JavaScript is disabled in your browser. Please enable JavaScript to view this website.
AB274376

Anti-LAMC2 antibody [EPR23654-127]

5

(1 Review)

|

(7 Publications)

Anti-LAMC2 antibody [EPR23654-127] (ab274376) is a rabbit monoclonal antibody detecting LAMC2 in Western Blot, Flow Cytometry (Intra), IP, ICC/IF. Suitable for Human.

- Biophysical QC for unrivalled batch-batch consistency

View Alternative Names

LAMB2T, LAMNB2, LAMC2, Laminin subunit gamma-2, Cell-scattering factor 140 kDa subunit, Epiligrin subunit gamma, Kalinin subunit gamma, Kalinin/nicein/epiligrin 100 kDa subunit, Ladsin 140 kDa subunit, Laminin B2t chain, Laminin-5 subunit gamma, Large adhesive scatter factor 140 kDa subunit, Nicein subunit gamma, CSF 140 kDa subunit

5 Images
Immunocytochemistry/ Immunofluorescence - Anti-LAMC2 antibody [EPR23654-127] (AB274376)
  • ICC/IF

Unknown

Immunocytochemistry/ Immunofluorescence - Anti-LAMC2 antibody [EPR23654-127] (AB274376)

Immunofluorescent analysis of 4% Paraformaldehyde-fixed, 0.1% TritonX-100 permeabilized A431 cells labelling LAMC2 with ab274376 at 1/100 dilution, followed by ab150077 Goat Anti-Rabbit IgG H&L (Alexa Fluor® 488) antibody at 1/1000 dilution (Green). Confocal image showing cytoplasmic staining in A431 cell line. Low expression control : A549 (PMID : 25591736). ab195889 Anti-alpha Tubulin mouse monoclonal antibody - Microtubule Marker (Alexa Fluor® 594) was used to counterstain tubulin at 1/200 dilution (Red). The Nuclear counterstain was DAPI (Blue).

Secondary antibody only control : Secondary antibody is ab150077 Goat Anti-Rabbit IgG H&L (Alexa Fluor® 488) at 1/1000 dilution.

Flow Cytometry (Intracellular) - Anti-LAMC2 antibody [EPR23654-127] (AB274376)
  • Flow Cyt (Intra)

Unknown

Flow Cytometry (Intracellular) - Anti-LAMC2 antibody [EPR23654-127] (AB274376)

Intracellular flow cytometric analysis of 4% paraformaldehyde fixed, 90% methanol permeabilized A549 (Human lung carcinoma epithelial cell) (Left) A431 (Human epidermoid carcinoma epithelial cell) (Right) cells labelling LAMC2 with ab274376 at 1/500 dilution (0.1ug) (Red) (Red) compared with a Rabbit monoclonal IgG (ab172730) (Black) isotype control and an unlabelled control (cells without incubation with primary antibody and secondary antibody) (Blue).

A Goat anti rabbit IgG (Alexa Fluor® 488, ab150077) at 1/2000 dilution was used as the secondary antibody.

Low expression control : A549.

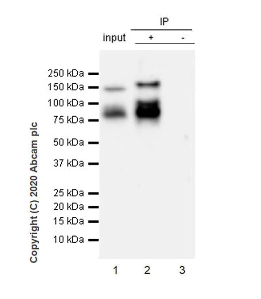
Immunoprecipitation - Anti-LAMC2 antibody [EPR23654-127] (AB274376)
  • IP

Unknown

Immunoprecipitation - Anti-LAMC2 antibody [EPR23654-127] (AB274376)

LAMC2 was immunoprecipitated from 0.35 mg A431 (human epidermoid carcinoma epithelial cell), whole cell lysate with ab274376 at 1/30 dilution (2ug in 0.35mg lysates). Western blot was performed on the immunoprecipitate using ab274376 at 1/1000 dilution. VeriBlot for IP Detection Reagent (HRP)(ab131366) was used at 1/5000 dilution.

