JavaScript is disabled in your browser. Please enable JavaScript to view this website.
AB108595

Anti-Lamin A + Lamin C antibody [EPR4100] - Nuclear Envelope Marker

  • RabMAb
  • Recombinant
  • KO Validated
  • Lab Essentials
  • 20ul selling size
  • What is this?

5

(9 Reviews)

|

(170 Publications)

Anti-Lamin A + Lamin C antibody [EPR4100] - Nuclear Envelope Marker (ab108595) is a rabbit monoclonal antibody detecting Lamin A + Lamin C in Western Blot, Flow Cytometry (Intra), Flow Cytometry, IP, IHC-P, ICC/IF. Suitable for Human.

- KO validated for confirmed specificity
- Biophysical QC for unrivalled batch-batch consistency
- Over 120 publications

View Alternative Names

LMN1, LMNA, Prelamin-A/C

19 Images
Immunohistochemistry (Formalin/PFA-fixed paraffin-embedded sections) - Anti-Lamin A + Lamin C antibody [EPR4100] - Nuclear Envelope Marker (AB108595)
  • IHC-P

Unknown

Immunohistochemistry (Formalin/PFA-fixed paraffin-embedded sections) - Anti-Lamin A + Lamin C antibody [EPR4100] - Nuclear Envelope Marker (AB108595)

Immunohistochemistry (Formalin/PFA-fixed paraffin-embedded sections) analysis of human brain tissue labeling Lamin A + C with ab108595 at 1/250 dilution.

Perform heat mediated antigen retrieval with Tris/EDTA buffer pH 9.0 before commencing with IHC staining protocol.

Immunocytochemistry/ Immunofluorescence - Anti-Lamin A + Lamin C antibody [EPR4100] - Nuclear Envelope Marker (AB108595)
  • ICC/IF

PubMed

Immunocytochemistry/ Immunofluorescence - Anti-Lamin A + Lamin C antibody [EPR4100] - Nuclear Envelope Marker (AB108595)

Histological analyses of hiPSCs (Human induced pluripotent stem cell) transplanted into the subretinal space of nude rats.

Eye balls were excised from a nude rat 7 weeks after subretinal transplantation with 1×104 hiPSCs. Transplanted tissues were fixed with 4% paraformaldehyde. Paraffin embedded tissue sections were stained with haematoxylin/eosin. Then, the paraffin sections were deparaffinized with xylene and sequential 100%, 95%, 80%, 70% ethanol treatments for 5 min each. The sections were treated with 10 mM citric acid (pH 6) at 95°C for 50 min followed by permeation with 0.4% Triton-X in PBS at room temperature for 30 min.

The deparaffinized sections were stained with ab108595 (Panel M), Hoechst 33258 (Panel N).

Kanemura et al PLoS One. 2014 Jan 14;9(1):e85336. doi: 10.1371/journal.pone.0085336. eCollection 2014. Fig 6. Reproduced under the Creative Commons license http://creativecommons.org/licenses/by/4.0/

Immunocytochemistry/ Immunofluorescence - Anti-Lamin A + Lamin C antibody [EPR4100] - Nuclear Envelope Marker (AB108595)
  • ICC/IF

Unknown

Immunocytochemistry/ Immunofluorescence - Anti-Lamin A + Lamin C antibody [EPR4100] - Nuclear Envelope Marker (AB108595)

Immunocytochemsitry/Immunofluorescence analysis of HeLa (Human epithelial cell line from cervix adenocarcinoma) cells labeling Lamin A + C with unpurified ab108595 at 1/250 dilution.

Immunohistochemistry (Formalin/PFA-fixed paraffin-embedded sections) - Anti-Lamin A + Lamin C antibody [EPR4100] - Nuclear Envelope Marker (AB108595)
  • IHC-P

Lab

Immunohistochemistry (Formalin/PFA-fixed paraffin-embedded sections) - Anti-Lamin A + Lamin C antibody [EPR4100] - Nuclear Envelope Marker (AB108595)

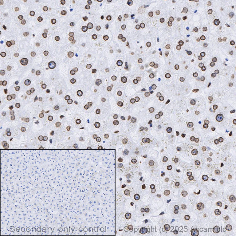
Immunohistochemical analysis of formalin fixed paraffin embedded human liver labelling Lamin A + Lamin C with ab108595 at a concentration of 0.01µg/ml. The immunostaining was performed on a Ventana DISCOVERY ULTRA (Roche Tissue Diagnostics) instrument with a OptiView DAB IHC Detection Kit. Heat mediated antigen retrieval was performed with DISCOVERY cell conditioning solution (CC1) 100°C, pH8.5 for 32 mins. ab108595 anti-Lamin A + Lamin C antibody [EPR4100] was incubated for 16 mins at 37°C. Sections were counterstained with Hematoxylin II. Image inset shows absence of staining in secondary antibody only control.

Customers are encouraged to optimise antigen retrieval conditions, antibody concentration, incubation times and temperature for best results in their own IHC assay workflow (automated and manual).

