JavaScript is disabled in your browser. Please enable JavaScript to view this website.
AB226043

Anti-Lamin A + Lamin B1 + Lamin C antibody [EPR4068] - BSA and Azide free

Be the first to review this product! Submit a review

|

(0 Publication)

Rabbit Recombinant Monoclonal Lamin B1 antibody. Carrier free. Suitable for WB, IP, ICC/IF, Flow Cyt (Intra), IHC-P and reacts with Recombinant fragment - Human, Human, Mouse, Rat samples.

View Alternative Names

LMN2, LMNB, LMNB1, Lamin-B1

11 Images
Immunohistochemistry (Formalin/PFA-fixed paraffin-embedded sections) - Anti-Lamin A + Lamin B1 + Lamin C antibody [EPR4068] - BSA and Azide free (AB226043)
  • IHC-P

Unknown

Immunohistochemistry (Formalin/PFA-fixed paraffin-embedded sections) - Anti-Lamin A + Lamin B1 + Lamin C antibody [EPR4068] - BSA and Azide free (AB226043)

Immunohistochemical analysis of paraffin-embedded human colonic tissue using unpurified ab108922 at a diltion of 1/100

This data was developed using the same antibody clone in a different buffer formulation containing PBS, BSA, glycerol, and sodium azide (ab108922).

Flow Cytometry (Intracellular) - Anti-Lamin A + Lamin B1 + Lamin C antibody [EPR4068] - BSA and Azide free (AB226043)
  • Flow Cyt (Intra)

Lab

Flow Cytometry (Intracellular) - Anti-Lamin A + Lamin B1 + Lamin C antibody [EPR4068] - BSA and Azide free (AB226043)

Intracellular Flow Cytometry analysis of HeLa cells labelling Lamin A + B1 + C with purified ab108922 at a dilution of 1/20 (red). Cells were fixed with 4% paraformaldehyde and permeabilized with 90% methanol. An Alexa Flour 488®-conjugated goat anti-rabbit IgG (1/2000) was used as the secondary antibody. Black - Isotype control, rabbit monoclonal IgG. Blue - Unlabelled control, cells without incubation with primary and secondary antibodies.

This data was developed using the same antibody clone in a different buffer formulation containing PBS, BSA, glycerol, and sodium azide (ab108922).

Immunocytochemistry/ Immunofluorescence - Anti-Lamin A + Lamin B1 + Lamin C antibody [EPR4068] - BSA and Azide free (AB226043)
  • ICC/IF

Unknown

Immunocytochemistry/ Immunofluorescence - Anti-Lamin A + Lamin B1 + Lamin C antibody [EPR4068] - BSA and Azide free (AB226043)

Immunofluorescence staining of HeLa cells with purified ab108922 at a working dilution of 1/250, counter-stained with DAPI. The secondary antibody was Alexa Fluor® 488 goat anti-rabbit (ab150077), used at a dilution of 1/1000. ab7291, a mouse anti-tubulin antibody (1/1000), was used to stain tubulin along with ab150120 (Alexa Fluor® 594 goat anti-mouse, 1/1000), shown in the top right hand panel. The cells were fixed in 4% PFA and permeabilized using 0.1% Triton X 100. The negative controls are shown in bottom middle and right hand panels - for negative control 1, purified ab108922 was used at a dilution of 1/500 followed by an Alexa Fluor® 594 goat anti-mouse antibody (ab150120) at a dilution of 1/500. For negative control 2, ab7291 (mouse anti-tubulin) was used at a dilution of 1/500 followed by an Alexa Fluor® 488 goat anti-rabbit antibody (ab150077) at a dilution of 1/400.

This data was developed using the same antibody clone in a different buffer formulation containing PBS, BSA, glycerol, and sodium azide (ab108922).