Lane 1 : A431 (human epidermoid carcinoma epithelial cell), whole cell lysate 10 ug

Lane 2 : ab274376 IP in A431 whole cell lysate.

Lane 3 : Rabbit monoclonal IgG (ab172730) instead of ab274376 in A431 whole cell lysate.

Blocking and dilution buffer and concentration : 5% NFDM/TBST.

Exposure time : 41 seconds

Band of 140KDa represents the full length form, Bands of 100KDa and 80KDa represent the endogenously cleaved form.

The expression profile observed is consistent with what has been described in the literature (PMID : 21829200).

All lanes:

Immunoprecipitation - Anti-LAMC2 antibody [EPR23654-127] (ab274376)

Predicted band size: 131 kDa

Observed band size: 100 kDa,140 kDa,80 kDa

false

Western blot - Anti-LAMC2 antibody [EPR23654-127] (AB274376)
  • WB

Lab

Western blot - Anti-LAMC2 antibody [EPR23654-127] (AB274376)

This blot was produced using 4-20% SDS-PAGE containing 15 μg of A431 whole cell lysate per lane at 150V for 1hr before being transferred onto a 0.45 μm PVDF membrane at 75V for 1hr. The membrane was then blocked for 1hr using 5% NFDM/TBST, then incubated with ab274376 (1/1000) at room temperature for 1hr. After being washed three times in TBST, the membrane was incubated with Peroxidase conjugated goat anti-rabbit IgG (H+L) (ab97051) at 1/100,000 for 1hr at room temperature. The membrane was washed three times again. Then the signal was developed using the ECL technique. ab274376 was stored at a range of temperatures (+4°C, +22°C, +37°C) for 1 week before being tested in WB. The image shows the band intensity remains relatively constant for temperatures ranging between 4°C, 22°C and 37°C, demonstrating that antibody activity is not affected under these conditions.

All lanes:

Western blot - Anti-LAMC2 antibody [EPR23654-127] (ab274376) at 1/1000 dilution

All lanes:

A431 whole cell lysate at 15 µg with NDFM/TBST

Secondary

All lanes:

Western blot - Goat Anti-Rabbit IgG H&L (HRP) (<a href='/en-us/products/secondary-antibodies/goat-rabbit-igg-h-l-hrp-ab97051'>ab97051</a>) at 1/100000 dilution

false

Exposure time: 100s

Western blot - Anti-LAMC2 antibody [EPR23654-127] (AB274376)
  • WB

Lab

Western blot - Anti-LAMC2 antibody [EPR23654-127] (AB274376)

Blocking and diluting buffer and concentration : 5% NFDM/TBST.

Bands of 140KDa and 80KDa respectively represent the full length and endogenously cleaved form.

The expression profile observed is consistent with what has been described in the literature (PMID : 25591736, 21829200).

Low expression : A549 (PMID : 25591736) and WI-38 (PMID : 10964684)

Expsure time : 3 minutes

All lanes:

Western blot - Anti-LAMC2 antibody [EPR23654-127] (ab274376) at 1/1000 dilution

Lane 1:

A431 (human epidermoid carcinoma epithelial cell), whole cell lysate at 20 µg

Lane 2:

A549 (human lung carcinoma epithelial cell), whole cell lysate at 20 µg

Lane 3:

WI-38 (human fetal lung fibroblast), whole cell lysate at 20 µg

Secondary

All lanes:

Western blot - Goat Anti-Rabbit IgG H&L (HRP) (<a href='/en-us/products/secondary-antibodies/goat-rabbit-igg-h-l-hrp-ab97051'>ab97051</a>) at 1/100000 dilution

Predicted band size: 131 kDa

Observed band size: 140 kDa,80 kDa

false

  • Carrier free

    Anti-LAMC2 antibody [EPR23654-127] - BSA and Azide free

Key facts

Host species

Rabbit

Clonality

Monoclonal

Clone number

EPR23654-127

Isotype

IgG

Carrier free

No

Reacts with

Human

Applications

Flow Cyt (Intra), WB, ICC/IF, IP

applications

Immunogen

The exact immunogen used to generate this antibody is proprietary information.