Immunohistochemistry (Formalin/PFA-fixed paraffin-embedded sections) - Anti-Lamin A + Lamin C antibody [EPR4100] - Nuclear Envelope Marker (AB108595)
  • IHC-P

Unknown

Immunohistochemistry (Formalin/PFA-fixed paraffin-embedded sections) - Anti-Lamin A + Lamin C antibody [EPR4100] - Nuclear Envelope Marker (AB108595)

Immunohistochemistry (Formalin/PFA-fixed paraffin-embedded sections) analysis of human liver tissue labeling Lamin A + C with ab108595 at 1/250 dilution.

Perform heat mediated antigen retrieval with Tris/EDTA buffer pH 9.0 before commencing with IHC staining protocol.

Immunohistochemistry (Formalin/PFA-fixed paraffin-embedded sections) - Anti-Lamin A + Lamin C antibody [EPR4100] - Nuclear Envelope Marker (AB108595)
  • IHC-P

Unknown

Immunohistochemistry (Formalin/PFA-fixed paraffin-embedded sections) - Anti-Lamin A + Lamin C antibody [EPR4100] - Nuclear Envelope Marker (AB108595)

Immunohistochemistry (Formalin/PFA-fixed paraffin-embedded sections) analysis of human urothelial carcinoma tissue labeling Lamin A + C with ab108595.

Green - Lamin A + C.

Red - PI.

Perform heat mediated antigen retrieval with Tris/EDTA buffer pH 9.0 before commencing with IHC staining protocol.

Immunohistochemistry (Formalin/PFA-fixed paraffin-embedded sections) - Anti-Lamin A + Lamin C antibody [EPR4100] - Nuclear Envelope Marker (AB108595)
  • IHC-P

Lab

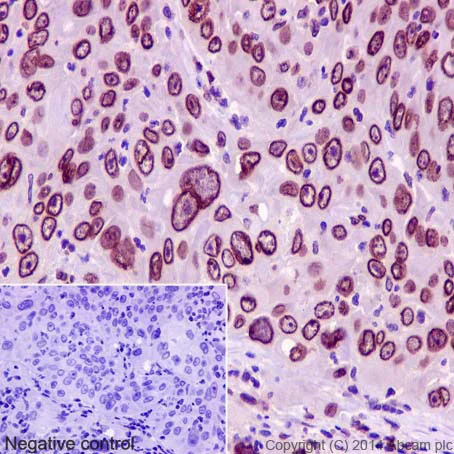
Immunohistochemistry (Formalin/PFA-fixed paraffin-embedded sections) - Anti-Lamin A + Lamin C antibody [EPR4100] - Nuclear Envelope Marker (AB108595)

Immunohistochemistry (Formalin/PFA-fixed paraffin-embedded sections) analysis of human cervix carcinoma tissue labeling Lamin A + C with purified ab108595 at 1/250. Heat mediated antigen retrieval was performed using Tris/EDTA buffer pH 9. A prediluted HRP-polymer conjugated anti-rabbit IgG was used as the secondary antibody. Counterstained with hematoxylin.

Negative control using PBS instead of primary antibody (inset).

Immunohistochemistry (Formalin/PFA-fixed paraffin-embedded sections) - Anti-Lamin A + Lamin C antibody [EPR4100] - Nuclear Envelope Marker (AB108595)
  • IHC-P

Unknown

Immunohistochemistry (Formalin/PFA-fixed paraffin-embedded sections) - Anti-Lamin A + Lamin C antibody [EPR4100] - Nuclear Envelope Marker (AB108595)

Immunohistochemistry (Formalin/PFA-fixed paraffin-embedded sections) analysis of human colonic carcinoma tissue labeling Lamin A + C with ab108595.

Green - Lamin A + C.

Red - PI.

Perform heat mediated antigen retrieval with Tris/EDTA buffer pH 9.0 before commencing with IHC staining protocol.

Immunohistochemistry (Formalin/PFA-fixed paraffin-embedded sections) - Anti-Lamin A + Lamin C antibody [EPR4100] - Nuclear Envelope Marker (AB108595)
  • IHC-P

Unknown

Immunohistochemistry (Formalin/PFA-fixed paraffin-embedded sections) - Anti-Lamin A + Lamin C antibody [EPR4100] - Nuclear Envelope Marker (AB108595)

Immunohistochemistry (Formalin/PFA-fixed paraffin-embedded sections) analysis of human breast carcinoma tissue labeling Lamin A + C with ab108595.

Green - Lamin A + C.

Red - PI.

Perform heat mediated antigen retrieval with Tris/EDTA buffer pH 9.0 before commencing with IHC staining protocol.

Flow Cytometry (Intracellular) - Anti-Lamin A + Lamin C antibody [EPR4100] - Nuclear Envelope Marker (AB108595)
  • Flow Cyt (Intra)

Lab

Flow Cytometry (Intracellular) - Anti-Lamin A + Lamin C antibody [EPR4100] - Nuclear Envelope Marker (AB108595)

Intracellular Flow Cytometry analysis of HeLa (Human epithelial cell line from cervix adenocarcinoma) cells labeling Lamin A + C with purified ab108595 at 1/110 (red). Cells were fixed with 2% paraformaldehyde. A FITC-conjugated goat anti-rabbit IgG (1/150) was used as the secondary antibody.