Immunohistochemistry (Formalin/PFA-fixed paraffin-embedded sections) - Anti-Lamin A + Lamin B1 + Lamin C antibody [EPR4068] - BSA and Azide free (AB226043)
  • IHC-P

Supplier Data

Immunohistochemistry (Formalin/PFA-fixed paraffin-embedded sections) - Anti-Lamin A + Lamin B1 + Lamin C antibody [EPR4068] - BSA and Azide free (AB226043)

Unpurified ab108922 showing positive staining in Normal human breast tissue.

This data was developed using the same antibody clone in a different buffer formulation containing PBS, BSA, glycerol, and sodium azide (ab108922).

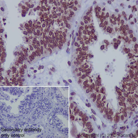
Immunohistochemistry (Formalin/PFA-fixed paraffin-embedded sections) - Anti-Lamin A + Lamin B1 + Lamin C antibody [EPR4068] - BSA and Azide free (AB226043)
  • IHC-P

Unknown

Immunohistochemistry (Formalin/PFA-fixed paraffin-embedded sections) - Anti-Lamin A + Lamin B1 + Lamin C antibody [EPR4068] - BSA and Azide free (AB226043)

Immunohistochemical staining of paraffin embedded human liver carcinoma with purified ab108922 at a working dilution of 1/200. The secondary antibody used is HRP goat anti-rabbit IgG H&L (ab97051) at 1/500. The sample is counter-stained with hematoxylin. Antigen retrieval was perfomed using Tris-EDTA buffer, pH 9.0. PBS was used instead of the primary antibody as the negative control, and is shown in the inset.This data was developed using the same antibody clone in a different buffer formulation containing PBS, BSA, glycerol, and sodium azide (ab108922).

Immunohistochemistry (Formalin/PFA-fixed paraffin-embedded sections) - Anti-Lamin A + Lamin B1 + Lamin C antibody [EPR4068] - BSA and Azide free (AB226043)
  • IHC-P

Supplier Data

Immunohistochemistry (Formalin/PFA-fixed paraffin-embedded sections) - Anti-Lamin A + Lamin B1 + Lamin C antibody [EPR4068] - BSA and Azide free (AB226043)

Unpurified ab108922 showing positive staining in Normal uterus tissue.

This data was developed using the same antibody clone in a different buffer formulation containing PBS, BSA, glycerol, and sodium azide (ab108922).

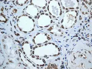
Immunohistochemistry (Formalin/PFA-fixed paraffin-embedded sections) - Anti-Lamin A + Lamin B1 + Lamin C antibody [EPR4068] - BSA and Azide free (AB226043)
  • IHC-P

Supplier Data

Immunohistochemistry (Formalin/PFA-fixed paraffin-embedded sections) - Anti-Lamin A + Lamin B1 + Lamin C antibody [EPR4068] - BSA and Azide free (AB226043)

Unpurified ab108922 showing positive staining in Normal kidney tissue.

This data was developed using the same antibody clone in a different buffer formulation containing PBS, BSA, glycerol, and sodium azide (ab108922).

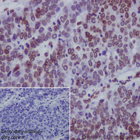
Immunohistochemistry (Formalin/PFA-fixed paraffin-embedded sections) - Anti-Lamin A + Lamin B1 + Lamin C antibody [EPR4068] - BSA and Azide free (AB226043)
  • IHC-P

Unknown

Immunohistochemistry (Formalin/PFA-fixed paraffin-embedded sections) - Anti-Lamin A + Lamin B1 + Lamin C antibody [EPR4068] - BSA and Azide free (AB226043)

Immunohistochemical staining of paraffin embedded human ovarian carcinoma with purified ab108922 at a working dilution of 1/200. The secondary antibody used is HRP goat anti-rabbit IgG H&L (ab97051) at 1/500. The sample is counter-stained with hematoxylin. Antigen retrieval was perfomed using Tris-EDTA buffer, pH 9.0. PBS was used instead of the primary antibody as the negative control, and is shown in the inset.This data was developed using the same antibody clone in a different buffer formulation containing PBS, BSA, glycerol, and sodium azide (ab108922).

