JavaScript is disabled in your browser. Please enable JavaScript to view this website.
AB238303

Anti-Lamin A + Lamin C antibody [4C11]

5

(6 Reviews)

|

(9 Publications)

Anti-Lamin A + Lamin C antibody [4C11] (ab238303) is a mouse monoclonal antibody detecting Lamin A + Lamin C in Western Blot, IHC-P, ICC/IF. Suitable for Human, Mouse.

- KO validated for confirmed specificity

View Alternative Names

LMN1, LMNA, Prelamin-A/C, LMN1, LMNA, Prelamin-A/C

5 Images
Western blot - Anti-Lamin A + Lamin C antibody [4C11] (AB238303)
  • WB

Lab

Western blot - Anti-Lamin A + Lamin C antibody [4C11] (AB238303)

ab238303 was shown to specifically react with Lamin A + C (LMNA) in wild type HAP1 cells. No band was observed when Lamin A + C (LMNA) knockout samples were used. Wild-type and Lamin A + C (LMNA) knockout samples were subjected to SDS-PAGE. ab238303 and ab181602 (Rabbit anti GAPDH loading control) were incubated overnight at 4°C at a 1ug/ml concentration and 1/10000 dilution respectively. Blots were developed with Goat anti-Rabbit IgG H&L (IRDye® 800CW) preadsorbed (ab216773) and Goat anti-Mouse IgG H&L (IRDye® 680RD) preadsorbed (ab216776) secondary antibodies at 1/20000 dilution for 1 hour at room temperature before imaging.

All lanes:

Western blot - Anti-Lamin A + Lamin C antibody [4C11] (ab238303)

Lane 1:

HAP1 whole cell lysate at 20 µg

Lane 2:

HAP1 LMNA knockout whole cell lysate at 20 µg

Lane 3:

HeLa whole cell lysate at 20 µg

Lane 4:

NIH/3T3 whole cell lysate at 20 µg

Predicted band size: 74 kDa

false

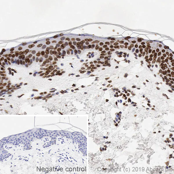
Immunohistochemistry (Formalin/PFA-fixed paraffin-embedded sections) - Anti-Lamin A + Lamin C antibody [4C11] (AB238303)
  • IHC-P

Lab

Immunohistochemistry (Formalin/PFA-fixed paraffin-embedded sections) - Anti-Lamin A + Lamin C antibody [4C11] (AB238303)

IHC image of Lamin A + C staining in a section of formalin-fixed paraffin-embedded normal human skin* performed on a Leica BONDTM system using the standard protocol F.

The section was pre-treated using heat mediated antigen retrieval with sodium citrate buffer (pH 6, epitope retrieval solution 1) for 20 mins. The section was then incubated with ab238303, 0.1 μg/ml, for 15 mins at room temperature and detected using an HRP conjugated compact polymer system. DAB was used as the chromogen. The section was then counterstained with hematoxylin and mounted with DPX.

The inset secondary-only control image is taken from an identical assay without primary antibody.

For other IHC staining systems (automated and non-automated) customers should optimize variable parameters such as antigen retrieval conditions, primary antibody concentration and antibody incubation times.

*Tissue obtained from the Human Research Tissue Bank, supported by the NIHR Cambridge Biomedical Research Centre

Immunocytochemistry/ Immunofluorescence - Anti-Lamin A + Lamin C antibody [4C11] (AB238303)
  • ICC/IF

Lab

Immunocytochemistry/ Immunofluorescence - Anti-Lamin A + Lamin C antibody [4C11] (AB238303)

ab238303 staining Lamin A+C (colored green) in wild-type HAP1 cells (top panel) and LMNA knockout HAP1 cells (bottom panel). The cells were fixed with 100% methanol (5min), permeabilized with 0.1% Triton X-100 for 5 minutes and then blocked with 1% BSA/10% normal goat serum/0.3M glycine in 0.1% PBS-Tween for 1h. The cells were then incubated with ab238303 at 1μg/ml and ab6046, Rabbit polyclonal to beta Tubulin - Loading Control, at 1/1000 dilution overnight at 4°C. Cells were then incubated with ab150077, Goat Anti-Mouse IgG H&L (Alexa Fluor® 488) at 1/1000 dilution (shown in green) and ab150080, Goat polyclonal Secondary Antibody to Rabbit IgG - H&L (Alexa Fluor® 594) at 1/1000 dilution (shown in pseudocolor red). Nuclear DNA was labeled with DAPI (shown in blue).