Black - Isotype control, rabbit monoclonal IgG. Blue - Unlabeled control, cells without incubation with primary and secondary antibodies.

Immunocytochemistry/ Immunofluorescence - Anti-Lamin A + Lamin C antibody [EPR4100] - Nuclear Envelope Marker (AB108595)
  • ICC/IF

Lab

Immunocytochemistry/ Immunofluorescence - Anti-Lamin A + Lamin C antibody [EPR4100] - Nuclear Envelope Marker (AB108595)

Immunocytochemistry/Immunofluorescence analysis of HeLa (Human epithelial cell line from cervix adenocarcinoma) cells labeling Lamin A + C (green) with purified ab108595 at 1/500. Cells were fixed with 4% paraformaldehyde and permeabilized with 0.1% Triton X-100. ab150077, an Alexa Fluor® 488-conjugated goat anti-rabbit IgG (1/500) was used as the secondary antibody. DAPI (blue) was used as the nuclear counterstain.

Control : Primary antibody (1/500) and secondary antibody ab150120, an Alexa Fluor® 594-conjugated goat anti-mouse IgG (1/500).

Flow Cytometry (Intracellular) - Anti-Lamin A + Lamin C antibody [EPR4100] - Nuclear Envelope Marker (AB108595)
  • Flow Cyt (Intra)

Unknown

Flow Cytometry (Intracellular) - Anti-Lamin A + Lamin C antibody [EPR4100] - Nuclear Envelope Marker (AB108595)

Overlay histogram showing HeLa (Human epithelial cell line from cervix adenocarcinoma) cells stained with unpurified ab108595 (red line). The cells were fixed with 80% methanol (5 min) and then permeabilized with 0.1% PBS-Tween for 20 min. The cells were then incubated in 1x PBS / 10% normal goat serum / 0.3M glycine to block non-specific protein-protein interactions followed by the antibody (ab108595 1/1000 dilution) for 30 min at 22°C. The secondary antibody used was Alexa Fluorr® 488 goat anti-rabbit IgG (H&L) (ab150077) at 1/2000 dilution for 30 min at 22°C. Isotype control antibody (black line) was rabbit IgG (monoclonal) (0.1μg/1x106 cells) used under the same conditions. Unlabeled sample (blue line) was also used as a control. Acquisition of >5000 events were collected using a 20mW Argon ion laser (488nm) and 525/30 bandpass filter.

Immunohistochemistry (Formalin/PFA-fixed paraffin-embedded sections) - Anti-Lamin A + Lamin C antibody [EPR4100] - Nuclear Envelope Marker (AB108595)
  • IHC-P

Unknown

Immunohistochemistry (Formalin/PFA-fixed paraffin-embedded sections) - Anti-Lamin A + Lamin C antibody [EPR4100] - Nuclear Envelope Marker (AB108595)

Immunohistochemistry (Formalin/PFA-fixed paraffin-embedded sections) analysis of human cervical carcinoma tissue labeling Lamin A + C with ab108595.

Green - Lamin A + C.

Red - PI.

Perform heat mediated antigen retrieval with Tris/EDTA buffer pH 9.0 before commencing with IHC staining protocol.

Immunoprecipitation - Anti-Lamin A + Lamin C antibody [EPR4100] - Nuclear Envelope Marker (AB108595)
  • IP

Lab

Immunoprecipitation - Anti-Lamin A + Lamin C antibody [EPR4100] - Nuclear Envelope Marker (AB108595)

ab108595 (purified) at 1/30 immunoprecipitating Lamin A + C in HeLa (Human epithelial cell line from cervix adenocarcinoma) cell lysate. For western blotting, a peroxidase-conjugated goat anti-rabbit IgG (H+L) was used as the secondary antibody (1/1000).

Blocking/Dilution buffer and concentration : 5% NFDM/TBST.

All lanes:

Immunoprecipitation - Anti-Lamin A + Lamin C antibody [EPR4100] - Nuclear Envelope Marker (ab108595)

Predicted band size: 74 kDa

Observed band size: 74 kDa

false

Western blot - Anti-Lamin A + Lamin C antibody [EPR4100] - Nuclear Envelope Marker (AB108595)
  • WB

Lab

Western blot - Anti-Lamin A + Lamin C antibody [EPR4100] - Nuclear Envelope Marker (AB108595)

Blocking/Dilution buffer and concentration : 5% NFDM/TBST.

All lanes:

Western blot - Anti-Lamin A + Lamin C antibody [EPR4100] - Nuclear Envelope Marker (ab108595) at 1/100000 dilution

Lane 1:

HepG2 (Human liver hepatocellular carcinoma cell line) cell lysate at 20 µg

Lane 2:

HaCaT (Human keratinocyte cell line) cell lysate at 20 µg

Secondary

All lanes:

Peroxidase-conjugated goat anti-rabbit IgG (H+L) at 1/1000 dilution

Predicted band size: 74 kDa

Observed band size: 63 kDa,74 kDa

false

Western blot - Anti-Lamin A + Lamin C antibody [EPR4100] - Nuclear Envelope Marker (AB108595)
  • WB

Supplier Data

Western blot - Anti-Lamin A + Lamin C antibody [EPR4100] - Nuclear Envelope Marker (AB108595)

Blocking and diluting buffer and concentration : 5% NFDM/TBST.