Immunoprecipitation - Anti-Lamin A + Lamin B1 + Lamin C antibody [EPR4068] - BSA and Azide free (AB226043)
  • IP

Unknown

Immunoprecipitation - Anti-Lamin A + Lamin B1 + Lamin C antibody [EPR4068] - BSA and Azide free (AB226043)

ab108922 (purified) at 1/20 immunoprecipitating Lamin A + C in 10 �g HepG2 (Lanes 1 and 2, observed at 70, 74, and 65 kDa - ab108922 recognises three isoforms). Lane 3 - PBS. For western blotting, HRP Veriblot for IP (ab131366) was used as the secondary antibody (1/10 000). Blocking buffer and concentration : 5% NFDM/TBST Dilution buffer and concentration : 5% NFDM/TBSTThis data was developed using the same antibody clone in a different buffer formulation containing PBS, BSA, glycerol, and sodium azide (ab108922).

All lanes:

Immunoprecipitation - Anti-Lamin A + Lamin B1 + Lamin C antibody [EPR4068] - Nuclear Envelope Marker (<a href='/en-us/products/primary-antibodies/lamin-a-lamin-b1-lamin-c-antibody-epr4068-nuclear-envelope-marker-ab108922'>ab108922</a>)

false

Immunohistochemistry (Formalin/PFA-fixed paraffin-embedded sections) - Anti-Lamin A + Lamin B1 + Lamin C antibody [EPR4068] - BSA and Azide free (AB226043)
  • IHC-P

Unknown

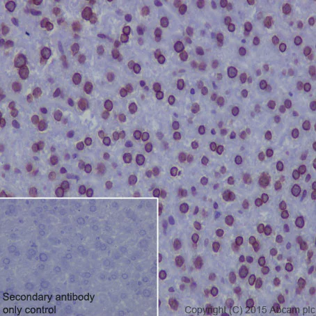
Immunohistochemistry (Formalin/PFA-fixed paraffin-embedded sections) - Anti-Lamin A + Lamin B1 + Lamin C antibody [EPR4068] - BSA and Azide free (AB226043)

Immunohistochemical staining of paraffin embedded mouse liver with purified ab108922 at a working dilution of 1/200. The secondary antibody used is HRP goat anti-rabbit IgG H&L (ab97051) at 1/500. The sample is counter-stained with hematoxylin. Antigen retrieval was perfomed using Tris-EDTA buffer, pH 9.0. PBS was used instead of the primary antibody as the negative control, and is shown in the inset.This data was developed using the same antibody clone in a different buffer formulation containing PBS, BSA, glycerol, and sodium azide (ab108922).

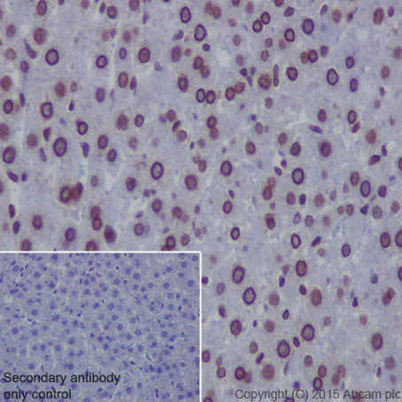
Immunohistochemistry (Formalin/PFA-fixed paraffin-embedded sections) - Anti-Lamin A + Lamin B1 + Lamin C antibody [EPR4068] - BSA and Azide free (AB226043)
  • IHC-P

Unknown

Immunohistochemistry (Formalin/PFA-fixed paraffin-embedded sections) - Anti-Lamin A + Lamin B1 + Lamin C antibody [EPR4068] - BSA and Azide free (AB226043)

Immunohistochemical staining of paraffin embedded rat liver with purified ab108922 at a working dilution of 1/200. The secondary antibody used is HRP goat anti-rabbit IgG H&L (ab97051) at 1/500. The sample is counter-stained with hematoxylin. Antigen retrieval was perfomed using Tris-EDTA buffer, pH 9.0. PBS was used instead of the primary antibody as the negative control, and is shown in the inset.This data was developed using the same antibody clone in a different buffer formulation containing PBS, BSA, glycerol, and sodium azide (ab108922).