Reactivity data

{ "title": "Reactivity Data", "filters": { "stats": ["", "Species", "Dilution Info", "Notes"], "tabs": { "all-applications": {"fullname" : "All Applications", "shortname": "All Applications"}, "ICCIF" : {"fullname" : "Immunocytochemistry/ Immunofluorescence", "shortname":"ICC/IF"}, "IP" : {"fullname" : "Immunoprecipitation", "shortname":"IP"}, "WB" : {"fullname" : "Western blot", "shortname":"WB"}, "IHCP" : {"fullname" : "Immunohistochemistry (Formalin/PFA-fixed paraffin-embedded sections)", "shortname":"IHC-P"}, "FlowCytIntra" : {"fullname" : "Flow Cytometry (Intracellular)", "shortname":"Flow Cyt (Intra)"} }, "product-promise": { "all": "all", "testedAndGuaranteed": "tested", "guaranteed": "expected", "predicted": "predicted", "notRecommended": "not-recommended" } }, "values": { "Human": { "ICCIF-species-checked": "testedAndGuaranteed", "ICCIF-species-dilution-info": "1/100", "ICCIF-species-notes": "<p></p>", "IP-species-checked": "testedAndGuaranteed", "IP-species-dilution-info": "1/30", "IP-species-notes": "<p></p>", "WB-species-checked": "testedAndGuaranteed", "WB-species-dilution-info": "1/1000", "WB-species-notes": "<p></p>", "IHCP-species-checked": "notRecommended", "IHCP-species-dilution-info": "", "IHCP-species-notes": "<p></p>", "FlowCytIntra-species-checked": "testedAndGuaranteed", "FlowCytIntra-species-dilution-info": "1/500", "FlowCytIntra-species-notes": "<p></p>" }, "Mouse": { "ICCIF-species-checked": "notRecommended", "ICCIF-species-dilution-info": "", "ICCIF-species-notes": "", "IP-species-checked": "notRecommended", "IP-species-dilution-info": "1/30", "IP-species-notes": "<p></p>", "WB-species-checked": "notRecommended", "WB-species-dilution-info": "1/1000", "WB-species-notes": "<p></p>", "IHCP-species-checked": "notRecommended", "IHCP-species-dilution-info": "", "IHCP-species-notes": "<p></p>", "FlowCytIntra-species-checked": "notRecommended", "FlowCytIntra-species-dilution-info": "", "FlowCytIntra-species-notes": "" }, "Rat": { "ICCIF-species-checked": "notRecommended", "ICCIF-species-dilution-info": "", "ICCIF-species-notes": "", "IP-species-checked": "notRecommended", "IP-species-dilution-info": "", "IP-species-notes": "", "WB-species-checked": "notRecommended", "WB-species-dilution-info": "1/1000", "WB-species-notes": "<p></p>", "IHCP-species-checked": "notRecommended", "IHCP-species-dilution-info": "", "IHCP-species-notes": "<p></p>", "FlowCytIntra-species-checked": "notRecommended", "FlowCytIntra-species-dilution-info": "", "FlowCytIntra-species-notes": "" } } }

Product details

What is this antibody validated in?
Anti-LAMC2 antibody [EPR23654-127] (ab274376) is a rabbit recombinant monoclonal antibody and is validated for use in Western Blot (WB), Flow Cytometry (Intra), Flow Cytometry (Flow Cyt), Immunoprecipitation (IP), Immunocytochemistry/immunofluorescence (ICC/IF) in Human samples.

What is the molecular weight of LAMC2?
Anti-LAMC2 [EPR23654-127] (ab274376) specifically detects a band for LAMC2 (UniProt: Q13753) at a molecular weight of 131kDa.

Trial sizes available!
Test your antibody or perform pre-screening before committing to a larger quantity. Sold in 10µl. Discover our selection of trial-size antibodies.

