JavaScript is disabled in your browser. Please enable JavaScript to view this website.
AB185131

Anti-Lambda Light chain antibody [EPR5367-62] - BSA and Azide free

Be the first to review this product! Submit a review

|

(2 Publications)

Rabbit Recombinant Monoclonal LV151 antibody. Carrier free. Suitable for IHC-P, ELISA, ICC/IF, Flow Cyt (Intra), WB and reacts with Human, Recombinant full length protein - Human samples. Cited in 2 publications.

View Alternative Names

Immunoglobulin lambda variable 1-51, Ig lambda chain V-I region BL2, Ig lambda chain V-I region EPS, Ig lambda chain V-I region NEW, Ig lambda chain V-I region NIG-64, IGLV1-51

5 Images
Immunocytochemistry/ Immunofluorescence - Anti-Lambda Light chain antibody [EPR5367-62] - BSA and Azide free (AB185131)
  • ICC/IF

Lab

Immunocytochemistry/ Immunofluorescence - Anti-Lambda Light chain antibody [EPR5367-62] - BSA and Azide free (AB185131)

Immunocytochemistry/Immunofluorescence analysis of Ramos cells labelling Lambda Light chain with purified ab124719 at 1/250. Cells were fixed with 4% paraformaldehyde and permeabilized with 0.1% Triton X-100. ab150077, an Alexa Fluor® 488-conjugated goat anti-rabbit IgG (1/500) was used as the secondary antibody. DAPI (blue) was used as the nuclear counterstain. ab7291, a mouse anti-tubulin (1/1000) and ab150120, an Alexa Fluor® 594-conjugated goat anti-mouse IgG (1/500) were also used.

Control 1 : primary antibody (1/250) and secondary antibody, ab150120, an Alexa Fluor® 594-conjugated goat anti-mouse IgG (1/500).

Control 2 : ab7291 (1/1000) and secondary antibody, ab150077, an Alexa Fluor® 488-conjugated goat anti-rabbit IgG (1/500).

This data was developed using the same antibody clone in a different buffer formulation containing PBS, BSA, glycerol, and sodium azide (ab124719).

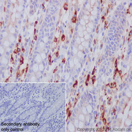
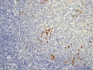
Immunohistochemistry (Formalin/PFA-fixed paraffin-embedded sections) - Anti-Lambda Light chain antibody [EPR5367-62] - BSA and Azide free (AB185131)
  • IHC-P

Lab

Immunohistochemistry (Formalin/PFA-fixed paraffin-embedded sections) - Anti-Lambda Light chain antibody [EPR5367-62] - BSA and Azide free (AB185131)

Immunohistochemistry (Formalin/PFA-fixed paraffin-embedded sections) analysis of human colon tissue labelling Lambda Light chain with purified ab124719 at 1/300. Heat mediated antigen retrieval was performed using Tris/EDTA buffer pH 9. ab97051, a HRP-conjugated goat anti-rabbit IgG (H+L) was used as the secondary antibody (1/500). Negative control using PBS instead of primary antibody. Counterstained with hematoxylin.

This data was developed using the same antibody clone in a different buffer formulation containing PBS, BSA, glycerol, and sodium azide (ab124719).

Immunohistochemistry (Formalin/PFA-fixed paraffin-embedded sections) - Anti-Lambda Light chain antibody [EPR5367-62] - BSA and Azide free (AB185131)
  • IHC-P

Unknown

Immunohistochemistry (Formalin/PFA-fixed paraffin-embedded sections) - Anti-Lambda Light chain antibody [EPR5367-62] - BSA and Azide free (AB185131)

Immunohistochemistry (Formalin/PFA-fixed paraffin-embedded sections) analysis of human tonsil tissue labelling Lambda Light chain with unpurified ab124719 at a dilution of 1/250.

This data was developed using the same antibody clone in a different buffer formulation containing PBS, BSA, glycerol, and sodium azide (ab124719).

Perform heat mediated antigen retrieval before commencing with IHC staining protocol.

Flow Cytometry (Intracellular) - Anti-Lambda Light chain antibody [EPR5367-62] - BSA and Azide free (AB185131)
  • Flow Cyt (Intra)

Lab

Flow Cytometry (Intracellular) - Anti-Lambda Light chain antibody [EPR5367-62] - BSA and Azide free (AB185131)

Intracellular Flow Cytometry analysis of Ramos (human Burkitt's lymphoma) cells labeling Lambda Light chain with unpurified ab124719 at 1/50 dilution (10ug/ml) (red). Cells were fixed with 4% paraformaldehyde and permeabilised with 90% methanol. A Goat anti rabbit IgG (Alexa Fluor® 488) (1/2000 dilution) was used as the secondary antibody. Rabbit monoclonal IgG (Black) was used as the isotype control, cells without incubation with primary antibody and secondary antibody (Blue) were used as the unlabeled control.