  • Unconjugated

    Anti-Lamin A + Lamin B1 + Lamin C antibody [EPR4068] - Nuclear Envelope Marker

  • 775 Alexa Fluor® 750

    Alexa Fluor® 750 Anti-Lamin A + Lamin B1 + Lamin C antibody [EPR4068] - Nuclear Envelope Marker

  • 519 Alexa Fluor® 488

    Alexa Fluor® 488 Anti-Lamin A + Lamin B1 + Lamin C antibody [EPR4068] - Nuclear Envelope Marker

  • 665 Alexa Fluor® 647

    Alexa Fluor® 647 Anti-Lamin A + Lamin B1 + Lamin C antibody [EPR4068] - Nuclear Envelope Marker

  • 578 PE

    PE Anti-Lamin A + Lamin B1 + Lamin C antibody [EPR4068] - Nuclear Envelope Marker

  • 660 APC

    APC Anti-Lamin A + Lamin B1 + Lamin C antibody [EPR4068] - Nuclear Envelope Marker

  • HRP

    HRP Anti-Lamin A + Lamin B1 + Lamin C antibody [EPR4068] - Nuclear Envelope Marker

  • 617 Alexa Fluor® 594

    Alexa Fluor® 594 Anti-Lamin A + Lamin B1 + Lamin C antibody [EPR4068] - Nuclear Envelope Marker

  • 565 Alexa Fluor® 555

    Alexa Fluor® 555 Anti-Lamin A + Lamin B1 + Lamin C antibody [EPR4068] - Nuclear Envelope Marker

  • 603 Alexa Fluor® 568

    Alexa Fluor® 568 Anti-Lamin A + Lamin B1 + Lamin C antibody [EPR4068] - Nuclear Envelope Marker

Key facts

Host species

Rabbit

Clonality

Monoclonal

Clone number

EPR4068

Isotype

IgG

Carrier free

Yes

Reacts with

Mouse, Rat, Human

Applications

ICC/IF, IP, IHC-P, Flow Cyt (Intra), WB

applications

Immunogen

The exact immunogen used to generate this antibody is proprietary information.

Specificity

The antibody recognizes full length Lamin A/B1/C and the cleaved small unit.

