JavaScript is disabled in your browser. Please enable JavaScript to view this website.
AB274384

Anti-LAMC2 antibody [EPR23654-127] - BSA and Azide free

Be the first to review this product! Submit a review

|

(0 Publication)

Rabbit Recombinant Monoclonal LAMC2 antibody. Carrier free. Suitable for ICC/IF, IP, WB, Flow Cyt (Intra) and reacts with Human samples.

View Alternative Names

LAMB2T, LAMNB2, LAMC2, Laminin subunit gamma-2, Cell-scattering factor 140 kDa subunit, Epiligrin subunit gamma, Kalinin subunit gamma, Kalinin/nicein/epiligrin 100 kDa subunit, Ladsin 140 kDa subunit, Laminin B2t chain, Laminin-5 subunit gamma, Large adhesive scatter factor 140 kDa subunit, Nicein subunit gamma, CSF 140 kDa subunit

4 Images
Immunocytochemistry/ Immunofluorescence - Anti-LAMC2 antibody [EPR23654-127] - BSA and Azide free (AB274384)
  • ICC/IF

Unknown

Immunocytochemistry/ Immunofluorescence - Anti-LAMC2 antibody [EPR23654-127] - BSA and Azide free (AB274384)

Immunofluorescent analysis of 4% Paraformaldehyde-fixed, 0.1% TritonX-100 permeabilized A431 cells labelling LAMC2 with ab274376 at 1/100 dilution, followed by ab150077 Goat Anti-Rabbit IgG H&L (Alexa Fluor® 488) antibody at 1/1000 dilution (Green). Confocal image showing cytoplasmic staining in A431 cell line. Low expression control : A549 (PMID : 25591736). ab195889 Anti-alpha Tubulin mouse monoclonal antibody - Microtubule Marker (Alexa Fluor® 594) was used to counterstain tubulin at 1/200 dilution (Red). The Nuclear counterstain was DAPI (Blue).

Secondary antibody only control : Secondary antibody is ab150077 Goat Anti-Rabbit IgG H&L (Alexa Fluor® 488) at 1/1000 dilution.

This data was developed using the same antibody clone in a different buffer formulation containing PBS, BSA, glycerol, and sodium azide (ab274376).

Flow Cytometry (Intracellular) - Anti-LAMC2 antibody [EPR23654-127] - BSA and Azide free (AB274384)
  • Flow Cyt (Intra)

Unknown

Flow Cytometry (Intracellular) - Anti-LAMC2 antibody [EPR23654-127] - BSA and Azide free (AB274384)

Intracellular flow cytometric analysis of 4% paraformaldehyde fixed, 90% methanol permeabilized A549 (Human lung carcinoma epithelial cell) (Left) A431 (Human epidermoid carcinoma epithelial cell) (Right) cells labelling LAMC2 with ab274376 at 1/500 dilution (0.1ug) (Red) (Red) compared with a Rabbit monoclonal IgG (ab172730) (Black) isotype control and an unlabelled control (cells without incubation with primary antibody and secondary antibody) (Blue).

A Goat anti rabbit IgG (Alexa Fluor®488, ab150077) at 1/2000 dilution was used as the secondary antibody.

Low expression control : A549.

This data was developed using the same antibody clone in a different buffer formulation containing PBS, BSA, glycerol, and sodium azide (ab274376).

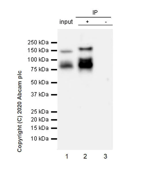
Immunoprecipitation - Anti-LAMC2 antibody [EPR23654-127] - BSA and Azide free (AB274384)
  • IP

Unknown

Immunoprecipitation - Anti-LAMC2 antibody [EPR23654-127] - BSA and Azide free (AB274384)

LAMC2 was immunoprecipitated from 0.35 mg A431 (human epidermoid carcinoma epithelial cell), whole cell lysate with ab274376 at 1/30 dilution (2ug in 0.35mg lysates). Western blot was performed on the immunoprecipitate using ab274376 at 1/1000 dilution. VeriBlot for IP Detection Reagent (HRP)(ab131366) was used at 1/5000 dilution.

Lane 1 : A431 (human epidermoid carcinoma epithelial cell), whole cell lysate 10 ug

Lane 2 : ab274376 IP in A431 whole cell lysate.

Lane 3 : Rabbit monoclonal IgG (ab172730) instead of ab274376 in A431 whole cell lysate.

Blocking and dilution buffer and concentration : 5% NFDM/TBST.

Exposure time : 41 seconds

Band of 140KDa represents the full length form, Bands of 100KDa and 80KDa represent the endogenously cleaved form.

The expression profile observed is consistent with what has been described in the literature (PMID : 21829200).

This data was developed using the same antibody clone in a different buffer formulation containing PBS, BSA, glycerol, and sodium azide (ab274376).