Image was taken with a confocal microscope (Leica-Microsystems, TCS SP8).

Immunocytochemistry/ Immunofluorescence - Anti-Lamin A + Lamin C antibody [4C11] (AB238303)
  • ICC/IF

Lab

Immunocytochemistry/ Immunofluorescence - Anti-Lamin A + Lamin C antibody [4C11] (AB238303)

ab238303 staining Lamin A+C in HeLa (Human epithelial cell line from cervix adenocarcinoma) cells.

The cells were fixed with 100% methanol (5 min), permeabilized with 0.1% PBS-Triton X-100 for 5 mins and then blocked with 1% BSA/10% normal goat serum/0.3M glycine in 0.1% PBS-Tween for 1h. The cells were then incubated overnight at +4°C with ab238303 at 1 μg/ml and ab6046 (Rabbit polyclonal to beta Tubulin - Loading Control), at 1/1000 dilution. Cells were then incubated with ab150117 (Goat Anti-Mouse IgG H&L (Alexa Fluor® 488)) at 1/1000 dilution (shown in green) and ab150084 (Goat polyclonal Secondary Antibody to Rabbit IgG - H&L (Alexa Fluor® 594)) at 1/1000 dilution (shown in pseudocolor red). Nuclear DNA was labeled with DAPI (shown in blue).

Western blot - Anti-Lamin A + Lamin C antibody [4C11] (AB238303)
  • WB

Lab

Western blot - Anti-Lamin A + Lamin C antibody [4C11] (AB238303)

Lanes 1-2 : Merged signal (red and green). Green - ab238303 observed at 74 kDa. Red - loading control ab181602 observed at 37 kDa.

ab238303 Anti-Lamin A + C antibody [4C11] was shown to specifically react with Lamin A + C in wild-type HeLa cells. Loss of signal was observed when knockout cell line ab261787 (knockout cell lysate ab256979) was used. Wild-type and Lamin A + C knockout samples were subjected to SDS-PAGE. ab238303 and Anti-GAPDH antibody[EPR16891] - Loading Control (ab181602) were incubated overnight at 4°C at 1 μg/ml and 1 in 20000 dilution respectively. Blots were developed with Goat anti-Mouse IgG H&L (IRDye® 800CW) preadsorbed (ab216772) and Goat Anti-Rabbit IgG H&L (IRDye® 680RD) preadsorbed (ab216777) secondary antibodies at 1 in 20000 dilution for 1 hour at room temperature before imaging.

All lanes:

Western blot - Anti-Lamin A + Lamin C antibody [4C11] (ab238303) at 1 µg/mL

Lane 1:

Wild-type HeLa cell lysate at 20 µg

Lane 2:

Lamin A + C knockout HeLa cell lysate at 20 µg

Lane 2:

Western blot - Human LMNA (Lamin A) knockout HeLa cell line (<a href='/en-us/products/cell-lines/human-lmna-lamin-a-knockout-hela-cell-line-ab261787'>ab261787</a>)

Secondary

All lanes:

Western blot - Goat anti-Mouse IgG H&L (IRDye® 800CW) preadsorbed (<a href='/en-us/products/secondary-antibodies/goat-mouse-igg-h-l-irdye-800cw-preadsorbed-ab216772'>ab216772</a>) at 1/20000 dilution

Predicted band size: 74 kDa

Observed band size: 74 kDa

false

  • Carrier free

    Anti-Lamin A + Lamin C antibody [4C11] - BSA and Azide free

Key facts

Host species

Mouse

Clonality

Monoclonal

Clone number

4C11

Isotype

IgG2a

Light chain type

kappa

Carrier free

No

Reacts with

Mouse, Human

Applications

IHC-P, ICC/IF, WB

applications

Immunogen

The exact immunogen used to generate this antibody is proprietary information.

Epitope

The 4C11 monoclonal recognizes the Ig-fold domain of lamin A and lamin C (PubMed ID: 20498701).