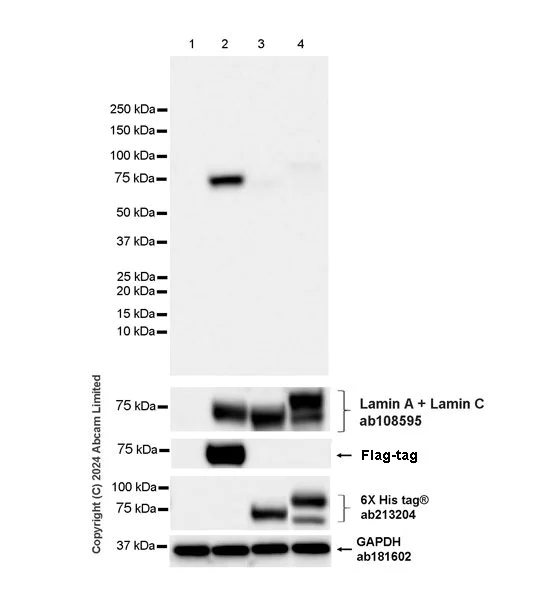
Western blot analysis of HEK-293T cells transfected with a human progerin expression vector containing a Flag-tag whole cell lysate 2 ug mixed with HeLa whole cell lysate 20 ug. The membrane was cut into strips and each strip was incubated separately with the following antibodies : Lane 1 : anti Lamin A + Lamin C antibody ab108595 (1 : 1000), Lane 2 : anti Flag-tag antibody (1 : 10000), Lane 3 : anti-progerin ab320642 (1 : 1000).

The anti-progerin antibody ab320642 specifically detects human progerin.

The expression profile/ molecular weight observed is consistent with what has been described in the literature (PMID : 12714972, PMID : 33408413, PMID : 34694158).

In Western blot, Anti-GAPDH antibody [EPR16891] - Loading Control (ab181602) staining at 1/200000 dilution.

In Western blot, Anti-Lamin A + Lamin C antibody - (ab108595) staining at 64-76KDa dilution.

In Western blot, Anti-Flag tag staining at 1/10000 dilution.

All lanes:

Western blot - Anti-Progerin antibody [EPR28694-72] (<a href='/en-us/products/primary-antibodies/progerin-antibody-epr28694-72-ab320642'>ab320642</a>) at 1/1000 dilution

All lanes:

HEK-293T (human embryonic kidney epithelial cell) cells transfected with a human progerin expression vector containing a Flag-tag whole cell lysate 2 μg mixed with HeLa (human cervical adenocarcinoma epithelial cell) whole cell lysate at 20 µg

Secondary

All lanes:

Western blot - Goat Anti-Rabbit IgG H&L (HRP) (<a href='/en-us/products/secondary-antibodies/goat-rabbit-igg-h-l-hrp-ab97051'>ab97051</a>) at 1/100000 dilution

Observed band size: 74 kDa,64-76 kDa

false

Exposure time: 81s

Western blot - Anti-Lamin A + Lamin C antibody [EPR4100] - Nuclear Envelope Marker (AB108595)
  • WB

Unknown

Western blot - Anti-Lamin A + Lamin C antibody [EPR4100] - Nuclear Envelope Marker (AB108595)

All lanes:

Western blot - Anti-Lamin A + Lamin C antibody [EPR4100] - Nuclear Envelope Marker (ab108595) at 1/10000 dilution

Lane 1:

HeLa (Human epithelial cell line from cervix adenocarcinoma) cell lysates at 10 µg

Lane 2:

SH-SY5Y (Human neuroblastoma cell line from bone marrow) cell lysates at 10 µg

Predicted band size: 74 kDa

false

Western blot - Anti-Lamin A + Lamin C antibody [EPR4100] - Nuclear Envelope Marker (AB108595)
  • WB

Lab

Western blot - Anti-Lamin A + Lamin C antibody [EPR4100] - Nuclear Envelope Marker (AB108595)

Blocking/Dilution buffer and concentration : 5% NFDM/TBST.

All lanes:

Western blot - Anti-Lamin A + Lamin C antibody [EPR4100] - Nuclear Envelope Marker (ab108595) at 1/100000 dilution

All lanes:

HeLa (Human epithelial cell line from cervix adenocarcinoma) cell lysate at 10 µg

Secondary

All lanes:

Peroxidase-conjugated goat anti-rabbit IgG (H+L) at 1/1000 dilution

Predicted band size: 74 kDa

Observed band size: 63 kDa,74 kDa

false

Western blot - Anti-Lamin A + Lamin C antibody [EPR4100] - Nuclear Envelope Marker (AB108595)
  • WB

Supplier Data

Western blot - Anti-Lamin A + Lamin C antibody [EPR4100] - Nuclear Envelope Marker (AB108595)

Blocking and diluting buffer and concentration : 5% NFDM/TBST.