All lanes:

Immunoprecipitation - Anti-LAMC2 antibody [EPR23654-127] (<a href='/en-us/products/primary-antibodies/lamc2-antibody-epr23654-127-ab274376'>ab274376</a>)

Predicted band size: 131 kDa

Observed band size: 100 kDa,140 kDa,80 kDa

false

Western blot - Anti-LAMC2 antibody [EPR23654-127] - BSA and Azide free (AB274384)
  • WB

Lab

Western blot - Anti-LAMC2 antibody [EPR23654-127] - BSA and Azide free (AB274384)

Blocking and diluting buffer and concentration : 5% NFDM/TBST.

Bands of 140KDa and 80KDa respectively represent the full length and endogenously cleaved form.

The expression profile observed is consistent with what has been described in the literature (PMID : 25591736, 21829200).

Low expression : A549 (PMID : 25591736) and WI-38 (PMID : 10964684)

Expsure time : 3 minutes

This data was developed using the same antibody clone in a different buffer formulation containing PBS, BSA, glycerol, and sodium azide (ab274376).

All lanes:

Western blot - Anti-LAMC2 antibody [EPR23654-127] (<a href='/en-us/products/primary-antibodies/lamc2-antibody-epr23654-127-ab274376'>ab274376</a>) at 1/1000 dilution

Lane 1:

A431 (human epidermoid carcinoma epithelial cell), whole cell lysate at 20 µg

Lane 2:

A549 (human lung carcinoma epithelial cell), whole cell lysate at 20 µg

Lane 3:

WI-38 (human fetal lung fibroblast), whole cell lysate at 20 µg

Secondary

All lanes:

Western blot - Goat Anti-Rabbit IgG H&L (HRP) (<a href='/en-us/products/secondary-antibodies/goat-rabbit-igg-h-l-hrp-ab97051'>ab97051</a>) at 1/100000 dilution

Predicted band size: 131 kDa

Observed band size: 140 kDa,80 kDa

false

Key facts

Host species

Rabbit

Clonality

Monoclonal

Clone number

EPR23654-127

Isotype

IgG

Carrier free

Yes

Reacts with

Human

Applications

WB, Flow Cyt (Intra), IP, ICC/IF

applications

Immunogen

The exact immunogen used to generate this antibody is proprietary information.

Reactivity data

{ "title": "Reactivity Data", "filters": { "stats": ["", "Species", "Dilution Info", "Notes"], "tabs": { "all-applications": {"fullname" : "All Applications", "shortname": "All Applications"}, "ICCIF" : {"fullname" : "Immunocytochemistry/ Immunofluorescence", "shortname":"ICC/IF"}, "IP" : {"fullname" : "Immunoprecipitation", "shortname":"IP"}, "WB" : {"fullname" : "Western blot", "shortname":"WB"}, "IHCP" : {"fullname" : "Immunohistochemistry (Formalin/PFA-fixed paraffin-embedded sections)", "shortname":"IHC-P"}, "FlowCytIntra" : {"fullname" : "Flow Cytometry (Intracellular)", "shortname":"Flow Cyt (Intra)"} }, "product-promise": { "all": "all", "testedAndGuaranteed": "tested", "guaranteed": "expected", "predicted": "predicted", "notRecommended": "not-recommended" } }, "values": { "Human": { "ICCIF-species-checked": "testedAndGuaranteed", "ICCIF-species-dilution-info": "", "ICCIF-species-notes": "<p></p>", "IP-species-checked": "testedAndGuaranteed", "IP-species-dilution-info": "", "IP-species-notes": "<p></p>", "WB-species-checked": "testedAndGuaranteed", "WB-species-dilution-info": "", "WB-species-notes": "<p></p>", "IHCP-species-checked": "notRecommended", "IHCP-species-dilution-info": "", "IHCP-species-notes": "<p></p>", "FlowCytIntra-species-checked": "testedAndGuaranteed", "FlowCytIntra-species-dilution-info": "", "FlowCytIntra-species-notes": "<p></p>" }, "Mouse": { "ICCIF-species-checked": "notRecommended", "ICCIF-species-dilution-info": "", "ICCIF-species-notes": "", "IP-species-checked": "notRecommended", "IP-species-dilution-info": "", "IP-species-notes": "<p></p>", "WB-species-checked": "notRecommended", "WB-species-dilution-info": "", "WB-species-notes": "<p></p>", "IHCP-species-checked": "notRecommended", "IHCP-species-dilution-info": "", "IHCP-species-notes": "<p></p>", "FlowCytIntra-species-checked": "notRecommended", "FlowCytIntra-species-dilution-info": "", "FlowCytIntra-species-notes": "" }, "Rat": { "ICCIF-species-checked": "notRecommended", "ICCIF-species-dilution-info": "", "ICCIF-species-notes": "", "IP-species-checked": "notRecommended", "IP-species-dilution-info": "", "IP-species-notes": "", "WB-species-checked": "notRecommended", "WB-species-dilution-info": "", "WB-species-notes": "<p></p>", "IHCP-species-checked": "notRecommended", "IHCP-species-dilution-info": "", "IHCP-species-notes": "<p></p>", "FlowCytIntra-species-checked": "notRecommended", "FlowCytIntra-species-dilution-info": "", "FlowCytIntra-species-notes": "" } } }

Product details

ab274384 is the carrier-free version of ab274376.