Other related products
We have a range of other formats of antibody clone [EPR23654-127] also available for your convenience: ab274376, Carrier free - ab274384

Patented technology
Our RabMAb® technology is a patented hybridoma-based technology for making rabbit monoclonal antibodies. For details on our patents, please refer to RabMAb® patents.

What are the advantages of a recombinant monoclonal antibody?
This product is a recombinant monoclonal antibody, which offers several advantages including:

  • - High batch-to-batch consistency and reproducibility
  • - Improved sensitivity and specificity
  • - Long-term security of supply
  • - Animal-free batch production

For more information, read more on recombinant antibodies.

Shipping conditions update: ambient shipping

This product will be delivered at ambient temperature instead of chilled – this is by design. Extensive stability testing confirmed that our products are suitable for shipment under ambient conditions and maintain expected quality.

Why the change?

It’s part of our commitment to more sustainable packaging solutions, with ambient deliveries using eco-friendly materials such as recyclable cardboard instead of polystyrene.

What you need to know

  • Ambient shipments come clearly marked on the delivery note.
  • No ice will be included in ambient shipments, but mixed orders (ambient and cold-chain items) will still arrive with ice packs to protect temperature-sensitive products.
  • Warranty coverage remains fully valid, aligned with our validated shipping method.
  • Please store the product as per the datasheet instructions upon receipt.

Find out more - https://www.abcam.com/en-us/support/shipping-storage-support/ambient-shipping

Properties and storage information

Form
Liquid
Purification technique
Affinity purification Protein A
Storage buffer
pH: 7.2 - 7.4 Preservative: 0.01% Sodium azide Constituents: PBS, 40% Glycerol (glycerin, glycerine), 0.05% BSA
Shipped at conditions
Conditional Ambient
Appropriate short-term storage duration
1-2 weeks
Appropriate short-term storage conditions
+4°C
Appropriate long-term storage conditions
-20°C
Aliquoting information
Upon delivery aliquot
Storage information
Avoid freeze / thaw cycle

Supplementary information

This supplementary information is collated from multiple sources and compiled automatically.

The LAMC2 protein also known as laminin subunit gamma-2 is an essential component of the extracellular matrix. It is a subunit of the laminin-332 complex formerly referred to as laminin-5 and has an approximate mass of 160 kDa. LAMC2 is widely expressed in various tissues most prominently in epithelial tissues. It localizes at the basement membrane zone where epithelial and mesenchymal tissues meet.
Biological function summary

LAMC2 plays a critical role in cell adhesion migration and signal transduction. Laminin-332 which includes LAMC2 binds to integrin receptors on cell surfaces facilitating cell-matrix interactions and communication. This complex is important for basement membrane stability and tissue organization and it is actively involved in wound healing by promoting keratinocyte migration and melanin transport.

Pathways

LAMC2 integrates into several important extracellular matrix pathways including the integrin signaling pathway. These pathways involve interactions with proteins like integrin alpha-6/beta-4 which are linked to cellular adhesion and mobility. LAMC2 also contributes to epithelial cell functions and is involved in the PI3K/AKT signaling pathway highlighting its importance in cell proliferation and survival.

LAMC2 has significant associations with conditions like dystrophic epidermolysis bullosa and invasive carcinomas. In dystrophic epidermolysis bullosa mutations in LAMC2 disrupt the integrity of the basement membrane leading to fragile skin and blistering. In cancer abnormal expression or alteration of LAMC2 can promote tumor invasion and metastasis often in conjunction with overexpression of matrix metalloproteinases (MMPs) that degrade the extracellular matrix therefore facilitating cancer cell infiltration.

Product protocols

For this product, it's our understanding that no specific protocols are required. You can visit:

Target data

Binding to cells via a high affinity receptor, laminin is thought to mediate the attachment, migration and organization of cells into tissues during embryonic development by interacting with other extracellular matrix components. Ladsin exerts cell-scattering activity toward a wide variety of cells, including epithelial, endothelial, and fibroblastic cells.
See full target information LAMC2

Publications (7)

Recent publications for all applications. Explore the full list and refine your search

Journal of cancer research and clinical oncology 150:230 PubMed38703300

2024

LAMC2 regulates the proliferation, invasion, and metastasis of gastric cancer via PI3K/Akt signaling pathway.