This antibody does not cross-react with human Lamin A and Lamin C.

In Western blot, Anti-GAPDH antibody [EPR16891] - Loading Control (ab181602) staining at 1/200000 dilution.

In Western blot, Anti-Lamin A + Lamin C antibody - (ab108595) staining at 64-76KDa dilution.

In Western blot, Anti-Flag tag staining at 1/10000 dilution.

In Western blot, (Anti-6X His tag® antibody [EPR20547] - ChIP Grade (ab213204) staining at 1/5000 dilution.

All lanes:

Western blot - Anti-Progerin antibody [EPR28694-72] (<a href='/en-us/products/primary-antibodies/progerin-antibody-epr28694-72-ab320642'>ab320642</a>) at 1/1000 dilution

Lane 1:

HEK-293T (human embryonic kidney epithelial cell) cells transfected with an empty vector containing a DDDDK-tag, whole cell lysate at 20 µg

Lane 2:

HEK-293T cells transfected with a human progerin expression vector containing a Flag-tag, whole cell lysate at 20 µg

Lane 3:

HEK-293T cells transfected with a human Lamin C expression vector containing a myc-His-tag®, whole cell lysate at 20 µg

Lane 4:

HEK-293T cells transfected with a human Lamin A expression vector containing a myc-His-tag®, whole cell lysate at 20 µg

Secondary

All lanes:

Western blot - Goat Anti-Rabbit IgG H&L (HRP) (<a href='/en-us/products/secondary-antibodies/goat-rabbit-igg-h-l-hrp-ab97051'>ab97051</a>) at 1/100000 dilution

Observed band size: 74 kDa,36 kDa,64-76 kDa

false

Exposure time: 10s

  • 617 Alexa Fluor® 594

    Alexa Fluor® 594 Anti-Lamin A + Lamin C antibody [EPR4100] - Nuclear Envelope Marker

  • 519 Alexa Fluor® 488

    Alexa Fluor® 488 Anti-Lamin A + Lamin C antibody [EPR4100] - Nuclear Envelope Marker

  • 665 Alexa Fluor® 647

    Alexa Fluor® 647 Anti-Lamin A + Lamin C antibody [EPR4100] - Nuclear Envelope Marker

  • Carrier free

    Anti-Lamin A + Lamin C antibody [EPR4100] - BSA and Azide free

  • 578 PE

    PE Anti-Lamin A + Lamin C antibody [EPR4100] - Nuclear Envelope Marker

  • HRP

    HRP Anti-Lamin A + Lamin C antibody [EPR4100] - Nuclear Envelope Marker

  • 565 Alexa Fluor® 555

    Alexa Fluor® 555 Anti-Lamin A + Lamin C antibody [EPR4100] - Nuclear Envelope Marker

  • 775 Alexa Fluor® 750

    Alexa Fluor® 750 Anti-Lamin A + Lamin C antibody [EPR4100] - Nuclear Envelope Marker

  • 660 APC

    APC Anti-Lamin A + Lamin C antibody [EPR4100] - Nuclear Envelope Marker

Key facts

Host species

Rabbit

Clonality

Monoclonal

Clone number

EPR4100

Isotype

IgG

Carrier free

No

Reacts with

Human

Applications

WB, Flow Cyt (Intra), IHC-P, IP, ICC/IF

applications

Immunogen

The exact immunogen used to generate this antibody is proprietary information.

Specificity

The antibody recognizes full length Lamin A/C and the cleaved large unit.

We have data to indicate that this antibody gives non-specific staining in IHC with mouse tissues. Based on this we believe the antibody is not suitable for use with mouse samples, as there will be non-specific staining.

Reactivity data

{ "title": "Reactivity Data", "filters": { "stats": ["", "Species", "Dilution Info", "Notes"], "tabs": { "all-applications": {"fullname" : "All Applications", "shortname": "All Applications"}, "IP" : {"fullname" : "Immunoprecipitation", "shortname":"IP"}, "WB" : {"fullname" : "Western blot", "shortname":"WB"}, "ICCIF" : {"fullname" : "Immunocytochemistry/ Immunofluorescence", "shortname":"ICC/IF"}, "FlowCytIntra" : {"fullname" : "Flow Cytometry (Intracellular)", "shortname":"Flow Cyt (Intra)"}, "IHCP" : {"fullname" : "Immunohistochemistry (Formalin/PFA-fixed paraffin-embedded sections)", "shortname":"IHC-P"} }, "product-promise": { "all": "all", "testedAndGuaranteed": "tested", "guaranteed": "expected", "predicted": "predicted", "notRecommended": "not-recommended" } }, "values": { "Human": { "IP-species-checked": "testedAndGuaranteed", "IP-species-dilution-info": "1/30", "IP-species-notes": "<p></p>", "WB-species-checked": "testedAndGuaranteed", "WB-species-dilution-info": "1/10000 - 1/50000", "WB-species-notes": "<p></p>", "ICCIF-species-checked": "testedAndGuaranteed", "ICCIF-species-dilution-info": "1/250 - 1/500", "ICCIF-species-notes": "<p></p>", "FlowCytIntra-species-checked": "testedAndGuaranteed", "FlowCytIntra-species-dilution-info": "1/100 - 1/150", "FlowCytIntra-species-notes": "<p><a href='/en-us/products/primary-antibodies/rabbit-igg-monoclonal-epr25a-isotype-control-ab172730'>ab172730</a> - Rabbit monoclonal IgG, is suitable for use as an isotype control with this antibody.</p>", "IHCP-species-checked": "testedAndGuaranteed", "IHCP-species-dilution-info": "1/250 - 1/500", "IHCP-species-notes": "<p></p> Perform heat-mediated antigen retrieval with Tris/EDTA buffer pH 9.0 before commencing with IHC staining protocol." } } }