Reactivity data

{ "title": "Reactivity Data", "filters": { "stats": ["", "Species", "Dilution Info", "Notes"], "tabs": { "all-applications": {"fullname" : "All Applications", "shortname": "All Applications"}, "IHCP" : {"fullname" : "Immunohistochemistry (Formalin/PFA-fixed paraffin-embedded sections)", "shortname":"IHC-P"}, "WB" : {"fullname" : "Western blot", "shortname":"WB"}, "ICCIF" : {"fullname" : "Immunocytochemistry/ Immunofluorescence", "shortname":"ICC/IF"} }, "product-promise": { "all": "all", "testedAndGuaranteed": "tested", "guaranteed": "expected", "predicted": "predicted", "notRecommended": "not-recommended" } }, "values": { "Human": { "IHCP-species-checked": "testedAndGuaranteed", "IHCP-species-dilution-info": "0.1 µg/mL", "IHCP-species-notes": "<p></p> Perform heat-mediated antigen retrieval before commencing with IHC staining protocol.", "WB-species-checked": "testedAndGuaranteed", "WB-species-dilution-info": "1 µg/mL", "WB-species-notes": "<p></p>", "ICCIF-species-checked": "testedAndGuaranteed", "ICCIF-species-dilution-info": "1 µg/mL", "ICCIF-species-notes": "<p></p>" }, "Mouse": { "IHCP-species-checked": "guaranteed", "IHCP-species-dilution-info": "", "IHCP-species-notes": "", "WB-species-checked": "testedAndGuaranteed", "WB-species-dilution-info": "1 µg/mL", "WB-species-notes": "<p></p>", "ICCIF-species-checked": "guaranteed", "ICCIF-species-dilution-info": "", "ICCIF-species-notes": "" } } }

Product details

What is this antibody validated in?
Anti-Lamin A + Lamin C antibody [4C11] (ab238303) is a mouse monoclonal antibody and is validated for use in Western Blot (WB), Immunohistochemistry (IHC-P), Immunocytochemistry/immunofluorescence (ICC/IF) in Human, Mouse samples.

What is the molecular weight of Lamin A + Lamin C?
Anti-Lamin A + Lamin C [4C11] (ab238303) specifically detects a band for Lamin A + Lamin C (UniProt: P02545) at a molecular weight of 74kDa.

Reviewed by scientists
Anti-Lamin A + Lamin C [4C11] (ab238303) has over 5 independent reviews from customers.

Specificity confirmed
The specificity of Anti-Lamin A + Lamin C antibody [4C11] (ab238303) has been confirmed by Immunocytochemistry testing in LMNA Knockout HAP1 cells.

Other related products
We have a range of other formats of antibody clone [4C11] also available for your convenience: ab238303, Carrier free - ab244577

Want a custom formulation?
This antibody clone is manufactured by Abcam. If you require a custom buffer formulation or conjugation for your experiments, please contact orders@abcam.com

Properties and storage information

Form
Liquid
Purification technique
Affinity purification
Storage buffer
Preservative: 0.02% Sodium azide Constituents: PBS
Shipped at conditions
Blue Ice
Appropriate short-term storage duration
1-2 weeks
Appropriate short-term storage conditions
+4°C
Appropriate long-term storage conditions
-20°C
Aliquoting information
Upon delivery aliquot
Storage information
Avoid freeze / thaw cycle

Supplementary information

This supplementary information is collated from multiple sources and compiled automatically.

Lamin A and Lamin C also known as lamin A/C are proteins encoded by the LMNA gene. These proteins are key components of the nuclear envelope where they provide structural support and maintain the shape of the nucleus. The lamin A/C molecule has a molecular weight of approximately 60-70 kDa. Expression of lamin A and lamin C occurs predominantly in differentiated cells where these proteins integrate into the nuclear lamina alongside other lamin molecules like lamin B. Lamin A alone sometimes referred to by designations like 4C11 plays a significant role in mechanical support at a molecular level.
Biological function summary

Lamin A/C proteins play a role in maintaining nuclear stability chromosome organization and gene regulation. They are part of a complex network within the nuclear lamina that includes interactions with proteins and DNA. Lamin A with a molecular weight distinct from other lamins participates in assembling this supportive matrix and contributes to DNA maintenance and repair processes. Their interaction with chromatin and gene expression regulation emphasizes their influence on important cellular functions.