Applications

Unspecified application

Species

Unspecified reactive species

Lulu Cheng,Xiaofei Li,Wenhui Dong,Jing Yang,Pengmei Li,Xihui Qiang,Jiajun Yin,Lianyi Guo

Nature communications 15:1640 PubMed38388531

2024

TREX tetramer disruption alters RNA processing necessary for corticogenesis in THOC6 Intellectual Disability Syndrome.

Applications

Unspecified application

Species

Unspecified reactive species

Elizabeth A Werren,Geneva R LaForce,Anshika Srivastava,Delia R Perillo,Shaokun Li,Katherine Johnson,Safa Baris,Brandon Berger,Samantha L Regan,Christian D Pfennig,Sonja de Munnik,Rolph Pfundt,Malavika Hebbar,Raúl Jimenez-Heredia,Elif Karakoc-Aydiner,Ahmet Ozen,Jasmin Dmytrus,Ana Krolo,Ken Corning,E J Prijoles,Raymond J Louie,Robert Roger Lebel,Thuy-Linh Le,Jeanne Amiel,Christopher T Gordon,Kaan Boztug,Katta M Girisha,Anju Shukla,Stephanie L Bielas,Ashleigh E Schaffer

Oncology research 31:481-493 PubMed37415741

2023

LAMC2 regulates proliferation, migration, and invasion mediated by the Pl3K/AKT/mTOR pathway in oral.

Applications

Unspecified application

Species

Unspecified reactive species

Fayu Shan,Lanlan Liang,Chong Feng,Hongbao Xu,Zirou Wang,Weili Liu,Lingling Pu,Zhaoli Chen,Gang Chen,Xinxing Wang

Critical reviews in eukaryotic gene expression 33:13-23 PubMed37183943

2023

Silencing of LAMC2 Reverses Epithelial Mesenchymal Transition and Inhibits Progression in Pancreatic Ductal Adenocarcinoma via Inactivation of the NF-κB Signaling Pathway.

Applications

Unspecified application

Species

Unspecified reactive species

Lijuan Huang,Yan Han,Qingmin Zhou,Zhihao Sun,Jianhui Yan

Bioengineered 13:11138-11153 PubMed35506252

2022

Long non-coding RNA BBOX1-antisense RNA 1 enhances cell proliferation and migration and suppresses apoptosis in oral squamous cell carcinoma via the miR-3940-3p/laminin subunit gamma 2 axis.

Applications

Unspecified application

Species

Unspecified reactive species

Chunguang Zhao,Wei Shi,Min Chen

Bioengineered 12:7907-7919 PubMed34612783

2021

Long non-coding RNA CASC9 promotes tumor progression in oral squamous cell carcinoma by regulating microRNA-545-3p/laminin subunit gamma 2.

Applications

Unspecified application

Species

Unspecified reactive species

Baoshan Ning,Songya Guo,Yine Mei

Aging 12:21837-21853 PubMed33170154

2020

Galectin-1 promotes vasculogenic mimicry in gastric adenocarcinoma via the Hedgehog/GLI signaling pathway.

Applications

Unspecified application

Species

Unspecified reactive species

Xiaolan You,Jian Wu,Yuanjie Wang,Qinghong Liu,Zhiyi Cheng,Xiaojun Zhao,Guiyuan Liu,Chuanjiang Huang,Jiawen Dai,Yan Zhou,Dehu Chen,Yang Chong
View all publications

Product promise

We are committed to supporting your work with high-quality reagents, and we're here for you every step of the way. In the unlikely event that one of our products does not perform as expected, you're protected by our Product Promise.
For full details, please see our Terms & Conditions

Please note: All products are 'FOR RESEARCH USE ONLY. NOT FOR USE IN DIAGNOSTIC OR THERAPEUTIC PROCEDURES'.

For licensing inquiries, please contact partnerships@abcam.com