Product details

Product Specifications

Anti-Lamin A + Lamin C antibody [EPR4100] - Nuclear Envelope Marker (ab108595) was developed by Abcam using patented rabbit monoclonal antibody technology and is validated for use in Flow Cyt (Intra), ICC/IF, IHC-P, IP, WB in human samples.
Anti-Lamin A + Lamin C antibody [EPR4100] - Nuclear Envelope Marker (ab108595) specifically detects Lamin A + Lamin C (UniProt ID: P02545; Molecular weight: 74kDa) and is sold in 100 µL and 1 mL selling sizes.

Quality and Validation

Abcam's high quality manufacturing and validation processes ensure Anti-Lamin A + Lamin C antibody [EPR4100] - Nuclear Envelope Marker (ab108595) has high sensitivity and specificity alongside high lot-to-lot consistency and reproducibility.
The specificity of Anti-Lamin A + Lamin C antibody [EPR4100] - Nuclear Envelope Marker (ab108595) has been confirmed by testing in knockout samples.
Anti-Lamin A + Lamin C antibody [EPR4100] - Nuclear Envelope Marker (ab108595) has been cited over 119 times in peer reviewed journals and is trusted by the scientific community.
Anti-Lamin A + Lamin C antibody [EPR4100] - Nuclear Envelope Marker (ab108595) has 7 independent reviews from customers.
Related Products
Conjugation-ready, carrier free format available for antibody clone EPR4100 - ab216074.
Antibody clone EPR4100 is also available pre-conjugated to a variety of labels for your convenience - Alexa Fluor® 488, Alexa Fluor® 647, HRP, PE, Alexa Fluor® 594, Alexa Fluor® 555, Alexa Fluor® 750, APC (ab185014, ab193903, ab193904, ab210433, ab215324, ab320906, ab320907, ab320908).

Species reactivity
Mouse, Rat: We have preliminary internal testing data to indicate this antibody may not react with these species.
Please contact us for more information.

Patented technology
Our RabMAb® technology is a patented hybridoma-based technology for making rabbit monoclonal antibodies. For details on our patents, please refer to RabMAb® patents.

What are the advantages of a recombinant monoclonal antibody?
This product is a recombinant monoclonal antibody, which offers several advantages including:

  • - High batch-to-batch consistency and reproducibility
  • - Improved sensitivity and specificity
  • - Long-term security of supply
  • - Animal-free batch production

For more information, read more on recombinant antibodies.

Properties and storage information

Form
Liquid
Purification technique
Affinity purification Protein A
Storage buffer
pH: 7.2 - 7.4 Preservative: 0.01% Sodium azide Constituents: PBS, 40% Glycerol (glycerin, glycerine), 0.05% BSA
Shipped at conditions
Blue Ice
Appropriate short-term storage duration
1-2 weeks
Appropriate short-term storage conditions
+4°C
Appropriate long-term storage conditions
-20°C
Aliquoting information
Upon delivery aliquot
Storage information
Stable for 12 months at -20°C

Supplementary information

This supplementary information is collated from multiple sources and compiled automatically.

Lamin A and Lamin C also known as lamin A/C are proteins encoded by the LMNA gene. These proteins are key components of the nuclear envelope where they provide structural support and maintain the shape of the nucleus. The lamin A/C molecule has a molecular weight of approximately 60-70 kDa. Expression of lamin A and lamin C occurs predominantly in differentiated cells where these proteins integrate into the nuclear lamina alongside other lamin molecules like lamin B. Lamin A alone sometimes referred to by designations like 4C11 plays a significant role in mechanical support at a molecular level.
Biological function summary

Lamin A/C proteins play a role in maintaining nuclear stability chromosome organization and gene regulation. They are part of a complex network within the nuclear lamina that includes interactions with proteins and DNA. Lamin A with a molecular weight distinct from other lamins participates in assembling this supportive matrix and contributes to DNA maintenance and repair processes. Their interaction with chromatin and gene expression regulation emphasizes their influence on important cellular functions.