Pathways

Lamin A/C proteins engage in the mechanosensory signaling and DNA damage response pathways. They interact with pathways involving the nuclear envelope structure and have connections to proteins like emerin and nuclear actin. Lamin A's role in these pathways supports its involvement in responding to mechanical stress and preserving genomic integrity highlighting its integration with these cellular processes.

Mutations in lamin A/C are linked to disorders such as Hutchinson-Gilford Progeria Syndrome and Emery-Dreifuss Muscular Dystrophy. These conditions highlight the importance of lamin A/C in cellular stability and nuclear integrity. Proteins such as emerin often relate to lamin A/C in these diseases as disruptions to their interactions can lead to compromised nuclear function and disease phenotypes.

Product protocols

For this product, it's our understanding that no specific protocols are required. You can visit:

Target data

Lamin-A/C. Lamins are intermediate filament proteins that assemble into a filamentous meshwork, and which constitute the major components of the nuclear lamina, a fibrous layer on the nucleoplasmic side of the inner nuclear membrane (PubMed : 10080180, PubMed : 10580070, PubMed : 10587585, PubMed : 10814726, PubMed : 11799477, PubMed : 12075506, PubMed : 12927431, PubMed : 15317753, PubMed : 18551513, PubMed : 18611980, PubMed : 2188730, PubMed : 22431096, PubMed : 2344612, PubMed : 23666920, PubMed : 24741066, PubMed : 31434876, PubMed : 31548606, PubMed : 37788673, PubMed : 37832547). Lamins provide a framework for the nuclear envelope, bridging the nuclear envelope and chromatin, thereby playing an important role in nuclear assembly, chromatin organization, nuclear membrane and telomere dynamics (PubMed : 10080180, PubMed : 10580070, PubMed : 10587585, PubMed : 10814726, PubMed : 11799477, PubMed : 12075506, PubMed : 12927431, PubMed : 15317753, PubMed : 18551513, PubMed : 18611980, PubMed : 22431096, PubMed : 23666920, PubMed : 24741066, PubMed : 31548606, PubMed : 37788673, PubMed : 37832547). Lamin A and C also regulate matrix stiffness by conferring nuclear mechanical properties (PubMed : 23990565, PubMed : 25127216). The structural integrity of the lamina is strictly controlled by the cell cycle, as seen by the disintegration and formation of the nuclear envelope in prophase and telophase, respectively (PubMed : 2188730, PubMed : 2344612). Lamin A and C are present in equal amounts in the lamina of mammals (PubMed : 10080180, PubMed : 10580070, PubMed : 10587585, PubMed : 10814726, PubMed : 11799477, PubMed : 12075506, PubMed : 12927431, PubMed : 15317753, PubMed : 18551513, PubMed : 18611980, PubMed : 22431096, PubMed : 23666920, PubMed : 31548606). Also involved in DNA repair : recruited by DNA repair proteins XRCC4 and IFFO1 to the DNA double-strand breaks (DSBs) to prevent chromosome translocation by immobilizing broken DNA ends (PubMed : 31548606). Required for normal development of peripheral nervous system and skeletal muscle and for muscle satellite cell proliferation (PubMed : 10080180, PubMed : 10814726, PubMed : 11799477, PubMed : 18551513, PubMed : 22431096). Required for osteoblastogenesis and bone formation (PubMed : 12075506, PubMed : 15317753, PubMed : 18611980). Also prevents fat infiltration of muscle and bone marrow, helping to maintain the volume and strength of skeletal muscle and bone (PubMed : 10587585). Required for cardiac homeostasis (PubMed : 10580070, PubMed : 12927431, PubMed : 18611980, PubMed : 23666920).. Prelamin-A/C. Prelamin-A/C can accelerate smooth muscle cell senescence (PubMed : 20458013). It acts to disrupt mitosis and induce DNA damage in vascular smooth muscle cells (VSMCs), leading to mitotic failure, genomic instability, and premature senescence (PubMed : 20458013).
See full target information LMNA

Additional targets

LMNA

Publications (9)

Recent publications for all applications. Explore the full list and refine your search

Experimental hematology & oncology 14:47 PubMed40156013

2025

A one-base therapeutic insertion in the HBG2 distal promoter reactivates γ-globin expression.