Patented technology
Our RabMAb® technology is a patented hybridoma-based technology for making rabbit monoclonal antibodies. For details on our patents, please refer to RabMAb® patents.

What are the advantages of a recombinant monoclonal antibody?
This product is a recombinant monoclonal antibody, which offers several advantages including:

  • - High batch-to-batch consistency and reproducibility
  • - Improved sensitivity and specificity
  • - Long-term security of supply
  • - Animal-free batch production

For more information, read more on recombinant antibodies.

Conjugation ready
Our carrier-free antibodies are typically supplied in a PBS-only formulation, purified and free of BSA, sodium azide and glycerol. This conjugation-ready format is designed for use with fluorochromes, metal isotopes, oligonucleotides, and enzymes, which makes them ideal for antibody labelling, functional and cell-based assays, flow-based assays (e.g. mass cytometry) and Multiplex Imaging applications.

Use our conjugation kits for antibody conjugates that are ready-to-use in as little as 20 minutes with 1 minute hands-on-time and 100% antibody recovery: available for fluorescent dyes, HRP, biotin and gold.

Compatibility
This product is compatible with the Maxpar® Antibody Labeling Kit from Fluidigm, without the need for antibody preparation. Maxpar® is a trademark of Fluidigm Canada Inc.

Properties and storage information

Form
Liquid
Purification technique
Affinity purification Protein A
Storage buffer
pH: 7.2 - 7.4 Constituents: PBS
Shipped at conditions
Blue Ice
Appropriate short-term storage conditions
+4°C
Appropriate long-term storage conditions
+4°C
Storage information
Do Not Freeze

Supplementary information

This supplementary information is collated from multiple sources and compiled automatically.

The LAMC2 protein also known as laminin subunit gamma-2 is an essential component of the extracellular matrix. It is a subunit of the laminin-332 complex formerly referred to as laminin-5 and has an approximate mass of 160 kDa. LAMC2 is widely expressed in various tissues most prominently in epithelial tissues. It localizes at the basement membrane zone where epithelial and mesenchymal tissues meet.
Biological function summary

LAMC2 plays a critical role in cell adhesion migration and signal transduction. Laminin-332 which includes LAMC2 binds to integrin receptors on cell surfaces facilitating cell-matrix interactions and communication. This complex is important for basement membrane stability and tissue organization and it is actively involved in wound healing by promoting keratinocyte migration and melanin transport.

Pathways

LAMC2 integrates into several important extracellular matrix pathways including the integrin signaling pathway. These pathways involve interactions with proteins like integrin alpha-6/beta-4 which are linked to cellular adhesion and mobility. LAMC2 also contributes to epithelial cell functions and is involved in the PI3K/AKT signaling pathway highlighting its importance in cell proliferation and survival.

LAMC2 has significant associations with conditions like dystrophic epidermolysis bullosa and invasive carcinomas. In dystrophic epidermolysis bullosa mutations in LAMC2 disrupt the integrity of the basement membrane leading to fragile skin and blistering. In cancer abnormal expression or alteration of LAMC2 can promote tumor invasion and metastasis often in conjunction with overexpression of matrix metalloproteinases (MMPs) that degrade the extracellular matrix therefore facilitating cancer cell infiltration.

Product protocols

For this product, it's our understanding that no specific protocols are required. You can visit:

Target data

Binding to cells via a high affinity receptor, laminin is thought to mediate the attachment, migration and organization of cells into tissues during embryonic development by interacting with other extracellular matrix components. Ladsin exerts cell-scattering activity toward a wide variety of cells, including epithelial, endothelial, and fibroblastic cells.
See full target information LAMC2

Product promise

We are committed to supporting your work with high-quality reagents, and we're here for you every step of the way. In the unlikely event that one of our products does not perform as expected, you're protected by our Product Promise.
For full details, please see our Terms & Conditions

Please note: All products are 'FOR RESEARCH USE ONLY. NOT FOR USE IN DIAGNOSTIC OR THERAPEUTIC PROCEDURES'.

For licensing inquiries, please contact partnerships@abcam.com