed paraffin-embedded sections) - Anti-LAMA1 antibody [EPR27258-37] (AB307542)
  • IHC-P

Supplier Data

Immunohistochemistry (Formalin/PFA-fixed paraffin-embedded sections) - Anti-LAMA1 antibody [EPR27258-37] (AB307542)

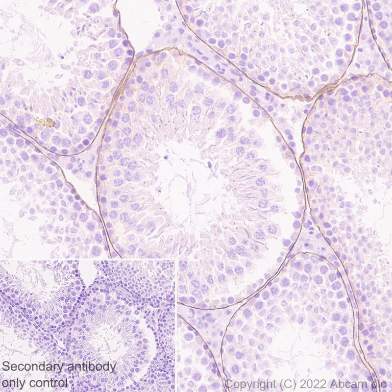
Immunohistochemical analysis of paraffin-embedded Mouse testis tissue labeling LAMA1 with ab307542 at 1/100 (4.98 ug/ml) followed by a ready to use Goat Anti-RABbit IgG H&L (HRP polymer). Basement membrane staining on mouse testis. The section was incubated with ab307542 at 4ЎгC overnight. Counterstained with Hematoxylin. Secondary antibody only control : Secondary antibody is a ready to use Goat Anti-RABbit IgG H&L (HRP polymer). Heat mediated antigen retrieval was performed using ab93684 (Tris/EDTA buffer, pH 9.0)

Immunohistochemistry (Formalin/PFA-fixed paraffin-embedded sections) - Anti-LAMA1 antibody [EPR27258-37] (AB307542)
  • IHC-P

Supplier Data

Immunohistochemistry (Formalin/PFA-fixed paraffin-embedded sections) - Anti-LAMA1 antibody [EPR27258-37] (AB307542)

Immunohistochemical analysis of paraffin-embedded Rat testis tissue labeling LAMA1 with ab307542 at 1/100 (4.98 ug/ml) followed by a ready to use Goat Anti-RABbit IgG H&L (HRP polymer). Basement membrane staining on rat testis. The section was incubated with ab307542 at 4ЎгC overnight. Counterstained with Hematoxylin. Secondary antibody only control : Secondary antibody is a ready to use Goat Anti-RABbit IgG H&L (HRP polymer). Heat mediated antigen retrieval was performed using ab93684 (Tris/EDTA buffer, pH 9.0)

Immunohistochemistry (Formalin/PFA-fixed paraffin-embedded sections) - Anti-LAMA1 antibody [EPR27258-37] (AB307542)
  • IHC-P

Supplier Data

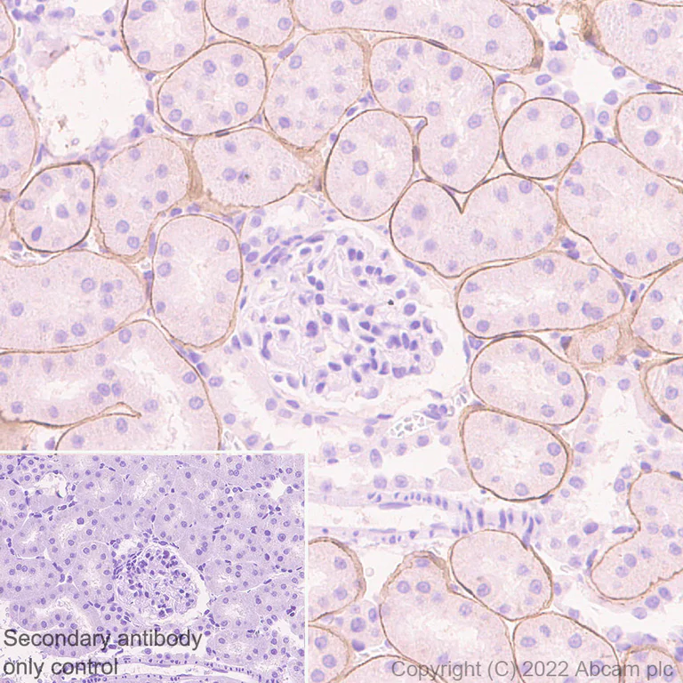
Immunohistochemistry (Formalin/PFA-fixed paraffin-embedded sections) - Anti-LAMA1 antibody [EPR27258-37] (AB307542)