Applications

Unspecified application

Species

Unspecified reactive species

Xiuqin Bao,Yuanyi Gao,Xiaoyi Chen,Zhongju Wang,Xiaoqin Feng,Liren Wang,Jing Du,Yuhua Ye,Feijing Chen,Li Du,Aihua Yin,Xiangmin Xu

Journal of nanobiotechnology 22:638 PubMed39420389

2024

Novel combination therapy using recombinant oncolytic adenovirus silk hydrogel and PD-L1 inhibitor for bladder cancer treatment.

Applications

Unspecified application

Species

Unspecified reactive species

Wenqiang Zhang,Jianqiang Zhang,Jingwei Zhang,Jing Chu,Zhenxing Zhang

Journal of virology 97:e0032823 PubMed37338350

2023

SLF2 Interacts with the SMC5/6 Complex to Direct Hepatitis B Virus Episomal DNA to Promyelocytic Leukemia Bodies for Transcriptional Repression.

Applications

Unspecified application

Species

Unspecified reactive species

Qiyan Yao,Bo Peng,Cong Li,Xuelei Li,Mingyi Chen,Zhongmin Zhou,Dingbin Tang,Jiabei He,Yumeng Wu,Yinyan Sun,Wenhui Li

The Journal of biological chemistry 299:102908 PubMed36642180

2023

Protein engineering reveals that gasdermin A preferentially targets mitochondrial membranes over the plasma membrane during pyroptosis.

Applications

Unspecified application

Species

Unspecified reactive species

Hannah C Kondolf,Dana A D'Orlando,George R Dubyak,Derek W Abbott

Nature communications 13:7776 PubMed36522352

2022

Achieving single nucleotide sensitivity in direct hybridization genome imaging.

Applications

Unspecified application

Species

Unspecified reactive species

Yanbo Wang,W Taylor Cottle,Haobo Wang,Momcilo Gavrilov,Roger S Zou,Minh-Tam Pham,Srinivasan Yegnasubramanian,Scott Bailey,Taekjip Ha

International journal of molecular sciences 23: PubMed36555163

2022

Co-Regulated Gene Expression as a Suitable Readout after Precise Gene Correction.

Applications

Unspecified application

Species

Unspecified reactive species

Haicui Wang,Anne Krause,Helena Escobar,Stefanie Müthel,Eric Metzler,Simone Spuler

Biomolecules 12: PubMed35327628

2022

Neurons with Cat's Eyes: A Synthetic Strain of α-Synuclein Fibrils Seeding Neuronal Intranuclear Inclusions.

Applications

Unspecified application

Species

Unspecified reactive species

Francesca De Giorgi,Muhammed Bilal Abdul-Shukkoor,Marianna Kashyrina,Leslie-Ann Largitte,Francesco De Nuccio,Brice Kauffmann,Alons Lends,Florent Laferrière,Sébastien Bonhommeau,Dario Domenico Lofrumento,Luc Bousset,Erwan Bezard,Thierry Buffeteau,Antoine Loquet,François Ichas

Oncogene 41:571-585 PubMed34785778

2021

Histone N-terminal acetyltransferase NAA40 links one-carbon metabolism to chemoresistance.

Applications

Unspecified application

Species

Unspecified reactive species

Christina Demetriadou,Anastasia Raoukka,Evelina Charidemou,Constantine Mylonas,Christina Michael,Swati Parekh,Costas Koufaris,Paris Skourides,Panagiotis Papageorgis,Peter Tessarz,Antonis Kirmizis

PloS one 5:e10604 PubMed20498701

2010

Monoclonal antibodies specific for disease-associated point-mutants: lamin A/C R453W and R482W.

Applications

WB, ICC/IF

Species

Human, Human

Marko Roblek,Stefan Schüchner,Veronika Huber,Katrin Ollram,Sylvia Vlcek-Vesely,Roland Foisner,Manfed Wehnert,Egon Ogris
View all publications

Product promise

We are committed to supporting your work with high-quality reagents, and we're here for you every step of the way. In the unlikely event that one of our products does not perform as expected, you're protected by our Product Promise.
For full details, please see our Terms & Conditions

Please note: All products are 'FOR RESEARCH USE ONLY. NOT FOR USE IN DIAGNOSTIC OR THERAPEUTIC PROCEDURES'.

For licensing inquiries, please contact partnerships@abcam.com