This data was developed using the same antibody clone in a different buffer formulation containing PBS, BSA, glycerol, and sodium azide (ab124719).

ELISA - Anti-Lambda Light chain antibody [EPR5367-62] - BSA and Azide free (AB185131)
  • ELISA

Lab

ELISA - Anti-Lambda Light chain antibody [EPR5367-62] - BSA and Azide free (AB185131)

ELISA analysis of Human Kappa light chain (Free), Human Lambda Light Chains (Free), Human IgA, Human IgM, Human IgG, Rat IgG, Mouse IgG at 1000 ng/mL with ab124719 at 1000~0ng/mL. An Alkaline Phosphatase-conjugated AffiniPure Goat Anti-Rabbit IgG (H+L) at 1/2500 dilution was used as the secondary antibody.

This data was developed using the same antibody clone in a different buffer formulation containing PBS, BSA, glycerol, and sodium azide (ab124719).

  • Unconjugated

    Anti-Lambda Light chain antibody [EPR5367-62]

  • HRP

    HRP Anti-Lambda Light chain antibody [EPR5367-62]

Key facts

Host species

Rabbit

Clonality

Monoclonal

Clone number

EPR5367-62

Isotype

IgG

Carrier free

Yes

Reacts with

Human

Applications

ELISA, ICC/IF, WB, Flow Cyt (Intra), IHC-P

applications

Immunogen

The exact immunogen used to generate this antibody is proprietary information.

Reactivity data

{ "title": "Reactivity Data", "filters": { "stats": ["", "Species", "Dilution Info", "Notes"], "tabs": { "all-applications": {"fullname" : "All Applications", "shortname": "All Applications"}, "IHCP" : {"fullname" : "Immunohistochemistry (Formalin/PFA-fixed paraffin-embedded sections)", "shortname":"IHC-P"}, "ELISA" : {"fullname" : "ELISA", "shortname":"ELISA"}, "ICCIF" : {"fullname" : "Immunocytochemistry/ Immunofluorescence", "shortname":"ICC/IF"}, "FlowCytIntra" : {"fullname" : "Flow Cytometry (Intracellular)", "shortname":"Flow Cyt (Intra)"}, "WB" : {"fullname" : "Western blot", "shortname":"WB"} }, "product-promise": { "all": "all", "testedAndGuaranteed": "tested", "guaranteed": "expected", "predicted": "predicted", "notRecommended": "not-recommended" } }, "values": { "Human": { "IHCP-species-checked": "testedAndGuaranteed", "IHCP-species-dilution-info": "", "IHCP-species-notes": "<p></p>", "ELISA-species-checked": "guaranteed", "ELISA-species-dilution-info": "", "ELISA-species-notes": "", "ICCIF-species-checked": "testedAndGuaranteed", "ICCIF-species-dilution-info": "", "ICCIF-species-notes": "<p></p>", "FlowCytIntra-species-checked": "testedAndGuaranteed", "FlowCytIntra-species-dilution-info": "", "FlowCytIntra-species-notes": "<p></p>", "WB-species-checked": "guaranteed", "WB-species-dilution-info": "", "WB-species-notes": "<p></p>" }, "Recombinant full length protein - Human": { "IHCP-species-checked": "notRecommended", "IHCP-species-dilution-info": "", "IHCP-species-notes": "", "ELISA-species-checked": "testedAndGuaranteed", "ELISA-species-dilution-info": "", "ELISA-species-notes": "<p></p>", "ICCIF-species-checked": "notRecommended", "ICCIF-species-dilution-info": "", "ICCIF-species-notes": "", "FlowCytIntra-species-checked": "notRecommended", "FlowCytIntra-species-dilution-info": "", "FlowCytIntra-species-notes": "", "WB-species-checked": "notRecommended", "WB-species-dilution-info": "", "WB-species-notes": "" } } }

Product details

ab185131 is the carrier-free version of ab124719.

Species reactivity
Mouse, Rat: We have preliminary internal testing data to indicate this antibody may not react with these species.
Please contact us for more information.

Patented technology
Our RabMAb® technology is a patented hybridoma-based technology for making rabbit monoclonal antibodies. For details on our patents, please refer to RabMAb® patents.

What are the advantages of a recombinant monoclonal antibody?
This product is a recombinant monoclonal antibody, which offers several advantages including:

  • - High batch-to-batch consistency and reproducibility
  • - Improved sensitivity and specificity
  • - Long-term security of supply
  • - Animal-free batch production

For more information, read more on recombinant antibodies.

Conjugation ready
Our carrier-free antibodies are typically supplied in a PBS-only formulation, purified and free of BSA, sodium azide and glycerol. This conjugation-ready format is designed for use with fluorochromes, metal isotopes, oligonucleotides, and enzymes, which makes them ideal for antibody labelling, functional and cell-based assays, flow-based assays (e.g. mass cytometry) and Multiplex Imaging applications.