Immunohistochemical analysis of paraffin-embedded Rat kidney tissue lABeling LAMA1 with ab307542 at 1/100 (4.98 ug/ml) followed by a ready to use Goat Anti-RABbit IgG H&L (HRP polymer). Basement membrane staining on rat kidney (PMID : ?21915268). The section was incubated with ab307542 at 4ЎгC overnight. Counterstained with Hematoxylin. Secondary antibody only control : Secondary antibody is a ready to use Goat Anti-RABbit IgG H&L (HRP polymer). Heat mediated antigen retrieval was performed using ab93684 (Tris/EDTA buffer, pH 9.0)

Multiplex immunohistochemistry - Anti-LAMA1 antibody [EPR27258-37] (AB307542)
  • mIHC

Lab

Multiplex immunohistochemistry - Anti-LAMA1 antibody [EPR27258-37] (AB307542)

Multiplex immunohistochemistry analysis of formalin/PFA-fixed paraffin-embedded mouse testis tissue staining Laminin alpha 1 with ab307542 at a 1/100 dilution, ab267377 anti-Wilms tumor protein used at 1/2000 dilution and ab323317 anti-Oligodendrocyte Specific Protein used at a 1/500 dilution.

Panel A : anti-Laminin alpha 1 (green; Opal™520), anti-Wilms tumor protein (magenta; Opal™690) and anti Oligodendrocyte Specific Protein (gray; Opal™570) on mouse testis.

Panel B : anti-Laminin alpha 1 staining basement membrane in mouse testis.

Panel C : anti-Wilms tumor protein staining Sertoli cells in mouse testis.

Panel D : anti-Oligodendrocyte Specific Protein staining apical Sertoli cell crypts in mouse testis.

Nuclear DNA was labeled with DAPI (shown in blue).

The section was incubated in three rounds of staining : in the order of ab307542, ab267377 and ab323317 for 30 mins at room temperature. Each round was followed by a separate fluorescent tyramide signal amplification system.

The immunostaining was performed on a Leica Biosystems BOND® RX instrument with an Opal™ 4-color kit. Image acquisition was performed with Leica SP8 confocal microscope.

Heat mediated antigen retrieval was performed with Tris-EDTA buffer (pH 9.0, Epitope Retrieval Solution2) for 20 mins.

Multiplex immunohistochemistry - Anti-LAMA1 antibody [EPR27258-37] (AB307542)
  • mIHC

Lab

Multiplex immunohistochemistry - Anti-LAMA1 antibody [EPR27258-37] (AB307542)

Multiplex immunohistochemistry analysis of formalin/PFA-fixed paraffin-embedded rat testis tissue staining Laminin alpha 1 with ab307542 at a 1/100 dilution, ab267377 anti-Wilms tumor protein used at 1/2000 dilution and ab323317 anti-Oligodendrocyte Specific Protein used at a 1/500 dilution.

Panel A : anti-Laminin alpha 1 (green; Opal™520), anti-Wilms tumor protein (magenta; Opal™690) and anti Oligodendrocyte Specific Protein (gray; Opal™570) on rat testis.

Panel B : anti-Laminin alpha 1 staining basement membrane in rat testis.

Panel C : anti-Wilms tumor protein staining Sertoli cells in rat testis.

Panel D : anti-Oligodendrocyte Specific Protein staining apical Sertoli cell crypts in rat testis.

Nuclear DNA was labeled with DAPI (shown in blue).

The section was incubated in three rounds of staining : in the order of ab307542, ab267377 and ab323317 for 30 mins at room temperature. Each round was followed by a separate fluorescent tyramide signal amplification system.