Reactivity data

{ "title": "Reactivity Data", "filters": { "stats": ["", "Species", "Dilution Info", "Notes"], "tabs": { "all-applications": {"fullname" : "All Applications", "shortname": "All Applications"}, "WB" : {"fullname" : "Western blot", "shortname":"WB"}, "IP" : {"fullname" : "Immunoprecipitation", "shortname":"IP"}, "ICCIF" : {"fullname" : "Immunocytochemistry/ Immunofluorescence", "shortname":"ICC/IF"}, "FlowCytIntra" : {"fullname" : "Flow Cytometry (Intracellular)", "shortname":"Flow Cyt (Intra)"}, "IHCP" : {"fullname" : "Immunohistochemistry (Formalin/PFA-fixed paraffin-embedded sections)", "shortname":"IHC-P"} }, "product-promise": { "all": "all", "testedAndGuaranteed": "tested", "guaranteed": "expected", "predicted": "predicted", "notRecommended": "not-recommended" } }, "values": { "Human": { "WB-species-checked": "testedAndGuaranteed", "WB-species-dilution-info": "", "WB-species-notes": "<p></p>", "IP-species-checked": "testedAndGuaranteed", "IP-species-dilution-info": "", "IP-species-notes": "<p></p>", "ICCIF-species-checked": "testedAndGuaranteed", "ICCIF-species-dilution-info": "", "ICCIF-species-notes": "<p></p>", "FlowCytIntra-species-checked": "testedAndGuaranteed", "FlowCytIntra-species-dilution-info": "", "FlowCytIntra-species-notes": "<p></p>", "IHCP-species-checked": "testedAndGuaranteed", "IHCP-species-dilution-info": "", "IHCP-species-notes": "<p></p> Perform heat-mediated antigen retrieval with Tris/EDTA buffer pH 9.0 before commencing with IHC staining protocol." }, "Mouse": { "WB-species-checked": "testedAndGuaranteed", "WB-species-dilution-info": "", "WB-species-notes": "<p></p>", "IP-species-checked": "guaranteed", "IP-species-dilution-info": "", "IP-species-notes": "", "ICCIF-species-checked": "guaranteed", "ICCIF-species-dilution-info": "", "ICCIF-species-notes": "", "FlowCytIntra-species-checked": "guaranteed", "FlowCytIntra-species-dilution-info": "", "FlowCytIntra-species-notes": "", "IHCP-species-checked": "testedAndGuaranteed", "IHCP-species-dilution-info": "", "IHCP-species-notes": "<p></p> Perform heat-mediated antigen retrieval with Tris/EDTA buffer pH 9.0 before commencing with IHC staining protocol." }, "Rat": { "WB-species-checked": "testedAndGuaranteed", "WB-species-dilution-info": "", "WB-species-notes": "<p></p>", "IP-species-checked": "guaranteed", "IP-species-dilution-info": "", "IP-species-notes": "", "ICCIF-species-checked": "guaranteed", "ICCIF-species-dilution-info": "", "ICCIF-species-notes": "", "FlowCytIntra-species-checked": "guaranteed", "FlowCytIntra-species-dilution-info": "", "FlowCytIntra-species-notes": "", "IHCP-species-checked": "testedAndGuaranteed", "IHCP-species-dilution-info": "", "IHCP-species-notes": "<p></p> Perform heat-mediated antigen retrieval with Tris/EDTA buffer pH 9.0 before commencing with IHC staining protocol." }, "Ictidomys tridecemlineatus": { "WB-species-checked": "predicted", "WB-species-dilution-info": "", "WB-species-notes": "", "IP-species-checked": "predicted", "IP-species-dilution-info": "", "IP-species-notes": "", "ICCIF-species-checked": "predicted", "ICCIF-species-dilution-info": "", "ICCIF-species-notes": "", "FlowCytIntra-species-checked": "predicted", "FlowCytIntra-species-dilution-info": "", "FlowCytIntra-species-notes": "", "IHCP-species-checked": "predicted", "IHCP-species-dilution-info": "", "IHCP-species-notes": "" }, "Recombinant fragment - Human": { "WB-species-checked": "testedAndGuaranteed", "WB-species-dilution-info": "", "WB-species-notes": "<p></p>", "IP-species-checked": "notRecommended", "IP-species-dilution-info": "", "IP-species-notes": "", "ICCIF-species-checked": "notRecommended", "ICCIF-species-dilution-info": "", "ICCIF-species-notes": "", "FlowCytIntra-species-checked": "notRecommended", "FlowCytIntra-species-dilution-info": "", "FlowCytIntra-species-notes": "", "IHCP-species-checked": "notRecommended", "IHCP-species-dilution-info": "", "IHCP-species-notes": "" } } }

Product details

ab226043 is the carrier-free version of ab108922.

Patented technology
Our RabMAb® technology is a patented hybridoma-based technology for making rabbit monoclonal antibodies. For details on our patents, please refer to RabMAb® patents.

What are the advantages of a recombinant monoclonal antibody?
This product is a recombinant monoclonal antibody, which offers several advantages including:

  • - High batch-to-batch consistency and reproducibility
  • - Improved sensitivity and specificity
  • - Long-term security of supply
  • - Animal-free batch production

For more information, read more on recombinant antibodies.

Conjugation ready
Our carrier-free antibodies are typically supplied in a PBS-only formulation, purified and free of BSA, sodium azide and glycerol. This conjugation-ready format is designed for use with fluorochromes, metal isotopes, oligonucleotides, and enzymes, which makes them ideal for antibody labelling, functional and cell-based assays, flow-based assays (e.g. mass cytometry) and Multiplex Imaging applications.