Pathways

Lamin A/C proteins engage in the mechanosensory signaling and DNA damage response pathways. They interact with pathways involving the nuclear envelope structure and have connections to proteins like emerin and nuclear actin. Lamin A's role in these pathways supports its involvement in responding to mechanical stress and preserving genomic integrity highlighting its integration with these cellular processes.

Mutations in lamin A/C are linked to disorders such as Hutchinson-Gilford Progeria Syndrome and Emery-Dreifuss Muscular Dystrophy. These conditions highlight the importance of lamin A/C in cellular stability and nuclear integrity. Proteins such as emerin often relate to lamin A/C in these diseases as disruptions to their interactions can lead to compromised nuclear function and disease phenotypes.

Product protocols

For this product, it's our understanding that no specific protocols are required. You can visit:

Target data

Lamin-A/C. Lamins are intermediate filament proteins that assemble into a filamentous meshwork, and which constitute the major components of the nuclear lamina, a fibrous layer on the nucleoplasmic side of the inner nuclear membrane (PubMed : 10080180, PubMed : 10580070, PubMed : 10587585, PubMed : 10814726, PubMed : 11799477, PubMed : 12075506, PubMed : 12927431, PubMed : 15317753, PubMed : 18551513, PubMed : 18611980, PubMed : 2188730, PubMed : 22431096, PubMed : 2344612, PubMed : 23666920, PubMed : 24741066, PubMed : 31434876, PubMed : 31548606, PubMed : 37788673, PubMed : 37832547). Lamins provide a framework for the nuclear envelope, bridging the nuclear envelope and chromatin, thereby playing an important role in nuclear assembly, chromatin organization, nuclear membrane and telomere dynamics (PubMed : 10080180, PubMed : 10580070, PubMed : 10587585, PubMed : 10814726, PubMed : 11799477, PubMed : 12075506, PubMed : 12927431, PubMed : 15317753, PubMed : 18551513, PubMed : 18611980, PubMed : 22431096, PubMed : 23666920, PubMed : 24741066, PubMed : 31548606, PubMed : 37788673, PubMed : 37832547). Lamin A and C also regulate matrix stiffness by conferring nuclear mechanical properties (PubMed : 23990565, PubMed : 25127216). The structural integrity of the lamina is strictly controlled by the cell cycle, as seen by the disintegration and formation of the nuclear envelope in prophase and telophase, respectively (PubMed : 2188730, PubMed : 2344612). Lamin A and C are present in equal amounts in the lamina of mammals (PubMed : 10080180, PubMed : 10580070, PubMed : 10587585, PubMed : 10814726, PubMed : 11799477, PubMed : 12075506, PubMed : 12927431, PubMed : 15317753, PubMed : 18551513, PubMed : 18611980, PubMed : 22431096, PubMed : 23666920, PubMed : 31548606). Also invoved in DNA repair : recruited by DNA repair proteins XRCC4 and IFFO1 to the DNA double-strand breaks (DSBs) to prevent chromosome translocation by immobilizing broken DNA ends (PubMed : 31548606). Required for normal development of peripheral nervous system and skeletal muscle and for muscle satellite cell proliferation (PubMed : 10080180, PubMed : 10814726, PubMed : 11799477, PubMed : 18551513, PubMed : 22431096). Required for osteoblastogenesis and bone formation (PubMed : 12075506, PubMed : 15317753, PubMed : 18611980). Also prevents fat infiltration of muscle and bone marrow, helping to maintain the volume and strength of skeletal muscle and bone (PubMed : 10587585). Required for cardiac homeostasis (PubMed : 10580070, PubMed : 12927431, PubMed : 18611980, PubMed : 23666920).. Prelamin-A/C. Prelamin-A/C can accelerate smooth muscle cell senescence (PubMed : 20458013). It acts to disrupt mitosis and induce DNA damage in vascular smooth muscle cells (VSMCs), leading to mitotic failure, genomic instability, and premature senescence (PubMed : 20458013).
See full target information LMNA

Publications (170)

Recent publications for all applications. Explore the full list and refine your search

Nature communications 16:8190 PubMed40897722

2025

SOX2 drives esophageal squamous carcinoma by reprogramming lipid metabolism and histone acetylation landscape.

Applications

Unspecified application

Species

Unspecified reactive species

Zhen Wang,Ruofei Dai,Li Kang,Huan Yang,Zhaosu Chen,Jianzhong He,Lei Shu,Yiting Zhong,Yunfeng Zhang,Zhengyi Hua,Yuanyong Huang,Yuhan Jiang,Jiwen Li,Liyan Xu,Fei Lan,Shu-Hai Lin,Jiemin Wong

Cells 14: PubMed40801582

2025

Long-Term Engraftment and Satellite Cell Expansion from Human PSC Teratoma-Derived Myogenic Progenitors.

Applications

Unspecified application

Species

Unspecified reactive species

Zahra Khosrowpour,Nivedha Ramaswamy,Elise N Engquist,Berkay Dincer,Alisha M Shah,Hossam A N Soliman,Natalya A Goloviznina,Peter I Karachunski,Michael Kyba

The Journal of cell biology 224: PubMed40608049

2025

Sphingolipid synthesis maintains nuclear membrane integrity and genome stability during cell division.