The immunostaining was performed on a Leica Biosystems BOND® RX instrument with an Opal™ 4-color kit. Image acquisition was performed with Leica SP8 confocal microscope.

Heat mediated antigen retrieval was performed with Tris-EDTA buffer (pH 9.0, Epitope Retrieval Solution2) for 20 mins.

Key facts

Host species

Rabbit

Clonality

Monoclonal

Clone number

EPR27258-37

Isotype

IgG

Carrier free

No

Reacts with

Mouse, Rat

Applications

IHC-P, mIHC

applications

Immunogen

The exact immunogen used to generate this antibody is proprietary information.

Reactivity data

{ "title": "Reactivity Data", "filters": { "stats": ["", "Species", "Dilution Info", "Notes"], "tabs": { "all-applications": {"fullname" : "All Applications", "shortname": "All Applications"}, "ICCIF" : {"fullname" : "Immunocytochemistry/ Immunofluorescence", "shortname":"ICC/IF"}, "IHCFr" : {"fullname" : "Immunohistochemistry (Frozen sections)", "shortname":"IHC-Fr"}, "IHCP" : {"fullname" : "Immunohistochemistry (Formalin/PFA-fixed paraffin-embedded sections)", "shortname":"IHC-P"}, "WB" : {"fullname" : "Western blot", "shortname":"WB"}, "mIHC" : {"fullname" : "Multiplex immunohistochemistry", "shortname":"mIHC"} }, "product-promise": { "all": "all", "testedAndGuaranteed": "tested", "guaranteed": "expected", "predicted": "predicted", "notRecommended": "not-recommended" } }, "values": { "Mouse": { "ICCIF-species-checked": "notRecommended", "ICCIF-species-dilution-info": "", "ICCIF-species-notes": "<p></p>", "IHCFr-species-checked": "notRecommended", "IHCFr-species-dilution-info": "", "IHCFr-species-notes": "<p></p>", "IHCP-species-checked": "testedAndGuaranteed", "IHCP-species-dilution-info": "1/100", "IHCP-species-notes": "<p></p> Perform heat-mediated antigen retrieval with Tris/EDTA buffer pH 9.0 before commencing with IHC staining protocol.", "WB-species-checked": "notRecommended", "WB-species-dilution-info": "", "WB-species-notes": "<p></p>", "mIHC-species-checked": "testedAndGuaranteed", "mIHC-species-dilution-info": "1/100", "mIHC-species-notes": "<p></p> Perform heat-mediated antigen retrieval with Tris/EDTA buffer pH 9.0 before commencing with IHC staining protocol." }, "Rat": { "ICCIF-species-checked": "notRecommended", "ICCIF-species-dilution-info": "", "ICCIF-species-notes": "", "IHCFr-species-checked": "notRecommended", "IHCFr-species-dilution-info": "", "IHCFr-species-notes": "<p></p>", "IHCP-species-checked": "testedAndGuaranteed", "IHCP-species-dilution-info": "1/100", "IHCP-species-notes": "<p></p> Perform heat-mediated antigen retrieval with Tris/EDTA buffer pH 9.0 before commencing with IHC staining protocol.", "WB-species-checked": "notRecommended", "WB-species-dilution-info": "", "WB-species-notes": "<p></p>", "mIHC-species-checked": "testedAndGuaranteed", "mIHC-species-dilution-info": "1/100", "mIHC-species-notes": "<p></p> Perform heat-mediated antigen retrieval with Tris/EDTA buffer pH 9.0 before commencing with IHC staining protocol." } } }

Product details

Patented technology
Our RabMAb® technology is a patented hybridoma-based technology for making rabbit monoclonal antibodies. For details on our patents, please refer to RabMAb® patents.

What are the advantages of a recombinant monoclonal antibody?
This product is a recombinant monoclonal antibody, which offers several advantages including:

  • - High batch-to-batch consistency and reproducibility
  • - Improved sensitivity and specificity
  • - Long-term security of supply
  • - Animal-free batch production

For more information, read more on recombinant antibodies.