Use our conjugation kits for antibody conjugates that are ready-to-use in as little as 20 minutes with 1 minute hands-on-time and 100% antibody recovery: available for fluorescent dyes, HRP, biotin and gold.

Compatibility
This product is compatible with the Maxpar® Antibody Labeling Kit from Fluidigm, without the need for antibody preparation. Maxpar® is a trademark of Fluidigm Canada Inc.

Properties and storage information

Form
Liquid
Purification technique
Affinity purification Protein A
Storage buffer
pH: 7.2 - 7.4 Constituents: PBS
Shipped at conditions
Blue Ice
Appropriate short-term storage conditions
+4°C
Appropriate long-term storage conditions
+4°C
Storage information
Do Not Freeze

Supplementary information

This supplementary information is collated from multiple sources and compiled automatically.

Lambda Light Chain also known as lambda chain or lambda protein forms a part of immunoglobulins (antibodies). Its mass typically ranges between 22 to 24 kDa. This protein is expressed primarily in B cells. Specifically it pairs with heavy chains to form the complete antibody molecule. It participates in the antigen recognition process supporting the immune system's defense mechanisms.
Biological function summary

Lambda Light Chain participates in immunological functions by contributing to the antigen-binding site of antibodies. It exists as a part of the immunoglobulin complex. The lambda chain alongside heavy chains forms the variable part of antibodies allowing specificity in antigen recognition. Its variation leads to a diverse antibody repertoire which is important for recognizing a wide range of pathogens.

Pathways

Lambda Light Chain fits into pathways involving adaptive immune responses. It is important in antigen processing and presentation pathways. In this context it interacts with the heavy chains which together drive the specificity and efficiency of immune response pathways. It also associates with proteins like the major histocompatibility complex (MHC) which facilitates antigen presentation to T cells.

Lambda Light Chain associates with multiple myeloma a cancer of plasma cells and light chain amyloidosis a disorder where light chains accumulate as amyloid fibrils in tissues. In these conditions proteins like immunoglobulin heavy chain and albumin often interact with or are affected by lambda chains providing insights into disease mechanisms and potential targets for therapeutic intervention.

Product protocols

For this product, it's our understanding that no specific protocols are required. You can visit:

Target data

V region of the variable domain of immunoglobulin light chains that participates in the antigen recognition (PubMed : 24600447). Immunoglobulins, also known as antibodies, are membrane-bound or secreted glycoproteins produced by B lymphocytes. In the recognition phase of humoral immunity, the membrane-bound immunoglobulins serve as receptors which, upon binding of a specific antigen, trigger the clonal expansion and differentiation of B lymphocytes into immunoglobulins-secreting plasma cells. Secreted immunoglobulins mediate the effector phase of humoral immunity, which results in the elimination of bound antigens (PubMed : 20176268, PubMed : 22158414). The antigen binding site is formed by the variable domain of one heavy chain, together with that of its associated light chain. Thus, each immunoglobulin has two antigen binding sites with remarkable affinity for a particular antigen. The variable domains are assembled by a process called V-(D)-J rearrangement and can then be subjected to somatic hypermutations which, after exposure to antigen and selection, allow affinity maturation for a particular antigen (PubMed : 17576170, PubMed : 20176268).
See full target information IGLV1-51

Publications (2)

Recent publications for all applications. Explore the full list and refine your search

NPJ precision oncology 7:95 PubMed37723227

2023

Targeted single-cell proteomic analysis identifies new liquid biopsy biomarkers associated with multiple myeloma.

Applications

Unspecified application

Species

Unspecified reactive species

Sonia M Setayesh,Libere J Ndacayisaba,Kate E Rappard,Valerie Hennes,Luz Yurany Moreno Rueda,Guilin Tang,Pei Lin,Robert Z Orlowski,David E Symer,Elisabet E Manasanch,Stephanie N Shishido,Peter Kuhn

Drug testing and analysis 14:80-91 PubMed34397154

2021

Transthyretin as a target of alkylation and a potential biomarker for sulfur mustard poisoning: Electrophoretic and mass spectrometric identification and characterization.

Applications

Unspecified application

Species

Unspecified reactive species

Wolfgang Schmeißer,Robin Lüling,Dirk Steinritz,Horst Thiermann,Theo Rein,Harald John
View all publications

Product promise

We are committed to supporting your work with high-quality reagents, and we're here for you every step of the way. In the unlikely event that one of our products does not perform as expected, you're protected by our Product Promise.
For full details, please see our Terms & Conditions

Please note: All products are 'FOR RESEARCH USE ONLY. NOT FOR USE IN DIAGNOSTIC OR THERAPEUTIC PROCEDURES'.

For licensing inquiries, please contact partnerships@abcam.com