Applications

Unspecified application

Species

Unspecified reactive species

Sunyoung Hwang,William Russo,Jaylah Cormier,Jillian Johnson,Sara Martin,Marica Rosaria Ippolito,Sara Cordone,Rui Li,Lihua Julie Zhu,Stefano Santaguida,Eduardo M Torres

International journal of biological sciences 21:3379-3396 PubMed40520023

2025

Pterostilbene Induces Apoptosis in Awakening Quiescent Prostate Cancer Cells by Upregulating C/EBP-β-Mediated SOD2 Transcription.

Applications

Unspecified application

Species

Unspecified reactive species

Zhichao Xi,Mengfan Liu,Xue Jiang,Jiling Feng,Rongchen Dai,Wan Najbah Nik Nabil,Xueyang Sun,Jiayi Chen,Hangui Ren,Juan Zhang,Qihan Dong,Man Yuan,Yang Li,Hongxi Xu

eLife 13: PubMed40387093

2025

Human CD29+/CD56+ myogenic progenitors display tenogenic differentiation potential and facilitate tendon regeneration.

Applications

Unspecified application

Species

Unspecified reactive species

Xiexiang Shao,Xingzuan Lin,Hao Zhou,Minghui Wang,Lili Han,Xin Fu,Sheng Li,Siyuan Zhu,Shenao Zhou,Wenjun Yang,Jianhua Wang,Zhanghua Li,Ping Hu

Redox biology 83:103638 PubMed40286437

2025

iPSC-derived cardiomyocytes and engineered heart tissues reveal suppressed JAK2/STAT3 signaling in LMNA-related emery-dreifuss muscular dystrophy.

Applications

Unspecified application

Species

Unspecified reactive species

Hangping Fan,Zongkuai Yang,Hangying Ying,Jiuxiao Zhao,Xiaochen Wang,Junhao Gong,Lingying Li,Xujie Liu,Tingyu Gong,Qing Ke,Lenan Zhuang,Ping Liang

Bioactive materials 43:579-602 PubMed40115877

2025

Combinational regenerative inductive effect of bio-adhesive hybrid hydrogels conjugated with hiPSC-derived myofibers and its derived EVs for volumetric muscle regeneration.

Applications

Unspecified application

Species

Unspecified reactive species

Jiseong Kim,Myung Chul Lee,Jieun Jeon,Alejandra Rodríguez-delaRosa,Yori Endo,Da-Seul Kim,Andrea Donaxi Madrigal-Salazar,Jeong Wook Seo,Hyeseon Lee,Ki-Tae Kim,Jae-I Moon,Seung Gwa Park,Mariana Carolina Lopez-Pacheco,Abdulhameed F Alkhateeb,Nebras Sobahi,Nicole Bassous,Wenpeng Liu,Jae Seo Lee,Seongsoo Kim,Dilara Yilmaz Aykut,Mahmoud Lotfi Nasr,Mohammad Asif Hussain,Soo-Hong Lee,Woo-Jin Kim,Olivier Pourquié,Indranil Sinha,Su Ryon Shin

Aging cell 24:e70021 PubMed39988827

2025

Circular RNA Telomerase Reverses Endothelial Senescence in Progeria.

Applications

Unspecified application

Species

Unspecified reactive species

Weifeng Qin,Kathrina D Castillo,Hongye Li,Thi Kim Cuc Nguyen,Daniel L Kiss,John P Cooke,Anahita Mojiri

Nature cell biology 27:438-448 PubMed39984653

2025

Blebbisomes are large, organelle-rich extracellular vesicles with cell-like properties.

Applications

Unspecified application

Species

Unspecified reactive species

Dennis K Jeppesen,Zachary C Sanchez,Noah M Kelley,James B Hayes,Jessica Ambroise,Emma N Koory,Evan Krystofiak,Nilay Taneja,Qin Zhang,Matthew M Dungan,Olivia L Perkins,Matthew J Tyska,Ela W Knapik,Kevin M Dean,Amanda C Doran,Robert J Coffey,Dylan T Burnette

Nature communications 16:1303 PubMed39900892

2025

Cloned airway basal progenitor cells to repair fibrotic lung through re-epithelialization.

Applications

Unspecified application

Species

Unspecified reactive species

Yu Zhao,Yueqing Zhou,Weipan Zhang,Mingzhe Liu,Jun Duan,Xiaopeng Zhang,Qiwang Ma,Yujia Wang,Yuzhen Zhang,Zhongliang Guo,Ting Zhang,Wei Zuo
View all publications

Product promise

We are committed to supporting your work with high-quality reagents, and we're here for you every step of the way. In the unlikely event that one of our products does not perform as expected, you're protected by our Product Promise.
For full details, please see our Terms & Conditions

Please note: All products are 'FOR RESEARCH USE ONLY. NOT FOR USE IN DIAGNOSTIC OR THERAPEUTIC PROCEDURES'.

For licensing inquiries, please contact partnerships@abcam.com