Properties and storage information

Form
Liquid
Purification technique
Affinity purification Protein A
Storage buffer
pH: 7.2 - 7.4 Preservative: 0.01% Sodium azide Constituents: PBS, 40% Glycerol (glycerin, glycerine), 0.05% BSA
Shipped at conditions
Blue Ice
Appropriate short-term storage duration
1-2 weeks
Appropriate short-term storage conditions
+4°C
Appropriate long-term storage conditions
-20°C
Aliquoting information
Upon delivery aliquot
Storage information
Avoid freeze / thaw cycle

Supplementary information

This supplementary information is collated from multiple sources and compiled automatically.

LAMA1 also known as laminin subunit alpha-1 is a component of the extracellular matrix with a molecular mass of approximately 400 kDa. It is part of the laminin family a group of glycoproteins that play key roles in maintaining structural integrity and signaling in tissues. LAMA1 is widely expressed in basement membranes of many tissues particularly in the brain kidney and other organs with complex architecture. Researchers often explore its expression patterns using techniques like laminin histology and laminin microscope analysis.
Biological function summary

This protein acts as a structural scaffold and cell adhesion mediator. LAMA1 integrates into the laminin-1 trimer complex composed of alpha beta and gamma chains supporting cellular attachment differentiation and migration. This assembly aids in tissue morphogenesis and repair processes. It creates an important interface between cells and the extracellular matrix influencing cellular behavior and maintaining tissue function.

Pathways

LAMA1 interacts with cellular signaling cascades such as the PI3K/AKT pathway and the TGF-beta pathway. These pathways play significant roles in cellular growth survival and differentiation. LAMA1's interaction with other proteins like integrins and heparan sulfate proteoglycans facilitates its role in these pathways impacting diverse processes like embryonic development and tissue remodeling.

LAMA1 shows a connection to conditions such as Pierson syndrome and certain congenital muscular dystrophies. Mutations in LAMA1 can lead to basement membrane defects contributing to these diseases' pathological features. Additionally interactions with proteins like collagen IV and perlecan are significant as these complexes can further influence disease severity and progression. Understanding LAMA1's role provides insights into potential therapeutic approaches for related disorders.

Product protocols

For this product, it's our understanding that no specific protocols are required. You can visit:

Target data

Binding to cells via a high affinity receptor, laminin is thought to mediate the attachment, migration and organization of cells into tissues during embryonic development by interacting with other extracellular matrix components.
See full target information Lama1

Publications (1)

Recent publications for all applications. Explore the full list and refine your search

Nature 646:934-944 PubMed40903576

2025

Dynamic fibroblast-immune interactions shape recovery after brain injury.

Applications

Unspecified application

Species

Unspecified reactive species

Nathan A Ewing-Crystal,Nicholas M Mroz,Amara Larpthaveesarp,Carlos O Lizama,Remy Pennington,Pailin Chiaranunt,Jason I Dennis,Anthony A Chang,Eric Dean Merrill,Sofia E Caryotakis,Nikhita Kirthivasan,Leon Teo,Tatsuya Tsukui,Aditya Katewa,Gabriel L McKinsey,Sophia C K Nelson,Agnieszka Ciesielska,Nicole C Lummis,Lucija Pintarić,Madelene W Dahlgren,Amha Atakilit,Helena Paidassi,Saket Jain,Xiaodan Liu,Duan Xu,Manish K Aghi,James A Bourne,Jeanne T Paz,Richard Daneman,Fernando F Gonzalez,Dean Sheppard,Anna V Molofsky,Thomas D Arnold,Ari B Molofsky
View all publications

Product promise

We are committed to supporting your work with high-quality reagents, and we're here for you every step of the way. In the unlikely event that one of our products does not perform as expected, you're protected by our Product Promise.
For full details, please see our Terms & Conditions

Please note: All products are 'FOR RESEARCH USE ONLY. NOT FOR USE IN DIAGNOSTIC OR THERAPEUTIC PROCEDURES'.

For licensing inquiries, please contact partnerships@abcam.com