Use our conjugation kits for antibody conjugates that are ready-to-use in as little as 20 minutes with 1 minute hands-on-time and 100% antibody recovery: available for fluorescent dyes, HRP, biotin and gold.

Compatibility
This product is compatible with the Maxpar® Antibody Labeling Kit from Fluidigm, without the need for antibody preparation. Maxpar® is a trademark of Fluidigm Canada Inc.

Properties and storage information

Form
Liquid
Purification technique
Affinity purification Protein A
Storage buffer
pH: 7.2 - 7.4 Constituents: PBS
Shipped at conditions
Blue Ice
Appropriate short-term storage conditions
+4°C
Appropriate long-term storage conditions
+4°C
Storage information
Do Not Freeze

Supplementary information

This supplementary information is collated from multiple sources and compiled automatically.

Lamin A Lamin B1 and Lamin C are nuclear envelope proteins each representing different forms of lamin molecules. These proteins are important components of the nuclear lamina. Lamin A and Lamin C are encoded by the LMNA gene and result from alternative splicing. Lamin A has a molecular weight of approximately 74 kDa while Lamin C weighs around 65 kDa. Lamin B1 with a molecular weight of about 66 kDa is a product of the LMNB1 gene. These proteins express largely in various tissues and are central to maintaining nuclear structure and integrity.
Biological function summary

Lamin proteins regulate nuclear architecture and maintain chromatin organization. They participate in forming the nuclear lamina a dense fibrillar network inside the nucleus. The lamina provides structural support to the nuclear envelope and plays roles in DNA replication and transcription. Lamin molecules also interact with nuclear pore complexes therefore contributing to molecular transport across the nuclear envelope. Lamin A/C and Lamin B1 function together with other proteins like emerin and lamin associated polypeptides in forming multi-protein complexes that influence cell cycle regulation and differentiation.

Pathways

Lamin proteins integrate into pathways governing the cell cycle and DNA repair. They contribute to the mitotic pathway assisting in the disassembly and reassembly of the nuclear envelope during cell division. Lamin molecules also engage in the DNA damage response pathway cooperating with repair proteins such as p53 and BRCA1. Through these pathways lamin proteins ensure proper progression through the cell cycle and maintain genomic stability by aiding in the repair of DNA damage.

Lamins associate with a variety of nuclear envelopathies and arepsponsible for rare genetic disorders like Hutchinson-Gilford Progeria Syndrome (HGPS) and Emery-Dreifuss Muscular Dystrophy (EDMD). Mutations in the LMNA gene affect nuclear mechanics leading to accelerated aging in HGPS. Similarly disruptions in lamin A/C's interactions with emerin result in EDMD characterized by muscular dystrophy and cardiac issues. These connections highlight the role of lamin proteins in nuclear stability and their impact on disease development.

Product protocols

For this product, it's our understanding that no specific protocols are required. You can visit:

Target data

Lamins are intermediate filament proteins that assemble into a filamentous meshwork, and which constitute the major components of the nuclear lamina, a fibrous layer on the nucleoplasmic side of the inner nuclear membrane (PubMed : 28716252, PubMed : 32910914). Lamins provide a framework for the nuclear envelope, bridging the nuclear envelope and chromatin, thereby playing an important role in nuclear assembly, chromatin organization, nuclear membrane and telomere dynamics (PubMed : 28716252, PubMed : 32910914). The structural integrity of the lamina is strictly controlled by the cell cycle, as seen by the disintegration and formation of the nuclear envelope in prophase and telophase, respectively (PubMed : 28716252, PubMed : 32910914).
See full target information LMNB1

Additional targets

LMNA,LMNA

Product promise

We are committed to supporting your work with high-quality reagents, and we're here for you every step of the way. In the unlikely event that one of our products does not perform as expected, you're protected by our Product Promise.
For full details, please see our Terms & Conditions

Please note: All products are 'FOR RESEARCH USE ONLY. NOT FOR USE IN DIAGNOSTIC OR THERAPEUTIC PROCEDURES'.

For licensing inquiries, please contact partnerships@abcam.com